Medication-Related Osteonecrosis of the Mandible Treated with Marginal Resection: A Case Report
Abstract
1. Introduction
2. Materials and Methods
2.1. Patient Information
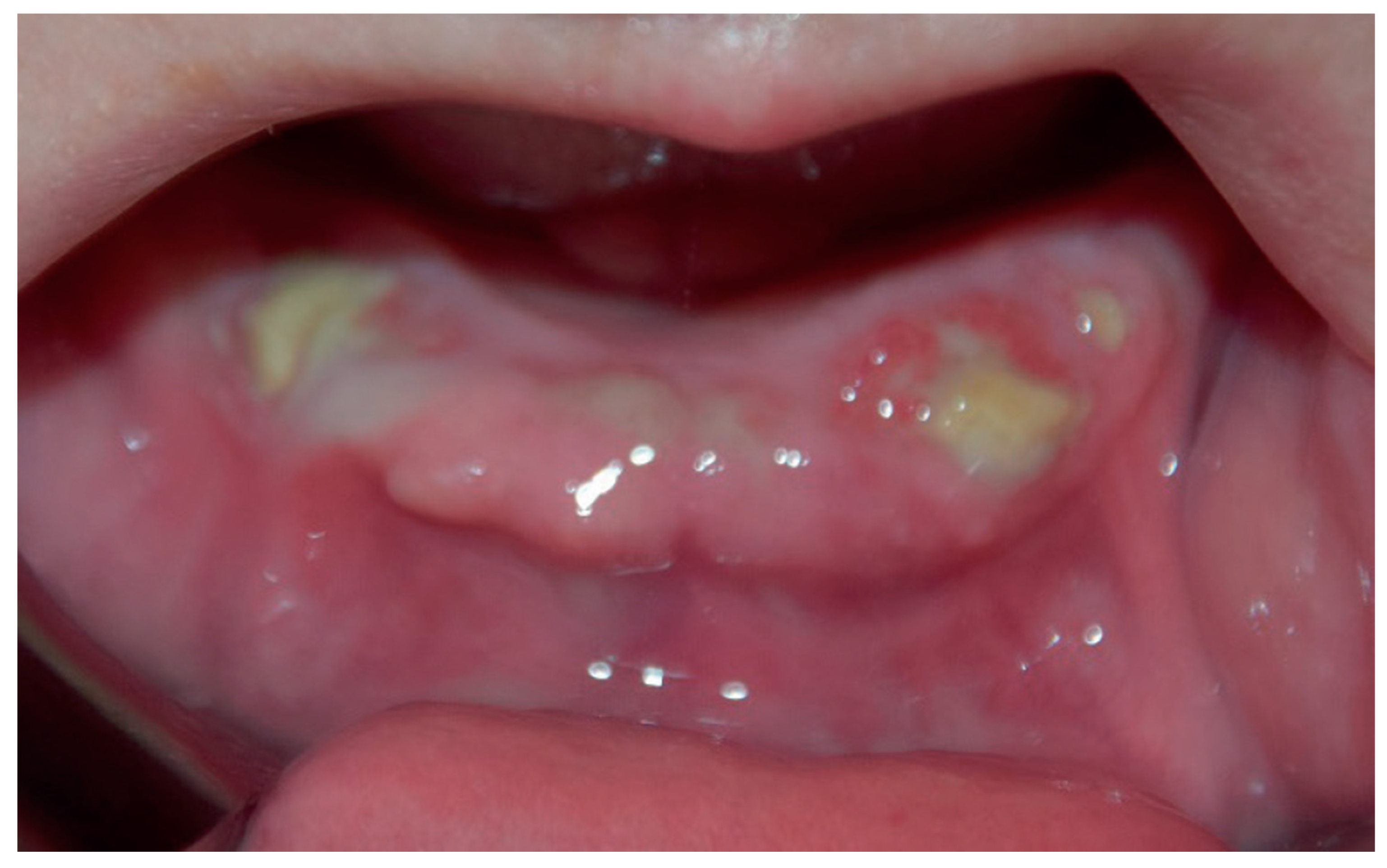
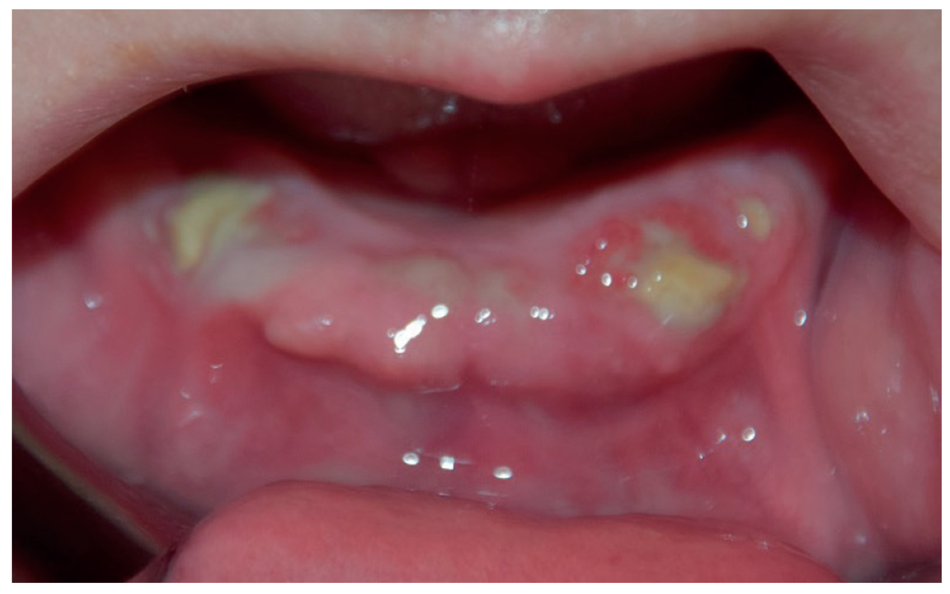
2.2. Clinical Findings
2.3. Timeline
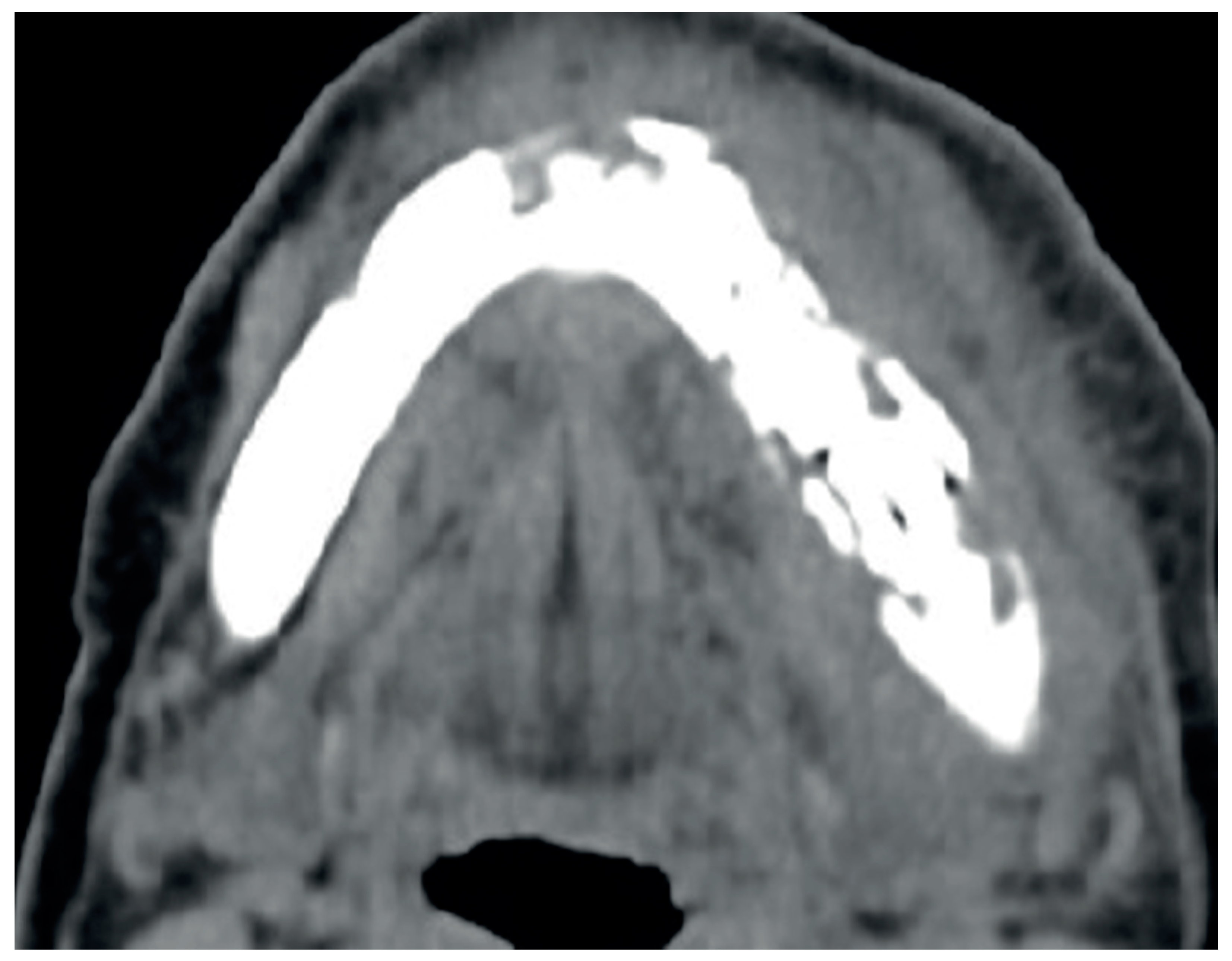
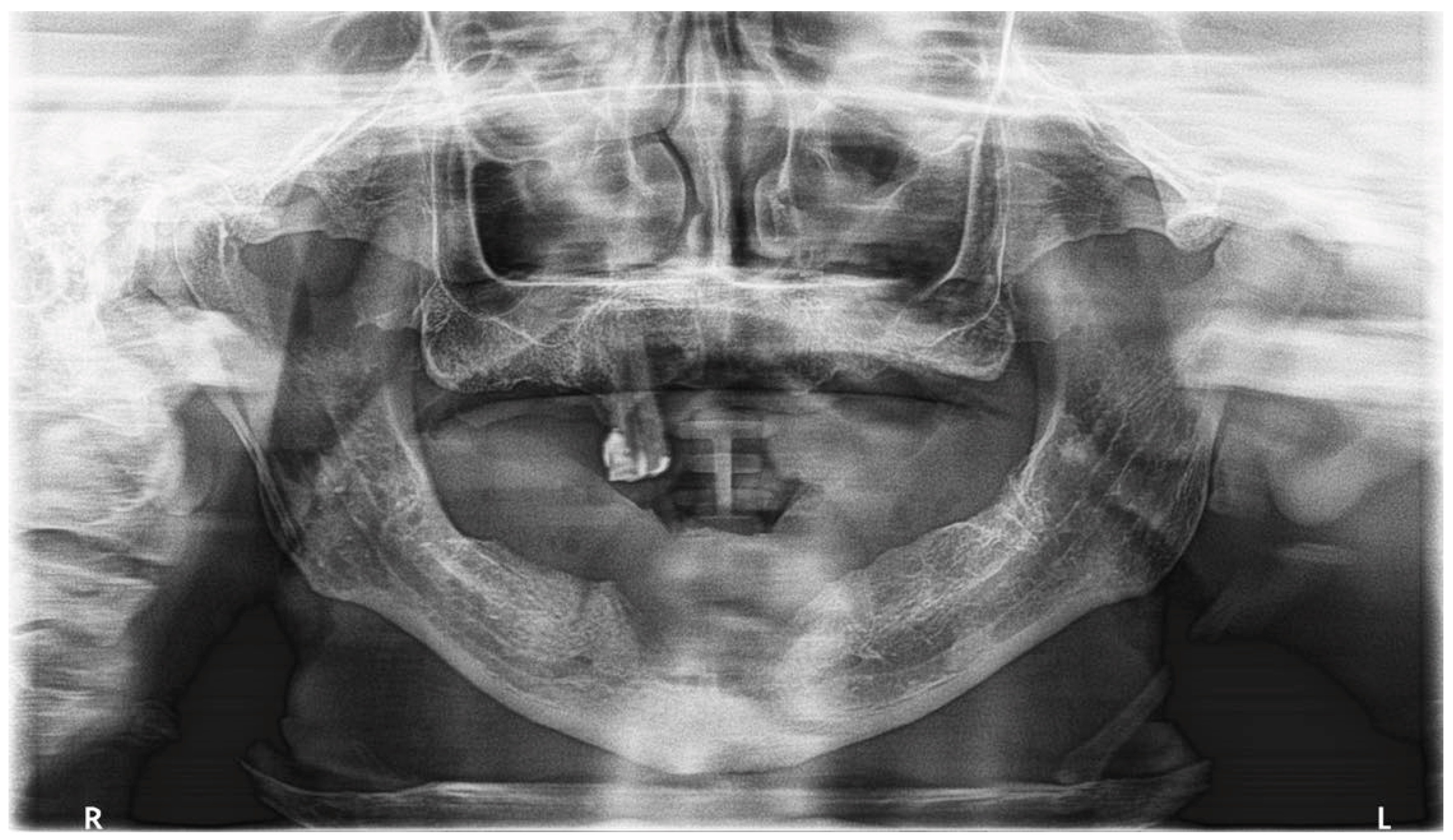
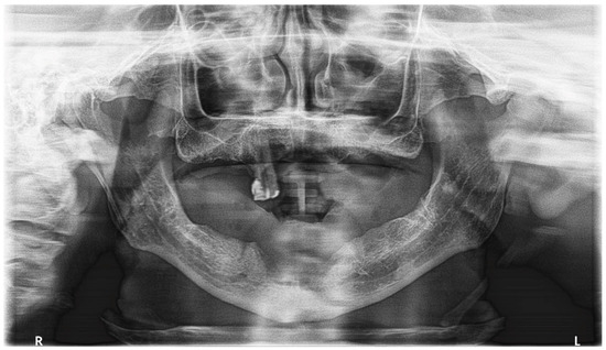
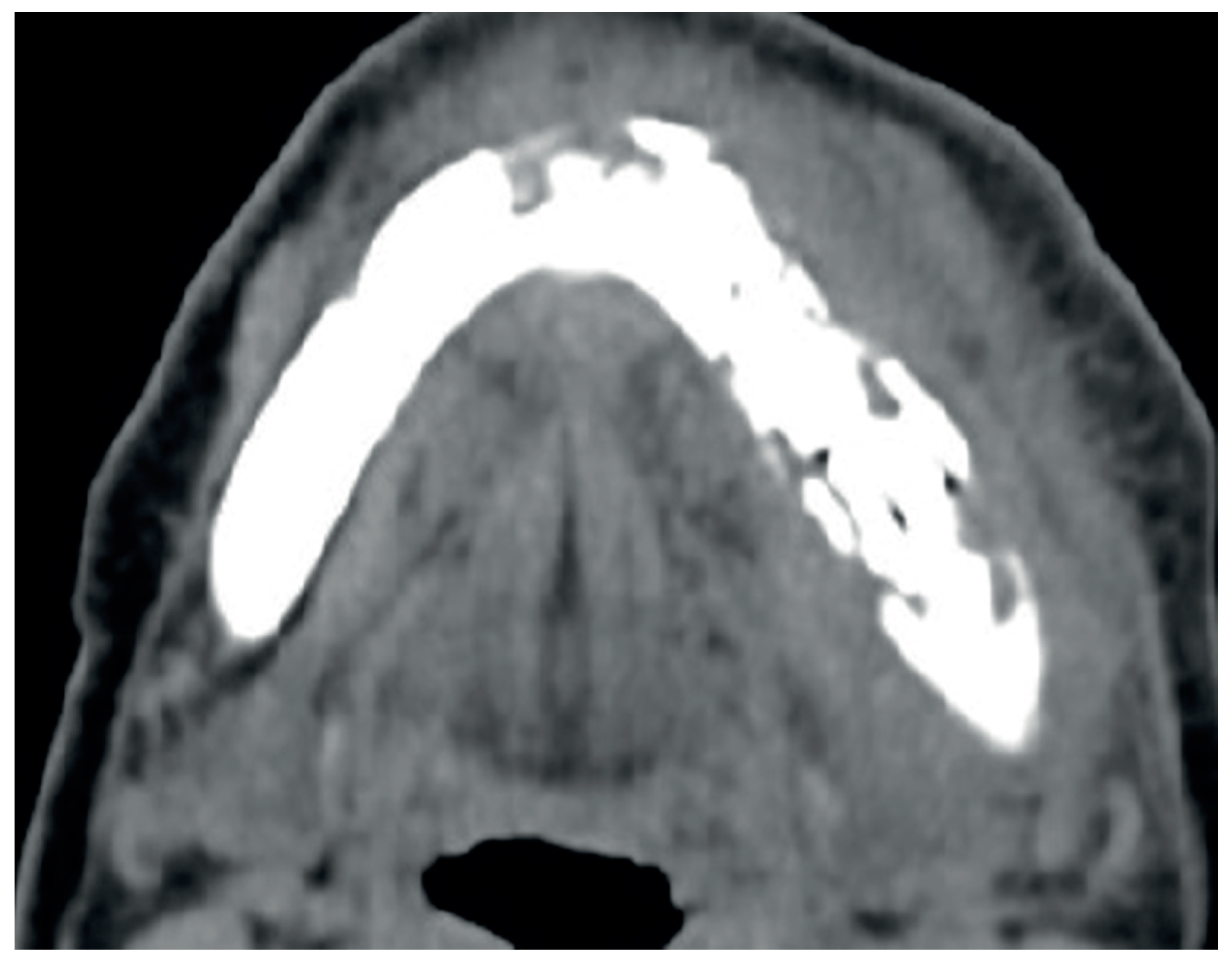
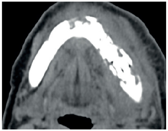
2.4. Diagnostic Assessment
2.5. Therapeutic Intervention
3. Results
4. Discussion
5. Conclusions
Author Contributions
Funding
Institutional Review Board Statement
Informed Consent Statement
Data Availability Statement
Conflicts of Interest
References
- Galis, B.; Zajko, J.; Hirjak, D.; Vanko, L.; Kupcova, I.; Jurkemik, J.; Gengelova, P.; Mikuskova, K.; Halmova, K.; Riznic, M.; et al. Is the prevalence of the medication-related osteonecrosis of the jaws underestimated, evaluation in oncological and non-oncological disease. Bratisl. Lek. Listy 2017, 118, 724–731. [Google Scholar] [CrossRef] [PubMed]
- Darling, H. Medication Related Osteonecrosis of Jaw: A Medical Oncologist’s Perspective. J. Dent. Maxillofac. Surg. 2018, 1, 10–17. [Google Scholar] [CrossRef][Green Version]
- Dunphy, L.; Salzano, G.; Gerber, B.; Graystone, J. Medication-related osteonecrosis (MRONJ) of the mandible and maxilla. BMJ Case Rep. 2020, 13, e224455. [Google Scholar] [CrossRef] [PubMed]
- Shibahara, T. Imaging modalities for drug-related osteonecrosis of the jaw (2), Overview of the position paper on medication-related osteonecrosis of the jaw and the current status of the MRONJ in Japan. Jpn. Dent. Sci. Rev. 2019, 55, 71–75. [Google Scholar] [CrossRef] [PubMed]
- Giudice, A.; Antonelli, A.; Chiarella, E.; Baudi, F.; Barni, T.; Di Vito, A. The Case of Medication-Related Osteonecrosis of the Jaw Addressed from a Pathogenic Point of View. Innovative Therapeutic Strategies: Focus on the Most Recent Discoveries on Oral Mesenchymal Stem Cell-Derived Exosomes. Pharmaceuticals 2020, 13, 423. [Google Scholar] [CrossRef]
- Wróbel, K.; Sikora, M.; Chęciński, M.; Jas, M.; Chlubek, D. Medication-Related Osteonecrosis of the Jaw—A Continuing Issue. Appl. Sci. 2021, 11, 7781. [Google Scholar] [CrossRef]
- Hallmer, F.; Andersson, G.; Götrick, B.; Warfvinge, G.; Anderud, J.; Bjørnland, T. Prevalence, initiating factor, and treatment outcome of medication-related osteonecrosis of the jaw-a 4-year prospective study. Oral. Surg. Oral. Med. Oral. Pathol. Oral. Radiol. 2018, 126, 477–485. [Google Scholar] [CrossRef]
- McGowan, K.; McGowan, T.; Ivanovski, S. Risk factors for medication-related osteonecrosis of the jaws: A systematic review. Oral. Dis. 2018, 24, 527–536. [Google Scholar] [CrossRef]
- He, L.; Sun, X.; Liu, Z.; Qiu, Y.; Niu, Y. Pathogenesis and multidisciplinary management of medication-related osteonecrosis of the jaw. Int. J. Oral. Sci. 2020, 12, 30. [Google Scholar] [CrossRef]
- Oryan, A.; Sahvieh, S. Effects of bisphosphonates on osteoporosis: Focus on zoledronate. Life Sci. 2021, 264, 118681. [Google Scholar] [CrossRef]
- Giudice, A.; Barone, S.; Diodati, F.; Antonelli, A.; Nocini, R.; Cristofaro, M.G. Can Surgical Management Improve Resolution of Medication-Related Osteonecrosis of the Jaw at Early Stages? A Prospective Cohort Study. J. Oral. Maxillofac. Surg. 2020, 78, 1986–1999. [Google Scholar] [CrossRef] [PubMed]
- Limones, A.; Sáez-Alcaide, L.M.; Díaz-Parreño, S.A.; Helm, A.; Bornstein, M.M.; Molinero-Mourelle, P. Medication-related osteonecrosis of the jaws (MRONJ) in cancer patients treated with denosumab vs. zoledronic acid: A systematic review and meta-analysis. Med. Oral. Patol. Oral. Cir. Bucal. 2020, 25, e326–e336. [Google Scholar] [CrossRef] [PubMed]
- Kuźnik, A.; Październiok-Holewa, A.; Jewula, P.; Kuźnik, N. Bisphosphonates-much more than only drugs for bone diseases. Eur. J. Pharmacol. 2020, 866, 172773. [Google Scholar] [CrossRef] [PubMed]
- Brufsky, A.; Mathew, A. Adjuvant bisphosphonate therapy in early-stage breast cancer—Treating the soil to kill the seed. Breast J. 2020, 26, 65–68. [Google Scholar] [CrossRef]
- Radziszewski, P.; Włodarczyk, M.; Yafimtsau, I. Treatment of an oronasal fistula in a patient on bisphosphonate therapy: A case study. Dent. Med. Probl. 2020, 57, 117–123. [Google Scholar] [CrossRef]
- Pautke, C.; Wick, A.; Otto, S.; Hohlweg-Majert, B.; Hoffmann, J.; Ristow, O. The Type of Antiresorptive Treatment Influences the Time to Onset and the Surgical Outcome of Medication-Related Osteonecrosis of the Jaw. J. Oral. Maxillofac. Surg. 2021, 79, 611–621. [Google Scholar] [CrossRef]
- Eguia, A.; Bagán-Debón, L.; Cardona, F. Review and update on drugs related to the development of osteonecrosis of the jaw. Med. Oral. Patol. Oral. Cir. Bucal. 2020, 25, e71–e83. [Google Scholar] [CrossRef]
- AlDhalaan, N.A.; BaQais, A.; Al-Omar, A. Medication-related Osteonecrosis of the Jaw: A Review. Cureus 2020, 12, e6944. [Google Scholar] [CrossRef]
- Ueda, N.; Aoki, K.; Shimotsuji, H.; Nakashima, C.; Kawakami, M.; Imai, Y.; Kirita, T. Oral risk factors associated with medication-related osteonecrosis of the jaw in patients with cancer. J. Bone Min. Metab. 2021, 39, 623–630. [Google Scholar] [CrossRef]
- Marcianò, A.; Guzzo, G.M.; Peditto, M.; Picone, A.; Oteri, G. Medication-Related Osteonecrosis of the Jaws and CDK4/6 Inhibitors: A Recent Association. Int. J. Env. Res. Public Health 2020, 17, 9509. [Google Scholar] [CrossRef]
- Ruggiero, S.L.; Dodson, T.B.; Fantasia, J.; Goodday, R.; Aghaloo, T.; Mehrotra, B.; O’Ryan, F.; American Association of Oral and Maxillofacial Surgeons. American Association of Oral and Maxillofacial Surgeons position paper on medication-related osteonecrosis of the jaw—2014 update. J. Oral. Maxillofac. Surg. 2014, 72, 1938–1956, Erratum in J. Oral. Maxillofac. Surg. 2015, 73, 1440; Erratum in J. Oral. Maxillofac. Surg. 2015, 73, 1879. [Google Scholar] [CrossRef] [PubMed]
- Marcianò, A.; Rubino, E.; Peditto, M.; Mauceri, R.; Oteri, G. Oral Surgical Management of Bone and Soft Tissues in MRONJ Treatment: A Decisional Tree. Life 2020, 10, 99. [Google Scholar] [CrossRef] [PubMed]
- Riley, D.S.; Barber, M.S.; Kienle, G.S.; Aronson, J.K.; von Schoen-Angerer, T.; Tugwell, P.; Kiene, H.; Helfand, M.; Altman, D.G.; Sox, H.; et al. CARE guidelines for case reports: Explanation and elaboration document. J. Clin. Epidemiol. 2017, 89, 218–235. [Google Scholar] [CrossRef]
- ASA Physical Status Classification System. Asahq.org. 2021. Available online: https://www.asahq.org/standards-and-guidelines/asa-physical-status-classification-system (accessed on 8 May 2022).
- Ali, I.E.; Sumita, Y. Medication-related osteonecrosis of the jaw: Prosthodontic considerations. Jpn. Dent. Sci. Rev. 2022, 58, 9–12. [Google Scholar] [CrossRef] [PubMed]
- Chęcińska, K.; Chęciński, M.; Sikora, M.; Nowak, Z.; Karwan, S.; Chlubek, D. The Effect of Zirconium Dioxide (ZrO2) Nanoparticles Addition on the Mechanical Parameters of Polymethyl Methacrylate (PMMA): A Systematic Review and Meta-Analysis of Experimental Studies. Polymers 2022, 14, 1047. [Google Scholar] [CrossRef] [PubMed]
- Garcia, A.A.M.N.; Sugio, C.Y.C.; de Azevedo-Silva, L.J.; Gomes, A.C.G.; Batista, A.U.D.; Porto, V.C.; Soares, S.; Neppelenbroek, K.H. Nanoparticle-modified PMMA to prevent denture stomatitis: A systematic review. Arch. Microbiol. 2021, 204, 75. [Google Scholar] [CrossRef] [PubMed]
- Medication-Related Osteonecrosis of the Jaw: Guidance for the Oncology Multidisciplinary Team. RCP London. 2019. Available online: https://www.rcplondon.ac.uk/guidelines-policy/medication-related-osteonecrosis-jaw-guidance-oncology-multidisciplinary-team (accessed on 8 May 2022).
- Yoneda, T.; Hagino, H.; Sugimoto, T.; Ohta, H.; Takahashi, S.; Soen, S.; Taguchi, A.; Nagata, T.; Urade, M.; Shibahara, T.; et al. Antiresorptive agent-related osteonecrosis of the jaw: Position Paper 2017 of the Japanese Allied Committee on Osteonecrosis of the Jaw. J. Bone Min. Metab. 2017, 35, 6–19, Erratum in J. Bone Miner. Metab. 2017, 35, 20. [Google Scholar] [CrossRef]
- Pardo-Zamora, G.; Martínez, Y.; Moreno, J.A.; Ortiz-Ruíz, A.J. Treatment of Stage 2 Medication-Induced Osteonecrosis of the Jaw: A Case Series. Int. J. Env. Res. Public Health 2021, 18, 1018. [Google Scholar] [CrossRef]
- Heifetz-Li, J.J.; Abdelsamie, S.; Campbell, C.B.; Roth, S.; Fielding, A.F.; Mulligan, J.P. Systematic review of the use of pentoxifylline and tocopherol for the treatment of medication-related osteonecrosis of the jaw. Oral. Surg. Oral. Med. Oral. Pathol. Oral. Radiol. 2019, 128, 491–497.e2. [Google Scholar] [CrossRef]
- Kaczmarzyk, T.; Babiuch, K.; Bołtacz-Rzepkowska, E.; Dominiak, M.; Konopka, T.; Lipski, M.; Olczak-Kowalczyk, D.; Szeląg, A.; Szuta, M.; Hryniewicz, W. Polish Dental Association and National Programme To Protect Antibiotics Working Group recommendations for administration of antibiotics in dentistry. J. Stomatol. 2018, 71, 457–465. [Google Scholar] [CrossRef]
- Mamilos, A.; Spörl, S.; Spanier, G.; Ettl, T.; Brochhausen, C.; Klingelhöffer, C. The first quantitative histomorphological analyses of bone vitality and inflammation in surgical specimens of patients with medication-related osteonecrosis of the jaw. J. Oral. Pathol. Med. 2021, 50, 76–84. [Google Scholar] [CrossRef] [PubMed]
- Varoni, E.M.; Lombardi, N.; Villa, G.; Pispero, A.; Sardella, A.; Lodi, G. Conservative Management of Medication-Related Osteonecrosis of the Jaws (MRONJ): A Retrospective Cohort Study. Antibiotics 2021, 10, 195. [Google Scholar] [CrossRef] [PubMed]
- Miyashita, H.; Kameyama, K.; Morita, M.; Nakagawa, T.; Nakahara, T. Three-dimensional radiologic-pathologic correlation of medication-related osteonecrosis of the jaw using 3D bone SPECT/CT imaging. Dentomaxillofac. Radiol. 2019, 48, 20190208. [Google Scholar] [CrossRef] [PubMed]
- Wongratwanich, P.; Shimabukuro, K.; Konishi, M.; Nagasaki, T.; Ohtsuka, M.; Suei, Y.; Nakamoto, T.; Verdonschot, R.G.; Kanesaki, T.; Sutthiprapaporn, P.; et al. Do various imaging modalities provide potential early detection and diagnosis of medication-related osteonecrosis of the jaw? A review. Dentomaxillofac. Radiol. 2021, 50, 20200417. [Google Scholar] [CrossRef]
- Wilkat, M.; Singh, D.D.; Lutz, I.; Möllmann, H.; Gellrich, N.C.; Rana, M. Use and Evaluation of a Computer-Assisted Examination Method for the Diagnosis and Analysis of Medication-Related Osteonecrosis of the Jaw. Craniomaxillofac. Trauma Reconstr. 2021, 14, 36–42. [Google Scholar] [CrossRef]
- Tomo, S.; da Cruz, T.M.; Figueira, J.A.; Cunha, J.L.S.; Miyahara, G.I.; Simonato, L.E. Fluorescence-guided surgical management of medication-related osteonecrosis of the jaws. Photodiagnosis. Photodyn. Ther. 2020, 32, 102003. [Google Scholar] [CrossRef]
- Otto, S.; Schnödt, E.M.; Haidari, S.; Brunner, T.F.; Aljohani, S.; Mosleh, M.; Ristow, O.; Troeltzsch, M.; Pautke, C.; Ehrenfeld, M.; et al. Autofluorescence-guided surgery for the treatment of medication-related osteonecrosis of the jaw (MRONJ): A retrospective single-center study. Oral. Surg. Oral. Med. Oral. Pathol. Oral. Radiol. 2020, 131, 519–526. [Google Scholar] [CrossRef]
- Marschall, J.S.; Kushner, G.M.; Flint, R.L.; Jones, L.C.; Alpert, B. Immediate Reconstruction of Segmental Mandibular Defects with Nonvascular Bone Grafts: A 30-Year Perspective. J. Oral. Maxillofac. Surg. 2020, 78, 2099.e1–2099.e9. [Google Scholar] [CrossRef]
- Kaoutzanis, C.; Yu, J.W.; Lee, Z.H.; Davary, A.; Fleisher, K.E.; Levine, J.P. Mandibular Reconstruction with Free Fibula Flap for Medication-related Osteonecrosis of the Jaw in Patients with Multiple Myeloma. Plast. Reconstr. Surg. Glob. Open 2020, 8, e3186, Erratum in Plast Reconstr. Surg. Glob. Open 2021, 9, e3410. [Google Scholar] [CrossRef]
- Zelinka, J.; Blahak, J.; Perina, V.; Pacasova, R.; Treglerova, J.; Bulik, O. The use of platelet-rich fibrin in the surgical treatment of medication-related osteonecrosis of the jaw: 40 patients prospective study. Biomed. Pap. Med. Fac. Univ. Palacky Olomouc Czech. Repub. 2021, 165, 322–327. [Google Scholar] [CrossRef]
- Marcianò, A.; Peditto, M.; Cicciù, M.; Rubino, E.; Oteri, G. Role of Local Flaps to Achieve Primary Wound Closure in Medication-Related Osteonecrosis of the Jaws Osseous-Resective Surgery. J. Craniofac. Surg. 2020, 31, e347–e352. [Google Scholar] [CrossRef] [PubMed]
- Tenore, G.; Zimbalatti, A.; Rocchetti, F.; Graniero, F.; Gaglioti, D.; Mohsen, A.; Caputo, M.; Lollobrigida, M.; Lamazza, L.; De Biase, A.; et al. Management of Medication-Related Osteonecrosis of the Jaw (MRONJ) Using Leukocyte- and Platelet-Rich Fibrin (L-PRF) and Photobiomodulation: A Retrospective Study. J. Clin. Med. 2020, 9, 3505. [Google Scholar] [CrossRef] [PubMed]





| February 2018 | Termination of Docetaxel Administration | 
| ↓ | |
| March 2018–August 2018 | Administration of zoledronate | 
| ↓ | |
| October 2018 | Tooth extraction | 
| ↓ | |
| February 2019–March 2019 | MRONJ diagnostic and treatment | 
| ↓ | |
| March 2019 | The beginning of prosthetic rehabilitation | 
| Publisher’s Note: MDPI stays neutral with regard to jurisdictional claims in published maps and institutional affiliations. | 
© 2022 by the authors. Licensee MDPI, Basel, Switzerland. This article is an open access article distributed under the terms and conditions of the Creative Commons Attribution (CC BY) license (https://creativecommons.org/licenses/by/4.0/).
Share and Cite
Chęciński, M.; Wróbel, K.; Sikora, M. Medication-Related Osteonecrosis of the Mandible Treated with Marginal Resection: A Case Report. Surgeries 2022, 3, 142-152. https://doi.org/10.3390/surgeries3020016
Chęciński M, Wróbel K, Sikora M. Medication-Related Osteonecrosis of the Mandible Treated with Marginal Resection: A Case Report. Surgeries. 2022; 3(2):142-152. https://doi.org/10.3390/surgeries3020016
Chicago/Turabian StyleChęciński, Maciej, Krzysztof Wróbel, and Maciej Sikora. 2022. "Medication-Related Osteonecrosis of the Mandible Treated with Marginal Resection: A Case Report" Surgeries 3, no. 2: 142-152. https://doi.org/10.3390/surgeries3020016
APA StyleChęciński, M., Wróbel, K., & Sikora, M. (2022). Medication-Related Osteonecrosis of the Mandible Treated with Marginal Resection: A Case Report. Surgeries, 3(2), 142-152. https://doi.org/10.3390/surgeries3020016
 
         
                                                



 
       