Pathological Changes of the Rumen in Small Ruminants Associated with Indigestible Foreign Objects
Abstract
:1. Introduction
2. Materials and Methods
2.1. Animals
2.2. Surgical Procedures
2.3. Pathological Studies
2.4. Statistical Analyses
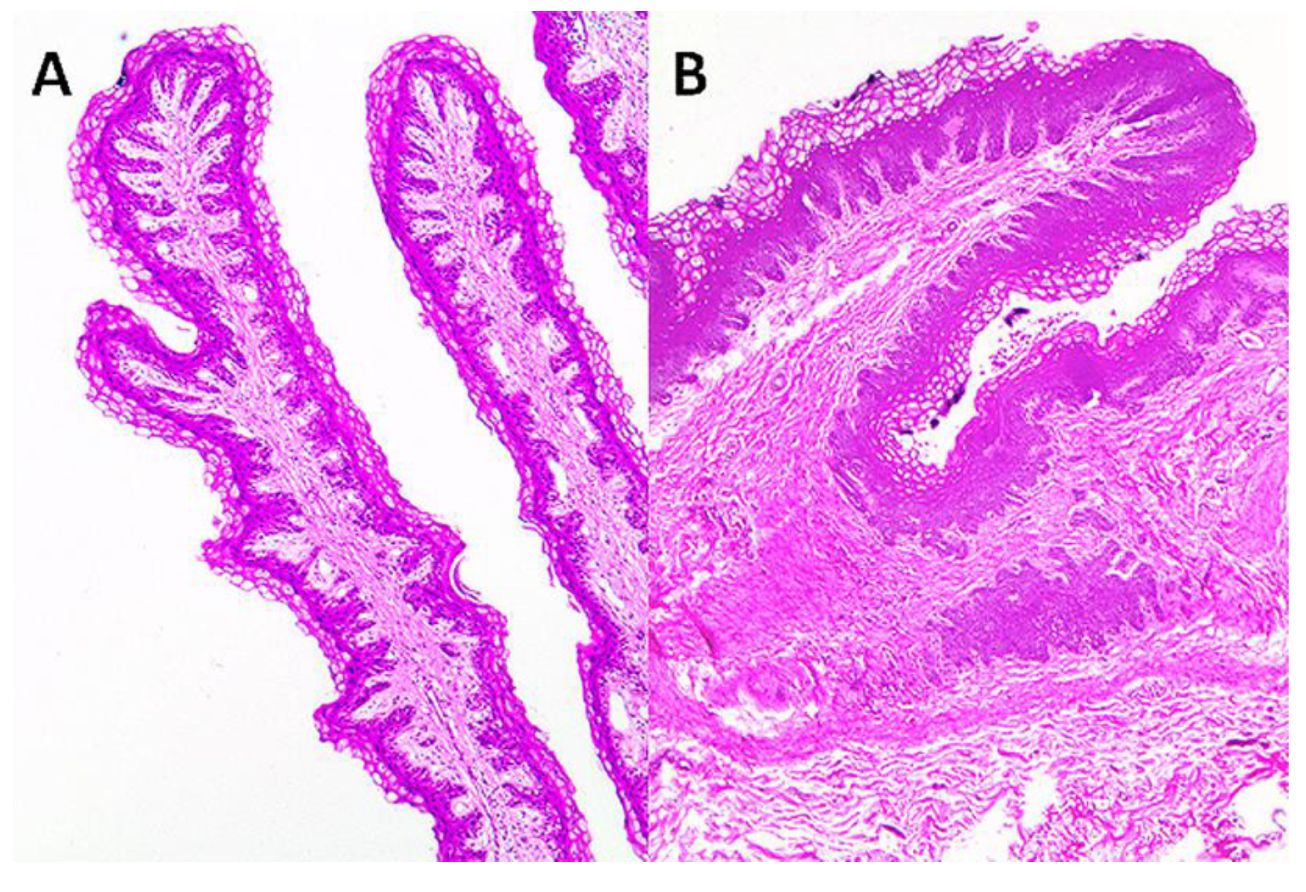
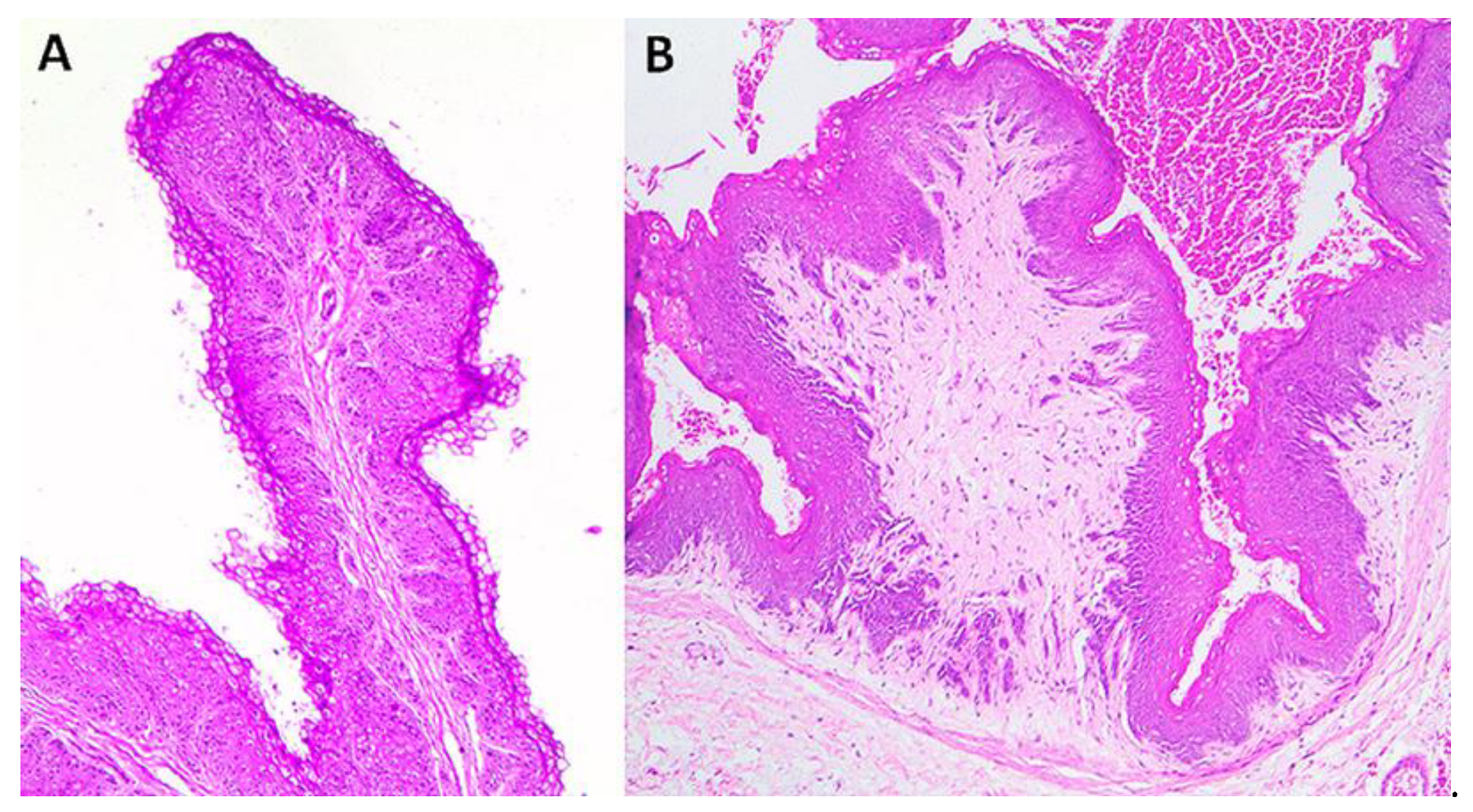
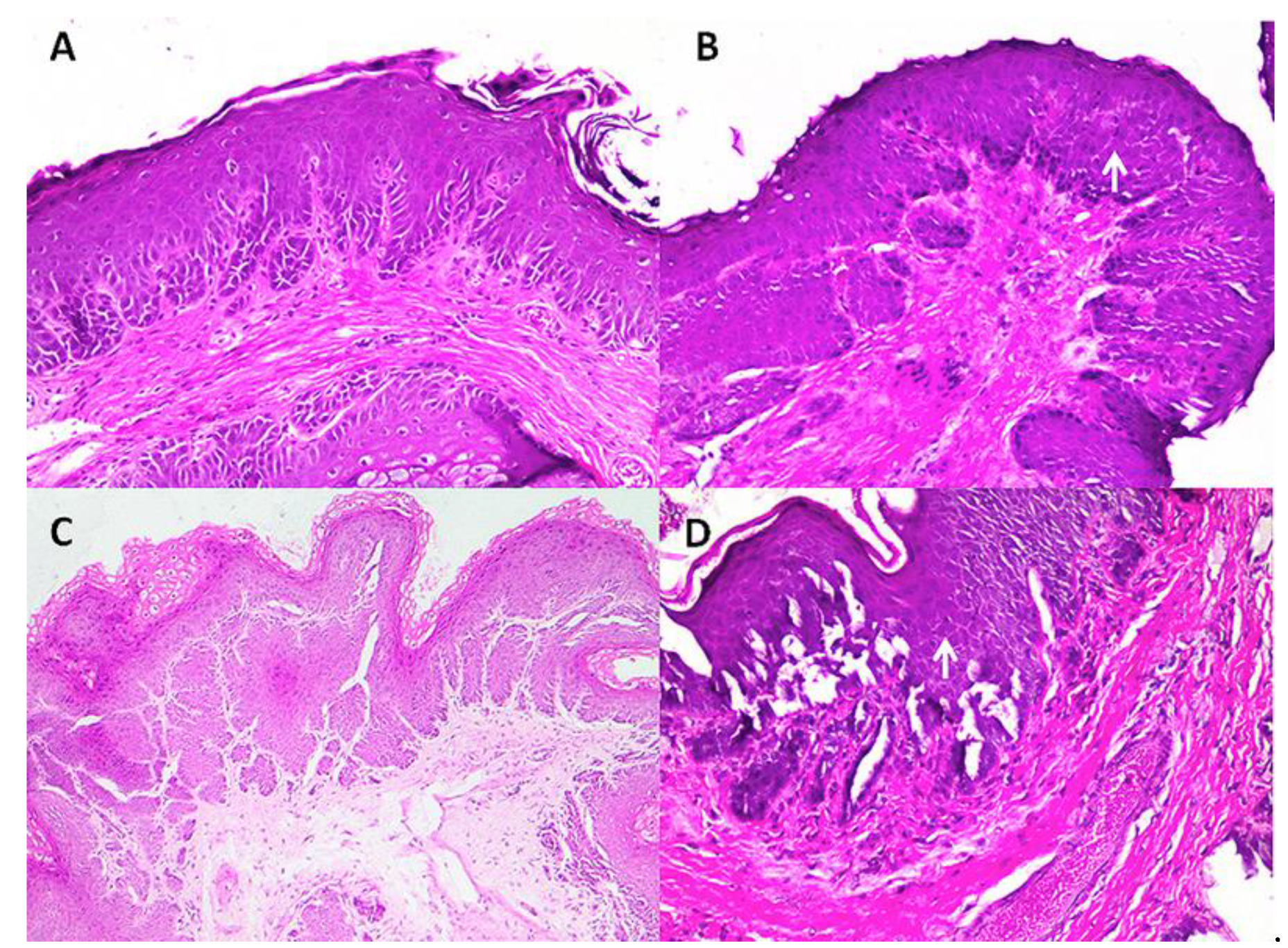
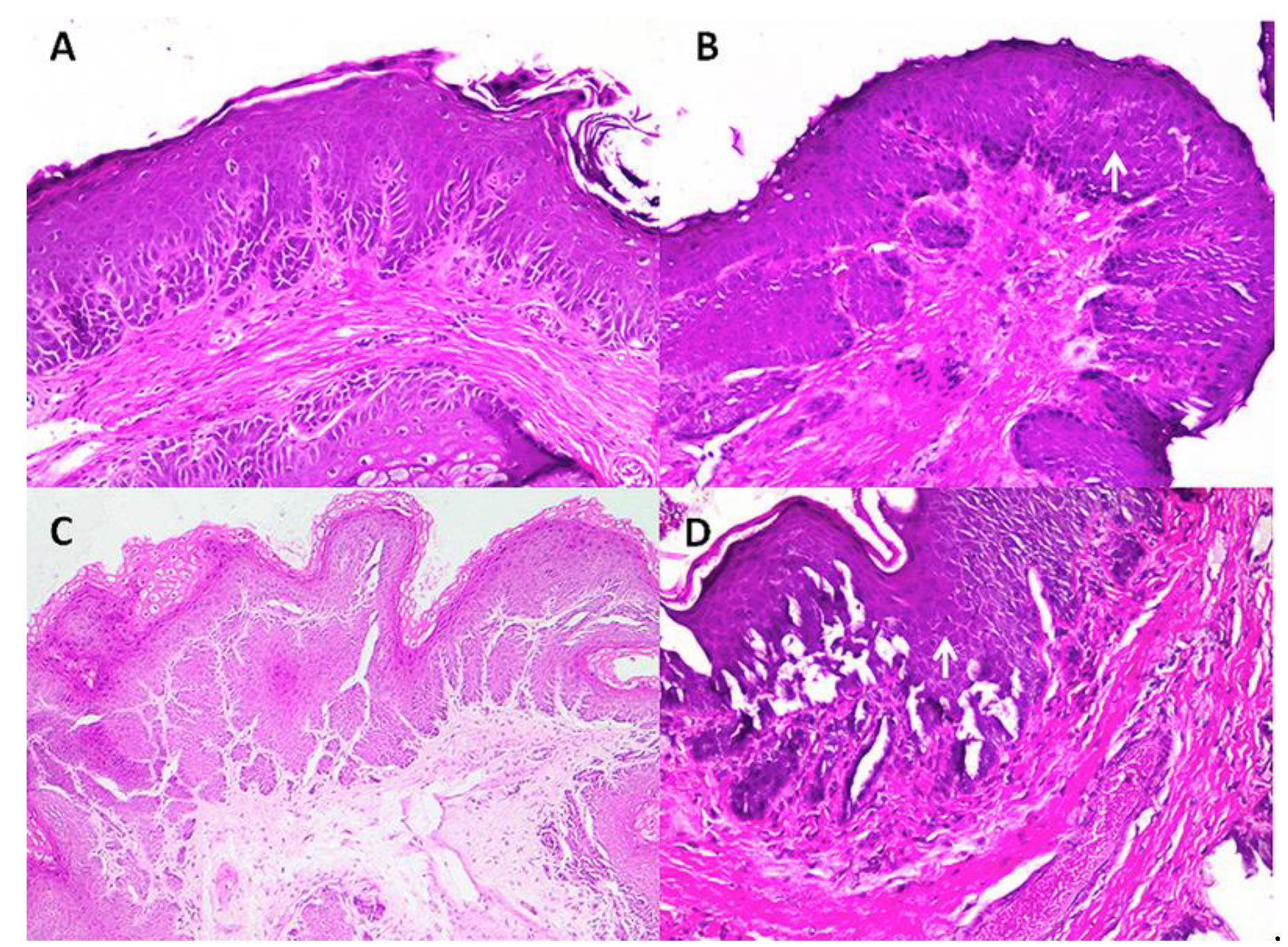
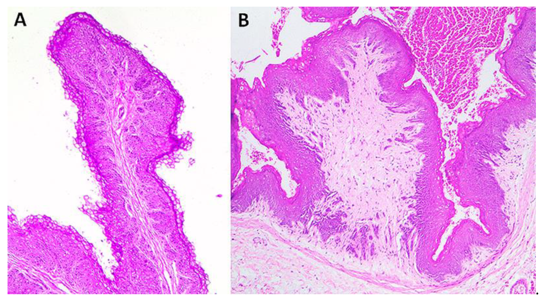
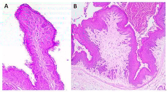
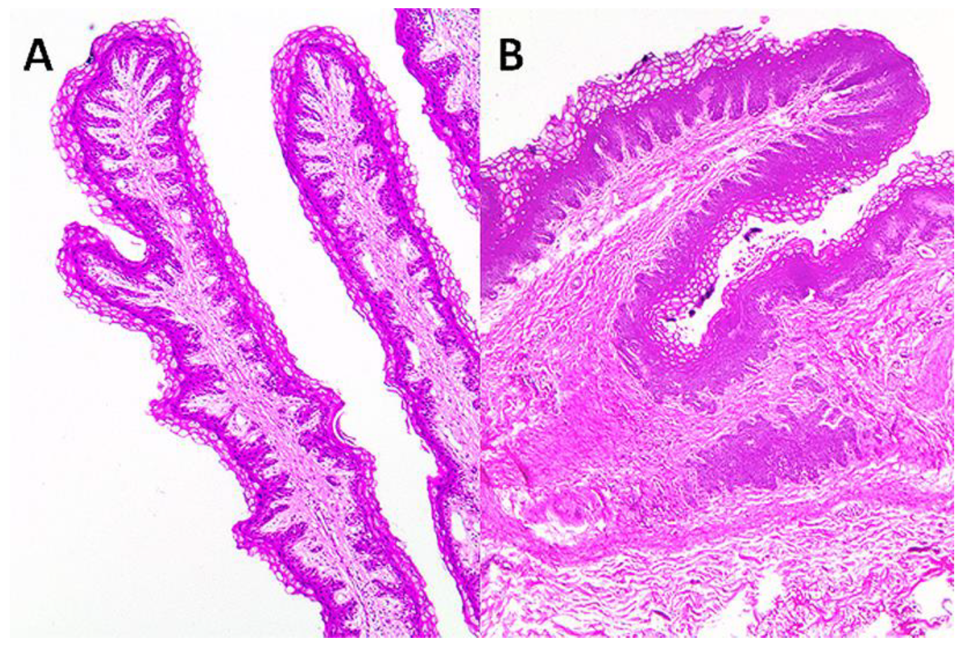
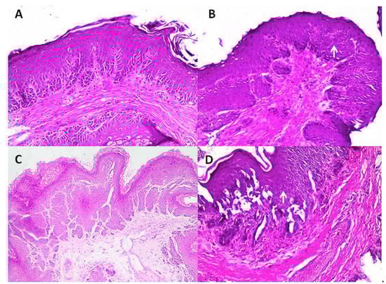
3. Results
4. Discussion
5. Conclusions
Author Contributions
Funding
Institutional Review Board Statement
Informed Consent Statement
Data Availability Statement
Acknowledgments
Conflicts of Interest
References
- Abdullah, L. The Development of Integrated Forage Production System for Ruminants in Rainy Tropical Regions-the Case of Research and Extension Activity in Java, Indonesia. Bull. Fac. Agric. Univ. 2006, 58, 125–128. [Google Scholar]
- Ajila, C.M.; Brar, S.K.; Verma, M.; Tyagi, R.D.; Godbout, S.; Valéro, J.R. Bio-processing of agro-byproducts to animal feed. Crit. Rev. Biotechnol. 2012, 32, 382–400. [Google Scholar] [CrossRef] [PubMed]
- Abubakr, A.; Alimon, A.R.; Yaakub, H.; Abdullah, N.; Ivan, M. Effect of feeding palm oil by-products based diets on muscle fatty acid composition in goats. PLoS ONE 2015, 10, e0119756. [Google Scholar] [CrossRef] [PubMed] [Green Version]
- Ahmed, S.T.; Lee, J.-W.; Mun, H.-S.; Yang, C.-J. Effects of supplementation with green tea by-products on growth performance, meat quality, blood metabolites and immune cell proliferation in goats. J. Anim. Physiol. Anim. Nutr. 2015, 99, 1127–1137. [Google Scholar] [CrossRef] [PubMed]
- Ben Salem, H.; Priolo, A.; Morand-Fehr, P. Shrubby vegetation and agro-industrial by-products as alternative feed resources for sheep and goats: Effects on digestion, performance and product quality. Anim. Feed Sci. Technol. 2008, 147, 1–2. [Google Scholar] [CrossRef]
- Foster, D. Disorders of Rumen Distension and Dysmotility. Vet. Clin. N. Am. Food Anim. Pract. 2017, 33, 499–512. [Google Scholar] [CrossRef]
- Abu-Seida, A.M.; Al-Abbadi, O.S. Studies on sharp foreign body syndrome in iraqi buffaloes and its impact on milk production. Asian J. Anim. Sci. 2015, 9, 128–133. [Google Scholar] [CrossRef] [Green Version]
- Nongcula, V.V.; Zhou, L.; Nhundu, K.; Jaja, I.F. Association between the prevalence of indigestible foreign objects in the gastrointestinal tract of slaughtered cattle and body condition score. Animals 2017, 7, 80. [Google Scholar] [CrossRef] [Green Version]
- Priyanka, M.; Dey, S. Ruminal impaction due to plastic materials-An increasing threat to ruminants and its impact on human health in developing countries. Vet. World 2018, 11, 1307–1315. [Google Scholar] [CrossRef] [Green Version]
- Akraiem, A.; Abd Al-Galil, A.S.A. Rumen impaction in cattle due to plastic materials. J. Vet. Med. Res. 2016, 23, 9–14. [Google Scholar]
- Bwatota, S.F.; Makungu, M.; Nonga, H.E. Occurrences of Indigestible Foreign Bodies in Cattle Slaughtered at Morogoro Municipal Slaughterhouse, Tanzania. J. Vet. Med. 2018, 2018, 4818203. [Google Scholar] [CrossRef] [PubMed] [Green Version]
- Mushonga, B.; Habarugira, G.; Musabyemungu, A.; Udahemuka, J.C.; Jaja, F.I.; Pepe, D. Investigations of foreign bodies in the fore-stomach of cattle at ngoma slaughterhouse, rwanda. J. S. Afr. Vet. Assoc. 2015, 86, 1–6. [Google Scholar] [CrossRef] [PubMed] [Green Version]
- Negash, S.; Sibhat, B.; Sheferaw, D. A postmortem study on indigestible foreign bodies in the rumen and reticulum of ruminants, Eastern Ethiopia. Onderstepoort J. Vet. Res. 2015, 82, 1–5. [Google Scholar] [CrossRef] [Green Version]
- Sheferaw, D.; Gebru, F.; Asrat, M.; Tesfaye, D.; Debela, E. Ingestion of indigestible foreign materials by free grazing ruminants in Amhara Region, Ethiopia. Trop. Anim. Health Prod. 2014, 46, 247–250. [Google Scholar] [CrossRef]
- Dharmaceelan, S.; Kumaresan, A. Kanjanadevi Surgical management of ruminal impaction due to indigestible foreign bodies in cattle. Intas Polivet 2017, 2, 26–27. [Google Scholar]
- Dharmaceelan, S.; Kumaresan, A. Devi Kanjana Surgical Management of Ruminal Impaction in a Goat. Intas Polivet 2017, 18, 329–330. [Google Scholar]
- Eriksen, M.; Lusher, A.; Nixon, M.; Wernery, U. The plight of camels eating plastic waste. J. Arid Environ. 2021, 185, 104374. [Google Scholar] [CrossRef]
- Fromsa, A.; Mohammed, N. Prevalence of indigestible foreign body ingestion in small ruminants slaughtered at Luna Export Abattoir, East Shoa, Ethiopia. J. Anim. Vet. Adv. 2011, 10, 1598–1602. [Google Scholar]
- Hayder, A.M.; Bakhiet, A.O.; Mohammed, A.A. Retrospective Study on the Prevalence of Foreign Body in Goats’ Rumen: Omdurman Province, Khartoum State, Sudan (1998–2002). J. Anim. Vet. Adv. 2006, 5, 449–451. [Google Scholar]
- Hayder, A.M. Survey Study of Foreign Body in Caprine Rumen in Khartoum State. Ph.D. Thesis, Sudan University of Science and Technology, Khartoum, Sudan, 2004. [Google Scholar]
- Igbokwe, I.O.; Kolo, M.Y.; Egwu, G.O. Rumen impaction in sheep with indigestible foreign bodies in the semi-arid region of Nigeria. Small Rumin. Res. 2003, 49, 141–146. [Google Scholar] [CrossRef]
- Kh, S.; Sarkar, D.; Gn, R.; Dh, C.; Vishwanth, S. Review of literature with a case report: Severe ruminal impaction caused by different types of foreign bodies in the rumen of a post parturient boer goat. Pharma Innov. J. 2019, 8, 171–175. [Google Scholar]
- Beriot, N.; Peek, J.; Zornoza, R.; Geissen, V.; Huerta Lwanga, E. Low density-microplastics detected in sheep faeces and soil: A case study from the intensive vegetable farming in Southeast Spain. Sci. Total Environ. 2021, 755, 142653. [Google Scholar] [CrossRef] [PubMed]
- Mahadappa, P.; Krishnaswamy, N.; Karunanidhi, M.; Bhanuprakash, A.G.; Bindhuja, B.V.; Dey, S. Effect of plastic foreign body impaction on rumen function and heavy metal concentrations in various body fluids and tissues of buffaloes. Ecotoxicol. Environ. Saf. 2020, 189, 109972. [Google Scholar] [CrossRef] [PubMed]
- Olatunji-Akioye, O.A.; Olawoyin, C.M.; Oyeyemi, M.O. Incidence and consequence of surgical removal of gastric foreign bodies in West African Dwarf goats in Ibadan. Anim. Res. Int. 2019, 16, 3478–3483. [Google Scholar]
- Raoofi, A.; Namjoo, A.; Karimi, A.H.; Alizadeh Esfahani, M. A study of clinical signs, hematological changes and pathological findings of experimental ingestion of soft foreign body (plastic rope) in goats. Small Rumin. Res. 2012, 105, 351–354. [Google Scholar] [CrossRef]
- Otsyina, H.R.; Mbuthia, P.G.; Nguhiu-Mwangi, J.; Mogoa, E.G.M.; Ogara, W.O. Gross and histopathologic findings in sheep with plastic bags in the rumen. Int. J. Vet. Sci. Med. 2017, 5, 152–158. [Google Scholar] [CrossRef]
- Sadan, M.; El-Shafaey, E.S.; Al-Sobayil, F. Diagnosis and treatment of foreign bodies swallowing syndrome in camels (Camelus dromedarius) with special reference to the role of mineral deficiency. J. Vet. Med. Sci. 2020, 82, 1097–1103. [Google Scholar] [CrossRef]
- Hailat, N.; Nouh, S.; Al-Darraji, A.; Lafi, S.; Al-Ani, F.; Al-Majali, A. Prevalence and pathology of foreign bodies (plastics) in awassi sheep in jordan. Small Rumin. Res. 1997, 24, 43–48. [Google Scholar] [CrossRef]
- Hailat, N.; Al-Darraji, A.; Lafi, S.; Barakat, S.A.; Al-Ani, F.; El-Magrhaby, H.; Al-Qudah, K.; Gharaibeh, S.; Rousan, M.; Al-Smadi, M. Pathology of the rumen in goats caused by plastic foreign bodies with reference to its prevalence in Jordan. Small Rumin. Res. 1998, 30, 77–83. [Google Scholar] [CrossRef]
- Canary Islands Institute of Statistics (ISTAC). Available online: http://www.gobiernodecanarias.org/istac/ (accessed on 10 July 2021).
- Niehaus, A.J.A.J. Rumenotomy. Vet. Clin. N. Am. Food Anim. Pract. 2008, 24, 341–347. [Google Scholar] [CrossRef]
- Martin, S.; López, A.M.; Morales, M.; Morales, I.; Tejedor-Junco, M.T.; Corbera, J.A. Rumenotomy in small ruminants—A review. J. Appl. Anim. Res. 2021, 49, 104–108. [Google Scholar] [CrossRef]
- Lesmeister, K.E.; Tozer, P.R.; Heinrichs, A.J. Development and Analysis of a Rumen Tissue Sampling Procedure. J. Dairy Sci. 2004, 87, 1336–1344. [Google Scholar] [CrossRef] [Green Version]
- Leask, R.; Bath, G.F. Rumenolith formation in a Bapedi ram. J. S. Afr. Vet. Assoc. 2012, 83, 1–4. [Google Scholar] [CrossRef] [Green Version]
- Hartnack, A.K.A.K.; Niehaus, A.J.A.J.; Rousseau, M.; Pentecost, R.L.R.L.; Miesner, M.D.M.D.; Anderson, D.E.D.E. Indications for and factors relating to outcome after rumenotomy or rumenostomy in cattle: 95 cases (1999–2011). J. Am. Vet. Med. Assoc. 2015, 247, 659–664. [Google Scholar] [CrossRef]
- Uzal, F.A.; Plattner, B.L.; Hostetter, J.M. Alimentary System. Jubb Kennedy Palmer’s Pathol. Domest. Anim. 2016, 2, 1–257.e2. [Google Scholar]
- Riner, J.L.; Byford, R.L.; Stratton, L.G.; Hair, J.A. Influence of density and location on degradation of sustained-release boluses given to cattle. Am. J. Vet. Res. 1982, 43, 2028–2030. [Google Scholar] [PubMed]
- Caja, G.; Conill, C.; Nehring, R.; Ribó, O. Development of a ceramic bolus for the permanent electronic identification of sheep, goat and cattle. Comput. Electron. Agric. 1999, 24, 45–63. [Google Scholar] [CrossRef]
- Garin, D.; Caja, G.; Conill, C. Performance and effects of small ruminal boluses for the electronic identification of fattening lambs. Livest. Prod. Sci. 2005, 92, 47–58. [Google Scholar] [CrossRef]
- Flatt, W.P.; Warner, R.G.; Loosli, J.K. Influence of Purified Materials on the Development of the Ruminant Stomach. J. Dairy Sci. 1958, 41, 1593–1600. [Google Scholar] [CrossRef]
- Heinrichs, J. Rumen Development in the Dairy Calf Rudimentary Reticulo-Rumen Changes in Rumen Epithelium. Technology 2005, 17, 179–187. [Google Scholar]
- Khan, M.A.; Lee, H.J.; Lee, W.S.; Kim, H.S.; Ki, K.S.; Hur, T.Y.; Suh, G.H.; Kang, S.J.; Choi, Y.J. Structural growth, rumen development, and metabolic and immune responses of Holstein male calves fed milk through step-down and conventional methods. J. Dairy Sci. 2007, 90, 3376–3387. [Google Scholar] [CrossRef] [PubMed] [Green Version]
- Suárez, B.J.; Van Reenen, C.G.; Stockhofe, N.; Dijkstra, J.; Gerrits, W.J.J. Effect of roughage source and roughage to concentrate ratio on animal performance and rumen development in veal calves. J. Dairy Sci. 2007, 90, 2390–2403. [Google Scholar] [CrossRef] [Green Version]



| Histological Changes | Number of Goats/Total | Number of Ewes/Total |
|---|---|---|
| Epithelial changes | ||
| Acanthosis | 9/12 | 9/10 |
| Pseudocarcinomatous hyperplasia | 3/12 | 5/10 |
| Hyperkeratosis | 4/12 | 3/10 |
| Spongiosis/suprabasilar vesicles | 9/12 | 1/10 |
| Exocytosis of lymphocytes | 8/12 | 8/10 |
| Hyperpigmentation | 1/12 | 1/10 |
| Subepithelial changes | ||
| Mononuclear infiltration | 7/12 | 7/10 |
Publisher’s Note: MDPI stays neutral with regard to jurisdictional claims in published maps and institutional affiliations. |
© 2021 by the authors. Licensee MDPI, Basel, Switzerland. This article is an open access article distributed under the terms and conditions of the Creative Commons Attribution (CC BY) license (https://creativecommons.org/licenses/by/4.0/).
Share and Cite
Martín Martel, S.; Morales, M.; Morales, I.; Jaber, J.R.; Rodríguez-Guisado, F.; Tejedor-Junco, M.T.; Corbera, J.A. Pathological Changes of the Rumen in Small Ruminants Associated with Indigestible Foreign Objects. Ruminants 2021, 1, 118-126. https://doi.org/10.3390/ruminants1020009
Martín Martel S, Morales M, Morales I, Jaber JR, Rodríguez-Guisado F, Tejedor-Junco MT, Corbera JA. Pathological Changes of the Rumen in Small Ruminants Associated with Indigestible Foreign Objects. Ruminants. 2021; 1(2):118-126. https://doi.org/10.3390/ruminants1020009
Chicago/Turabian StyleMartín Martel, Sergio, Manuel Morales, Inmaculada Morales, José Raduan Jaber, Francisco Rodríguez-Guisado, María Teresa Tejedor-Junco, and Juan Alberto Corbera. 2021. "Pathological Changes of the Rumen in Small Ruminants Associated with Indigestible Foreign Objects" Ruminants 1, no. 2: 118-126. https://doi.org/10.3390/ruminants1020009
APA StyleMartín Martel, S., Morales, M., Morales, I., Jaber, J. R., Rodríguez-Guisado, F., Tejedor-Junco, M. T., & Corbera, J. A. (2021). Pathological Changes of the Rumen in Small Ruminants Associated with Indigestible Foreign Objects. Ruminants, 1(2), 118-126. https://doi.org/10.3390/ruminants1020009

