Case Report of Concomitant Presentation of Ovarian Torsion and Acute Appendicitis in a Patient Post-Hysterectomy
Abstract
1. Introduction
2. Results
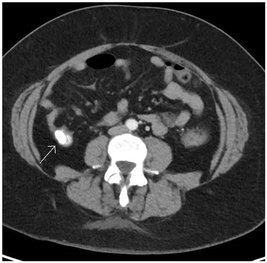
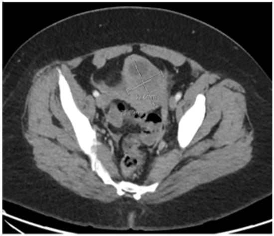
Case Summary
3. Discussion
Author Contributions
Funding
Institutional Review Board Statement
Informed Consent Statement
Data Availability Statement
Acknowledgments
Conflicts of Interest
References
- Hibbard, L.T. Adnexal torsion. Am. J. Obstet. Gynecol. 1985, 152, 456–461. [Google Scholar] [CrossRef] [PubMed]
- Addiss, D.G.; Shaffer, N.; Fowler, B.S.; Tauxe, R.V. The epidemiology of appendicitis and appendectomy in the United States. Am. J. Epidemiol. 1990, 132, 910–925. [Google Scholar] [CrossRef]
- Hatipoglu, S.; Hatipoglu, F.; Abdullayev, R. Acute right lower abdominal pain in women of reproductive age: Clinical clues. World J. Gastroenterol. 2014, 20, 4043–4049. [Google Scholar] [CrossRef] [PubMed]
- Nikolaev, V.I. Phlegmonous appendicitis in association with a twisted left parovarian cyst and rupture of the left ovary. Vestn. Khirurgii Im. II Grek. 1971, 106, 141. [Google Scholar]
- Maree, G.; Hemi, F.; Ghuzlan, A.; Kassab, H.; Issa, R.; Omran, A. Synchronous ovarian epidermoid cyst torsion with appendicitis in a 2.5-year-old girl: Case report. Int. J. Surg. Case Rep. 2022, 100, 107731. [Google Scholar] [CrossRef] [PubMed]
- Markova, D.; Milchev, N.; Gurova, A.; Batashki, I. Adnexal torsion and concominant appendicitis during third trimester of pregnancy—A case report. Akush. Ginekol. (Sofiia) 2009, 48, 59–61. [Google Scholar] [PubMed]
- Frykberg, E.R. Acute appendicitis and right adnexal torsion occurring simultaneously in pregnancy. J. Fla. Med. Assoc. 1988, 75, 805–806. [Google Scholar] [PubMed]
- Hoey, B.A.; Stawicki, S.P.; Hoff, W.S.; Veeramasuneni, R.K.; Kovich, H.; Grossman, M.D. Ovarian torsion associated with appendicitis in a 5-year-old girl: A case report and review of the literature. J. Pediatr. Surg. 2005, 40, e17–e20. [Google Scholar] [CrossRef] [PubMed]
- Kokoszka, J.; Budzyńska-Dobek, W. Przypadek ciazy powikłanej skretem torbieli jajnikowej i zgorzelinowym zapaleniem wyrostka robaczkowego [Pregnancy complicated by torsion of an ovarian cyst and gangrenous appendicitis]. Pol. Tyg. Lek. 1973, 28, 2023–2024. [Google Scholar] [PubMed]
- Gavrilenko, B.G.; Chernyshenko, G.A.; Chernega, V.I. Destruktivnyĭ appenditsit v sochetanii s perekrutom kisty levogo iaichnika [Destructive appendicitis in combination with torsion of a left ovarian cyst]. Klin. Khirurgiia 1986, 65–66. [Google Scholar]
- Gataullin, H.G. On torsion of the ovary and fallopian tube in combination with acute appendicitis in a 10-year-old girl. Vopr. Okhrany Materin. Det. 1961, 6, 80–82. [Google Scholar] [PubMed]
- Pidoprigora, A.P.; Kukliuk, V.I. Vypadok poiednannia perekruchennia nozhky kisty iaiechnyka i hostroho flehmonoznoho apendytsytu [Case of a combination of torsion of the crus of an ovarian cyst and acute phlegmonous apendicitis]. Pediatr. Akusherstvo Ginekol. 1975, 60. [Google Scholar]
- Krupińska, E.; Klimanek-Sygnet, M.; Chilarski, A. Rzadkie współistnienie ropnego zapalenia wyrostka robaczkowego i skreconego guza lewego jajnika [Rare coexistence of phlegmonous appendicitis and tumor of a twisted left ovary]. Ginekologia Polska 2003, 74, 307–311. [Google Scholar] [PubMed]
- Youssef, E.F.; Bouzroud, M.; Najih, M.; Kaoui, H.E.; Bouchentouf, S.M.; Bounaim, A. Acute Appendicitis Concomitant with Ovarian Torsion: A Case Report and Review of the Literature. East Afr. Sch. J. Med. Surg. 2022, 4, 81–83. [Google Scholar] [CrossRef]
- Guile, S.L.; Mathai, J.K. Ovarian Torsion. In StatPearls [Internet]; StatPearls Publishing: Treasure Island, FL, USA, 2023. Available online: https://www.ncbi.nlm.nih.gov/books/NBK560675/ (accessed on 30 July 2024).
- Asfour, V.; Varma, R.; Menon, P. Clinical risk factors for ovarian torsion. J. Obstet. Gynaecol. J. Inst. Obstet. Gynaecol. 2015, 35, 721–725. [Google Scholar] [CrossRef]
- Mashiach, R.; Canis, M.; Jardon, K.; Mage, G.; Pouly, J.L.; Wattiez, A. Adnexal torsion after laparoscopic hysterectomy: Description of seven cases. J. Am. Assoc. Gynecol. Laparosc. 2004, 11, 336–339. [Google Scholar] [CrossRef]
- Almassinokiani, F.; Ghoraian, M.; Akbari, H.; Almasi, A.; Pazooki, A.; Shahmoradi, M.; Saberifard, M. Acute Appendicitis Following Laparoscopic Hysterectomy. J. Minim. Invasive Surg. Sci. 2012, 1, 74–76. [Google Scholar] [CrossRef]
- Varkey, B. Principles of Clinical Ethics and Their Application to Practice. Med. Princ. Pract. 2021, 30, 17–28. [Google Scholar] [CrossRef] [PubMed]
- Bernat, J.L.; Peterson, L.M. Patient-Centered Informed Consent in Surgical Practice. Arch. Surg. 2006, 141, 86–92. [Google Scholar] [CrossRef] [PubMed]
- Hariri, E.; Al Hammoud, M.; Donovan, E.; Shah, K.; Kittleson, M.M. The Role of Informed Consent in Clinical and Research Settings. Med. Clin. N. Am. 2022, 106, 663–674. [Google Scholar] [CrossRef] [PubMed]



Disclaimer/Publisher’s Note: The statements, opinions and data contained in all publications are solely those of the individual author(s) and contributor(s) and not of MDPI and/or the editor(s). MDPI and/or the editor(s) disclaim responsibility for any injury to people or property resulting from any ideas, methods, instructions or products referred to in the content. |
© 2025 by the authors. Licensee MDPI, Basel, Switzerland. This article is an open access article distributed under the terms and conditions of the Creative Commons Attribution (CC BY) license (https://creativecommons.org/licenses/by/4.0/).
Share and Cite
Schmitt, E.; Glasford, K.; Carson, S.; Rosemeyer, C. Case Report of Concomitant Presentation of Ovarian Torsion and Acute Appendicitis in a Patient Post-Hysterectomy. Reprod. Med. 2025, 6, 3. https://doi.org/10.3390/reprodmed6010003
Schmitt E, Glasford K, Carson S, Rosemeyer C. Case Report of Concomitant Presentation of Ovarian Torsion and Acute Appendicitis in a Patient Post-Hysterectomy. Reproductive Medicine. 2025; 6(1):3. https://doi.org/10.3390/reprodmed6010003
Chicago/Turabian StyleSchmitt, Eric, Krystal Glasford, Samantha Carson, and Christopher Rosemeyer. 2025. "Case Report of Concomitant Presentation of Ovarian Torsion and Acute Appendicitis in a Patient Post-Hysterectomy" Reproductive Medicine 6, no. 1: 3. https://doi.org/10.3390/reprodmed6010003
APA StyleSchmitt, E., Glasford, K., Carson, S., & Rosemeyer, C. (2025). Case Report of Concomitant Presentation of Ovarian Torsion and Acute Appendicitis in a Patient Post-Hysterectomy. Reproductive Medicine, 6(1), 3. https://doi.org/10.3390/reprodmed6010003

