- Article
Profile of Patients with Primary and Secondary Chronic Rhinosinusitis Treated at a Specialized Outpatient Clinic in Brazil
- Yuri de Medeiros Alcântara,
- Priscila Novaes Ferraiolo,
- Natasha Caroline Cristina de Aguiar,
- Fabiana Chagas da Cruz,
- Marise Marques,
- Sérgio Duarte Dortas Junior and
- Cláudia Maria Valete-Rosalino
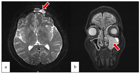
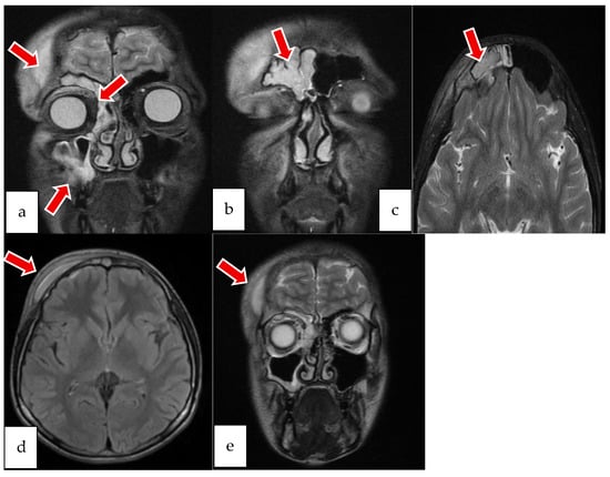
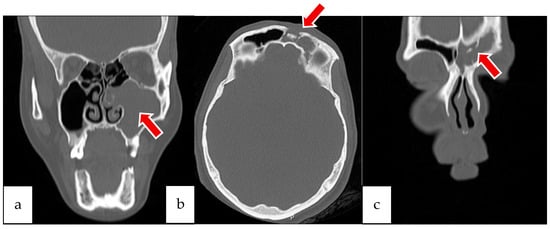
Objective: To describe the sociodemographic profile and prevalence of different phenotypes of patients with chronic rhinosinusitis (CRS) treated at a specialized outpatient clinic of a university hospital in Brazil. Methods: A cross-sectional retrosp...

