Implant Treatment Combining Interpositional and Strip Gingival Grafts in Post-Traumatic Sites of the Aesthetic Region: A 6-Year Case Report and Mini-Review
Abstract
1. Introduction
2. Case Presentation
3. Discussion
4. Conclusions
Author Contributions
Funding
Institutional Review Board Statement
Informed Consent Statement
Data Availability Statement
Acknowledgments
Conflicts of Interest
References
- Choquet, V.; Hermans, M.; Adriaenssens, P.; Daelemans, P.; Tarnow, D.P.; Malevez, C. Clinical and radiographic evaluation of the papilla level adjacent to single-tooth dental implants. J. Periodontol. 2001, 72, 1364–1371. [Google Scholar] [CrossRef]
- Fürhauser, R.; Flores-de-Jacoby, L.; Mailath, G.; Watzek, G. Evaluation of soft tissue around single-tooth implant crowns, the PES. Clin. Oral Implants Res. 2005, 16, 639–644. [Google Scholar] [CrossRef] [PubMed]
- Belser, U.C.; Grütter, L.; Vailati, F.; Bornstein, M.M.; Weber, H.P.; Buser, D. Outcome evaluation of early placed maxillary anterior implants. Clin. Oral Implants Res. 2009, 20, 508–514. [Google Scholar]
- Buser, D.; Martin, W.; Belser, U.C. Optimizing esthetic outcomes by abutment design and implant position. Int. J. Periodontics Restor. Dent. 2008, 28, 441–451. [Google Scholar]
- Zuhr, O.; Rebele, S.F.; Thalmair, T.; Hürzeler, M.B. Plastic-esthetic soft tissue management around implants. Int. J. Periodontics Restor. Dent. 2007, 27, 357–365. [Google Scholar]
- Cairo, F.; Tonetti, M.S. Soft tissue management around implants. Periodontol. 2000 2019, 81, 111–129. [Google Scholar]
- Salama, H.; Salama, M. Orthodontic extrusive remodeling for implant site development. Int. J. Periodontics Restor. Dent. 1993, 13, 312–333. [Google Scholar]
- Seibert, J.S. Reconstruction of deformed partially edentulous ridges using interpositional connective tissue grafts. Compend. Contin. Educ. Dent. 1996, 17, 796–804. [Google Scholar]
- Urban, I.A.; Monje, A.; Lozada, J.L.; Wang, H.L. A critical evaluation of different soft tissue grafting techniques following vertical ridge augmentation. Int. J. Periodontics Restor. Dent. 2015, 35, 631–639. [Google Scholar]
- Urban, I.A.; Lozada, J.L.; Wang, H.L. Vertical ridge augmentation and soft tissue reconstruction of the anterior maxilla. Int. J. Periodontics Restor. Dent. 2014, 34, 639–647. [Google Scholar]
- Sullivan, H.C.; Atkins, J.H. Free autogenous gingival grafts. I & II. Periodontics 1968, 6, 121–160. [Google Scholar]
- Wang, Z.; Lao, S.H.; Wang, Q. Adjacent free gingival grafting in the anterior region to avoid color inconsistency: A clinical report. J. Prosthet. Dent. 2025, 134, 2030–2034. [Google Scholar] [CrossRef] [PubMed]
- Riley, D.S.; Barber, M.S.; Kienle, G.S.; Aronson, J.K.; von Schoen-Angerer, T.; Tugwell, P.; Kiene, H.; Helfand, M.; Altman, D.G.; Sox, H.; et al. CARE guidelines for case reports, explanation and elaboration document. J. Clin. Epidemiol. 2017, 89, 218–235. [Google Scholar] [CrossRef] [PubMed]
- Amato, F.; Mirabella, A.D.; Macca, U.; Tarnow, D.P. Implant site development by orthodontic forced extraction. Int. J. Oral Maxillofac. Implants 2012, 27, 411–420. [Google Scholar] [PubMed]
- Pellegrini, G.; Pagni, G.; Rasperini, G. Implant site development by orthodontic extrusion of hopeless teeth. Clin. Oral Implants Res. 2015, 26, 1100–1106. [Google Scholar]
- Ishikawa, T.; Funato, T. Three-dimensional bone and soft tissue management for anterior implant esthetics. Int. J. Periodontics Restor. Dent. 2010, 30, 9–17. [Google Scholar]
- Tymstra, N.; Raghoebar, G.M.; Vissink, A.; Meijer, H.J.A. Dental implant treatment for two adjacent missing teeth in the maxillary esthetic zone. Clin. Oral Implants Res. 2011, 22, 207–213. [Google Scholar] [CrossRef][Green Version]
- Taha, A.; Al-Shahat, M.A.; Ghazy, M. Clinical and radiographic evaluations of implant-supported cantilever fixed partial dentures replacing maxillary anterior teeth: A randomized clinical trial. J. Prosthet Dent. 2020, 124, 659–666. [Google Scholar] [CrossRef]
- Linkevicius, T.; Apse, P. Influence of soft tissue thickness on crestal bone stability. Clin. Oral Implants Res. 2009, 20, 67–72. [Google Scholar]
- Funato, T.; Salama, M.A.; Ishikawa, T.; Salama, H.; Garber, D.A. Timing, positioning, and sequential staging in esthetic implant therapy, a four-dimensional perspective. Int. J. Periodontics Restor. Dent. 2007, 27, 313–323. [Google Scholar]
- Funato, T.; Ishikawa, T.; Kitajima, H.; Yamada, M.; Moroi, H. A novel combined surgical approach to restore peri-implant papillae and labial convexity. Int. J. Periodontics Restor. Dent. 2007, 27, 549–557. [Google Scholar]
- Fathi, A.; Salehi, S.; Kazemi, F.; Jazi, S.N. The Significance of Keratinized Mucosa on Implant Health: An Umbrella Review. J. Oral Implantol. 2025, 51, 314–320. [Google Scholar] [CrossRef] [PubMed]
- Zhang, Z.; Zhang, Z.; Wang, P.; Zheng, Y.; Wang, Z.; Wang, Z. The relationship between adequate keratinized mucosa and peri-implant disease: A systematic review and meta-analysis. BMC Oral Health 2025, 25, 345. [Google Scholar] [CrossRef] [PubMed]
- Han, T.J.; Klokkevold, P.R.; Takei, H.H. Strip gingival autograft used to correct mucogingival problems around implants. Int. J. Periodontics Restor. Dent. 1995, 15, 404–411. [Google Scholar]
- Nemcovsky, C.E.; Moses, O.; Artzi, Z. Gingival reconstruction with an onlay-interpositional graft following excision of a pyogenic granuloma, description of a surgical approach. Pract. Proced. Aesthet. Dent. 2003, 15, 173–176. [Google Scholar]
- Kim, C.S.; Jang, Y.J.; Choi, S.H.; Cho, K.S. Long-term results from soft and hard tissue augmentation by a modified vascularized interpositional periosteal-connective tissue technique in the maxillary anterior region. J. Oral Maxillofac. Surg. 2012, 70, 484–491. [Google Scholar] [CrossRef]
- Sohn, J.Y.; Park, J.C.; Cho, K.S.; Kim, C.S. Simultaneous placement of an interpositional free gingival graft with nonsubmerged implant placement. J. Periodontal Implant Sci. 2014, 44, 94–99. [Google Scholar] [CrossRef]
- Urban, I.A.; Tattan, M.; Ravida, A.; Saleh, M.H.; Tavelli, L.; Avila-Ortiz, G. Simultaneous Alveolar Ridge Augmentation and Periodontal Regenerative Therapy Leveraging Recombinant Human Platelet-Derived Growth Factor-BB (rhPDGF-BB): A Case Report. Int. J. Periodontics Restor. Dent. 2022, 42, 577–585. [Google Scholar] [CrossRef]
- Yaroshevich, P.; Puisys, A. Effects of Soft Tissue Augmentation Procedures Around Dental Implants With Epithelial Embossed Connective Tissue Graft Using Coronally Shifted Strip Graft Technique: A Case Report With 2 Years Follow Up. Int. J. Periodontics Restor. Dent. 2025, 1–18. [Google Scholar] [CrossRef]
- Urban, I.A.; Di Martino, M.; Rangel, R.F.; Latimer, J.; Forster, A.; Tavelli, L. Interimplant Papilla Reconstruction Using the Iceberg and ‘Garage’ Connective Tissue Graft Technique: A Case Report and Technique Illustration. Int. J. Periodontics Restor. Dent. 2025, 45, 616–625. [Google Scholar]
- Akcalı, A.; Schneider, D.; Ünlü, F.; Bıcakcı, N.; Köse, T.; Hämmerle, C.H. Soft tissue augmentation of ridge defects in the maxillary anterior area using two different methods: A randomized controlled clinical trial. Clin. Oral Implants Res. 2015, 26, 688–695. [Google Scholar] [CrossRef] [PubMed]
- Urban, I.A.; Tavelli, L.; Barootchi, S.; Wang, H.L.; Barath, Z. Labial Strip Gingival Graft for the Reconstruction of Severely Distorted Mucogingival Defects: A Prospective Case Series. Int. J. Periodontics Restor. Dent. 2020, 40, 845–852. [Google Scholar] [CrossRef] [PubMed]
- Naiem, S.N.; Hosny, M.; El Nahass, H. Esthetics and bone changes of immediate implants with or without vascularized interpositional periosteal connective tissue grafting: A 2-year randomized controlled trial. Clin. Oral Implants Res. 2023, 34, 498–511. [Google Scholar] [CrossRef] [PubMed]
- Farooqui, A.A.; Kumar, A.B.T.; Shah, R.; Triveni, M.G. Augmentation of Peri-implant Keratinized Mucosa Using a Combination of Free Gingival Graft Strip with Xenogeneic Collagen Matrix or Free Gingival Graft Alone: A Randomized Controlled Study. Int. J. Oral Maxillofac. Implants. 2023, 38, 709–716. [Google Scholar] [CrossRef]
- Jiménez-Tundidor, R.; Marco-Español, R.; Segura-Mori, L.; Bazal-Bonelli, S.; Sánchez-Jorge, M.I.; Granić, M.; Cortés-Bretón Brinkmann, J.; López-Quiles, J. A Strip Free Gingival Graft and a Xenogeneic Collagen Matrix to Increase Keratinized Tissue After Vertical Bone Augmentation. J. Oral Implantol. 2024, 50, 408–414. [Google Scholar] [CrossRef]
- Huang, J.P.; Wang, Y.Y.; Dai, A.; Sun, P.; Ding, P.H. A combination technique of strip free gingival grafts and xenogeneic collagen matrix in augmenting keratinized mucosa around dental implants: A single-arm clinical trial. BMC Oral Health 2024, 24, 634. [Google Scholar] [CrossRef]
- Urban, I.A.; Mancini, L.; Akhondi, S.; Tavelli, L. Esthetic and Colorimetric Assessment of Peri-implant Soft Tissue Augmented with the Strip Gingival Graft Harvested Either from the Buccal Soft Tissue or the Palate: A Retrospective Study. Int. J. Periodontics Restor. Dent. 2025, 1–20. [Google Scholar] [CrossRef]
- Zuiderveld, E.G.; van Nimwegen, W.G.; Meijer, H.J.A.; Jung, R.E.; Mühlemann, S.; Vissink, A.; Raghoebar, G.M. Effect of connective tissue grafting on buccal bone changes based on cone beam computed tomography scans in the esthetic zone of single immediate implants: A 1-year randomized controlled trial. J. Periodontol. 2021, 92, 553–561. [Google Scholar] [CrossRef]
- Zuiderveld, E.G.; Raghoebar, G.M.; Vissink, A.; Gareb, B.; Meijer, H.J.A. Efficacy of soft tissue augmentation in the maxillary esthetic region: A 5-year randomized controlled trial. J. Periodontol. 2025, 96, 1315–1326. [Google Scholar] [CrossRef]















| Step | Time Point | Procedure | Key Details/Purpose |
|---|---|---|---|
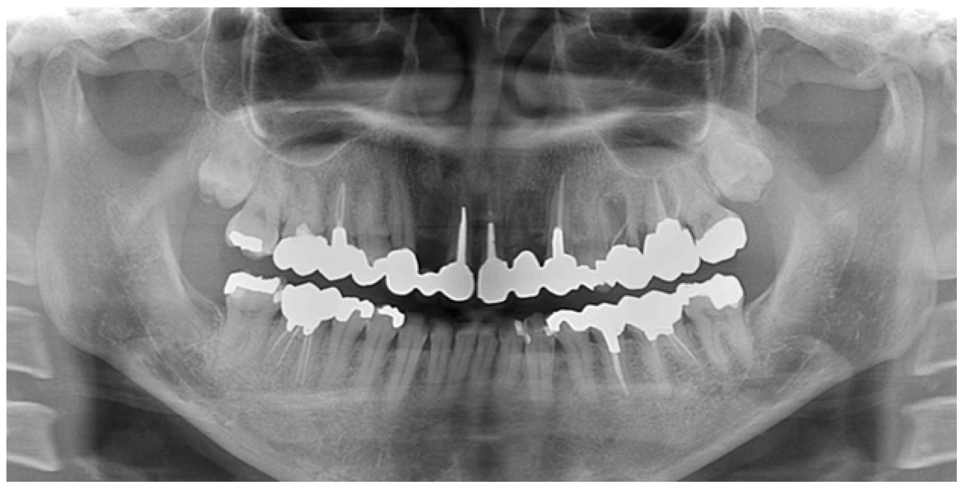
| 1 | Initial visit (August 2015) | Initial assessment & provisionalization | Assessment after traumatic event; long-span provisional restoration to re-establish posterior support and stabilize occlusion (Figure 1 and Figure 2) |
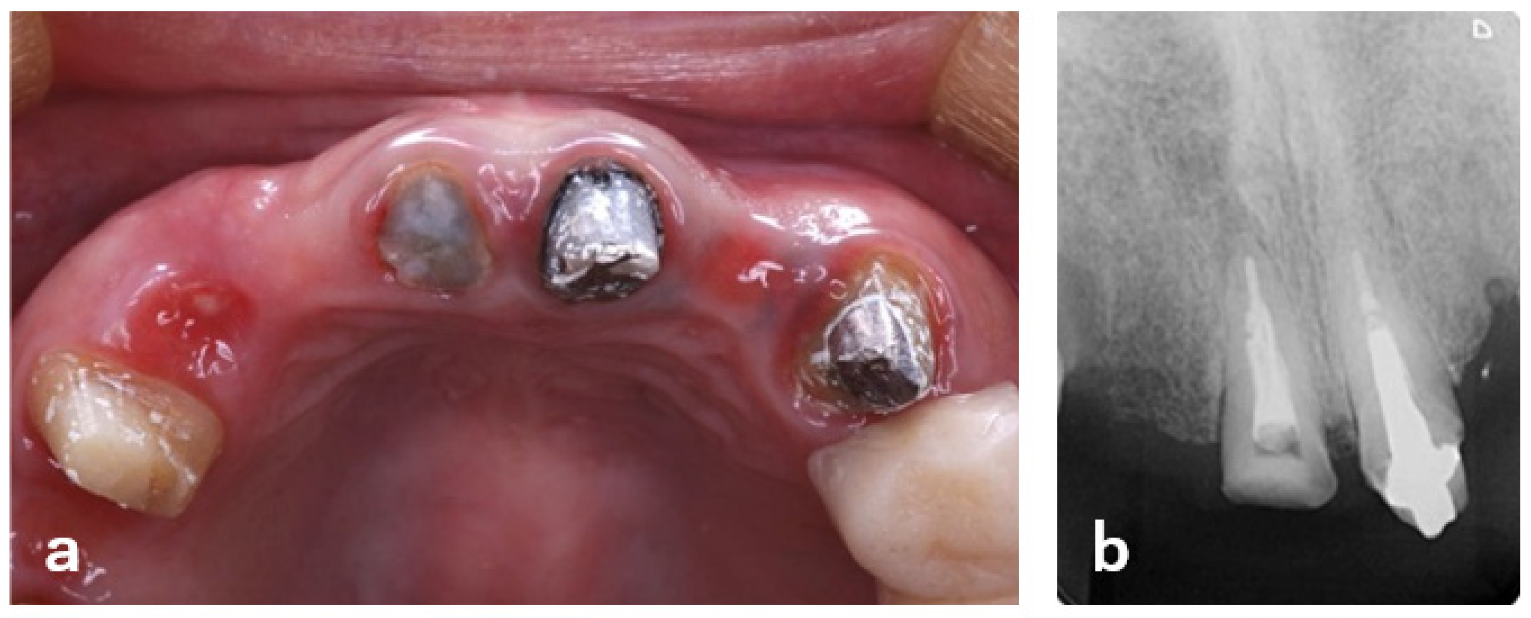
| 2 | Shortly after initial visit | Extraction of #13 | Vertical root fracture confirmed; extraction indicated (Figure 3) |
| 3 | Pre-implant site development (4 months) | Orthodontic extrusion of #11 | Increase soft tissue height and interproximal support prior to augmentation (Figure 4 and Figure 5) |
| 4 | Stage 1 surgery | GBR with titanium mesh and absorbable membrane | Reconstruction of hard tissue volume using titanium mesh and collagen membrane (Figure 6) |
| 5 | +9 months after GBR | Implant placement at #13 | Implant placed using a surgical guide (Figure 7) |
| 6 | +6 months after implant placement | Interpositional gingival graft (IGG) | Increase buccal soft tissue thickness and improve 3D contour (Figure 8 and Figure 9) |
| 7 | After IGG healing | Strip gingival graft (SGG) | Reposition MGJ and augment keratinized mucosa with minimal invasiveness (Figure 10) |
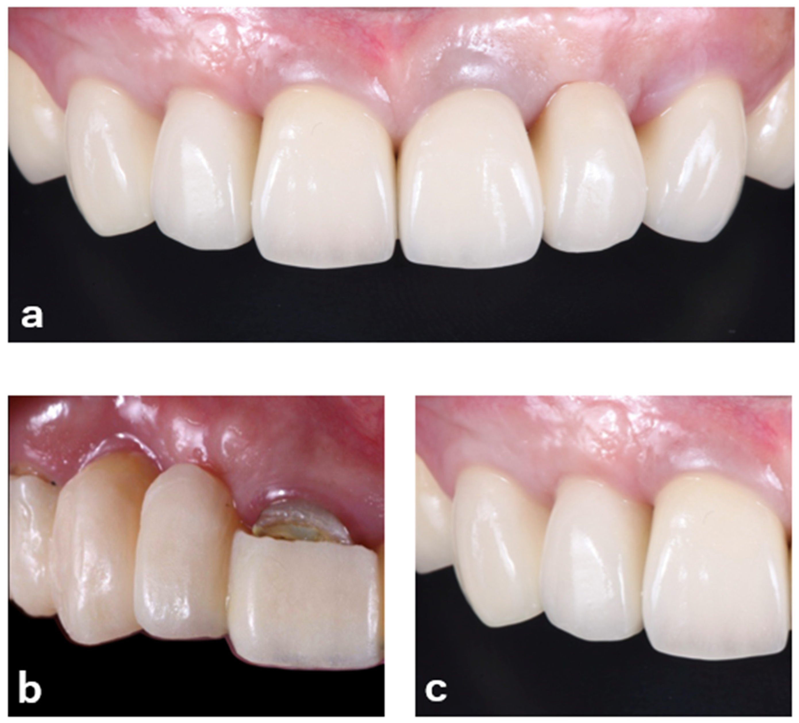
| 8 | +3 months after SGG | Final prosthetic restoration | Delivery of cantilever implant-supported prosthesis (#12–13) (Figure 11 and Figure 12) |
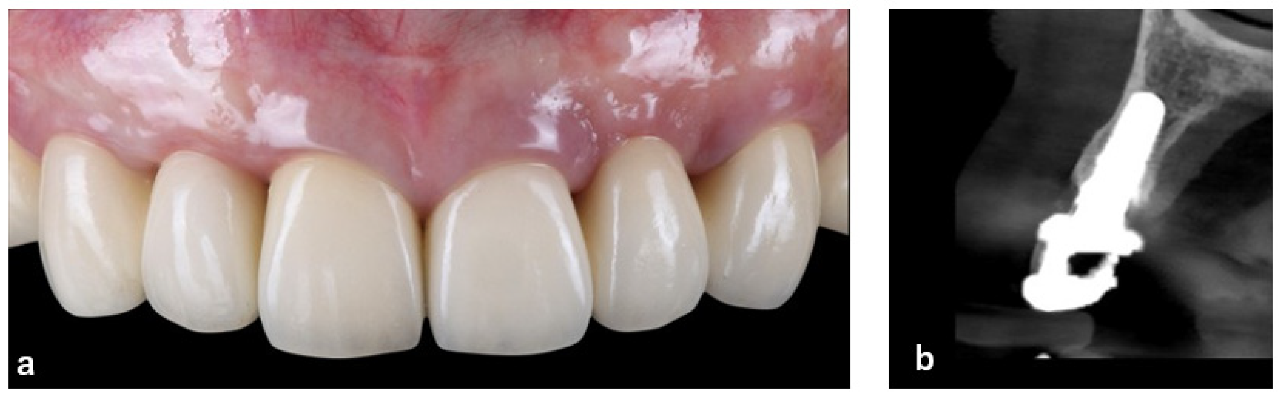
| 9 | Long-term follow-up | Maintenance & evaluation | Regular maintenance; stable peri-implant tissues observed (Figure 13) |
| Authors (Year) | Patient (Years Old) | Treatment | Site | Follow-Up | Aim and Results |
|---|---|---|---|---|---|
| Han et al. (1995) [24] | Female (50) | SGG | maxillary anterior | not available | Increasing the width of the peri-implant keratinized mucosa with a bar attachment abutment |
| Nemcovsky et al. (2003) [25] | Female (43) | IGG | interdental pappila (#11–21) | around 1 year | Improvement in soft tissue morphology followingeExcision of pyogenic granuloma |
| Kim et al. (2012) [26] | Female (26), Female (42), Male (61) | IGG | all #21 | 5–6 years | Case series of soft and hard tissue augumentation by modified vascurized interpositional periosteal-connective tissue technique |
| Sohn et al. (2014) [27] | Female (50) | IGG | #45,46,47 | 8 years | Simultaneous IGG procedure with the placement of nonsubmerged implants in a patient lacking keratinized tissue |
| Urban et al. (2022) [28] | Male (55) | SGG | #21 | 5 months | Achieving combined vertical ridge augumentation and periodontal regeneration to manage complex clinical situation |
| Yaroshevich et al. (2025) [29] | No gender specified (37) | SGG | #35,36 | 2 years | A single intervention enhanced soft tissue thickness and increases the width of keratinized tissue. |
| Urban et al. (2025) [30] | Female (45) | SGG | #11,12 | around 1 year | Illustration of the iceberg and garage connective tissue graft technique |
| Naito et al. (present report) | Female (53) | IGG + SGG | #12,13 | 6 years | Improvement in soft tissue volume and keratinized mucosal width in the aesthetic zone |
| Authors (Year) | Study Design | Number of Patients | Comparative Group | Observation Period | Key Result |
|---|---|---|---|---|---|
| Akcalı et al. (2014) [31] | randomized controlled trial | 17 patients | vascularized interpositional periosteal-connective tissue graft or free subepithelial connective tissue graft | 6 months | The mean shrinkage in soft tissue volume between baseline and 6 months was statistically higher for the control group (47%) compared with the test group (6.4%) |
| Urban et al. (2020) [32] | prospective case series | 18 patients | labial gingival graft, in combination with a XCM or a connective tissue graft | 1 year | a mean keratinized mucosa gain of 6.8 ± 2 mm, the average VAS score for patient satisfaction and the self-reported esthetic outcomes were 95.6 ± 6.9 and 93.4 ± 9.2, respectively |
| Naiem et al. (2023) [33] | randomized controlled trial | 18 patients | immediately placed implants with simultaneous vascularized interpositional periosteal connective tissue grafting or non-grafted immediately placed implants | 2 years | There was no difference in aesthetic outcomes or alveolar bone preservation between the two groups |
| Farooqui et al. (2023) [34] | randomized controlled trial | 30 patients | a combination of free gingival graft strip and XCM or free gingival graft only | 6 months | The treatment outcomes for the two groups were equivalent. The combination approach potentially decreases patient morbidity and may offer a more esthetic outcome as compared to free gingival graft alone |
| Jiménez-Tundidor et al. (2024) [35] | cross sectional | 12 patients | a modified apically repositioned flap in combination with a SFGG harvested from the palate and a XCM only | 2 years | A vertical keratinized tissue augmentation: 5.38 ± 2.06 mm, tissue thickness increase: 0.42 ± 0.42 mm |
| Huang et al. (2024) [36] | a single-arm clinical trial | 25 patients | SFGG plus XCM and free gingival graft alone | 6 months | Although this combined technique can increase the keratinaized mucosa, it tends to yield inferior bone augmentation effects and aesthetic outcomes compared to free gingival graft alone |
| Urban et al. (2025) [37] | retrospective cohort study | 49 patients | bSGG + XCM or pSGG + XCM | mean 3 years (bSGG), mean 8 years (pSGG) | bSGG + XCM obtained superior professional and subjective esthetic scores compared to pSGG + XCM |
Disclaimer/Publisher’s Note: The statements, opinions and data contained in all publications are solely those of the individual author(s) and contributor(s) and not of MDPI and/or the editor(s). MDPI and/or the editor(s) disclaim responsibility for any injury to people or property resulting from any ideas, methods, instructions or products referred to in the content. |
© 2026 by the authors. Licensee MDPI, Basel, Switzerland. This article is an open access article distributed under the terms and conditions of the Creative Commons Attribution (CC BY) license.
Share and Cite
Naito, K.; Funato, A.; Tanno, T.; Seki, K. Implant Treatment Combining Interpositional and Strip Gingival Grafts in Post-Traumatic Sites of the Aesthetic Region: A 6-Year Case Report and Mini-Review. Prosthesis 2026, 8, 20. https://doi.org/10.3390/prosthesis8020020
Naito K, Funato A, Tanno T, Seki K. Implant Treatment Combining Interpositional and Strip Gingival Grafts in Post-Traumatic Sites of the Aesthetic Region: A 6-Year Case Report and Mini-Review. Prosthesis. 2026; 8(2):20. https://doi.org/10.3390/prosthesis8020020
Chicago/Turabian StyleNaito, Koji, Akiyoshi Funato, Tsutomu Tanno, and Keisuke Seki. 2026. "Implant Treatment Combining Interpositional and Strip Gingival Grafts in Post-Traumatic Sites of the Aesthetic Region: A 6-Year Case Report and Mini-Review" Prosthesis 8, no. 2: 20. https://doi.org/10.3390/prosthesis8020020
APA StyleNaito, K., Funato, A., Tanno, T., & Seki, K. (2026). Implant Treatment Combining Interpositional and Strip Gingival Grafts in Post-Traumatic Sites of the Aesthetic Region: A 6-Year Case Report and Mini-Review. Prosthesis, 8(2), 20. https://doi.org/10.3390/prosthesis8020020

