A Revised Concept for Ocular Surface Imprinting: Easy-to-Use Device for Morphological and Biomolecular-Based Differential Diagnosis
Abstract
1. Introduction
2. Materials and Methods
2.1. Patent Device Description
2.2. Study Population: Ethical Approach and Sampling Procedures
2.3. Validation Analysis: Handling Performance, Morphological, and Biomolecular Tests
2.3.1. Handling and General Performance
2.3.2. Microscopy Analysis
2.3.3. Biomolecular Analysis: All-in-One RNA and Protein Extraction
2.4. Statistical Analysis
3. Results
3.1. Device Performance in Clinical Practice
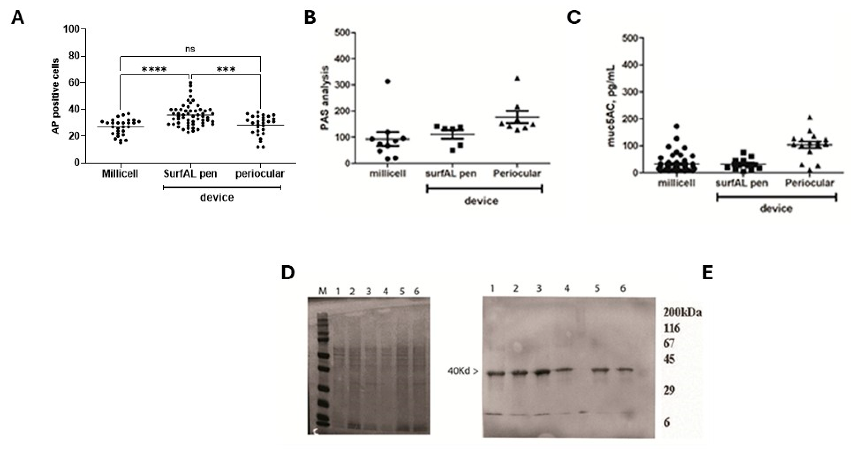
3.2. Device Performance in Laboratory Routine: Microscopy and Real-Time RT-PCR
4. Discussion
5. Conclusions
6. Patents
Author Contributions
Funding
Institutional Review Board Statement
Informed Consent Statement
Data Availability Statement
Acknowledgments
Conflicts of Interest
References
- Cutrupi, F.; De Luca, A.; Di Zazzo, A.; Micera, A.; Coassin, M.; Bonini, S. Real Life Impact of Dry Eye Disease. Semin. Ophthalmol. 2023, 38, 690–702. [Google Scholar] [CrossRef]
- Stern, M.E.; Pflugfelder, S.C. Inflammation in dry eye. Ocul. Surf. 2004, 2, 124–130. [Google Scholar] [CrossRef]
- Kanski, J.J. Systemic diseases and the eye: Signs and differential diagnoses. CV Mosby, London, 2001. pp. 241. $79.95. Am. J. Ophthalmol. 2002, 133, 592. [Google Scholar]
- Aronni, S.; Cortes, M.; Sacchetti, M.; Lambiase, A.; Micera, A.; Sgrulletta, R.; Bonini, S. Upregulation of ICAM-1 expression in the conjunctiva of patients with chronic graft-versus-host disease. Eur. J. Ophthalmol. 2006, 16, 17–23. [Google Scholar] [CrossRef]
- Pisella, P.J.; Brignole, F.; Debbasch, C.; Lozato, P.A.; Creuzot-Garcher, C.; Bara, J.; Saiag, P.; Warnet, J.M.; Baudouin, C. Flow cytometric analysis of conjunctival epithelium in ocular rosacea and keratoconjunctivitis sicca. Ophthalmology 2000, 107, 1841–1849. [Google Scholar] [CrossRef]
- Leonardi, A.; Lanier, B. Urban eye allergy syndrome: A new clinical entity? Curr. Med. Res. Opin. 2008, 24, 2295–2302. [Google Scholar] [CrossRef]
- Busanello, A.; Santucci, D.; Bonini, S.; Micera, A. Review: Environmental impact on ocular surface disorders: Possible epigenetic mechanism modulation and potential biomarkers. Ocul. Surf. 2017, 15, 680–687. [Google Scholar] [CrossRef] [PubMed]
- Antonini, M.; Gaudenzi, D.; Spelta, S.; Sborgia, G.; Poddi, M.; Micera, A.; Sgrulletta, R.; Coassin, M.; Di Zazzo, A. Ocular Surface Failure in Urban Syndrome. J. Clin. Med. 2021, 10, 3048. [Google Scholar] [CrossRef] [PubMed]
- Chlasta-Twardzik, E.; Górecka-Nitoń, A.; Nowińska, A.; Wylęgała, E. The Influence of Work Environment Factors on the Ocular Surface in a One-Year Follow-Up Prospective Clinical Study. Diagnostics 2021, 11, 392. [Google Scholar] [CrossRef]
- Leonardi, A.; Rosani, U.; Brun, P. Ocular Surface Expression of SARS-CoV-2 Receptors. Ocul. Immunol. Inflamm. 2020, 28, 735–738. [Google Scholar] [CrossRef] [PubMed]
- Ong, H.S.; Dart, J.K. Managing ocular surface disease: A common-sense approach. Community Eye Health 2016, 29, 44–46. [Google Scholar] [PubMed]
- Ayaki, M.; Negishi, K.; Kawashima, M.; Uchino, M.; Kaido, M.; Tsubota, K. Age Is a Determining Factor of Dry Eye-Related Signs and Symptoms. Diagnostics 2020, 10, 193. [Google Scholar] [CrossRef] [PubMed]
- Mohanty, A.; Mittal, R.; Khurana, A.; Chanda, S.; Priyadarshini, S.; Sahu, S.K. Migratory serpiginous corneal epitheliopathy (MSCE)- details of 4 cases. Ocul. Surf. 2020, 18, 742–747. [Google Scholar] [CrossRef]
- Larmande, A.; Timsit, E. Importance of cytodiagnosis in ophthalmology: Preliminary report of 8 cases of tumors of the sclero-corneal limbus. Bull. Soc. D’ophtalmologie Fr. 1954, 5, 415–419. [Google Scholar] [CrossRef]
- Egbert, P.R.; Lauber, S.; Maurice, D.M. A simple conjunctival biopsy. Am. J. Ophthalmol. 1977, 84, 798–801. [Google Scholar] [CrossRef]
- Rivas, L.; Murube, J.; Rivas, A.; Shalaby, O. Contribución de la citología de impresión al diagnóstico del penfigoide cicatricial ocular en sus primeras fases [The contribution of impression cytology towards the diagnosis of cicatricial ocular pemphigoid in its primary stages]. Arch. Soc. Esp. Oftalmol. 2004, 79, 67–74. [Google Scholar] [CrossRef]
- Calonge, M.; Diebold, Y.; Sáez, V.; Enríquez de Salamanca, A.; García-Vázquez, C.; Corrales, R.M.; Herreras, J.M. Impression cytology of the ocular surface: A review. Exp. Eye Res. 2004, 78, 457–472. [Google Scholar] [CrossRef]
- Di Zazzo, A.; Micera, A.; Coassin, M.; Varacalli, G.; Foulsham, W.; De Piano, M.; Bonini, S. InflammAging at Ocular Surface: Clinical and Biomolecular Analyses in Healthy Volunteers. Investig. Ophthalmol. Vis. Sci. 2019, 60, 1769–1775. [Google Scholar] [CrossRef]
- Micera, A.; Zollo, L.; Ghezzi, I.; Balzamino, B.O.; Sgrulletta, R. Device for the Sampling of the Eye Surface by Imprinting. WO2016147122A1, 22 September 2016. Available online: https://patents.google.com/patent/WO2016147122A1/en?oq=WO2016%2f147122A1 (accessed on 15 March 2018).
- Ganesalingam, K.; Ismail, S.; Craig, J.P.; Sherwin, T. Use of a Purpose-Built Impression Cytology Device for Gene Expression Quantification at the Ocular Surface Using Quantitative PCR and Droplet Digital PCR. Cornea 2019, 38, 127–133. [Google Scholar] [CrossRef] [PubMed]
- Simon, M.W.; Miller, D.; Pflugfelder, S.C.; Murchison, J.F.; Huang, A.J.; Atherton, S.S. Comparison of immunocytology to tissue culture for diagnosis of presumed herpesvirus dendritic epithelial keratitis. Ophthalmology 1992, 99, 1408–1413. [Google Scholar] [CrossRef]
- Thiel, M.A.; Bossart, W.; Bernauer, W. Improved impression cytology techniques for the immunopathological diagnosis of superficial viral infections. Br. J. Ophthalmol. 1997, 81, 984–988. [Google Scholar] [CrossRef]
- Bonini, S.; Micera, A.; Iovieno, A.; Lambiase, A.; Bonini, S. Expression of Toll-like receptors in healthy and allergic conjunctiva. Ophthalmology 2005, 112, 1528–1549. [Google Scholar] [CrossRef] [PubMed]
- Pfaffl, M.W. A new mathematical model for relative quantification in real-time RT-PCR. Nucleic Acids Res. 2001, 29, e45. [Google Scholar] [CrossRef]
- Su, J.; Yang, L.; Sun, Z.; Zhan, X. Personalized Drug Therapy: Innovative Concept Guided with Proteoformics. Mol. Cell. Proteom. MCP 2024, 23, 100737. [Google Scholar] [CrossRef]
- Panikker, P.; Roy, S.; Ghosh, A.; Poornachandra, B.; Ghosh, A. Advancing precision medicines for ocular disorders: Diagnostic genomics to tailored therapies. Front. Med. 2022, 9, 906482. [Google Scholar] [CrossRef]
- Bron, A.J.; Tomlinson, A.; Foulks, G.N.; Pepose, J.S.; Baudouin, C.; Geerling, G.; Nichols, K.K.; Lemp, M.A. Rethinking dry eye disease: A perspective on clinical implications. Ocul. Surf. 2014, 12, S1–S31. [Google Scholar] [CrossRef]
- Roy, N.S.; Wei, Y.; Kuklinski, E.; Asbell, P.A. The Growing Need for Validated Biomarkers and Endpoints for Dry Eye Clinical Research. Investig. Ophthalmol. Vis. Sci. 2017, 58, BIO1–BIO19. [Google Scholar] [CrossRef]
- Petrillo, F.; Tortori, A.; Vallino, V.; Galdiero, M.; Fea, A.M.; De Sanctis, U.; Reibaldi, M. Understanding Acanthamoeba Keratitis: An In-Depth Review of a Sight-Threatening Eye Infection. Microorganisms 2024, 12, 758. [Google Scholar] [CrossRef]
- Lee, W.A.; Chen, C.C. Adult inclusion conjunctivitis diagnosed by polymerase chain reaction and Giemsa stain. IDCases 2021, 27, e01367. [Google Scholar] [CrossRef] [PubMed]
- López-Miguel, A.; Gutiérrez-Gutiérrez, S.; García-Vázquez, C.; Enríquez-de-Salamanca, A. RNA Collection from Human Conjunctival Epithelial Cells Obtained with a New Device for Impression Cytology. Cornea 2017, 36, 59–63. [Google Scholar] [CrossRef] [PubMed]
- Maskin, S.L.; Heitman, K.F.; Lawton, A.W.; Yee, R.W. Diagnostic impression cytology for external eye disease. Cornea 1989, 8, 270–273. [Google Scholar] [CrossRef] [PubMed]
- Somerville, T.F.; Herbert, R.; Neal, T.; Horsburgh, M.; Kaye, S.B. An Evaluation of a Simplified Impression Membrane Sampling Method for the Diagnosis of Microbial Keratitis. J. Clin. Med. 2021, 10, 5671. [Google Scholar] [CrossRef] [PubMed]
- Doughty, M.J. Assessment of goblet cell size and density in relation to epithelial cell (multi)layering on conjunctival impression cytology samples. Graefe’s Arch. Clin. Exp. Ophthalmol. 2020, 258, 1727–1734. [Google Scholar] [CrossRef] [PubMed]
- Chao, C.; Golebiowski, B.; Stapleton, F.; Zhou, X.; Chen, S.; Madigan, M.C. Conjunctival MUC5AC+ goblet cell index: Relationship with corneal nerves and dry eye. Graefe’s Arch. Clin. Exp. Ophthalmol. 2018, 256, 2249–2257. [Google Scholar] [CrossRef]
- Doughty, M.J. On the Variability in Goblet Cell Density in Human Bulbar Conjunctival Samples Collected by Impression Cytology with Millicell-CM Biopore Membrane Units. Curr. Eye Res. 2016, 41, 1393–1399. [Google Scholar] [CrossRef]
- Pilson, Q.; Jefferies, C.A.; Gabhann, J.N.; Murphy, C.C. Isolation of microRNA from conjunctival impression cytology. Exp. Eye Res. 2015, 132, 109–114. [Google Scholar] [CrossRef]
- Inomata, T.; Hua, J.; Di Zazzo, A.; Dana, R. Impaired Function of Peripherally Induced Regulatory T Cells in Hosts at High Risk of Graft Rejection. Sci. Rep. 2016, 6, 39924. [Google Scholar] [CrossRef]
- Ozturker, Z.K. Conjunctivitis as sole symptom of COVID-19: A case report and review of literature. Eur. J. Ophthalmol. 2021, 31, NP161–NP166. [Google Scholar] [CrossRef]









| A: Western and Immunofluorescence | ||||
| Target: protein | dilution | Host | Specificity | Source |
| Ck12 | 1:100 | mouse | Corneal/limbal marker | Dako |
| Ck19 | 1:100 | mouse | Conjunctival marker | Dako |
| Muc5AC | 1:200 | mouse | Goblet Cell Mucin | Santa Cruz |
| AP | 1:1000 | rabbit | Ocular surface indicator | Abcam |
| Actin | 1:1000 | mouse | Cytoskeleton marker | Abcam |
| B: molecular analysis | ||||
| Target: transcript | Accession | Sequence (left primer) | Tm/amplicon | |
| Hu Muc5AC | AF015521 | tcc acc ata tac cgc cac aga | 59 °C/103 bps | |
| Hu IL6 | BC015511 | gac agc cac tca cct ctt ca | 60 °C/125 bps | |
| Hu ICAM-1 | J03132 | atg agt gcc cag gga ata tg | 59 °C/107 bps | |
| Hu HLADR | V01511 | ctg gcc aca ctg agg tgc at | 60 °C/120 bps | |
| Hu p65-NFkB | L19067.1 | cag aag cag gct gga ggt aa | 60 °C/117 bps | |
| Hu GAPDH | BC013310 | gaa ggg gtc att gat ggc aac | 60 °C/111 bps | |
Disclaimer/Publisher’s Note: The statements, opinions and data contained in all publications are solely those of the individual author(s) and contributor(s) and not of MDPI and/or the editor(s). MDPI and/or the editor(s) disclaim responsibility for any injury to people or property resulting from any ideas, methods, instructions or products referred to in the content. |
© 2025 by the authors. Licensee MDPI, Basel, Switzerland. This article is an open access article distributed under the terms and conditions of the Creative Commons Attribution (CC BY) license (https://creativecommons.org/licenses/by/4.0/).
Share and Cite
Balzamino, B.O.; Ghezzi, I.; Sgrulletta, R.; Colabelli Gisoldi, R.A.M.; Pocobelli, A.; Di Zazzo, A.; Zollo, L.; Micera, A. A Revised Concept for Ocular Surface Imprinting: Easy-to-Use Device for Morphological and Biomolecular-Based Differential Diagnosis. Diagnostics 2025, 15, 2660. https://doi.org/10.3390/diagnostics15202660
Balzamino BO, Ghezzi I, Sgrulletta R, Colabelli Gisoldi RAM, Pocobelli A, Di Zazzo A, Zollo L, Micera A. A Revised Concept for Ocular Surface Imprinting: Easy-to-Use Device for Morphological and Biomolecular-Based Differential Diagnosis. Diagnostics. 2025; 15(20):2660. https://doi.org/10.3390/diagnostics15202660
Chicago/Turabian StyleBalzamino, Bijorn Omar, Ilaria Ghezzi, Roberto Sgrulletta, Rossella Anna Maria Colabelli Gisoldi, Augusto Pocobelli, Antonio Di Zazzo, Loredana Zollo, and Alessandra Micera. 2025. "A Revised Concept for Ocular Surface Imprinting: Easy-to-Use Device for Morphological and Biomolecular-Based Differential Diagnosis" Diagnostics 15, no. 20: 2660. https://doi.org/10.3390/diagnostics15202660
APA StyleBalzamino, B. O., Ghezzi, I., Sgrulletta, R., Colabelli Gisoldi, R. A. M., Pocobelli, A., Di Zazzo, A., Zollo, L., & Micera, A. (2025). A Revised Concept for Ocular Surface Imprinting: Easy-to-Use Device for Morphological and Biomolecular-Based Differential Diagnosis. Diagnostics, 15(20), 2660. https://doi.org/10.3390/diagnostics15202660

