Abstract
Background: Oral complications are common in cancer patients, especially those with head and neck cancers. Patients who have been exposed to radiotherapy for their head and neck cancers endure considerable short- and long-term complications. Methods: A scoping review following the ScR and OSF registries protocol was conducted in MEDLINE/PubMed, Embase, Cochrane, Scopus, LILACS, and Web of Science to identify relevant articles from 1993 to 30 June 2025. Inclusion criteria covered clinical trials, case series, prospective and retrospective studies, and diagnostic investigations. Figures were taken from the treated patients after their consent. Results: Radiotherapy-induced oral complications include, but are not limited to, periodontitis, oral mucositis, xerostomia, fibrosis and trismus, dental caries, oropharyngeal candidiasis, burning mouth syndrome, and osteoradionecrosis. Conclusions: An integrated, collaborative, multidisciplinary approach to managing these patients should be implemented to reduce these toxicities and their impact on patients’ vitality and quality of life. This review discusses the main oral complications of radiotherapy in patients with head and neck cancers and summarizes the updated management approaches for these complications.
1. Introduction
Head and neck cancers (HNCs) represent a major global health burden, ranking as the seventh most common malignancy worldwide, with more than 946,000 new cases and over 482,000 deaths reported in 2022, corresponding to a mortality-to-incidence ratio of 0.51 [1,2]. The majority of HNCs are squamous cell carcinomas (HNSCCs), most frequently arising in the oral cavity, larynx, pharyngeal subsites (nasopharynx, oropharynx, hypopharynx), nasal cavity, paranasal sinuses, and salivary glands. The etiology of HNCs is multifactorial, with well-established risk factors including tobacco use, alcohol consumption, poor oral hygiene, and dietary/lifestyle factors, as well as oncogenic viruses such as human papillomavirus type 16 (HPV-16) and Epstein–Barr virus (EBV) [2,3,4,5]. In terms of management, radiation therapy (RT) plays a central role, with over 50% of patients receiving RT either as a definitive, adjuvant, neoadjuvant, or palliative modality [6]. RT exerts its antitumor effect through ionising radiation, which induces DNA damage in both malignant and normal cells, ultimately leading to cell death or impaired reproductive capacity [7]. While highly effective, this non-selective mechanism also damages adjacent healthy tissues, resulting in a spectrum of acute and chronic (short- and long-term) complications [8,9]. The severity and incidence of RT-related toxicities are influenced by multiple factors, including total dose, fractionation scheme, daily dose, treatment duration, radiation technique, field size, patient age, comorbidities, supportive measures, and the intrinsic healing capacity of irradiated tissues [8,10]. Among these, the oral cavity is particularly vulnerable, and patients commonly develop periodontitis, oral mucositis, xerostomia, trismus, fibrosis, dental caries, oropharyngeal candidiasis, burning mouth syndrome, and osteoradionecrosis [8,11]. Given the profound impact of these complications on patients’ quality of life, treatment compliance, and survival outcomes, clinicians need to be aware of their pathophysiology, clinical presentation, and evidence-based management strategies. Although the above limitations and the need for clinical indications in the management of oral complications, the present review intends to summarize the literature about treating the disease by using topical products, TM, and innovative therapies, and to group the data in relation to the pathological condition from which complications develop.
2. Materials and Methods
2.1. Search Strategy
A search of the existing literature, published from 1993 to 30 June 2025, was performed in PubMed/MEDLINE using the MeSH terms “Periodontitis, Oral Mucositis, Xerostomia, Dental Caries, Oropharyngeal candidiasis, Burning Mouth Syndrome, Osteoradionecrosis, Fibrosis and Trismus” and “oral complications” with the context “radiotherapy”. Further, a search of the Cochrane Library was also performed using the same MeSH terms for the entire database. Additionally, a search of Web of Science (WoS) was conducted using the term ‘complications’ with the results restricted to the English language, and randomized controlled trials published from 1993 to 30 June 2025. Finally, the search results from each electronic database were combined, and duplicate publications were removed. The results were imported into the computerized database Review Manager 5.2. The search results from each of the electronic databases were combined, and duplicated publications were eliminated.
2.2. Study Selection
At first, the studies were included based on the relevance of the titles and abstracts. The remaining studies were reviewed in their entirety, and those meeting the following criteria were selected for inclusion: randomization: 7 studies; diagnosis of periodontitis: 12 studies, oral mucositis: 13 studies, xerostomia: 16 studies, dental caries: 9 studies, oropharyngeal candidiasis: 13 studies, burning mouth syndrome: 11 studies, osteoradionecrosis: 18 studies, fibrosis, or trismus: 12 studies investigating this issue based on VAS complications; presence of original data; and examination of oral complications associated with cancer post-radiotherapy.
2.3. Study Quality Assessment
The following domains were assessed for each study: selection bias (i.e., inappropriate randomization), performance bias (i.e., not blinding researchers giving treatment), detection bias (i.e., not blinding researchers assessing outcome), attrition bias (i.e., patient withdrawals from the study), and reporting bias (i.e., selective presentation of data) [12]. Each domain was assigned high, low, or unclear risk.
2.4. Flow of Article Selection
A flow chart illustrating the flow of article selection is provided in Figure 1. It shows the number of studies retrieved, the removal of duplicates, and the final number of articles included in the review.
Figure 1.
Flowchart of the study selection process.
3. Results
3.1. Periodontitis
Periodontitis is a frequent chronic inflammatory illness caused by a collection of bacterial plaque in the subgingival area [13]. It is characterised by progressive damage to the periodontal and tooth-supporting tissues (Figure 2), which may lead to the loss of teeth [9,14]. Periodontitis can clinically be manifested as pain, loss of periodontal supporting tissue, presence of periodontal pockets, and gingival bleeding [15,16]. If untreated before RT, periodontitis may lead to acute or chronic complications in the patients during RT [17]. Periodontitis can be a trigger for the incidence of osteoradionecrosis [9]. Also, if accompanied by poor oral hygiene, periodontitis can lead to mucositis [18]. It was hypothesised that periodontitis in HNC patients is related to the dysregulation of the inflammatory response of the mouth that results from RT. Furthermore, RT-related hyposalivation and oral microbiome changes are other explanations for the incidence of periodontitis in HNC patients [9,19]. Periodontitis may be prevented by maintaining proper oral hygiene with frequent dentist visits [20]. Extraction (before RT initiation) of any defective tooth that is expected to require future surgical intervention [9], and the use of probiotics together with scaling and root planning [21]. The treatment options for periodontitis include antimicrobial mouth rinses to control bacterial development and minimise periodontal inflammation [22], which has a potential role in wound healing, and periodontal surgery (such as flap surgery, bone grafts, guided tissue regeneration, and gum grafts) may be required in cases where non-surgical methods are not enough [23].
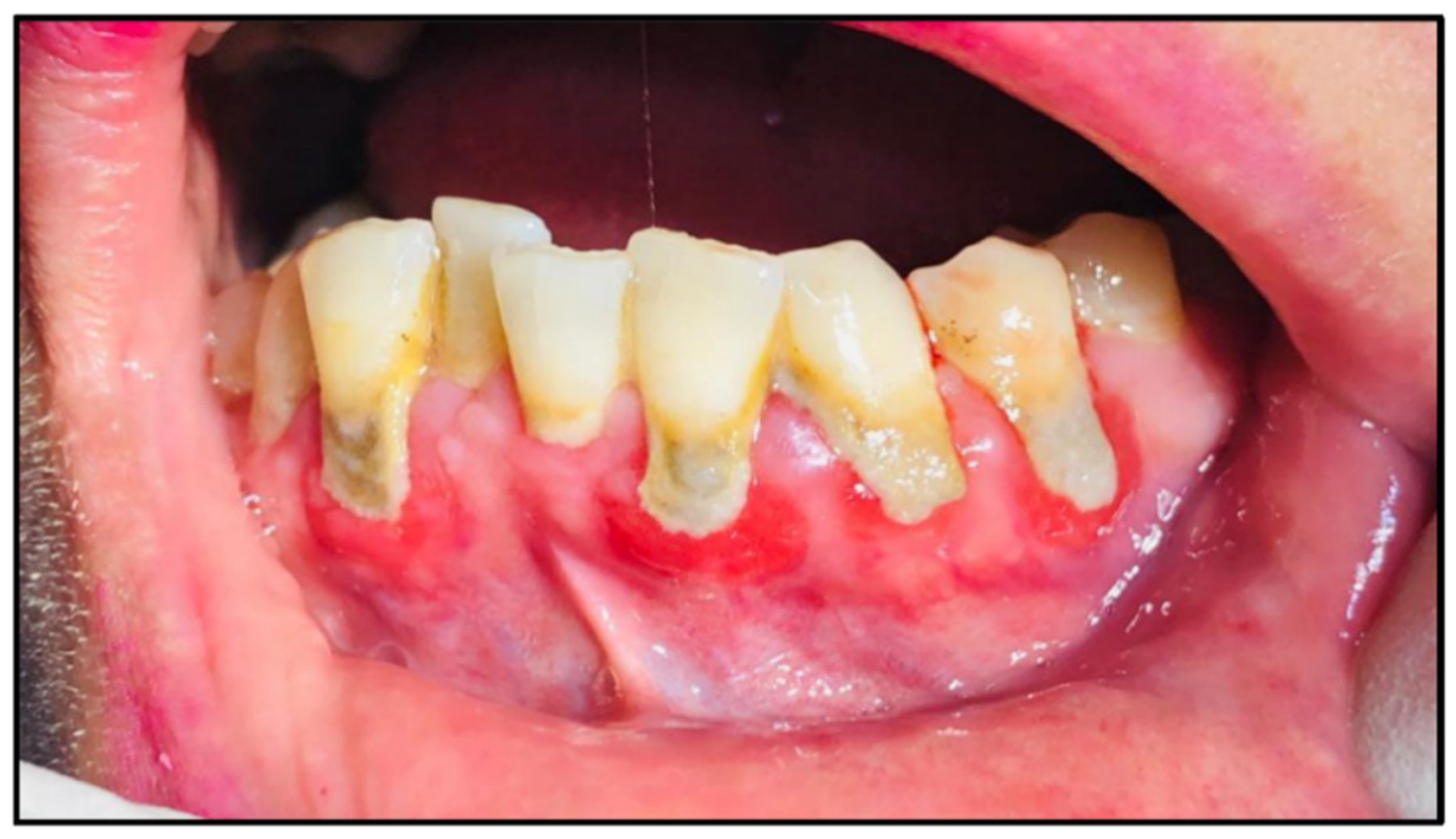
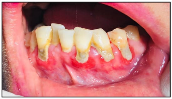
Figure 2.
Periodontitis (redness with gingivitis in the internal surfaces of the gingiva) in a female HNC patient after RT completion.
3.2. Oral Mucositis
For patients with HNCs, oral mucositis (OM) is a frequent, unsettling, and troublesome early side effect of RT [10]. It is described as radiation-induced reactive inflammation and irritation of the oral and/or oropharyngeal mucosa [24,25]. Moreover, it may have a substantial impact on the patient’s eating, swallowing, speaking, and ability to continue receiving anti-cancer treatments, all of which can lower their quality of life (QoL) [8,25]. Also, OM can predispose to local or systemic infections (bacterial, fungal, or viral) due to the damage to the mucosal integrity caused by RT [10]. Candida spp. usually colonizes ulcerative lesions of atrophic mucosa in patients with chemotherapy-induced oral mucositis, inducing severe inflammation. The spread of antifungal-resistant strains strongly encouraged the search for complementary or alternative therapeutic strategies to cure the inflamed mucosa [26].
Five phases can be used to summarise the pathophysiology of OM: initiation of tissue injury, upregulation of inflammation via generation of messenger signals, signaling and amplification, ulceration and inflammation, and healing [27]. The main clinical presentation of OM (Figure 3) is pain accompanied by a burning sensation, usually aggravated by hot or spicy foods. Erythema, mucosal atrophy, and ulcerations with or without white pseudomembranes are additional signs [8,9]. Individuals with HNC who receive chemotherapy in addition to RT have an increased chance of developing OM that is more severe and lasts longer than that due to RT alone. Also, patients 65 and older have a higher grade (3–4) OM than younger patients during RT [9]. Other factors that may impact the severity of OM include RT dose, chemotherapy dose and type, poor oral hygiene, local irritants (like tobacco and alcohol), and the patient’s overall health status [28]. The most commonly used scale to evaluate OM is the one that was reported by the World Health Organization (WHO), which classifies OM into four grades [9] (Table 1). The prevalence of RT-related OM ranges from 36% to 100% of patients [11], and very few patients may finish their treatments without getting OM [29]. In most cases, OM begins during the 2nd or 3rd week of RT initiation and may vanish after 8 to 10 weeks of RT completion, depending on its severity [25,30]. The prophylactic measures of OM may include maintaining good oral hygiene with frequent teeth cleaning and daily mouth rinses (by salt and sodium bicarbonate or diluted hydrogen peroxide solution), systemic supplements such as oral glutamine and oral zinc, low-level laser therapy, and using mouthwashes containing zinc sulfate or polyherbal contents (including chamomile, peppermint oil, Aloe vera, and honey) which may be effective in preventing severe grades of OM and its related pain [8,9,11]. The main goal of OM treatment is soothing and symptomatic. Different therapies can be used during OM incidence, like palifermin injections, benzylamine hydrochloride oral solutions (can alleviate pain), local antihistamine rinse (such as Benadryl elixir), coating agents (MuGard, Maalox, or Sucralfate solutions), topical anesthetics (like 2% viscous lidocaine or tetracaine-chloride), and chlorhexidine mouthwash (reduces the risk of oral infection). Topical analgesics such as morphine (0.2%) and doxepin (0.5%) mouthwashes for mild-moderate cases, but severe cases may need systemic analgesics. Also, using low-level laser therapy during RT effectively reduces the severity of RT-related OM and controls manifestations [8,9,11,24,27,30,31]. Lifestyle measures can be followed in mild degrees of OM to reduce the OM pain and maintain the patient with adequate nutritional status, such as eating small, divided (4–6) meals rather than big three meals and taking easy-to-swallow nutritional kinds like soups and milkshakes [30].
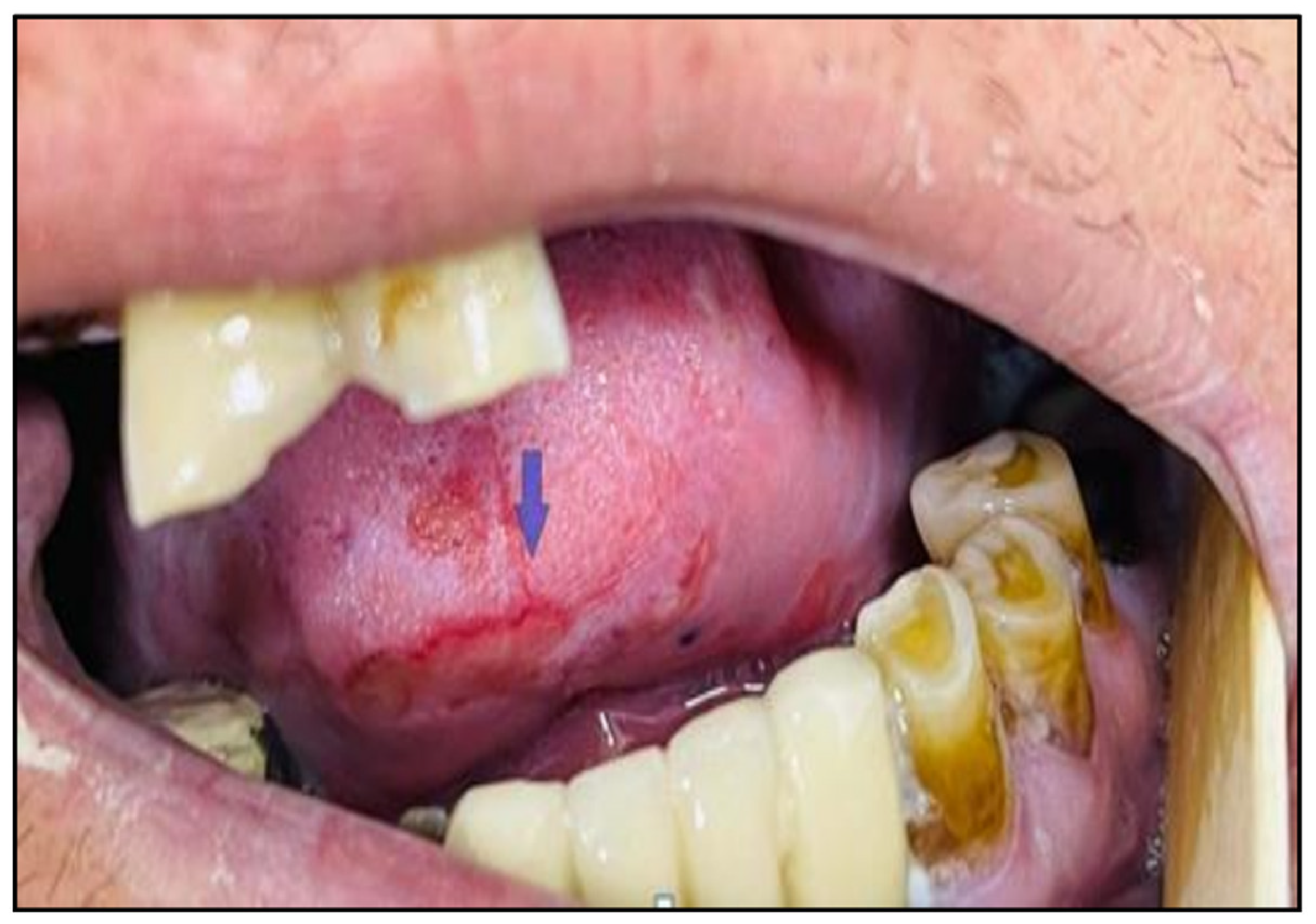
Figure 3.
Oral mucositis (ulcerations with pseudomembrane in the lateral and internal surfaces of the tongue) in a male patient with HNC after RT completion.
Table 1.
The Oral Mucositis World Health Organization Scale [9].
3.3. Xerostomia
Xerostomia means “dry mouth” in Greek (Xeros = dry, Stoma = mouth) [32]. Typically, dry mouth occurs when resting saliva production falls to ≤0.1 mL/min and stimulated saliva production reduces to ≤0.5 mL/min [33]. When the RT field has affected the main salivary glands, xerostomia becomes one of the most expected complications of RT in HNC patients, and its prevalence can reach 94% to 100% in such conditions [24]. Radiation sensitivity is very high in the major salivary glands, particularly in the serous (parotid & submandibular) glands [34]. The radiation generates inflammatory and degenerative changes brought about by fibrosis in the salivary glands, atrophy, and epithelial cell necrosis, which finally leads to xerostomia [11,25] (Figure 4). It is observed that the worst prognosis of xerostomia is relatively increased with the higher dose of RT [11]. Xerostomia is an early complication of RT, and the patients may experience its clinical features within the first two weeks of RT [35]. Patients with xerostomia can present with dry mouth, a mouth-burning sensation, and discomfort with tongue redness [11,36]. Xerostomia can be complicated by easily bleeding gums, alteration in secretory IgA, opportunistic infections (mainly fungal), alterations in pH, stomatitis, salivary cysts and stones, dental caries, and burning mouth syndrome [34,36]. Furthermore, xerostomia negatively affects the patient’s speech, eating, and swallowing, affecting the patient’s QoL [34]. The recovery of salivary glands in most affected patients is gradual; however, the glands may take more than one year to recover or never return to normal, leading to an irreversible loss of salivary gland function, which causes permanent xerostomia [8,11]. Modern techniques in RT, like intensity-modulated radiotherapy (IMRT) and volumetric-modulated arc therapy (VMAT), can significantly decrease the rate of xerostomia prevalence and severity [37]. Sparing the parotid glands with IMRT significantly reduces the incidence of xerostomia, leads to recovery of salivary secretion, and improves associated quality of life, thereby strongly supporting a role for IMRT in squamous-cell carcinoma of the head and neck [38].
Figure 4.
Xerostomia (dryness and tongue cracks) in a male patient with HNC following the RT.
Other prophylactic measures include avoiding some foods and drinks like sticky foods (like pastries, candies, and chocolates), spicy or highly salted foods, alcohol, and caffeinated beverages [30,36]; using sugar-free gums (acting as non-pharmacological saliva stimulants); modifying the patient’s medications that induce hyposalivation (by changing them, decreasing or dividing the dose) [30]; and using amifostine that has chemo- and radioprotective action, and it may reduce the incidence of moderate-to-severe RT-induced xerostomia. It is used as an intravenous injection (200 mg/m2 per day) before initiating each RT fraction [39]. Furthermore, good oral health is an important measure that can eliminate different triggering factors of xerostomia [24]. It can be maintained through regular dental checks, daily mouth brushing (2–4 times) with a soft-bristled toothbrush, daily flossing, use of non-alcoholic chlorhexidine mouthwash to control plaques, applying topical fluoride to avoid dental caries formation, and taking adequate fluids for good body hydration [27,31,40]. There are commercial salivary stimulants that diminish xerostomia and should be part of the management strategy. Affected patients should be informed of these treatments, since no adverse effects were reported [41].
Treating xerostomia can be through using salivary gland stimulants such as pilocarpine (it is administered as an oral tablet, 5–10 mg thrice daily, starting three days before RT and continued for three months post RT completion) and cevimeline (it is used at a dose of 30–45 mg 3 times per day for 52 weeks), artificial salivary substitutes, use a bicarbonate soda solution to clean the tongue (2–3 times daily), low-level laser therapy of the salivary glands, and using of manual acupuncture with complementary electrical stimulation (it was seen that using this method twice weekly for six weeks might increase the rates of saliva flow and improve xerostomia symptoms) [8,34,36,40,42,43].
3.4. Fibrosis and Trismus
A late side effect of RT that can last a lifetime is fibrosis, which typically develops two to three months after RT [9,34]. The severity of fibrosis often increases when surgery is used alongside RT in the HNC treatment. Fibrosis can develop in the skin, muscles, subcutaneous tissue, or other organs, depending on the areas exposed to radiation. Fibrosis negatively affects the patient’s QoL as it causes functional and cosmetic impairment [34]. Generally, fibrosis leads to a loss or reduction in the flexibility and extension of the exposed area [8]. RT to the neck can cause prominent tightness of the neck and shoulder muscles (sternocleidomastoid, trapezius, and scalene muscles), significantly leading to limited neck movements [34]. The pharynx and esophageal muscles may develop fibrosis, which can cause strictures in the affected area and impair swallowing and tongue function [9,34].
When fibrosis occurs in the chewing muscles (pterygoid, masseter, and temporal muscles), trismus can be a result [7,9]. The incapacity to open the mouth is known as trismus or lockjaw, and it is diagnosed when the oral opening is less than 35 mm [40]. Trismus can be due to cancer extension to the chewing muscles before any treatment. The RT-induced one usually manifests within 3 to 6 months of RT completion [11]. The incidence and severity of trismus are influenced by the field, source, and dose of RT, and there is a positive correlation between higher radiation dose and higher prevalence of trismus [25]. The IMRT technique causes less trismus in comparison with three-dimensional conformal radiotherapy (3D-CRT) [44]. Speech production, eating, swallowing, oral hygiene, and dental care interventions can all negatively impact trismus, particularly in severe cases [9], as shown in Figure 5. Prevention of fibrosis and trismus may be achieved by using active and passive jaw muscles stretching exercises during the RT period (TheraBite* Jaw Motion Rehabilitation System, Atos Medical, Malmo, Sweden) [9]. Patients have to do the exercises repeatedly and diligently at regular intervals with rest periods by using the Jaw Motion Rehabilitation System [30]. Using low-level light therapy or photobiomodulation [9], and using newer techniques of RT [44]. A prediction nomogram was developed to assess trismus risk in the planning process. An external validation of the model is required to apply it for current clinical use [45].
Figure 5.
A woman with nasopharyngeal carcinoma had a limited open mouth after six months of receiving RT.
The treatment can be done by using pentoxifylline and vitamin E; however, the evidence level is insufficient for guideline approval [9]. Other medications can be used as muscle relaxants, analgesics, and non-steroidal anti-inflammatory drugs [40]. Furthermore, lifestyle measures may show benefits such as changing the nutritional diet to be easily swallowed (can reduce dysphagia), speech therapy, and special devices for trismus, like TheraBite (Atos Medical, Malmo, Sweden) and Dynasplint (Dynasplint Systems, Inc., Severna Park, MD, USA) [9,34]. Low-level laser therapy and low-intensity ultrasound with exercise schedules can be potentially helpful treatment options [46]. In advanced and severe cases of trismus, the surgical option may be considered to treat fibrotic adhesions and improve oral opening [40]. Recent radiation techniques may reduce the incidence of trismus in comparison to conventional radiotherapy. Few studies have explored how trismus affects quality of life, and none have assessed its financial impact. The few preventative and management trials found in the literature show potential, although bigger, rigorously planned studies are necessary to adequately evaluate these interventions before recommendations can be made [47].
3.5. Dental Caries
The radiation therapy reduces the microhardness of the dentin. Seventy grays of radiation are detrimental to tooth tissues and may induce radiation caries. Damage to collagen fibrils induces alterations in dentin, which markedly diminishes its hardness and stability, as well as reduces the microhardness of superficial, intermediate, and deep dentin [48]. Radiation-related dental caries, also known as rampant caries, are thought to develop due to both the direct and indirect impacts of radiation therapy. RT immediately affects odontoblasts, reducing dentin formation. In addition, RT can directly impact the chemical composition of teeth (organic and inorganic), making them vulnerable to decalcification. Regarding the indirect effect, hyposalivation induced by RT is the main factor that leads to dental caries [11,43]. Irradiation of salivary glands is the primary cause of hyposalivation in patients with HNCs. Reduced salivary secretion is usually accompanied by the development of an increased number of cariogenic microorganisms [11]. Moreover, hyposalivation is generally associated with changes in eating habits, which makes high-carbohydrate foods highly consumed sources associated with more caries development [11,25]. Also, the chemical modifications of saliva caused by RT, such as the depletion of the salivary proteins and loss of saliva’s minerals, are other indirect factors of RT that may increase the incidence of caries [9,43]. The average prevalence of RT-related dental caries is about 25% [9]. RT-exposed HNC patients may develop three distinct clinical forms of caries. The commonest one initially begins at the superficial surface of the canines and incisors, then moves inward and can lead to the complete loss of the crown. While in molars, caries may change the teeth’s color and transparency, making them fragile and susceptible to breakdown. The second type primarily involves the palatal or lingual surfaces of the tooth crowns, following initial involvement of the buccal surface. It is a superficial and widespread defect. This type can cause smashed coronal enamel and dentin. The third type is the least common one, which causes dark discoloration of the tooth crown and may lead to detached incisal and occlusal surfaces [25]. Compared with classical caries, RT-related caries is characterised by more rapid development, a higher chance for recurrence, and an increased treatment failure rate. If not treated, dental caries can be complicated with pain, infection of the jaws, and a high risk of tooth extraction [9]. Dental caries is a preventive complication, and this can be achieved by keeping proper dental hygiene through different measures, including a comprehensive dental examination before RT initiation, limitation of cariogenic foods, daily application of fluoride (1% neutral sodium fluoride gel), use of non-alcoholic mouth-rinse solutions (like chlorhexidine 0.12%) to control plaque, using a soft-bristled toothbrush to clean teeth 2 to 4 times a day, and gentle flossing [8,9,43]. Also, following the preventive measures for xerostomia (mentioned above) can reduce dental caries [43]. Moreover, when there is extensive dental caries with a good prognosis in the pre-RT period, root canal treatment should be done; but if the prognosis is poor, the tooth should be extracted (preferred to be three weeks or more before RT starts) with a cover of antibiotics [30]. Caries treatment is an urgent issue that needs immediate removal due to its rapid progression. If caries is destroying the entire crown and compromising the pulp, a therapeutic endodontic procedure should be performed to obliterate the duct and leave the root buried in the cavity, which is essential to avoid tooth extraction and prevent osteoradionecrosis [9,43]. Root canal therapy (even for irreparable teeth) is the choice to control symptoms and infection. Even if a limitation of buccal opening occurred after radiotherapy and complicated the endodontic procedures, root canal therapy seemed to be safe and a valid alternative to tooth extraction [49]. A skilled dental surgeon should use a minimal trauma approach when extraction is indicated. Continuation of the prophylactic measures of dental caries (as mentioned above) is crucial during management.
3.6. Oropharyngeal Candidiasis
For HNC patients, oropharyngeal candidiasis (OPC) is a common fungal infection caused by Candida albicans that typically manifests during or soon after RT [42] (Figure 6). OPC is an opportunistic infection made more likely by the patient’s weakened immune system and treatment-induced hyposalivation [8,11]. OPC is primarily diagnosed by clinical features, though these can sometimes be difficult to distinguish from OM. The main symptoms of OPC are mucosal soreness and pain, taste alteration (dysgeusia), oral burning sensation, dysphagia (if the infection involves the esophagus), and difficulty in oral intake of nutrition or medications. At the same time, the typical clinical signs of OPC may include a removable whitish pseudo membrane (thrush) or erythematous patch on the tongue or palate and angular cheilitis. Although the diagnosis of OPC is a clinical issue in most cases, organism identification and laboratory investigations may be needed to confirm the clinical diagnosis occasionally, especially for resistant cases [9,42]. OPC occurrence could be prevented by keeping good oral hygiene and frequent rinsing with a diluted solution of salt and soda, applying topical chlorhexidine (0.1–0.2%), following the preventive measures of OM and xerostomia, reducing the high-added-sugar foods as they can promote Candida growth, and using of systemic fluconazole in the dosage of 50–200 mg/day or 100–400 mg/week as a prophylactic option for patients with repeated OPC [9,30,44,50,51]. Treatment of OPC in the mild stages can be through topical antifungal agents (such as clotrimazole, nystatin, fluconazole, miconazole, or ketoconazole) [40,42,52]. Fluconazole solution (2 mg/mL) is used three times per day as a rinse and then spit [53], while topical nystatin is used 4 to 6 times per day to keep the oral mucosa in contact with the drug as long as possible [9]. Topical miconazole is one of the good options as it is used once daily and has a broad spectrum of action against Candida species [52]. Another topical treatment option is a mouthwash containing hydrogen peroxide, a disinfectant that helps with good oral hygiene [11]. It can be applied twice daily for one week [54]. Systemic antifungals become the best option for the failure of topical treatments or initial severe OPC in high-risk patients (immunocompromised or with myelosuppression). Fluconazole is the drug of choice, typically given as a 200 mg loading dose on the first day, followed by 100 mg per day for one to two weeks. However, the prolonged use of fluconazole may lead to the development of fluconazole-resistant fungal infections [9,40].
Figure 6.
A female patient with HNC after receiving RT. There is a whitish pseudo membrane (thrush) on the tongue, oral mucositis, angular cheilitis, and probable candidiasis.
3.7. Burning Mouth Syndrome (BMS)
Burning mouth syndrome (BMS) is diagnosed when someone has persistent mouth pain or burning, but no identifiable oral or medical condition explains the symptoms. The aetiology of BMS is still unclear; however, the evidence proposes a neuropathic principle. This RT-related complication is referred to as a syndrome because it presents with several clinical symptoms, such as a burning or stinging feeling in the mouth, alterations in taste (often metallic or bitter), and xerostomia, which means dry mouth accompanied by frequent thirst. BMS usually occurs more in women than in men [55]. The International Headache Society defines BMS as an intraoral burning or dysaesthetic sensation, recurring daily for more than 2 h/day over more than 3 months, without clinically evident causative lesions [56]. BMS can last for several months, and its features may vanish suddenly, and it may adversely affect patients’ QoL, affecting their nutrition, sleep, and psychological status [34,55]. BMS incidence and severity may be prevented by adequate meals and drinking enough water over the day to keep the body in an excellent nutritional and hydration state that sometimes relieves the oral burning sensation slightly and temporarily; avoiding spicy and acidic foods, carbonated beverages, tobacco, and excessive stress; and reducing the psychosocial stress as well as speech restriction [34,57,58]. Various agents and methods are employed to treat BMS with central neuromodulators. These include Serotonin and Norepinephrine Reuptake Inhibitors (SNRIs), Selective Serotonin Reuptake Inhibitors (SSRIs), Tricyclic Antidepressants (TCAs), as well as Benzodiazepines. Numerous clinical studies have discussed and supported the effectiveness of central neuromodulators for treating general BMS. Although SNRIs and SSRIs may help treat BMS, their significant side effects require careful use and may limit their application. TCAs are older drugs that can produce effects in days but have significant side effects. Regarding benzodiazepines, clonazepam is a good option and may be better than TCAs [59]. Using oral clonazepam at a dose of 0.5 to 1.5 mg per day in divided doses to a maximum of 3 mg daily reduces BMS pain by 70% [60]. However, its effect is short, and it carries the risk of dependency [59]. Topical clonazepam tablets (0.5 to 3 mg) are another option that has been shown to significantly relieve BMS-related pain; these tablets are dissolved in saliva, held in the mouth for three minutes, and then spat out. Many clinicians prefer topical clonazepam to systemic clonazepam because it provides rapid relief, has a shorter effect lasting about 4 to 5 h, causes less sedation, and carries a lower risk of dependency. Another topical agent is capsaicin (the active ingredient of chilli peppers), which is used in low doses and is applied topically 3 to 4 times per day [58]. Oral rinse with lidocaine-containing solutions can minimise the burning and pain sensations in patients with BMS; however, they have a short-duration analgesic effect [55,61]. Alpha lipoic acid is another agent used in such conditions, and it is a naturally occurring antioxidant substance present in our bodies and different vegetables. Although it is commonly studied and significantly affects BMS, the evidence is inconclusive due to mixed study results and protocols [58,62]. In the case of BMS with accompanied dry mouth, salivary-stimulant or salivary-substitute drugs may be used [62]. In many studies, laser therapy (a non-invasive procedure) is helpful and has shown pain relief in BMS patients. It has anti-inflammatory, analgesic, and healing effects [63]. Also, laser therapy stops the depolarisation of C-fibers that transmit pain and heat stimuli [64]. Cognitive behavioral therapy (CBT) is a widely used treatment that can be provided on its own or together with medication. CBT in group form and a short course (1–2 sessions) can improve BMS-related pain and anxiety. Also, CBT for insomnia may be of benefit if used in such conditions, as sleep disorder is a common comorbidity with BMS (insomnia prevalence in BMS patients is over 60%) [59]. Some nutritional and lifestyle measures may relieve BMS, for example, drinking cold beverages, chewing gum, sucking sweets or lozenges, and trying relaxation techniques [58].
3.8. Osteoradionecrosis (ORN)
Osteoradionecrosis (ORN) refers to ischemic bone necrosis that is not healing due to RT exposure (Figure 7). It is characterised by soft tissue necrosis and may last three months [7,42]. The history of ORN goes back 100 years to when it was first noted in 1922 by Regaud. ORN is uncommon (5–15% only) but can have a significant negative influence on QoL [65,66]. Modern RT techniques can lower the ORN risk of occurrence. In this review, ORN prevalence was 7.4% with conventional RT, 6.8% with chemoradiation, 5.3% with brachytherapy, and 5.1% with IMRT [9]. A newer study showed the lowest incidence of ORN with proton RT compared to IMRT, 2% vs. 7.7%, respectively [67]. In addition to the selective suppression of osteoclasts in radiated bone, the pathophysiology of ORN is attributed to the concept of “three-H-H-H” (hypocellularity, hypervascularity, hypoxia) of bone that is caused by RT [68]. Subsequent trauma (primarily dental extraction) or spontaneous disruption of the oral mucosa will then be associated with a significant amount of bone fibrosis and damage to the remodeling system (osteocytes, osteoblasts, and osteoclasts) [69]. These alterations eventually result in a non-healing process that can lead to necrosis with or without infection [8,11,68].
Figure 7.
After receiving radiation therapy, a male patient with HNC developed osteoradionecrosis, which is defined as bone necrosis combined with soft tissue necrosis (A) and osteoradionecrosis on an X-ray (B).
ORN occurs more commonly in the mandible than in the maxilla because the mandible has a higher bone density and less vascularity, while the maxilla has collateral blood circulation [11]. Tooth extraction after RT is a significant risk factor for developing ORN [65]. Another important risk factor is the radiation dose to the bone, particularly to the less vascularized mandible [9,65], where a radiation dose of 50 Gray (Gy) or higher to the mandible is reported to significantly raise the risk and severity of ORN [42,70]. Other risk factors of ORN include periodontal or dental disease in the irradiated areas [11,70], the necessity for pre-RT HNC surgical resection or dental surgery [9], using concurrent chemotherapy with RT [11], higher tumor extension with bone invasion [44], and presence of dental infection or poor teeth status [9,11]. Additionally, older men (55 years of age or older) who have a history of alcoholism or tobacco use are all factors that contribute to the incidence of ORN [9,70]. The ORN typically happens within the first three years of RT completion, but it can happen at any point after RT [9,65]. While most ORN cases are symptomatic, the early stages can be asymptomatic [40]. The main clinical presentation of ORN is pain (in about 60% of patients), ranging from mild to severe [7]. Additionally, depending on the location and severity, paresthesia, anesthesia, dysgeusia, trismus, difficulty masticating, edema, exposed necrotic bone, suppuration, and secondary infection are among the physical symptoms and signs of ORN. Osteoradionecrosis (ORN) can be complicated by fistula formation, systemic infection, progressive destruction of bone, and pathologic fractures [11,34,66]. The essential measures that may prevent ORN incidence are: treating any oral disease before receiving RT [40,65], removing any non-restorable tooth in the area of receiving RT before RT starts, and giving at least 2 to 4 weeks for healing before initiation of RT [8,71], avoidance of alcohol and tobacco [70], maintaining good oral hygiene (through regular dental check, good brushing and flossing, and the use of topical fluoride and mouthwashes) [71], and using a combination of pentoxifylline (antifibrotic agent) and tocopherol (antioxidant), which may reduce the ORN incidence after dental extraction [34,72]. It was confirmed with moderate certainty that dental extractions should be performed before the start of head and neck RT to reduce the risk of ORN [73,74]. Regarding treatment of ORN, asymptomatic or mildly symptomatic cases of ORN can be conservatively managed with debridement, antibiotics, anti-inflammatories and analgesics (if necessary), mouth rinses and irrigations, and oral hygiene maintenance. Different medications may help in conservative wound resolution, such as systemic or topical antibiotics (like tetracycline or penicillin), antiseptics (like chlorhexidine mouth rinse or saline irrigation), and non-steroidal anti-inflammatory drugs [10,24,34,40]. Also, the combination of pentoxifylline and tocopherol is influential in treating radiation and bisphosphonate-related ORN [75]. Another non-invasive procedure in treating ORN is hyperbaric oxygen therapy, which may result in local control of early and intermediate ORN when other conservative measures fail [76]. The surgical option is indicated for extensive necrosis, progressive ORN, or when conservative treatment fails to control ORN [65]. Surgical procedures for ORN include sequestrectomy or radical resection, followed by microvascular graft reconstruction with good wound care [40,76].
4. Discussion
Radiotherapy for head and neck cancer, while a cornerstone of effective treatment, frequently leads to a range of acute and chronic oral complications that can significantly impact a patient’s quality of life and nutritional status. Modern management emphasizes a multidisciplinary approach, beginning with pre-treatment optimization and continuing through long-term post-therapy surveillance. Based on this research, it can be concluded that no substance has yet stabilized the relief of oral problems, even though several medicines were examined in the trials. This holds irrespective of the underlying condition causing dry mouth. By analyzing the information, we propose that the most crucial phase in the treatment of oral problems is proper diagnosis. It enables us to distinguish individuals with subjective symptoms of problems from those with other types of malfunctions of the salivary glands. In the analyzed trials, we observed that diagnosis and monitoring of oral complications focused on the measurement of the UWS, X-ray, the VAS, and the QoL. When oral homeostatic systems are disrupted and xerostomia develops, it is important to assess the properties or elements of saliva in affected individuals to detect early symptoms. This should be done even if there is no obvious decrease in saliva production or only subtle alterations in its composition. Changes can be detected by rheological, adsorption, and tribological tests of the fluid or by biochemical changes in certain components, such as salivary proteins like lactoferrin and Mucin 5, which are linked to the saliva’s ability to hydrate [77]. Following this, it is necessary to take precautions to avoid oral infections or damage to taste receptors. Correcting or managing hydration through water intake, quitting alcohol and tobacco, and eventually switching to long-term treatments with xerogenic drugs might be worthwhile in this regard. Given this, it is important to carefully assess daily water intake while keeping dry mouth in mind. In actuality, daily water intake has a significant impact on the body’s secretions, including glandular activities, and it is closely linked to several intricate processes that control homeostasis [78]. The European Food Safety Authority now recommends that women drink 2.0 L of water per day, and men drink 2.5 L per day, recognizing that water is essential for both life and health. Drinking enough water daily can help reduce dry mouth, although adequate hydration may not completely resolve the issue. By keeping the mouth wet, a variety of treatment approaches to treating oral problems following radiation therapy are sought to alleviate dry mouth. Artificial salivary replacements are commonly used in dry mouth with this goal in mind. They have been extensively evaluated in trials on a variety of xerostomia patients, including those who experience xerostomia following HNC radiation therapy and those who have xerostomia as a result of long-term drug use. Saliva substitutes come in a variety of formulations (such as mouthwash, gel, or spray), but their limited active time is a common drawback. As a result, patients must apply the agent frequently in order to sustain consistent coverage of the compound on the tissue. Because of their essential function as lubricants and thickeners, polymers are an essential component of the replacements. On the other hand, mucoadhesive polymers, that is, manmade or natural polymers that adhere to mucosal surfaces, are widely employed to extend the therapeutic impact [79]. Oral mucositis affects nearly all patients receiving head and neck radiotherapy and can cause significant pain, impacting nutrition and treatment continuity [80]. Gentle cleaning with a soft toothbrush, using non-irritating toothpastes, and maintaining adequate hydration of the oral mucosa are foundational [81]. Topical anesthetics (e.g., lidocaine) and systemic analgesics are often required for pain control [82]. ORN is a severe late complication involving the breakdown of devitalized bone in the irradiated field, leading to exposed bone that fails to heal. The mandible is most commonly affected. It can occur spontaneously but is often triggered by trauma, such as tooth extraction, after radiotherapy. Prevention is the key to ORN management when Extractions of non-restorable teeth should be performed at least 1–2 weeks before RT begins to allow for healing [83]. For early-stage ORN, management includes gentle sequestrectomy, antimicrobial rinses (e.g., chlorhexidine), and systemic antibiotics to control secondary infection [84]. Hyperbaric Oxygen (HBO) therapy may be used as an adjunctive therapy to improve tissue oxygenation and promote healing, though its efficacy is still debated [85]. Surgical intervention in advanced ORN with pathological fracture or extensive necrosis often requires surgical resection and reconstructive procedures [84]. Caries is a rapidly progressive and rampant form of tooth decay linked to post-radiation hyposalivation and shifts in oral microbiota. Caries often appear at the cervical margins of teeth and on incisal/cuspal tips, which are atypical sites for routine decay [86]. Lifelong daily use of prescription-strength fluoride gel in custom trays is the cornerstone of prevention [42], and frequent dental check-ups (every 3–4 months) allow for early detection and minimally invasive restoration of incurable lesions [87]. Fibrosis of the masticatory muscles (masseter, pterygoids) and the temporomandibular joint can lead to trismus, a progressive restriction in mouth opening. This impairs eating, speaking, and oral hygiene maintenance [88]. Linseed mucilage has been well studied for its capacity to create very viscous aqueous solutions. This feature is due to the arabinoxylan composition of its mucilage, which resists the oral mechanical pressures while also being lubricating and moisturising. However, the protective barrier created by the combination often separates from the oral surfaces owing to insufficient adhesion between the biomolecules and the tissues. Moreover, salivary stimulants, including acidic compounds such as citric and malic acids, are used to enhance glandular output. These sialagogues are often augmented with sodium fluoride or xylitol to mitigate the risk of demineralisation by decreasing saliva pH. Additionally, flavoring agents and fragrances are included in sucking pastilles and chewing gums to mechanically enhance saliva production. Instead of dissolving in saliva to activate the salivary glands, the chemicals tend to form complicated gelatinous precipitates on the oral surfaces. This leads to a negligible secretory stimulation for chemoreceptors, as shown in several studies. Pharmaceutical herbs exhibit a diverse array of actions, validating their extensive use as a treatment for oral and pharyngeal ailments. This has enhanced their capacity for treating oral complications. Nonetheless, from a scientific perspective, only a limited number of studies have substantiated the effectiveness of therapeutic plants as endorsed by popular tradition. The European Ethical Committee often mandates alterations to the conventional remedy, which may concurrently influence the efficiency of polyphenols in aqueous extracts. An illustration of this is the only use of water extracts as gargles, instead of common oral drinks. Gargling could reduce the recommended dosage of polyphenols needed to achieve their positive effects. TM has yet to be validated as an effective technique for alleviating mouth dryness. Synergistic action among polyphenols may induce hormesis processes via a hermetic stimulatory dosage range. The compounds may provide multi-target advantages to restore homeostatic systems in cells and tissues disrupted by metabolic impairments or protein/peptide dysregulation [89,90,91]. Therefore, more clinical trials aligned with traditional herbal consumption patterns are necessary to elucidate the efficacy of medicinal herbs in alleviating xerostomia. Concerning acupuncture, the findings are incongruous, and there is inadequate scientific data to substantiate its efficacy in markedly increasing salivary volume in cases of xerostomia. Additional scientific data is required to validate the effectiveness of new treatments, such as electrostimulation, photobiomodulation, and hyperbaric therapy. Stem cell treatment and gene therapy are interesting avenues for exploring novel therapeutic solutions.
5. Conclusions
Radiation therapy is an important treatment in HNC patients; however, its penalty is that it increases the risk of many early and late complications. A multidisciplinary team of different professionals (dentists, oncologists, nurses, speech-language pathologists, psychologists, and nutritionists) is required to effectively manage these complications. The most important things patients can do to lessen the likelihood of these reactions include practising good oral hygiene, seeing their healthcare providers regularly, and taking care of any oral or dental conditions before beginning RT. In addition to providing various preventative and therapeutic tips that may prevent or lessen these reactions, this paper addresses the most frequent RT-related oral side effects experienced by HNC patients.
Author Contributions
Conceptualization, S.A.A. and A.A.A.-K.; methodology, A.A.A.-K. and S.A.K.; validation, S.A.A., A.A.A.-K.; formal analysis, R.S.A. and L.M.-H.; investigation, S.A.K., R.S.A., D.D.M.A. and F.N.K.; resources, D.D.M.A. and F.N.K.; writing—original draft preparation, S.A.A. and A.A.A.-K.; writing—review and editing, D.D.M.A., F.N.K., S.A.K. and L.M.-H.; visualization, R.S.A.; supervision, S.A.A. and A.A.A.-K.; project administration, S.A.A. and A.A.A.-K. All authors have read and agreed to the published version of the manuscript.
Funding
This research received no external funding.
Institutional Review Board Statement
The study was conducted in accordance with the Declaration of Helsinki and approved by the Ethics Committee of the Al-Anbar Directorate of Health, Ministry of Health, Iraq (approval number: 2022057, 22 August 2022).
Informed Consent Statement
Informed consent was obtained through the completion and return of the self-administered questionnaire, which was regarded as indicating participants’ consent.
Data Availability Statement
The original contributions presented in this study are included in the article.
Conflicts of Interest
Author Layth Mula-Hussain was employed by the BC Cancer Centre of the North. The remaining authors declare that the research was conducted in the absence of any commercial or financial relationships that could be construed as a potential conflict of interest. For clarity, this work was conducted at the Anbar Specialized Cancer Treatment Ramadi, affiliated with the Anbar Health Department.
References
- Bray, F.; Laversanne, M.; Sung, H.; Ferlay, J.; Siegel, R.L.; Soerjomataram, I.; Jemal, A. Global cancer statistics 2022: GLOBOCAN estimates of incidence and mortality worldwide for 36 cancers in 185 countries. CA Cancer J. Clin. 2024, 74, 229–263. [Google Scholar] [CrossRef]
- Johnson, D.E.; Burtness, B.; Leemans, C.R.; Lui, V.W.Y.; Bauman, J.E.; Grandis, J.R. Head and neck squamous cell carcinoma. Nat. Rev. Dis. Primers 2020, 6, 92. [Google Scholar] [CrossRef]
- Chuang, S.-C.; Jenab, M.; Heck, J.E.; Bosetti, C.; Talamini, R.; Matsuo, K.; Castellsague, X.; Franceschi, S.; Herrero, R.; Winn, D.M. Diet and the risk of head and neck cancer: A pooled analysis in the INHANCE consortium. Cancer Causes Control 2012, 23, 69–88. [Google Scholar] [CrossRef] [PubMed]
- Nicolotti, N.; Chuang, S.-C.; Cadoni, G.; Arzani, D.; Petrelli, L.; Bosetti, C.; Brenner, H.; Hosono, S.; La Vecchia, C.; Matsuo, K. Recreational physical activity and risk of head and neck cancer: A pooled analysis within the international head and neck cancer epidemiology (INHANCE) Consortium. Eur. J. Epidemiol. 2011, 26, 619–628. [Google Scholar] [CrossRef]
- Keskin, M.; Lähteenmäki, H.; Rathnayake, N.; Räisänen, I.T.; Tervahartiala, T.; Pärnänen, P.; Şenışık, A.M.; Karacetin, D.; Yentek Balkanay, A.; Heikkilä, P. Active matrix metalloproteinase-8 and interleukin-6 detect periodontal degeneration caused by radiotherapy of head and neck cancer: A pilot study. Expert Rev. Proteom. 2020, 17, 777–784. [Google Scholar] [CrossRef] [PubMed]
- Mallick, I.; Waldron, J.N. Seminars in Oncology Nursing; Elsevier: Amsterdam, The Netherlands, 2009; pp. 193–202. [Google Scholar]
- Jham, B.C.; da Silva Freire, A.R. Oral complications of radiotherapy in the head and neck. Braz. J. Otorhinolaryngol. 2006, 72, 704–708. [Google Scholar] [CrossRef]
- de Souza Tolentino, E.; Centurion, B.S.; Ferreira, L.H.C.; de Souza, A.P.; Damante, J.H.; Rubira-Bullen, I.R.F. Oral adverse effects of head and neck radiotherapy: Literature review and suggestion of a clinical oral care guideline for irradiated patients. J. Appl. Oral Sci. 2011, 19, 448. [Google Scholar] [CrossRef]
- Sroussi, H.Y.; Epstein, J.B.; Bensadoun, R.J.; Saunders, D.P.; Lalla, R.V.; Migliorati, C.A.; Heaivilin, N.; Zumsteg, Z.S. Common oral complications of head and neck cancer radiation therapy: Mucositis, infections, saliva change, fibrosis, sensory dysfunctions, dental caries, periodontal disease, and osteoradionecrosis. Cancer Med. 2017, 6, 2918–2931. [Google Scholar] [CrossRef]
- Otmani, N. Oral and maxillofacial side effects of radiation therapy on children. J. Can. Dent. Assoc. 2007, 73, 257–261. [Google Scholar] [PubMed]
- SARI, J.; Nasiloski, K.S.; GOMES, A.P.N. Oral complications in patients receiving head and neck radiation therapy: A literature review. RGO-Rev. Gaúcha Odontol. 2014, 62, 395–400. [Google Scholar] [CrossRef]
- Higgins, J.P.; Altman, D.G.; Gøtzsche, P.C.; Jüni, P.; Moher, D.; Oxman, A.D.; Savović, J.; Schulz, K.F.; Weeks, L.; Sterne, J.A. The Cochrane Collaboration’s tool for assessing risk of bias in randomised trials. BMJ 2011, 343, d5928. [Google Scholar] [CrossRef] [PubMed]
- Albukhalefah, A.K.M.; Nayyef, H.A.N. Association between biochemical leptin and some biochemical markers in Iraqi patients with obesity and periodontal. Rom. J. Diabetes Nutr. Metab. Dis. 2024, 31, 569–586. [Google Scholar]
- Al-Kubaisi, A.A.; Mssdf, A.K.; Awad, S.A.; Ibrahim, K.H.; Mukhlif, M.Y.; Aldelaimi, E.R. Assessment of Serum Ferritin Levels and Periodontal Indices in Patients with Chronic Periodontitis Post/Pre Radiation Treatment of Head and Neck Cancer. Odovtos-Int. J. Dent. Sci. 2025, 28, 464–475. [Google Scholar] [CrossRef]
- Papapanou, P.N.; Sanz, M.; Buduneli, N.; Dietrich, T.; Feres, M.; Fine, D.H.; Flemmig, T.F.; Garcia, R.; Giannobile, W.V.; Graziani, F. Periodontitis: Consensus report of workgroup 2 of the 2017 World Workshop on the Classification of Periodontal and Peri-Implant Diseases and Conditions. J. Periodontol. 2018, 89, S173–S182. [Google Scholar]
- Awad, S.A.; Al-Kubaisi, A.A.; Mukhlif, M.Y.; Fezea, A.A.; Aldelaimi, E.R.; Mssdf, A.K. Serum Levels of Macrophage Inflammatory Protein-1α (MIPs-1 α) as a Potential Biomarker in Periodontal Disease with post-radiation Head and Neck Cancer Patients. Passer J. Basic Appl. Sci. 2025, 7, 1104–1112. [Google Scholar]
- Epstein, J.B.; Robertson, M.; Emerton, S.; Phillips, N.; Stevenson-Moore, P. Quality of life and oral function in patients treated with radiation therapy for head and neck cancer. Head Neck 2001, 23, 389–398. [Google Scholar] [CrossRef]
- Sabancı, A.; Karasu, B.; Sabancı, H.I.; Kuku, İ.; Kırmızıgul, O.A. Impact of periodontal status on the oral mucositis in patients receiving high-dose chemotherapy. Clin. Oral Investig. 2022, 26, 6341–6346. [Google Scholar] [CrossRef]
- Al-Kubaisi, A.A.; Ghazi, M.A.; Majeed, N.S.; Aldelaimi, E.R.; Enezei, H.H. Soluble urokinase plasminogen activator receptor (suPAR) is a potential biomarker of stage III-IV, grade C periodontitis through the impact of post-radiotherapy on head and neck cancer patients. BMC Oral Health 2024, 24, 1144. [Google Scholar] [CrossRef]
- Moore, C.; Donnelly, M.; Semple, C.; O’Neill, C.; McKenna, G. Compliance with oral hygiene and dietary advice for the prevention of post-radiotherapy dental disease among head and neck cancer patients—A qualitative study. J. Dent. 2023, 138, 104720. [Google Scholar] [CrossRef]
- Li, J.; Zhao, G.; Zhang, H.; Zhu, F. Probiotic adjuvant treatment in combination with scaling and root planing in chronic periodontitis: A systematic review and meta-analysis. Benef. Microbes 2023, 14, 95–107. [Google Scholar] [CrossRef]
- Chen, S.-H.; Chen, J.-F.; Hung, Y.-T.; Hsu, T.-J.; Chiu, C.-C.; Kuo, S.-J. Exploring the Relationship between Periodontitis, Anti-Periodontitis Therapy, and Extra-Oral Cancer Risk: Findings from a Nationwide Population-Based Study. Biomedicines 2023, 11, 1949. [Google Scholar] [CrossRef]
- AlZoubi, I.A. An Overview of the Systematic Evidence on the Adjunctive Use of Laser Therapy in Non-surgical Periodontal Treatment. Cureus 2023, 15, e44268. [Google Scholar] [CrossRef]
- Sciubba, J.J.; Goldenberg, D. Oral complications of radiotherapy. Lancet Oncol. 2006, 7, 175–183. [Google Scholar] [CrossRef] [PubMed]
- Vissink, A.; Jansma, J.; Spijkervet, F.; Burlage, F.; Coppes, R. Oral sequelae of head and neck radiotherapy. Crit. Rev. Oral Biol. Med. 2003, 14, 199–212. [Google Scholar] [CrossRef]
- Clemente, A.; Rizzetto, L.; Castronovo, G.; Perissi, E.; Tanturli, M.; Cozzolino, F.; Cavalieri, D.; Fusi, F.; Cialdai, F.; Vignali, L. Effects of near-infrared laser radiation on the survival and inflammatory potential of Candida spp. involved in the pathogenesis of chemotherapy-induced oral mucositis. Eur. J. Clin. Microbiol. Infect. Dis. 2015, 34, 1999–2007. [Google Scholar] [CrossRef]
- Lalla, R.V.; Sonis, S.T.; Peterson, D.E. Management of oral mucositis in patients who have cancer. Dent. Clin. N. Am. 2008, 52, 61–77. [Google Scholar] [CrossRef]
- Tao, Z.; Gao, J.; Qian, L.; Huang, Y.; Zhou, Y.; Yang, L.; He, J.; Yang, J.; Wang, R.; Zhang, Y. Factors associated with acute oral mucosal reaction induced by radiotherapy in head and neck squamous cell carcinoma: A retrospective single-center experience. Medicine 2017, 96, e8446. [Google Scholar] [CrossRef] [PubMed]
- Anderson, C.M.; Lee, C.M.; Saunders, D.P.; Curtis, A.; Dunlap, N.; Nangia, C.; Lee, A.S.; Gordon, S.M.; Kovoor, P.; Arevalo-Araujo, R. Phase IIb, randomized, double-blind trial of GC4419 versus placebo to reduce severe oral mucositis due to concurrent radiotherapy and cisplatin for head and neck cancer. J. Clin. Oncol. 2019, 37, 3256–3265. [Google Scholar] [CrossRef]
- Kumar, D.; Rastogii, N.; Kapur, S.; Singh, A. Oral Complications And Its Management During Radiotherapy. Indian J. Dent. Sci. 2011, 2, 109–113. [Google Scholar] [CrossRef]
- Sahebnasagh, M.; Aksi, V.; Eslami, F.; Lashkardoost, H.; Kasaian, J.; Golmohammadzadeh, S.; Parkam, B.; Negarandeh, R.; Saghafi, F.; Sahebnasagh, A. Prevention of radiotherapy-related oral mucositis with zinc and polyherbal mouthwash: A double-blind, randomized clinical trial. Eur. J. Med. Res. 2023, 28, 109. [Google Scholar] [CrossRef]
- Harding, J.J. Care of Head and Neck Cancer Patients for Dental Hygienists and Dental Therapists; Wiley Online Library: Hoboken, NJ, USA, 2023. [Google Scholar]
- Sreebny, L.M. Saliva in health and disease: An appraisal and update. Int. Dent. J. 2000, 50, 140–161. [Google Scholar] [CrossRef]
- Brook, I. Late side effects of radiation treatment for head and neck cancer. Radiat. Oncol. J. 2020, 38, 84. [Google Scholar] [CrossRef]
- Dirix, P.; Nuyts, S.; Van den Bogaert, W. Radiation-induced xerostomia in patients with head and neck cancer: A literature review. Cancer Interdiscip. Int. J. Am. Cancer Soc. 2006, 107, 2525–2534. [Google Scholar] [CrossRef]
- Devi, S.; Singh, N. Dental care during and after radiotherapy in head and neck cancer. Natl. J. Maxillofac. Surg. 2014, 5, 117–125. [Google Scholar] [CrossRef] [PubMed]
- De Felice, F.; Pranno, N.; Papi, P.; Brugnoletti, O.; Tombolini, V.; Polimeni, A. Xerostomia and clinical outcomes in definitive intensity modulated radiotherapy (IMRT) versus three-dimensional conformal radiotherapy (3D-CRT) for head and neck squamous cell carcinoma: A meta-analysis. In Vivo 2020, 34, 623–629. [Google Scholar] [CrossRef]
- Nutting, C.M.; Morden, J.P.; Harrington, K.J.; Urbano, T.G.; Bhide, S.A.; Clark, C.; Miles, E.A.; Miah, A.B.; Newbold, K.; Tanay, M. Parotid-sparing intensity modulated versus conventional radiotherapy in head and neck cancer (PARSPORT): A phase 3 multicentre randomised controlled trial. Lancet Oncol. 2011, 12, 127–136. [Google Scholar] [CrossRef]
- Ma, S.J.; Rivers, C.I.; Serra, L.M.; Singh, A.K. Long-term outcomes of interventions for radiation-induced xerostomia: A review. World J. Clin. Oncol. 2019, 10, 1. [Google Scholar] [CrossRef]
- Sankar, V.; Xu, Y. Oral complications from oropharyngeal cancer therapy. Cancers 2023, 15, 4548. [Google Scholar] [CrossRef] [PubMed]
- Barbe, A.G.; Schmidt-Park, Y.; Hamacher, S.; Derman, S.H.M.; Noack, M.J. Efficacy of GUM® Hydral versus Biotène® Oralbalance mouthwashes plus gels on symptoms of medication-induced xerostomia: A randomized, double-blind, crossover study. Clin. Oral Investig. 2018, 22, 169–180. [Google Scholar] [CrossRef] [PubMed]
- Kawashita, Y.; Soutome, S.; Umeda, M.; Saito, T. Oral management strategies for radiotherapy of head and neck cancer. Jpn. Dent. Sci. Rev. 2020, 56, 62–67. [Google Scholar] [CrossRef]
- Gupta, N.; Pal, M.; Rawat, S.; Grewal, M.S.; Garg, H.; Chauhan, D.; Ahlawat, P.; Tandon, S.; Khurana, R.; Pahuja, A.K. Radiation-induced dental caries, prevention and treatment-A systematic review. Natl. J. Maxillofac. Surg. 2015, 6, 160–166. [Google Scholar]
- de Freitas, L.F.; Hamblin, M.R. Proposed Mechanisms of Photobiomodulation or Low-Level Light Therapy. IEEE J. Sel. Top. Quantum Electron. 2016, 22, 348–364. [Google Scholar] [CrossRef] [PubMed]
- Massaccesi, M.; Dinapoli, N.; Fuga, V.; Rupe, C.; Panfili, M.; Calandrelli, R.; Settimi, S.; Olivieri, M.; Bartoli, F.B.; Mazzarella, C. A predictive nomogram for trismus after radiotherapy for head and neck cancer. Radiother. Oncol. 2022, 173, 231–239. [Google Scholar] [CrossRef] [PubMed]
- Chee, S.; Byrnes, Y.M.; Chorath, K.T.; Rajasekaran, K.; Deng, J. Interventions for trismus in head and neck cancer patients: A systematic review of randomized controlled trials. Integr. Cancer Ther. 2021, 20, 15347354211006474. [Google Scholar] [CrossRef] [PubMed]
- Bensadoun, R.-J.; Riesenbeck, D.; Lockhart, P.B.; Elting, L.S.; Spijkervet, F.K.; Brennan, M.T.; Trismus Section, Oral Care Study Group (OCSG), Multinational Association of Supportive Care in Cancer (MASCC)/International Society of Oral Oncology (ISOO). A systematic review of trismus induced by cancer therapies in head and neck cancer patients. Support. Care Cancer 2010, 18, 1033–1038. [Google Scholar]
- Hegde, N.N.; Gatti, P.; Balan, U.; Ravinanthanan, M.; Vittal, C.L.; Hegde, M.N. Effect of radiation on microhardness and ultramorphological changes in dentin–An in vitro analysis. J. Conserv. Dent. Endod. 2025, 28, 626–631. [Google Scholar] [CrossRef]
- Castagnola, R.; Minciacchi, I.; Rupe, C.; Marigo, L.; Grande, N.M.; Contaldo, M.; Pesce, A.; Lajolo, C. The outcome of primary root canal treatment in postirradiated patients: A case series. J. Endod. 2020, 46, 551–556. [Google Scholar] [CrossRef]
- Kawashita, Y.; Funahara, M.; Yoshimatsu, M.; Nakao, N.; Soutome, S.; Saito, T.; Umeda, M. A retrospective study of factors associated with the development of oral candidiasis in patients receiving radiotherapy for head and neck cancer: Is topical steroid therapy a risk factor for oral candidiasis? Medicine 2018, 97, e13073. [Google Scholar] [CrossRef]
- Weerasekera, M.M.; Jayarathna, T.A.; Wijesinghe, G.K.; Gunasekara, C.P.; Fernando, N.; Kottegoda, N.; Samaranayake, L.P. The effect of nutritive and non-nutritive sweeteners on the growth, adhesion, and biofilm formation of Candida albicans and Candida tropicalis. Med. Princ. Pract. 2018, 26, 554–560. [Google Scholar] [CrossRef]
- Bensadoun, R.J.; Daoud, J.; El Gueddari, B.; Bastit, L.; Gourmet, R.; Rosikon, A.; Allavena, C.; Céruse, P.; Calais, G.; Attali, P. Comparison of the efficacy and safety of miconazole 50-mg mucoadhesive buccal tablets with miconazole 500-mg gel in the treatment of oropharyngeal candidiasis: A prospective, randomized, single-blind, multicenter, comparative, phase III trial in patients treated with radiotherapy for head and neck cancer. Cancer Interdiscip. Int. J. Am. Cancer Soc. 2008, 112, 204–211. [Google Scholar]
- Epstein, J.B.; Gorsky, M.; Caldwell, J. Fluconazole mouthrinses for oral candidiasis in postirradiation, transplant, and other patients. Oral Surg. Oral Med. Oral Pathol. Oral Radiol. Endodontol. 2002, 93, 671–675. [Google Scholar] [CrossRef]
- Fernandez y Mostajo, M.; van der Reijden, W.A.; Buijs, M.J.; Beertsen, W.; Van der Weijden, F.; Crielaard, W.; Zaura, E. Effect of an oxygenating agent on oral bacteria in vitro and on dental plaque composition in healthy young adults. Front. Cell. Infect. Microbiol. 2014, 4, 95. [Google Scholar] [CrossRef]
- Fischoff, D.K.; Spivakovsky, S. Little evidence to support or refute interventions for the management of burning mouth syndrome. Evid.-Based Dent. 2017, 18, 57–58. [Google Scholar] [CrossRef] [PubMed]
- Arnold, M. Headache classification committee of the international headache society (IHS) the international classification of headache disorders. Cephalalgia 2018, 38, 1–211. [Google Scholar] [CrossRef] [PubMed]
- Bender, S.D. Burning mouth syndrome. Dent. Clin. 2018, 62, 585–596. [Google Scholar] [CrossRef]
- Tan, H.L.; Renton, T. Burning mouth syndrome: An update. Cephalalgia Rep. 2020, 3, 2515816320970143. [Google Scholar] [CrossRef]
- Tu, T.T.; Takenoshita, M.; Matsuoka, H.; Watanabe, T.; Suga, T.; Aota, Y.; Abiko, Y.; Toyofuku, A. Current management strategies for the pain of elderly patients with burning mouth syndrome: A critical review. Biopsychosoc. Med. 2019, 13, 1. [Google Scholar] [CrossRef] [PubMed]
- Grushka, M.; Epstein, J.; Mott, A. An open-label, dose escalation pilot study of the effect of clonazepam in burning mouth syndrome. Oral Surg. Oral Med. Oral Pathol. Oral Radiol. Endodontol. 1998, 86, 557–561. [Google Scholar] [CrossRef]
- Dym, H.; Lin, S.; Thakkar, J. Neuropathic pain and burning mouth syndrome: An overview and current update. Dent. Clin. 2020, 64, 379–399. [Google Scholar]
- Tan, H.L.; Smith, J.G.; Hoffmann, J.; Renton, T. A systematic review of treatment for patients with burning mouth syndrome. Cephalalgia 2022, 42, 128–161. [Google Scholar] [CrossRef]
- Lu, C.; Yang, C.; Li, X.; Du, G.; Zhou, X.; Luo, W.; Du, Q.; Tang, G. Effects of low-level laser therapy on burning pain and quality of life in patients with burning mouth syndrome: A systematic review and meta-analysis. BMC Oral Health 2023, 23, 734. [Google Scholar] [CrossRef] [PubMed]
- Al-Maweri, S.A.; Javed, F.; Kalakonda, B.; AlAizari, N.A.; Al-Soneidar, W.; Al-Akwa, A. Efficacy of low level laser therapy in the treatment of burning mouth syndrome: A systematic review. Photodiagnosis Photodyn. Ther. 2017, 17, 188–193. [Google Scholar] [CrossRef] [PubMed]
- Singh, A.; Huryn, J.M.; Kronstadt, K.L.; Yom, S.K.; Randazzo, J.R.; Estilo, C.L. Osteoradionecrosis of the jaw: A mini review. Front. Oral Health 2022, 3, 980786. [Google Scholar] [CrossRef]
- Chronopoulos, A.; Zarra, T.; Ehrenfeld, M.; Otto, S. Osteoradionecrosis of the jaws: Definition, epidemiology, staging and clinical and radiological findings. A concise review. Int. Dent. J. 2018, 68, 22–30. [Google Scholar] [CrossRef]
- Zhang, W.; Zhang, X.; Yang, P.; Blanchard, P.; Garden, A.S.; Gunn, B.; Fuller, C.D.; Chambers, M.; Hutcheson, K.A.; Ye, R. Intensity-modulated proton therapy and osteoradionecrosis in oropharyngeal cancer. Radiother. Oncol. 2017, 123, 401–405. [Google Scholar] [CrossRef]
- Raj, R.; Nair, A.H.; Krishnan, N.A.; Balasubramanian, D.; Iyer, S.; Thankappan, K. Advances and controversies in the management of osteoradionecrosis after head and neck cancer treatment: A narrative review. J. Maxillofac. Oral Surg. 2022, 21, 836–844. [Google Scholar] [CrossRef]
- Al-Kubaisi, A.A.; Nabeel, Z.; Adem, Ş.; Mula-Hussain, L. Changes and Roles of IL-6, hsCRP, and proCT in Patients with Chronic Periodontitis in Head and Neck Cancer Pre/Post Radiotherapy. Al-Rafidain J. Med. Sci. 2024, 7, 248–254. [Google Scholar] [CrossRef]
- Iqbal, Z.; Kyzas, P. Analysis of the critical dose of radiation therapy in the incidence of Osteoradionecrosis in head and neck cancer patients: A case series. BDJ Open 2020, 6, 18. [Google Scholar] [CrossRef]
- Nath, J.; Singh, P.K.; Sarma, G. Dental care in head and neck cancer patients undergoing radiotherapy. Indian J. Otolaryngol. Head Neck Surg. 2022, 74, 6219–6224. [Google Scholar] [CrossRef] [PubMed]
- Aggarwal, K.; Goutam, M.; Singh, M.; Kharat, N.; Singh, V.; Vyas, S.; Singh, H.P. Prophylactic use of pentoxifylline and tocopherol in patients undergoing dental extractions following radiotherapy for head and neck cancer. Niger. J. Surg. 2017, 23, 130–133. [Google Scholar] [CrossRef] [PubMed]
- Normando, A.G.C.; Perez-de-Oliveira, M.E.; Guerra, E.N.S.; Lopes, M.A.; Rocha, A.C.; Brandao, T.B.; Prado-Ribeiro, A.C.; Gueiros, L.A.M.; Epstein, J.B.; Migliorati, C.A. To extract or not extract teeth prior to head and neck radiotherapy? A systematic review and meta-analysis. Support. Care Cancer 2022, 30, 8745–8759. [Google Scholar] [CrossRef]
- Rupe, C.; Gioco, G.; Massaccesi, M.; Tagliaferri, L.; Pastore, F.; Micciché, F.; Galli, J.; Mele, D.; Specchia, M.L.; Cassano, A. Osteoradionecrosis incidence in pre-radiation teeth extractions: A prospective study. Oral Dis. 2024, 30, 5129–5139. [Google Scholar] [CrossRef] [PubMed]
- Arqueros-Lemus, M.; Mariño-Recabarren, D.; Niklander, S.; Martínez-Flores, R.; Moraga, V. Pentoxifylline and tocopherol for the treatment of osteoradionecrosis of the jaws. A systematic review. Med. Oral Patol. Oral Cir. Bucal 2023, 28, e293. [Google Scholar] [CrossRef]
- Sheth, M.K.; Collet, C.; Lin, D.-C.; Sinha, U.K. Effectiveness of Hyperbaric Oxygen Therapy Compared to Surgical Free Tissue Flap for Osteoradionecrosis of the Jaw: A Meta-Analysis. medRxiv 2023. medRxiv:2025.23296038. [Google Scholar]
- Hu, J.; Andablo-Reyes, E.; Mighell, A.; Pavitt, S.; Sarkar, A. Dry mouth diagnosis and saliva substitutes—A review from a textural perspective. J. Texture Stud. 2021, 52, 141–156. [Google Scholar] [CrossRef]
- Agostoni, C.; Bresson, J.-L.; Fairweather Tait, S.; Flynn, A.; Golly, I.; Korhonen, H.; Lagiou, P.; Løvik, M.; Marchelli, R.; Martin, A. Scientific opinion on dietary reference values for water. EFSA J. 2010, 8, 1459. [Google Scholar] [CrossRef]
- Kapourani, A.; Kontogiannopoulos, K.N.; Manioudaki, A.-E.; Poulopoulos, A.K.; Tsalikis, L.; Assimopoulou, A.N.; Barmpalexis, P. A review on xerostomia and its various management strategies: The role of advanced polymeric materials in the treatment approaches. Polymers 2022, 14, 850. [Google Scholar] [CrossRef] [PubMed]
- Arya, L.; Brizuela, M. Oral management of patients undergoing radiation therapy. In StatPearls [Internet]; StatPearls Publishing: Treasure Island, FL, USA, 2023. [Google Scholar]
- Xia, J.; Tao, X.; Hu, Q.; Luo, W.; Tong, X.; Zhou, G.; Zhou, H.; Hua, H.; Tang, G.; Wu, T. Expert consensus on the prevention and treatment of radiochemotherapy-induced oral mucositis. Int. J. Oral Sci. 2025, 17, 54. [Google Scholar] [CrossRef] [PubMed]
- Zhang, Z.; Tian, L.; Liu, J.; Jiang, H.; Wang, P. Evidence summary on managing radiotherapy-induced oral mucositis in patients with head and neck cancer. Asia-Pac. J. Oncol. Nurs. 2024, 11, 100386. [Google Scholar] [CrossRef]
- Kumar, D.; Rastogi, N. Oral complications and its management during radiotherapy. Int. J. Head Neck Surg. 2012, 2, 109–113. [Google Scholar] [CrossRef]
- Rocha, P.H.; Reali, R.M.; Decnop, M.; Souza, S.A.; Teixeira, L.A.; Júnior, A.L.; Sarpi, M.O.; Cintra, M.B.; Pinho, M.C.; Garcia, M.R. Adverse radiation therapy effects in the treatment of head and neck tumors. Radiographics 2022, 42, 806–821. [Google Scholar] [CrossRef]
- Parra-Rojas, S.; Velázquez-Cayón, R.T.; Borges-Gil, A.; Mejías-Torrus, J.L.; Cassol-Spanemberg, J. Oral complications and management strategies for cancer patients: Principles of supportive oncology in dentistry. Curr. Oncol. Rep. 2024, 26, 391–399. [Google Scholar] [CrossRef]
- Meidarlina, I.; Kusumadjati, A. Head and Neck Cancer Patient’s Radiation-induced Oral and Temporomandibular Joint Complications: A Review. J. Int. Oral Health 2024, 16, 432–438. [Google Scholar] [CrossRef]
- Zurnachyan, A. Oral complications of radiotherapy: Approaches to prevention and treatment. Kazan Med. J. 2015, 96, 397–400. [Google Scholar] [CrossRef]
- Spinato, G.; Schiavon, V.; Torvilli, S.; Carraro, S.; Amato, F.; Daloiso, A.; Di Fiore, A.; Favero, V.; Franz, L.; Marioni, G. Oral Care in head and neck radiotherapy: Proposal for an oral hygiene protocol. J. Pers. Med. 2024, 14, 1013. [Google Scholar] [CrossRef] [PubMed]
- Calabrese, E.J. Preconditioning is hormesis part II: How the conditioning dose mediates protection: Dose optimization within temporal and mechanistic frameworks. Pharmacol. Res. 2016, 110, 265–275. [Google Scholar] [CrossRef] [PubMed]
- Calabrese, E.J.; Dhawan, G.; Kapoor, R.; Agathokleous, E.; Calabrese, V. Hormesis: Wound healing and fibroblasts. Pharmacol. Res. 2022, 184, 106449. [Google Scholar] [CrossRef]
- Leri, M.; Scuto, M.; Ontario, M.L.; Calabrese, V.; Calabrese, E.J.; Bucciantini, M.; Stefani, M. Healthy effects of plant polyphenols: Molecular mechanisms. Int. J. Mol. Sci. 2020, 21, 1250. [Google Scholar] [CrossRef]
Disclaimer/Publisher’s Note: The statements, opinions and data contained in all publications are solely those of the individual author(s) and contributor(s) and not of MDPI and/or the editor(s). MDPI and/or the editor(s) disclaim responsibility for any injury to people or property resulting from any ideas, methods, instructions or products referred to in the content. |
© 2026 by the authors. Licensee MDPI, Basel, Switzerland. This article is an open access article distributed under the terms and conditions of the Creative Commons Attribution (CC BY) license.






