Recurrent Cutaneous Leiomyosarcoma: A Histopathological Perspective and the Quest for Complete Excision
Abstract
1. Introduction
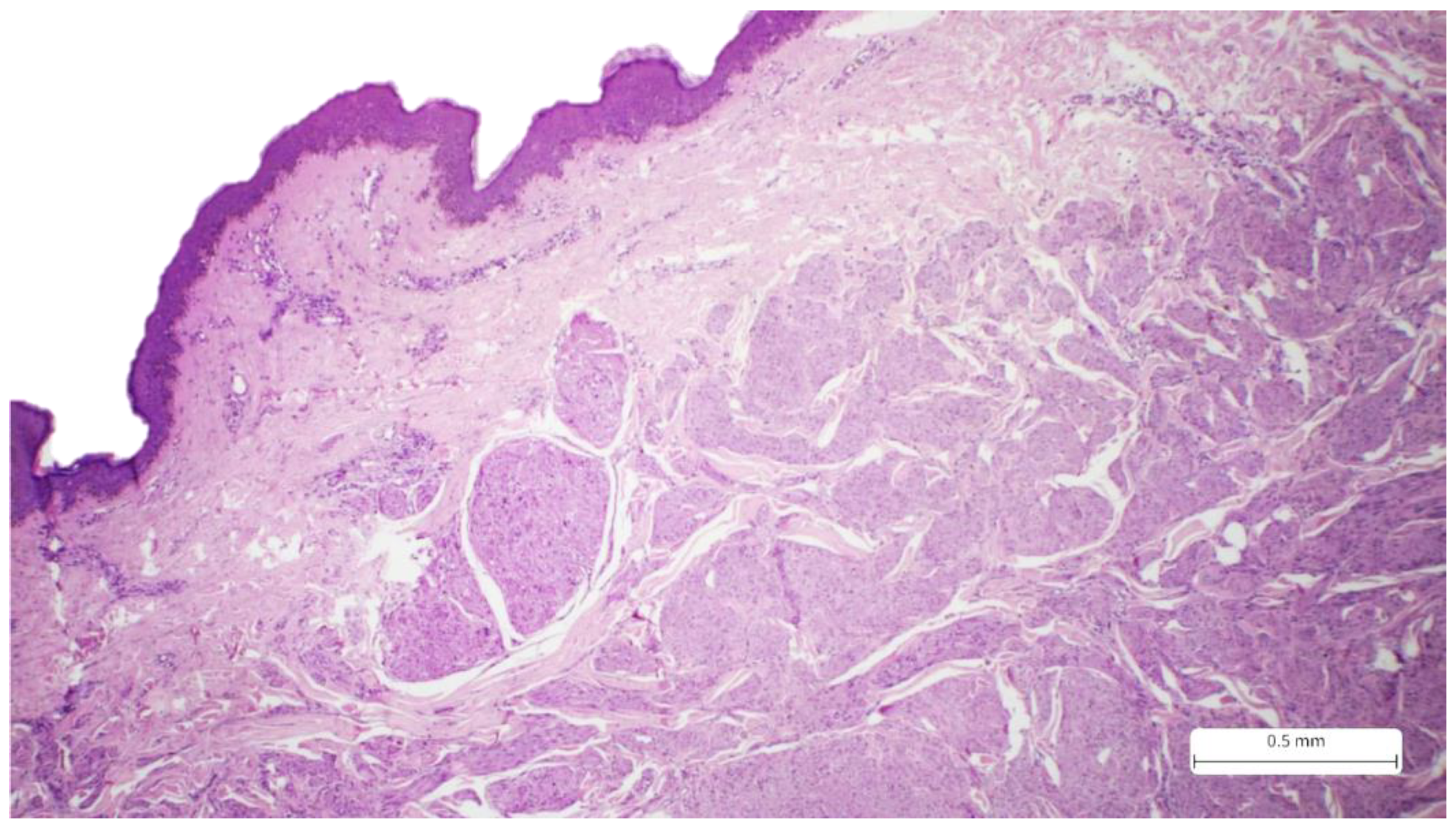
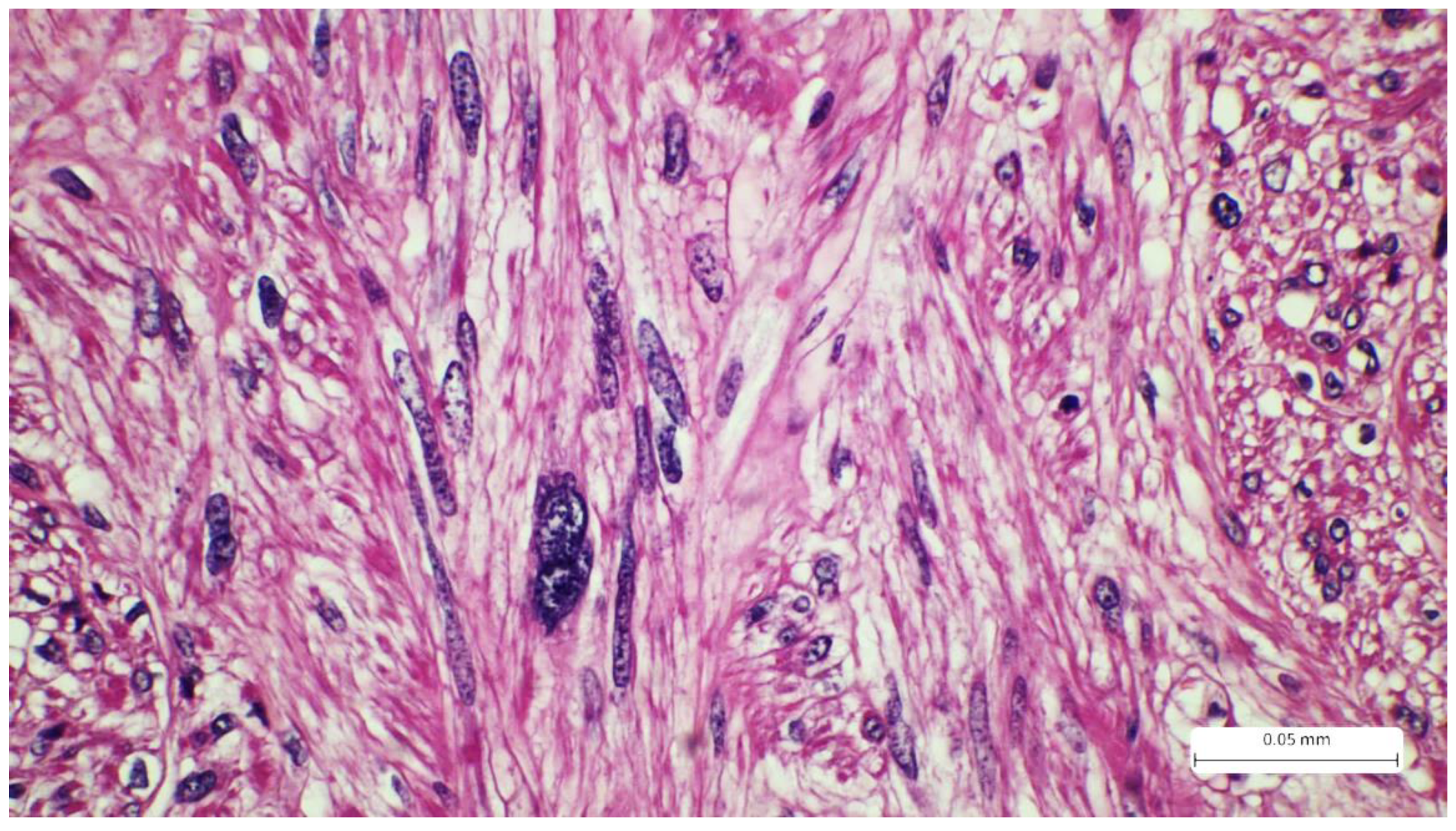
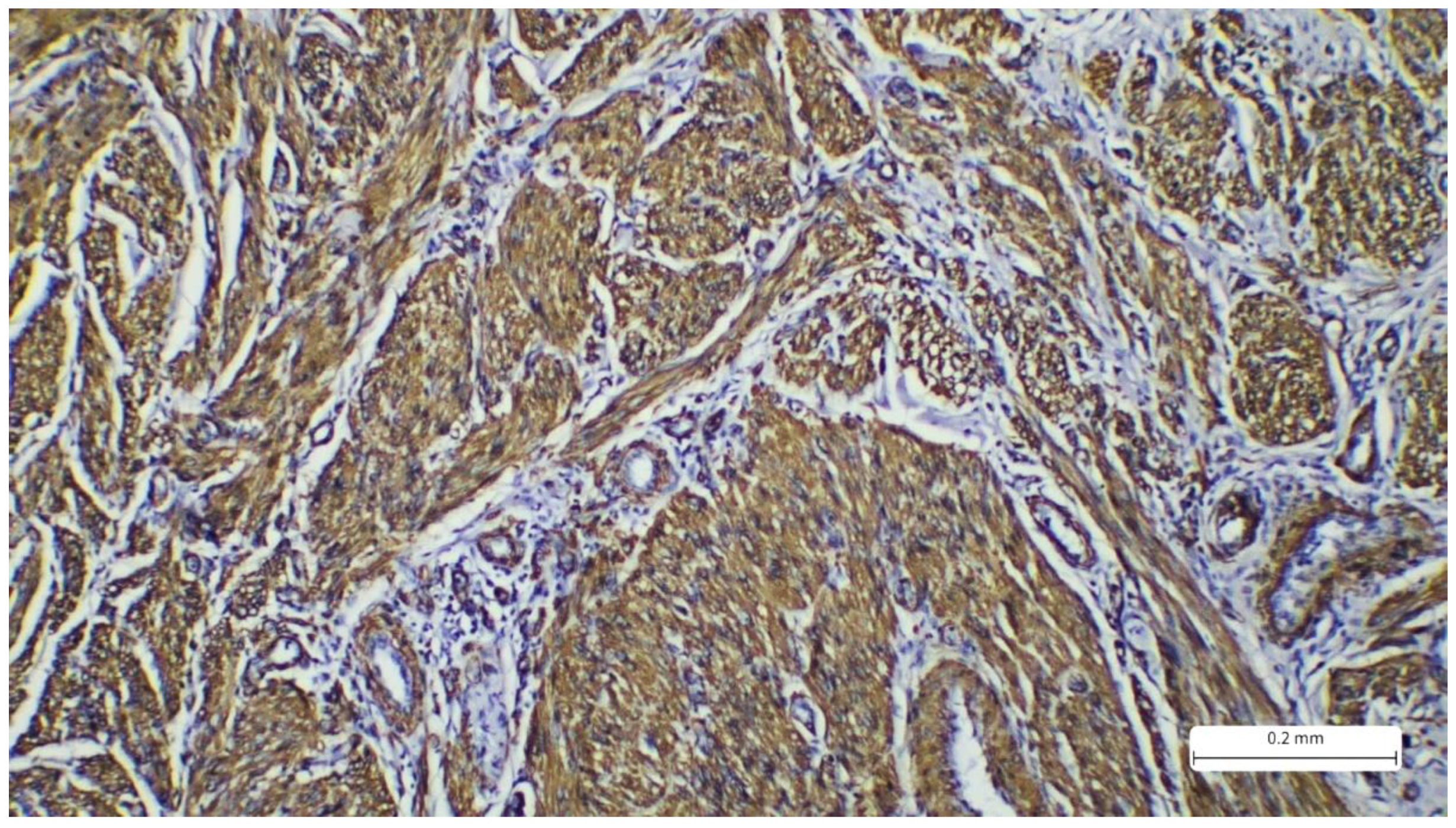
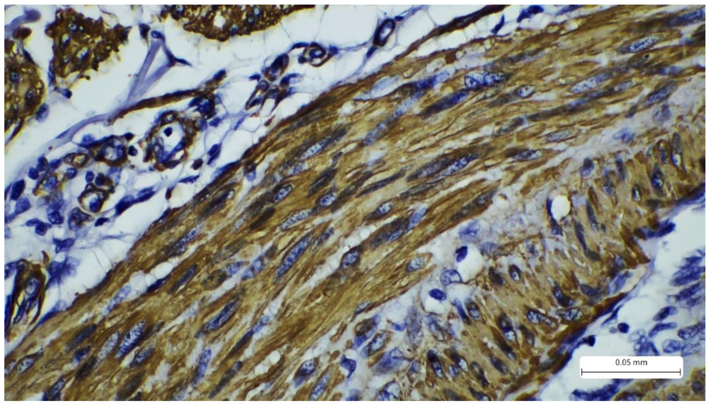
2. Case Report
3. Discussion
4. Conclusions
Author Contributions
Funding
Institutional Review Board Statement
Informed Consent Statement
Data Availability Statement
Conflicts of Interest
Abbreviations
| WHO | World Health Organization |
| IHC | Immunohistochemistry |
| LMS | Leiomyosarcoma |
| AJCC | American Joint Committee on Cancer |
| FNCLCC | Fédération Nationale des Centres de Lutte Contre Le Cancer |
References
- WHO Classification of Tumours Editorial Board. Soft Tissue and Bone Tumours, 5th ed.; International Agency for Research on Cancer: Lyon, France, 2020; Volume 3, Available online: https://publications.iarc.fr/588 (accessed on 28 August 2025).
- WHO Classification of Tumours Editorial Board. Skin Tumours [Beta Version Ahead of Print], 5th ed.; International Agency for Research on Cancer: Lyon, France, 2023; Volume 12, Available online: https://tumourclassification.iarc.who.int/chapters/64 (accessed on 28 August 2025).
- Soares Queirós, C.; Filipe, P.; Soares de Almeida, L. Cutaneous leiomyosarcoma: A 20-year retrospective study and review of the literature. An. Bras. Dermatol. 2021, 96, 278–283. [Google Scholar] [CrossRef] [PubMed]
- Helbig, D.; Dippel, E.; Erdmann, M.; Frisman, A.; Kage, P.; Leiter, U.; Mentzel, T.; Seidel, C.; Weishaupt, C.; Ugurel-Schmidt, S. S1-guideline cutaneous and subcutaneous leiomyosarcoma. J. Dtsch. Dermatol. Ges. 2023, 21, 555–563. [Google Scholar] [CrossRef] [PubMed]
- Deneve, J.L.; Messina, J.L.; Bui, M.M.; Marzban, S.S.; Letson, G.D.; Cheong, D.; Gonzalez, R.J.; Sondak, V.K.; Zager, J.S. Cutaneous leiomyosarcoma: Treatment and outcomes with a standardized margin of resection. Cancer Control. 2013, 20, 307–312. [Google Scholar] [CrossRef] [PubMed]
- Wong, G.N.; Webb, A.; Gyorki, D.; McCormack, C.; Tran, P.; Ngan, S.Y.; Slavin, J.; Henderson, M.A. Cutaneous leiomyosarcoma: Dermal and subcutaneous. Australas. J. Dermatol. 2020, 61, 243–249. [Google Scholar] [CrossRef]
- Chalfant, V.; Schriber, T.; Sabri, A.; Gossen, J.; Groh, D. Primary Cutaneous Leiomyosarcoma of the Lower Extremity: A Case Report and Literature Review. Cureus 2021, 13, e14282. [Google Scholar] [CrossRef]
- Amin, M.B.; Greene, F.L.; Edge, S.B.; Compton, C.C.; Gershenwald, J.E.; Brookland, R.K.; Meyer, L.; Gress, D.M.; Byrd, D.R.; Winchester, D.P. The Eighth Edition AJCC Cancer Staging Manual: Continuing to build a bridge from a population-based to a more “personalized” approach to cancer staging. CA Cancer J. Clin. 2017, 67, 93–99. [Google Scholar] [CrossRef]
- Tillman, B.N.; Liu, J.C. Cutaneous Sarcomas. Otolaryngol. Clin. North. Am. 2021, 54, 369–378. [Google Scholar] [CrossRef]
- Sandhu, N.; Sauvageau, A.P.; Groman, A.; Bogner, P.N. Cutaneous Leiomyosarcoma: A SEER Database Analysis. Dermatol. Surg. 2020, 46, 159–164. [Google Scholar] [CrossRef]
- Taylor, M.A.; Thomas, S.; Ituarte, B.; Sharma, D.; Georgesen, C.; Wei, E.X.; Voss, V. Sex disparities in leiomyosarcoma of the skin: Females experience worse disease-specific survival. Arch. Dermatol. Res. 2024, 316, 469. [Google Scholar] [CrossRef]
- Khan, S.; Asher, R.; Perkins, W.; Matin, R.N. Cutaneous leiomyosarcoma: A retrospective review of 45 cases. Clin. Exp. Dermatol. 2023, 49, 2–8. [Google Scholar] [CrossRef]
- Messina, V.; Cope, B.; Keung, E.Z.; Fiore, M. Management of Skin Sarcomas. Surg. Oncol. Clin. N. Am. 2022, 31, 511–525. [Google Scholar] [CrossRef]
- Walocko, F.; Christensen, R.E.; Worley, B.; Alam, M. Cutaneous Mesenchymal Sarcomas. Dermatol. Clin. 2023, 41, 133–140. [Google Scholar] [CrossRef] [PubMed]
- Company-Quiroga, J.; Magro-García, H.C.; Martínez-Morán, C. Spindle-cell malignant melanoma. Indian. J. Dermatol. Venereol. Leprol. 2020, 86, 741–742. [Google Scholar] [CrossRef] [PubMed]
- Hrycaj, S.M.; Szczepanski, J.M.; Zhao, L.; Siddiqui, J.; Thomas, D.G.; Lucas, D.R.; Patel, R.M.; Harms, P.W.; Bresler, S.C.; Chan, M.P. PRAME expression in spindle cell melanoma, malignant peripheral nerve sheath tumour, and other cutaneous sarcomatoid neoplasms: A comparative analysis. Histopathology 2022, 81, 818–825. [Google Scholar] [CrossRef] [PubMed]
- Berger, M.H.; Haidar, Y.M. Malignant Peripheral Nerve-Sheath Tumor. N. Engl. J. Med. 2021, 385, e23. [Google Scholar] [CrossRef]
- Somatilaka, B.N.; Sadek, A.; McKay, R.M.; Le, L.Q. Malignant peripheral nerve sheath tumor: Models, biology, and translation. Oncogene 2022, 41, 2405–2421. [Google Scholar] [CrossRef]
- Agaimy, A. The many faces of Atypical fibroxanthoma. Semin. Diagn. Pathol. 2023, 40, 306–312. [Google Scholar] [CrossRef]
- Vasilyev, N.V.; Vtorushin, S.V.; Maltseva, A.A.; Sannikova, A.V. Atipicheskaya fibroksantoma [Atypical fibroxanthoma]. Arkh. Patol. 2023, 85, 65–72. [Google Scholar] [CrossRef] [PubMed]
- Bernett, C.N.; Mammino, J.J. Cutaneous Leiomyomas. In StatPearls; StatPearls Publishing: Treasure Island, FL, USA, 2023. [Google Scholar]
- Malik, K.; Patel, P.; Chen, J.; Khachemoune, A. Leiomyoma cutis: A focused review on presentation, management, and association with malignancy. Am. J. Clin. Dermatol. 2015, 16, 35–46. [Google Scholar] [CrossRef]
- Rani, S.; Saxena, S.; Singh, S.; Malhotra, P. Reed Syndrome: A Varied Presentation. Indian. Dermatol. Online J. 2021, 12, 628–630. [Google Scholar] [CrossRef]
- Yu, Y.; Zheng, M.; Zhu, W.; Zhao, F.; Guan, B.; Shen, Q.; Yang, F.; He, Q.; Li, X. Hereditary leiomyomatosis and renal cell cancer (HLRCC): Case series and review of the literature. Urol. Oncol. 2021, 39, 791.e9–791.e16. [Google Scholar] [CrossRef]
- Batash, R.; Crimí, A.; Kassem, R.; Asali, M.; Ostfeld, I.; Biz, C.; Ruggieri, P.; Schaffer, M. Classic Kaposi sarcoma: Diagnostics, treatment modalities, and genetic implications—A review of the literature. Acta Oncol. 2024, 63, 783–790. [Google Scholar] [CrossRef] [PubMed]
- Salas-Alanís, J.C.; Salas-Garza, M.; Moreno-Treviño, M.G.; Márquez-Murillo, S.; Rivera-Silva, G. Kaposi’s sarcoma. Med. Clin. 2025, 164, 48–49. [Google Scholar] [CrossRef] [PubMed]
- Lamoureux, C.; Drak Alsibai, K.; Pradinaud, R.; Sainte-Marie, D.; Couppie, P.; Blaizot, R. Kaposi Sarcoma with Mucocutaneous Involvement in French Guiana: An Epidemiological Study between 1969 and 2019. Acta Derm Venereol 2022, 102, adv00709. [Google Scholar] [CrossRef] [PubMed]
- Winchester, D.S.; Hocker, T.L.; Brewer, J.D.; Baum, C.L.; Hochwalt, P.C.; Arpey, C.J.; Otley, C.C.; Roenigk, R.K. Leiomyosarcoma of the skin: Clinical, histopathologic, and prognostic factors that influence outcomes. J. Am. Acad. Dermatol. 2014, 71, 919–925. [Google Scholar] [CrossRef] [PubMed]
- Golda, N.; Hruza, G. Mohs Micrographic Surgery. Dermatol. Clin. 2023, 41, 39–47. [Google Scholar] [CrossRef]
- Etzkorn, J.R.; Alam, M. What Is Mohs Surgery? JAMA Dermatol. 2020, 156, 716. [Google Scholar] [CrossRef]
- Vargas-Mora, P.; Llombart, B.; Castro, J.R.; Cruz, J.; Serra, C.; Requena, C.; Traves, V.; Sanmartín, O. Primary cutaneous leiomyosarcoma: A single institution study treated with modified Mohs surgery. Int. J. Dermatol. 2023, 62, e10–e13. [Google Scholar] [CrossRef]
- Cazzato, G.; Sergi, M.C.; Sablone, S.; Colagrande, A.; Lettini, T.; Fanelli, F.; Orsini, U.; Ingravallo, G. Advanced Cutaneous Leiomyosarcoma of the Forearm. Dermatopathology 2021, 8, 40–44. [Google Scholar] [CrossRef]





Disclaimer/Publisher’s Note: The statements, opinions and data contained in all publications are solely those of the individual author(s) and contributor(s) and not of MDPI and/or the editor(s). MDPI and/or the editor(s) disclaim responsibility for any injury to people or property resulting from any ideas, methods, instructions or products referred to in the content. |
© 2025 by the authors. Licensee MDPI, Basel, Switzerland. This article is an open access article distributed under the terms and conditions of the Creative Commons Attribution (CC BY) license (https://creativecommons.org/licenses/by/4.0/).
Share and Cite
Tinca, A.C.; Lazar, B.A.; Cozac-Szőke, A.-R.; Cotoi, O.S. Recurrent Cutaneous Leiomyosarcoma: A Histopathological Perspective and the Quest for Complete Excision. Dermato 2025, 5, 18. https://doi.org/10.3390/dermato5040018
Tinca AC, Lazar BA, Cozac-Szőke A-R, Cotoi OS. Recurrent Cutaneous Leiomyosarcoma: A Histopathological Perspective and the Quest for Complete Excision. Dermato. 2025; 5(4):18. https://doi.org/10.3390/dermato5040018
Chicago/Turabian StyleTinca, Andreea Cătălina, Bianca Andreea Lazar, Andreea-Raluca Cozac-Szőke, and Ovidiu Simion Cotoi. 2025. "Recurrent Cutaneous Leiomyosarcoma: A Histopathological Perspective and the Quest for Complete Excision" Dermato 5, no. 4: 18. https://doi.org/10.3390/dermato5040018
APA StyleTinca, A. C., Lazar, B. A., Cozac-Szőke, A.-R., & Cotoi, O. S. (2025). Recurrent Cutaneous Leiomyosarcoma: A Histopathological Perspective and the Quest for Complete Excision. Dermato, 5(4), 18. https://doi.org/10.3390/dermato5040018

