Nasal-Type Natural Killer/T-Cell Extranodal Lymphoma
Abstract
1. Introduction
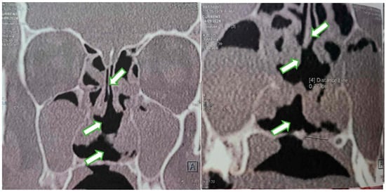
2. Case Report
3. Discussion
4. Conclusions
Funding
Institutional Review Board Statement
Informed Consent Statement
Data Availability Statement
Acknowledgments
Conflicts of Interest
Abbreviations
| Auto-HCT | Autologous hematopoietic stem cell transplantation |
| Allo-HCT | Allogeneic hematopoietic stem cell transplantation |
| CRP | C-reactive protein |
| DNA | Deoxyribonucleic Acid |
| EBV | Epstein–Barr virus |
| ENKTL | Nasal-type extranodal NK/T-cell lymphoma |
| ENT | Ear, Nose, and Throat |
| 18F-FDG PET-CT | 18F-fluorodeoxyglucose positron emission tomography–computed tomography |
| HBV | Hepatitis B virus |
| HCV | Hepatitis C virus |
| HIV | Human immunodeficiency virus |
| MRI | Magnetic resonance imaging |
| NHL | Non-Hodgkin malignant lymphoma |
| PCR | Polymerase Chain Reaction |
| T/NK | T-lymphocyte/natural killer |
| WHO | World Health Organization |
References
- Zhu, L.; Liu, H.; Fu, Z.; Yin, J. Lymphoma on the Nasal Dorsum: Report of a Rare Case. Indian J. Dermatol. 2020, 65, 145–147. [Google Scholar] [CrossRef] [PubMed]
- Kennedy, K.; Tremblay, C.; Zhang, E.; Tsang, G.; Kiwan, R. Non-Hodgkins lymphoma of the nasal cavity: A case report. Radiol. Case Rep. 2023, 18, 4091–4093. [Google Scholar] [CrossRef]
- Quraishi, M.S.; Bessell, E.M.; Clark, D.; Jones, N.S.; Bradley, P.J. Non-Hodgkin’s lymphoma of the sinonasal tract. Laryngoscope 2000, 110, 1489–1492. [Google Scholar] [CrossRef] [PubMed]
- Ahmut, H.; Benmessaoud, H.; Bouhia, H.; Elmajjaoui, S.; El Kacemi, H. Extranodal Nk/T-Cell Lymphoma, Nasal Type: Clinical Cases Presentation And Review Of Literature. J. Clin. Rev. Case Rep. 2023, 2, 43–48. [Google Scholar]
- Daines, B.S.; Varman, R.M.; Nguyen, T.Q. Extranodal natural killer/T-cell lymphoma nasal type. Proc. Bayl. Univ. Med. Cent. 2022, 35, 672–674. [Google Scholar] [CrossRef]
- Barnes, L.; Eveson, J.W.; Reichart, P.; Sidransky, D.; Baker, S.R. Pathology and Genetics of Head and Neck Tumours, 3rd ed.; WHO Classification of Tumours; IARC Press: Lyon, France, 2005. [Google Scholar]
- Cai, Q.; Cai, J.; Fang, Y.; Young, K.H. Epstein-Barr Virus-Positive Natural Killer/T-Cell Lymphoma. Front. Oncol. 2019, 9, 386. [Google Scholar] [CrossRef]
- Hue, S.S.-S.; Oon, M.L.; Wang, S.; Tan, S.-Y.; Ng, S.-B. Epstein-Barr virus-associated T-and NK-cell lymphoproliferative diseases: An update and diagnostic approach. Pathology 2020, 52, 111–127. [Google Scholar] [CrossRef] [PubMed]
- Haverkos, B.M.; Pan, Z.; Gru, A.A.; Freud, A.G. Extranodal NK/T Cell Lymphoma, Nasal Type (ENKTL-NT): An Update on Epidemiology, Clinical Presentation, and Natural History in North American and European Cases. Curr. Hematol. Malig. Rep. 2016, 11, 514–527. [Google Scholar] [CrossRef]
- Manole, C.; Farrell, E.; Lang, E. NK/T-cell lymphoma of the nasal cavity: An unexpected diagnosis. BMJ Case Rep. 2021, 14, e240995. [Google Scholar] [CrossRef]
- Lv, J.; Jiang, Y.; Yu, T.; Gao, S.; Yin, W. Clinical characteristics and prognostic analysis of primary extranodal non-Hodgkin lymphoma of the head and neck. Aging 2024, 16, 6796–6808. [Google Scholar] [CrossRef]
- Au, W.Y.; Weisenburger, D.D.; Intragumtornchai, T.; Nakamura, S.; Kim, W.S.; Sng, I.; Vose, J.; Armitage, J.O.; Liang, R. Clinical differences between nasal and extranasal natural killer/T-cell lymphoma: A study of 136 cases from the International Peripheral T-Cell Lymphoma Project. Blood 2009, 113, 3931–3937. [Google Scholar] [CrossRef]
- Allen, P.B.; Lechowicz, M.J. Management of NK/T-Cell Lymphoma, Nasal Type. J. Oncol. Pract. 2019, 15, 513–520. [Google Scholar] [CrossRef] [PubMed]
- Akbar, M.; Clasen-Linde, E.; Specht, L. Extranodal NK/T-cell lymphoma, nasal type, with extranasal presentation-a case report and a review of the literature. Acta Oncol. Stockh. Swed. 2020, 59, 1480–1487. [Google Scholar] [CrossRef] [PubMed]
- Miyake, M.M.; de Oliveira, M.V.C.; Miyake, M.M.; de Almeida Garcia, J.O.; Granato, L. Clinical and otorhinolaryngological aspects of extranodal NK/T cell lymphoma, nasal type. Braz. J. Otorhinolaryngol. 2014, 80, 325–329. [Google Scholar] [CrossRef]
- Sands, N.B.; Tewfik, M.A.; Hwang, S.Y.; Desrosiers, M. Extranodal T-cell lymphoma of the sinonasal tract presenting as severe rhinitis: Case series. J. Otolaryngol-Head. Neck Surg. J. Oto-Rhino-Laryngol. Chir. Cervico-Faciale 2008, 37, 528–533. [Google Scholar]
- Lisowska, G.; Zięba, N.; Stryjewska-Makuch, G.; Ścierski, W.; Miśkiewicz-Orczyk, K.; Misiołek, M. Natural Killer (NK)//T-Cell Lymphoma, Nasal Type, with Periorbital Involvement: A Case Report and Literature Review. Am. J. Case Rep. 2020, 21, e926599. [Google Scholar] [CrossRef]
- Soon, B.K.; Lim, X.R.; Ng, D.H.; Lim, M.Y. Sinonasal natural killer/T-cell lymphoma presenting as pyrexia of unknown origin with nasal symptoms. Singap. Med. J. 2014, 55, e109–e111. [Google Scholar] [CrossRef]
- Andreou, A.; Thermos, G.; Sklavounou-Andrikopoulou, A. Extranodal NK/T Cell Lymphoma, Nasal Type with Palatal Involvement: A Rare Case Report and Literature Review. Head. Neck Pathol. 2021, 15, 621–627. [Google Scholar] [CrossRef]
- Forcioli, J.; Meyer, B.; Fabiani, B. Granulome malin centrofacial ou lymphome nasal T/NK. Encycl. Med. Chir. Oto-Rhino-Laryngol. 2005, 2, 390–400. [Google Scholar] [CrossRef]
- Yamaguchi, M.; Miyazaki, K. Current treatment approaches for NK/T-cell lymphoma. J. Clin. Exp. Hematop. JCEH 2017, 57, 98–108. [Google Scholar] [CrossRef]
- van Doesum, J.A.; Niezink, A.G.; Huls, G.A.; Beijert, M.; Diepstra, A.; van Meerten, T. Extranodal Natural Killer/T-cell Lymphoma, Nasal Type: Diagnosis and Treatment. HemaSphere 2021, 5, e523. [Google Scholar] [CrossRef] [PubMed]
- Suzuki, R. NK/T Cell Lymphoma: Updates in Therapy. Curr. Hematol. Malig. Rep. 2018, 13, 7–12. [Google Scholar] [CrossRef] [PubMed]
- Swerdlow, S.H.; Campo, E.; Harris, N.L.; Jaffe, E.S.; Pileri, S.A.; Stein, H.; Thiele, J.; Vardiman, J.W. WHO Classification of Tumours of Haematopoietic and Lymphoid Tissues, 4th ed.; IARC: Lyon, France, 2017. [Google Scholar]
- Kim, T.M.; Lee, S.Y.; Jeon, Y.K.; Ryoo, B.Y.; Cho, G.J.; Hong, Y.S.; Kim, H.J.; Kim, S.Y.; Kim, C.S.; Kim, S.; et al. Clinical heterogeneity of extranodal NK/T-cell lymphoma, nasal type: A national survey of the Korean Cancer Study Group. Ann. Oncol. Off. J. Eur. Soc. Med. Oncol. 2008, 19, 1477–1484. [Google Scholar] [CrossRef]
- Lee, J.; Suh, C.; Park, Y.H.; Ko, Y.H.; Bang, S.M.; Lee, J.H.; Lee, D.H.; Huh, J.; Oh, S.Y.; Kwon, H.C.; et al. Extranodal natural killer T-cell lymphoma, nasal-type: A prognostic model from a retrospective multicenter study. J. Clin. Oncol. Off. J. Am. Soc. Clin. Oncol. 2006, 24, 612–618. [Google Scholar] [CrossRef] [PubMed]



Disclaimer/Publisher’s Note: The statements, opinions and data contained in all publications are solely those of the individual author(s) and contributor(s) and not of MDPI and/or the editor(s). MDPI and/or the editor(s) disclaim responsibility for any injury to people or property resulting from any ideas, methods, instructions or products referred to in the content. |
© 2025 by the authors. Licensee MDPI, Basel, Switzerland. This article is an open access article distributed under the terms and conditions of the Creative Commons Attribution (CC BY) license (https://creativecommons.org/licenses/by/4.0/).
Share and Cite
Sellami, M.; Akbal, S.A.; Zaidi, L.; Akacha, A. Nasal-Type Natural Killer/T-Cell Extranodal Lymphoma. Sinusitis 2025, 9, 12. https://doi.org/10.3390/sinusitis9020012
Sellami M, Akbal SA, Zaidi L, Akacha A. Nasal-Type Natural Killer/T-Cell Extranodal Lymphoma. Sinusitis. 2025; 9(2):12. https://doi.org/10.3390/sinusitis9020012
Chicago/Turabian StyleSellami, Mustapha, Sofiane Amazigh Akbal, Lycia Zaidi, and Abderrahmane Akacha. 2025. "Nasal-Type Natural Killer/T-Cell Extranodal Lymphoma" Sinusitis 9, no. 2: 12. https://doi.org/10.3390/sinusitis9020012
APA StyleSellami, M., Akbal, S. A., Zaidi, L., & Akacha, A. (2025). Nasal-Type Natural Killer/T-Cell Extranodal Lymphoma. Sinusitis, 9(2), 12. https://doi.org/10.3390/sinusitis9020012

