Postoperative Intestinal Intussusception in Polytraumatized Adult Patient: A Case Report
Abstract
1. Introduction
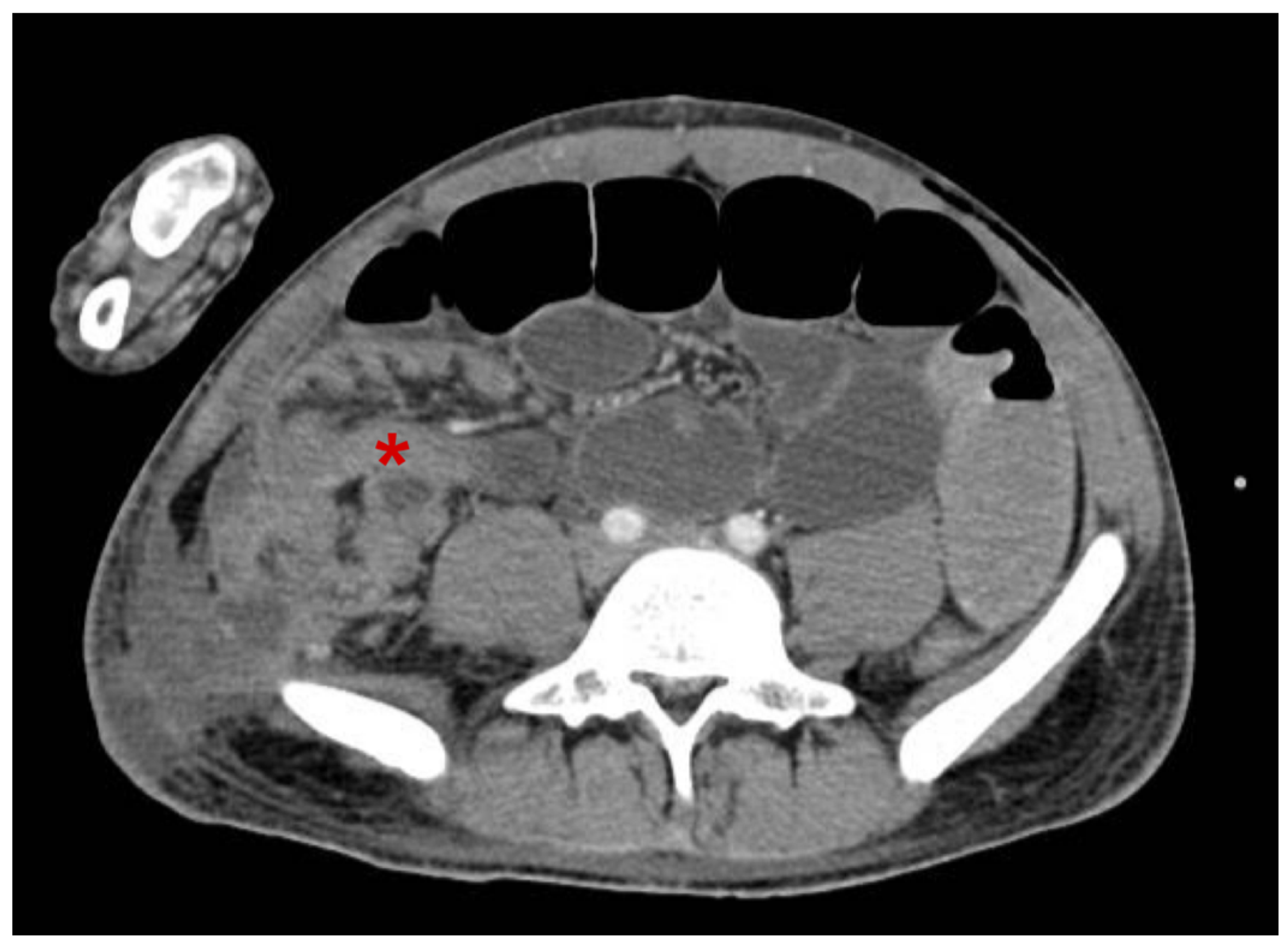
2. Case Report
3. Discussion
4. Conclusions
Author Contributions
Funding
Institutional Review Board Statement
Informed Consent Statement
Data Availability Statement
Conflicts of Interest
References
- Aguirre, F.; Silva, Á.; Parra, P.; Salcedo, D.; López, P.; Acevedo, Y. Intussusception as cause of intestinal obstruction in the adult: A challenge for surgeons. Rev. Colomb. Cir. 2019, 34, 79–86. [Google Scholar] [CrossRef]
- Guillén, M.P.; Campillo, A.; Martín, J.G.; Torralba, J.A.; Mengual, M.; Cases, M.J.; Aguayo-Albasini, J.L. Adult intussusception—14 case reports and their outcomes. Rev. Esp. Enferm. Dig. 2010, 102, 32–36. [Google Scholar]
- Baldin, A.V.; De Rungs, B.D.R.; Ruiz, G.M.; Azcoitia, M.F. Intussusception in adults. Acta Med. 2014, 12, 137–140. [Google Scholar]
- Ludvigsson, J.F.; Nordenskjöld, A.; Murray, J.A.; Olén, O. A large nationwide population based case control study of the association between intussusception and later celiac disease. BMC Gastroenterol. 2013, 13, 89. [Google Scholar] [CrossRef] [PubMed]
- Erkan, N.; Haciyanli, M.; Yildirim, M.; Sayhan, H.; Vardar, E.; Polat, A.F. Intussusception in adults: An unusual and challenging condition for surgeons. Int. J. Colorectal Dis. 2005, 20, 452–456. [Google Scholar] [CrossRef] [PubMed]
- Shenoy, S.; Cassim, R. Metastatic melanoma to the gastrointestinal tract: Role of surgery as palliative treatment. West. Virginia Med. J. 2013, 109, 30–33. [Google Scholar]
- Azar, T.; Berger, D.L. Adult intussusception. Ann. Surg. 1997, 226, 134–138. [Google Scholar] [CrossRef] [PubMed]
- Gayer, G.; Zissin, R.; Apter, S.; Papa, M.; Hertz, M. Pictorial review: Adult intussusception a CT diagnosis. Br. J. Radiol. 2002, 75, 185–190. [Google Scholar] [CrossRef] [PubMed]
- Park, S.B.; Ha, H.K.; Kim, A.Y.; Lee, S.S.; Kim, H.J.; Park, B.J.; Jin, Y.H.; Park, S.H.; Kim, K.W. The diagnostic role of abdominal CT imaging findings in adults intussusception: Focused on the vascular compromise. Eur. J. Radiol. 2007, 62, 406–415. [Google Scholar] [CrossRef] [PubMed]
- Takeuchi, K.; Tsuzuki, Y.; Ando, T.; Sekihara, M.; Hara, T.; Kori, T.; Kuwano, H. The diagnosis and treatment of adult intussusception. J. Clin. Gastroenterol. 2003, 36, 18–21. [Google Scholar] [CrossRef] [PubMed]
- Ishibashi, Y.; Yamamoto, S.; Yamada, Y.; Fujita, S.; Akasu, T.; Moriya, Y. Laparoscopic resection for malignant lymphoma of the ileum causing ileocecal intussusception. Surg. Laparosc. Endosc. Percutan Tech. 2007, 17, 444–446. [Google Scholar] [CrossRef] [PubMed]
- Fisher, J.G.; Sparks, E.A.; Turner, C.G.; Klein, J.D.; Pennington, E.; Khan, F.A.; Zurakowski, D.; Durkin, E.T.; Fauza, D.O.; Modi, B.P. Operative indications in recurrent ileocolic intussusception. J. Pediatr. Surg. 2015, 50, 126–130. [Google Scholar] [CrossRef] [PubMed]


Disclaimer/Publisher’s Note: The statements, opinions and data contained in all publications are solely those of the individual author(s) and contributor(s) and not of MDPI and/or the editor(s). MDPI and/or the editor(s) disclaim responsibility for any injury to people or property resulting from any ideas, methods, instructions or products referred to in the content. |
© 2024 by the authors. Licensee MDPI, Basel, Switzerland. This article is an open access article distributed under the terms and conditions of the Creative Commons Attribution (CC BY) license (https://creativecommons.org/licenses/by/4.0/).
Share and Cite
Jaimes González, C.V.; Pereira Velásquez, M.J.; Unigarro Villota, J.P.; Mora Lozada, A.P. Postoperative Intestinal Intussusception in Polytraumatized Adult Patient: A Case Report. Complications 2024, 1, 32-36. https://doi.org/10.3390/complications1020006
Jaimes González CV, Pereira Velásquez MJ, Unigarro Villota JP, Mora Lozada AP. Postoperative Intestinal Intussusception in Polytraumatized Adult Patient: A Case Report. Complications. 2024; 1(2):32-36. https://doi.org/10.3390/complications1020006
Chicago/Turabian StyleJaimes González, Claudia Viviana, María José Pereira Velásquez, Juan Pablo Unigarro Villota, and Adriana Patricia Mora Lozada. 2024. "Postoperative Intestinal Intussusception in Polytraumatized Adult Patient: A Case Report" Complications 1, no. 2: 32-36. https://doi.org/10.3390/complications1020006
APA StyleJaimes González, C. V., Pereira Velásquez, M. J., Unigarro Villota, J. P., & Mora Lozada, A. P. (2024). Postoperative Intestinal Intussusception in Polytraumatized Adult Patient: A Case Report. Complications, 1(2), 32-36. https://doi.org/10.3390/complications1020006

