Low-Protein Diet Supplemented with Medium-Chain Fatty Acid Glycerides Improves the Growth Performance and Intestinal Function in Post-Weaning Piglets
Abstract
Simple Summary
Abstract
1. Introduction
2. Materials and Methods
2.1. Experimental Animal and Sample Collection
2.2. Serum Biochemical Indexes Assays
2.3. Detection of Intestinal Morphology and Structure
2.4. Determination of Cytokines in the Serum and Intestine
2.5. Immunohistochemical Analysis
2.6. Statistical Analyses
3. Results
3.1. Growth Performance
3.2. Intestinal Permeability
3.3. Intestinal Morphology
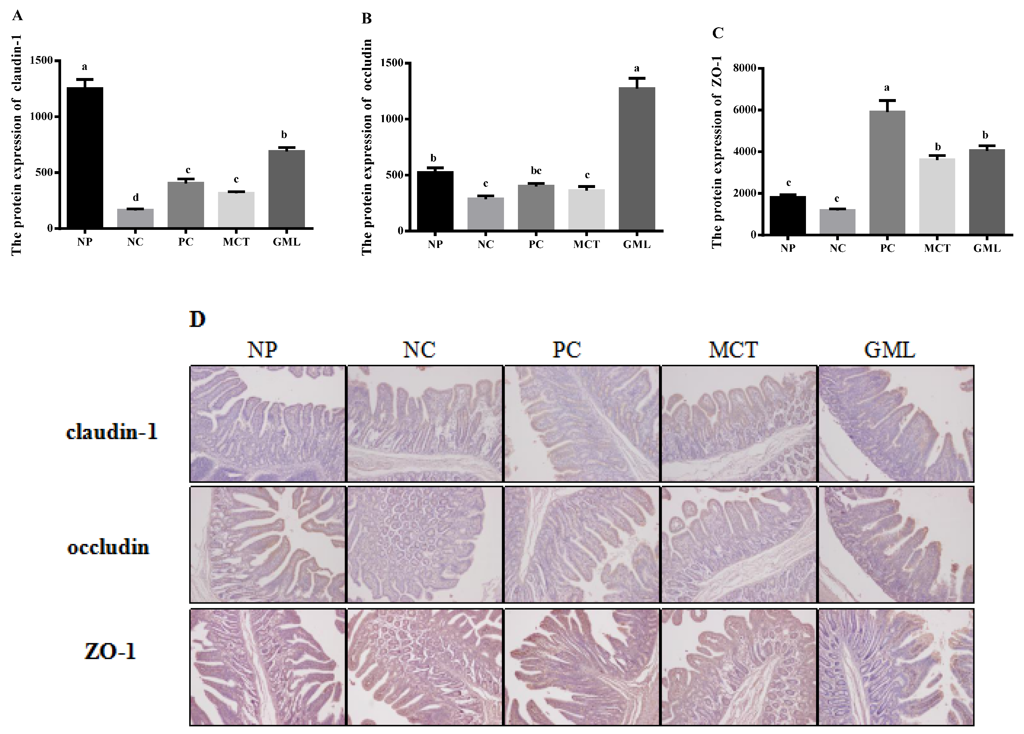
3.4. The Expressions of Tight Junction Proteins in the Small Intestine of Piglets
3.5. The Concentrations of Cytokines in the Small Intestinal Mucosa and Serum
4. Discussion
5. Conclusions
Author Contributions
Funding
Acknowledgments
Conflicts of Interest
Abbreviations
| ADFI | Average Daily Feed Intake; |
| ADG | Average Daily Gain; |
| F/G | Feed/Gain ratio; |
| EDTA | Ethylenediaminetetraacetic Acid; |
| PBS | Phosphate Buffer Saline; |
| BSA | Bovine Serum Albumin; |
| SEM | Standard Error of Mean; |
| MCFA | Medium-Chain Fatty Acids; |
| LCFA | Long-Chain Fatty Acids; |
| TG | Triglyceride; |
| D-LACT | D-Lactic Acid; |
| DAO | Diamine Oxidase; |
| ZO-1 | Zonula Occludens-1; |
| SIgA | Secretory Immunoglobulin A; |
| IL-1β | Interleukin-1 beta; |
| IL | Interleukin; |
| TNF-α | Tumor Necrosis Factor alpha; |
| IFN-γ | Interferon gamma; |
| ELISA | Enzyme-Linked Immunosorbent Assay; |
| LPS | Lipopolysaccharide. |
References
- Van Der Schoor, S.R.; Reeds, P.J.; Stoll, B.; Henry, J.F.; Rosenberger, J.R.; Burrin, D.G.; Van Goudoever, J.B. The high metabolic cost of a functional gut. Gastroenterology 2002, 123, 1931–1940. [Google Scholar] [CrossRef] [PubMed]
- Hanczakowska, E. The Use of Medium Chain Fatty Acids in Piglet Feeding—A Review. J. Ann. Anim. Sci. 2017, 17. [Google Scholar] [CrossRef]
- Williams, I.H.; Pluske, J.R.; Dividich, J.L.; Verstegen, M.W.A. Growth of the Weaned Pig; Wageningen Academic Publishers: Wageningen, The Netherlands, 2003. [Google Scholar]
- Pluske, J.R.; Williams, I.H.; Aherne, F.X. Maintenance of villous height and crypt depth in piglets by providing continuous nutrition after weaning. Anim. Sci. 1996, 62, 131–144. [Google Scholar] [CrossRef]
- Van Beers-Schreurs, H.M.G.; Nabuurs, M.J.A.; Vellenga, L.; Van Der Valk, H.J.K.; Wensing, T.; Breukink, H.J. Weaning and the weanling diet influence the villous height and crypt depth in the small intestine of pigs and alter the concentrations of short-chain fatty acids in the large intestine and blood. J. Nutr. 1998, 128, 947. [Google Scholar] [CrossRef] [PubMed]
- Xiong, X.; Yang, H.; Tan, B.; Yang, C.; Wu, M.; Liu, G.; Kim, S.W.; Li, T.; Li, L.; Wang, J.; et al. Differential expression of proteins involved in energy production along the crypt-villus axis in early-weaning pig small intestine. Am. J. Physiol. Gastrointest. Liver Physiol. 2015, 309, G229–G237. [Google Scholar] [CrossRef]
- Qi, M.; Wang, J.; Tan, B.; Liao, S.; Long, C.; Yin, Y. Postnatal Growth Retardation Is Associated with Intestinal Mucosa Mitochondrial Dysfunction and Aberrant Energy Status in Piglets. J. Cell. Mol. Med. 2020. [Google Scholar] [CrossRef]
- Heo, K.N.; Lin, X.; Han, I.K.; Odle, J. Medium-Chain Fatty Acids but Not L-Carnitine Accelerate the Kinetics of [14C]Triacylglycerol Utilization by Colostrum-Deprived Newborn Pigs. J. Nutr. 2002, 132, 1989–1994. [Google Scholar] [CrossRef]
- Odle, J. New insights into the utilization of medium-chain triglycerides by the neonate: Observations from a piglet model. J. Nutr. 1997, 127, 1061–1067. [Google Scholar] [CrossRef]
- Dierick, N.A.; Decuypere, J.A.; Degeyter, I. The Combined Use of Whole Cuphea Seeds Containing Medium Chain Fatty Acids and an Exogenous Lipase in Piglet Nutrition. Arch. Fr. Tierernaehr. Degeyter Nutr. 2003, 57, 49–63. [Google Scholar]
- Dierick, N.; Decuypere, J.; Molly, K.; Van Beek, E.; Vanderbeke, E. The combined use of triacylglycerols (TAGs) containing medium chain fatty acids (MCFAs) and exogenous lipolytic enzymes as an alternative to nutritional antibiotics in piglet nutrition. Livest. Prod. Sci. 2002, 76, 1–2. [Google Scholar] [CrossRef]
- Kim, J.C.; Hansen, C.F.; Mullan, B.P.; Pluske, J.R. Nutrition and pathology of weaner pigs: Nutritional strategies to support barrier function in the gastrointestinal tract. Anim. Feed. Pluske Technol. 2001, 83, 3–16. [Google Scholar] [CrossRef]
- Messens, W.; Goris, J.; Dierick, N.; Herman, L.; Heyndrickx, M. Inhibition of Salmonella typhimurium by medium-chain fatty acids in an in vitro simulation of the porcine cecum. Vet. Microbiol. 2010, 141, 73–80. [Google Scholar] [CrossRef] [PubMed]
- Acciaioli, A.; Sirtori, F.; Pianaccioli, L.; Campodoni, G.; Pugliese, C.; Bozzi, R.; Franci, O. Comparison of total tract digestibility and nitrogen balance between Cinta Senese and Large White pigs fed on different levels of dietary crude protein. Anim. Feed. Sci. Technol. 2011, 169, 139. [Google Scholar] [CrossRef]
- Gallo, L.; Montà, G.D.; Carraro, L.; Cecchinato, A.; Carnier, P.; Schiavon, S. Growth performance of heavy pigs fed restrictively diets with decreasing crude protein and indispensable amino acids content. Livest. Sci. 2014, 161, 130–138. [Google Scholar] [CrossRef]
- Yin, L.; Li, J.; Wang, H.; Yi, Z.; Wang, L.; Zhang, S.; Li, X.; Wang, Q.; Li, J.; Yang, H.; et al. Effects of vitamin B6 on the growth performance, intestinal morphology, and gene expression in weaned piglets that are fed a low-protein diet1. J. Anim. Sci. 2020, 98, 2. [Google Scholar] [CrossRef]
- Luo, Z.; Li, C.; Cheng, Y.; Hang, S.; Zhu, W. Effects of low dietary protein on the metabolites and microbial communities in the caecal digesta of piglets. Arch. Anim. Nutr. 2015, 69, 212–226. [Google Scholar] [CrossRef] [PubMed]
- Heo, J.M.; Kim, J.C.; Hansen, C.F.; Mullan, B.P.; Hampson, D.J.; Pluske, J.R. Effects of feeding low protein diets to piglets on plasma urea nitrogen, faecal ammonia nitrogen, the incidence of diarrhoea and performance after weaning. Arch. Anim. Nutr. 2008, 62, 343–358. [Google Scholar] [CrossRef] [PubMed]
- Bellego, L.L.; Noblet, J. Performance and utilization of dietary energy and amino acids in piglets fed low protein diets. Livest. Prod. Sci. 2002, 76, 45–58. [Google Scholar] [CrossRef]
- Lordelo, M.M.; Gaspar, A.M.; Bellego, L.L.; Freire, J.P. Isoleucine and valine supplementation of a low-protein corn-wheat-soybean meal-based diet for piglets: Growth performance and nitrogen balance1. J. Anim. Sci. 2008, 86, 2936–2941. [Google Scholar] [CrossRef] [PubMed]
- Yin, J.; Li, Y.; Zhu, X.; Han, H.; Ren, W.; Chen, S.; Bin, P.; Liu, G.; Huang, X.; Fang, R.; et al. Effects of Long-Term Protein Restriction on Meat Quality, Muscle Amino Acids, and Amino Acid Transporters in Pigs. J. Agric. Food Chem. 2017, 65, 9297. [Google Scholar] [CrossRef] [PubMed]
- Wolvekamp, M.C.J.; De Bruin, R.W.F. Diamine Oxidase: An Overview of Historical, Biochemical and Functional Aspects. Dig. Dis. 1994, 12, 2–14. [Google Scholar] [CrossRef] [PubMed]
- Thompson, J.S.; Vaughan, W.P.; Forst, C.F.; Jacobs, D.L.; Weekly, J.S.; Rikkers, L.F. The Effect of the Route of Nutrient Delivery on Gut Structure and Diamine Oxidase Levels. J. Parenter. Enter. Nutr. 1987, 11, 28–32. [Google Scholar] [CrossRef]
- Smith, S.M.; Eng, R.H.; Campos, J.M.; Chmel, H. D-Lactic Acid Measurements in the Diagnosis of Bacterial Infections. J. Clin. Microbiol. 1989, 27, 385–388. [Google Scholar] [CrossRef] [PubMed]
- Li, H.; Liu, Y.; Zhang, X.; Xu, Q.; Zhang, Y.; Xue, C.; Guo, C. Medium-chain fatty acids decrease serum cholesterol via reduction of intestinal bile acid reabsorption in C57BL/6J mice. Nutr. Metab. 2018, 15, 37. [Google Scholar] [CrossRef] [PubMed]
- Kono, H.; Fujii, H.; Asakawa, M.; Yamamoto, M.; Matsuda, M.; Maki, A.; Matsumoto, Y. Protective Effects of Medium-Chain Triglycerides on the Liver and Gut in Rats Administered Endotoxin. Ann. Surg. 2003, 237, 246–255. [Google Scholar] [CrossRef] [PubMed]
- Hampson, D.J. Alterations in piglet small intestinal structure at weaning. Res. Vet. Sci. 1986, 40, 32. [Google Scholar] [CrossRef]
- Thomson, A.B.R.; Keelean, M. The Development of the Small Intestine. Can. J. Physiol. Pharmacol. 1986, 64, 13. [Google Scholar] [CrossRef] [PubMed]
- Montagne, L.; Boudry, G.; Favier, C.; Le Huërou-Luron, I.; Lallès, J.-P.; Sève, B. Main intestinal markers associated with the changes in gut architecture and function in piglets after weaning. Br. J. Nutr. 2007, 97, 45–57. [Google Scholar] [CrossRef]
- Smith, F.; Clark, J.E.; Overman, B.L.; Tozel, C.C.; Huang, J.H.; Rivier, J.E.F.; Blikslager, A.T.; Moeser, A.J.; Blisklager, A.T. Early weaning stress impairs development of mucosal barrier function in the porcine intestine. Am. J. Physiol. Gastrointestinal. Liver Physiol. 2009, 298, G352–G363. [Google Scholar] [CrossRef]
- Hanczakowska, E.; Wiatkiewicz, M.; Hanczakowski, P.; Wróbel, A. Medium-Chain Fatty Acids as Feed Supplements for Weaned Piglets. Med. Weter. 2010, 66, 331–3334. [Google Scholar]
- Roxas, J.L.; Koutsouris, A.; Bellmeyer, A.; Tesfay, S.; Royan, S.; Falzari, K.; Harris, A.L.; Cheng, H.; Rhee, K.J.; Hecht, G. Enterohemorrhagic E. coli alters murine intestinal epithelial tight junction protein expression and barrier function in a Shiga toxin independent manner. Lab. Investig. 2010, 90, 1152–1168. [Google Scholar] [CrossRef] [PubMed]
- Weiler, F.; Marbe, T.; Scheppach, W.; Schauber, J. Influence of protein kinase C on transcription of the tight junction elements ZO-1 and occludin. J. Cell. Physiol. 2005, 204, 83–86. [Google Scholar] [CrossRef]
- Lindmark, T.; Kimura, Y.; Artursson, P. Absorption enhancement through intracellular regulation of tight junction permeability by medium chain fatty acids in Caco-2 cells. J. Pharmacol. Exp. Ther. 1998, 284, 362–369. [Google Scholar] [PubMed]
- Hu, C.; Xiao, K.; Luan, Z.S.; Song, J. Early weaning increases intestinal permeability, alters expression of cytokine and tight junction proteins, and activates mitogen-activated protein kinases in pigs1. J. Anim. Sci. 2013, 91, 1094–1101. [Google Scholar] [CrossRef] [PubMed]
- Wijtten, P.J.A.; Van Der Meulen, J.; Verstegen, M.W.A. Intestinal barrier function and absorption in pigs after weaning: A review. Br. J. Nutr. 2011, 105, 967–981. [Google Scholar] [CrossRef] [PubMed]
- Mantis, N.J.; Rol, N.; Corthésy, B. Secretory Iga’s Complex Roles in Immunity and Mucosal Homeostasis in the Gut. Mucosal Immunol. 2011, 4, 603. [Google Scholar] [CrossRef] [PubMed]
- Papada, E.; Kaliora, A.C.; Gioxari, A.; Papalois, A.; Forbes, A. Anti-inflammatory effect of elemental diets with different fat composition in experimental colitis. Br. J. Nutr. 2014, 111, 1213–1220. [Google Scholar] [CrossRef] [PubMed]
- Bertevello, P.L.; De Nardi, L.; Torrinhas, R.S.; Logullo, A.F.; Waitzberg, D.L. Partial Replacement of -6 Fatty Acids with Medium-Chain Triglycerides, but Not Olive Oil, Improves Colon Cytokine Response and Damage in Experimental Colitis. J. Parenter. Enter. Nutr. 2012, 36, 442–448. [Google Scholar] [CrossRef]





| Treatments | Description |
|---|---|
| Normal protein (NP) | normal protein basal diet no antibiotics included |
| Negative Control (NC) | low-protein basal diet no antibiotics included |
| Positive control (PC) | low-protein basal diet + antibiotics (quinocetone 75 mg/kg, Virginiamycin 20 mg/kg, Chlortetracycline 50 mg/kg) |
| Treatment 1 (MCT) | low-protein basal diet + 2 kg/T tricaprylin/tricaprin |
| Treatment 2 (GML) | low-protein basal diet + 2 kg/T glycerol monolaurate |
| Ingredients, % | Normal Protein Basal Diet | Low-Protein Basal Diet | Analyzed Chemical Composition | Normal Protein Basal Diet | Low-Protein Basal Diet |
|---|---|---|---|---|---|
| Corn | 57 | 58 | Crude protein | 18.8 | 17.2 |
| Expended maize | 5 | 5 | Calculated DE, kcal/kg | 3465 | 3436 |
| Soybean meal (43% CP) | 16 | 21 | Dry matter | 89.9 | 89.2 |
| Soybean protein concentrate | 6 | 0 | Lysine | 1.07 | 0.96 |
| Rice bran meal | 5 | 5 | Calcium | 0.63 | 0.62 |
| Broken rice | 5 | 5 | |||
| Fish meal | 2 | 2 | |||
| Sucrose | 1 | 1 | |||
| Calcium lactate | 0.3 | 0.3 | |||
| Calcium hydrogen phosphate | 1 | 1 | |||
| Limestone powder | 0.1 | 0.1 | |||
| Trace mineral premix a | 0.1 | 0.1 | |||
| Vitamin premix b | 0.03 | 0.03 | |||
| Lysine (98%) | 0.6 | 0.6 | |||
| Threonine | 0.1 | 0.1 | |||
| Methionine | 0.1 | 0.1 | |||
| Acidifier | 0.4 | 0.4 | |||
| Antioxidants | 0.15 | 0.15 | |||
| Choline chloride (50%) | 0.12 | 0.12 |
| Items | NP | NC | PC | MCT | GML | p-Value |
|---|---|---|---|---|---|---|
| ADG (g/d) | 145.23 ± 31.15 | 144.83 ± 60.76 | 153.96 ± 40.33 | 157.44 ± 56.86 | 145.62 ± 51.29 | 0.986 |
| ADFI (g/d) | 282.01 ± 27.76 b | 296.05 ± 41.47 b | 333.23 ± 30.39 ab | 355.64 ± 42.57 a | 335.70 ± 63.26 ab | 0.037 |
| F/G | 2.55 ± 0.72 | 2.49 ± 0.81 | 2.34 ± 0.87 | 2.31 ± 0.61 | 2.45 ± 0.59 | 0.979 |
| Items | NP | NC | PC | MCT | GML | p-Value |
|---|---|---|---|---|---|---|
| DAO (mmol/L) | 2.18 ± 0.98 | 1.81 ± 0.71 | 2.06 ± 0.16 | 1.75 ± 0.49 | 1.68 ± 0.54 | 0.397 |
| D-LACT (mmol/L) | 11.63 ± 0.98 a | 9.90 ± 2.63 ab | 9.27 ± 2.26 b | 8.30 ± 1.33 b | 9.79 ± 0.64 ab | 0.041 |
| Items | NP | NC | PC | MCT | GML | p-Value |
|---|---|---|---|---|---|---|
| SIgA (μg/mg) | 10.90 ± 3.07 a | 8.42 ± 2.04 ab | 5.52 ± 0.93 b | 10.08 ± 1.62 a | 10.60 ± 1.27 a | 0.001 |
| IL-1β (pg/mg) | 173.12 ± 41.88 | 208.75 ± 34.17 | 214.32 ± 37.81 | 191.79 ± 30.95 | 183.28 ± 36.14 | 0.309 |
| IL-6 (pg/mg) | 109.38 ± 23.44 | 146.67 ± 43.86 | 139.86 ± 23.07 | 140.91 ± 29.18 | 136.59 ± 25.31 | 0.267 |
| TNF-α (pg/mg) | 32.28 ± 4.55 b | 45.22 ± 9.68 a | 42.54 ± 5.23 a | 44.00 ± 4.55 a | 43.77 ± 8.60 a | 0.020 |
| IFN-γ (pg/mg) | 9.54 ± 1.60 | 8.75 ± 1.66 | 9.45 ± 1.31 | 8.62 ± 1.18 | 8.83 ± 1.99 | 0.798 |
| Items | NP | NC | PC | MCT | GML | p-Value |
|---|---|---|---|---|---|---|
| SIgA (μg/mg) | 12.47 ± 2.41 a | 9.9 ± 1.31 b | 9.33 ± 1.49 b | 12.95 ± 2.26 a | 14.26 ± 2.00 a | 0.001 |
| IL-1β (pg/mg) | 169.41 ± 30.75 b | 239.07 ± 30.05 a | 247.28 ± 10.66 a | 237.39 ± 11.16 a | 228.38 ± 42.09 a | 0.001 |
| IL-6 (pg/mg) | 123.27 ± 26.16 c | 218.48 ± 39.72 a | 190.34 ± 47.30 ab | 157.40 ± 33.76 bc | 180.23 ± 17.83 ab | 0.001 |
| TNF-α (pg/mg) | 38.72 ± 8.29 b | 60.79 ± 11.83 a | 61.91 ± 8.65 a | 56.59 ± 10.45 a | 52.27 ± 12.27 a | 0.006 |
| IFN-γ (pg/mg) | 9.15 ± 1.68 | 10.59 ± 1.15 | 10.86 ± 1.72 | 10.26 ± 1.83 | 11.56 ± 2.43 | 0.258 |
| Items | NP | NC | PC | MCT | GML | p-Value |
|---|---|---|---|---|---|---|
| SIgA (μg/mg) | 30.34 ± 4.35 a | 20.03 ± 4.29 c | 19.47 ± 5.72 c | 22.36 ± 4.79 bc | 25.97 ± 2.23 ab | 0.010 |
| IL-1β (pg/mg) | 212.93 ± 25.52 b | 486.91 ± 81.45 a | 457.57 ± 119.31 a | 435.75 ± 53.86 a | 419.94 ± 36.03 a | <0.001 |
| IL-6 (pg/mg) | 461.63 ± 83.95 c | 604.76 ± 29.53 ab | 619.55 ± 92.46 a | 512.28 ± 104.58 bc | 548.77 ± 66.47 abc | 0.014 |
| TNF-α (pg/mg) | 97.00 ± 24.34 | 120.91 ± 25.06 | 130.78 ± 19.88 | 106.99 ± 23.02 | 108.64 ± 16.79 | 0.136 |
| IFN-γ (pg/mg) | 33.78 ± 3.93 | 32.99 ± 3.11 | 37.89 ± 2.76 | 35.54 ± 4.11 | 32.06 ± 6.57 | 0.280 |
© 2020 by the authors. Licensee MDPI, Basel, Switzerland. This article is an open access article distributed under the terms and conditions of the Creative Commons Attribution (CC BY) license (http://creativecommons.org/licenses/by/4.0/).
Share and Cite
Cui, Z.; Wang, X.; Hou, Z.; Liao, S.; Qi, M.; Zha, A.; Yang, Z.; Zuo, G.; Liao, P.; Chen, Y.; et al. Low-Protein Diet Supplemented with Medium-Chain Fatty Acid Glycerides Improves the Growth Performance and Intestinal Function in Post-Weaning Piglets. Animals 2020, 10, 1852. https://doi.org/10.3390/ani10101852
Cui Z, Wang X, Hou Z, Liao S, Qi M, Zha A, Yang Z, Zuo G, Liao P, Chen Y, et al. Low-Protein Diet Supplemented with Medium-Chain Fatty Acid Glycerides Improves the Growth Performance and Intestinal Function in Post-Weaning Piglets. Animals. 2020; 10(10):1852. https://doi.org/10.3390/ani10101852
Chicago/Turabian StyleCui, Zhijuan, Xianze Wang, Zhenping Hou, Simeng Liao, Ming Qi, Andong Zha, Zhe Yang, Gang Zuo, Peng Liao, Yuguang Chen, and et al. 2020. "Low-Protein Diet Supplemented with Medium-Chain Fatty Acid Glycerides Improves the Growth Performance and Intestinal Function in Post-Weaning Piglets" Animals 10, no. 10: 1852. https://doi.org/10.3390/ani10101852
APA StyleCui, Z., Wang, X., Hou, Z., Liao, S., Qi, M., Zha, A., Yang, Z., Zuo, G., Liao, P., Chen, Y., & Tan, B. (2020). Low-Protein Diet Supplemented with Medium-Chain Fatty Acid Glycerides Improves the Growth Performance and Intestinal Function in Post-Weaning Piglets. Animals, 10(10), 1852. https://doi.org/10.3390/ani10101852

