Iron Content, Iron Speciation and Phycocyanin in Commercial Samples of Arthrospira spp.
Abstract
1. Introduction
2. Results and Discussion
2.1. Iron Content in Commercial Samples
2.2. Protein Fractionation and Iron Speciation
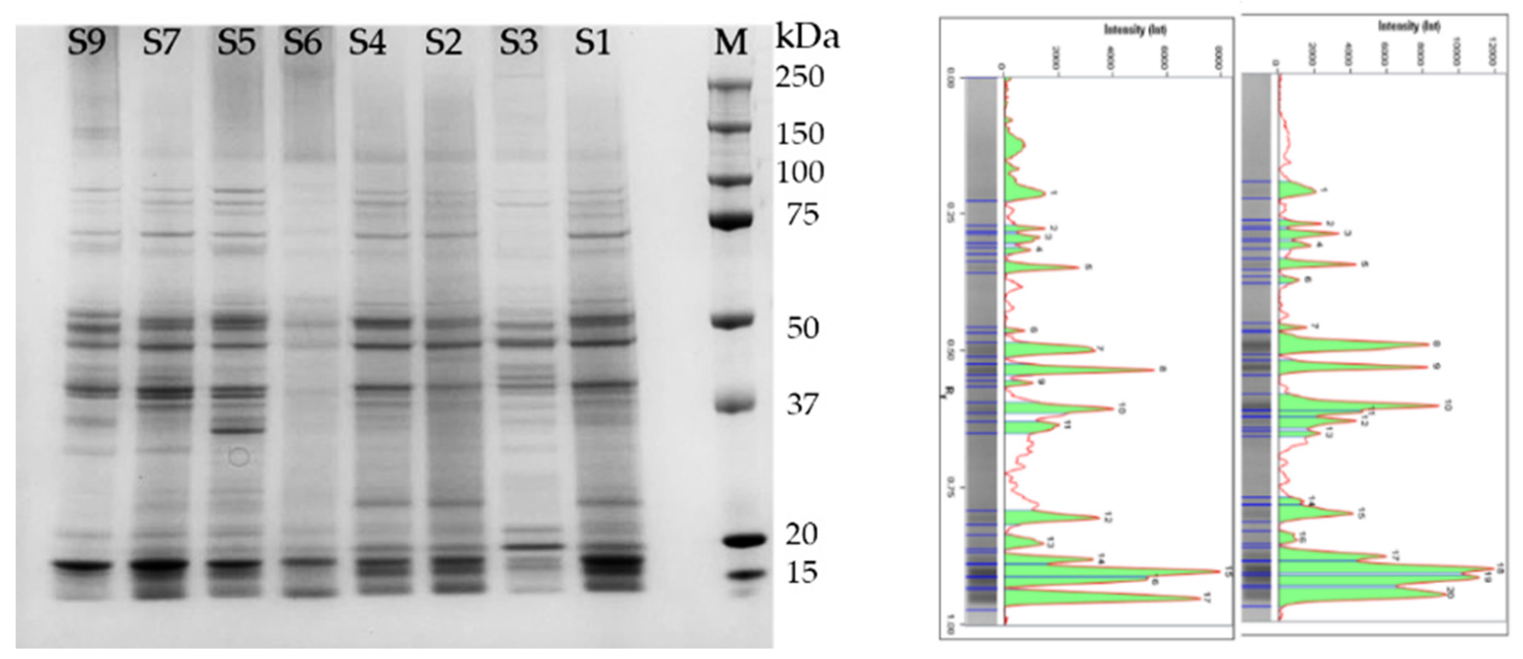
2.3. SDS-PAGE of Fractions after SEC
2.4. Essential and Non-Essential Trace Elements Content
3. Materials and Methods
3.1. Commercial Samples of Arthrospira and Sample Preparation
3.2. Iron Analysis
3.3. Iron Speciation and Size Exclusion Chromatography (SEC)
3.4. SDS-PAGE
3.5. Trace Elements Analysis
3.6. Statistical Analysis
4. Conclusions
Supplementary Materials
Author Contributions
Funding
Institutional Review Board Statement
Informed Consent Statement
Data Availability Statement
Conflicts of Interest
References
- Lafarga, T.; Fernández-Sevilla, J.M.; González-López, C.; Acién-Fernández, F.G. Spirulina for the food and functional food industries. Food Res. Int. 2020, 137, 109356. [Google Scholar] [CrossRef]
- Niccolai, A.; Chini Zittelli, G.; Rodolfi, L.; Biondi, N.; Tredici, M.R. Microalgae of interest as food source: Biochemical composition and digestibility. Algal Res. 2019, 42, 101617. [Google Scholar] [CrossRef]
- Andrews, N.C. Forging a field: The golden age of iron biology. Blood 2008, 112, 219–230. [Google Scholar] [CrossRef]
- Qiu, G.W.; Jiang, H.B.; Lis, H.; Li, Z.K.; Deng, B.; Shang, J.L.; Sun, C.Y.; Keren, N.; Qiu, B.S. A unique porin meditates iron-selective transport through cyanobacterial outer membranes. Environ. Microbiol. 2021, 23, 376–390. [Google Scholar] [CrossRef]
- Morel, F.M.M.; Price, N.M. The biogeochemical cycles of trace metals in the oceans. Science 2003, 300, 944–947. [Google Scholar] [CrossRef] [PubMed]
- Rivera, M. Bacterioferritin: Structure, dynamics, and protein-protein interactions at play in iron storage and mobilization. Acc. Chem. Res. 2017, 50, 331–340. [Google Scholar] [CrossRef]
- Perfiliev, Y.D.; Tambiev, A.K.; Konnychev, M.A.; Skalny, A.V.; Lobakova, E.S.; Kirpichnikov, M.P. Mössbauer spectroscopic study of transformations of iron species by the cyanobacterium Arthrospira platensis (formerly Spirulina platensis). J. Trace Elem. Med. Biol. 2018, 48, 105–110. [Google Scholar] [CrossRef] [PubMed]
- Principe, M.V.; Permigiani, I.S.; Della Vedova, M.C.; Petenatti, E.; Pacheco, P.; Gil, R.A. Bioaccessibility studies of Fe, Cu and Zn from Spirulina dietary supplements with different excipient composition and dosage form. J. Pharm. Pharmacogn. Res. 2020, 8, 422–433. [Google Scholar]
- Kejžar, J.; Jagodic Hudobivnik, M.; Nečemer, M.; Ogrinc, N.; Masten Rutar, J.; Poklar Ulrih, N. Characterization of algae dietary supplements using antioxidative potential, elemental composition, and stable isotopes approach. Front. Nutr. 2021, 7, 618503. [Google Scholar] [CrossRef]
- Isani, G.; Niccolai, A.; Andreani, G.; Dalmonte, T.; Bellei, E.; Bertocchi, M.; Tredici, M.R.; Rodolfi, L. Iron speciation and iron binding proteins in Arthrospira platensis grown in media containing different iron concentrations. Int. J. Mol. Sci. 2022, 23, 6283. [Google Scholar] [CrossRef]
- Rutar, J.M.; Hudobivnik, M.J.; Nečemer, M.; Mikuš, K.V.; Arčon, I.; Ogrinc, N. Nutritional quality and safety of the spirulina dietary supplements sold on the Slovenian market. Foods 2022, 11, 849. [Google Scholar] [CrossRef] [PubMed]
- Ermis, H.; Guven-Gulhan, U.; Cakir, T.; Altinbas, M. Effect of iron and magnesium addition on population dynamics and high value product of microalgae grown in anaerobic liquid digestate. Sci. Rep. 2020, 10, 3510. [Google Scholar] [CrossRef]
- Jin, S.-E.; Lee, S.J.; Park, C.-Y. Mass-production and biomarker-based characterization of high-value Spirulina powder for nutritional supplements. Food Chem. 2020, 325, 126751. [Google Scholar] [CrossRef] [PubMed]
- Ismaiel, M.M.S.; Piercey-Normore, M.D.; Rampitsch, C. Proteomic analyses of the cyanobacterium Arthrospira (Spirulina) platensis under iron and salinity stress. Environ. Exp. Bot. 2018, 147, 63–74. [Google Scholar] [CrossRef]
- Mounicou, S.; Szpunar, J.; Lobinski, R. Metallomics: The concept and methodology. Chem. Soc. Rev. 2009, 38, 1119–1138. [Google Scholar] [CrossRef]
- Chrapusta, E.; Kaminski, A.; Duchnik, K.; Bober, B.; Adamski, M.; Bialczyk, J. Mycosporine-like amino acids: Potential health and beauty ingredients. Mar. Drugs 2017, 15, 326. [Google Scholar] [CrossRef]
- Varnali, T.; Bozoflu, M.; Şengönül, H.; Kurt, S.I. Potential metal chelating ability of mycosporine-like amino acids: A computational research. Chem. Pap. 2022, 76, 2279–2291. [Google Scholar] [CrossRef]
- Cepoi, L.; Chiriac, T.; Rudi, L.; Djur, S.; Zosim, L.; Bulimaga, V.; Batir, L.; Elenciuc, D.; Rudic, V. Spirulina as a raw material for products containing trace elements. In Recent Advances in Trace Elements; Chojnacka, K., Saeid, A., Eds.; John Wiley & Sons Ltd.: Hoboken, NJ, USA, 2018; pp. 403–420. ISBN 9781119133780. [Google Scholar]
- Puyfoulhoux, G.; Rouanet, J.M.; Besançon, P.; Baroux, B.; Baccou, J.C.; Caporiccio, B. Iron availability from iron-fortified spirulina by an in vitro digestion/Caco-2 cell culture model. J. Agric. Food Chem. 2001, 49, 1625–1629. [Google Scholar] [CrossRef]
- Bermejo, P.; Piñero, E.; Villar, Á.M. Iron-chelating ability and antioxidant properties of phycocyanin isolated from a protean extract of Spirulina platensis. Food Chem. 2008, 110, 436–445. [Google Scholar] [CrossRef]
- Hedegaard, R.V.; Rokkjær, I.; Sloth, J.J. Total and inorganic arsenic in dietary supplements based on herbs, other botanicals and algae-a possible contributor to inorganic arsenic exposure. Anal. Bioanal. Chem. 2013, 405, 4429–4435. [Google Scholar] [CrossRef]
- Rzymski, P.; Budzulak, J.; Niedzielski, P.; Klimaszyk, P.; Proch, J.; Kozak, L.; Poniedziałek, B. Essential and toxic elements in commercial microalgal food supplements. J. Appl. Phycol. 2019, 31, 3567–3579. [Google Scholar] [CrossRef]
- Sandgruber, F.; Gielsdorf, A.; Baur, A.C.; Schenz, B.; Müller, S.M.; Schwerdtle, T.; Stangl, G.I.; Griehl, C.; Lorkowski, S.; Dawczynski, C. Variability in macro-and micronutrients of 15 commercially available microalgae powders. Mar. Drugs 2021, 19, 310. [Google Scholar] [CrossRef] [PubMed]
- Ghanbarzadeh, M.; Moazami, N.; Shahavi, M.H.; Mirdamadi, S. Study of bioactive compounds in Arthrospira platensis MGH-1 fortified with micronutrients of iron, zinc, and manganese. J. Appl. Phycol. 2022, 34, 2449–2462. [Google Scholar] [CrossRef]
- Rayman, M.P. Selenium and human health. Lancet 2012, 379, 1256–1268. [Google Scholar] [CrossRef]
- Lee, S.J.; Kim, S.B.; Kim, J.E.; Kwon, G.S.; Yoon, B.D.; Oh, H.M. Effects of harvesting method and growth stage on the flocculation of the green alga Botryococcus braunii. Lett. Appl. Microbiol. 1998, 27, 14–18. [Google Scholar] [CrossRef]
- Papazi, A.; Makridis, P.; Divanach, P. Harvesting Chlorella minutissima using cell coagulants. J. Appl. Phycol. 2010, 22, 349–355. [Google Scholar] [CrossRef]
- EU Commission. COMMISSION REGULATION (EC) No 629/2008 of 2 July 2008 amending Regulation (EC) No 1881/2006 setting maximum levels for certain contaminants in foodstuff. Off. J. Eur. Union 2008, 173, 6–9. [Google Scholar]
- Desideri, D.; Cantaluppi, C.; Ceccotto, F.; Meli, M.A.; Roselli, C.; Feduzi, L. Essential and toxic elements in seaweeds for human consumption. J. Toxicol. Environ. Health Part A 2016, 79, 112–122. [Google Scholar] [CrossRef]
- Orlando, P.; Silvestri, S.; Ferlizza, E.; Andreani, G.; Carpenè, E.; Falcioni, G.; Tiano, L.; Isani, G. Biochemical responses to cadmium exposure in Oncorhynchus mykiss erythrocytes. Ecotoxicol. Environ. Saf. 2017, 145, 476–482. [Google Scholar] [CrossRef]
- Bennett, A.; Bogobad, L. Complementary chromatic adaptation in a filamentous blue-green alga. J. Cell Biol. 1973, 58, 419–435. [Google Scholar] [CrossRef]
- Andreani, G.; Cannavacciuolo, A.; Menotta, S.; Spallucci, V.; Fedrizzi, G.; Carpenè, E.; Isani, G. Environmental exposure to non-essential trace elements in two bat species from urbanised (Tadarida teniotis) and open land (Miniopterus schreibersii) areas in Italy. Environ. Pollut. 2019, 254, 113034. [Google Scholar] [CrossRef] [PubMed]





| [Fe] | Fe | Fe | |
|---|---|---|---|
| (µg g−1 dw) | % pellet | % sf | |
| S1 | 467 ± 15 | 70 | 30 |
| S2 | 782 ± 27 | 84 | 16 |
| S3 | 440 ± 30 | 84 | 16 |
| S4 | 540 ± 22 | 83 | 17 |
| S5 | 353 ± 18 | 86 | 14 |
| S6 | 474 ± 2 | 86 | 14 |
| S7 | 1459 ± 17 | 93 | 7 |
| S8 | 538 ± 19 | 82 | 18 |
| S9 | 387 ± 20 | 78 | 22 |
| S10 | 461 ± 16 | 82 | 18 |
| Sample | Fe | Zn | Cu | Mn | Ni | Cr | Mo | Co | Se | Al | Pb | As | Cd | Hg |
|---|---|---|---|---|---|---|---|---|---|---|---|---|---|---|
| S3 (IT) | 432 | 65.3 | 10.3 | 10.1 | 8.17 | 0.99 | 0.09 | 0.06 | 0.04 | 3.83 | 0.13 | 0.12 | 0.01 | 0.01 |
| S5 (IT) | 367 | 28.9 | 7.23 | 7.19 | 6.06 | 0.24 | 0.09 | 0.06 | nd | 1.46 | 0.04 | 0.01 | 0.01 | nd |
| S6 (IT) | 448 | 34.3 | 9.92 | 7.27 | 2.52 | 0.94 | 0.09 | 0.07 | 0.02 | 8.94 | 0.17 | 0.08 | 0.02 | nd |
| mean | 416 | 42.8 | 9.16 | 8.22 | 5.58 | 0.72 | 0.09 | 0.06 | 0.03 | 4.74 | 0.11 | 0.07 | 0.02 | - |
| SD | 43.1 | 19.7 | 1.68 | 1.70 | 2.86 | 0.42 | 0.00 | 0.01 | 0.01 | 3.82 | 0.07 | 0.06 | 0.00 | - |
| S1 (CN) | 517 | 16.8 | 0.65 | 21.7 | 0.61 | 0.21 | 0.10 | 0.20 | 0.10 | 21.2 | 0.13 | 0.46 | 0.01 | nd |
| S4 (CN) | 576 | 10.5 | 2.13 | 34.7 | 5.83 | 0.41 | 0.11 | 0.45 | 0.14 | 176 | 0.47 | 1.46 | 0.11 | 0.02 |
| S7 (CN) | 1518 | 11.4 | 1.89 | 36.8 | 0.68 | 1.36 | 0.14 | 0.38 | 0.71 | 117 | 0.55 | 0.36 | 0.02 | 0.01 |
| mean | 870 | 12.9 | 1.56 | 31.1 | 2.37 | 0.66 | 0.11 | 0.34 | 0.32 | 105 | 0.38 | 0.76 | 0.05 | 0.01 |
| SD | 561 | 3.41 | 0.79 | 8.20 | 2.99 | 0.61 | 0.02 | 0.13 | 0.34 | 77.9 | 0.22 | 0.61 | 0.06 | 0.01 |
| p-value | 0.234 | 0.060 | 0.002 | 0.009 | 0.250 | 0.892 | 0.133 | 0.020 | 0.336 | 0.091 | 0.115 | 0.122 | 0.384 | - |
| Sample | Species | Origin | Form | |
|---|---|---|---|---|
| S1 | Arthrospira maxima | China | powder | Non-organic |
| S2 | Arthrospira maxima | Italy | tablet | Non-organic |
| S3 | Arthrospira platensis | Italy | powder | Non-organic |
| S4 | Arthrospira maxima | China | powder | Non-organic |
| S5 | Arthrospira platensis | Italy | pellet | Non-organic |
| S6 | Arthrospira platensis | Italy | powder | Non-organic |
| S7 | Arthrospira platensis | China | powder | Organic |
| S8 | Arthrospira platensis | Italy | powder | Organic |
| S9 | Arthrospira platensis | Italy | powder | Non-organic |
| S10 | Arthrospira platensis | India | capsule | Organic |
Publisher’s Note: MDPI stays neutral with regard to jurisdictional claims in published maps and institutional affiliations. |
© 2022 by the authors. Licensee MDPI, Basel, Switzerland. This article is an open access article distributed under the terms and conditions of the Creative Commons Attribution (CC BY) license (https://creativecommons.org/licenses/by/4.0/).
Share and Cite
Isani, G.; Ferlizza, E.; Bertocchi, M.; Dalmonte, T.; Menotta, S.; Fedrizzi, G.; Andreani, G. Iron Content, Iron Speciation and Phycocyanin in Commercial Samples of Arthrospira spp. Int. J. Mol. Sci. 2022, 23, 13949. https://doi.org/10.3390/ijms232213949
Isani G, Ferlizza E, Bertocchi M, Dalmonte T, Menotta S, Fedrizzi G, Andreani G. Iron Content, Iron Speciation and Phycocyanin in Commercial Samples of Arthrospira spp. International Journal of Molecular Sciences. 2022; 23(22):13949. https://doi.org/10.3390/ijms232213949
Chicago/Turabian StyleIsani, Gloria, Enea Ferlizza, Martina Bertocchi, Thomas Dalmonte, Simonetta Menotta, Giorgio Fedrizzi, and Giulia Andreani. 2022. "Iron Content, Iron Speciation and Phycocyanin in Commercial Samples of Arthrospira spp." International Journal of Molecular Sciences 23, no. 22: 13949. https://doi.org/10.3390/ijms232213949
APA StyleIsani, G., Ferlizza, E., Bertocchi, M., Dalmonte, T., Menotta, S., Fedrizzi, G., & Andreani, G. (2022). Iron Content, Iron Speciation and Phycocyanin in Commercial Samples of Arthrospira spp. International Journal of Molecular Sciences, 23(22), 13949. https://doi.org/10.3390/ijms232213949

