Fast Focus Ultrasound Liver Technique for the Assessment of Cystic Echinococcosis in Sheep
Abstract
Simple Summary
Abstract
1. Introduction
2. Materials and Methods
2.1. Animal Selection
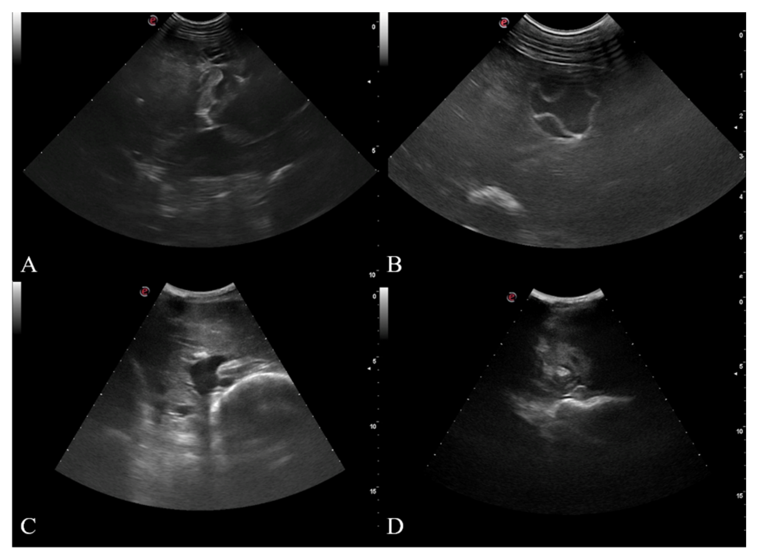
2.2. Ultrasound Examination and Fast Scanning Technique
- CL: unilocular anechoic cystic lesion with uniform anechoic content. The cyst wall is not visible.
- CE1: uniformly anechoic cyst with uniform anechoic content or fine internal echoes.
- CE2: cyst with internal septation, sometimes with a honeycomb appearance
- CE3: unilocular cyst that can show the presence of a daughter cyst.
- CE4: hypoechoic and hyperechoic matrix, the appearance resembles a ball of wool.
- CE5: cyst with partially or completely calcified wall.
2.3. Post-Mortem Examination
2.4. Statistical Analysis
3. Results
4. Discussion
5. Conclusions
Author Contributions
Funding
Institutional Review Board Statement
Informed Consent Statement
Data Availability Statement
Acknowledgments
Conflicts of Interest
References
- Craig, P.S.; McManus, D.P.; Lightowlers, M.W.; Chabalgoity, J.A.; Garcia, H.H.; Gavidia, C.M.; Gilman, R.H.; Gonzalez, A.E.; Lorca, M.; Naquira, C.; et al. Prevention and control of cystic echinococcosis. Lancet Infect. Dis. 2007, 7, 385–394. [Google Scholar] [CrossRef]
- Deplazes, P.; Rinaldi, L.; Alvarez Rojas, C.A.; Torgerson, P.R.; Harandi, M.F.; Romig, T.; Antolova, D.; Schurer, J.M.; Lahmar, S.; Cringoli, G.; et al. Global Distribution of Alveolar and Cystic Echinococcosis. Adv. Parasitol. 2017, 95, 315–493. [Google Scholar]
- Budke, C.M.; Deplazes, P.; Torgerson, P.R. Global Socioeconomic Impact of Cystic Echinococcosis. Emerg. Infect. Dis. 2006, 12, 296–303. [Google Scholar] [CrossRef]
- Torgerson, P.R.; Macpherson, C.N.L. The socioeconomic burden of parasitic zoonoses: Global trends. Vet. Parasitol. 2011, 182, 79–95. [Google Scholar] [CrossRef]
- Battelli, G. Echinococcosis: Costs, losses and social consequences of a neglected zoonosis. Vet. Res. Commun. 2009, 33, 47–52. [Google Scholar] [CrossRef] [PubMed]
- Cringoli, G.; Rinaldi, L.; Musella, V.; Veneziano, V.; Maurelli, M.P.; Di Pietro, F.; Frisiello, M.; Di Pietro, S. Geo-referencing livestock farms as tool for studying cystic echinococcosis epidemiology in cattle and water buffaloes from southern Italy. Geospat. Health 2007, 2, 105–111. [Google Scholar] [CrossRef]
- Naidich, A.; McManus, D.P.; Canova, S.G.; Gutierrez, A.M.; Zhang, W.; Guarnera, E.A.; Rosenzvit, M. Patent and pre-patent detection of Echinococcus granulosus genotypes in the definitive host. Mol. Cell. Probes 2006, 20, 5–10. [Google Scholar] [CrossRef] [PubMed]
- Sage, A.M.; Wachira, T.M.; Zeyhle, E.E.; Weber, E.P.; Njoroge, E.; Smith, G. Evaluation of diagnostic ultrasound as a mass screening technique for the detection of hydatid cysts in the liver and lung of sheep and goats. Int. J. Parasitol. 1998, 28, 349–352. [Google Scholar] [CrossRef]
- Eckert, J.; Gemmell, M.A.; Meslin, F.-X.; Pawlowski, Z.S.; World Health Organization. WHO/OIE Manual on Echinococcosis in Humans and Animals: A Public Health Problem of Global Concern; World Health Organization and the World Organisation for Animal Health (OIE—Office International des Epizooties): Paris, France, 2001; pp. 31–34. [Google Scholar]
- Zhuo, X.; Yu, Y.; Chen, X.; Zhang, Z.; Yang, Y.; Du, A. Development of a colloidal gold immunochromatographic strip based on HSP70 for the rapid detection of Echinococcus granulosus in sheep. Vet. Parasitol. 2017, 240, 34–38. [Google Scholar]
- Wyn-Jones, G.; Clarkson, M.J. Radiologic detection of ovine hydatidosis. Vet. Radiol. 1984, 25, 182–186. [Google Scholar]
- Maxson, A.D.; Wachira, T.M.; Zeyhle, E.E.; Fine, A.; Mwangi, T.W.; Smith, G. The use of ultrasound to study the prevalence of hydatid cysts in the right lung and liver of sheep and goats in Turkana, Kenya. Int. J. Parasitol. 1996, 26, 1335–1338. [Google Scholar] [CrossRef]
- Dore, F.; Varcasia, A.; Pipia, A.P.; Sanna, G.; Pinna Parpaglia, M.L.; Corda, A.; Romig, T.; Scala, A. Ultrasound as a monitoring tool for cystic echinococcosis in sheep. Vet. Parasitol. 2014, 203, 59–64. [Google Scholar] [CrossRef]
- Hussein, A.; Elrashidy, M. Ultrasonographic features of the liver with cystic echinococcosis in sheep. Vet. Rec. Open 2014, 1, e000004. [Google Scholar] [CrossRef]
- Lahmar, S.; Ben Chéhida, F.; Pétavy, A.F.; Hammou, A.; Lahmar, J.; Ghannay, A.; Gharbi, H.A.; Sarciron, M.E. Ultrasonographic screening for cystic echinococcosis in sheep in Tunisia. Vet. Parasitol. 2007, 143, 42–49. [Google Scholar] [CrossRef]
- Gharbi, H.A.; Hassine, W.; Brauner, M.W.; Dupuch, K. Ultrasound examination of the hydatic liver. Radiology 1981, 139, 459–463. [Google Scholar] [CrossRef]
- Borriello, G.; Di Loria, A.; Rinaldi, L.; Bosco, A.; Guccione, J.; D’Andrea, L.; Cringoli, G.; Ciaramella, P. Focused ultrasonography assessment of hepatic hydatyd cyst in sheep. In Proceedings of the 73 Società Italiana delle Scienze Veterinarie (SISVET) Congress, Olbia, Italy, 19–22 June 2019. [Google Scholar]
- Guarnera, E.A.; Zanzottera, E.M.; Pereyra, H.; Franco, A.J. Ultrasonographic diagnosis of ovine cystic echinococcosis. Vet. Radiol. Ultrasound 2001, 42, 352–354. [Google Scholar] [CrossRef]
- Larrieu, E.; Mujica, G.; Araya, D.; Labanchi, J.L.; Arezo, M.; Herrero, E.; Santillán, G.; Vizcaychipi, K.; Uchiumi, L.; Salvitti, J.C.; et al. Pilot field trial of the EG95 vaccine against ovine cystic echinococcosis in Rio Negro, Argentina: 8 years of work. Acta Trop. 2019, 191, 1–7. [Google Scholar] [CrossRef]
- Brunetti, E.; Kern, P.; Vuitton, D.A. Expert consensus for the diagnosis and treatment of cystic and alveolar echinococcosis in humans. Acta Trop. 2010, 114, 1–6. [Google Scholar] [CrossRef] [PubMed]
- Njoroge, E. Evaluation of Ultrasonographic Diagnosis, Treatment Methods and Epidemiology of Cystic Echinococcosis in Sheep and Goats. Ph.D. Thesis, University of Nairobi, Nairobi, Kenya, 2001. [Google Scholar]
- Cringoli, G.; Pepe, P.; Bosco, A.; Maurelli, M.P.; Baldi, L.; Ciaramella, P.; Musella, V.; Buonanno, M.L.; Capuano, F.; Corrado, F.; et al. An integrated approach to control Cystic Echinococcosis in southern Italy. Vet. Parasitol. 2021, 290, 109347. [Google Scholar] [CrossRef] [PubMed]
- Pugh, D.G.; Baird, A.N. Sheep and Goat Medicine; Elsevier Saunders: Maryland Height, MO, USA, 2012; pp. 2–3. [Google Scholar]
- EMA. VICH GL9: Guideline on Good Clinical Practice; EMA/CVMP/VICH/463202/2009; EMA: Amsterdam, The Netherlands, 2000. [Google Scholar]
- Braun, U.; Hausammann, K. Ultrasonographic examination of the liver in sheep. Am. J. Vet. Res. 1992, 53, 198–202. [Google Scholar] [PubMed]
- Bigi, D.; Zanon, A. Atlante Delle Razze Autoctone: Bovini, Equini, Ovicaprini, Suini Allevati in Italia; Edagricole-New Business Media: Milan, Italy, 2010; pp. 272–274. [Google Scholar]
- Van Burgel, A.J.; Oldham, C.M.; Behrendt, R.; Curnow, M.; Gordon, D.J.; Thompson, A.N. The merit of condition score and fat scores as alternatives to live weight for managing the nutrition of ewes. Anim. Prod. Sci. 2011, 51, 834–841. [Google Scholar] [CrossRef]
- Scott, P.R. Abdominal ultrasonography as an adjunct to clinical examination in sheep. Small Rumin. Res. 2017, 152, 132–134. [Google Scholar] [CrossRef]




| Breed | n° Sheep (%) | Mean Weight (±SD) | G1 | G2 | G3 |
|---|---|---|---|---|---|
| Mixed | 105/172 (61%) | 68.4 ± 9.9 | 5/22 (23%) | 45/69 (65%) | 55/81 (68%) |
| Merinizzata | 24/172 (14%) | 79.2 ± 2.8 | 0/22 (0%) | 0 (0%) | 24/81 (30%) |
| Bagnolese | 21/172 (12%) | 62.0 ± 2.5 | 0/22 (0%) | 19/69 (28%) | 2/81 (2%) |
| Comisana | 10/172(6%) | 51.5 ± 7.6 | 5/22 (23%) | 5/69 (7%) | 0 (0%) |
| Sarda | 12/172 (7%) | 42.1 ± 4.0 | 12/22 (55%) | 0 (0%) | 0 (0%) |
| cUS | HYP | Z1 | Z2 | Z3 | HYP + Z1 | Z1 + Z2 | Z2 + Z3 | ||
|---|---|---|---|---|---|---|---|---|---|
| G1 + G2 + G3 | TP | 73 | 48 | 38 | 51 | 35 | 49 | 62 | 65 |
| (42%) | (28%) | (22%) | (30%) | (20%) | (28%) | (36%) | (37%) | ||
| FP | 18 | 8 | 5 | 11 | 5 | 8 | 15 | 15 | |
| (10%) | (5%) | (3%) | (6%) | (3%) | (5%) | (9%) | (9%) | ||
| TN | 74 | 84 | 87 | 81 | 87 | 84 | 77 | 77 | |
| (43%) | (49%) | (51%) | (47%) | (51%) | (49%) | (45%) | (45%) | ||
| FN | 7 | 32 | 42 | 29 | 45 | 31 | 18 | 15 | |
| (4%) | (18%) | (24%) | (17%) | (26%) | (18%) | (10%) | (9%) | ||
| TOTAL | 172 | 172 | 172 | 172 | 172 | 172 | 172 | 172 | |
| (100%) | (100%) | (100%) | (100%) | (100%) | (100%) | (100%) | (100%) | ||
| G1 | TP | 10 | 10 | 6 | 8 | 5 | 10 | 10 | 10 |
| (45%) | (45%) | (27%) | (36%) | (23%) | (45%) | (45%) | (45%) | ||
| FP | 2 | 2 | 1 | 2 | 1 | 2 | 2 | 2 | |
| (9%) | (9%) | (5%) | (9%) | (5%) | (9%) | (9%) | (9%) | ||
| TN | 9 | 9 | 10 | 9 | 10 | 9 | 9 | 9 | |
| (41%) | (41%) | (45%) | (41%) | (45%) | (41%) | (41%) | (41%) | ||
| FN | 1 | 1 | 5 | 3 | 6 | 1 | 1 | 1 | |
| (5%) | (5%) | (23%) | (14%) | (27%) | (5%) | (5%) | (5%) | ||
| TOTAL | 22 | 22 | 22 | 22 | 22 | 22 | 22 | 22 | |
| (100%) | (100%) | (100%) | (100%) | (100%) | (100%) | (100%) | (100%) | ||
| G2 | TP | 30 | 20 | 15 | 22 | 11 | 21 | 27 | 26 |
| (43%) | (29%) | (22%) | (32%) | (16%) | (31%) | (39%) | (38%) | ||
| FP | 10 | 5 | 3 | 6 | 2 | 5 | 9 | 8 | |
| (15%) | (7%) | (4%) | (9%) | (3%) | (7%) | (13%) | (11%) | ||
| TN | 26 | 31 | 33 | 30 | 34 | 31 | 27 | 28 | |
| (38%) | (45%) | (48%) | (43%) | (49%) | (45%) | (39%) | (41%) | ||
| FN | 3 | 13 | 18 | 11 | 22 | 12 | 6 | 7 | |
| (4%) | (19%) | (26%) | (16%) | (32%) | (17%) | (9%) | (10%) | ||
| TOTAL | 69 | 69 | 69 | 69 | 69 | 69 | 69 | 69 | |
| (100%) | (100%) | (100%) | (100%) | (100%) | (100%) | (100%) | (100%) | ||
| G3 | TP | 33 | 18 | 17 | 21 | 19 | 18 | 25 | 29 |
| (41%) | (22%) | (21%) | (26%) | (24%) | (22%) | (31%) | (36%) | ||
| FP | 6 | 1 | 1 | 3 | 2 | 1 | 4 | 5 | |
| (7%) | (1%) | (1%) | (4%) | (2%) | (1%) | (5%) | (6%) | ||
| TN | 39 | 44 | 44 | 42 | 43 | 44 | 41 | 40 | |
| (48%) | (55%) | (54%) | (52%) | (53%) | (55%) | (51%) | (50%) | ||
| FN | 3 | 18 | 19 | 15 | 17 | 18 | 11 | 7 | |
| (4%) | (22%) | (24%) | (18%) | (21%) | (22%) | (13%) | (8%) | ||
| TOTAL | 81 | 81 | 81 | 81 | 81 | 81 | 81 | 81 | |
| (100%) | (100%) | (100%) | (100%) | (100%) | (100%) | (100%) | (100%) |
| cUS | HYP | Z1 | Z2 | Z3 | ||||||
|---|---|---|---|---|---|---|---|---|---|---|
| Se(%) | Sp(%) | Se(%) | Sp(%) | Se(%) | Sp(%) | Se(%) | Sp(%) | Se(%) | Sp(%) | |
| (95% CI) | (95% CI) | (95% CI) | (95% CI) | (95% CI) | (95% CI) | (95% CI) | (95% CI) | (95% CI) | (95% CI) | |
| G1 | 91 (59–100) | 82 (48–98) | 91 (59–100) | 82 (48–98) | 55 (23–83) | 91 (59–100) | 73 (39–94) | 82 (48–98) | 45 (17–77) | 91 (59–100) |
| G2 | 91 (76–98) | 72 (55–86) | 61 (42–77) | 86 (71–95) | 47 (28–64) | 92 (78–98) | 67 (48–82) | 83 (67–94) | 33 (18–52) | 94 (81–98) |
| G3 | 92 (78–98) | 87 (73–95) | 50 (33–67) | 98 (88–100) | 47 (30–65) | 98 (88–100) | 58 (41–74) | 93 (82–99) | 53 (35–70) | 96 (85–98) |
| G1 + G2 + G3 | 91 (81–96) | 80 (71–88) | 60 (48–71) | 91 (84–96) | 48 (36–59) | 95 (88–98) | 64 (52–74) | 88 (80–84) | 44 (33–55) | 95 (88–98) |
| HYP + Z1 | Z1 + Z2 | Z2 + Z3 | ||||
|---|---|---|---|---|---|---|
| Se (%) | Sp (%) | Se (%) | Sp (%) | Se (%) | Sp (%) | |
| (95% CI) | (95% CI) | (95% CI) | (95% CI) | (95% CI) | (95% CI) | |
| G1 | 91 (59–100) | 82 (48–98) | 91 (59–100) | 82 (48–98) | 91 (59–100) | 82 (48–98) |
| G2 | 64 (45–80) | 86 (71–95) | 82 (65–93) | 75 (58–88) | 79 (61–91) | 81 (61–80) |
| G3 | 50 (33–67) | 98 (88–100) | 69 (52–84) | 91 (79–98) | 81 (64–92) | 89 (76–96) |
| G1 + G2 + G3 | 61 (50–72) | 91 (84–96) | 78 (67–86) | 84 (75–91) | 79 (71–89) | 84 (75–91) |
| cUS | AE | |
|---|---|---|
| CL | 0% (0/259) | 0% (0/301) |
| CE1 | 0% (0/259) | 0% (0/301) |
| CE2 | 1.2% (3/259) | 1% (3/301) |
| CE3 | 5% (13/259) | 4.6% (14/301) |
| CE4 | 1.5% (4/259) | 3% (9/301) |
| CE5 | 92.3% (239/259) | 91.4% (275/301) |
Publisher’s Note: MDPI stays neutral with regard to jurisdictional claims in published maps and institutional affiliations. |
© 2021 by the authors. Licensee MDPI, Basel, Switzerland. This article is an open access article distributed under the terms and conditions of the Creative Commons Attribution (CC BY) license (http://creativecommons.org/licenses/by/4.0/).
Share and Cite
Borriello, G.; Guccione, J.; Di Loria, A.; Bosco, A.; Pepe, P.; Prisco, F.; Cringoli, G.; Paciello, O.; Rinaldi, L.; Ciaramella, P. Fast Focus Ultrasound Liver Technique for the Assessment of Cystic Echinococcosis in Sheep. Animals 2021, 11, 452. https://doi.org/10.3390/ani11020452
Borriello G, Guccione J, Di Loria A, Bosco A, Pepe P, Prisco F, Cringoli G, Paciello O, Rinaldi L, Ciaramella P. Fast Focus Ultrasound Liver Technique for the Assessment of Cystic Echinococcosis in Sheep. Animals. 2021; 11(2):452. https://doi.org/10.3390/ani11020452
Chicago/Turabian StyleBorriello, Giuliano, Jacopo Guccione, Antonio Di Loria, Antonio Bosco, Paola Pepe, Francesco Prisco, Giuseppe Cringoli, Orlando Paciello, Laura Rinaldi, and Paolo Ciaramella. 2021. "Fast Focus Ultrasound Liver Technique for the Assessment of Cystic Echinococcosis in Sheep" Animals 11, no. 2: 452. https://doi.org/10.3390/ani11020452
APA StyleBorriello, G., Guccione, J., Di Loria, A., Bosco, A., Pepe, P., Prisco, F., Cringoli, G., Paciello, O., Rinaldi, L., & Ciaramella, P. (2021). Fast Focus Ultrasound Liver Technique for the Assessment of Cystic Echinococcosis in Sheep. Animals, 11(2), 452. https://doi.org/10.3390/ani11020452

