Oral and Maxillofacial Anatomy

A special issue of Anatomia (ISSN 2813-0545).

Deadline for manuscript submissions: 28 February 2026 | Viewed by 1624

Special Issue Editor


E-Mail Website
Guest Editor
Department of Anatomy, Brandenburg Medical School Theodor Fontane, Brandenburg an der Havel, Germany
Interests: clinical anatomy; anatomical variations; comparative anatomy; dental anatomy; macroscopic anatomy

Special Issue Information

Dear Colleagues,

It is my pleasure to invite you to contribute to the Special Issue entitled “Oral and Maxillofacial Anatomy". The complex anatomy and embryology of the oral cavity and the stomatognathic system are of great interest not only in dentistry and oral surgery, but also in related fields such as forensic medicine, ENT, pediatrics, anthropology, and evolutionary biology.

This Special Issue aims to bring together experts conducting research, especially in clinical and macroscopic anatomy. Authors conducting studies on these topics are welcome to submit original research articles, reviews, short communications, and case reports on anatomical variations.

Prof. Dr. Sven Schumann
Guest Editor

Manuscript Submission Information

Manuscripts should be submitted online at www.mdpi.com by registering and logging in to this website. Once you are registered, click here to go to the submission form. Manuscripts can be submitted until the deadline. All submissions that pass pre-check are peer-reviewed. Accepted papers will be published continuously in the journal (as soon as accepted) and will be listed together on the special issue website. Research articles, review articles as well as short communications are invited. For planned papers, a title and short abstract (about 250 words) can be sent to the Editorial Office for assessment.

Submitted manuscripts should not have been published previously, nor be under consideration for publication elsewhere (except conference proceedings papers). All manuscripts are thoroughly refereed through a single-blind peer-review process. A guide for authors and other relevant information for submission of manuscripts is available on the Instructions for Authors page. Anatomia is an international peer-reviewed open access quarterly journal published by MDPI.

Please visit the Instructions for Authors page before submitting a manuscript. The Article Processing Charge (APC) for publication in this open access journal is 1000 CHF (Swiss Francs). Submitted papers should be well formatted and use good English. Authors may use MDPI's English editing service prior to publication or during author revisions.

Keywords

  • oral cavity
  • teeth
  • viscerocranium
  • clinical anatomy
  • anatomical variations
  • dentistry

Benefits of Publishing in a Special Issue

  • Ease of navigation: Grouping papers by topic helps scholars navigate broad scope journals more efficiently.
  • Greater discoverability: Special Issues support the reach and impact of scientific research. Articles in Special Issues are more discoverable and cited more frequently.
  • Expansion of research network: Special Issues facilitate connections among authors, fostering scientific collaborations.
  • External promotion: Articles in Special Issues are often promoted through the journal's social media, increasing their visibility.
  • Reprint: MDPI Books provides the opportunity to republish successful Special Issues in book format, both online and in print.

Further information on MDPI's Special Issue policies can be found here.

Published Papers (2 papers)

Order results
Result details
Select all
Export citation of selected articles as:

Research

10 pages, 1443 KB  
Article
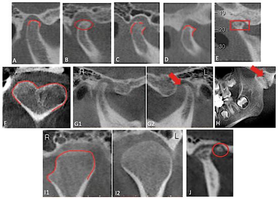
Osseous Changes and Morphometric Measurements in the Temporomandibular Joint in Different Malocclusion Types
by Simge Eşme, Kaan Orhan, Aslıhan Akbulut, Emre Cesur and Bayram Ufuk Şakul
Anatomia 2025, 4(4), 20; https://doi.org/10.3390/anatomia4040020 - 10 Dec 2025
Viewed by 213
Abstract
Background/Objectives: The relationship between occlusion and temporomandibular joint is controversial in the scientific literature. The aim of this study is to evaluate the bone changes in the temporomandibular joint and surrounding bone structures and to determine the effect of malocclusions on the temporomandibular [...] Read more.
Background/Objectives: The relationship between occlusion and temporomandibular joint is controversial in the scientific literature. The aim of this study is to evaluate the bone changes in the temporomandibular joint and surrounding bone structures and to determine the effect of malocclusions on the temporomandibular joint by making morphometric measurements in different skeletal classes using three-dimensional cone beam computed tomography images. Methods: A total of 90 patients (30 class I, 30 class II and 30 class III) were included in the study. In each skeletal pattern, condylar osseous changes were evaluated and articular eminence inclination and height, condylar diameters were measured. It was also divided into two age groups: 18–29 and 30 and over. Results: Articular eminence inclination measured with the best-fit line method was significantly higher in Class II compared with class I and III, and in individuals aged ≥30 years. Among osseous changes, only condylar flattening showed a significant age-related increase. The mediolateral condylar diameter was greater in males than females, while the anteroposterior diameter was higher in the ≥30-year age group. Conclusions: Temporomandibular joint morphology demonstrates age- and function-related adaptive remodeling, particularly in articular eminence inclination and condylar dimensions. CBCT-based assessment of these morphological features may assist clinicians in diagnosis and treatment planning, although further studies with larger prospective cohorts are warranted. Full article
(This article belongs to the Special Issue Oral and Maxillofacial Anatomy)
Show Figures

Figure 1

22 pages, 4584 KB  
Article
Human Mandible: Anatomical Variation and Adaptations over the Last 2000 Years
by Flavio De Angelis, Anna Russo, Antonio Nappo, Giovanna Cataldo, Marina Alessandrella, Silvia Iorio, Valentina Gazzaniga, Paola Francesca Rossi, Antonio De Luca, Dardo Menditti and Alfonso Reginelli
Anatomia 2025, 4(4), 18; https://doi.org/10.3390/anatomia4040018 - 7 Nov 2025
Viewed by 1086
Abstract
Background/Objectives: This study explores the evolution and morphology of the human mandible, focusing on recent changes and adaptations over the last 2000 years. It aims to examine how functional, genetic, and environmental factors influence mandibular size, shape, and sexual dimorphism by analyzing key [...] Read more.
Background/Objectives: This study explores the evolution and morphology of the human mandible, focusing on recent changes and adaptations over the last 2000 years. It aims to examine how functional, genetic, and environmental factors influence mandibular size, shape, and sexual dimorphism by analyzing key anatomical landmarks—the horizontal ramus (HR), ascending ramus (AR), and mandibular angle (MA). Methods: A retrospective approach was employed using computed tomography (CT) scans of 39 mandibular samples from various historical periods, ranging from the Roman Imperial Age to the present day. Imaging was conducted using a 64-slice multislice computed tomography (MSCT) scanner, and the resulting data were processed to generate detailed 3D reconstructions for morphological assessment. Results: The analysis reveals that present-day samples exhibit significantly less variation in AR and MA compared to archaeological specimens, suggesting a trend of gracilization over time. Statistically significant differences were found in MA, likely influenced by environmental, dietary, and cultural factors. Correlation analysis showed moderate to weak relationships between AR, HR, and MA across sample groups, with significant sexual dimorphism in AR within the archaeological sample. Principal Component Analysis (PCA) further supported these findings, demonstrating a clear distinction between gracile modern mandibles and more robust ancient ones. Conclusions: These findings provide insights into the evolutionary trajectory of the human mandible, underscoring the influence of dietary and cultural shifts on mandibular structure over the past two millennia. Full article
(This article belongs to the Special Issue Oral and Maxillofacial Anatomy)
Show Figures

Figure 1

Back to TopTop