Lymphadenitis/Reactive-Hyperplasia, Mimickers of Lymphomas, Low-Grade B-Cell Lymphomas, and Hodgkin Lymphoma
Abstract
1. Introduction
2. Lymphadenitis and the Main Lymphoma Mimickers
2.1. Generalities of Lymphadenopathies
2.2. Mimickers of Lymphomas
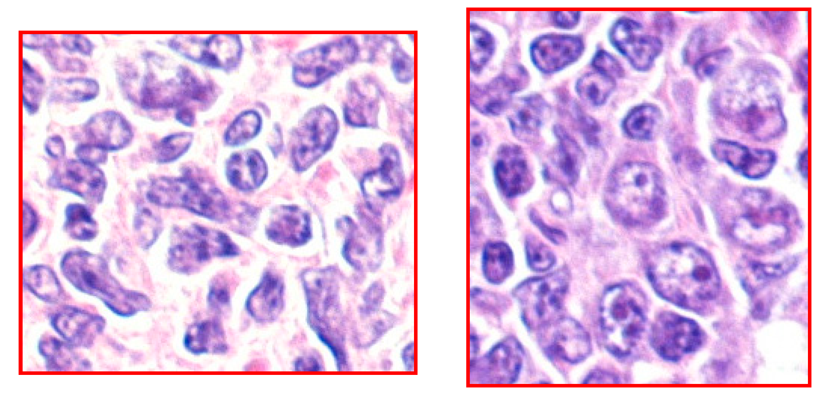
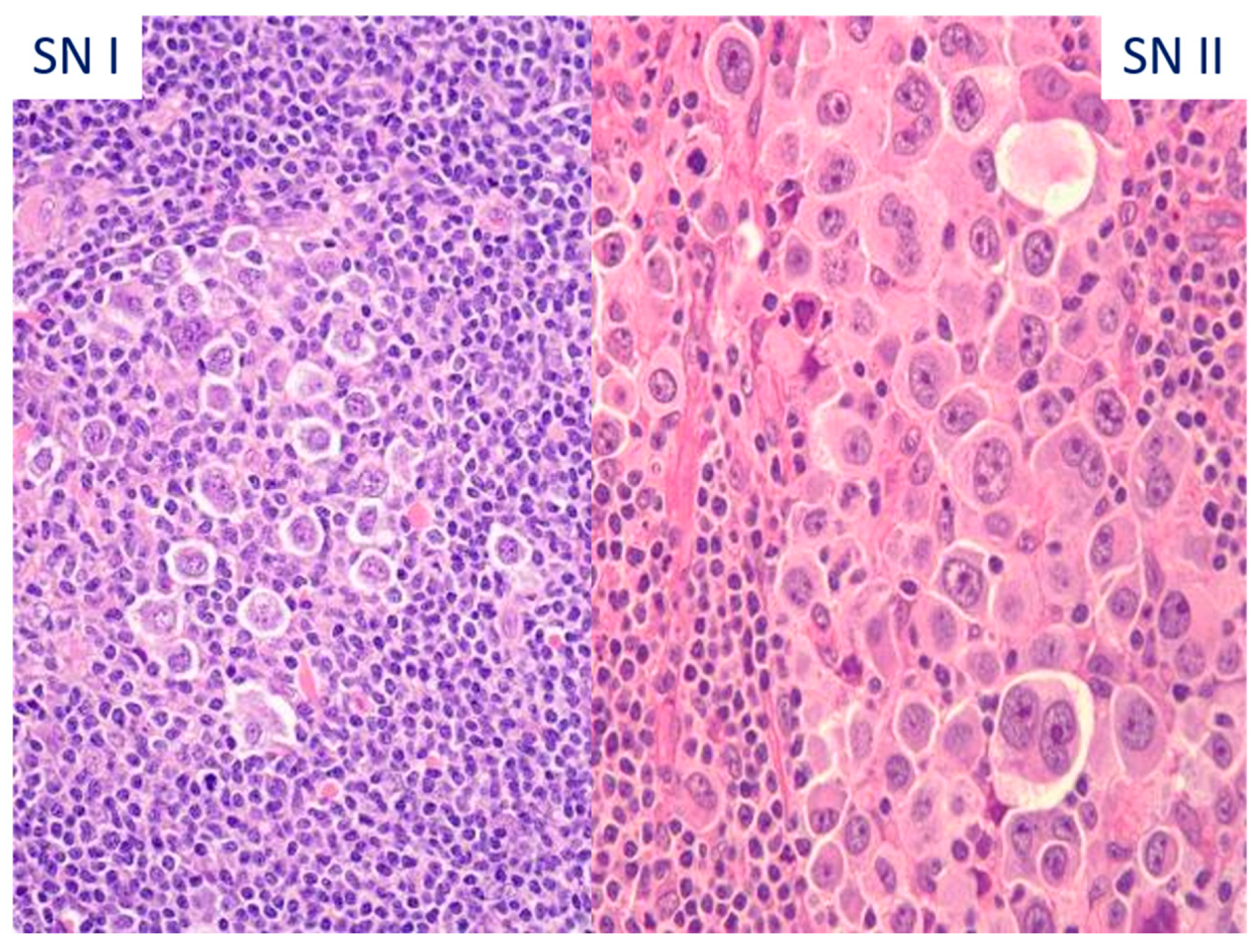
2.2.1. Case #1
2.2.2. Case #2
- (1)
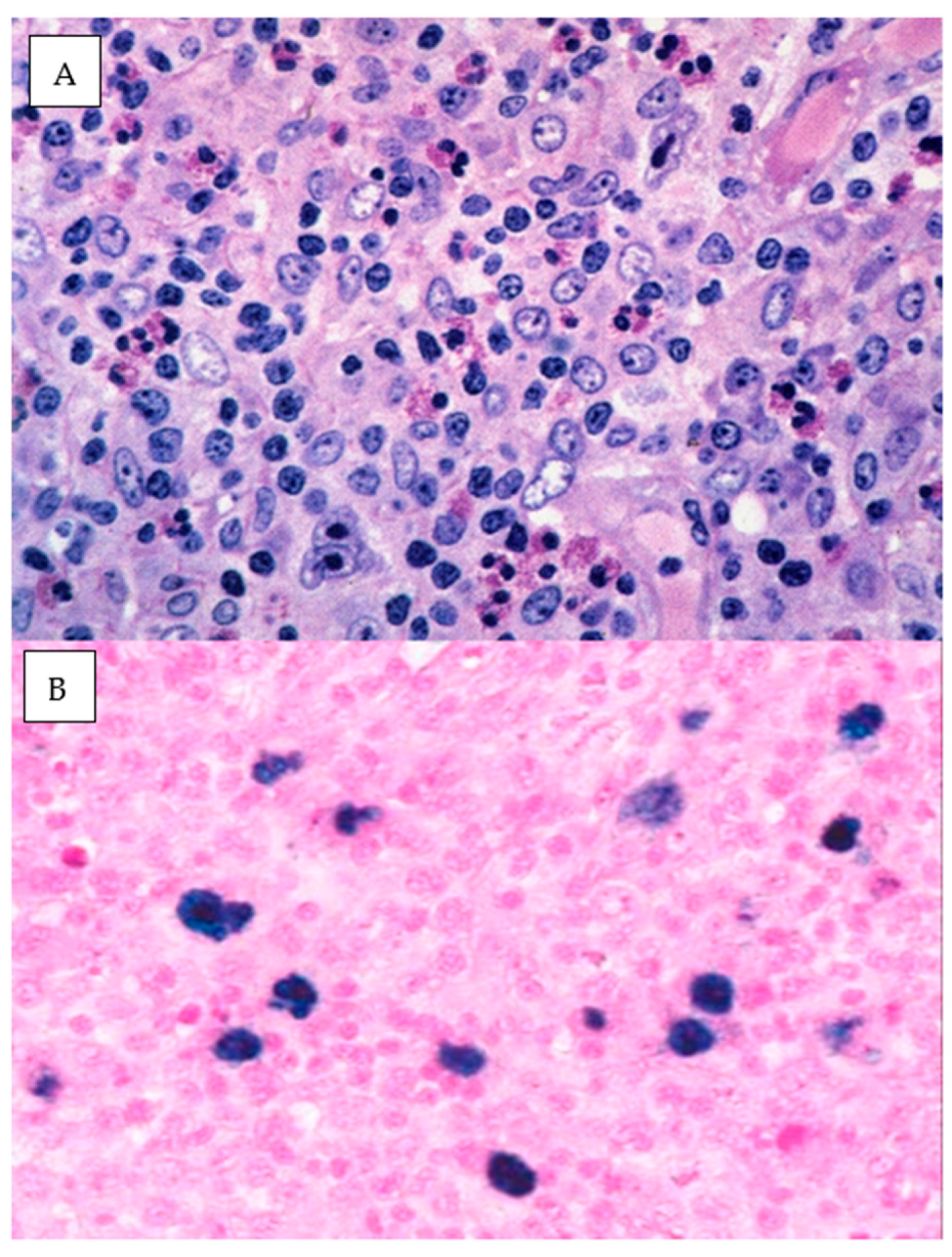
- Early stage, proliferative type which is the most difficult to recognize, raising the diagnosis of large-cell lymphoma. It is characterized by patchy, prominent immunoblastic paracortical hyperplasia with large cells, mostly T-cells (CD8+, Perforin+, granzyme B+). These cells are admixed with crescentic histiocytes (MPO+), and aggregates of PDC (CD123+, CD68+). Interspersed karyorrhectic bodies are often seen.
- (2)
- The necrotizing type is characterized by patchy/mottled areas of necrosis within the paracortex with abundant karyorrhectic nuclear debris. These areas are bordered by a mixture of mononuclear cells.
- (3)
- Resolving stage; the xanthomatous type typically contains predominant foamy histiocytes, few immunoblasts, and a variable amount of necrosis. Residual, non-involved lymph node reveals a mottled appearance due to scattered immunoblasts, numerous foamy histiocytes, and proliferation of high endothelial vessels. Plasma cells are rare or absent; neutrophils are absent. EBV is not found.
3. Rationale Approach to Low-Grade B-Cell Lymphomas
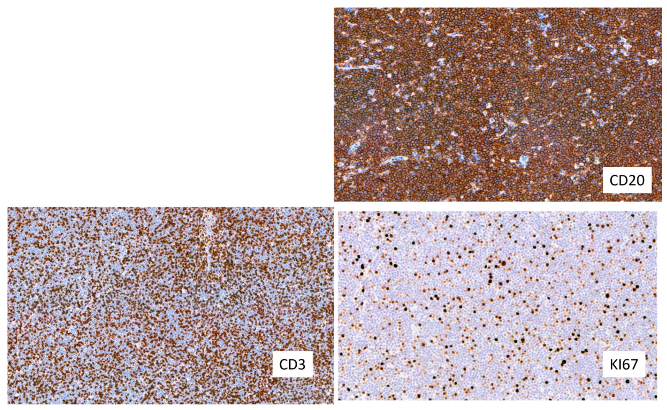
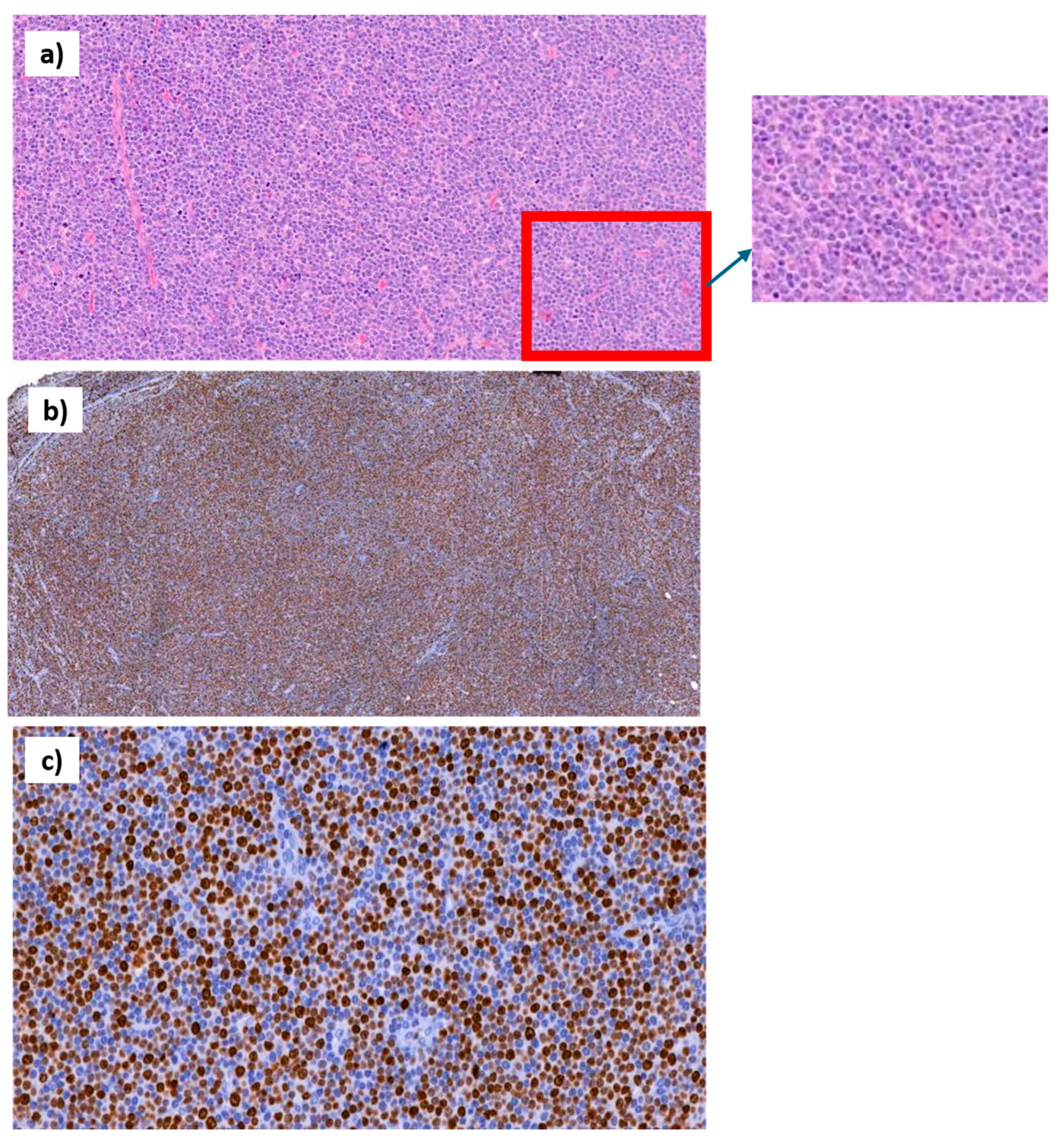
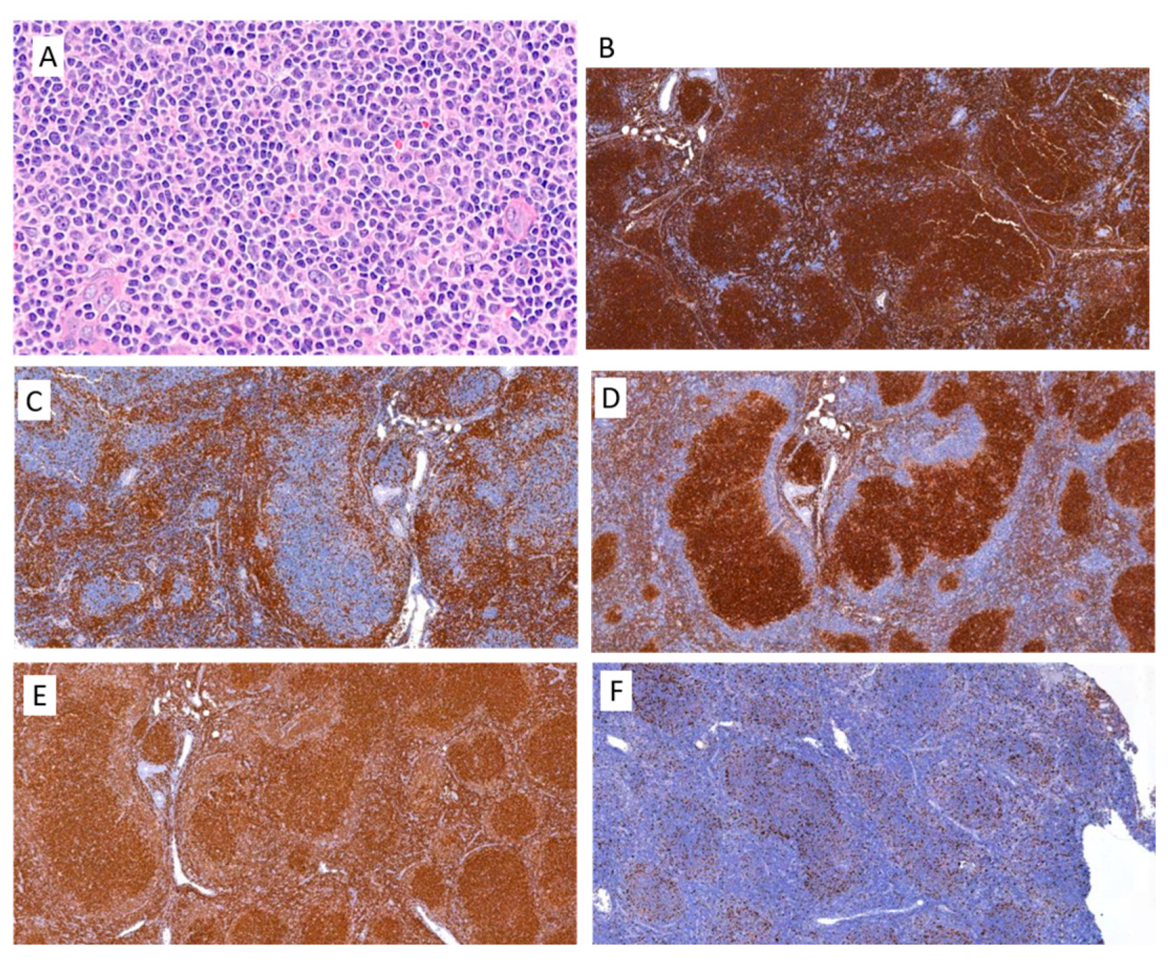
3.1. Chronic Lymphocytic Leukemia/Small B-Cell Lymphoma (Figure 5) [4,5,14,15]

3.2. Follicular Lymphoma
Duodenal-Type Follicular Lymphoma (Figure 10)

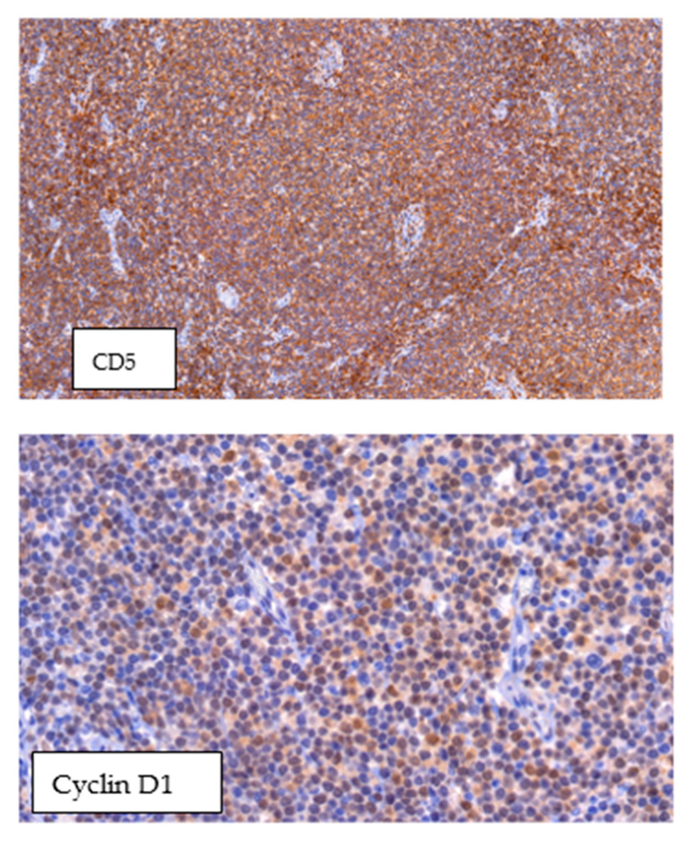
3.3. Mantle-Cell Lymphoma
- In situ: neoplasm (WHO5) or neoplasia (ICC)
- Conventional mantle-cell lymphoma
- Leukemic non-nodal variant
3.3.1. Leukemic Non-Nodal Mantle-Cell Lymphoma
3.3.2. Transformed Indolent B-Cell Lymphomas [4,5] Have Been Recognized Only in WHO5
- Low-grade and aggressive tumors should be clonally related.
- Low-grade tumors should be previous or synchronous.
- Immunophenotype is usually retained.
3.4. Marginal-Zone Lymphoma [Figure 12, Figure 13 and Figure 14]



Splenic Marginal-Zone Lymphoma
4. Hodgkin Lymphoma
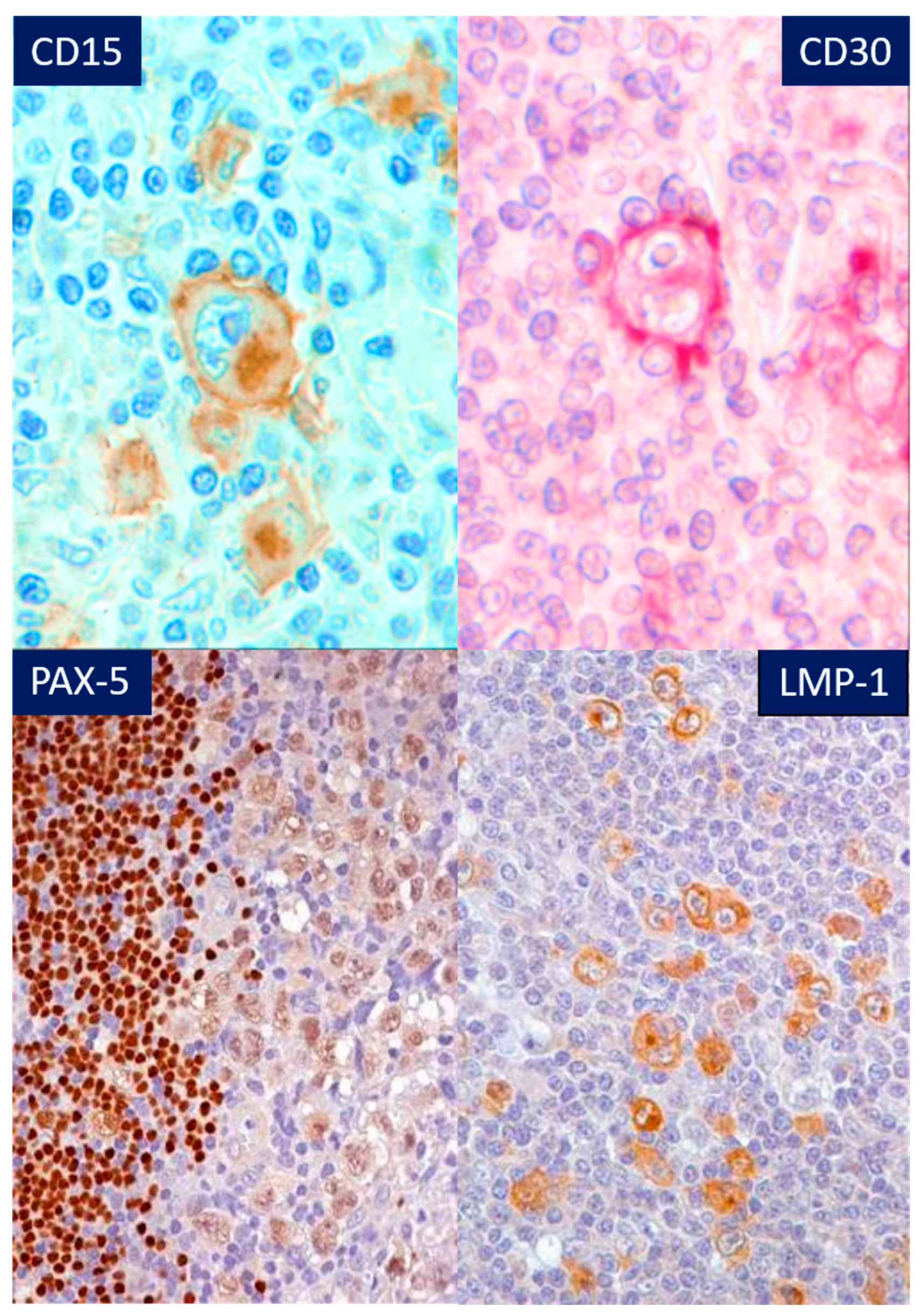
4.1. Nodular Lymphocyte Predominant Hodgkin Lymphoma
4.1.1. Pathology
4.1.2. Differential Diagnoses
4.1.3. Clinical Case
4.2. Classic Hodgkin Lymphoma
4.2.1. Pathology
4.2.2. Molecular Genetics
4.2.3. Differential Diagnoses
Funding
Conflicts of Interest
References
- World Health Organization. Classification of Tumours. In Pathology and Genetics of Tumours of Haematopoietic and Lymphoid Tissues, 3rd ed.; IARC: Lyon, France, 2001. [Google Scholar]
- World Health Organization. Classification of Tumours of Haematopoietic and Lymphoid Tissues, 4th ed.; IARC: Lyon, France, 2008.
- WHO. Classification of Tumours of Haematopoietic and Lymphoid Tissues, Revised, 4th ed.; IARC: Lyon, France, 2017.
- Campo, E.; Jaffe, E.S.; Cook, J.R.; Quintanilla-Martinez, L.; Swerdlow, S.H.; Anderson, K.C.; Brousset, P.; Cerroni, L.; de Leval, L.; Dirnhofer, S.; et al. The International Consensus Classification of Mature Lymphoid Neoplasms: A Report from the Clinical Advisory Committee. Blood 2022, 140, 1229–1253. [Google Scholar] [CrossRef]
- Alaggio, R.; Amador, C.; Anagnostopoulos, I.; Attygalle, A.D.; Araujo, I.B.O.; Berti, E.; Bhagat, G.; Borges, A.M.; Boyer, D.; Calaminici, M.; et al. The 5th edition of the World Health Organization Classification of Haematolymphoid Tumours: Lymphoid Neoplasms. Leukemia 2022, 36, 1720–1748. [Google Scholar] [CrossRef]
- Jaffe, E.S.; Carbone, A. Evolution in the Definition of Follicular Lymphoma and Diffuse Large B-Cell Lymphoma: A Model for the Future of Personalized Medicine. Hemato 2022, 3, 466–474. [Google Scholar] [CrossRef]
- Jaffe, E.S.; Carbone, A. B-and T-/NK-Cell Lymphomas in the 2022 International Consensus Classification of Mature Lymphoid Neoplasms and Comparison with the WHO Fifth Edition. Hemato 2024, 5, 157–170. [Google Scholar] [CrossRef]
- Falini, B.; Martino, G.; Lazzi, S. A comparison of the International Consensus and 5th World Health Organization classifications of mature B-cell lymphomas. Leukemia 2023, 37, 18–34. [Google Scholar] [CrossRef]
- Medeiros, L.; O’Malley, D.; Caraway, N.; Vega, F.; Elenitoba-Johnson, K.; Lim, M. Tumors of the Lymph Nodes and Spleen; American Registry of Pathology: Washington, DC, USA, 2017; Volume 25. [Google Scholar]
- Hussein, M.R. Atypical lymphoid proliferations: The pathologist’s viewpoint. Expert Rev. Hematol. 2013, 6, 139–153. [Google Scholar] [CrossRef]
- Carbone, A.; Chadburn, A.; Gloghini, A.; Vaccher, E.; Bower, M. Immune deficiency/dysregulation -associated lymphoproliferative disorders. Revised classification and management. Blood Rev. 2024, 64, 101167. [Google Scholar] [CrossRef]
- Razak, A.A.; Shanmugasundaram, S. Kikuchi-Fujimoto disease, a rare benign disease with atypical histomorphology: More than meets the eye. Pathology 2024, 56, 382–390. [Google Scholar] [CrossRef]
- Li, E.Y.; Xu, J.; Nelson, N.D.; Teachey, D.T.; Tan, K.; Romberg, N.; Behrens, E.; Pillai, V. Kikuchi-Fujimoto disease is mediated by an aberrant type I interferon response. Mod Pathol. 2022, 35, 462–469. [Google Scholar] [CrossRef] [PubMed]
- Liu, C.; Jin, Y.; Huang, H.; Ding, F.; Yang, Z.; Xu, X.; Bao, S.; Ma, J.; Jin, Y. Kikuchi-Fujimoto disease as the initial manifestation of systemic lupus erythematosus complicated with macrophage activation syndrome: Two case reports and a review of literature. BMC Pediatr. 2022, 22, 673. [Google Scholar] [CrossRef] [PubMed] [PubMed Central]
- Swerdlow, S.H.; Campo, E.; Pileri, S.A.; Harris, N.L.; Stein, H.; Siebert, R.; Advani, R.; Ghielmini, M.; Salles, G.A.; Zelenetz, A.D.; et al. The 2016 revision of the World Health Organization Classification of Lymphoid Neoplasms. Blood 2016, 127, 2375–2390. [Google Scholar] [CrossRef]
- Hallek, M.; Cheson, B.D.; Catovsky, D.; Caligaris-Cappio, F.; Dighiero, G.; Döhner, H.; Hillmen, P.; Keating, M.; Montserrat, E.; Chiorazzi, N.; et al. iwCLL guidelines for diagnosis, indications for treatment, response assessment, and supportive management of CLL. Blood 2018, 131, 2745–2760. [Google Scholar] [CrossRef] [PubMed]
- Rossi, D.; Khiabanian, H.; Spina, V.; Ciardullo, C.; Bruscaggin, A.; Famà, R.; Rasi, S.; Monti, S.; Deambrogi, C.; De Paoli, L.; et al. Clinical impact of small TP53 mutated subclones in chronic lymphocytic leukemia. Blood 2014, 123, 2139–2147. [Google Scholar] [CrossRef] [PubMed] [PubMed Central]
- Bomben, R.; Rossi, F.M.; Vit, F.; Bittolo, T.; D’Agaro, T.; Zucchetto, A.; Tissino, E.; Pozzo, F.; Vendramini, E.; Degan, M.; et al. TP53 Mutations with Low Variant Allele Frequency Predict Short Survival in Chronic Lymphocytic Leukemia. Clin. Cancer Res. 2021, 27, 5566–5575. [Google Scholar] [CrossRef] [PubMed]
- Stamatopoulos, K.; Agathangelidis, A.; Rosenquist, R.; Ghia, P. Antigen receptor stereotypy in chronic lymphocytic leukemia. Leukemia 2017, 31, 282–291. [Google Scholar] [CrossRef] [PubMed]
- Maity, P.C.; Bilal, M.; Koning, M.T.; Young, M.; van Bergen, C.A.M.; Renna, V.; Nicolò, A.; Datta, M.; Gentner-Göbel, E.; Barendse, R.S.; et al. IGLV3-21*01 is an inherited risk factor for CLL through the acquisition of a single-point mutation enabling autonomous BCR signaling. Proc. Natl. Acad. Sci. USA 2020, 117, 4320–4327. [Google Scholar] [CrossRef] [PubMed] [PubMed Central]
- Nadeu, F.; Royo, R.; Clot, G.; Duran-Ferrer, M.; Navarro, A.; Martín, S.; Lu, J.; Zenz, T.; Baumann, T.; Jares, P.; et al. IGLV3-21R110 identifies an aggressive biological subtype of chronic lymphocytic leukemia with intermediate epigenetics. Blood 2021, 137, 2935–2946. [Google Scholar] [CrossRef] [PubMed] [PubMed Central]
- Nadeu, F.; Delgado, J.; Royo, C.; Baumann, T.; Stankovic, T.; Pinyol, M.; Jares, P.; Navarro, A.; Martín-García, D.; Beà, S.; et al. Clinical impact of clonal and subclonal TP53, SF3B1, BIRC3, NOTCH1, and ATM mutations in chronic lymphocytic leukemia. Blood 2016, 127, 2122–2130. [Google Scholar] [CrossRef] [PubMed] [PubMed Central]
- Giné, E.; Martinez, A.; Villamor, N.; López-Guillermo, A.; Camos, M.; Martinez, D.; Esteve, J.; Calvo, X.; Muntañola, A.; Abrisqueta, P.; et al. Expanded and highly active proliferation centers identify a histological subtype of chronic lymphocytic leukemia (“accelerated” chronic lymphocytic leukemia) with aggressive clinical behavior. Haematologica 2010, 95, 1526–1533. [Google Scholar] [CrossRef] [PubMed] [PubMed Central]
- Barnea Slonim, L.; Ma, S.; Behdad, A.; Chen, Q. Pseudo-Richter transformation of chronic lymphocytic leukaemia/small lymphocytic lymphoma following ibrutinib interruption: A diagnostic pitfall. Br. J. Haematol. 2020, 191, e22–e25. [Google Scholar] [CrossRef] [PubMed]
- Koch, K.; Hoster, E.; Ziepert, M.; Unterhalt, M.; Ott, G.; Rosenwald, A.; Hansmann, M.L.; Bernd, W.; Stein, H.; Pöschel, V.; et al. Clinical, pathological and genetic features of follicular lymphoma grade 3A: A joint analysis of the German low-grade and high-grade lymphoma study groups GLSG and DSHNHL. Ann. Oncol. 2016, 27, 1323–1329. [Google Scholar] [CrossRef] [PubMed]
- Mustafa Ali, M.; Rybicki, L.; Nomani, L.; Rouphail, B.; Dean, R.M.; Hill, B.T.; Jagadeesh, D.; Pohlman, B.; Hsi, E.D.; Smith, M.R. Grade 3 Follicular Lymphoma: Outcomes in the Rituximab Era. Clin. Lymphoma Myeloma Leuk. 2017, 17, 797–803. [Google Scholar] [CrossRef] [PubMed]
- Shah, N.N.; Szabo, A.; Saba, R.; Strelec, L.; Kodali, D.; Vaughn, J.L.; Esan, O.; Yang, D.T.; Mato, A.R.; Kanate, A.S.; et al. Multicenter Analysis of Advanced Stage Grade 3A Follicular Lymphoma Outcomes by Frontline Treatment Regimen. Clin. Lymphoma Myeloma Leuk. 2019, 19, 95–102. [Google Scholar] [CrossRef] [PubMed]
- Barraclough, A.; Bishton, M.; Cheah, C.Y.; Villa, D.; Hawkes, E.A. The diagnostic and therapeutic challenges of Grade 3B follicular lymphoma. Br. J. Haematol. 2021, 195, 15–24. [Google Scholar] [CrossRef] [PubMed]
- Koch, K.; Richter, J.; Hanel, C.; Huttmann, A.; Duhrsen, U.; Klapper, W. Follicular lymphoma grade 3B and diffuse large B-cell lymphoma present a histopathological and molecular continuum lacking features of progression/ transformation. Haematologica 2022, 107, 2144–2153. [Google Scholar] [CrossRef] [PubMed] [PubMed Central]
- Sohani, A.R.; Maurer, M.J.; Giri, S.; Pitcher, B.; Chadburn, A.; Said, J.W.; Bartlett, N.L.; Czuczman, M.S.; Martin, P.; Rosenbaum, C.A.; et al. Biomarkers for Risk Stratification in Patients with Previously Untreated Follicular Lymphoma Receiving Anti-CD20-based Biological Therapy. Am. J. Surg. Pathol. 2021, 45, 384–393. [Google Scholar] [CrossRef] [PubMed] [PubMed Central]
- Siddiqi, I.N.; Friedman, J.; Barry-Holson, K.Q.; Ma, C.; Thodima, V.; Kang, I.; Padmanabhan, R.; Dias, L.M.; Kelly, K.R.; Brynes, R.K.; et al. Characterization of a variant of t(14;18) negative nodal diffuse follicular lymphoma with CD23 expression, 1p36/TNFRSF14 abnormalities, and STAT6 mutations. Mod. Pathol. 2016, 29, 570–581. [Google Scholar] [CrossRef] [PubMed]
- Xian, R.R.; Xie, Y.; Haley, L.M.; Yonescu, R.; Pallavajjala, A.; Pittaluga, S.; Jaffe, E.S.; Duffield, A.S.; McCall, C.M.; Gheith, S.M.F.; et al. CREBBP and STAT6 co-mutation and 16p13 and 1p36 loss define the t(14;18)-negative diffuse variant of follicular lymphoma. Blood Cancer J. 2020, 10, 69. [Google Scholar] [CrossRef] [PubMed] [PubMed Central]
- Nann, D.; Ramis-Zaldivar, J.E.; Müller, I.; Gonzalez-Farre, B.; Schmidt, J.; Egan, C.; Salmeron-Villalobos, J.; Clot, G.; Mattern, S.; Otto, F.; et al. Follicular lymphoma t(14;18)-negative is genetically a heterogeneous disease. Blood Adv. 2020, 4, 5652–5665. [Google Scholar] [CrossRef] [PubMed] [PubMed Central]
- Louissaint, A., Jr.; Schafernak, K.T.; Geyer, J.T.; Kovach, A.E.; Ghandi, M.; Gratzinger, D.; Roth, C.G.; Paxton, C.N.; Kim, S.; Namgyal, C.; et al. Pediatric-type nodal follicular lymphoma: A biologically distinct lymphoma with frequent MAPK pathway mutations. Blood 2016, 128, 1093–1100. [Google Scholar] [CrossRef] [PubMed] [PubMed Central]
- Schmidt, J.; Gong, S.; Marafioti, T.; Mankel, B.; Gonzalez-Farre, B.; Balagué, O.; Mozos, A.; Cabeçadas, J.; van der Walt, J.; Hoehn, D.; et al. Genome-wide analysis of pediatric-type follicular lymphoma reveals low genetic complexity and recurrent alterations of TNFRSF14 gene. Blood 2016, 128, 1101–1111. [Google Scholar] [CrossRef] [PubMed] [PubMed Central]
- Schmidt, J.; Ramis-Zaldivar, J.E.; Nadeu, F.; Gonzalez-Farre, B.; Navarro, A.; Egan, C.; Montes-Mojarro, I.A.; Marafioti, T.; Cabeçadas, J.; van der Walt, J.; et al. Mutations of MAP2K1 are frequent in pediatric-type follicular lymphoma and result in ERK pathway activation. Blood 2017, 130, 323–327. [Google Scholar] [CrossRef] [PubMed] [PubMed Central]
- Liu, Q.; Salaverria, I.; Pittaluga, S.; Jegalian, A.G.; Xi, L.; Siebert, R.; Raffeld, M.; Hewitt, S.M.; Jaffe, E.S. Follicular lymphomas in children and young adults: A comparison of the pediatric variant with usual follicular lymphoma. Am. J. Surg. Pathol. 2013, 37, 333–343. [Google Scholar] [CrossRef] [PubMed] [PubMed Central]
- Salmeron-Villalobos, J.; Egan, C.; Borgmann, V.; Müller, I.; Gonzalez-Farre, B.; Ramis-Zaldivar, J.E.; Nann, D.; Balagué, O.; López-Guerra, M.; Colomer, D.; et al. A unifying hypothesis for PNMZL and PTFL: Morphological variants with a common molecular profile. Blood Adv. 2022, 6, 4661–4674. [Google Scholar] [CrossRef] [PubMed] [PubMed Central]
- Martínez-Laperche, C.; Sanz-Villanueva, L.; Díaz Crespo, F.J.; Muñiz, P.; Martín Rojas, R.; Carbonell, D.; Chicano, M.; Suárez-González, J.; Menárguez, J.; Kwon, M.; et al. EZH2 mutations at diagnosis in follicular lymphoma: A promising biomarker to guide frontline treatment. BMC Cancer 2022, 22, 982. [Google Scholar] [CrossRef] [PubMed] [PubMed Central]
- Takahashi, Y.; Taniguchi, H.; Haruhi, F.; Hattori, D.; Sasaki, H.; Makita, S.; Iwaki, N.; Fukuhara, S.; Munakata, W.; Saito, Y.; et al. Pathogenesis of Gastrointestinal Follicular Lymphomas: Consideration Based on Histopathology and Endoscopic Findings. Am. J. Surg. Pathol. 2023, 47, 1134–1143. [Google Scholar] [CrossRef] [PubMed]
- Fu, K.; Weisenburger, D.D.; Greiner, T.C.; Dave, S.; Wright, G.; Rosenwald, A.; Chiorazzi, M.; Iqbal, J.; Gesk, S.; Siebert, R.; et al. Lymphoma/Leukemia Molecular Profiling Project. Cyclin D1-negative mantle cell lymphoma: A clinicopathologic study based on gene expression profiling. Blood 2005, 106, 4315–4321. [Google Scholar] [CrossRef] [PubMed] [PubMed Central]
- Wlodarska, I.; Dierickx, D.; Vanhentenrijk, V.; Van Roosbroeck, K.; Pospísilová, H.; Minnei, F.; Verhoef, G.; Thomas, J.; Vandenberghe, P.; De Wolf-Peeters, C. Translocations targeting CCND2, CCND3, and MYCN do occur in t(11;14)-negative mantle cell lymphomas. Blood 2008, 111, 5683–5690. [Google Scholar] [CrossRef] [PubMed]
- Salaverria, I.; Royo, C.; Carvajal-Cuenca, A.; Clot, G.; Navarro, A.; Valera, A.; Song, J.Y.; Woroniecka, R.; Rymkiewicz, G.; Klapper, W.; et al. CCND2 rearrangements are the most frequent genetic events in cyclin D1(-) mantle cell lymphoma. Blood 2013, 121, 1394–1402. [Google Scholar] [CrossRef] [PubMed] [PubMed Central]
- Martín-Garcia, D.; Navarro, A.; Valdés-Mas, R.; Clot, G.; Gutiérrez-Abril, J.; Prieto, M.; Ribera-Cortada, I.; Woroniecka, R.; Rymkiewicz, G.; Bens, S.; et al. CCND2 and CCND3 hijack immunoglobulin light-chain enhancers in cyclin D1- mantle cell lymphoma. Blood 2019, 133, 940–951. [Google Scholar] [CrossRef] [PubMed] [PubMed Central]
- Cheng, J.; Hashem, M.A.; Barabé, F.; Cloutier, S.; Xi, L.; Raffeld, M.; Pittaluga, S.; Jaffe, E.S. CCND1 Genomic Rearrangement as a Secondary Event in High Grade B-Cell Lymphoma. Hemasphere 2020, 5, e505. [Google Scholar] [CrossRef] [PubMed] [PubMed Central]
- Wang, L.; Tang, G.; Medeiros, L.J.; Xu, J.; Huang, W.; Yin, C.C.; Wang, M.; Jain, P.; Lin, P.; Li, S. MYC rearrangement but not extra MYC copies is an independent prognostic factor in patients with mantle cell lymphoma. Haematologica 2021, 106, 1381–1389. [Google Scholar] [CrossRef] [PubMed] [PubMed Central]
- Nadeu, F.; Martin-Garcia, D.; Clot, G.; Díaz-Navarro, A.; Duran-Ferrer, M.; Navarro, A.; Vilarrasa-Blasi, R.; Kulis, M.; Royo, R.; Gutiérrez-Abril, J.; et al. Genomic and epigenomic insights into the origin, pathogenesis, and clinical behavior of mantle cell lymphoma subtypes. Blood 2020, 136, 1419–1432. [Google Scholar] [CrossRef] [PubMed] [PubMed Central]
- Aukema, S.M.; Croci, G.A.; Bens, S.; Oehl-Huber, K.; Wagener, R.; Ott, G.; Rosenwald, A.; Kluin, P.M.; van den Berg, E.; Bosga-Bouwer, A.G.; et al. Mantle cell lymphomas with concomitant MYC and CCND1 breakpoints are recurrently TdT positive and frequently show high-grade pathological and genetic features. Virchows Arch. 2021, 479, 133–145. [Google Scholar] [CrossRef] [PubMed]
- Hu, Z.; Medeiros, L.J.; Chen, Z.; Chen, W.; Li, S.; Konoplev, S.N.; Lu, X.; Pham, L.V.; Young, K.H.; Wang, W.; et al. Mantle Cell Lymphoma with MYC Rearrangement: A Report of 17 Patients. Am. J. Surg. Pathol. 2017, 41, 216–224. [Google Scholar] [CrossRef] [PubMed]
- Abrisqueta, P.; Scott, D.W.; Slack, G.W.; Steidl, C.; Mottok, A.; Gascoyne, R.D.; Connors, J.M.; Sehn, L.H.; Savage, K.J.; Gerrie, A.S.; et al. Observation as the initial management strategy in patients with mantle cell lymphoma. Ann. Oncol. 2017, 28, 2489–2495. [Google Scholar] [CrossRef] [PubMed]
- Klapper, W.; Hoster, E.; Determann, O.; Oschlies, I.; van der Laak, J.; Berger, F.; Bernd, H.W.; Cabeçadas, J.; Campo, E.; Cogliatti, S.; et al. European MCL Network. Ki-67 as a prognostic marker in mantle cell lymphoma-consensus guidelines of the pathology panel of the European MCL Network. J. Hematop. 2009, 2, 103–111. [Google Scholar] [CrossRef] [PubMed] [PubMed Central]
- Hoster, E.; Rosenwald, A.; Berger, F.; Bernd, H.W.; Hartmann, S.; Loddenkemper, C.; Barth, T.F.; Brousse, N.; Pileri, S.; Rymkiewicz, G.; et al. Prognostic Value of Ki-67 Index, Cytology, and Growth Pattern in Mantle-Cell Lymphoma: Results from Randomized Trials of the European Mantle Cell Lymphoma Network. J. Clin. Oncol. 2016, 34, 1386–1394. [Google Scholar] [CrossRef] [PubMed]
- Halldórsdóttir, A.M.; Sander, B.; Göransson, H.; Isaksson, A.; Kimby, E.; Mansouri, M.; Rosenquist, R.; Ehrencrona, H. High-resolution genomic screening in mantle cell lymphoma--specific changes correlate with genomic complexity, the proliferation signature and survival. Genes Chromosomes Cancer 2011, 50, 113–121. [Google Scholar] [CrossRef] [PubMed]
- Aukema, S.M.; Hoster, E.; Rosenwald, A.; Canoni, D.; Delfau-Larue, M.H.; Rymkiewicz, G.; Thorns, C.; Hartmann, S.; Kluin-Nelemans, H.; Hermine, O.; et al. Expression of TP53 is associated with the outcome of MCL independent of MIPI and Ki-67 in trials of the European MCL Network. Blood 2018, 131, 417–420. [Google Scholar] [CrossRef] [PubMed]
- Eskelund, C.W.; Dahl, C.; Hansen, J.W.; Westman, M.; Kolstad, A.; Pedersen, L.B.; Montano-Almendras, C.P.; Husby, S.; Freiburghaus, C.; Ek, S.; et al. TP53 mutations identify younger mantle cell lymphoma patients who do not benefit from intensive chemoimmunotherapy. Blood 2017, 130, 1903–1910. [Google Scholar] [CrossRef] [PubMed]
- Tan, L.; Bansal, G.; Yeung, C.C.; Yin, J.; Dave, B.J.; Konnick, E.; Wu, D.; Naresh, K.N. Leukemic non-nodal cyclin D1- and SOX11-negative mantle cell lymphoma with CCND3::IGH rearrangement. Ann Hematol. 2024, 103, 667–669. [Google Scholar] [CrossRef] [PubMed]
- Isaac, K.M.; Portell, C.A.; Williams, M.E. Leukemic Variant of Mantle Cell Lymphoma: Clinical Presentation and Management. Curr. Oncol. Rep. 2021, 23, 102. [Google Scholar] [CrossRef] [PubMed]
- Vela, V.; Juskevicius, D.; Dirnhofer, S.; Menter, T.; Tzankov, A. Mutational landscape of marginal zone B-cell lymphomas of various origin: Organotypic alterations and diagnostic potential for assignment of organ origin. Virchows Arch. 2022, 480, 403–413. [Google Scholar] [CrossRef] [PubMed] [PubMed Central]
- Piva, R.; Deaglio, S.; Famà, R.; Buonincontri, R.; Scarfò, I.; Bruscaggin, A.; Mereu, E.; Serra, S.; Spina, V.; Brusa, D.; et al. The Krüppel-like factor 2 transcription factor gene is recurrently mutated in splenic marginal zone lymphoma. Leukemia 2015, 29, 503–507. [Google Scholar] [CrossRef] [PubMed]
- Clipson, A.; Wang, M.; de Leval, L.; Ashton-Key, M.; Wotherspoon, A.; Vassiliou, G.; Bolli, N.; Grove, C.; Moody, S.; Escudero-Ibarz, L.; et al. KLF2 mutation is the most frequent somatic change in splenic marginal zone lymphoma and identifies a subset with distinct genotype. Leukemia 2015, 29, 1177–1185. [Google Scholar] [CrossRef] [PubMed]
- Campos-Martín, Y.; Martínez, N.; Martínez-López, A.; Cereceda, L.; Casado, F.; Algara, P.; Oscier, D.; Menarguez, F.J.; García, J.F.; Piris, M.A.; et al. Clinical and diagnostic relevance of NOTCH2-and KLF2-mutations in splenic marginal zone lymphoma. Haematologica 2017, 102, e310–e312. [Google Scholar] [CrossRef] [PubMed] [PubMed Central]
- Bonfiglio, F.; Bruscaggin, A.; Guidetti, F.; Terzi di Bergamo, L.; Faderl, M.; Spina, V.; Condoluci, A.; Bonomini, L.; Forestieri, G.; Koch, R.; et al. Genetic and phenotypic attributes of splenic marginal zone lymphoma. Blood 2022, 139, 732–747, Erratum in Blood 2023, 141, 1647. [Google Scholar] [CrossRef] [PubMed]
- Weniger, M.A.; Küppers, R. Molecular biology of Hodgkin lymphoma. Leukemia 2021, 35, 968–981. [Google Scholar] [CrossRef] [PubMed] [PubMed Central]
- WHO. Classification of Tumours Editorial Board. In Haematolymphoid Tumours, 5th ed.; International Agency for Research on Cancer: Lyon, France, 2022; Volume 11. Available online: https://tumourclassification.iarc.who.int/chapters/63 (accessed on 30 April 2024).
- Shenoy, P.; Maggioncalda, A.; Malik, N.; Flowers, C.R. Incidence patterns and outcomes for hodgkin lymphoma patients in the United States. Adv. Hematol. 2011, 2011, 725219. [Google Scholar] [CrossRef] [PubMed] [PubMed Central]
- Younes, S.; Rojansky, R.B.; Menke, J.R.; Gratzinger, D.; Natkunam, Y. Pitfalls in the Diagnosis of Nodular Lymphocyte Predominant Hodgkin Lymphoma: Variant Patterns, Borderlines and Mimics. Cancers 2021, 13, 3021. [Google Scholar] [CrossRef] [PubMed] [PubMed Central]
- Carbone, A.; Spina, M.; Gloghini, A.; Ponzoni, M.; Doglioni, C.; Tirelli, U. Nodular lymphocyte predominant Hodgkin lymphoma with non-invasive or early invasive growth pattern suggests an early step of the disease with a highly favorable outcome. Am. J. Hematol. 2013, 88, 161–162. [Google Scholar] [CrossRef] [PubMed]
- Tedoldi, S.; Mottok, A.; Ying, J.; Paterson, J.C.; Cui, Y.; Facchetti, F.; van Krieken, J.H.; Ponzoni, M.; Ozkal, S.; Masir, N.; et al. Selective loss of B-cell phenotype in lymphocyte predominant Hodgkin lymphoma. J. Pathol. 2007, 213, 429–440. [Google Scholar] [CrossRef] [PubMed]
- Huppmann, A.R.; Nicolae, A.; Slack, G.W.; Pittaluga, S.; Davies-Hill, T.; Ferry, J.A.; Harris, N.L.; Jaffe, E.S.; Hasserjian, R.P. EBV may be expressed in the LP cells of nodular lymphocyte-predominant Hodgkin lymphoma (NLPHL) in both children and adults. Am. J. Surg. Pathol. 2014, 38, 316–324. [Google Scholar] [CrossRef] [PubMed] [PubMed Central]
- Thurner, L.; Hartmann, S.; Fadle, N.; Regitz, E.; Kemele, M.; Kim, Y.-J.; Bohle, R.M.; Nimmesgern, A.; von Müller, L.; Kempf, V.A.J.; et al. Lymphocyte predominant cells detect Moraxella catarrhalis-derived antigens in nodular lymphocyte-predominant Hodgkin lymphoma. Nat Commun. 2020, 11, 2465. [Google Scholar] [CrossRef] [PubMed]
- Thurner, L.; Hartmann, S.; Fadle, N.; Regitz, E.; Kemele, M.; Kim, Y.J.; Bohle, R.M.; Nimmesgern, A.; von Müller, L.; Kempf, V.A.; et al. Aberrant somatic hypermutation in tumor cells of nodular-lymphocyte-predominant and classic Hodgkin lymphoma. Blood 2006, 108, 1013–1020. [Google Scholar] [CrossRef] [PubMed][Green Version]
- Mottok, A.; Renné, C.; Willenbrock, K.; Hansmann, M.L.; Bräuninger, A. Somatic hypermutation of SOCS1 in lymphocyte-predominant Hodgkin lymphoma is accompanied by high JAK2 expression and activation of STAT6. Blood 2007, 110, 3387–3390. [Google Scholar] [CrossRef] [PubMed]
- Hartmann, S.; Schuhmacher, B.; Rausch, T.; Fuller, L.; Döring, C.; Weniger, M.; Lollies, A.; Weiser, C.; Thurner, L.; Rengstl, B.; et al. Highly recurrent mutations of SGK1, DUSP2 and JUNB in nodular lymphocyte predominant Hodgkin lymphoma. Leukemia 2016, 30, 844–853. [Google Scholar] [CrossRef] [PubMed]
- Schuhmacher, B.; Bein, J.; Rausch, T.; Benes, V.; Tousseyn, T.; Vornanen, M.; Ponzoni, M.; Thurner, L.; Gascoyne, R.; Steidl, C.; et al. JUNB, DUSP2, SGK1, SOCS1 and CREBBP are frequently mutated in T-cell/histiocyte-rich large B-cell lymphoma. Haematologica 2019, 104, 330–337. [Google Scholar] [CrossRef] [PubMed] [PubMed Central]
- Wlodarska, I.; Nooyen, P.; Maes, B.; Martın-Subero, J.I.; Siebert, R.; Pauwels, P.; De Wolf-Peeters, C.; Hagemeijer, A. Frequent occurrence of BCL6 rearrangements in nodular lymphocyte predominance Hodgkin lymphoma but not in classical Hodgkin lymphoma. Blood 2003, 101, 706–710. [Google Scholar] [CrossRef] [PubMed]
- Renné, C.; Martín-Subero, J.I.; Hansmann, M.L.; Siebert, R. Molecular cytogenetic analyses of immunoglobulin loci in nodular lymphocyte predominant Hodgkin’s lymphoma reveal a recurrent IGH-BCL6 juxtaposition. J. Mol. Diagn. 2005, 7, 352–356. [Google Scholar] [CrossRef] [PubMed] [PubMed Central]
- Bakhirev, A.G.; Vasef, M.A.; Zhang, Q.Y.; Reichard, K.K.; Czuchlewski, D.R. Fluorescence immunophenotyping and interphase cytogenetics (FICTION) detects BCL6 abnormalities, including gene amplification, in most cases of nodular lymphocyte-predominant Hodgkin lymphoma. Arch. Pathol. Lab. Med. 2014, 138, 538–542. [Google Scholar] [CrossRef] [PubMed]
- Fan, Z.; Natkunam, Y.; Bair, E.; Tibshirani, R.; Warnke, R.A. Characterization of variant patterns of nodular lymphocyte predominant hodgkin lymphoma with immunohistologic and clinical correlation. Am. J. Surg. Pathol. 2003, 27, 1346–1356. [Google Scholar] [CrossRef] [PubMed]
- Hartmann, S.; Eichenauer, D.A.; Plütschow, A.; Mottok, A.; Bob, R.; Koch, K.; Bernd, H.W.; Cogliatti, S.; Hummel, M.; Feller, A.C.; et al. The prognostic impact of variant histology in nodular lymphocyte-predominant Hodgkin lymphoma: A report from the German Hodgkin Study Group (GHSG). Blood 2013, 122, 4246–4252, quiz 4292. [Google Scholar] [CrossRef] [PubMed]
- Van Slambrouck, C.; Huh, J.; Suh, C.; Song, J.Y.; Menon, M.P.; Sohani, A.R.; Duffield, A.S.; Goldberg, R.C.; Dama, P.; Kiyotani, K.; et al. Diagnostic utility of STAT6YE361 expression in classical Hodgkin lymphoma and related entities. Mod. Pathol. 2020, 33, 834–845. [Google Scholar] [CrossRef] [PubMed] [PubMed Central]
- Moore, E.M.; Swerdlow, S.H.; Gibson, S.E. J chain and myocyte enhancer factor 2B are useful in differentiating classical Hodgkin lymphoma from nodular lymphocyte predominant Hodgkin lymphoma and primary mediastinal large B-cell lymphoma. Hum. Pathol. 2017, 68, 47–53. [Google Scholar] [CrossRef] [PubMed]
- Hartmann, S.; Winkelmann, R.; Metcalf, R.A.; Treetipsatit, J.; Warnke, R.A.; Natkunam, Y.; Hansmann, M.L. Immunoarchitectural patterns of progressive transformation of germinal centers with and without nodular lymphocyte-predominant Hodgkin lymphoma. Hum. Pathol. 2015, 46, 1655–1661. [Google Scholar] [CrossRef] [PubMed]
- Kiil, K.; Bein, J.; Schuhmacher, B.; Thurner, L.; Schneider, M.; Hansmann, M.L.; Hartmann, S. A high number of IgG4-positive plasma cells rules out nodular lymphocyte predominant Hodgkin lymphoma. Virchows Arch. 2018, 473, 759–764. [Google Scholar] [CrossRef] [PubMed]
- Paschold, L.; Willscher, E.; Bein, J.; Vornanen, M.; Eichenauer, D.A.; Simnica, D.; Thiele, B.; Wickenhauser, C.; Rosenwald, A.; Bernd, H.W.; et al. Evolutionary clonal trajectories in nodular lymphocyte-predominant Hodgkin lymphoma with high risk of transformation. Haematologica 2021, 106, 2654–2666. [Google Scholar] [CrossRef] [PubMed] [PubMed Central]
- Hartmann, S.; Eichenauer, D.A. Nodular lymphocyte predominant Hodgkin lymphoma: Pathology, clinical course and relation to T-cell/histiocyte rich large B-cell lymphoma. Pathology 2020, 52, 142–153. [Google Scholar] [CrossRef] [PubMed]
- Ansell, S.M. Hodgkin lymphoma: 2023 update on diagnosis, risk-stratification, and management. Am. J. Hematol. 2022, 97, 1478–1488. [Google Scholar] [CrossRef] [PubMed]
- Ebied, A.; Thanh Huan, V.; Makram, O.M.; Sang, T.K.; Ghorab, M.; Ngo, H.T.; Iraqi, A.; Kamel, M.G.; Dang, T.N.; Vuong, N.L.; et al. The role of primary lymph node sites in survival and mortality prediction in Hodgkin lymphoma: A SEER population-based retrospective study. Cancer Med. 2018, 7, 953–965. [Google Scholar] [CrossRef] [PubMed] [PubMed Central]
- Carbone, A.; Gloghini, A.; Serraino, D.; Spina, M.; Tirelli, U.; Vaccher, E. Immunodeficiency-associated Hodgkin lymphoma. Expert Rev. Hematol. 2021, 14, 547–559. [Google Scholar] [CrossRef] [PubMed]
- Aladily, T.N.; Mansour, A.; Alsughayer, A.; Sughayer, M.; Medeiros, L.J. The utility of CD83, fascin and CD23 in the differential diagnosis of primary mediastinal large B-cell lymphoma versus classic Hodgkin lymphoma. Ann. Diagn. Pathol. 2019, 40, 72–76. [Google Scholar] [CrossRef] [PubMed]
- Venkataraman, G.; Song, J.Y.; Tzankov, A.; Dirnhofer, S.; Heinze, G.; Kohl, M.; Traverse-Glehen, A.; Eberle, F.C.; Hanson, J.C.; Raffeld, M.A.; et al. Aberrant T-cell antigen expression in classical Hodgkin lymphoma is associated with decreased event-free survival and overall survival. Blood 2013, 121, 1795–1804. [Google Scholar] [CrossRef] [PubMed] [PubMed Central]
- Kezlarian, B.; Alhyari, M.; Venkataraman, G.; Karner, K.; Inamdar, K.V.; Menon, M.P. GATA3 Immunohistochemical Staining in Hodgkin Lymphoma: Diagnostic Utility in Differentiating Classic Hodgkin Lymphoma from Nodular Lymphocyte Predominant Hodgkin Lymphoma and Other Mimicking Entities. Appl. Immunohistochem. Mol. Morphol. 2019, 27, 180–184. [Google Scholar] [CrossRef] [PubMed]
- Satou, A.; Takahara, T.; Yamashita, D.; Seki, M.; Kato, S.; Tanioka, F.; Tsuyuki, T.; Wada, E.; Sakurai, K.; Karube, K.; et al. Diagnostic Utility of STAT6 and pSTAT6 Immunohistochemistry for Distinguishing Classic Hodgkin Lymphoma and Peripheral T-Cell Lymphoma with Hodgkin and Reed-Sternberg-like Cells. Am. J. Surg. Pathol. 2023, 47, 897–906. [Google Scholar] [CrossRef] [PubMed]
- Sakakibara, A.; Kohno, K.; Eladl, A.E.; Klaisuwan, T.; Ishikawa, E.; Suzuki, Y.; Shimada, S.; Nakaguro, M.; Shimoyama, Y.; Takahara, T.; et al. Immunohistochemical assessment of the diagnostic utility of PD-L1: A preliminary analysis of anti-PD-L1 antibody (SP142) for lymphoproliferative diseases with tumour and non-malignant Hodgkin-Reed-Sternberg (HRS)-like cells. Histopathology 2018, 72, 1156–1163. [Google Scholar] [CrossRef] [PubMed]
- Volaric, A.; Bacchi, C.E.; Gru, A.A. PD-1 and PD-L1 Immunohistochemistry as a Diagnostic Tool for Classic Hodgkin Lymphoma in Small-volume Biopsies. Am. J. Surg. Pathol. 2020, 44, 1353–1366. [Google Scholar] [CrossRef] [PubMed]
- Carbone, A.; Gloghini, A. Epstein Barr Virus-Associated Hodgkin Lymphoma. Cancers 2018, 10, 163. [Google Scholar] [CrossRef] [PubMed] [PubMed Central]
- MacLennan, K.A.; Bennett, M.H.; Tu, A.; Hudson, B.V.; Easterling, M.J.; Hudson, G.V.; Jelliffe, A.M. Relationship of histopathologic features to survival and relapse in nodular sclerosing Hodgkin’s disease. A study of 1659 patients. Cancer 1989, 64, 1686–1693. [Google Scholar] [CrossRef] [PubMed]
- Von Wasielewski, S.; Franklin, J.; Fischer, R.; Hübner, K.; Hansmann, M.L.; Diehl, V.; Georgii, A.; von Wasielewski, R. Nodular sclerosing Hodgkin disease: New grading predicts prognosis in intermediate and advanced stages. Blood 2003, 101, 4063–4069. [Google Scholar] [CrossRef] [PubMed]
- Anagnostopoulos, I.; Hansmann, M.L.; Franssila, K.; Harris, M.; Harris, N.L.; Jaffe, E.S.; Han, J.; Van Krieken, J.M.; Poppema, S.; Marafioti, T.; et al. European Task Force on Lymphoma project on lymphocyte predominance Hodgkin disease: Histologic and immunohistologic analysis of submitted cases reveals 2 types of Hodgkin disease with a nodular growth pattern and abundant lymphocytes. Blood 2000, 96, 1889–1899. [Google Scholar] [PubMed]
- Tiacci, E.; Ladewig, E.; Schiavoni, G.; Penson, A.; Fortini, E.; Pettirossi, V.; Wang, Y.; Rosseto, A.; Venanzi, A.; Vlasevska, S.; et al. Pervasive mutations of JAK-STAT pathway genes in classical Hodgkin lymphoma. Blood 2018, 131, 2454–2465. [Google Scholar] [CrossRef] [PubMed] [PubMed Central]
- Reichel, J.; Chadburn, A.; Rubinstein, P.G.; Giulino-Roth, L.; Tam, W.; Liu, Y.; Gaiolla, R.; Eng, K.; Brody, J.; Inghirami, G.; et al. Flow sorting and exome sequencing reveal the oncogenome of primary Hodgkin and Reed-Sternberg cells. Blood 2015, 125, 1061–1072. [Google Scholar] [CrossRef] [PubMed]
- Gunawardana, J.; Chan, F.C.; Telenius, A.; Woolcock, B.; Kridel, R.; Tan, K.L.; Ben-Neriah, S.; Mottok, A.; Lim, R.S.; Boyle, M.; et al. Recurrent somatic mutations of PTPN1 in primary mediastinal B cell lymphoma and Hodgkin lymphoma. Nat. Genet. 2014, 46, 329–335. [Google Scholar] [CrossRef] [PubMed]
- Weniger, M.A.; Melzner, I.; Menz, C.K.; Wegener, S.; Bucur, A.J.; Dorsch, K.; Mattfeldt, T.; Barth, T.F.; Möller, P. Mutations of the tumor suppressor gene SOCS-1 in classical Hodgkin lymphoma are frequent and associated with nuclear phospho-STAT5 accumulation. Oncogene 2006, 25, 2679–2684. [Google Scholar] [CrossRef] [PubMed]
- Masel, R.; Roche, M.E.; Martinez-Outschoorn, U. Hodgkin Lymphoma: A disease shaped by the tumor micro- and macroenvironment. Best Pract. Res. Clin. Haematol. 2023, 36, 101514. [Google Scholar] [CrossRef] [PubMed]
- Carbone, A.; Gloghini, A.; Carlo-Stella, C. Tumor microenvironment contribution to checkpoint blockade therapy: Lessons learned from Hodgkin lymphoma. Blood 2023, 141, 2187–2193. [Google Scholar] [CrossRef] [PubMed] [PubMed Central]
- Steidl, C.; Lee, T.; Shah, S.P.; Farinha, P.; Han, G.; Nayar, T.; Delaney, A.; Jones, S.J.; Iqbal, J.; Weisenburger, D.D.; et al. Tumor-associated macrophages and survival in classic Hodgkin’s lymphoma. N. Engl. J. Med. 2010, 362, 875–885. [Google Scholar] [CrossRef] [PubMed] [PubMed Central]
- Gotti, M.; Nicola, M.; Lucioni, M.; Fiaccadori, V.; Ferretti, V.; Sciarra, R.; Costanza, M.; Bono, E.; Molo, S.; Maffi, A.; et al. Independent prognostic impact of tumour-infiltrating macrophages in early-stage Hodgkin’s lymphoma. Hematol. Oncol. 2017, 35, 296–302. [Google Scholar] [CrossRef] [PubMed]
- Jachimowicz, R.D.; Pieper, L.; Reinke, S.; Gontarewicz, A.; Plütschow, A.; Haverkamp, H.; Frauenfeld, L.; Fend, F.; Overkamp, M.; Jochims, F.; et al. Whole-slide image analysis of the tumor microenvironment identifies low B-cell content as a predictor of adverse outcome in patients with advanced-stage classical Hodgkin lymphoma treated with BEACOPP. Haematologica 2021, 106, 1684–1692. [Google Scholar] [CrossRef] [PubMed] [PubMed Central]
- Bosch-Schips, J.; Granai, M.; Quintanilla-Martinez, L.; Fend, F. The Grey Zones of Classic Hodgkin Lymphoma. Cancers 2022, 14, 742. [Google Scholar] [CrossRef] [PubMed] [PubMed Central]
- Dojcinov, S.D.; Venkataraman, G.; Raffeld, M.; Pittaluga, S.; Jaffe, E.S. EBV positive mucocutaneous ulcer--a study of 26 cases associated with various sources of immunosuppression. Am. J. Surg. Pathol. 2010, 34, 405–417. [Google Scholar] [CrossRef] [PubMed] [PubMed Central]
- Ikeda, T.; Gion, Y.; Sakamoto, M.; Tachibana, T.; Nishikori, A.; Nishimura, M.F.; Yoshino, T.; Sato, Y. Clinicopathological analysis of 34 Japanese patients with EBV-positive mucocutaneous ulcer. Mod. Pathol. 2020, 33, 2437–2448. [Google Scholar] [CrossRef] [PubMed]
- Wilson, W.H.; Pittaluga, S.; Nicolae, A.; Camphausen, K.; Shovlin, M.; Steinberg, S.M.; Roschewski, M.; Staudt, L.M.; Jaffe, E.S.; Dunleavy, K. A prospective study of mediastinal gray-zone lymphoma. Blood 2014, 124, 1563–1569. [Google Scholar] [CrossRef] [PubMed] [PubMed Central]
- Sarkozy, C.; Copie-Bergman, C.; Damotte, D.; Ben-Neriah, S.; Burroni, B.; Cornillon, J.; Lemal, R.; Golfier, C.; Fabiani, B.; Chassagne-Clément, C.; et al. Gray-zone Lymphoma Between cHL and Large B-Cell Lymphoma: A Histopathologic Series From the LYSA. Am. J. Surg. Pathol. 2019, 43, 341–351. [Google Scholar] [CrossRef] [PubMed]
- Tousseyn, T.A.; King, R.L.; Fend, F.; Feldman, A.L.; Brousset, P.; Jaffe, E.S. Evolution in the definition and diagnosis of the Hodgkin lymphomas and related entities. Virchows Arch. 2023, 482, 207–226. [Google Scholar] [CrossRef] [PubMed]
- Pilichowska, M.; Pittaluga, S.; Ferry, J.A.; Hemminger, J.; Chang, H.; Kanakry, J.A.; Sehn, L.H.; Feldman, T.; Abramson, J.S.; Kritharis, A.; et al. Clinicopathologic consensus study of gray zone lymphoma with features intermediate between DLBCL and classical HL. Blood Adv. 2017, 1, 2600–2609. [Google Scholar] [CrossRef] [PubMed] [PubMed Central]
- Sarkozy, C.; Hung, S.S.; Chavez, E.A.; Duns, G.; Takata, K.; Chong, L.C.; Aoki, T.; Jiang, A.; Miyata-Takata, T.; Telenius, A.; et al. Mutational landscape of gray zone lymphoma. Blood 2021, 137, 1765–1776. [Google Scholar] [CrossRef] [PubMed]
- Sarkozy, C.; Chong, L.; Takata, K.; Chavez, E.A.; Miyata-Takata, T.; Duns, G.; Telenius, A.; Boyle, M.; Slack, G.W.; Laurent, C.; et al. Gene expression profiling of gray zone lymphoma. Blood Adv. 2020, 4, 2523–2535. [Google Scholar] [CrossRef] [PubMed] [PubMed Central]
- Pittaluga, S.; Nicolae, A.; Wright, G.W.; Melani, C.; Roschewski, M.; Steinberg, S.; Huang, D.; Staudt, L.M.; Jaffe, E.S.; Wilson, W.H. Gene Expression Profiling of Mediastinal Gray Zone Lymphoma and Its Relationship to Primary Mediastinal B-cell Lymphoma and Classical Hodgkin Lymphoma. Blood Cancer Discov. 2020, 1, 155–161. [Google Scholar] [CrossRef] [PubMed] [PubMed Central]
- Eberle, F.C.; Rodriguez-Canales, J.; Wei, L.; Hanson, J.C.; Killian, J.K.; Sun, H.W.; Adams, L.G.; Hewitt, S.M.; Wilson, W.H.; Pittaluga, S.; et al. Methylation profiling of mediastinal gray zone lymphoma reveals a distinctive signature with elements shared by classical Hodgkin’s lymphoma and primary mediastinal large B-cell lymphoma. Haematologica 2011, 96, 558–566. [Google Scholar] [CrossRef] [PubMed] [PubMed Central]
- Gibson, S.E.; Dojcinov, S.; Dotlic, S.; Hartmann, S.; Hsi, E.D.; Klimkowska, M.; Melle, F.; Pileri, S.A.; Ramsower, C.A.; Rech, K.; et al. Mediastinal large B cell lymphoma and surrounding gray areas: A report of the lymphoma workshop of the 20th meeting of the European Association for Haematopathology. Virchows Arch. 2023, 483, 733–749. [Google Scholar] [CrossRef] [PubMed] [PubMed Central]


















|
|
|
|
|
|
| Differential Diagnosis with Large-Cell Lymphoma: |
Pay attention to:
|
| NLPHL | CHL | THCRLBCL | |
|---|---|---|---|
| Neoplastic cells | LP cells | RS and mononuclear cells | Centroblasts, immunoblasts, RS, and LP-like cells |
| Tumor microenvironment | B cells > T cells, TFH cells, dendritic cells, histiocytes | T cells in most cases (B cells > T cells in LR variant), eosinophils, histiocytes, neutrophils, and plasmacells | T cells and histiocytes |
| Growth pattern | Nodular, nodular and diffuse | Nodular and/or diffuse; variable sclerosis | Diffuse or vaguely nodular |
| Tumor cell phenotype | Pan B-cell markers (CD20, CD79a, PAX5, OCT2, BOB1)+, CD15 and CD30− (rarely+), LCA+ CD10−, bcl-6+, MUM1−, PU.1+, STAT6−, MEF2B+ EBV− (rare cases+) | Pan B-cell markers (CD20, CD79a, OCT2, BOB1)−, except for PAX5 (faint), CD15 and CD30+ (rarely−, LCA−, CD10−, bcl-6−/+, MUM1+, PU.1−, STAT6+, MEF2B− EBV+ (40%) | Pan B-cell markers (CD19, CD20, CD79a, PAX5, OCT2, BOB1)+, CD15 and CD30−, LCA+ CD10−, bcl-6+, MUM1+/−, PU.1−, EBV− |
| Histogenesis | GC B cells | GC B cells | GC B cells |
| IGVH gene rearrangements | Clonal rearrangement with high load of SHM and ongoing mutations | Clonal rearrangement with high load of SHM; crippling mutations | Clonal rearrangement with high load of SHM and ongoing mutations |
| CHL | PMBL | mGZL | nmGZL | |
|---|---|---|---|---|
| Clinical features | Bimodal age distribution Nodal involvement Frequent bulky mediastinal mass in NS Majority Stage I/II | Young adults, F > M Bulky mediastinal mass Rare extramediastinal involvement | Young adults, M > F Bulky mediastinal mass, with nodal involvement More aggressive clinical course | Mean age 55–61 years Advanced stage Nodal or extranodal involvement EBV+ cases are excluded |
| Morphology | HRS cells within a prevalent immune microenvironment (lymphocytes, eosinophils, histiocytes, and plasma cells Nodular collagenous fibrosis and lacunar cells in NS Cases with tumor cell-rich syncytial areas | Diffuse infiltrate of large mononuclear cells; clear cytoplasm Occasional HRS-like cells Subtle fibrosis Scant reactive infiltrate | Morphologic spectrum, ranging from cases with CHL-like morphology to cases with PMBL morphology, but discordant phenotype Less reactive infiltrate than CHL | Morphologic spectrum from CHL to DLBCL Cellular pleomorphism, necrosis, HRS-like cells Variable inflammatory background Lack of nodular fibrosis |
| Phenotype | PAX5+ (weak), CD20−/+, CD79a−, Oct-2−, BOB.1−, CD23−, CD30+ (strong and homogeneous), CD15+/−, MUM1+, bcl-6−, EBV−/+ | PAX5+, CD20+, CD79a+, Oct-2+, BOB.1+, CD23+, CD30+ (weak), CD15−, MUM1+/−, bcl-6+, MAL+ EBV− | PAX5+ (strong), variable expression of other B-cell markers (>1) CD30+, CD15+ (PMBL-like), CD15+/− (CHL-like), MUM1+, bcl-6−/+, EBV− | PAX5+ (strong), CD79a+, Oct2+/−, BOB1+/− CD30+, CD15−/+, MUM1+, EBV− |
| Molecular genetics | Loss of B-cell program JAK/STAT and NF-kB activation CN gains of REL, JAK2, and PDL1/2 (2p13 and 9p24 amplifications) Mutations in NFkB inhibitors (TNFAIP3, NFKBIA, NFKBIE), JAK1/3, STAT3/5B/6, SOCS1, C2TA | JAK/STAT and NF-kB activation CN gains of REL, PDL1/2 and JAK2 (2p13 and 9p24 amplifications) NFKBIE, EZH2, IL4R, GNA13, and STAT6 mutations Activation of immune escape mechanisms | JAK/STAT and NF-kB activation CN gains of REL, PDL1/2, and JAK2 Mutations in SOCS1, B2M, TNFAIP3, GNA13, and NFKB1 Lack of BC2 and BCL6 translocations Mutational and gene expression profile closer to PMBL and CHL | Cluster 1: mutations in TP53, BCL6, BCL2. KMT2D, CREBBP, along with BCL2 and BCL6 translocations; Cluster 2: mutations in SOCS1, STAT6, and/or B2M Mutational and gene expression profile closer to DLBCL |
Disclaimer/Publisher’s Note: The statements, opinions and data contained in all publications are solely those of the individual author(s) and contributor(s) and not of MDPI and/or the editor(s). MDPI and/or the editor(s) disclaim responsibility for any injury to people or property resulting from any ideas, methods, instructions or products referred to in the content. |
© 2024 by the authors. Licensee MDPI, Basel, Switzerland. This article is an open access article distributed under the terms and conditions of the Creative Commons Attribution (CC BY) license (https://creativecommons.org/licenses/by/4.0/).
Share and Cite
Nicolae, A.; Sabattini, E.; Ponzoni, M.; Paulli, M.; Lucioni, M.; Salviato, T.; Carbone, A. Lymphadenitis/Reactive-Hyperplasia, Mimickers of Lymphomas, Low-Grade B-Cell Lymphomas, and Hodgkin Lymphoma. Hemato 2024, 5, 350-379. https://doi.org/10.3390/hemato5030026
Nicolae A, Sabattini E, Ponzoni M, Paulli M, Lucioni M, Salviato T, Carbone A. Lymphadenitis/Reactive-Hyperplasia, Mimickers of Lymphomas, Low-Grade B-Cell Lymphomas, and Hodgkin Lymphoma. Hemato. 2024; 5(3):350-379. https://doi.org/10.3390/hemato5030026
Chicago/Turabian StyleNicolae, A., E. Sabattini, M. Ponzoni, M. Paulli, M. Lucioni, T. Salviato, and A. Carbone. 2024. "Lymphadenitis/Reactive-Hyperplasia, Mimickers of Lymphomas, Low-Grade B-Cell Lymphomas, and Hodgkin Lymphoma" Hemato 5, no. 3: 350-379. https://doi.org/10.3390/hemato5030026
APA StyleNicolae, A., Sabattini, E., Ponzoni, M., Paulli, M., Lucioni, M., Salviato, T., & Carbone, A. (2024). Lymphadenitis/Reactive-Hyperplasia, Mimickers of Lymphomas, Low-Grade B-Cell Lymphomas, and Hodgkin Lymphoma. Hemato, 5(3), 350-379. https://doi.org/10.3390/hemato5030026

