How to Be Predictable in the Management of Vertical Dimension of Occlusion—A Narrative Review and Case Report
Abstract
1. Introduction
1.1. Definition
1.2. Etiology and Clinical Signs
1.3. Diagnosis
2. Materials and Methods
2.1. Search Strategy
2.2. Study Selection
2.3. Data Extraction
3. Results
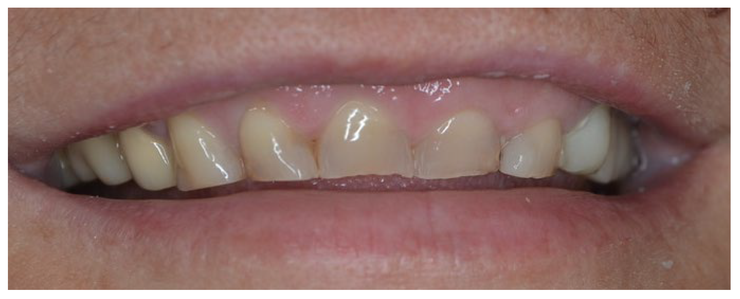
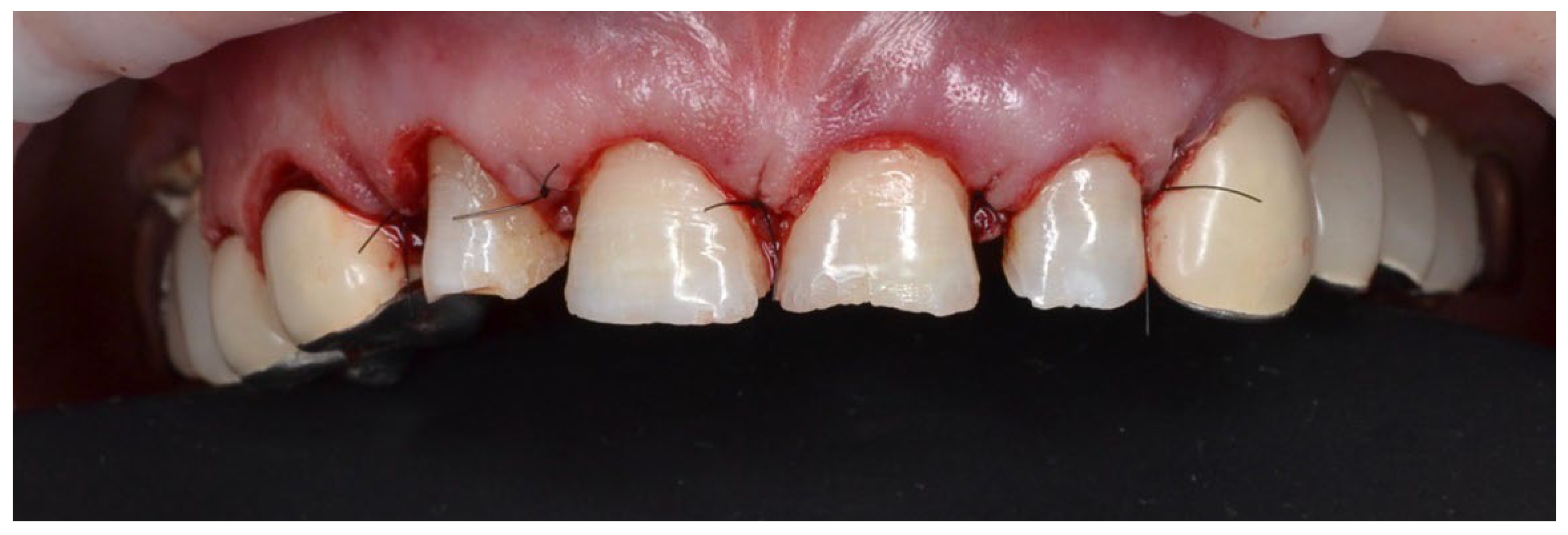
4. Case Reports
4.1. Case 1
4.2. Case 2
5. Discussion
5.1. Treatment Options
5.2. Adaptation of the Stomatognathic System to Increasing VDO
5.3. How Do You Determine the Extent of Modification?
6. Conclusions
Author Contributions
Funding
Institutional Review Board Statement
Informed Consent Statement
Data Availability Statement
Conflicts of Interest
References
- Weinberg, L.A. Vertical dimension: A research and clinical analysis. J. Prosthet. Dent. 1982, 47, 290–302. [Google Scholar] [CrossRef] [PubMed]
- Goldstein, G.; Goodacre, C.; MacGregor, K. Occlusal Vertical Dimension: Best Evidence Consensus Statement. J. Prosthodont. 2021, 30, 12–19. [Google Scholar] [CrossRef] [PubMed]
- Layton, D.M.; Morgano, S.M.; Att, W.; Freilich, M.A.; Ferro, K.J.; Kelly, J.A.; Muller, F.; Nguyen, C.T.; Salinas, T.J.; Shah, K.C. The glossary of prosthodontic terms 2023. J. Prosthet. Dent. 2023, 130, e1–e3. [Google Scholar]
- Lassmann, Ł.; Calamita, M.A.; Manfredini, D. Myths surrounding vertical dimension of occlusion in restorative dentistry: A scoping review. J. Esthet. Restor. Dent. 2025, 37, 94–105. [Google Scholar] [CrossRef] [PubMed]
- Pissiotis, A.L.; Kamalakidis, S.N.; Kirmanidou, Y.; Zahari, E.; Karpouzi, R.; Michalakis, K. EPA Consensus Project Paper: The Vertical Dimension of Occlusion. How to Determine and How to Alter? A Systematic Review. Eur. J. Prosthodont. Restor. Dent. 2023. Epub ahead of print. [Google Scholar] [CrossRef] [PubMed]
- Marchan, S.M.; Rafeek, R.N.; Smith, W.A.J. The Influence of demographic variables on the prevalence and severity of tooth wear in a Trinidadian population. Front. Oral Health 2025, 6, 1516137. [Google Scholar] [CrossRef] [PubMed]
- Van’t Spijker, A.; Rodriguez, J.M.; Kreulen, C.M.; Bronkhorst, E.M.; Bartlett, D.W.; Creugers, N.H. Prevalence of Tooth Wear in Adults. Int. J. Prosthodont. 2009, 22, 35–42. [Google Scholar]
- Bartlett, D.; O’Toole, S. Tooth Wear: Best Evidence Consensus Statement. J. Prosthodont. 2020, 30, 20–25. [Google Scholar] [CrossRef]
- Prombonas, A.; Vlissidis, D.; Molyvdas, P. The effect of altering the vertical dimension of occlusion on biting force. J. Prosthet. Dent. 1994, 71, 139–143. [Google Scholar] [CrossRef] [PubMed]
- Alhajj, M.N.; Khalifa, N.; Abduo, J.; Amran, A.G.; Ismail, I.A. Determination of occlusal vertical dimension for complete dentures patients: An updated review. J. Oral Rehabil. 2017, 44, 896–907. [Google Scholar] [CrossRef] [PubMed]
- Delić, Z.; Vukovojac, S.; Grzić, R.; Maricić, D.; Kovac, Z.; Kovacević, D. Evaluation of craniometric methods for determination of vertical dimension of occlusion—Part 2. Coll. Antropol. 2003, 27, 191–194. [Google Scholar] [PubMed]
- Murphy, T. Compensatory mechanisms in facial height adjustment to functional tooth attrition. Aust. Dent. J. 1959, 5, 312–323. [Google Scholar] [CrossRef]
- Berry, D.C.; Poole, D.F.G. Attrition: Possible mechanisms of compensation. J. Oral Rehabil. 1976, 3, 201–206. [Google Scholar] [CrossRef] [PubMed]
- Bacali, C.; Constantiniuc, M.; Craciun, A.; Popa, D. Assessment of the Vertical Dimension of Occlusion Using Palm Width and Finger Length. Medicina 2024, 60, 1526. [Google Scholar] [CrossRef]
- Fayad, M.I.; Elboraey, M.O.; Mahmoud, I.I.; Shon, A.A.; Fayad, N.I.; Moussa, R.; Meer, R.M.M. A novel formula for estimating the vertical dimension of occlusion using panoramic radiography. BMC Oral Health 2024, 24, 917. [Google Scholar] [CrossRef] [PubMed] [PubMed Central]
- Han, C.G.; Park, Y.B.; Shim, J.S.; Kim, J.E. Restorative Space Analysis by Jaw Motion Tracking Using a Template in Completely Edentulous Patients. Appl. Sci. 2021, 11, 3933. [Google Scholar] [CrossRef]
- Joy, T.E.; Shashi Kiran, M.; Jasmin, S.S.; Rahul, R.; Sajitha Jasmin, S.L.; Babu Kurra, S. Evaluation of vertical facial height reduction and severity of temporomandibular joint disorders using Shimbashi number and cephalometric analysis. Cranio 2021, 39, 287–293. [Google Scholar] [CrossRef]
- Turner, C.; Fox, F. A securing additional record required in the construction of arti-ficial articulators. In American Textbook of Prosthetic Dentistry; Dental Items of Interest Publishing: Philadelphia, PA, USA, 1928. [Google Scholar]
- Willis, F.M. Esthetics of full denture construction. J. Am. Dent. Assoc. 1930, 17, 636–642. [Google Scholar]
- Niswonger, M.E. The Rest Position of the Mandible and the Centric Relation. J. Am. Dent. Assoc. 1934, 21, 1572–1582. [Google Scholar] [CrossRef]
- Silverman, M.M. Accurate measurement of vertical dimension by phonetics and the speaking centric space. Part I. Dent. Dig. 1951, 57, 261–265. [Google Scholar]
- Pound, E. Let/S/be your guide. J. Prosthet. Dent. 1977, 38, 482–489. [Google Scholar] [CrossRef] [PubMed]
- Shanahan, T. Physiologic jaw relations and occlusion of complete dentures. J. Prosthet. Dent. 1955, 91, 319–323. [Google Scholar] [CrossRef]
- Hull, C.A.; Junghans, J.A. A cephalometric approach to establishing the facial vertical dimension. J. Prosthet. Dent. 1968, 20, 37–42. [Google Scholar] [CrossRef]
- Rivera-Morales, W.C.; Mohl, N.D. Relationship of occlusal vertical dimension to the health of the masticatory system. J. Prosthet. Dent. 1991, 65, 547–553. [Google Scholar] [CrossRef]
- Misch, C.E. Clinical indications for altering vertical dimension of occlusion. Objective vs subjective methods for determining vertical dimension of occlusion. Quintessence Int. 2000, 31, 280–282. [Google Scholar] [PubMed]
- Spear, F. Approaches to vertical dimension. Adv. Esthet. Interdiscip. Dent. 2006, 2, 1–14. [Google Scholar]
- Oancea, L.; Burlibasa, M.; Petre, A.E.; Panaitescu, E.; Cristache, C.M. Predictive Model for Occlusal Vertical Dimension Determination and Digital Preservation with Three-Dimensional Facial Scanning. Appl. Sci. 2020, 10, 7890. [Google Scholar] [CrossRef]
- Bhadel, R.; Kinra, M.S.; Jain, S.; Sayed, M.E.; Aggarwal, A.; Marrapodi, M.M.; Cervino, G.; Minervini, G. Evaluation of Various Facial Measurements as an Adjunct in Determining Vertical Dimension at Occlusion in Dentate Individuals—A Cross-Sectional Study. Prosthesis 2024, 6, 989–1001. [Google Scholar] [CrossRef]
- Dawson, P. Evaluation, Diagnosis, and Treatment of Occlusal Problems, 2nd ed.; The CV Mosby Co.: St-Louis, MO, USA; Baltimore, MD, USA; Toronto, ON, Canada, 1989; Chapter 5; pp. 56–57. [Google Scholar]
- Orthlieb, J.; Laurent, M.; Laplanche, O. Cephalometric estimation of vertical dimension of occlusion. J. Oral Rehabil. 2000, 27, 802–807. [Google Scholar] [CrossRef] [PubMed]
- Vinnakota, D.N.; Edamadaka, N.; Reddy, P.S.; Duggineni, C.R. Comparison of patient satisfaction between complete dentures fabricated using “conventional” and “cephalometric angular reconstruction “vertical dimension procedures: A multicenter randomized clinical trial. J. Indian Prosthodont. Soc. 2022, 22, 82–91. [Google Scholar] [CrossRef] [PubMed]
- Yamashita, S.; Shimizu, M.; Katada, H. A Newly proposed method to predict optimum occlusal vertical dimension. J. Prosthodont. 2015, 24, 287–290. [Google Scholar] [CrossRef] [PubMed]
- FaggionJr, C.M.; Bakas, N.P.; Wasiak, J. A survey of prevalence of narrative and systematic reviews in five major medical journals. BMC Med. Res. Methodol. 2017, 17, 176. [Google Scholar] [CrossRef]
- Domitti, S.S.; Consani, S. Regressive formula to determine vertical dimension in the edentulous. Aust. Dent. J. 1978, 23, 196–198. [Google Scholar] [CrossRef]
- Rugh, J.D.; Drago, C.J. Vertical dimension: A study of clinical rest position and jaw muscle activity. J. Prosthet. Dent. 1981, 45, 670–675. [Google Scholar] [CrossRef] [PubMed]
- Toolson, L.B.; Smith, D.E. Clinical measurement and evaluation of vertical dimension. J. Prosthet. Dent. 1982, 47, 236–241. [Google Scholar] [CrossRef]
- Babu, C.S.; Singh, S.; Rao, S. Determination of vertical dimension of rest. A comparative study. J. Prosthet. Dent. 1987, 58, 238–245. [Google Scholar] [CrossRef] [PubMed]
- Ferrario, V.; Sforza, C.; D’ADdona, A.; Miani, A., Jr. Reproducibility of electromyographic measures: A statistical analysis. J. Oral Rehabil. 1991, 18, 513–521. [Google Scholar] [CrossRef] [PubMed]
- Edwards, C.L.; Richards, M.W.; Billy, E.J.; Neilans, L.C. Using computerized cephalometrics to analyze the vertical dimension of occlusion. Int. J. Prosthodont. 1993, 6, 371–376. [Google Scholar] [PubMed]
- Johansson, A.; Haraldson, T.; Omar, R.; Kiliaridis, S.; Carlsson, G.E. A system for assessing the severity and progression of occlusal tooth wear. J. Oral Rehabil. 1993, 20, 125–131. [Google Scholar] [CrossRef]
- Burnett, C.A. Clinical rest and closest speech positions in the determination of occlusal vertical dimension. J. Oral Rehabil. 2000, 27, 714–719. [Google Scholar] [CrossRef]
- Miralles, R.; Dodds, C.; Palazzi, C.; Jaramillo, C.; Quezada, V.; Ormeño, G.; Villegas, R. Vertical dimension. Part 1: Comparison of clinical freeway space. Cranio 2001, 19, 230–236. [Google Scholar] [CrossRef]
- Gomes, V.L.; Gonçalves, L.C.; Correia, C.L.M.; Lucas, B.; Carvalho, P.M. Vertical dimension of the face analyzed by digital photographs. Eur. J. Esthet. Dent. 2008, 3, 362–370. [Google Scholar]
- Ladda, R.; Bhandari, A.J.; Kasat, V.O.; Angadi, G.S. A new technique to determine vertical dimension of occlusion from anthropometric measurements of fingers. Indian J. Dent. Res. 2013, 24, 316–320. [Google Scholar] [CrossRef]
- Abraham, A.; George, J.; Peter, E.; Philip, K.; Chankramath, R.; Johns, D.A.; Bhaskar, A. Establishment of a new relationship between posed smile width and lower facial height: A cross-sectional study. Eur. J. Dent. 2015, 9, 394–399. [Google Scholar] [CrossRef]
- Lee, H.-J.; Shim, J.-S.; Moon, H.-S.; Kim, J.-E. Alteration of the Occlusal Vertical Dimension for Prosthetic Restoration Using a Target Tracking System. Appl. Sci. 2021, 11, 6196. [Google Scholar] [CrossRef]
- Tanizaka, M.N.; Sartori, E.M.; de Arruda, F.J.S.; Machado, E.R.; Toyofuku, A.C.M.M.; Sartori, I.A.d.M. Analysis of coherence between Vertical Dimension of Occlusion (VDO) obtained clinically and through cephalometric analysis. A cross-sectional study. Rev. Odontol. UNESP 2024, 53, e20240025. [Google Scholar] [CrossRef]
- Carlsson, G.E.; Ingervall, B.; Kocak, G. Effect of increasing vertical dimension on the masticatory system in subjects with natural teeth. J. Prosthet. Dent. 1979, 41, 284–289. [Google Scholar] [CrossRef] [PubMed]
- Burnett, C.A.; Clifford, T.J. A preliminary investigation into the effect of increased occlusal vertical dimension on mandibular movement during speech. J. Dent. 1992, 20, 221–224. [Google Scholar] [CrossRef] [PubMed]
- Gross, M.D.; Ormianer, Z. A preliminary study on the effect of occlusal vertical dimension increase on mandibular postural rest position. Int. J. Prosthodont. 1994, 7, 216–226. [Google Scholar]
- Mohindra, N.K.; Bulman, J.S. The effect of increasing vertical dimension of occlusion on facial aesthetics. Br. Dent. J. 2002, 192, 164–168. [Google Scholar] [CrossRef]
- Ormianer, Z.; Palty, A. Altered vertical dimension of occlusion: A comparative retrospective pilot study of tooth- and implant-supported restorations. Int. J. Oral Maxillofac. Implants 2009, 24, 497–501. [Google Scholar]
- Fabbri, G.; Sorrentino, R.; Cannistraro, G.; Mintrone, F.; Bacherini, L.; Turrini, R.; Bombardelli, T.; Nieri, M.; Fradeani, M. Increasing the vertical dimension of occlusion: A multicenter retrospective clinical comparative study on 100 patients with fixed tooth-supported, mixed, and implant-supported full-arch rehabilitations. Int. J. Periodontics Restor. Dent. 2018, 38, 323–335. [Google Scholar] [CrossRef]
- Sterenborg, B.A.M.M.; Maal, T.J.J.; Vreeken, R.; Loomans, B.A.C.; Huysmans, M.D.N.J.M. The facial effects of tooth wear rehabilitation as measured by 3D stereophotogrammetry. J. Dent. 2018, 73, 105–109. [Google Scholar] [CrossRef] [PubMed]
- Liu, C.; Huang, D.; Zhou, L.; Liu, G.; Wang, Y.; Jiang, T. Two-year observation of the occlusal vertical dimension after bite raising via conebeam computerized tomography: A preliminary study. Sci. Rep. 2019, 9, 3509. [Google Scholar]
- Parmar, D.R.; Mehta, S.P.; Sutariya, P.V.; Bhatia, Y.A.; Gupta, N.K. Influence of occlusal vertical dimension on lip positions at smile in completely dentulous adults. J. Indian Prosthodont. Soc. 2020, 20, 69–75. [Google Scholar] [CrossRef] [PubMed] [PubMed Central]
- Sun, J.; Lin, Y.C.; Lee, J.D.; Lee, S.J. Effect of increasing occlusal vertical dimension on lower facial form and perceived facial esthetics: A digital evaluation. J. Prosthet. Dent. 2021, 126, 546–552. [Google Scholar] [CrossRef] [PubMed]
- Shen, Y.F.; Wei, M.C.; Li, H.P.; Pan, Y.H.; Hong, H.H.; Chen, C.C.; Kuo, S.B.; Ho, C.Y.; Chang, C.T.; Huang, Y.F. Vertical dimension of occlusion related to mandibular movement during swallowing. Biomed. J. 2021, 44, 217–222. [Google Scholar] [CrossRef] [PubMed] [PubMed Central]
- Poggio, C.E.; Manfredini, D. Does increasing vertical dimension of occlusion in centric relation affect muscular activity? An electromyographic study. J. Esthet. Restor. Dent. 2024, 36, 231–238. [Google Scholar] [CrossRef] [PubMed]
- Kim, S.W.; Ko, K.H.; Huh, Y.H.; Cho, L.R.; Park, C.J. Evaluation of Perceptual and Anthropometrical Facial Changes According to Increase in Vertical Dimension of Occlusion. J. Oral Rehabil. 2025, 52, 833–839. [Google Scholar] [CrossRef] [PubMed]
- Srinivasan, M.; Handel, S.; Bronzino, I.; Kamnoedboon, P.; McKenna, G.; Leles, C.R. Comparing analog and 3D measurements of vertical dimension in edentulous subjects. J. Dent. 2025, 154, 105566. [Google Scholar] [CrossRef] [PubMed]
- Abduo, J.; Lyons, K. Clinical considerations for increasing occlusal vertical dimension: A review. Aust. Dent. J. 2012, 57, 2–10. [Google Scholar] [CrossRef] [PubMed]
- Koyano, K.; Tsukiyama, Y.; Kuwatsuru, R. Rehabilitation of occlusion—Science or art? J. Oral Rehabil. 2012, 39, 513–521. [Google Scholar] [CrossRef] [PubMed]
- Manziuc, M.; Kui, A.; Chisnoiu, A.; Labuneț, A.; Negucioiu, M.; Ispas, A.; Buduru, S. Zirconia-Reinforced Lithium Silicate Ceramic in Digital Dentistry: A Comprehensive Literature Review of Our Current Understanding. Medicina 2023, 59, 2135. [Google Scholar] [CrossRef]
- Mehta, S.B.; Bronkhorst, E.M.; Lima, V.P.; Crins, L.; Bronkhorst, H.; Opdam, N.J.; Huysmans, M.-C.D.; Loomans, B.A. The effect of pre-treatment levels of tooth wear and the applied increase in the vertical dimension of occlusion (VDO) on the survival of direct resin composite restorations. J. Dent. 2021, 111, 103712. [Google Scholar] [CrossRef]
- Negucioiu, M.; Rusnac, M.E.; Dosa, R.; Kui, A.; Fluerașu, M. Composite layering techniques in direct anterior restorations: A scoping review on longevity and clinical outcomes. RJOR 2025, 17, 52–64. [Google Scholar] [CrossRef]
- Calamita, M.; Coachman, C.; Sesma, N.; Kois, J. Occlusal vertical dimension: Treatment planning decisions and management considerations. Int. J. Esthet. Dent. 2019, 14, 166–181. [Google Scholar] [PubMed]
- Gurel, G.; Sesma, N.; Calamita, M.; Coachman, C.; Morimoto, S. Influence of enamel preservation on failures rates of porcelain laminate veneers. Int. J. Periodontics Restor. Dent. 2013, 33, 31–39. [Google Scholar] [CrossRef]
- Piedra-Cascón, W.; Fountain, J.; Att, W.; Revilla-León, M. 2D and 3D patient’s Representation of Simulated Restorative Esthetic Outcomes Using Different Computer-Aided Design Software Programs. J. Esthet. Restor. Dent. 2021, 33, 143–151. [Google Scholar] [CrossRef]
- Skorulska, A.; Piszko, P.; Rybak, Z.; Szymonowicz, M.; Dobrzyński, M. Review on Polymer, Ceramic and Composite Materials for CAD/CAM Indirect Restorations in Dentistry-Application, Mechanical Characteristics and Comparison. Materials 2021, 14, 1592. [Google Scholar] [CrossRef]
- Schlichting, L.H.; Resende, T.H.; Reis, K.R.; Dos Santos, A.R.; Correa, I.C.; Magne, P. Ultrathin CAD-CAM Glass-Ceramic and Composite Resin Occlusal Veneers for the Treatment of Severe Dental Erosion: An up to 3-Year Randomized Clinical Trial. J. Prosthet. Dent. 2022, 128, 158.e1–158.e12. [Google Scholar] [CrossRef]
- Yadfout, A.; El Aoud, J.; Merzouk, N.; Hasnaoui, J.S. Increasing Vertical Dimension of Occlusion (VDO): Review. Clin. Cosmet. Investig. Dent. 2024, 16, 135–142. [Google Scholar] [CrossRef] [PubMed] [PubMed Central]
- Zanardi, P.R.; Santos, M.S.; Stegun, R.C.; Sesma, N.; Costa, B.; Laganá, D. Restoration of the Occlusal Vertical Dimension with an Overlay Removable Partial Denture: A Clinical Report. J. Prosthodont. 2016, 25, 58–5588. [Google Scholar] [CrossRef]
- Abduo, J. Safety of increasing vertical dimension of occlusion: A sys tematic review. Quintessence Int.-J. Pract. Dent.-Engl. Ed. 2012, 43, 369–380. [Google Scholar]
- Moreno-Hay, I.; Okeson, J.P. Does altering the occlusal vertical dimension produce temporomandibular disorders? A literature review. J. Oral Rehabil. 2015, 42, 875–882. [Google Scholar] [CrossRef]
- Sierpinska, T.; Golebiewska, M.; Kuc, J.; Lapuc, M. The influence of the occlusal vertical dimension on masticatory muscle activities and hyoid bone position in complete denture wearers. Adv. Med. Sci. 2009, 54, 104–108. [Google Scholar] [CrossRef]
- Araki, N.G.; Araki, C.T. Head angulation and variations in the maxillomandibular relationship. Part I: The effects on the vertical dimension of occlusion. J. Prosthet. Dent. 1987, 58, 96–100. [Google Scholar] [CrossRef]
- Almășan, O.; Kui, A.; Duncea, I.; Manea, A.; Buduru, S. Temporomandibular joint disk displacements in class II malocclusion and cervical spine alterations: Systematic review and report of a hypodivergent case with MRI bone and soft tissue changes. Life 2022, 12, 908. [Google Scholar] [CrossRef] [PubMed]
- Kui, A.; Bereanu, A.; Condor, A.-M.; Pop, D.; Buduru, S.; Labunet, A.; Șoicu, S.; Buduru, R.; Chisnoiu, A. Craniocervical Posture and Malocclusion: A Comprehensive Literature Review of Interdisciplinary Insights and Implications. Medicina 2024, 60, 2106. [Google Scholar] [CrossRef] [PubMed]
- Slavicek, R.; Pédinielli, A.; Orthlieb, J. Typologie squelettique et choix de la Dimension Verticale d’Occlusion. Réalités Clin. 2013, 24, 119–125. [Google Scholar]
- Chou, J.C.; Thompson, G.A.; Aggarwal, H.A.; Bosio, J.A.; Irelan, J.P. Effect of occlusal vertical dimension on lip positions at smile. J. Prosthet. Dent. 2014, 112, 533–539. [Google Scholar] [CrossRef]
- Deng, H.; Gao, S.; Lu, S.; Kumar, A.; Zhang, Z.; Svensson, P. Alteration of occlusal vertical dimension induces signs of neuroplastic changes in corticomotor control of masseter muscles: Preliminary findings. J. Oral Rehabil. 2018, 45, 710–719. [Google Scholar] [CrossRef] [PubMed]








| Category | Number of Articles/Studies |
|---|---|
| Records identified | 163 |
| Duplicates removed | 18 |
| Records screened | 145 |
| Records excluded | 28 |
| Full-text articles assessed for eligibility | 117 |
| Full-text articles excluded | 19 |
| Studies included in the present review | 98 |
| Studies included in qualitative synthesis | 33 |
| Authors/Year | Type of Study | Number of Participants | Sample Description | Method for VDO Evaluation | Conclusion |
|---|---|---|---|---|---|
| Domitti SS. et al. [35] 1978 | Cross-sectional | 380 | Edentulous | Cephalometry | There is a correlation between the vertical dimension at centric occlusion and the bizygomatic distance and nasion-subnasal distance |
| Rugh, J.D. et al. [36] 1981 | Clinical randomized | 10 | Dentate | Electromyography | In an upright position. certain muscles are in slight contraction to maintain the jaw in clinical rest position. What has been referred to as clinical rest position” is more appropriately called upper position. |
| Toolson LB et al. [37] 1982 | Cross-sectional | 12 | Edentulous | Phonetic tests | The method used to record measurements, should be evaluated by observing adequate interocclusal distance, closest speaking space, and absence of facial strain or patient discomfort. |
| Babu, C.L et al. [38] 1987 | Cross-sectional | 40 | Dentate and edentulous | Electromyography | The determination of VDR by either conventional or electromyographic methods with dentures was more accurate than determining the VDR without dentures |
| Ferrario VF et al. [39] 1991 | Cross-sectional | 5 | Dentate | Electromyography | Useful clinical and research tool for VDO evaluation |
| Edwards CL et al. [40] 1993 | Cross-sectional | 24 | Dentate | Cephalometry | Low correlation with each subject’s clinically determined occlusal vertical dimension. |
| Johansson A et al. [41] 1993 | Cross-sectional | 20 | Dentate | Incisor height measurement | The distance between the gingival margins of the maxillary and mandibular anterior teeth when they are in occlusion. A distance of less than 18 mm indicates loss of VDO |
| Burnett CA. [42] 2000 | Cross-sectional | 90 | Dentate | Phonetic tests—phonautograph | Phonetic tests are most usefully employed in determining that an interocclusal distance, both at rest and in speech function exist |
| Orthlieb JD et al. [31] 2000 | Cross-sectional | 505 | Dentate | Cephalometry | Cephalometric analysis, despite its imperfections, may help the practitioner to understand the direction of the treatment concerning the lower facial height in occlusion |
| Miralles, R. et al. [43] 2001 | Cross sectional | 15 | Dentate | Phonetic and anthropometric tests | No significant differences between swallowing and relaxed methods for free way space and VDO determination. |
| Gomes, V.L. et al. [44] 2008 | Cross sectional | 84 | Dentate | Anthropometric | The distance between the outer cantus of the eye and the labial commissurae can be a reliable guide to estimate the vertical dimension of the rest position and VDO |
| Ladda, R. et al. [45] 2013 | Cross sectional | 400 | Dentate | Anthropometric | The variations between VDO and finger lengths are within the range of 2–4 mm, thereby VDO prediction through this method is reliable, and reproducible |
| Abraham, A. et al. [46] 2015 | Cross sectional | 79 | Dentate | Anthropometric | In class I subjects with pleasing appearance, normal facial proportions, normal overjet and overbite, and average Frankfort mandibular angle, the lower facial height (subnasale to soft tissue menton) is equal to posed smile width. |
| Oancea, L. et al. [28] 2020 | Cross sectional | 150 | Dentate | Facial scanner Anthropometric Cephalometry | The facial scanning could be used for predictable registration of OVD and the stored digital information could be preserved through life and use for oral rehabilitation. However, if OVD needs to be determined, several measurement methods, including cephalometric measurements, need to be used simultaneously to reach a final decision |
| Lee, H.-J. et al. [47] 2011 | Case report | 1 | Dentate | Jaw motion tracking system | The alteration of VDO can be assessed using a jaw motion device |
| Bacali, C. et al. [14] 2024 | Cross-sectional | 236 | Dentate | Anthropometric | Simple formulas using finger length/palm width can be used for a rapid VDO determination. |
| Bhadel, R. et al. [29] 2024 | Cross sectional | 120 | Dentate | Anthropometric | A high positive correlation between the VDO and the distance between both the right and left lateral corner of the mouth to the outer canthus of the eye, and the distance between both the right and left ear to the eye. |
| Fayad MI et al. [15] 2024 | Cross-sectional | 508 | Dentate | Panoramic radiographs | The panoramic radiographs facilitated the determination of the VDO among prosthetic rehabilitation for subjects who lost vertical dimension due to loss of posterior teeth or severe wear of natural posterior teeth |
| Tanizaka MN et al. [48] 202 | Cross-sectional | 18 | Edentulous | Cephalometry | Cephalometric analysis can be a method used to assist the clinical determination of VDO. |
| Murali Srinivasan et al. [49] 2025 | Randomized | 19 | Edentulous | Facial scanners | Registering the resting vertical dimension in edentulous patients through digital methods may not be currently recommended |
| Authors/Year | Type of Study | Number of Participants | Sample Description | Methods for Evaluation | Amount of Increase and Period | Conclusion |
|---|---|---|---|---|---|---|
| Carlsson, G.E. et al. [49] 1979 | P | 6 | Dentate | Cephalometry EMG | 3–4.2 mm 7 days | A moderate increase in the vertical dimension of occlusion does not seem to be a hazardous procedure, provided that occlusal stability is established. 83% of patients fully adapted. |
| Burnett, C.A. et al. [50] 1992 | P | 6 | Dentate | Sirognatograph | 4 mm 5 days | Speaking space reduction |
| Gross MD, et al. [51] 1994 | P | 8 | Dentate | Clinical evaluation of relaxed resting posture | 3.5–4.5 mm 5 weeks | no significant difference in interocclusal rest space after increasing the occlusal vertical dimension for both clinical rest position and relaxed resting posture |
| Mohindra NK et al. [52] 2002 | P | 96 | Dentate | Clinical evaluation Questionnaire | N/A 18 months | Increasing the vertical dimension of occlusion can have far reaching effects on facial aesthetics, not just on the peri-oral areas but on the whole face. |
| Ormianer et al. [53] 2009 | R | 30 | Dentate Edentulous | Clinical evaluation | 4–5 mm 66 months | All patients successfully adapted to the new VDO. Two patients reported tooth clenching or grinding, which abated after 2 to 3 months. |
| Fabbri, G. et al. [54] 2018 | P | 100 | Dentate | Clinical evaluation | 0.8–3.2 mm 12 months | Functional and prosthetic complications after the VDO increase were not frequent. Functional complications were noticed (self-reported bruxism and temporomandibular joint or muscle symptoms before treatment) but usually were no longer evident after 2 weeks. |
| Sterenborg BAMM et al. [55] 2018 | P | 44 | Dentate | Facial 3D stereophotographs Orofacial Esthetic Scale questionnaire | 1.6 ± 0.9 mm 59.9 ± 6.8 months | A full rehabilitation with an increase in VDO resulted in objective differences in facial height as measured with 3D stereophotogrammetry. |
| Liu, C. et al. [56] 2019 | P | 6 | Dentate | Cone Beam Computer Tomograph | 4.5–6 mm 2 years | The findings indicated that the increased OVD did not relapse to baseline and was sufficiently tolerated |
| Parmar DR et al. [57] 2020 | P | 30 | Dentate | Clinical evaluation Photographs | 1, 2, 3, 4 mm One session | It was found that an increase in occlusal vertical dimension led to an increase in interlabial gap height, incisal edge-to-lower lip distance, and display zone area measurements, whereas the width of smile and incisal edge-to-upper lip distance did not change with increasing occlusal vertical dimension. |
| Sun J et al. [58] 2021 | P | 25 | Dentate | Clinical evaluation | 3, 6, 9 mm One session | The larger the increase in OVD, the more detectable the difference and the less the faces are perceived as esthetic. |
| Shen YF et al. [59] 2021 | Prospective | 40 | Dentate | Swallowing tracking device (Myotronics) | 2, 5, 8 mm One session | The increase in VDO could change the extent of mandibular trajectory during swallowing if the increase is more than 3 mm. |
| Poggio CE et al. [60] 2023 | P | 15 | Dentate | Electromyography | 2 mm One session | These results suggest that no immediate negative effect on maximum voluntary clenching was induced by a VDO increase in CR position. A slight increase observed in EMG clenching levels could be explained by the increase in VDO when clenching on the splint |
| Kim SW et al. [61] 2025 | p | 40 | Dentate | Facial scans | 2, 4, 6, 8 mm One session | Total face height, lower face height and nasolabial angle increased with VDO, while lip width and height decreased. For 3D-scanned facial changes, a 4-mm increase in VDO was the most perceptible difference. |
Disclaimer/Publisher’s Note: The statements, opinions and data contained in all publications are solely those of the individual author(s) and contributor(s) and not of MDPI and/or the editor(s). MDPI and/or the editor(s) disclaim responsibility for any injury to people or property resulting from any ideas, methods, instructions or products referred to in the content. |
© 2025 by the authors. Licensee MDPI, Basel, Switzerland. This article is an open access article distributed under the terms and conditions of the Creative Commons Attribution (CC BY) license (https://creativecommons.org/licenses/by/4.0/).
Share and Cite
Chisnoiu, A.M.; Chira, O.; Marginean, I.; Iacob, S.; Hrab, D.; Păstrav, O.; Fluerașu, M.; Chisnoiu, R.M.; Păstrav, M. How to Be Predictable in the Management of Vertical Dimension of Occlusion—A Narrative Review and Case Report. Oral 2025, 5, 77. https://doi.org/10.3390/oral5040077
Chisnoiu AM, Chira O, Marginean I, Iacob S, Hrab D, Păstrav O, Fluerașu M, Chisnoiu RM, Păstrav M. How to Be Predictable in the Management of Vertical Dimension of Occlusion—A Narrative Review and Case Report. Oral. 2025; 5(4):77. https://doi.org/10.3390/oral5040077
Chicago/Turabian StyleChisnoiu, Andrea Maria, Oana Chira, Ioana Marginean, Simona Iacob, Dana Hrab, Ovidiu Păstrav, Mirela Fluerașu, Radu Marcel Chisnoiu, and Mihaela Păstrav. 2025. "How to Be Predictable in the Management of Vertical Dimension of Occlusion—A Narrative Review and Case Report" Oral 5, no. 4: 77. https://doi.org/10.3390/oral5040077
APA StyleChisnoiu, A. M., Chira, O., Marginean, I., Iacob, S., Hrab, D., Păstrav, O., Fluerașu, M., Chisnoiu, R. M., & Păstrav, M. (2025). How to Be Predictable in the Management of Vertical Dimension of Occlusion—A Narrative Review and Case Report. Oral, 5(4), 77. https://doi.org/10.3390/oral5040077

