Chrysin Is Immunomodulatory and Anti-Inflammatory against Complete Freund’s Adjuvant-Induced Arthritis in a Pre-Clinical Rodent Model
Abstract
1. Introduction
2. Materials and Methods
2.1. Animals and Ethical Considerations
2.2. Experimental Design and Groups
2.3. Change in Body Weight
2.4. Arthritis Score Evaluation
2.5. Hematological and Biological Parameters
2.6. Determination of mRNA Expression Levels of IL-4, IL-10, TNF, NF-κB, and TLR-2
2.7. Histopathology of Ankle Joints
2.8. Statistical Analysis
3. Results
3.1. Chrysin Normalized Body Weight in Arthritic Animals
3.2. Chrysin Iinhibited the Extent of Arthritis
3.3. Chrysin Improved Hemoglobin Levels and Normalized Total Leukocyte Count in Arthritis
3.4. Chrysin Normalized the Erythrocyte Sedimentation Rate and Reduced Rheumatoid Factor
3.5. Chrysin Reduced mRNA Levels of TNF, NF-κB, and TLR-2
3.6. Chrysin Increased mRNA Levels of the Anti-Inflammatory Cytokines IL-4 and IL-10
3.7. Chrysin Improved the Histopathological Parameters of Arthritis
4. Discussion
5. Conclusion
Supplementary Materials
Author Contributions
Funding
Institutional Review Board Statement
Informed Consent Statement
Data Availability Statement
Conflicts of Interest
References
- World Health Organization. Fact Sheets on Musculoskeletal Health. 2022. Available online: https://www.who.int/news-room/fact-sheets/detail/musculoskeletal-conditions (accessed on 30 January 2023).
- Brennan-Olsen, S.L.; Cook, S.; Leech, M.T.; Bowe, S.J.; Kowal, P.; Naidoo, N.; Ackerman, I.N.; Page, R.S.; Hosking, S.M.; Pasco, J.A.; et al. Prevalence of arthritis according to age, sex and socioeconomic status in six low and middle income countries: Analysis of data from the World Health Organization Study on global AGEing and adult health (SAGE) Wave 1. BMC Musculoskelet. Disord. 2011, 18, 271. [Google Scholar] [CrossRef] [PubMed]
- Smolen, J.S.; Aletaha, D.; McInnes, I.B. Rheumatoid arthritis. Lancet 2016, 388, 2023–2038. [Google Scholar] [CrossRef] [PubMed]
- Okada, Y.; Eyre, S.; Suzuki, A.; Kochi, Y.; Yamamoto, K. Genetics of rheumatoid arthritis: 2018 status. Ann. Rheum. Dis. 2019, 78, 446–453. [Google Scholar] [CrossRef] [PubMed]
- Nielen, M.M.; Van Schaardenburg, D.; Reesink, H.W.; Van De Stadt, R.J.; Van Der Horst-Bruinsma, I.E.; De Koning, M.H.; Habibuw, M.R.; Vandenbroucke, J.P.; Dijkmans, B.A. Specific autoantibodies precede the symptoms of rheumatoid arthritis: A study of serial measurements in blood donors. Arthritis Rheum. 2004, 50, 380–386. [Google Scholar] [CrossRef]
- Avina-Zubieta, J.A.; Thomas, J.; Sadatsafavi, M.; Lehman, A.J.; Lacaille, D. Risk of incident cardiovascular events in patients with rheumatoid arthritis: A meta-analysis of observational studies. Ann. Rheum. Dis. 2012, 71, 1524–1529. [Google Scholar] [CrossRef]
- Droz, N.; Hanaway, P.; Hyman, M.; Jin, Y.; Beidelschies, M.; Husni, M.E. The impact of functional medicine on patient-reported outcomes in inflammatory arthritis: A retrospective study. PLoS ONE 2020, 15, e0240416. [Google Scholar] [CrossRef]
- Kondo, N.; Kuroda, T.; Kobayashi, D. Cytokine Networks in the Pathogenesis of Rheumatoid Arthritis. Int. J. Mol. Sci. 2021, 22, 10922. [Google Scholar] [CrossRef]
- Makuch, S.; Więcek, K.; Woźniak, M. The immunomodulatory and anti-inflammatory effect of curcumin on immune cell populations, cytokines, and in vivo models of rheumatoid arthritis. Pharmaceuticals. 2021, 14, 309. [Google Scholar] [CrossRef]
- Luo, P.; Wang, P.; Xu, J.; Hou, W.; Xu, P.; Xu, K.; Liu, L. Immunomodulatory role of T helper cells in rheumatoid arthritis : A comprehensive research review. Bone Joint Res. 2022, 11, 426–438. [Google Scholar] [CrossRef]
- Chen, J.Q.; Szodoray, P.; Zeher, M. Toll-Like Receptor Pathways in Autoimmune Diseases. Clin. Rev. Allergy Immunol. 2016, 50, 1–17. [Google Scholar] [CrossRef]
- Huang, Q.Q.; Pope, R.M. The role of toll-like receptors in rheumatoid arthritis. Curr. Rheumatol. Rep. 2009, 11, 357–364. [Google Scholar] [CrossRef]
- Ouyang, Z.; Tan, T.; Liu, C.; Duan, J.; Wang, W.; Guo, X.; Zhang, Q.; Li, Z.; Huang, Q.; Dou, P.; et al. Targeted delivery of hesperetin to cartilage attenuates osteoarthritis by bimodal imaging with Gd2(CO3)3@PDA nanoparticles via TLR-2/NF-κB/Akt signaling. Biomaterials. 2019, 205, 50–63. [Google Scholar] [CrossRef] [PubMed]
- Jang, D.I.; Lee, A.H.; Shin, H.Y.; Song, H.R.; Park, J.H.; Kang, T.B.; Lee, S.R.; Yang, S.H. The Role of Tumor Necrosis Factor Alpha (TNF-α) in Autoimmune Disease and Current TNF-α Inhibitors in Therapeutics. Int. J. Mol. Sci. 2021, 22, 2719. [Google Scholar] [CrossRef] [PubMed]
- Hutami, I.R.; Tanaka, E.; Izawa, T. Crosstalk between Fas and S1P1 signaling via NF-kB in osteoclasts controls bone destruction in the TMJ due to rheumatoid arthritis. Jpn. Dent. Sci. Rev. 2019, 55, 12–19. [Google Scholar] [CrossRef] [PubMed]
- Mrid, B.R.; Bouchmaa, N.; Ainani, H.; El Fatimy, R.; Malka, G.; Mazini, L. Anti-rheumatoid drugs advancements: New insights into the molecular treatment of rheumatoid arthritis. Biomed. Pharmacother. 2022, 151, 113126. [Google Scholar] [CrossRef]
- Roubille, C.; Richer, V.; Starnino, T.; McCourt, C.; McFarlane, A.; Fleming, P.; Siu, S.; Kraft, J.; Lynde, C.; Pope, J. The effects of tumour necrosis factor inhibitors, methotrexate, non-steroidal anti-inflammatory drugs and corticosteroids on cardiovascular events in rheumatoid arthritis, psoriasis and psoriatic arthritis: A systematic review and meta-analysis. Ann. Rheum. Dis. 2015, 74, 480–489. [Google Scholar] [CrossRef]
- Uroos, M.; Abbas, Z.; Sattar, S.; Umer, N.; Shabbir, A.; Shafiq-Ur-Rehman; Sharif, A. Nyctanthes arbor-tristis Ameliorated FCA-Induced Experimental Arthritis: A Comparative Study among Different Extracts. Evid. Based Complement. Alternat. Med. 2017, 2017, 4634853. [Google Scholar]
- Darwish, A.M.; Khattab, A.E.A.; Abd El-Razik, K.A.; Othman, S.I.; Allam, A.A.; Abu-Taweel, G.M. Effectiveness of new selenium-enriched mutated probiotics in reducing inflammatory effects of piroxicam medication in liver and kidney. Inflammopharmacology 2022, 30, 2097–2106. [Google Scholar] [CrossRef]
- Ahmed, S.; Khan, H.; Aschner, M.; Mirzae, H.; Küpeli-Akkol, E.; Capasso, R. Anticancer Potential of Furanocoumarins: Mechanistic and Therapeutic Aspects. Int. J. Mol. Sci. 2020, 21, 5622. [Google Scholar] [CrossRef]
- Jalil, J.; Attiq, A.; Hui, C.C.; Yao, L.J.; Zakaria, N.A. Modulation of inflammatory pathways, medicinal uses and toxicities of Uvaria species: Potential role in the prevention and treatment of inflammation. Inflammopharmacology. 2020, 28, 1195–1218. [Google Scholar] [CrossRef]
- Mobashar, A.; Shabbir, A.; Shahzad, M.; Gobe, G. Preclinical Rodent Models of Arthritis and Acute Inflammation Indicate Immunomodulatory and Anti-Inflammatory Properties of Juglans regia Extracts. Evid. Based. Complement. Alternat. Med. 2022, 2022, 1695701. [Google Scholar] [CrossRef] [PubMed]
- Zullkiflee, N.; Taha, H.; Usman, A. Propolis: Its role and efficacy in human health and diseases. Molecules 2022, 27, 6120. [Google Scholar] [CrossRef] [PubMed]
- Spencer, J.P.; Vafeiadou, K.; Williams, R.J.; Vauzour, D. Neuroinflammation: Modulation by flavonoids and mechanisms of action. Mol. Asp. Med. 2012, 33, 83–97. [Google Scholar] [CrossRef] [PubMed]
- Lee, J.H.; Park, J.H.; Cho, M.H.; Lee, J. Flavone reduces the production of virulence factors, staphyloxanthin and alpha-hemolysin, in Staphylococcus aureus. Curr. Microbiol. 2012, 65, 726–732. [Google Scholar] [CrossRef] [PubMed]
- Rashid, S.; Ali, N.; Nafees, S.; Ahmad, S.T.; Arjumand, W.; Hasan, S.K.; Sultana, S. Alleviation of doxorubicin-induced nephrotoxicity and hepatotoxicity by chrysin in Wistar rats. Toxicol. Mech. Methods. 2013, 23, 337–345. [Google Scholar] [CrossRef]
- Al-Hatamleh, M.A.I.; Hatmal, M.M.; Sattar, K.; Ahmad, S.; Mustafa, M.Z.; Bittencourt, M.C.; Mohamud, R. Antiviral and immunomodulatory effects of phytochemicals from honey against COVID-19: Potential mechanisms of action and future directions. Molecules 2020, 25, 5017. [Google Scholar] [CrossRef]
- Pick, A.; Müller, H.; Mayer, R.; Haenisch, B.; Pajeva, I.K.; Weigt, M.; Bönisch, H.; Müller, C.E.; Wiese, M. Structure-activity relationships of flavonoids as inhibitors of breast cancer resistance protein (BCRP). Bioorg. Med. Chem. 2011, 19, 2090–2102. [Google Scholar] [CrossRef]
- Jiang, Y.; Gong, F.L.; Zhao, G.B.; Li, J. Chrysin suppressed inflammatory responses and the inducible nitric oxide synthase pathway after spinal cord injury in rats. Int. J. Mol. Sci. 2014, 15, 12270–12279. [Google Scholar] [CrossRef]
- Lee, S.J.; Yoon, J.H.; Song, K.S. Chrysin inhibited stem cell factor (SCF)/c-Kit complex-induced cell proliferation in human myeloid leukemia cells. Biochem. Pharmacol. 2007, 74, 215–225. [Google Scholar] [CrossRef]
- Xia, Y.; Lian, S.; Khoi, P.N.; Yoon, H.J.; Han, J.Y.; Chay, K.O.; Kim, K.K.; Jung, Y.D. Chrysin inhibits cell invasion by inhibition of Recepteur d’origine Nantais via suppressing early growth response-1 and NF-kappaB transcription factor activities in gastric cancer cells. Int. J. Oncol. 2015, 46, 1835–1843. [Google Scholar] [CrossRef]
- Gao, A.M.; Ke, Z.P.; Shi, F.; Sun, G.C.; Chen, H. Chrysin enhances sensitivity of BEL-7402/ADM cells to doxorubicin by suppressing PI3K/Akt/Nrf2 and ERK/Nrf2 pathway. Chem. Biol. Interact. 2013, 206, 100–108. [Google Scholar] [CrossRef] [PubMed]
- Du, Q.; Gu, X.; Cai, J.; Huang, M.; Su, M. Chrysin attenuates allergic airway inflammation by modulating the transcription factors T-bet and GATA-3 in mice. Mol. Med. Rep. 2012, 6, 100–104. [Google Scholar] [PubMed]
- Shen, Y.; Tian, P.; Li, D.; Wu, Y.; Wan, C.; Yang, T.; Chen, L.; Wang, T.; Wen, F. Chrysin suppresses cigarette smoke-induced airway inflammation in mice. Int. J. Clin. Exp. Med. 2015, 8, 2001–2008. [Google Scholar] [PubMed]
- Zeinali, M.; Rezaee, S.A.; Hosseinzadeh, H. An overview on immunoregulatory and anti-inflammatory properties of chrysin and flavonoids substances. Biomed. Pharmacother. 2017, 92, 998–1009. [Google Scholar] [CrossRef] [PubMed]
- Israr, M.; Naseem, N.; Akhtar, T.; Aftab, U.; Zafar, M.S.; Faheem, M.A.; Shahzad, M. Nimbolide attenuates complete Freund’s adjuvant induced arthritis through expression regulation of toll-like receptors signaling pathway. Phytother. Res. 2023, 37, 903–912. [Google Scholar] [CrossRef]
- Liao, T.; Ding, L.; Wu, P.; Zhang, L.; Li, X.; Xu, B.; Zhang, H.; Ma, Z.; Xiao, Y.; Wang, P. Chrysin attenuates the NLRP3 inflammasome cascade to reduce synovitis and pain in KOA Rats. Drug Des. Dev. Ther. 2022, 14, 3015–3027. [Google Scholar] [CrossRef]
- Vishnu, R.; Krishnan, R. Preclinical evaluation of anti-rheumatoid effect of chrysin in Freund’s complete adjuvant induced arthritis in Wistar Albino rats. Asian J. Pharm. Pharmacol. 2018, 4, 74–78. [Google Scholar]
- Mali, S.M.; Sinnathambi, A.; Kapase, C.U.; Bodhankar, S.L.; Mahadik, K.R. Anti-arthritic activity of standardised extract of Phyllanthus amarus in Freund’s complete adjuvant induced arthritis. Biomed. Aging Pathol. 2011, 1, 185–190. [Google Scholar] [CrossRef]
- Zhu, H.; Deng, F.Y.; Mo, X.B.; Qiu, Y.H.; Lei, S.F. Pharmacogenetics and pharmacogenomics for rheumatoid arthritis responsiveness to methotrexate treatment: The 2013 update. Pharmacogenomics 2014, 15, 551–566. [Google Scholar] [CrossRef]
- Dhas, Y.; Banerjee, J.; Mishra, N. Blood viscosity, glycemic markers and blood pressure: A study in middle-aged normotensive and hypertensive type 2 diabetics. Indian J. Clin. Biochem. 2020, 35, 102–108. [Google Scholar] [CrossRef]
- Farrugia, M.; Baron, B. The role of TNF-α in rheumatoid arthritis: A focus on regulatory T cells. J. Clin. Transl. Res. 2016, 2, 84–90. [Google Scholar] [CrossRef]
- Nejatbakhsh, S.L.; Farhadi, E.; Tahmasebi, M.N.; Jamshidi, A.; Sharafat, V.A.; Mahmoudi, M. NF-κB signaling in rheumatoid arthritis with focus on fibroblast-like synoviocytes. Auto Immun. Highlights 2020, 11, 11. [Google Scholar] [CrossRef]
- Hao, F.; Wang, Q.; Liu, L.; Wu, L.B.; Cai, R.L.; Sang, J.J.; Hu, J.; Wang, J.; Yu, Q.; He, L.; et al. Effect of moxibustion on autophagy and the inflammatory response of synovial cells in rheumatoid arthritis model rat. J. Tradit. Chin. Med. 2022, 42, 73–82. [Google Scholar]
- Zhang, C.; Yu, W.; Huang, C.; Ding, Q.; Liang, C.; Wang, L.; Hou, Z.; Zhang, Z. Chrysin protects human osteoarthritis chondrocytes by inhibiting inflammatory mediator expression via HMGB1 suppression. Mol. Med. Rep. 2019, 19, 1222–1229. [Google Scholar] [CrossRef]
- Cai, X.; Zhou, H.; Wong, Y.F.; Xie, Y.; Liu, Z.Q.; Jiang, Z.H.; Bian, Z.X.; Xu, H.X.; Liu, L. Suppression of the onset and progression of collagen-induced arthritis in rats by QFGJS, a preparation from an anti-arthritic Chinese herbal formula. J. Ethnopharmacol. 2007, 110, 39–48. [Google Scholar] [CrossRef]
- Zhao, W.; Dong, Y.; Wu, C.; Ma, Y.; Jin, Y.; Ji, Y. TIGIT overexpression diminishes the function of CD4 T cells and ameliorates the severity of rheumatoid arthritis in mouse models. Exp. Cell Res. 2016, 340, 132–138. [Google Scholar] [CrossRef]
- Ruknuddin, G.; Patgiri, B.J.; Prajapati, P.K.; Ashok, B.K.; Ravishankar, B. Anti-arthritic activity of Dashanga Ghana (an Ayurvedic compound formulation) against Freund’s adjuvant induced arthritis in Charles Foster albino rats. Toxicol. Internat. 2015, 22, 141–146. [Google Scholar] [CrossRef] [PubMed]
- Niazi, S.G.; Uttra, A.M.; Qaiser, M.N.; Ahsan, H. Appraisal of anti-arthritic and nephroprotective potential of Cuscuta reflexa. Pharm. Biol. 2017, 55, 792–798. [Google Scholar]
- Karnati, M.; Chandra, R.H.; Veeresham, C.; Kishan, B. Anti-arthritic activity of root bark of Oroxylum indicum (L.) vent against adjuvant-induced arthritis. Pharmacognosy Res. 2013, 5, 121. [Google Scholar]
- Wolfe, F.; Michaud, K. Anemia and renal function in patients with rheumatoid arthritis. J. Rheumatol. 2006, 33, 1516–1522. [Google Scholar]
- Wilson, A.; Yu, H.T.; Goodnough, L.T.; Nissenson, A.R. Prevalence and outcomes of anemia in rheumatoid arthritis: A systematic review of the literature. Am. J. Med. 2004, 116, 50–57. [Google Scholar] [CrossRef] [PubMed]
- Batista-Duharte, A.; Lindblad, E.B.; Oviedo-Orta, E. Progress in understanding adjuvant immunotoxicity mechanisms. Toxicol. Lett. 2011, 203, 97–105. [Google Scholar] [CrossRef] [PubMed]
- Iwaki, D.; Mitsuzawa, H.; Murakami, S.; Sano, H.; Konishi, M.; Akino, T.; Kuroki, Y. The extracellular toll-like receptor 2 domain directly binds peptidoglycan derived from Staphylococcus aureus. J. Biol. Chem. 2002, 277, 24315–24320. [Google Scholar] [CrossRef] [PubMed]
- Kaisho, T.; Akira, S. Dendritic-cell function in Toll-like receptor-and MyD88-knockout mice. Trends Immunol. 2001, 22, 78–83. [Google Scholar] [CrossRef]
- Arjumand, S.; Shahzad, M.; Shabbir, A.; Yousaf, M.Z. Thymoquinone attenuates rheumatoid arthritis by downregulating TLR2, TLR4, TNF-α, IL-1, and NFκB expression levels. Biomed. Pharmacother. 2019, 111, 958–963. [Google Scholar] [CrossRef]
- Wang, S.; Wang, Y.; Liu, X.; Guan, L.; Yu, L.; Zhang, X. Anti-inflammatory and anti-arthritic effects of taraxasterol on adjuvant-induced arthritis in rats. J. Ethnopharmacol. 2016, 18, 742–748. [Google Scholar] [CrossRef]
- Qasim, S.; Alamgeer-Kalsoom, S.; Shahzad, M.; Bukhari, I.A.; Vohra, F.; Afzal, S. Rosuvastatin Attenuates Rheumatoid Arthritis-Associated Manifestations via Modulation of the Pro-and Anti-inflammatory Cytokine Network: A Combination of In Vitro and In Vivo Studies. ACS Omega 2021, 6, 2074–2084. [Google Scholar] [CrossRef]
- Bonaccorsi, G.; Piva, I.; Greco, P.; Cervellati, C. Oxidative stress as a possible pathogenic cofactor of post-menopausal osteoporosis: Existing evidence in support of the axis oestrogen deficiency-redox imbalance-bone loss. Indian J. Med. Res. 2018, 147, 341–351. [Google Scholar]
- Srivastava, R.K.; Dar, H.Y.; Mishra, P.K. Immunoporosis: Immunology of Osteoporosis-Role of T Cells. Front. Immunol. 2018, 9, 657. [Google Scholar] [CrossRef]
- Oršolić, N.; Jeleč, Z.; Nemrava, J.; Balta, V.; Gregorović, G.; Jeleč, D. Effect of quercetin on bone mineral status and markers of bone turnover in retinoic acid-induced osteoporosis. Polish J. Food Nutr. Sci. 2018, 68, 149–162. [Google Scholar] [CrossRef]
- Oršolić, N.; Nemrava, J.; Jeleč, Ž.; Kukolj, M.; Odeh, D.; Jakopović, B.; Jembrek, M.J.; Bagatin, T.; Fureš, R.; Bagatin, D. Antioxidative and Anti-Inflammatory Activities of Chrysin and Naringenin in a Drug-Induced Bone Loss Model in Rats. Int. J. Mol. Sci. 2022, 23, 2872. [Google Scholar] [CrossRef] [PubMed]
- Whisner, C.M.; Castillo, L.F. Prebiotics, Bone and Mineral Metabolism. Calcif. Tissue Int. 2018, 102, 443–479. [Google Scholar] [CrossRef] [PubMed]
- McCabe, L.; Britton, R.A.; Parameswaran, N. Prebiotic and Probiotic Regulation of Bone Health: Role of the Intestine and its Microbiome. Curr. Osteoporos. Rep. 2015, 13, 363–371. [Google Scholar] [CrossRef]
- Aslam, A.; Sheikh, N.; Shahzad, M.; Saeed, G.; Fatima, N.; Akhtar, T. Quercetin ameliorates thioacetamide-induced hepatic fibrosis and oxidative stress by antagonizing the Hedgehog signaling pathway. J. Cell. Biochem. 2022, 123, 1356–1365. [Google Scholar] [CrossRef]
- Ahsan, H.; Irfan, H.M.; Alamgeer; Shahzad, M.; Asim, M.H.; Akram, M.; Zafar, M.S. Anti-rheumatic activity of pseudoephedrine (a substituted phenethylamine) in complete Freund’s adjuvant-induced arthritic rats by down regulating IL-1β, IL-6 and TNF-α as well as upregulating IL-4 and IL-10. Inflammopharmacology 2021, 29, 673–682. [Google Scholar] [CrossRef] [PubMed]




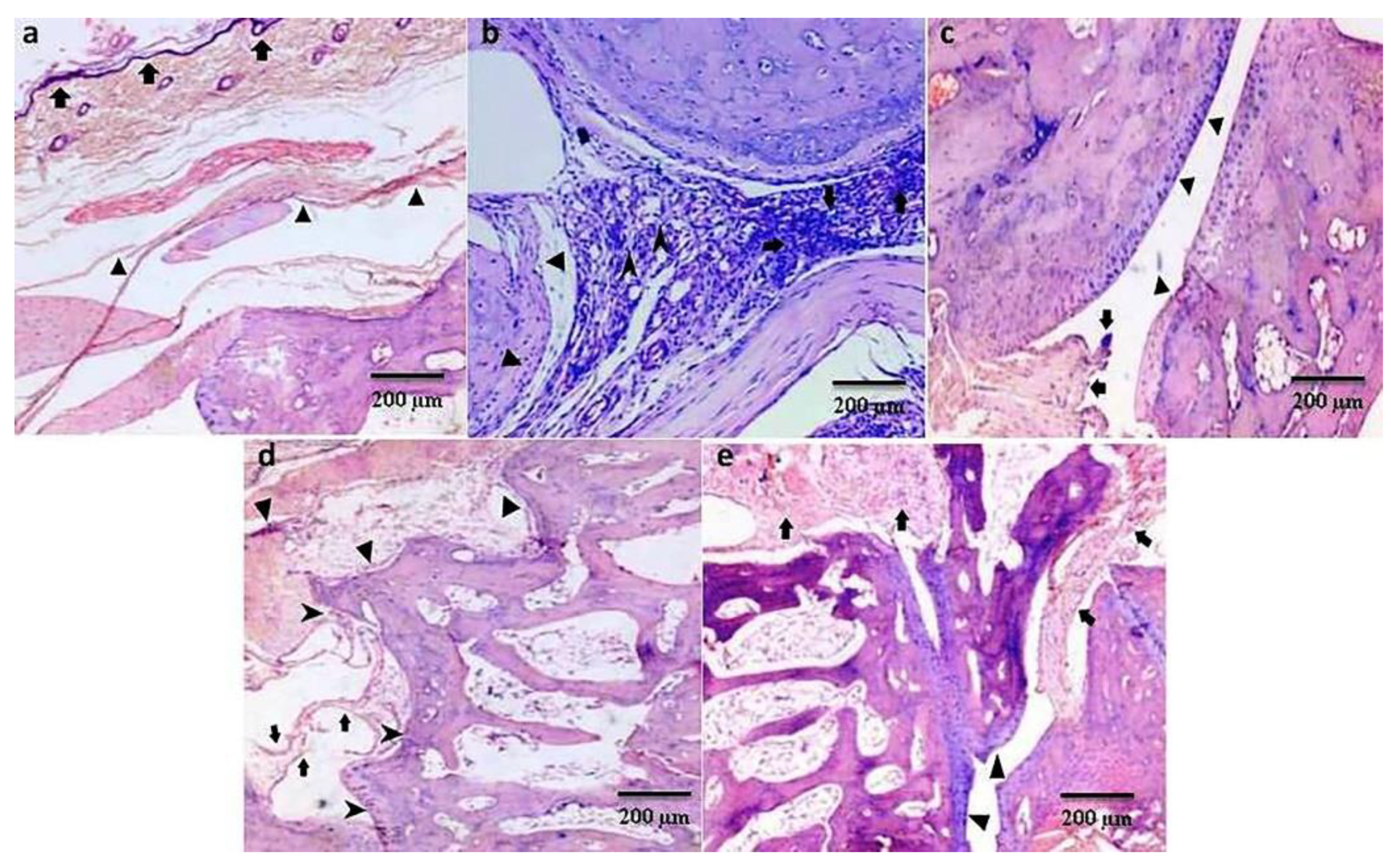
shows
stratified squamous keratinized epithelium. (b): ▲ Shows chronic
granulomatous inflammation,
Shows pannus
formation,
Shows peri-articular
inflammation. (c): ▲ Showing synovial hyperplasia,
Shows articular
cartilage with no inflammation. (d):
= mild
synovial hyperplasia, ▲ = mild peri articular inflammation,
= intact articular
cartilage. (e):
shows mild synovial
inflammation and hyperplasia, ▲ shows intact articular cartilage.
shows
stratified squamous keratinized epithelium. (b): ▲ Shows chronic
granulomatous inflammation,
Shows pannus
formation,
Shows peri-articular
inflammation. (c): ▲ Showing synovial hyperplasia,
Shows articular
cartilage with no inflammation. (d):
= mild
synovial hyperplasia, ▲ = mild peri articular inflammation,
= intact articular
cartilage. (e):
shows mild synovial
inflammation and hyperplasia, ▲ shows intact articular cartilage.

Disclaimer/Publisher’s Note: The statements, opinions and data contained in all publications are solely those of the individual author(s) and contributor(s) and not of MDPI and/or the editor(s). MDPI and/or the editor(s) disclaim responsibility for any injury to people or property resulting from any ideas, methods, instructions or products referred to in the content. |
© 2023 by the authors. Licensee MDPI, Basel, Switzerland. This article is an open access article distributed under the terms and conditions of the Creative Commons Attribution (CC BY) license (https://creativecommons.org/licenses/by/4.0/).
Share and Cite
Faheem, M.A.; Akhtar, T.; Naseem, N.; Aftab, U.; Zafar, M.S.; Hussain, S.; Shahzad, M.; Gobe, G.C. Chrysin Is Immunomodulatory and Anti-Inflammatory against Complete Freund’s Adjuvant-Induced Arthritis in a Pre-Clinical Rodent Model. Pharmaceutics 2023, 15, 1225. https://doi.org/10.3390/pharmaceutics15041225
Faheem MA, Akhtar T, Naseem N, Aftab U, Zafar MS, Hussain S, Shahzad M, Gobe GC. Chrysin Is Immunomodulatory and Anti-Inflammatory against Complete Freund’s Adjuvant-Induced Arthritis in a Pre-Clinical Rodent Model. Pharmaceutics. 2023; 15(4):1225. https://doi.org/10.3390/pharmaceutics15041225
Chicago/Turabian StyleFaheem, Muhammad Asif, Tasleem Akhtar, Nadia Naseem, Usman Aftab, Muhammad Shoaib Zafar, Safdar Hussain, Muhammad Shahzad, and Glenda Carolyn Gobe. 2023. "Chrysin Is Immunomodulatory and Anti-Inflammatory against Complete Freund’s Adjuvant-Induced Arthritis in a Pre-Clinical Rodent Model" Pharmaceutics 15, no. 4: 1225. https://doi.org/10.3390/pharmaceutics15041225
APA StyleFaheem, M. A., Akhtar, T., Naseem, N., Aftab, U., Zafar, M. S., Hussain, S., Shahzad, M., & Gobe, G. C. (2023). Chrysin Is Immunomodulatory and Anti-Inflammatory against Complete Freund’s Adjuvant-Induced Arthritis in a Pre-Clinical Rodent Model. Pharmaceutics, 15(4), 1225. https://doi.org/10.3390/pharmaceutics15041225

