Next Article in Journal
Evolution of Hemodynamic Parameters After Tooth Extraction and Infiltration of Local Anesthetic with Vasoconstrictor in Healthy and Hypertensive Patients Controlled with Different Antihypertensive Drugs
Previous Article in Journal
The Effect of Saliva on the Adhesion of Candida albicans to Prosthodontic Obturator Materials
Previous Article in Special Issue
Artificial Intelligence Tools for Dental Caries Detection: A Scoping Review
 
 
Font Type:
Arial Georgia Verdana
Font Size:
Aa Aa Aa
Line Spacing:
Column Width:
Background:
Case Report

Injection Molding and Palatal Silicone Key Combination: A Hybrid Approach for Complex Anterior Cases

by
Maria Fostiropoulou
,
Eftychia Pappa
,
Konstantinos Tzimas
and
Efstratios Papazoglou
*
Department of Operative Dentistry, National and Kapodistrian University of Athens, 11527 Athens, Greece
*
Author to whom correspondence should be addressed.
Submission received: 18 November 2025 / Revised: 2 January 2026 / Accepted: 11 January 2026 / Published: 26 January 2026
(This article belongs to the Special Issue Artificial Intelligence in Oral Medicine: Advancements and Challenges)

Abstract

Background/Objectives: This article presents a novel approach that combines the Palatal Silicone Key and Injection Molding techniques as a viable alternative for complex anterior cases with high esthetic demands, where layering multiple shades is essential to achieve a natural appearance, rather than using a single monochromatic composite. Methods: The Palatal Silicone Key technique utilizes a silicone index to transfer palatal and incisal anatomy from a diagnostic wax-up, allowing freehand layering of proximal and buccal surfaces with multiple composite shades. The Injection Molding technique provides a simpler and more predictable workflow by using a transparent silicone index to replicate the wax-up. However, the original injection technique relies on a single-shade composite, limiting the esthetic outcomes. In the presented case canines and first premolars were reshaped to replace congenitally missing lateral incisors. Palatal surfaces were built with medium-viscosity enamel shade composite using the silicone key, and dentin anatomy was sculpted freehand with dentin shade composite. Buccal anatomy was restored by injecting enamel shade flowable composite into the transparent index. Results: This combined protocol facilitated the precise transfer of the wax-up, minimizing adjustments, while the use of multiple composite shades reproduced the natural translucency of adjacent teeth, resulting in highly esthetic restorations. Conclusions: Handling traditional composites in complex anterior cases can be time-consuming and technique-sensitive. The presented combination of techniques, while requiring a high level of skill and precision, integrates the strengths of both approaches, enabling a minimally invasive, additive workflow with reduced clinical time and more predictable esthetic outcomes.

Graphical Abstract

1. Introduction

Managing extensive anterior restorations remains one of the most demanding challenges in restorative dentistry. Treatment can be performed utilizing either direct or indirect techniques and the decision-making process is guided by various factors, including the quantity of residual tooth structure, esthetic demands, the emphasis on minimally invasive protocols, the patient’s socioeconomic status, and the clinician’s treatment philosophy and skills [1].
Direct restorative procedures are time-consuming and technique-sensitive, necessitating a high level of clinical expertise. Achieving optimal esthetic outcomes with direct restorations requires advanced training and proficiency in customizing anatomical form, surface morphology, color stratification, and optical properties. Despite these demands, direct techniques are regarded as the most minimally invasive option, typically involving little to no tooth preparation and thereby maximizing preservation of the tooth structure [2].
In contrast, indirect restorations often necessitate some degree of tooth preparation to facilitate an appropriate path of insertion, as “no-prep” veneer indications are rare in routine clinical practice. Additionally, the involvement of a dental technician in the fabrication process contributes to increased treatment costs. From the perspective of esthetic durability, ceramic veneers offer superior long-term stability in terms of shade and gloss retention [3]. However, they are more prone to irreversible failures such as chipping, which frequently necessitates full replacement. Direct composite veneers, although requiring periodic maintenance such as annual repolishing, present reversibility and more manageable and repairable failure modes [4].
The Palatal Silicone Key technique is a well-established alternative to fully free-hand procedures, offering partial guidance to the clinician through the intraoral transfer of palatal and incisal anatomy using a silicone index based on the diagnostic wax-up [5,6]. The silicone index is extended onto adjacent, unrestored teeth to enhance stability and ensure precise positioning during clinical application. Following the reconstruction of the palatal surface, proximal surfaces are shaped using sectional matrices while the buccal contour is completed free-hand [7]. This method allows the use of different composite resin masses mimicking dentin, enamel, opalescence and stains depending on the layering protocol selected by the clinician [8].
The “injectable composite resin technique” has emerged as a more predictable and guided alternative for direct composite restorations [9,10]. This technique utilizes a single-shade flowable resin composite material injected into a perforated transparent index, facilitating precise intraoral replication of the diagnostic wax-up. Although originally described for transitional restorations, the evolution of flowable composite materials in terms of mechanical strength and esthetic performance has significantly expanded their range of clinical applications. The technique now serves multiple restorative purposes, including anterior and posterior single-tooth restorations, diastema closure, tooth reshaping, direct replacement of missing teeth with resin-bonded fixed dental prostheses, and comprehensive rehabilitation of worn dentitions, especially in cases requiring the re-establishment of vertical dimension of occlusion [11,12,13,14,15,16,17,18,19,20].
To address the issue of material excess on adjacent teeth, two modifications of the original protocol have been proposed. The first involves segmenting the mock-up to create space holders, minimizing material overflow onto the non-injected teeth during the initial injection phase [21]. The second, known as the alternate injection molding technique, requires both a partial (every-other-tooth) and a total wax-up, utilizing two separate models and two transparent silicone indexes, respectively [22].
Low viscosity or flowable resin composites originally characterized by lower filler content compared to packable composites, were initially indicated as liners and base, offering improved handling and wetting properties. However, these early formulations exhibited limitations, including reduced wear resistance, mechanical strength, and color stability relative to conventional composite resins [23]. Continued advancements in material science have led to the development of highly filled flowable composites, with filler content ranging from 61% to 71% by weight.
According to a recent systematic review [24] evaluating both in vitro studies and randomized controlled clinical trials, these next-generation materials demonstrate adequate optical behavior, favorable marginal adaptation, and clinically acceptable early performance, particularly in small to moderate Class I and II restorations. Although their mechanical properties remain inferior to those of traditional medium-viscosity composites, several studies reported similar wear resistance and flexural strength to conventional resin composites, reinforcing their suitability for minimally invasive, additive procedures.
These improved material properties have supported the integration of highly filled flowable composites into contemporary restorative protocols. The injectable composite resin technique, which relies on these materials, offers a highly predictable workflow and consistently favorable esthetic outcomes. In addition to offering excellent visual results, the technique reduces operator sensitivity, simplifies clinical execution, and is considered cost-effective [25]. However, a limitation of the original approach is its reliance on a single-shade composite without anatomical layering, which may compromise the esthetic result in cases requiring greater optical characterization. While several modifications have been proposed, a combined approach integrating guided injection molding with multi-layer composite stratification has not been described in the current literature.
This clinical report presents an alternative innovative restorative approach that integrates the direct layering technique with the injectable method, offering a viable solution for anterior cases where natural esthetics cannot be replicated with a single-shade, monochromatic composite. In situations where achieving a natural optical effect requires the use of multiple composite shades, this combined protocol allows for greater control over color, translucency, and characterization, facilitating a more biomimetic result in demanding esthetic situations.

2. Case Description

The A 23-year-old female, non-smoker patient was referred to the Postgraduate Clinic of Restorative Dentistry at the National and Kapodistrian University of Athens, Greece, for replacement of old, fractured veneers. The patient sought to improve both the color and shape of her teeth utilizing the least invasive approach and firmly declined any surgical interventions from the outset. Her medical history was unremarkable, with no medications being taken at the time of consultation.
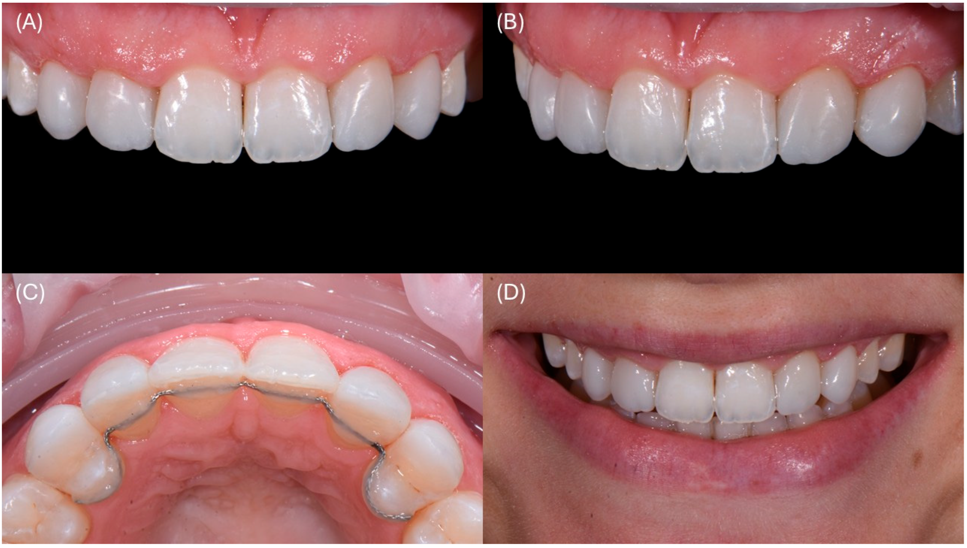
The patient revealed that she had previously undergone orthodontic treatment due to the congenital absence of her upper lateral incisors. After orthodontic treatment, composite veneers were placed to reshape the canines as lateral incisors and the premolars as canines. This orthodontic–restorative approach is commonly indicated in cases of maxillary lateral incisor agenesis presenting with a mildly convex facial profile and Angle Class II occlusion, provided that functional guidance is achieved and occlusal interferences and periodontal complications are absent. Upon clinical examination, these veneers exhibited poor surface texture and gloss, compromised marginal adaptation, and a crack on the incisal edge of the upper left canine. A post-orthodontic retention wire was placed in the palatal surfaces of the upper anterior teeth which was also fractured. Initial intraoral and extraoral photographs (Figure 1) were obtained with a digital camera (D7200, Nikon Corporation, Tokyo, Japan), providing a comprehensive visual record for meticulous evaluation and planning. Periodontal assessment showed no signs of inflammation or disease and radiographic evaluation revealed no pathological findings.
  • Treatment planning
The primary objective of the present case focused on achieving harmonious tooth proportions by reshaping the maxillary canines and first premolars to enhance overall smile esthetics. Considering the patient’s reluctance to undergo any surgical intervention—including gingival recontouring—the proposed treatment plan prioritized a conservative approach. It included at-home bleaching to improve tooth shade, followed by the placement of four veneers on both upper canines and first premolars, using either composite or ceramic materials. This restorative approach was considered appropriate after confirming occlusal and functional stability, which is essential for the long-term performance of the restorations. Given the patient’s desire for an esthetic improvement through a minimally invasive and financially accessible option, direct composite veneers were ultimately selected as the preferred restorative solution.
Following professional cleaning and calculus removal, at-home bleaching was carried out using custom-made trays with 10% carbamide peroxide (Opalescence PF 10%, Ultradent Products, Inc., South Jordan, UT, USA) applied once daily for four weeks (Figure 2). Three weeks after the bleaching process was completed [26], the orthodontic retainer was removed (Figure 3), an alginate impression (Hydrogum 5, Zhermack SpA, Badia Polesine, Italy) was taken and die stone (New Fuji Rock, GC Corp., Tokyo, Japan) was poured immediately to create a cast model. In collaboration with our lab technician, an analog wax-up was fabricated to alter the shape of the proposed teeth, maintaining harmony with the central incisors, which remained intact (Figure 4).
  • Index Fabrication
This novel hybrid technique required two different indexes. The first index was the palatal silicone key which was fabricated from the wax-up model using a 90-Shore laboratory silicone (Laborsil pro 90, Dreve Dentamid, Unna, Germany). This key was cut accordingly to serve as a guide to recreate the palatal surface with medium viscosity enamel shade composite. The second index was the transparent silicone index used for the injection molding technique. The same 90-Shore laboratory silicone was utilized in the first step to provide a rigid vertical stop to the model inside the tray and subsequently, clear vinyl polysiloxane (Exaclear, GC Corp., Tokyo, Japan) was dispensed in a non-perforated metal tray to create the transparent silicone index. The model was placed in a depressurizing machine for 5 min (Aquapres, Lang Dental Manufacturing, Wheeling, IL, USA). This process ensures optimal fit and accuracy of surface details while it prevents the incorporation of bubbles into the index (Figure 5). The clear index was fabricated in the appropriate thickness of 7–10 mm to avoid distortion during placement. After removing the excess silicone with a scalpel and verifying the accurate fit of the index on the model, perforations for the injectable composite were made from the inside, along the long axis of the tooth, positioned centrally on the incisal edge. These perforations were created using the same metal syringe tip that would later hold the flowable composite for the injection process.
  • Shade Selection
For shade selection, the button technique was employed (Figure 6), and images were taken with a digital camera (D7200, Nikon Corporation, Tokyo, Japan), complemented by additional photos captured using a cross-polarization filter (Polar_Eyes, Bio-Emulation, Aigio, Greece) [27]. Light Dentin and Light Enamel (Essentia, GC Corp., Tokyo, Japan) were chosen for the direct application steps, while Juvenile Enamel G-ænial Universal Injectable GC was selected for the buccal layer injection.
  • Rubber dam isolation and adhesive protocol
After careful removal of the existing composite veneers, rubber dam (NicTone Heavy, MDC, Jalisco, Mexico) was applied to multiple teeth and optimal gingival retraction was achieved with dental floss ligatures. First, both canines were etched with 35% orthophosphoric acid for 30 s (K-etchant Syringe, Kuraray Noritake Dental Inc., Tokyo, Japan), while neighboring teeth were protected with PTFE tapes. After thorough rinsing and drying, a universal adhesive (G-Premio Bond, GC Corp., Tokyo, Japan) was applied to the etched surfaces, air-thinned for 5 s under maximum air pressure, and light-cured for 10 s per tooth. Light curing was performed using an LED curing unit (Bluephase PowerCure, Ivoclar Vivadent, AG, Schaan, Lietschentein) with an output intensity of approximately 1200 mW/cm2 (Figure 7).
  • Layering and Injection Procedure
Palatal surfaces were reconstructed using the Palatal Silicone Key fabricated from the diagnostic wax-up. Palatal shells were created on both canines using Light Enamel (Figure 8). Light Dentine was sculpted free hand to reproduce mamelons and internal dentin anatomy while a translucent composite (Opalescence Modifier Essentia, GC Corp., Tokyo, Japan) was placed peripherally to the mamelons to replicate incisal translucency. White stain (White Modifier Essentia, GC Corp., Tokyo, Japan) was applied to the incisal edge to simulate the incisal halo effect. All free-hand composite layers were light-cured for 20 s per increment, in accordance with the manufacturer’s recommendations. To verify adequate space for the final enamel layer, a silicone index was sectioned parallel to the tooth axis, confirming a uniform buccal clearance. The buccal anatomy was precisely transferred from the wax-up using the transparent silicone index. The transparent index was positioned with PTFE tapes on adjacent teeth and JE (G-ænial Universal Injectable, GC Corp., Tokyo, Japan) was injected into the canines filling the entire facial surface and light-cured for 40 s (Figure 9). Excess composite material was meticulously removed using a No. 12 scalpel blade and interproximal sandpaper strips (Epitex, GC Corp., Tokyo, Japan) until all excess was eliminated, ensuring no gaps and achieving the optimal contour of the injected teeth.
Before the injection of the first premolars, the silicone index was positioned intraorally and its fit was verified. This step is critical to ensure that any residual excess material from previous injections has been removed, preventing interference with accurate seating of the index. Once proper adaptation was confirmed, the adhesive protocol was repeated: etching the enamel surface for 30 s with 35% orthophosphoric acid, applying universal adhesive, air-thinning, and light-curing each tooth for 10 s. The previously injected teeth were protected with PTFE tapes throughout this procedure. Reconstruction of the palatal surface was performed using a light enamel shade composite, guided by the silicone index. The same free-hand layering protocol was applied for reproducing dentin morphology and incisal translucency using the appropriate composite shades. To replicate the buccal anatomy, the transparent index was repositioned, the adjacent teeth were protected with PTFE tapes and JE was injected into the first premolars to contour them as canines (Figure 10). The material was light-cured for 40 s through the index and after index removal definitive light curing of all surfaces was performed for 20 s, applying a glycerin gel to prevent the formation of an oxygen-inhibited layer [28].
  • Finishing and Polishing
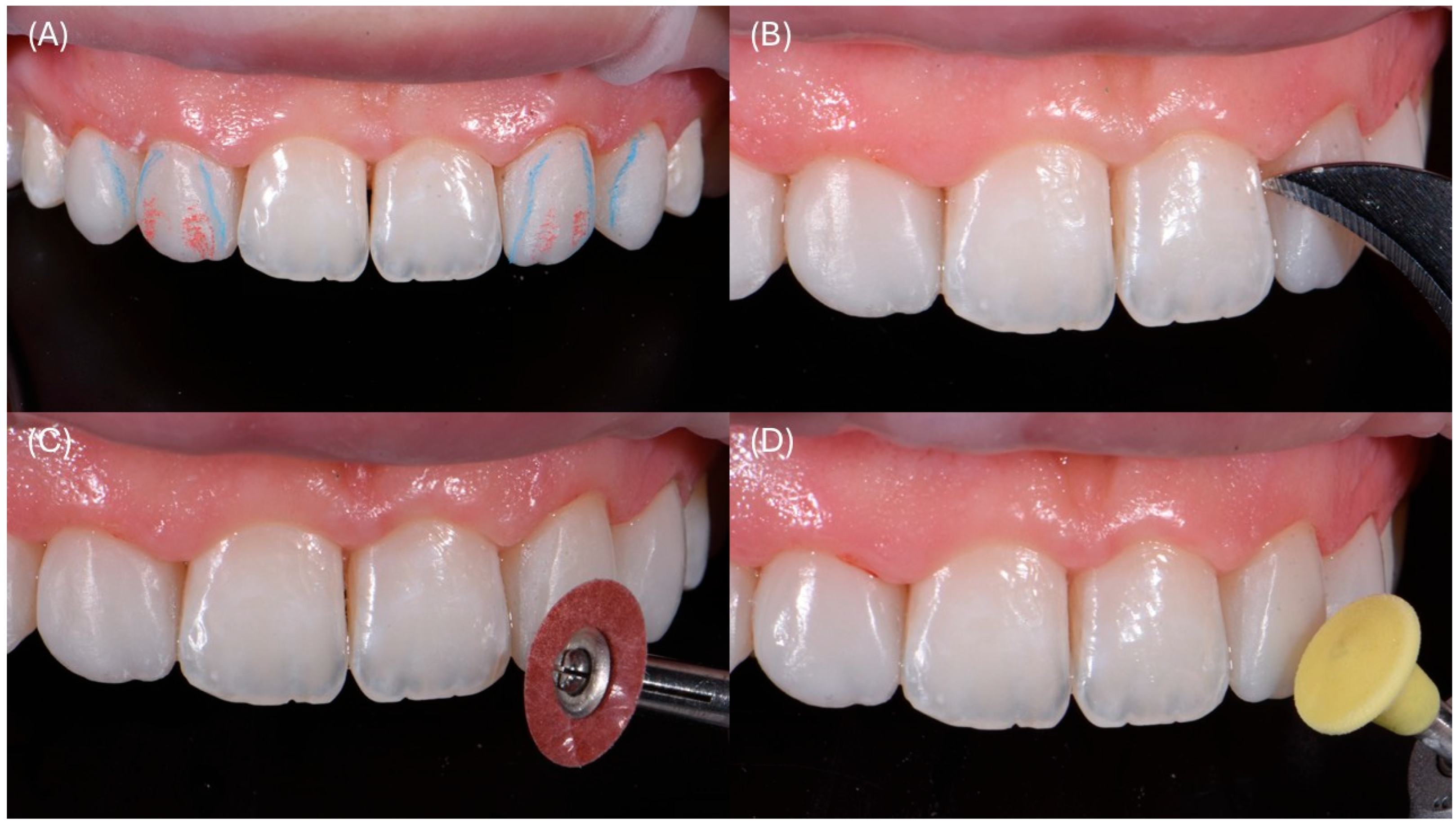
Finishing the restorations (Figure 11), particularly in the cervical and interproximal areas, is facilitated by a No. 12 scalpel blade and finishing sandpaper strips. Special care must be taken during this step, as excessive finishing with strips on the proximal surfaces can lead to open contact points and potential food entrapment. Fine diamond burs are highly effective for contouring the cervical area, ensuring a smooth transition from natural tooth structure to restoration, without overhanging margins. Minimal adjustments were required on the buccal surface, as the wax-up was precisely transferred. A 12-μm (12μ OccluFoil, Hanel/Coltene, Altstatten, Switzerland) articulating paper was used to assess occlusal contacts. Only minimal occlusal adjustments were required, thanks to the technique’s precise replication of the wax-up in the final restorations. Transition lines were drawn using a pencil and minor adjustments were made with aluminum oxide-coated disks (Sof-Lex, 3M Oral Care, Minneapolis, MN, USA). Polishing was achieved using a three-step composite polishing system, with elastic disks (Jiffy, Ultradent Products, Inc., South Jordan, UT, USA) and diamond paste (Lucida, Diashine, Lynnwood, WA, USA) at low RPM and low pressure to enhance gloss and preserve surface texture. Finally, a new orthodontic retainer was applied.
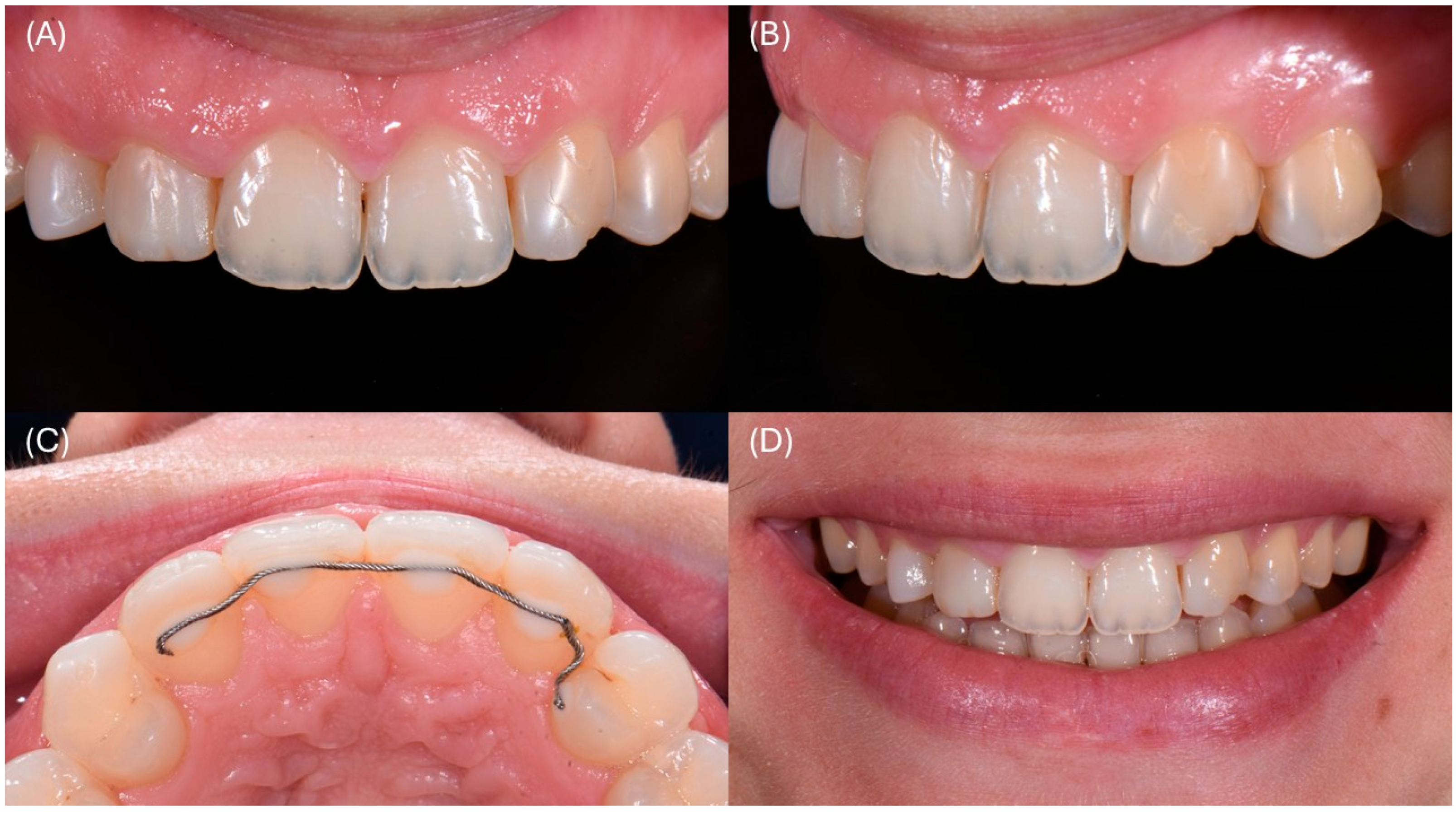
At the two-week follow-up appointment, color matching was reassessed after the hard tissues were fully rehydrated. The restorations exhibited excellent color adaptation and seamless integration with the surrounding soft tissues, promoting healthy gingival condition (Figure 12). The patient was pleased with the outcome both in terms of esthetics and function. All the materials used throughout this clinical workflow are summarized in Table 1.

3. Discussion

Various techniques have been introduced to enhance the predictability of esthetic outcomes in anterior composite restorations by accurately replicating tooth morphology. These include the use of silicone indexes to replicate the palatal anatomy of the wax-up and the application of transparent silicone indexes designed to reproduce the full contour of the restoration in a single step.
Restorative techniques employing transparent silicone indexes have been extensively described in the literature and utilize either medium or low-viscosity resin composites, depending on the clinical indication and handling preferences. The ‘’Index Technique’’ uses medium-viscosity, preheated conventional composites and represents a guided, minimally invasive approach originally described for full-mouth rehabilitations in cases of erosive or attritional wear [29]. It involves the fabrication of a transparent silicone index from a diagnostic wax-up, which is then sectioned tooth-by-tooth to allow precise control over individual restorations. Preheated composite is applied directly onto the tooth surface, and the index is pressed from both the palatal and buccal sides to ensure optimal adaptation. In contrast, the ‘’Injectable Composite Resin Technique’’ follows the same principle of guided composite placement using a transparent index but differs in material selection and application. It employs highly filled flowable resin composites, which are injected through access perforations in a non-sectioned transparent index, allowing for the simultaneous restoration of multiple teeth. This technique simplifies clinical execution, reduces procedural steps, and offers improved accuracy in replicating the wax-up compared to the Index Technique. The latter tends to show greater discrepancies, particularly in the incisal and middle thirds, which often appear bulkier than the wax-up [30].
Conventional resin composites, whether applied incrementally or via the Index Technique, remain the most evidence-based materials for anterior restorations due to their favorable mechanical properties, color stability, handling characteristics, and well-established composition [31]. However, advancements in the formulation of highly filled flowable composites including increased filler loading, optimization of particle size, and incorporation of refined monomer systems have significantly enhanced their physical and mechanical properties, positioning them as a viable alternative to traditional composites [23,24].
Currently, only four randomized controlled clinical trials have evaluated the performance of highly filled flowable resin composites in comparison to conventional composite resins [32,33,34,35]. These studies suggest comparable, or in some cases superior, clinical outcomes for highly filled flowable resin composites in terms of functional integrity, marginal adaptation, and surface gloss. However, a notable limitation is that none of these trials have assessed anterior restorations specifically, thereby limiting the applicability of these findings to esthetically demanding regions.
Several clinical reports have documented minor complications such as staining, either on the material’s surface or at the tooth–material interface, as well as superficial voids and marginal chipping [11,19]. These findings raise concerns regarding the long-term esthetic stability and structural reliability of highly filled flowable composites in anterior applications and the authors suggest that patients should be informed that these restorations require frequent re-polishing to maintain their surface gloss and marginal integrity. By this time, the literature on these materials remains scarce, and further investigation is needed to clarify their properties and behavior over time in clinical settings.
Another limitation of the injection technique is the less favorable color reproduction owing to the application of mono-shade universal composites. To date, only four reports in the literature have described the incorporation of multiple composite shades with this technique to achieve more natural and esthetically pleasing results [15,20,36,37].
Hosaka et al. [15] introduced a multilayering protocol utilizing an opaque composite to mimic dentin and a translucent one to replicate enamel. This approach involved two digital wax-ups: a full-contour anatomic wax-up and a second representing a dentin core with a 0.5 mm labial and incisal reduction. Each wax-up was used to fabricate a corresponding silicone index. This was the first multilayer approach documented in the literature; however, the technique was applied to missing teeth reconstructed via injection molding as part of a direct resin-bonded fixed dental prosthesis. A subsequent report described a similar multilayering technique, which was also applied in a case involving a missing tooth [20].
Veneziani M. [36] was the first to report a multilayer injection technique for existing teeth, introducing the concept of a customized hybrid index. This method also employed two wax-ups—a full and a cut-back version. The first index, derived from the full wax-up, was used for injecting the flowable enamel layer, while the second, based on the cut-back wax-up, featured customized openings for the injection of preheated dentin composite. When needed, an opalescent flowable stain was applied freehand between the mamelons before enamel injection. In this protocol, the dentin core was built with conventional composite, while the buccal enamel was restored using highly filled flowable resin. Building on this concept, Liaropoulou et al. [37] introduced a fully digital multilayer injection workflow utilizing multiple 3D-printed models to accurately transfer both dentin-core and enamel-shell morphology using highly filled flowable resin for both dentin and enamel.
Our combined protocol addresses the same principles and concerns with Veneziani M. [36] in terms of material selection and layering strategy and is particularly suited for cases requiring accurate reproduction of natural esthetics. Compared with original mono-shade injectable techniques, the present protocol allows enhanced optical customization through a multi-shade approach. Unlike the previously described techniques, it necessitates only a single wax-up—the full-contour version. From this, a palatal silicone key is fabricated to shape the palatal anatomy, and a transparent silicone index is produced for buccal injection. The dentin layer is applied freehand. The main limitations of the presented technique include its technique-sensitive nature, requiring advanced clinical skill and precision, as well as the lack of long-term clinical follow-up data. In the authors’ experience, as with other injectable composite techniques, these restorations require periodic maintenance and repolishing to preserve surface gloss and marginal integrity over time. Nevertheless, this combination aligns more closely with traditional stratified layering techniques familiar to many clinicians and it offers significant guidance for replicating the buccal anatomy, which is accurately transferred from the wax-up, thereby minimizing the need for extensive finishing and morphological adjustments.

4. Conclusions

This novel technique represents a viable treatment option, particularly for patients seeking esthetic improvements through a minimally invasive, additive-only approach without the higher costs of indirect restorations. When compared to traditional direct anterior restorations, this protocol provides a more accurate outcome and significantly reduces clinical time. Although it demands advanced clinical expertise it is particularly well-suited for cases where the layering of multiple shades is crucial to achieving a natural appearance rather than relying on a single, monochromatic composite. Beyond the presented case, this approach may be especially advantageous in complex anterior rehabilitations involving multiple teeth, where guided morphology transfer and time efficiency are critical for predictable outcomes.

Author Contributions

Conceptualization, M.F., E.P. (Eftychia Pappa) and E.P. (Efstratios Papazoglou); methodology, M.F.; validation, E.P. (Eftychia Pappa), K.T. and E.P. (Efstratios Papazoglou); formal analysis, M.F.; investigation, M.F. and K.T.; data curation, M.F.; writing—original draft preparation, M.F.; writing—review and editing, E.P. (Eftychia Pappa), K.T. and E.P. (Efstratios Papazoglou); visualization, M.F.; supervision, E.P. (Eftychia Pappa), K.T. and E.P. (Efstratios Papazoglou); project administration, M.F., E.P. (Eftychia Pappa), K.T. and E.P. (Efstratios Papazoglou). All authors have read and agreed to the published version of the manuscript.

Funding

This research received no external funding.

Institutional Review Board Statement

Not applicable.

Informed Consent Statement

Informed consent was obtained from all subjects involved in the study.

Data Availability Statement

No new data were created or analyzed in this study. Data sharing is not applicable to this article.

Conflicts of Interest

The authors declare no conflicts of interest.

References

  1. Perdigão, J.; Araujo, E.; Ramos, R.Q.; Gomes, G.; Pizzolotto, L. Adhesive dentistry: Current concepts and clinical considerations. J. Esthet. Restor. Dent. 2021, 33, 51–68. [Google Scholar] [CrossRef]
  2. Collares, K.; Opdam, N.; Laske, M.; Bronkhorst, E.; Demarco, F.; Correa, M.; Huysmans, M. Longevity of anterior composite restorations in a general dental practice-based network. J. Dent. Res. 2017, 96, 1092–1099. [Google Scholar] [CrossRef]
  3. Morimoto, S.; Albanesi, R.; Sesma, N.; Agra, C.; Braga, M. Main clinical outcomes of feldspathic porcelain and glass-ceramic laminate veneers: A systematic review and meta-analysis of survival and complication rates. Int. J. Prosthodont. 2016, 29, 38–49. [Google Scholar] [CrossRef] [PubMed]
  4. van de Sande, F.H.; Moraes, R.R.; Elias, R.V.; Montagner, A.F.; Rodolpho, P.A.; Demarco, F.F.; Cenci, M.S. Is composite repair suitable for anterior restorations? A long-term practice-based clinical study. Clin. Oral Investig. 2019, 23, 2795–2803. [Google Scholar] [CrossRef]
  5. Dietschi, D. Free-hand composite resin restorations: A key to anterior aesthetics. Pract. Periodontics Aesthetic Dent. 1995, 7, 15–25. [Google Scholar]
  6. Magne, P.; Holtz, J. Stratification of composite restorations: Systematic and durable replication of natural aesthetics. Pract. Periodontics Aesthetic Dent. 1996, 8, 61–68. [Google Scholar] [PubMed]
  7. Vanini, L. Light and color in anterior composite restorations. Pract. Periodontics Aesthetic Dent. 1996, 8, 673–682. [Google Scholar]
  8. Dietschi, D.; Fahl, N., Jr. Shading concepts and layering techniques to master direct anterior composite restorations: An update. Br. Dent. J. 2016, 221, 765–771. [Google Scholar] [CrossRef]
  9. Terry, D.A.; Powers, J.M. A predictable resin composite injection technique, Part I. Dent. Today 2014, 33, 96–101. [Google Scholar]
  10. Terry, D.A.; Powers, J.M.; Mehta, D.; Babu, V. A predictable resin composite injection technique, Part 2. Dent. Today 2014, 33, 12. [Google Scholar]
  11. Ypei Gia, N.R.; Sampaio, C.S.; Higashi, C.; Sakamoto, A.; Hirata, R. The injectable resin composite restorative technique: A case report. J. Esthet. Restor. Dent. 2021, 33, 404–414. [Google Scholar] [CrossRef]
  12. Cortés-Bretón Brinkmann, J.; Albanchez-González, M.I.; Lobato Peña, D.M.; Gil, I.G.; García, M.J.S.; Rico, J.P. Improvement of aesthetics in a patient with tetracycline stains using the injectable composite resin technique: Case report with 24-month follow-up. Br. Dent. J. 2020, 229, 774–778. [Google Scholar] [CrossRef]
  13. Geštakovski, D. The injectable composite resin technique: Biocopy of a natural tooth—Advantages of digital planning. Int. J. Esthet. Dent. 2021, 16, 280–299. [Google Scholar] [PubMed]
  14. Hosaka, K.; Tichy, A.; Motoyama, Y.; Mizutani, K.; Lai, W.; Kanno, Z.; Tagami, J.; Nakajima, M. Post-orthodontic recontouring of anterior teeth using composite injection technique with a digital workflow. J. Esthet. Restor. Dent. 2020, 32, 638–644. [Google Scholar] [CrossRef]
  15. Hosaka, K.; Tichy, A.; Hasegawa, Y.; Motoyama, Y.; Kanazawa, M.; Tagami, J.; Nakajima, M. Replacing mandibular central incisors with a direct resin-bonded fixed dental prosthesis using a bilayering composite resin injection technique with a digital workflow: A dental technique. J. Prosthet. Dent. 2021, 126, 150–154. [Google Scholar] [CrossRef]
  16. Hulac, S.; Kois, J.C. Managing the transition to a complex full mouth rehabilitation utilizing injectable composite. J. Esthet. Restor. Dent. 2023, 35, 796–802. [Google Scholar] [CrossRef] [PubMed]
  17. Villafuerte, K.R.V.; Obeid, A.T.; de Oliveira, N.A. Injectable resin technique as a restorative alternative in a cleft lip and palate patient: A case report. Medicina 2023, 59, 849. [Google Scholar] [CrossRef] [PubMed]
  18. Shui, Y.; Wu, J.; Luo, T.; Sun, M.; Yu, H. Three-dimensionally printed template with an interproximal isolation design to guide closure of multiple diastemas with injectable resin composite. J. Esthet. Restor. Dent. 2024, 36, 1381–1387. [Google Scholar] [CrossRef]
  19. Rafeie, N.; Sampaio, C.S.; Hirata, R. Transitioning from injectable resin composite restorations to resin composite CAD/CAM veneers: A clinical report. J. Esthet. Restor. Dent. 2024, 36, 1221–1227. [Google Scholar] [CrossRef]
  20. Watanabe, K.; Tanaka, E.; Kamoi, K.; Tichy, A.; Shiba, T.; Yonerakura, K.; Nakajima, M.; Han, R.; Hosaka, K. A dual composite resin injection molding technique with 3D-printed flexible indices for biomimetic replacement of a missing mandibular lateral incisor. J. Prosthodont. Res. 2024, 68, 667–671. [Google Scholar] [CrossRef]
  21. Geštakovski, D. The injectable composite resin technique: Minimally invasive reconstruction of esthetics and function—Clinical case report with 2-year follow-up. Quintessence Int. 2019, 50, 712–719. [Google Scholar] [CrossRef] [PubMed]
  22. Coachman, C.; De Arbeloa, L.; Mahn, G.; Sulaiman, T.A.; Mahn, E. An improved direct injection technique with flowable composites: A digital workflow case report. Oper. Dent. 2020, 45, 235–242. [Google Scholar] [CrossRef] [PubMed]
  23. Baroudi, K.; Rodrigues, J.C. Flowable resin composites: A systematic review and clinical considerations. J. Clin. Diagn. Res. 2015, 9, ZE18–ZE24. [Google Scholar] [CrossRef]
  24. Tzimas, K.; Pappa, E.; Fostiropoulou, M.; Papazoglou, E.; Rahiotis, C. Highly filled flowable composite resins as sole restorative materials: A systematic review. Materials 2025, 18, 3370. [Google Scholar] [CrossRef]
  25. Peumans, M.; Geštakovski, D.; Mattiussi, J.; Karagiannopoulos, K. Injection moulding technique with injectable composites: Quick fix or long-lasting solution? Int. Dent. Afr. 2023, 13, 14–22. [Google Scholar]
  26. Da Silva Machado, J.; Cândido, M.S.; Sundfeld, R.H.; De Alexandre, R.S.; Cardoso, J.D.; Sundefeld, M.L. The influence of time interval between bleaching and enamel bonding. J. Esthet. Restor. Dent. 2007, 19, 111–118. [Google Scholar] [CrossRef]
  27. Villavicencio-Espinoza, C.A.; Narimatsu, M.H.; Furuse, A.Y. Using cross-polarized photography as a guide for selecting resin composite shade. Oper. Dent. 2018, 43, 113–120. [Google Scholar] [CrossRef]
  28. Gauthier, M.A.; Stangel, I.; Ellis, T.H.; Zhu, X.X. Oxygen inhibition in dental resins. J. Dent. Res. 2005, 84, 725–729. [Google Scholar] [CrossRef] [PubMed]
  29. Ammannato, R.; Ferraris, F.; Marchesi, G. The index technique in worn dentition: A new and conservative approach. Int. J. Esthet. Dent. 2015, 10, 68–99. [Google Scholar]
  30. Kouri, V.; Moldovani, D.; Papazoglou, E. Accuracy of direct composite veneers via injectable resin composite and silicone matrices in comparison to diagnostic wax-up. J. Funct. Biomater. 2023, 14, 32. [Google Scholar] [CrossRef]
  31. Cho, K.; Rajan, G.; Farrar, P.; Prentice, L.; Prusty, B.G. Dental resin composites: A review on materials to product realizations. Compos. Part B Eng. 2022, 230, 109495. [Google Scholar] [CrossRef]
  32. Kitasako, Y.; Sadr, A.; Burrow, M.F.; Tagami, J. Thirty-six-month clinical evaluation of a highly filled flowable composite for direct posterior restorations. Aust. Dent. J. 2016, 61, 366–373. [Google Scholar] [CrossRef]
  33. Zhang, H.; Wang, L.; Hua, L.; Guan, R.; Hou, B. Randomized controlled clinical trial of a highly filled flowable composite in non-carious cervical lesions: 3-year results. Clin. Oral Investig. 2021, 25, 5955–5965. [Google Scholar] [CrossRef]
  34. Elderiny, H.M.; Khallaf, Y.S.; Akah, M.M.; Hassanein, O.E. Clinical evaluation of bioactive injectable resin composite vs. conventional nanohybrid composite in posterior restorations: An 18-month randomized controlled clinical trial. J. Contemp. Dent. Pract. 2024, 25, 794–802. [Google Scholar] [CrossRef] [PubMed]
  35. Hançer Sarıca, S.; Arslan, S.; Balkaya, H. Comparison of the 2-year clinical performances of class II restorations using different restorative materials. Clin. Oral Investig. 2025, 29, 128. [Google Scholar] [CrossRef]
  36. Veneziani, M. Composite injection molding technique: Innovative customized hybrid index and updated clinical procedures: Part 1. Int. J. Esthet. Dent. 2025, 20, 22–45. [Google Scholar] [PubMed]
  37. Liaropoulou, Y.M.; Jiménez, A.K.; Chierico, F.; Blatz, M.B. The Multilayer Flowable Injection Technique for Highly Esthetic Restorations. J. Esthet. Restor. Dent. 2025, 37, 2161–2170. [Google Scholar] [CrossRef]
Figure 1. Pre-operative views: (A) Frontal; (B) Left lateral; (C) Palatal; (D) Full smile frontal.
Figure 1. Pre-operative views: (A) Frontal; (B) Left lateral; (C) Palatal; (D) Full smile frontal.
Oral 06 00014 g001
Figure 2. (A) Before bleaching with 10% carbamide peroxide; (B) 3 weeks after the bleaching process was completed.
Figure 2. (A) Before bleaching with 10% carbamide peroxide; (B) 3 weeks after the bleaching process was completed.
Oral 06 00014 g002
Figure 3. Removal of the orthodontic retainer.
Figure 3. Removal of the orthodontic retainer.
Oral 06 00014 g003
Figure 4. Diagnostic wax up.
Figure 4. Diagnostic wax up.
Oral 06 00014 g004
Figure 5. Fabrication of the Palatal Silicone Key and Transparent Silicone Index from the duplicated wax-up model.
Figure 5. Fabrication of the Palatal Silicone Key and Transparent Silicone Index from the duplicated wax-up model.
Oral 06 00014 g005
Figure 6. (A) Shade selection with the button technique (B) Cross-polarized picture.
Figure 6. (A) Shade selection with the button technique (B) Cross-polarized picture.
Oral 06 00014 g006
Figure 7. (A) Removal of the existing composite veneers; (B) Rubber dam isolation; (C) Etching canines with 35% orthophosphoric acid; (D) Universal adhesive application.
Figure 7. (A) Removal of the existing composite veneers; (B) Rubber dam isolation; (C) Etching canines with 35% orthophosphoric acid; (D) Universal adhesive application.
Oral 06 00014 g007
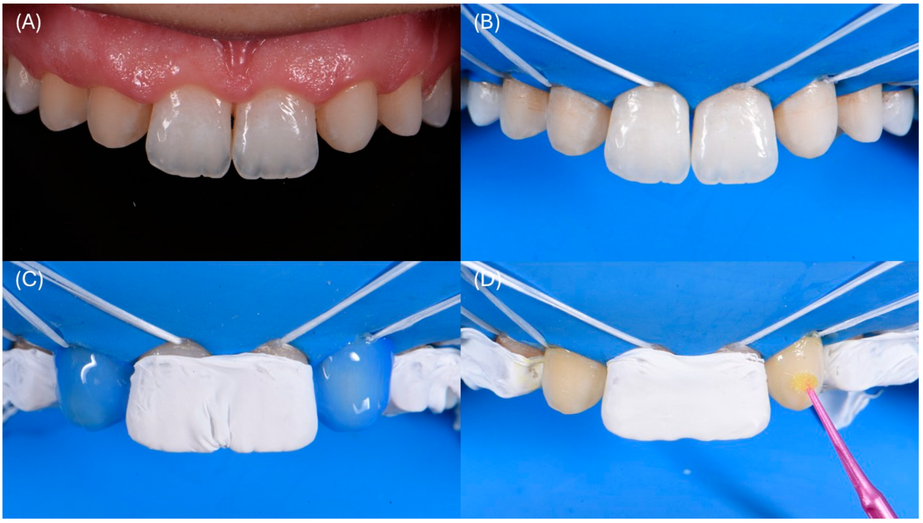
Figure 8. (A) Reference line to mark the tooth margin; (B) Enamel shade composite placed in the Palatal Silicone Key; (C) Silicone Key with composite in place; (D) Palatal shells.
Figure 8. (A) Reference line to mark the tooth margin; (B) Enamel shade composite placed in the Palatal Silicone Key; (C) Silicone Key with composite in place; (D) Palatal shells.
Oral 06 00014 g008
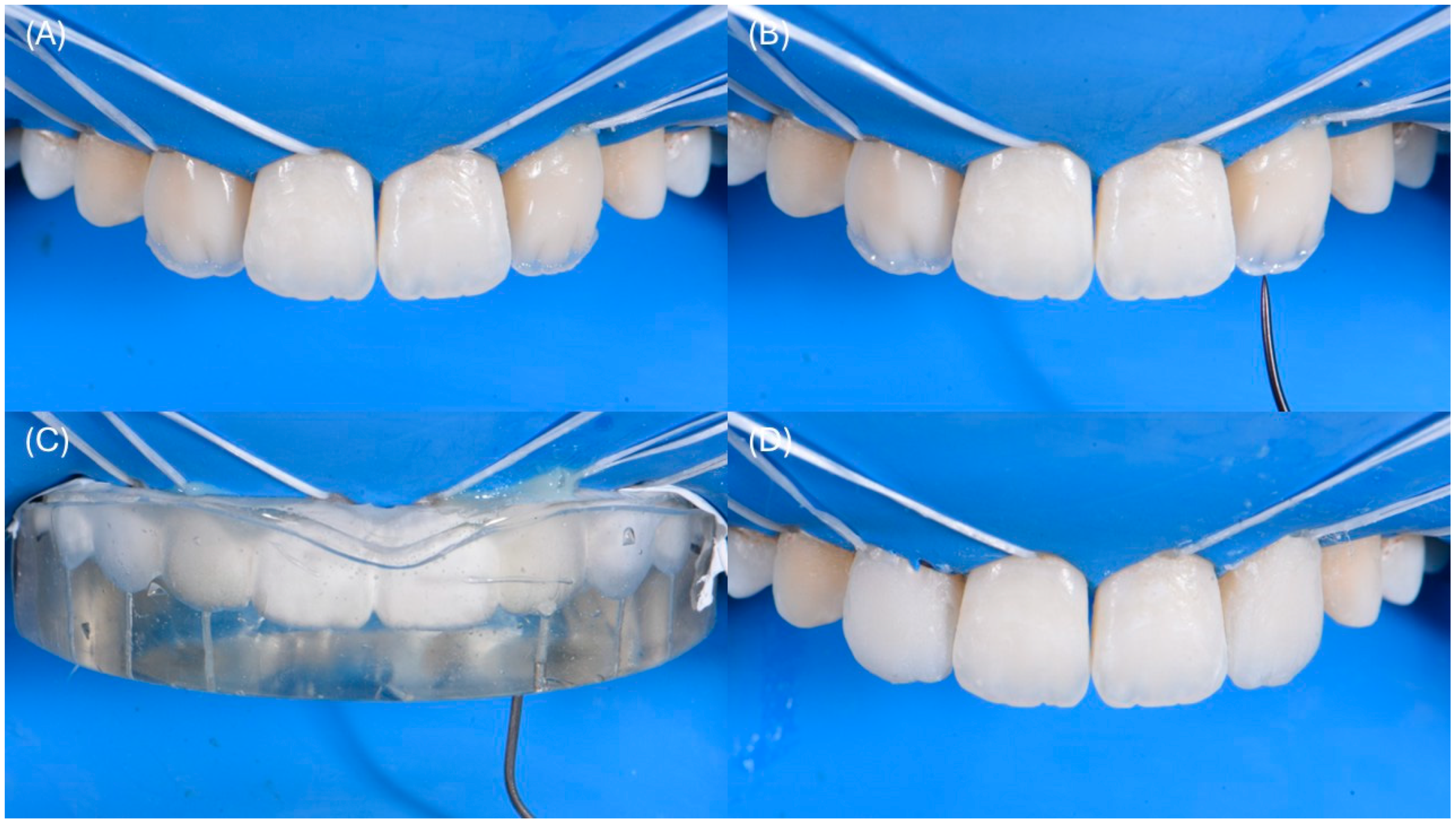
Figure 9. (A) Dentine shade composite application; (B) Incisal edge characterization with white stain; (C) Transparent Silicone Index in place; (D) Enamel shade flowable injected to the canines to create the buccal anatomy.
Figure 9. (A) Dentine shade composite application; (B) Incisal edge characterization with white stain; (C) Transparent Silicone Index in place; (D) Enamel shade flowable injected to the canines to create the buccal anatomy.
Oral 06 00014 g009
Figure 10. (A) Palatal shells in first premolars; (B) Dentine shade composite application; (C) Transparent Silicone Index in place; (D) Enamel shade flowable injected to the first premolars to create the buccal anatomy.
Figure 10. (A) Palatal shells in first premolars; (B) Dentine shade composite application; (C) Transparent Silicone Index in place; (D) Enamel shade flowable injected to the first premolars to create the buccal anatomy.
Oral 06 00014 g010
Figure 11. (A) Transition lines drawn with pencil; (B) Excess removal with scalpel blade No. 12; (C) Refining transitional lines with aluminum oxide-coated disks; (D): Polishing with elastic disks.
Figure 11. (A) Transition lines drawn with pencil; (B) Excess removal with scalpel blade No. 12; (C) Refining transitional lines with aluminum oxide-coated disks; (D): Polishing with elastic disks.
Oral 06 00014 g011
Figure 12. 2 weeks post-operative views: (A) Frontal; (B) Left lateral; (C) Palatal; (D) Full smile frontal.
Figure 12. 2 weeks post-operative views: (A) Frontal; (B) Left lateral; (C) Palatal; (D) Full smile frontal.
Oral 06 00014 g012
Table 1. Materials used in the hybrid palatal silicone key and injection molding technique.
Table 1. Materials used in the hybrid palatal silicone key and injection molding technique.
Brand NameManufacturerClinical Indication
Opalescence PF 10%Ultradent Products, Inc., South Jordan, UT, USAAt-home bleaching
Laborsil pro 90Dreve Dentamid, Unna, GermanyPalatal Silicone Key—Vertical stops for the Transparent Silicone Key
ExaclearGC Corp., Tokyo, JapanTransparent Silicone Index
NicTone HeavyMDC, Jalisco, MexicoRubber Dam Isolation
K-etchant SyringeKuraray Noritake Dental Inc., Tokyo, JapanEtching
G-Premio BondGC Corp., Tokyo, JapanAdhesive procedure
EssentiaGC Corp., Tokyo, JapanFree hand layering:
Palatal shell (Light Enamel), Dentin shade (Light Dentin), Translucency (Opalescence Modifier), Incisal halo (White Modifier)
G-ænial Universal InjectableGC Corp., Tokyo, JapanInjection molding procedure:
Buccal layer (Juvenile Enamel)
Bluephase PowerCureIvoclar Vivadent, AG, Schaan, LietschenteinLight curing
EpitexGC Corp., Tokyo, JapanInterproximal sandpaper strips
12μ OccluFoilHanel/Coltene, Altstatten, SwitzerlandArticulating paper
Sof-Lex Discs3M Oral Care, Minneapolis, MN, USAFinishing
JiffyUltradent Products, Inc., South Jordan, UT, USAPolishing
LucidaDiashine, Lynnwood, WA, USAPolishing
Disclaimer/Publisher’s Note: The statements, opinions and data contained in all publications are solely those of the individual author(s) and contributor(s) and not of MDPI and/or the editor(s). MDPI and/or the editor(s) disclaim responsibility for any injury to people or property resulting from any ideas, methods, instructions or products referred to in the content.

Share and Cite

MDPI and ACS Style

Fostiropoulou, M.; Pappa, E.; Tzimas, K.; Papazoglou, E. Injection Molding and Palatal Silicone Key Combination: A Hybrid Approach for Complex Anterior Cases. Oral 2026, 6, 14. https://doi.org/10.3390/oral6010014

AMA Style

Fostiropoulou M, Pappa E, Tzimas K, Papazoglou E. Injection Molding and Palatal Silicone Key Combination: A Hybrid Approach for Complex Anterior Cases. Oral. 2026; 6(1):14. https://doi.org/10.3390/oral6010014

Chicago/Turabian Style

Fostiropoulou, Maria, Eftychia Pappa, Konstantinos Tzimas, and Efstratios Papazoglou. 2026. "Injection Molding and Palatal Silicone Key Combination: A Hybrid Approach for Complex Anterior Cases" Oral 6, no. 1: 14. https://doi.org/10.3390/oral6010014

APA Style

Fostiropoulou, M., Pappa, E., Tzimas, K., & Papazoglou, E. (2026). Injection Molding and Palatal Silicone Key Combination: A Hybrid Approach for Complex Anterior Cases. Oral, 6(1), 14. https://doi.org/10.3390/oral6010014

Article Metrics

Back to TopTop