A Literature Review of Phantom Bladder Perforation: The Curious Case of Bladder Lipoma
Abstract
1. Introduction
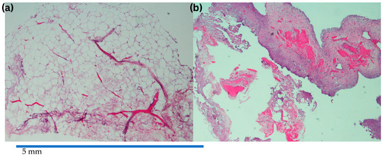
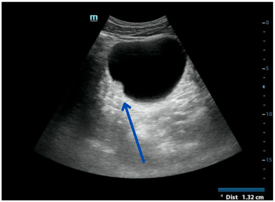
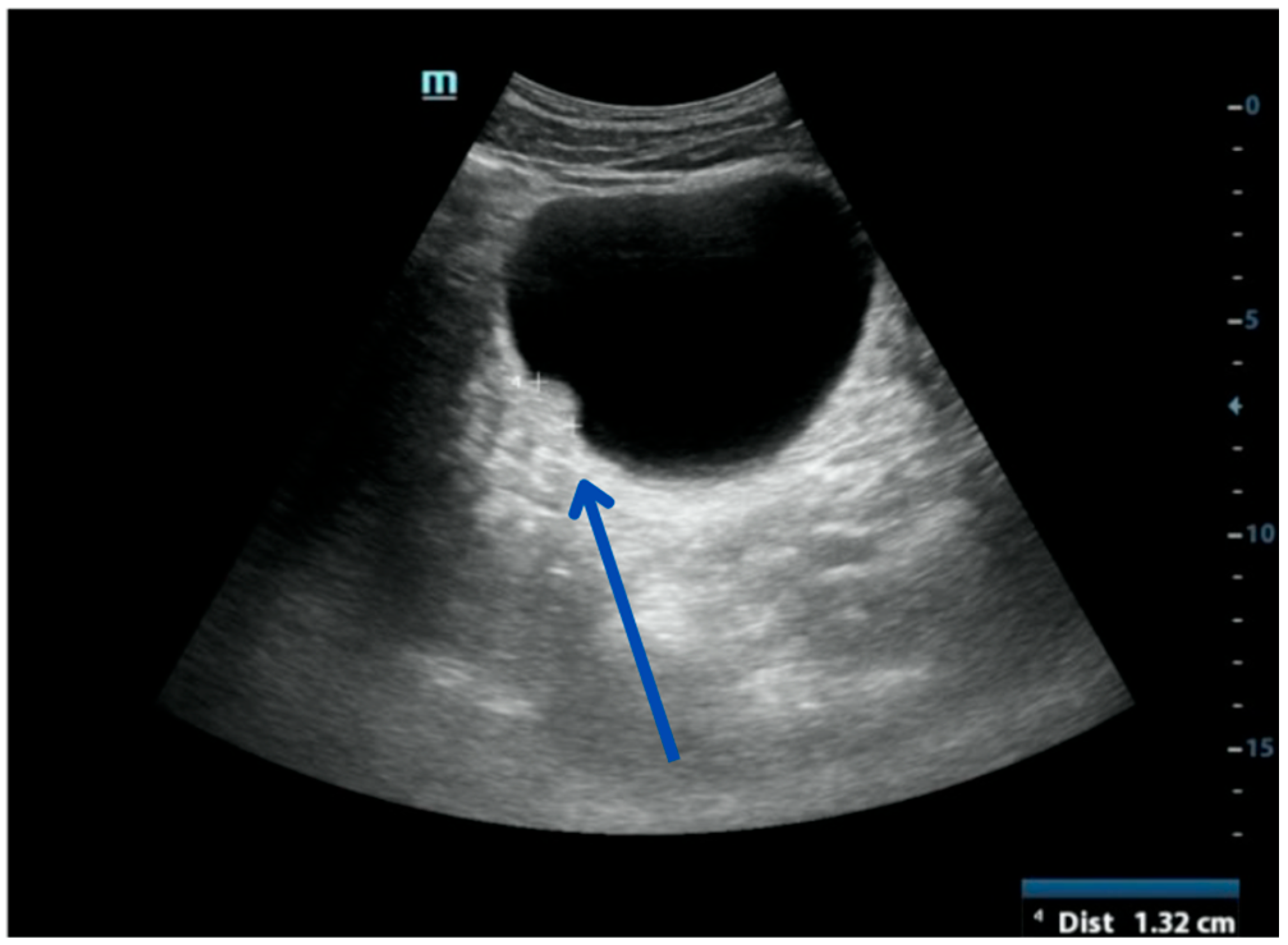
2. Case Report
3. Discussion
3.1. Clinical Presentation
3.2. Differential Diagnosis
3.3. Radiologic Findings



4. Conclusions
Supplementary Materials
Author Contributions
Funding
Institutional Review Board Statement
Informed Consent Statement
Data Availability Statement
Conflicts of Interest
Abbreviations
| LUTS | Lower Urinary Tract Symptoms |
| TURBT | Transurethral Resection of Bladder Tumor |
| BPH | Benign Prostatic Hyperplasia |
| CT | Computed Tomography |
| MRI | Magnetic Resonance Imaging |
References
- Gómez Vegas, A.; Silmi Moyano, A.; Fernández Lucas, C.; Blázquez Izquierdo, J.; Delgado Martín, J.A.; Corral Rosillo, J.; Salinas Casado, J.; Rapariz González, M. Leiomyoma of the lower urinary tract. Arch. Esp. Urol. 1991, 44, 795–798. [Google Scholar] [PubMed]
- Val-bernal, J.; Azueta, A.; Ballestero, R.; Fuentes, J.; Fernandez-florez, A. Incidental Bladder Lipoma: A Case Report and Review of the Literature. Turk Patoloji Derg. 2014, 31, 64–67. [Google Scholar] [CrossRef][Green Version]
- Anders, K.; Ackerman, A. Neoplasms of the Subcutaneous Fat. In Fitzpatrick’s Dermatology in General Medicine; McGraw-Hill: New York, NY, USA, 1999; pp. 1292–1300. [Google Scholar]
- Johnson, C.N.; Ha, A.S.; Chen, E.; Davidson, D. Lipomatous Soft-Tissue Tumors. J. Am. Acad. Orthop. Surg. 2018, 26, 779–788. [Google Scholar] [CrossRef]
- Enzinger, F.; Weiss, S. Soft Tissue Tumors; Mosby: St. Louis, MO, USA, 1995; pp. 381–430. [Google Scholar]
- Zuber, T. Skin Biopsy, Excision, and Repair Techniques. In Soft Tissue Surgery for the Family Physician; American Academy of Family Physicians: Kansas City, MO, USA, 1998; pp. 100–106. [Google Scholar]
- Degheili, J.A.; Bustros, G.D.; El-Asmar, J.M.; Nasr, R.W. A Yellow-Colored Lipomatous Lesion of the Bladder: An Unorthodox Finding Seen upon Investigation for Microscopic Hematuria. Turk J. Urol. 2019, 45, 389–392. [Google Scholar] [CrossRef]
- Herbst, K.L. Subcutaneous Adipose Tissue Diseases: Dercum Disease, Lipedema, Familial Multiple Lipomatosis, and Madelung Disease. In Endotext; Feingold, K.R., Anawalt, B., Blackman, M.R., Boyce, A., Chrousos, G., Corpas, E., de Herder, W.W., Dhatariya, K., Dungan, K., Hofland, J., et al., Eds.; MDText.com, Inc.: South Dartmouth, MA, USA, 2000. [Google Scholar]
- Akan, S.; Yüksel, O.; Ozbay, N.; Uruç, F.; Verit, A. A Rare Entity of Benign Bladder Neoplasm: Female Lipoma. Georgian Med. News 2014, 17–20. [Google Scholar]
- Meraj, S.; Narasimhan, G.; Gerber, E.; Nagler, H.M. Bladder Wall Lipoma. Urology 2002, 60, 164. [Google Scholar] [CrossRef] [PubMed]
- Eggener, S.E.; Hairston, J.; Rubenstein, J.N.; Gonzalez, C.M. Bladder Lipoma. J. Urol. 2001, 166, 1395. [Google Scholar] [CrossRef]
- Ulker, V.; Gunhan, M.; Vural, G.; Dal, H. Lipoma of the Urinary Bladder. BJU Int. 2001, 88, 644. [Google Scholar]
- Kunkle, D.A.; Mydlo, J.H. Bladder Wall Lipoma in Patient with Irritative Voiding Symptoms. Urology 2005, 66, 653–654. [Google Scholar] [CrossRef]
- Lang, E.K. Symptomatic Bladder Lipomas. J. Urol. 2005, 174, 313. [Google Scholar] [CrossRef] [PubMed]
- Brown, C.; Jones, A. Bladder Lipoma Associated with Urinary Tract Infection. ScientificWorldJournal 2008, 8, 573–574. [Google Scholar] [CrossRef]
- Ukita, S.; Koshiyama, M.; Ohnaka, M.; Miyagawa, N.; Yamanishi, Y.; Nishimura, F.; Nagura, M.; Kim, T.; Hirose, M.; Shirase, T.; et al. Retroperitoneal Lipoma Arising from the Urinary Bladder. Rare Tumors 2009, 1, e13. [Google Scholar] [CrossRef]
- Tsui, J.F.; Weinberger, J.M.; Kashan, M.; Weiss, J.P.; Robinson, B.D.; Blaivas, J.G. Bladder Lipoma. J. Urol. 2013, 190, 1387–1388. [Google Scholar] [CrossRef] [PubMed]
- Ates, M.; Karalar, M.; Akin, Y.; Okur, N.; Ozardali, I.; Keles, I. An Extremely Rare Mass of Bladder: Lipoma in the Bladder. Ir. J. Med. Sci. 2015, 184, 719–721. [Google Scholar] [CrossRef]
- Gilbert, B.; Britcliffe, A.; Redwig, F. Submucosal Lipoma of the Urinary Bladder: Case Report and Systematic Review. Urol. Case Rep. 2018, 20, 54–56. [Google Scholar] [CrossRef] [PubMed]
- Ekren, F.; Eker, G.E.; Esen, M.; Caglayan, A.; Erdogan, O.; Tuzcuoglu, I.Y. Bladder Lipoma in a Patient Diagnosed with Urothelial Carcinoma Previously: A Rare Case Report. Eur. Urol. Suppl. 2019, 18, e2469. [Google Scholar] [CrossRef]
- Jendouzi, O.; Boukhlifi, Y.; Houadfi, O.E.; Essaoudi, M.A.; Alami, M.; Ameur, A. Bladder Lipoma: Moroccan Case Report. Pan. Afr. Med. J. 2020, 37, 380. [Google Scholar] [CrossRef] [PubMed]
- Paniagua, M.; Parra, V.; De Miguel, E. Urinary Bladder Lipoma: An Illustrative Case. Radiol. Case 2020, 14, 15–21. [Google Scholar] [CrossRef]
- Emekli, E.; Gündoğdu, E. A Case of Incidentally Detected Bladder Lipoma and a Review of the Literature. CMIR 2022, 18, 86–90. [Google Scholar] [CrossRef]
- Kaltsas, A.; Zachariou, A.; Tien, D.M.B.; Takenaka, A.; Sofikitis, N. An Atypical Case of Bladder Lipoma Presenting as Gross Hematuria: A Case Report. Cureus 2023, 15, e42471. [Google Scholar] [CrossRef]
- Amin, M.; Eble, J. Urological Pathology, 1st ed.; Lippincott Williams & Wilkins: Philadelphia, PA, USA, 2012. [Google Scholar]
- Willson, T.D.; Revesz, E.; Podbielski, F.J.; Connolly, M.M. Unusual Findings in a Benign Urachal Tumor. Am. Surg. 2013, 79, E76–E77. [Google Scholar] [CrossRef]
- Sugiyama, K.; Washimi, K.; Sato, S.; Hiruma, T.; Sakai, M.; Okubo, Y.; Miyagi, Y.; Yokose, T. Differential Diagnosis of Lipoma and Atypical Lipomatous Tumor/Well-Differentiated Liposarcoma by Cytological Analysis. Diagn. Cytopathol. 2022, 50, 112–122. [Google Scholar] [CrossRef]
- Petersen, R.; Sesterhenn, I.; Davis, C. Urologic Pathology; Lippincott Williams & Wilkins: Philadelphia, PA, USA, 2009. [Google Scholar]
- Pereira, J.M.; Sirlin, C.B.; Pinto, P.S.; Casola, G. CT and MR Imaging of Extrahepatic Fatty Masses of the Abdomen and Pelvis: Techniques, Diagnosis, Differential Diagnosis, and Pitfalls. RadioGraphics 2005, 25, 69–85. [Google Scholar] [CrossRef] [PubMed]
- Park, J.W.; Jeong, B.C.; Seo, S.I.; Jeon, S.S.; Kwon, G.Y.; Lee, H.M. Leiomyoma of the Urinary Bladder: A Series of Nine Cases and Review of the Literature. Urology 2010, 76, 1425–1429. [Google Scholar] [CrossRef] [PubMed]
- Prihadi, J.C.; Hengky, A.; Lionardi, S.K.; Haruman, S.P. Characteristics and Outcomes in Bladder Leiomyoma Management: A Systematic Review of Case Reports and Case Series from the Past 20 Years. BMC Urol. 2024, 24, 252. [Google Scholar] [CrossRef]
- Hoegger, M.J.; Strnad, B.S.; Ballard, D.H.; Siegel, C.L.; Shetty, A.S.; Weimholt, R.C.; Yano, M.; Stanton, M.L.; Mellnick, V.M.; Kawashima, A.; et al. Urinary Bladder Masses, Rare Subtypes, and Masslike Lesions: Radiologic-Pathologic Correlation. Radiographics 2023, 43, e220034. [Google Scholar] [CrossRef]
- Matsuzawa, N.; Nishikawa, T.; Ohno, R.; Inoue, M.; Nishimura, Y.; Okamoto, T.; Shimizu, T.; Shinagawa, T.; Nishizawa, Y.; Kazama, S. Paraganglioma of the Urinary Bladder Initially Diagnosed as Gastrointestinal Stromal Tumor Requiring Combined Resection of the Rectum: A Case Report. World J. Surg. Oncol. 2022, 20, 185. [Google Scholar] [CrossRef]
- Gong, Z.; Hu, D.; Cheng, G.; Zhang, S.; Longjiang, X. EUS-FNA Diagnosis of Bladder Paraganglioma: A Novel Approach to a Rare Entity (with Video). Gastrointest. Endosc. 2024, 101, 686–688. [Google Scholar] [CrossRef] [PubMed]
- Treccani, L.P.; Artoni, F.; Brancelli, C.; Veccia, A.; D’Onofrio, M.; Pichiri, I.; Brunelli, M.; Bertolo, R.G.; Antonelli, A. “Case of the Month” from the University of Verona, Italy-Navigating the Medical and Surgical Challenges of Urinary Bladder Paraganglioma: Insights from a Clinical Case. BJU Int. 2024, 135, 743–747. [Google Scholar] [CrossRef]
- Yang, D.M.; Kim, H.C.; Kim, S.W.; Won, K.Y. Groin Abnormalities: Ultrasonographic and Clinical Findings. Ultrasonography 2020, 39, 166–177. [Google Scholar] [CrossRef]
- Chudal, S.; Poudyal, S.; Chapagain, S.; Luitel, B.R.; Chalise, P.R.; Sharma, U.K. Myxoid Liposarcoma of Bladder: A Rare Case. Int. J. Surg. Case Rep. 2021, 79, 116–118. [Google Scholar] [CrossRef] [PubMed]
- Cui, J.; Peng, R.; Zhang, Y.; Lu, Y.; He, X.; Chen, M.; Zhang, H. Case Report: Primary Low-Grade Dedifferentiated Liposarcoma of the Urinary Bladder with Molecular Confirmation. Front. Oncol. 2023, 13, 1221027. [Google Scholar] [CrossRef] [PubMed]




| Author | Age | Sex | Smoking Status | Imaging | Description | Hematuria | LUTS | Management | Outcome |
|---|---|---|---|---|---|---|---|---|---|
| Eggener SE et al., 2001 [11] | 53 | M | 30 pack-year history | CT | One, posterior wall, 13 mm | Microscopic | Not reported | TURBT | No microscopic hematuria at 1-month follow-up |
| Ulker S et al., 2001 [12] | 32 | M | Not reported | CT | One, L lateral wall, 7 mm | Microscopic | Not reported | Not reported | Not reported |
| Meraj S et al., 2002 [10] | 53 | M | 20 pack-year history | Urography | One, posterior wall, not reported | Microscopic | Frequency/urgency | Cold cup biopsy | Not reported |
| Kunkle DA et al., 2005 [13] | 48 | M | Not reported | MRI | Two, anterior + L lateral wall, not reported | Not reported | Frequency/urgency | TURBT | Improved voiding symptoms at follow-up |
| Lang EK et al., 2005 [14] | 73 | M | Not reported | CT | Multiple, trigone, 6–8 mm | Gross | None | Not reported | Not reported |
| Lang, EK et al., 2005 [14] | 54 | M | Not reported | CT | Multiple, trigone, 7–9 mm | Gross | Not reported | Not reported | Not reported |
| Brown C et al., 2008 [15] | 44 | M | Not reported | MRI, USS | One, dome, not reported | Not reported | Dysuria | TURBT | Not reported |
| Ukita S et al., 2009 [16] | 61 | F | Not reported | MRI | One, R retropelvic cavity, 150 mm | Not reported | None | Total tumorectomy | Uneventful postoperative recovery |
| Tsui JF et al., 2013 [17] | 61 | F | Not reported | CT | Two, anterior wall, 12 mm & 8 mm | Microscopic | Frequency/urgency | Partial cystectomy | Marked symptomatic improvement at one-year follow-up |
| Akan S et al., 2014 [9] | 59 | F | Not reported | USS | One, R lateral, 15 mm | Microscopic | Incontinence | TURBT | Improvement in LUTS at 3-month follow-up |
| Ates M et al., 2015 [18] | 67 | F | Non-smoker | MRI, USS | One, dome, 7 mm | Normal | Dysuria | TURBT | Resolution of symptoms at 6-month follow-up |
| Val-Berna, JF et al., 2015 [2] | 75 | M | Not reported | CT | One, dome, 5 mm | Not reported | Not reported | TURBT | Uneventful recovery |
| Gilbert, B et al., 2018 [19] | 66 | M | Significant smoking history | USS | One, posterior wall, 6 mm | Microscopic | None | Cold cup biopsy | No persistent urologic symptoms at one-year follow-up |
| Degheili et al., 2019 [7] | 61 | M | Non-smoker | USS | One, right lateral wall of bladder, 1 × 1 cm, | Microscopic | None | TURBT | Follow-up lab revealed no hematuria |
| Ekren et al., 2019 [20] | 61 | M | Not reported | USS | One, posterior base of bladder, 4.9 mm | Present | Not reported | TURBT | Follow-up revealed no occurrence |
| Jendouzi et al., 2020 [21] | 69 | M | Non-smoker | No CT/USS | One, posterior wall of bladder, 5 mm, | Gross | Urinary frequency and nocturia | TURBT | Resolution of symptoms at 6-month follow-up |
| Panigua et al., 2020 [22] | 63 | M | Former smoker | USS, CT | One, right upper bladder wall, 1.8 × 1.3 × 0.9 cm, | No | PMD | TURBT | Follow-up ultrasound 3 months post-op revealed no bladder masses |
| Emekli et al., 2022 [23] | 43 | M | Not reported | CT | One, anterior bladder wall, 14 × 9 × 8 mm, | No | None | Not reported | Not reported |
| Kaltsas et al., 2023 [24] | 68 | M | Not reported | CT | One, posterior bladder wall | Gross | Not reported | TURBT | Follow-up cystoscopies and ultrasound revealed no reoccurrence |
| Imaging Used | Key Features | Case-Based Imaging Findings |
|---|---|---|
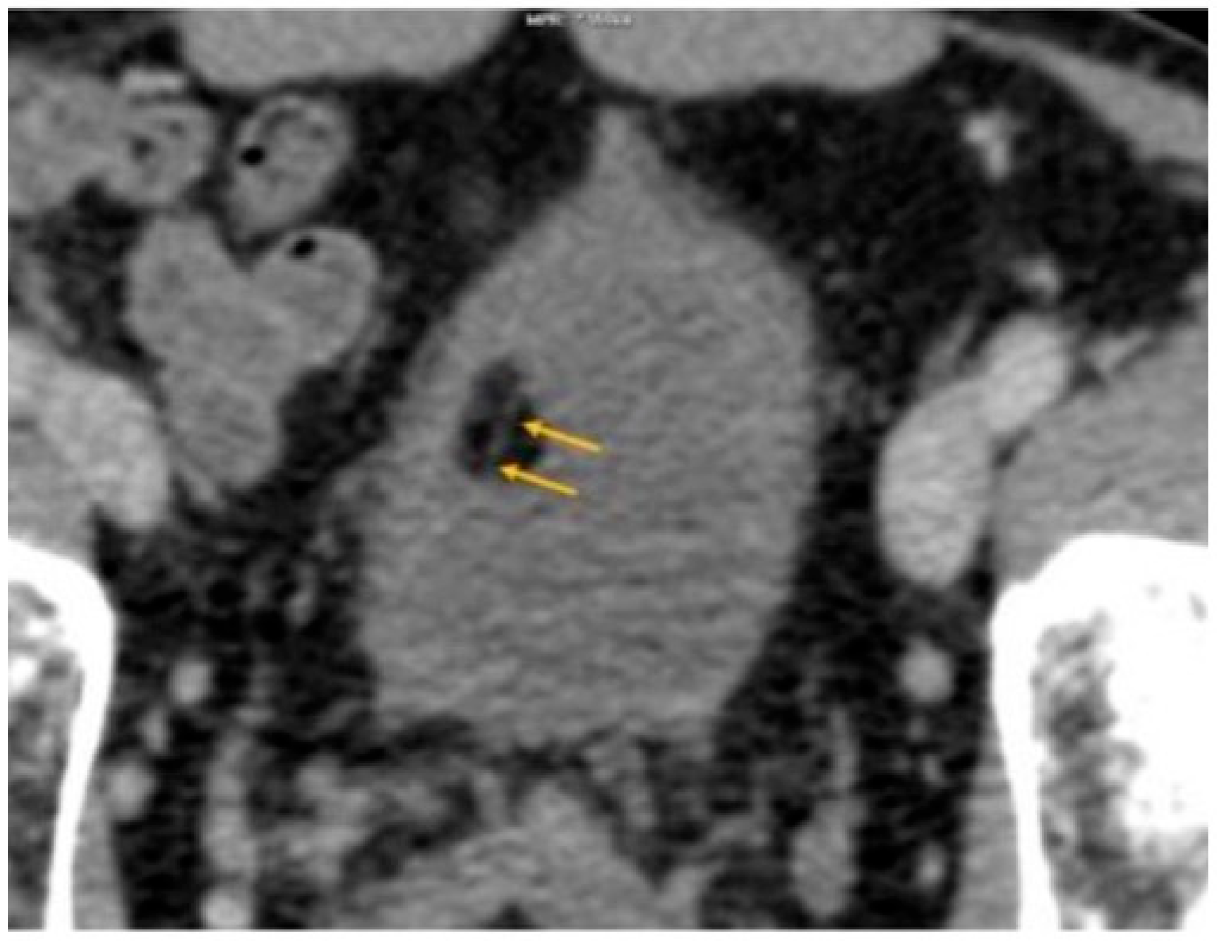
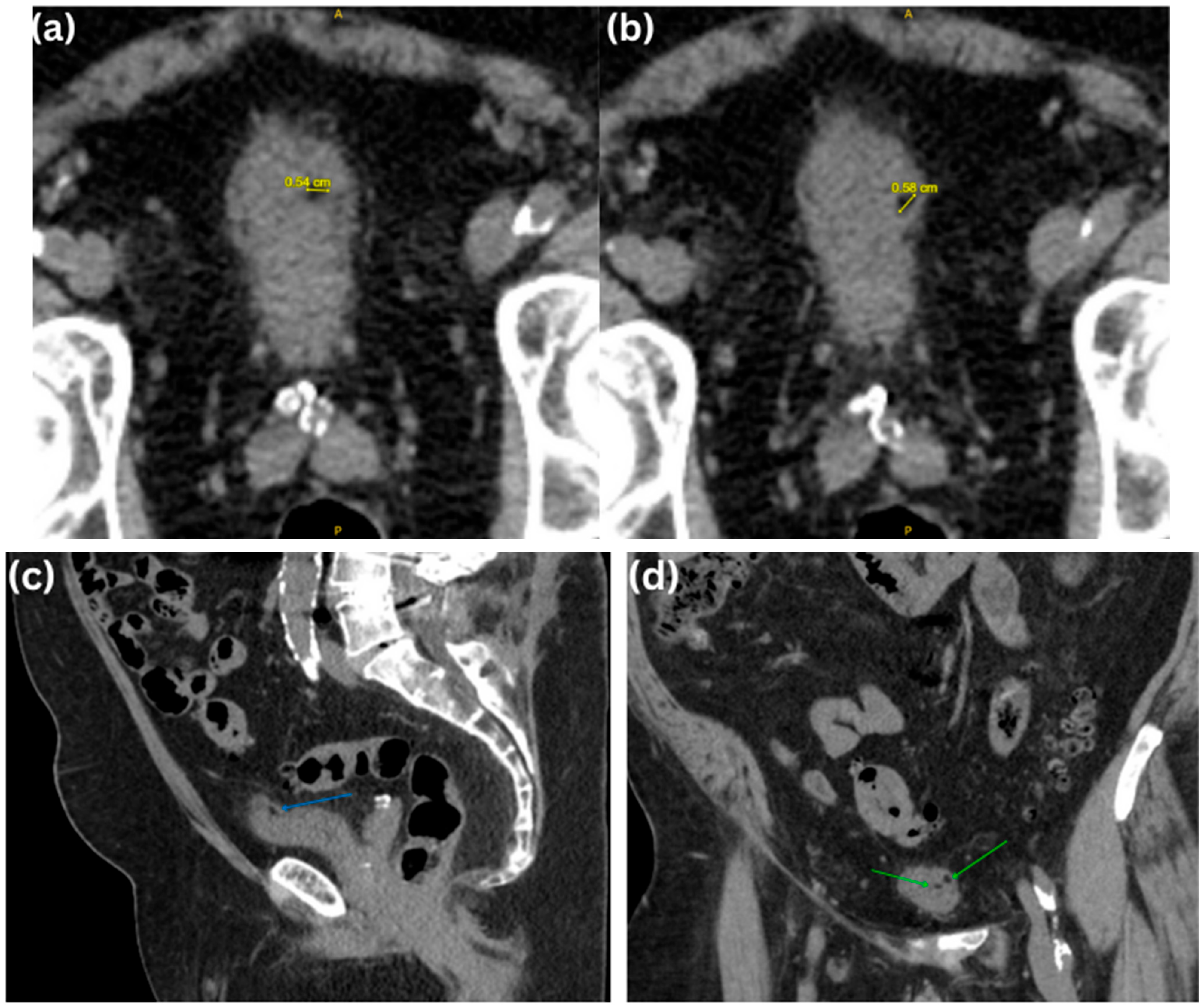
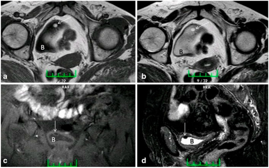
| CT | Homogenous, endophytic, hypodense lesion with smooth margins as viewed in the non-enhanced, venous, or excretory phase (Figure 2). Fat attenuation of the lesion ≤ −20 HU, which is diagnostic of lipoma (usually −50 to −150 HU). | -Erich K. Lang et al. reported that in an excretory phase CT generating 5 mm thick slices demonstrated 7 to 9 mm grape-like lesions, with attenuation coefficient ranging from −60 to –160 HU found in the trigone region [14]. -The presence of septations as reported by Paniagua et al. (Figure 5) raised suspicion of malignant liposarcoma, which would require surgical intervention [22]. |
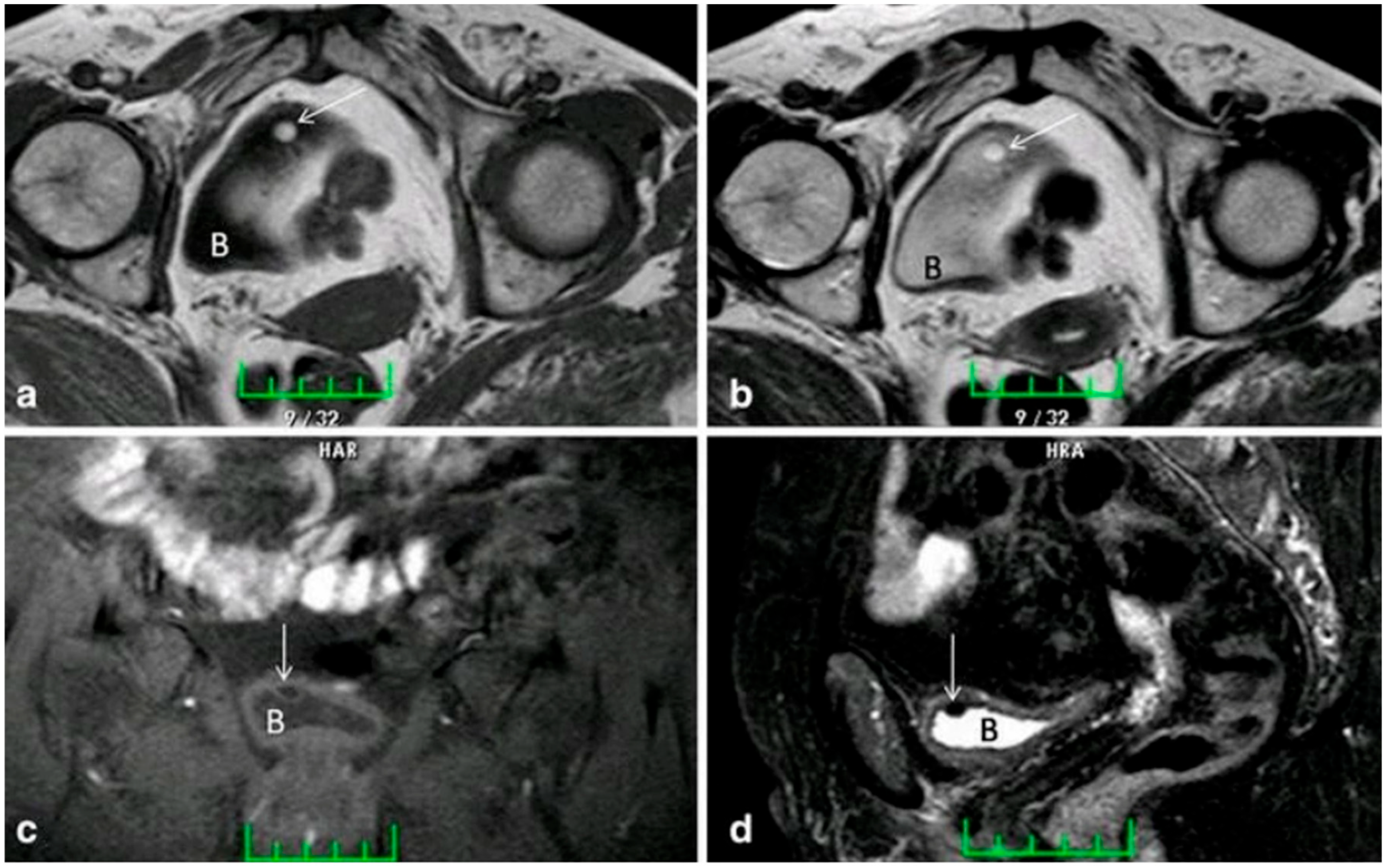
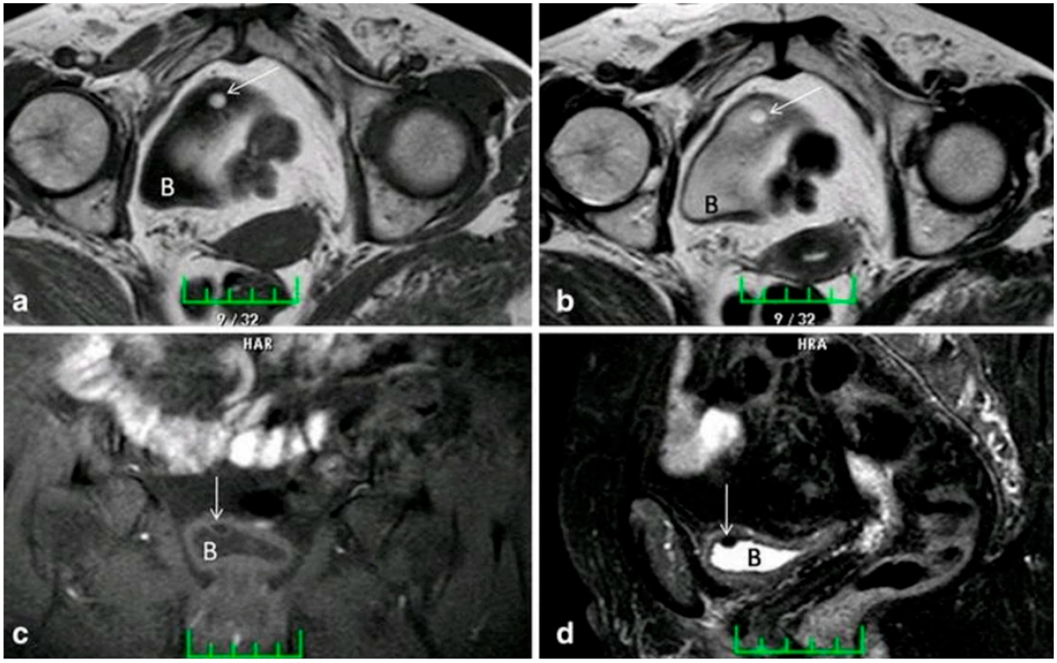
| MRI | Common Features: Homogenous, endophytic bladder nodule with smooth margins. | -Chung A.D et al. reported that the visibility of lipoma can be diminished by the hyperintense signal of the nearby urine. Noting the chemical shift artifact in the frequency encode direction may help in the diagnosis [16]. -Brown C et al. reported lipoma associated with UT, a relatively rarer presentation for lipoma; the patient had a cystoscopy followed by a pelvic MRI, which revealed the lesion [15]. -An interesting case reported by Ukita S et al. revealed a lipoma in the R retropelvic cavity arising from the bladder, measuring about 15 cm as seen on T1- and T2-weighted MRI. The positions of the broad ligament, uterine ligament, and iliac arteries helped determine the location of the lesion prior to surgical intervention [16]. |
| T1-Weighted Sequences: Hyperintense signal due to fat content (Figure 6a) [18]. | ||
| T2-Weighted Fast Spin Echo (FSE) Sequences: Hyperintense signal due to J coupling effect (Figure 6b) [18]. | ||
| Fat-Suppressed Imaging: Hypointense signal using techniques like chemical fat suppression, inversion recovery, and Dixon methods (Figure 6c,d) [18]. | ||
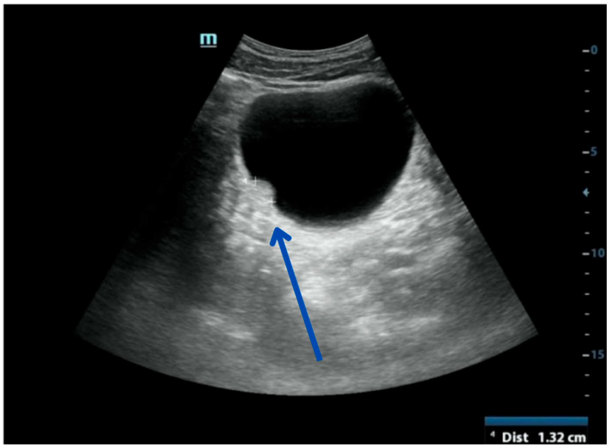
| US | Fatty composition showcasing homogenous, hyperechogenic lesion with endophytic growth.(Figure 7) | -Echogenicity could be very similar to the fat around the bladder, as observed by Paniagua et al., potentially mimicking an extravesical lesion pushing into the bladder (Figure 5) [22]. -In Ukita S et al.’s case of a retropelvic lipoma, TVUS revealed an echogenic mass in the right adnexal region, suggesting a mature ovarian cystic teratoma congaing fat. MRI and surgery were required for confirmation and treatment [16]. |
| Subtype | US | CT | MRI | |
|---|---|---|---|---|
| Benign Mesenchymal Tumors | Usually, an endophytic solid smooth nodule with varying echogenicity depending on the tumor type is seen. | |||
| Leiomyoma (most common) | Homogenous, hyperechoic, thin echogenic surface [30]. | Pedunculated, homogenous, soft tissue density mass, not distinguishable from other submucosal tumors [30,31]. | Homogenous, well-circumcised mass with hypointense signal on T1WI, T2WI, and DW MRI sequences. Variable contrast enhancement [32]. Presence of collagen and smooth muscle on MRI is diagnostic. | |
| Paragangliomas | Hypoechoic mass, doppler may reveal increased vascularity. (EUS have also been performed in a few cases) [33,34]. | Well-defined, heterogenous [33], enhancing mass, similar to other mesenchymal neoplasms. | T1WI shows mild hyperintensity, T2WI reveals intermediate to high-signal-intensity “lightbulb sign” [35]. Marked diffusion restriction, strong enhancement owing to high vascularity. | |
| Hemangioma | Hyperechoic or mixed echogenicity with a turbulent flow on doppler | Solid to cystic lesion, small-ring calcifications representing phleboliths can be seen. | Intermediate signal on T1WI, heterogenous signal with predominant hyperintensity on T2WI. | |
| Malignant Mesenchymal Tumors: Liposarcoma | Well-differentiated dedifferentiated, myxoid pleomorphic | Liposarcomas exhibit heterogenous, irregular-shaped appearance with variable echogenicity [36]. | Solid, heterogenous, mass with irregular borders, low-grade tumors initially can present as an endophytic nodule [37]. Lesion exabits partial fat with density ranging from −50 HU to −150 HU. | Contrast-enhanced MRI reveals scattered low and high intensity areas, as seen on T2WI. |
| Pelvic Lipomatosis [38] | Hyperechoic fatty presentation around the bladder. | Bladder described as “pear shape ”on CECT; sigmoid compression may be seen. Unlike lipomas, lipomatosis lacks capsule and might show an irregular spread. | Homogenous overgrowth of adipose tissue surrounding the pelvic viscera, Hyperintense on T1WI and T2WI, signal annulation on fat suppression. | |
Disclaimer/Publisher’s Note: The statements, opinions and data contained in all publications are solely those of the individual author(s) and contributor(s) and not of MDPI and/or the editor(s). MDPI and/or the editor(s) disclaim responsibility for any injury to people or property resulting from any ideas, methods, instructions or products referred to in the content. |
© 2025 by the authors. Licensee MDPI, Basel, Switzerland. This article is an open access article distributed under the terms and conditions of the Creative Commons Attribution (CC BY) license (https://creativecommons.org/licenses/by/4.0/).
Share and Cite
Patel, S.; Chahal, M.K.; Durham, S.; Elsamaloty, H.; Sindhwani, P. A Literature Review of Phantom Bladder Perforation: The Curious Case of Bladder Lipoma. Uro 2025, 5, 15. https://doi.org/10.3390/uro5030015
Patel S, Chahal MK, Durham S, Elsamaloty H, Sindhwani P. A Literature Review of Phantom Bladder Perforation: The Curious Case of Bladder Lipoma. Uro. 2025; 5(3):15. https://doi.org/10.3390/uro5030015
Chicago/Turabian StylePatel, Surina, Mehreet Kaur Chahal, Scott Durham, Haitham Elsamaloty, and Puneet Sindhwani. 2025. "A Literature Review of Phantom Bladder Perforation: The Curious Case of Bladder Lipoma" Uro 5, no. 3: 15. https://doi.org/10.3390/uro5030015
APA StylePatel, S., Chahal, M. K., Durham, S., Elsamaloty, H., & Sindhwani, P. (2025). A Literature Review of Phantom Bladder Perforation: The Curious Case of Bladder Lipoma. Uro, 5(3), 15. https://doi.org/10.3390/uro5030015

