Reproductive Traits of an Invasive Alien Population of Grey Squirrel (Sciurus carolinensis) in Central Italy
Simple Summary
Abstract
1. Introduction
2. Materials and Methods
2.1. Animal Capture and Sample Collection
2.2. Morphometric Evaluation of the Female Genital System and Uterine Scar Analysis
2.3. Morphometric Evaluation of the Testicles
2.4. Statistical Analysis
3. Results
3.1. Morphometric Evaluation of the Female Genital System
3.2. Uterine Scar Analysis
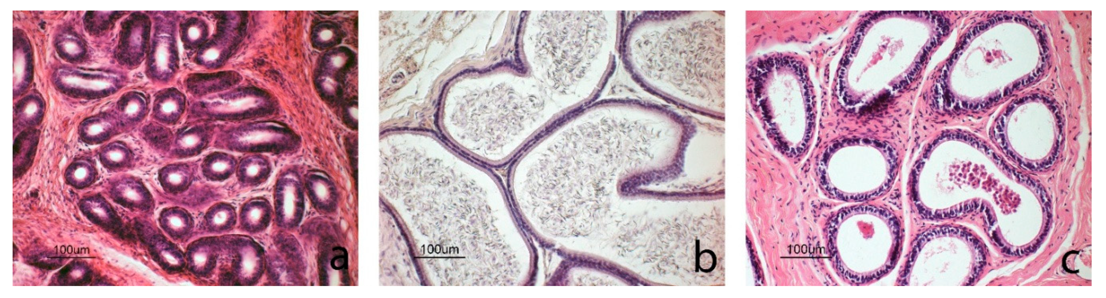
3.3. Morphometric and Histological Evaluation of the Testicles
4. Discussion
5. Conclusions
Author Contributions
Funding
Acknowledgments
Conflicts of Interest
References
- Clavero, M.; García-Berthou, E. Invasive species are a leading cause of animal extinctions. Trends Ecol. Evol. 2005, 20, 110. [Google Scholar] [CrossRef]
- Keller, R.P.; Geist, J.; Jeschke, J.M.; Kühn, I. Invasive species in Europe: Ecology, status, and policy. Environ. Sci. Eur. 2011, 23, 23. [Google Scholar] [CrossRef]
- Gurnell, J.; Wauters, L.A.; Lurz, P.W.W.; Tosi, G. Alien species and interspecific competition: Effects of introduced eastern grey squirrels on red squirrel population dynamics. J. Anim. Ecol. 2004, 73, 26–35. [Google Scholar] [CrossRef]
- Banks, P.B.; Dickman, C.R. Alien predation and the effects of multiple levels of prey naiveté. Trends Ecol. Evol. 2007, 22, 229–230. [Google Scholar] [CrossRef] [PubMed]
- Daszak, P.; Cunningham, A.A.; Hyatt, A.D. Emerging infectious diseases of wildlife—Threats to biodiversity and human health. Science 2000, 287, 443–449. [Google Scholar] [CrossRef]
- Romeo, C.; Ferrari, N.; Lanfranchi, P.; Saino, N.; Santicchia, F.; Martinoli, A.; Wauters, L.A. Biodiversity threats from outside to inside: Effects of alien grey squirrel (Sciurus carolinensis) on helminth community of native red squirrel (Sciurus vulgaris). Parasitol. Res. 2015, 114, 2621–2628. [Google Scholar] [CrossRef]
- Strayer, D.L. Eight questions about invasions and ecosystem functioning. Ecol. Lett. 2012, 15, 1199–1210. [Google Scholar] [CrossRef]
- Gurnell, J.; Pepper, H. A critical look at conserving the British red squirrel Sciurus vulgaris. Mammal. Rev. 1993, 23, 125–136. [Google Scholar] [CrossRef]
- Lawton, C.; Cowan, P.; Bertolino, S.; Lurz, P.W.W.; Peters, A.R. Consequences of introduction of non-indigenous species: Two case studies, the grey squirrel in Europe and the brushtail possum in New Zealand. OIE Rev. Scient. Tech. 2010, 29, 113–122. [Google Scholar]
- Martinoli, A.; Bertolino, S.; Preatoni, D.G.; Balduzzi, A.; Marsan, A.; Genovesi, P.; Tosi, G.; Wauters, L.A. Headcount 2010: The multiplication of the grey squirrel introduced in Italy. Hystrix 2010, 21, 127–136. [Google Scholar]
- Koprowski, J.L. Sciurus carolinensis. Mammalian Species. J. Mammal. 1994, 480, 1–9. [Google Scholar]
- Lowe, S.; Browne, M.; Boudjelas, S.; De Poorter, M. 100 of the World’s Worst Invasive Alien Species a selection from the Global Invasive Species Database; The Invasive Species Specialist Group (ISSG) a Specialist Group of the Species Survival Commission (SSC) of the World Conservation Union (IUCN): Auckland, New Zealand, 2000; pp. 1–12. [Google Scholar]
- Bertolino, S. Animal trade and non-indigenous species introduction: The world-wide spread of squirrels. Divers. Distrib. 2009, 15, 701–708. [Google Scholar] [CrossRef]
- Genovesi, P.; Bertolino, S. Linee guida per il controllo dello Scoiattolo grigio (Sciurus carolinensis) in Italia. Quad. Conserv. Della Nat. 2001, 4, 1–49. [Google Scholar]
- Santicchia, F.; Romeo, C.; Grilli, G.; Vezzoso, S.; Wauters, L.A.; Mazzamuto, M.V.; Martinoli, A.; Ferrari, N. The use of uterine scars to explore fecundity levels in invasive alien tree squirrels. Hystrix 2015, 26, 95–101. [Google Scholar]
- Signorile, A.L.; Paoloni, D.; Reuman, D.C. Grey squirrels in central Italy: A new threat for endemic red squirrel subspecies. Biol. Invasions 2014, 16, 2339–2350. [Google Scholar] [CrossRef]
- La Morgia, V.; Paoloni, D.; Genovesi, P. Eradicating the grey squirrel Sciurus carolinensis from urban areas: An innovative decision-making approach based on lessons learnt in Italy. Pest. Manag. Sci. 2017, 73, 354–363. [Google Scholar] [CrossRef]
- Wauters, L.A.; Tosi, G.; Gurnell, J. Interspecific competition in tree squirrels: Do introduced grey squirrels (Sciurus carolinensis) deplete tree seeds hoarded by red squirrels (S. vulgaris)? Behav. Ecol. Sociobiol. 2002, 51, 360–367. [Google Scholar] [CrossRef]
- Santicchia, F.; Dantzer, B.; van Kesteren, F.; Palme, R.; Martinoli, A.; Ferrari, N.; Wauters, L.A. Stress in biological invasions: Introduced invasive grey squirrels increase physiological stress in native Eurasian red squirrels. J. Anim. Ecol. 2018, 87, 1342–1352. [Google Scholar] [CrossRef]
- Wauters, L.A.; Mazzamuto, M.V.; Santicchia, F.; Van Dongen, S.; Preatoni, D.G.; Martinoli, A. Interspecific competition affects the expression of personality-traits in natural populations. Sci. Rep. 2019, 9, 11189. [Google Scholar] [CrossRef]
- Brown, L.G.; Yeager, L.E. Fox squirrels and Grey squirrels in Illinois. Ill. Nat. Hist. Surv. Bull. 1945, 23, 449–536. [Google Scholar]
- Gurnell, J. Squirrel numbers and the abundance of tree seeds. Mammal. Rev. 1983, 13, 133–148. [Google Scholar] [CrossRef]
- Shorten, M.; Elton, C. Some aspects of the biology of the grey squirrel (Sciurus carolinensis) in Great Britain. Proc. Zool. Soc. Lond. 1951, 121, 427–459. [Google Scholar] [CrossRef]
- Webley, G.E.; Johnson, E. Reproductive physiology of the Grey squirrel (Sciurus carolinenis). Mammal. Rev. 1983, 13, 149–154. [Google Scholar] [CrossRef]
- Dubock, A.C. Male Grey squirrel (Sciurus carolinensis) reproductive cycles in Britain. J. Zool. 1979, 188, 41–51. [Google Scholar] [CrossRef]
- Allanson, M. The reproductive processes of certain mammals. V. Changes in the reproductive organs of the male grey squirrel (Sciurus carolinensis). Philos. Trans. R. Soc. Lond. B Biol. Sci. 1933, 222, 79–96. [Google Scholar]
- Allen, J.M. Gray and fox squirrel management in Indiana. Indiana Dep. Conserv. Pittman-Robertson Bull. 1952, 1, 1–102. [Google Scholar]
- Mossman, H.W.; Hoffman, R.A.; Kirkpatrick, C.M. The accessory genital glands of male Gray and Fox squirrels correlated with age and reproductive cycles. Am. J. Anat. 1955, 97, 257. [Google Scholar] [CrossRef]
- Bray, Y.; Marboutin, É.; Péroux, R.; Ferron, J. Reliability of stained placental-scar counts in European hares. Wildl. Soc. Bull. 2003, 31, 237–246. [Google Scholar]
- Ruette, S.; Albaret, M. Reproduction of red fox Vulpes vulpes in western France: Does staining improve estimation of litter size from placental scar counts? Eur. J. Wildl. Res. 2011, 57, 555–564. [Google Scholar] [CrossRef]
- Melero, Y.; Robinson, E.; Lambin, X. Density- and age-dependent reproduction partially compensates culling efforts of invasive non-native American mink. Biol. Invasions 2015, 17, 2645–2657. [Google Scholar] [CrossRef]
- Nixon, C.; McClain, M.; Donohoe, R. Effects of Hunting and Mast Crops on a Squirrel Population. J. Wildl. Manag. 1975, 39, 1–25. [Google Scholar] [CrossRef]
- Tattoni, C.; Preatoni, D.G.; Lurz, P.W.W.; Rushton, S.P.; Tosi, G.; Martinoli, A.; Bertolino, S.; Wauters, L.A. Modelling the expansion of grey squirrels (Sciurus carolinensis) in Lombardy, Northern Italy: Implications for squirrel control. Biol. Invasions 2006, 8, 1605–1619. [Google Scholar] [CrossRef]
- Bertolino, S.; Lurz, P.W.W.; Sanderson, R.; Rushton, S. Predicting the spread of the American Grey Squirrel (Sciurus carolinensis) in Europe: A call for a co-ordinated European approach. Biol. Conserv. 2008, 141, 2564–2575. [Google Scholar] [CrossRef]
- Ferryman, M.; Mayle, B.A.; Morgan, G.W. Visual method for evaluating the state of sexual development in male grey squirrels (Sciurus carolinensis). Reprod. Fertil. Dev. 2006, 18, 383–393. [Google Scholar] [CrossRef] [PubMed]
- Close, B.; Banister, K.; Baumans, V.; Bernoth, E.-M.; Bromage, N.; Bunyan, J.; Erhardt, W.; Flecknell, P.; Gregory, N.; Hackbarth, H.; et al. Recommendations for euthanasia of experimental animals: Part 1. Lab. Anim. 1996, 30, 293–316. [Google Scholar] [CrossRef]
- Close, B.; Banister, K.; Baumans, V.; Bernoth, E.-M.; Bromage, N.; Bunyan, J.; Erhardt, W.; Flecknell, P.; Gregory, N.; Hackbarth, H.; et al. Recommendations for euthanasia of experimental animals: Part 2. Lab. Anim. 1997, 31, 1–32. [Google Scholar] [CrossRef]
- Leary, S.L. AVMA Guidelines for the Euthanasia of Animals: 2013 Edition; American Veterinary Medical Association: Schaumburg, IL, USA, 2013. [Google Scholar]
- Bufalari, A.; Maranesi, M.; Marenzoni, M.L.; Mercati, F.; Nannarone, S.; Dall’Aglio, C.; Bellocchi, F.; Zerani, M.; Petrucci, L.; Paoloni, D.; et al. Traditional gonadectomy vs gonadectomy by Ligasure® in grey squirrels (Sciurus carolinensis): Comparing surgical techniques. Reprod. Domest. Anim. 2019, 54 (Suppl. S3), 137. [Google Scholar]
- Mercati, F.; Dall’Aglio, C.; Timperi, L.; Scocco, P.; De Felice, E.; Maranesi, M. Epithelial expression of the hormone leptin by bovine skin. Eur. J. Histochem. 2019, 63, 2993. [Google Scholar] [CrossRef]
- Scocco, P.; Mercati, F.; Tardella, F.M.; Catorci, A. Increase of forage dryness induces differentiated anatomical response in the sheep rumen compartments. Microsc. Res. Tech. 2016, 79, 738–743. [Google Scholar] [CrossRef]
- Kirkpatrick, C.M.; Hoffman, R.A. Ages and reproductive cycles in a male Gray squirrel population. J. Wildl. Manag. 1960, 24, 218–221. [Google Scholar] [CrossRef]
- Webley, G.E.; Pope, G.S.; Johnson, E. Seasonal changes in the testes and accessory reproductive organs and seasonal and circadian changes in plasma testosterone concentrations in the male grey squirrel (Sciurus carolinensis). Gen. Comp. Endocrinol. 1985, 59, 15–23. [Google Scholar] [CrossRef]
- Deanesly, R.; Parkes, A.S. The reproductive processes of certain mammals, Part IV. The oestrous cycle of the Gray squirrel (Sciurus carolinensis). Philos. Trans. R. Soc. Lond. B Biol. Sci. 1933, 222, 47–78. [Google Scholar]
- Nixon, C.; McClain, M. Breeding Seasons and Fecundity of Female Gray Squirrels in Ohio. J. Wildl. Manag. 1975, 39, 426–438. [Google Scholar] [CrossRef]
- Barkalow, F.; Hamilton, R.; Soots, R. The Vital Statistics of an Unexploited Gray Squirrel Population. J. Wildl. Manag. 1970, 34, 489–500. [Google Scholar] [CrossRef]
- Barkalow, F.S., Jr. A Record Gray Squirrel Litter. J. Mammal. 1967, 48, 141. [Google Scholar] [CrossRef]
- Gurnell, J. The Effects of Food Availability and Winter Weather on the Dynamics of a Grey Squirrel Population in Southern England. J. Appl. Ecol. 1996, 33, 325–338. [Google Scholar] [CrossRef]
- Uhlig, H.G. Weights of adult gray squirrels. J. Mammal. 1955, 36, 293–296. [Google Scholar] [CrossRef]
- Smith, N.B.; Barkalow, F.S., Jr. Precocious Breeding in the Gray Squirrel. J. Mammal. 1967, 48, 328–330. [Google Scholar] [CrossRef]
- Pudney, J. Seasonal changes in the testis and epididymis of the American Grey squirrel, Sciurus carolinensis. J. Zool. 1976, 179, 107–120. [Google Scholar] [CrossRef]
- Tait, A.J.; Johnson, E. Spermatogenesis in the grey squirrel (Sciurus carolinensis) and changes during sexual regression. J. Reprod. Fertil. 1982, 65, 8–53. [Google Scholar] [CrossRef]





| Reproductive Phase | Body Weight (g) | Ovary Status | Ovary Weight (mg) | Ovary Length (cm) | Ovary Width (cm) | Uterus Appearance | Uterus Weight (g) | Uterine Scar | Uterine Horn Length (cm) | Uterine Horn Width (cm) | Uterine Body Length (cm) | Uterine Body Width (cm) |
|---|---|---|---|---|---|---|---|---|---|---|---|---|
| Immature | 438.01 a ± 43.24 | No graafian follicle | 0.24 a ± 0.21 | 0.37 a ± 0.10 | 0.24 a,b ± 0.06 | Small, ribbon-like | 0.22 a ± 0.08 | No | 6.4 a ± 1.8 | 0.20 a ± 0.4 | 0.76 a,b,c ± 0.31 | 0.41 a,b,c ± 0.18 |
| Follicular | 521.54 a,b ± 55.5 | Graafian follicle | 0.23 a ± 0.04 | 0.38 a ± 0.06 | 0.27 a,b ± 0.05 | Round, oedematous, tonic in the oestrous phase | 0.82 a ± 0.49 | Yes/No | 9.6 b ± 3.1 | 0.35 b ± 0.11 | 1.01 a,b,c ± 0.38 | 0.64 a,b,c ± 0.16 |
| Luteal | 562.99 b ± 19.49 | Corpus luteum | 0.64 a ± 0.48 | 0.49 a ± 0.19 | 0.36 b.c ± 0.19 | Round, oedematous, tonic | 2.08 b ± 0.53 | Yes/No | 13.3 c ± 2.8 | 0.46 c ± 0.08 | 1.24 a,b,c ± 0.29 | 0.76 b ± 0.15 |
| Pregnant | 550.02 b ± 11.55 | Corpus luteum in the first period | 0.21 a ± 0.05 | 0.42 a ± 0.06 | 0.32 b,c ± 0.03 | Round, oedematous, tonic, with embryonic vesicles/embryos/foetuses | 3.28 b ± 1.05 | No | 15.5 c ± 3.9 | 0.51 c ± 0.13 | 1.45 b ± 0.33 | 0.98 b ± 0.40 |
| Anoestrous | 495.38 a,b ± 57.99 | No graafian follicle | 0.33 a ± 0.20 | 0.39 a ± 0.07 | 0.26 a,b ± 0.05 | Small, ribbon-like | 0.57 a ± 0.30 | Yes/No | 9.4 b ± 2.2 | 0.34 b ± 0.08 | 0.96 c ± 0.26 | 0.56 c ± 0.09 |
| Reproductive Phase | ||||||
|---|---|---|---|---|---|---|
| Catch period | Immature | Follicular | Luteal | Pregnant | Anoestrus | Total |
| Winter 15/12–15/03 | 1 | 4 | 6 | 7 | 4 | 21 |
| Spring 15/03–15/06 | 1 | 9 | 6 | 2 | 6 | 24 |
| Summer 15/06–15/09 | 1 | - | - | 1 | - | 2 |
| Autumn 15/09–15/12 | 2 | - | - | - | 14 | 16 |
| Total | 5 (7.81%) | 13 (20.31%) | 12 (18.75%) | 10 (15.65%) | 24 (37.5%) | 63 |
| Litter Presence | No. of Females | Litter Size | ||
|---|---|---|---|---|
| None | 14 (31%) | Period | Number of scars/female | Uterine scars range |
| One | 17 (38%) | 15/12–15/03 | 3.55 ± 1.88 * | 1−7 |
| Two | 14 (31%) | 16/03–15/06 | 2.14 ± 1.46 | 2−6 |
| Total | 45 | Annual | 4.52 ± 1.88 | 1−7 |
| Reproductive Phase | Body Weight (gr) | Testicle Weight (gr) | Testicle Length (cm) | Testicle Width (cm) | Epididymis Weight (gr) | ST Diameter (µm) | Testicle Position | Germinative Epithelium Morphotype | SG |
|---|---|---|---|---|---|---|---|---|---|
| Immature | 399.25 a ± 70.11 | 0.10 a ± 0.03 | 0.84 a ± 0.23 | 0.44 a ± 0.15 | 0.19 a ± 0.16 | 79.93 a ± 18.70 | ABD | Mp1 | No |
| Pubertal | 460.18 a,b ± 43.67 | 0.69 b ± 0.29 | 1.82 b ± 0.18 | 0.88 b ± 0.17 | 0.85 b ± 0.60 | 151.49 b ± 20.05 | SCR | Mp2 | No |
| Spermatogenesis | 502.31 b ± 46.37 | 2.52 c ± 0.26 | 2.00 b ± 0.46 | 1.34 c ± 0.46 | 2.01 c ± 0.62 | 241.18 c ± 26.38 | SCR | Mp3 | Yes |
| Regression | 515.40 b ± 36.11 | 1.85 d ± 0.17 | 2.01 b ± 0.22 | 1.11 b,c ± 0.16 | 0.36 a,b ± 0.22 | 166.52 b ± 55.35 | SCR | Mp4 | No |
| Reproductive Phase | |||||
|---|---|---|---|---|---|
| Immature | Pubertal | Spermatogenesis | Regression | Total N | |
| Winter 15/12–15/03 | 4 | 9 | 10 | 3 | 26 |
| Spring 15/03–15/06 | 5 | 1 | 6 | ||
| Summer 15/06–15/09 | 5 | 2 | 7 | ||
| Autumn 15/09–15/12 | 7 | 2 | 2 | 1 | 12 |
| Total | 16 (31.37%) | 11 (21.57%) | 19 (37.26%) | 5 (9.80%) | 51 |
© 2020 by the authors. Licensee MDPI, Basel, Switzerland. This article is an open access article distributed under the terms and conditions of the Creative Commons Attribution (CC BY) license (http://creativecommons.org/licenses/by/4.0/).
Share and Cite
Maranesi, M.; Bufalari, A.; Dall’Aglio, C.; Paoloni, D.; Moretti, G.; Crotti, S.; Manuali, E.; Stazi, M.; Bergamasco, F.; Cruciani, D.; et al. Reproductive Traits of an Invasive Alien Population of Grey Squirrel (Sciurus carolinensis) in Central Italy. Animals 2020, 10, 738. https://doi.org/10.3390/ani10040738
Maranesi M, Bufalari A, Dall’Aglio C, Paoloni D, Moretti G, Crotti S, Manuali E, Stazi M, Bergamasco F, Cruciani D, et al. Reproductive Traits of an Invasive Alien Population of Grey Squirrel (Sciurus carolinensis) in Central Italy. Animals. 2020; 10(4):738. https://doi.org/10.3390/ani10040738
Chicago/Turabian StyleMaranesi, Margherita, Antonello Bufalari, Cecilia Dall’Aglio, Daniele Paoloni, Giulia Moretti, Silvia Crotti, Elisabetta Manuali, Marica Stazi, Francesca Bergamasco, Deborah Cruciani, and et al. 2020. "Reproductive Traits of an Invasive Alien Population of Grey Squirrel (Sciurus carolinensis) in Central Italy" Animals 10, no. 4: 738. https://doi.org/10.3390/ani10040738
APA StyleMaranesi, M., Bufalari, A., Dall’Aglio, C., Paoloni, D., Moretti, G., Crotti, S., Manuali, E., Stazi, M., Bergamasco, F., Cruciani, D., Di Meo, A., Boiti, C., Zerani, M., & Mercati, F. (2020). Reproductive Traits of an Invasive Alien Population of Grey Squirrel (Sciurus carolinensis) in Central Italy. Animals, 10(4), 738. https://doi.org/10.3390/ani10040738

