Expression of DAZL Gene in Selected Tissues and Association of Its Polymorphisms with Testicular Size in Hu Sheep
Simple Summary
Abstract
1. Introduction
2. Materials and Methods
2.1. Animal Management and Sample Collection
2.2. DNA, Total RNA Extraction and cDNA Synthesis
2.3. Real-Time Quantitative PCR
2.4. Sequencing and Genotyping of Ovine DAZL by PCR-RFLP and iMLDR
2.5. Statistical Analysis
3. Results
3.1. The Expression of DAZL in the Testes during Different Growth Stages
3.2. The Expression of DAZL in Different Tissues and Testes with Different Size at M6
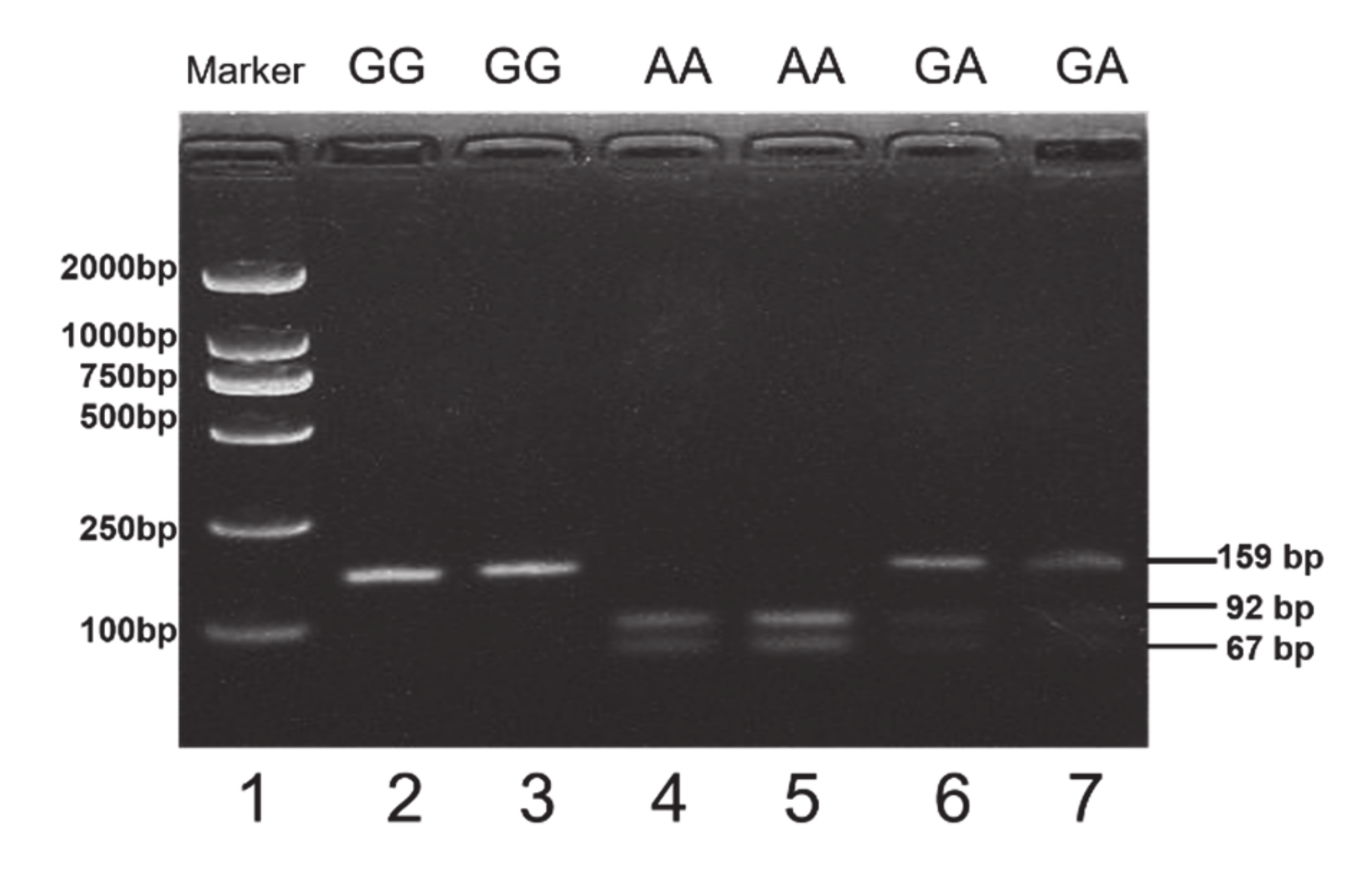
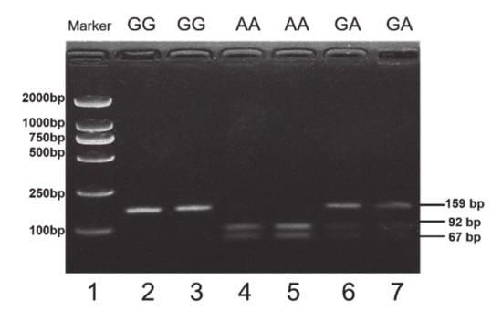
3.3. SNPs Detection and Genotyping
3.4. Association Analysis between SNPs and Testis Size Parameters
3.5. Linkage Disequilibrium Analysis
4. Discussion
5. Conclusions
Supplementary Materials
Author Contributions
Funding
Conflicts of Interest
References
- Diskin, M.G. Review: Semen handling, time of insemination and insemination technique in cattle. Animal 2018, 12, s75–s84. [Google Scholar] [CrossRef] [PubMed]
- Ramm, S.A. Sperm competition and the evolution of reproductive systems. Mol. Hum. Reprod. 2014, 20, 1159–1160. [Google Scholar] [CrossRef] [PubMed]
- Kealey, C.G.; MacNeil, M.D.; Tess, M.W.; Geary, T.W.; Bellows, R.A. Genetic parameter estimates for scrotal circumference and semen characteristics of Line 1 Hereford bulls. J. Anim. Sci. 2006, 84, 283–290. [Google Scholar] [CrossRef] [PubMed]
- Ytournel, F.; Brunet, E.; Derks, P.; Huisman, A. Testes size as predictor for semen production of boars and relation to female reproductive traits. In Proceedings of the 10th World Congress on Genetics Applied to Livestock Production, Vancouver, BC, Canada, 17–22 August 2014. [Google Scholar]
- Kastelic, J.P. Understanding and evaluating bovine testes. Theriogenology 2014, 81, 18–23. [Google Scholar] [CrossRef]
- Elliott, D.J.; Bourgeois, C.F.; Klink, A.; Ste´venin, J.; Cooke, H.J. A mammalian germ cell-specific RNA-binding protein interacts with ubiquitously expressed proteins involved in splice site selection. Proc. Natl. Acad. Sci. USA 2000, 97, 5717–5722. [Google Scholar] [CrossRef]
- Vangompel, M.J.; Xu, E.Y. The roles of the DAZ family in spermatogenesis: More than just translation? Spermatogenesis 2011, 1, 36–46. [Google Scholar] [CrossRef]
- Smorag, L.; Xu, X.; Engel, W.; Pantakani, D.V. The roles of DAZL in RNA biology and development. Wires RNA 2014, 5, 527–535. [Google Scholar] [CrossRef]
- Lin, Y.F.; Page, D.C. Dazl deficiency leads to embryonic arrest of germ cell development in XY C57BL/6 mice. Dev. Biol. 2005, 288, 309–316. [Google Scholar] [CrossRef]
- Gromoll, J.; Weinbauer, G.F.; Skaletsky, H.; Schlatt, S.; Rocchietti-March, M.; Page, D.C.; Nieschlag, E. The Old World monkey DAZ (Deleted in Azoospermia) gene yields insights into the evolution of the DAZ gene cluster on the human Y chromosome. Hum. Mol. Genet. 1999, 8, 2017–2024. [Google Scholar] [CrossRef]
- Jung, H.J.; Song, H.; Yoon, M.J. Stage-dependent DAZL localization in stallion germ cells. Anim. Reprod. Sci. 2014, 147, 32–38. [Google Scholar] [CrossRef]
- Hashemi, M.S.; Mozdarani, H.; Ghaedi, K.; Nasr-Esfahani, M.H. Among seven testis-specific molecular markers, SPEM1 appears to have a significant clinical value for prediction of sperm retrieval in azoospermic men. Andrology 2018, 6, 890–895. [Google Scholar] [CrossRef] [PubMed]
- Lin, Y.F.; Gill, M.E.; Koubova, J.; Page, D.C. Germ cell-intrinsic and -extrinsic factors govern meiotic initiation in mouse embryos. Science 2008, 322, 1685–1687. [Google Scholar] [CrossRef] [PubMed]
- Seligman, J.; Page, D.C. The DAZH gene is expressed in male and female embryonic gonads before germ cell sex differentiation. Biochem. Bioph. Res. Commun. 1998, 245, 878–882. [Google Scholar] [CrossRef] [PubMed]
- Gill, M.E.; Hu, Y.C.; Lin, Y.; Page, D.C. Licensing of gametogenesis, dependent on RNA binding protein DAZL, as a gateway to sexual differentiation of fetal germ cells. Proc. Natl. Acad. Sci. USA 2011, 108, 7443–7448. [Google Scholar] [CrossRef] [PubMed]
- Zhu, Y.; Ma, M.; Wan, L.; Zhang, D.; Zhao, L.; Wei, L.; Li, L. Analysis of DAZL SNP260 and SNP386 in infertile Chinese males using multi-analyte suspension array. Mol. Med. Rep. 2014, 10, 2949–2954. [Google Scholar] [CrossRef]
- Li, T.; Wang, X.; Zhang, H.; Chen, H.; Liu, N.; Xue, R.; Zhao, X.; Ma, Y. Gene expression patterns and protein cellular localization suggest a novel role for DAZL in developing Tibetan sheep testes. Gene 2020, 731, 144335. [Google Scholar] [CrossRef]
- Sambrook, J.; Russell, D.W. Molecular Cloning: A Laboratory Mannual, 3rd ed.; Cold Spring Harbor Lab: New York, NY, USA, 2001. [Google Scholar]
- Bustin, S.A.; Beaulieu, J.F.; Huggett, J.; Jaggi, R.; Kibenge, F.S.; Olsvik, P.A.; Penning, L.C.; Toegel, S. MIQE precis: Practical implementation of minimum standard guidelines for fluorescence-based quantitative real-time PCR experiments. BMC Mol. Biol. 2010, 11, 74. [Google Scholar] [CrossRef]
- Zhao, H.; Wu, X.; Cai, H.; Pan, C.; Lei, C.; Chen, H.; Lan, X. Genetic variants and effects on milk traits of the caprine paired-like homeodomain transcription factor 2 (PITX2) gene in dairy goats. Gene 2013, 532, 203–210. [Google Scholar] [CrossRef]
- Barrett, J.C.; Fry, B.; Maller, J.; Daly, M.J. Haploview: Analysis and visualization of LD and haplotype maps. Bioinformatics 2005, 21, 263–265. [Google Scholar] [CrossRef]
- Li, T.; Ma, Y.; Zhao, X.; Gao, J.; Ge, R.; Chen, C.; Li, D. Expression and cellular localization of dazl gene in testis of sheep (ovis aries) at different developmental stages. J. Agric. Biotechnol. 2018, 26, 421–428. [Google Scholar]
- Lee, Y.S.; Jung, H.J.; Yoon, M.J. Undifferentiated embryonic cell transcription factor 1 (UTF1) and deleted in azoospermia-like (DAZL) expression in the testes of donkeys. Reprod. Domest. Anim. 2017, 52, 264–269. [Google Scholar] [CrossRef] [PubMed]
- Waldner, C.L.; Kennedy, R.I.; Palmer, C.W. A description of the findings from bull breeding soundness evaluations and their association with pregnancy outcomes in a study of western Canadian beef herds. Theriogenology 2010, 74, 871–883. [Google Scholar] [CrossRef] [PubMed]
- Williams, P.A.; Krug, M.S.; McMillan, E.A.; Peake, J.D.; Davis, T.L.; Cocklin, S.; Strochlic, T.I. Phosphorylation of the RNA-binding protein Dazl by MAPKAP kinase 2 regulates spermatogenesis. Mol. Biol. Cell 2016, 27, 2341–2350. [Google Scholar] [CrossRef] [PubMed]
- Trojian, T.H.; Lishnak, T.S.; Heiman, D. Epididymitis and orchitis: An overview. Am. Fam. Physician 2009, 79, 583–587. [Google Scholar]
- Zhang, J. Epididymitis of ram. Prog. Vet. Med. 1984, 9, 1–2. (in Chinese). [Google Scholar]
- Robaire, B.; Hinton, B.T.; Orgebin-Crist, M.C. The epididymis. In Knobil and Neill’s Physiology of Reproduction; Elsevier: Amsterdam, The Netherlands, 2006; pp. 1071–1148. [Google Scholar]
- Bercovitch, F.B.; Rodriguez, J.F. Testis size, epididymis weight, and sperm competition in Rhesus Macaques. Am. J. Primatol. 1993, 30, 163–168. [Google Scholar] [CrossRef]




| Primer | Primer Sequences | Tm (°C) | Product Length (bp) | Targets |
|---|---|---|---|---|
| DAZL-1 | F:5’-ACAGCCTTAACAGAGGTGAATG-3’ | 64.0 | 652 | Partial of exon 1 |
| R:5’-GGTAATAATGAGCAGCGGTGAT-3’ | ||||
| DAZL-2 | F:5’-TCACCGCTGCTCATTATTACCT-3’ | 59.4 | 835 | Partial of exon 1 |
| R:5’-GTTCCTATTACCTATGCTGATACTGTC-3’ | ||||
| DAZL-3 | F:5’-GACAGTATCAGCATAGGTAATAGGA-3’ | 64.0 | 565 | Partial of exon 1 |
| R:5’-AATCACTTGTAGCAGCATCGT-3’ | ||||
| DAZL-4 | F:5’-CTGAGGAGGAGCCACCTAATC-3’ | 60.5 | 756 | Partial of exon 1 |
| R:5’-CAAGCACTTCACTTCTCCAACA-3’ | ||||
| DAZL-5 | F:5’-GTCTCTTACTATTCAACACCTGTG-3’ | 60.5 | 351 | Partial of exon 1 and partial of intron 1 |
| R:5’-TTTCTGAGTCACCGAGATTTGT-3’ | ||||
| DAZL-6 | F:5’-CTTAACACTCACTCTCAGACTACAG-3’ | 62.7 | 261 | Exon 2 and partial of intron 2 |
| R:5’-ATCGGTGGACAGAAGCATACA-3’ | ||||
| DAZL-7 | F:5’-CAGAGGATGGAGTGGCTTCA-3’ | 62.7 | 359 | Partial of exon 3, intron 3 and exon 4 and partial of intron 4 |
| R:5’-ATTCTCAGGCACTGGGAAATTC-3’ | ||||
| DAZL-8 | F:5’-GACAGCAAAGGTGAAGACTACAT-3’ | 60.5 | 337 | Exon 5 and partial of intron 5 |
| R:5’-GGCTTATCCTCCTTATCCAAGTTC-3’ | ||||
| DAZL-9 | F:5’-CCATCAGTCACAAGTATTCCAACA-3’ | 60.5 | 281 | Exon 6 and partial of intron 6 |
| R:5’-TCCTCCTCCTCCACCACAAT-3’ | ||||
| DAZL-10 | F:5’-ACCAGTTCGATCCGTGATTATCT-3’ | 61.6 | 268 | Exon 7 and partial of intron 7 |
| R:5’-GTACTTCATGCAGGTTTGGAATTG-3’ | ||||
| DAZL-11 | F:5’-CCTAACATCAATTCCACCAACGA-3’ | 61.6 | 302 | Exon 9, intron 9 and partial of exon10 |
| R:5’-GTGATTCATCCATCCCAGCATT-3’ | ||||
| DAZL | F: 5’-GGCTCCTCCTCAGACATT-3’ | 60.0 | 226 | mRNA(for qPCR) |
| R: 5’-TGCTGCTACAAGTGATTCC-3’ | ||||
| β-actin | F: 5’-CTGAGATCAGCCGCGATAA-3’ | 60.0 | 220 | mRNA(for qPCR) |
| R: 5’-TTAATGAGCACAAAGTACGT-3’ |
| SNPs | Position | Location | Alleles | Mutation Type |
|---|---|---|---|---|
| SNP1 | c1.g.271493870 | intron 4 | C/T | intronic |
| SNP2 | c1.g.271494008 | intron 4 | G/T | intronic |
| SNP3 | c1.g.271497106 | intron 5 | C/T | intronic |
| SNP4 | c1.g.271498705 | intron 9 | G/A | intronic |
| SNP5 | c1.g.271498790 | intron 9 | G/A | intronic |
| SNP6 | c1.g.271499112 | exon 10 | G/A | synonymous |
| SNPs | Genotypic Frequency | Allelic Frequency | He | Ne | PIC | HWE p value | |||
|---|---|---|---|---|---|---|---|---|---|
| SNP1 | TT | CT | CC | C | T | 0.37 | 1.58 | 0.30 | 0.82 |
| 0.57 | 0.38 | 0.05 | 0.24 | 0.76 | |||||
| SNP2 | TT | GT | GG | G | T | 0.06 | 1.06 | 0.05 | 1.00 |
| 0.94 | 0.06 | 0.00 | 0.03 | 0.97 | |||||
| SNP3 | CC | CT | TT | C | T | 0.49 | 1.97 | 0.37 | 1.00 |
| 0.32 | 0.49 | 0.19 | 0.57 | 0.43 | |||||
| SNP4 | GG | GA | AA | G | A | 0.50 | 1.99 | 0.37 | 0.89 |
| 0.29 | 0.51 | 0.20 | 0.54 | 0.46 | |||||
| SNP5 | GG | GA | AA | G | A | 0.50 | 1.99 | 0.37 | 0.87 |
| 0.29 | 0.51 | 0.20 | 0.54 | 0.46 | |||||
| SNP6 | GG | GA | AA | G | A | 0.35 | 1.53 | 0.29 | 0.29 |
| 0.59 | 0.37 | 0.04 | 0.78 | 0.22 | |||||
| SNPs | Genotype | N | LTV 1 | LTW 2 | LEW 3 | RTV 4 | RTW 5 | REW 6 | TTW 7 | TI 8 (‰) | VCTW 9 (%) | VCEW 10 (%) | REW/ RTW 11 | LEW/ LTW 12 | TEW/ TTW 13 |
|---|---|---|---|---|---|---|---|---|---|---|---|---|---|---|---|
| SNP1 | CC | 16 | 117.5 ± 49.93 | 116.27 ± 44.78 | 17.34 ± 3.63 | 115.33 ± 53.57 | 112.74 ± 47.1 | 15.97 ± 3.14 | 244.43 ± 107.56 | 6.09 ± 2.78 | 3.40 ± 3.63 | 6.17ab ± 5.37 | 0.16 ± 0.04 | 0.16 ± 0.05 | 0.16 ± 0.04 |
| CT | 112 | 119.38 ± 50.79 | 116.24 ± 48.32 | 17.87 ± 5.33 | 116.1 ± 48.3 | 113.89 ± 47.83 | 16.66 ± 4.68 | 230.13 ± 95.46 | 5.85 ± 2.51 | 3.91 ± 4.00 | 6.48a ± 5.86 | 0.16 ± 0.06 | 0.17 ± 0.06 | 0.16 ± 0.05 | |
| TT | 171 | 109.91 ± 44.8 | 109.24 ± 43.47 | 17.62 ± 4.8 | 110.01 ± 43.81 | 107.66 ± 43.78 | 16.91 ± 4.45 | 216.90 ± 86.68 | 5.72 ± 2.32 | 3.10 ± 2.91 | 4.60b ± 3.86 | 0.18 ± 0.07 | 0.18 ± 0.07 | 0.18 ± 0.07 | |
| ANOVA P | 0.299 | 0.466 | 0.898 | 0.615 | 0.553 | 0.724 | 0.366 | 0.860 | 0.330 | 0.010 | 0.277 | 0.290 | 0.149 | ||
| Kruskal test P | 0.395 | 0.564 | 0.984 | 0.669 | 0.639 | 0.779 | 0.507 | 0.928 | 0.695 | 0.023 | 0.268 | 0.367 | 0.269 | ||
| SNP2 | GT | 17 | 111.47 ± 56.81 | 109.77 ± 57.81 | 18.66 ± 6.19 | 111.53 ± 57.4 | 107.34 ± 55.43 | 17.68 ± 5.72 | 217.11 ± 112.72 | 5.20 ± 2.42 | 3.00 ± 1.85 | 0.05 ± 0.04 | 0.19 ± 0.07 | 0.19 ± 0.07 | 0.19 ± 0.07 |
| TT | 282 | 114.02 ± 46.96 | 112.39 ± 44.66 | 17.64 ± 4.86 | 112.62 ± 45.32 | 110.44 ± 44.89 | 16.71 ± 4.4 | 223.70 ± 90.03 | 5.82 ± 2.41 | 3.44 ± 3.48 | 0.05 ± 0.05 | 0.17 ± 0.07 | 0.18 ± 0.07 | 0.17 ± 0.06 | |
| ANOVA P | 0.749 | 0.690 | 0.458 | 0.799 | 0.680 | 0.424 | 0.657 | 0.322 | 0.983 | 0.865 | 0.169 | 0.236 | 0.141 | ||
| Wilcoxon test | 0.621 | 0.539 | 0.637 | 0.696 | 0.587 | 0.757 | 0.564 | 0.251 | 0.601 | 0.973 | 0.155 | 0.226 | 0.175 | ||
| SNP3 | CC | 96 | 110.11 ± 44.76 | 109.47 ± 43.64 | 18.02 ± 5.08 | 110.32 ± 44.16 | 108.69 ± 43.33 | 17.52 ± 4.53 | 218.16 ± 86.33 | 5.78 ± 2.21 | 3.39 ± 2.87 | 4.44 ± 3.71 | 0.18 ± 0.07 | 0.18 ± 0.07 | 0.18 ± 0.06 |
| CT | 147 | 114.6 ± 48.24 | 112.3 ± 45.71 | 17.79 ± 5.03 | 112.9 ± 45.31 | 109.95 ± 45.79 | 16.59 ± 4.32 | 222.25 ± 90.87 | 5.78 ± 2.47 | 3.48 ± 3.70 | 5.87 ± 5.62 | 0.17 ± 0.07 | 0.18 ± 0.07 | 0.17 ± 0.06 | |
| TT | 56 | 118.39 ± 50.18 | 116.81 ± 47.88 | 16.91 ± 4.44 | 115.53 ± 51.26 | 113.83 ± 48.72 | 15.93 ± 4.66 | 235.02 ± 100.69 | 5.83 ± 2.64 | 3.30 ± 3.52 | 5.76 ± 4.28 | 0.16 ± 0.05 | 0.16 ± 0.05 | 0.17 ± 0.05 | |
| ANOVA P | 0.619 | 0.668 | 0.455 | 0.862 | 0.833 | 0.077 | 0.609 | 0.980 | 0.810 | 0.093 | 0.181 | 0.145 | 0.102 | ||
| Kruskal test P | 0.681 | 0.711 | 0.253 | 0.855 | 0.894 | 0.082 | 0.721 | 0.986 | 0.385 | 0.117 | 0.114 | 0.130 | 0.120 | ||
| SNP4 | AA | 62 | 117.02 ± 48.89 | 115.14 ± 46.97 | 17.07 ± 4.43 | 113.84 ± 50.16 | 112.06 ± 47.79 | 16.07 ± 4.5 | 231.19 ± 98.68 | 5.73 ± 2.53 | 3.19 ± 3.38 | 5.84 ± 4.24 | 0.16 ± 0.05 | 0.17 ± 0.05 | 0.16 ± 0.05 |
| GA | 151 | 115.17 ± 49.82 | 113.08 ± 47.36 | 17.9 ± 5.26 | 114.07 ± 46.87 | 110.95 ± 47.13 | 16.75 ± 4.66 | 224.03 ± 93.82 | 5.78 ± 2.49 | 3.56 ± 3.66 | 5.65 ± 5.58 | 0.17 ± 0.07 | 0.18 ± 0.07 | 0.17 ± 0.06 | |
| GG | 86 | 109.29 ± 42.03 | 108.66 ± 40.78 | 17.81 ± 4.73 | 109.01 ± 41.43 | 107.77 ± 40.95 | 17.29 ± 4.11 | 216.43 ± 81.11 | 5.84 ± 2.19 | 3.33 ± 2.97 | 4.62 ± 3.78 | 0.18 ± 0.07 | 0.18 ± 0.07 | 0.18 ± 0.06 | |
| ANOVA P | 0.651 | 0.738 | 0.594 | 0.803 | 0.904 | 0.224 | 0.718 | 0.895 | 0.797 | 0.250 | 0.422 | 0.319 | 0.287 | ||
| Kruskal test P | 0.730 | 0.794 | 0.423 | 0.761 | 0.899 | 0.162 | 0.797 | 0.890 | 0.665 | 0.227 | 0.279 | 0.310 | 0.283 | ||
| SNP5 | AA | 61 | 117.46 ± 49.17 | 115.56 ± 47.24 | 17 ± 4.43 | 114.23 ± 50.48 | 112.55 ± 48.04 | 16.01 ± 4.51 | 232.16 ± 99.2 | 5.77 ± 2.55 | 3.19 ± 3.41 | 5.86 ± 4.27 | 0.16 ± 0.05 | 0.16 ± 0.05 | 0.16 ± 0.05 |
| GA | 151 | 115.27 ± 49.93 | 113.21 ± 47.54 | 17.91 ± 5.27 | 114.3 ± 47.03 | 111.17 ± 47.37 | 16.78 ± 4.66 | 224.39 ± 94.25 | 5.79 ± 2.53 | 3.53 ± 3.64 | 5.61 ± 5.52 | 0.17 ± 0.07 | 0.18 ± 0.07 | 0.17 ± 0.06 | |
| GG | 87 | 108.9 ± 41.59 | 108.21 ± 40.21 | 17.83 ± 4.71 | 108.39 ± 40.87 | 107.09 ± 40.28 | 17.27 ± 4.08 | 215.3 ± 79.83 | 5.80 ± 2.12 | 3.39 ± 3.00 | 4.69 ± 3.93 | 0.18 ± 0.08 | 0.18 ± 0.07 | 0.18 ± 0.06 | |
| ANOVA P | 0.595 | 0.680 | 0.520 | 0.730 | 0.841 | 0.209 | 0.650 | 0.960 | 0.755 | 0.286 | 0.342 | 0.246 | 0.216 | ||
| Kruskal test P | 0.669 | 0.730 | 0.337 | 0.677 | 0.820 | 0.144 | 0.723 | 0.950 | 0.551 | 0.242 | 0.205 | 0.213 | 0.198 | ||
| SNP6 | AA | 11 | 108.18 ± 38.49 | 108.02 ± 34.09 | 17.16 ± 3.46 | 108 ± 43.79 | 104.99 ± 37.98 | 16.18 ± 3.42 | 236.13 ± 103.33 | 5.41 ± 2.24 | 3.76 ± 4.06 | 5.47b ± 6.84 | 0.17 ± 0.04 | 0.17 ± 0.04 | 0.17 ± 0.04 |
| GA | 115 | 119.13 ± 48.57 | 116.69 ± 46.13 | 18.16 ± 5.42 | 115.46 ± 46.45 | 113.24 ± 46.05 | 16.87 ± 4.64 | 229.93 ± 91.28 | 5.83 ± 2.33 | 4.27 ± 4.45 | 6.54a ± 5.75 | 0.16 ± 0.06 | 0.17 ± 0.06 | 0.16 ± 0.05 | |
| GG | 187 | 108.9 ± 45.83 | 107.98 ± 44.28 | 17.39 ± 4.64 | 108.93 ± 44.6 | 106.61 ± 44.36 | 16.67 ± 4.4 | 214.6 ± 88.07 | 5.73 ± 2.39 | 3.15 ± 2.89 | 4.49b ± 3.82 | 0.18 ± 0.07 | 0.18 ± 0.07 | 0.18 ± 0.07 | |
| ANOVA P | 0.179 | 0.258 | 0.413 | 0.472 | 0.436 | 0.896 | 0.298 | 0.863 | 0.132 | 0.002 | 0.415 | 0.292 | 0.177 | ||
| Kruskal test P | 0.249 | 0.313 | 0.853 | 0.554 | 0.567 | 0.942 | 0.398 | 0.873 | 0.503 | 0.004 | 0.419 | 0.463 | 0.368 | ||
| Haplotype | N | LTV 1 | LTW 2 | LEW 3 | RTV 4 | RTW 5 | REW 6 | TTW 7 | TI 8 (‰) | VCTW 9 (%) | VCEW 10 (%) | REW/ RTW 11 | LEW/ LTW 12 | TEW/ TTW 13 |
|---|---|---|---|---|---|---|---|---|---|---|---|---|---|---|
| CTTTCTGAGAGA | 64 | 119.38 ± 53.49 | 115.67 ± 49.85 | 18.39 ± 5.78 | 116.08 ± 48.25 | 112.81 ± 48.49 | 16.74 ± 4.45 | 228.48 ± 97.57 | 5.93 ± 2.55 | 4.46 ± 4.44 | 7.37a ± 6.83 | 0.16 ± 0.06 | 0.17 ± 0.06 | 0.17 ± 0.05 |
| CTTTTTAAAAGA | 27 | 119.26 ± 49.61 | 117.87 ± 48.84 | 16.66 ± 4.94 | 116.81 ± 51.62 | 114.57 ± 49.53 | 15.72 ± 5.46 | 232.44 ± 97.73 | 5.53 ± 2.52 | 3.48 ± 3.75 | 5.71ab ± 4.28 | 0.15 ± 0.05 | 0.16 ± 0.05 | 0.15 ± 0.05 |
| TTTTCCGGGGGG | 79 | 104.68 ± 39.75 | 104.03 ± 38.48 | 17.49 ± 4.55 | 104.49 ± 38.85 | 103.09 ± 38.09 | 16.95 ± 3.95 | 207.11 ± 75.91 | 5.65 ± 2.11 | 3.39 ± 3.03 | 4.52b ± 3.82 | 0.18 ± 0.07 | 0.19 ± 0.07 | 0.18 ± 0.06 |
| TTTTCTGAGAGG | 56 | 104.39 ± 43.16 | 103.91 ± 41.77 | 16.95 ± 4.63 | 106.36 ± 43.18 | 102.3 ± 43.97 | 16.16 ± 4.6 | 206.21 ± 85.16 | 5.40 ± 2.42 | 2.89 ± 3.09 | 4.66b ± 4.15 | 0.18 ± 0.07 | 0.19 ± 0.08 | 0.18 ± 0.07 |
| Anova P | 0.209 | 0.327 | 0.360 | 0.448 | 0.445 | 0.435 | 0.381 | 0.666 | 0.195 | 0.009 | 0.257 | 0.22 | 0.104 | |
| Kruskal test P | 0.337 | 0.453 | 0.373 | 0.548 | 0.618 | 0.309 | 0.506 | 0.687 | 0.319 | 0.030 | 0.118 | 0.205 | 0.125 | |
© 2020 by the authors. Licensee MDPI, Basel, Switzerland. This article is an open access article distributed under the terms and conditions of the Creative Commons Attribution (CC BY) license (http://creativecommons.org/licenses/by/4.0/).
Share and Cite
Yuan, Z.; Luo, J.; Wang, L.; Li, F.; Li, W.; Yue, X. Expression of DAZL Gene in Selected Tissues and Association of Its Polymorphisms with Testicular Size in Hu Sheep. Animals 2020, 10, 740. https://doi.org/10.3390/ani10040740
Yuan Z, Luo J, Wang L, Li F, Li W, Yue X. Expression of DAZL Gene in Selected Tissues and Association of Its Polymorphisms with Testicular Size in Hu Sheep. Animals. 2020; 10(4):740. https://doi.org/10.3390/ani10040740
Chicago/Turabian StyleYuan, Zehu, Jing Luo, Li Wang, Fadi Li, Wanhong Li, and Xiangpeng Yue. 2020. "Expression of DAZL Gene in Selected Tissues and Association of Its Polymorphisms with Testicular Size in Hu Sheep" Animals 10, no. 4: 740. https://doi.org/10.3390/ani10040740
APA StyleYuan, Z., Luo, J., Wang, L., Li, F., Li, W., & Yue, X. (2020). Expression of DAZL Gene in Selected Tissues and Association of Its Polymorphisms with Testicular Size in Hu Sheep. Animals, 10(4), 740. https://doi.org/10.3390/ani10040740
