Fully Digital Workflow for Immediate Loading Using a Minimally Invasive Surgical Approach: A Case Report
Abstract
1. Introduction
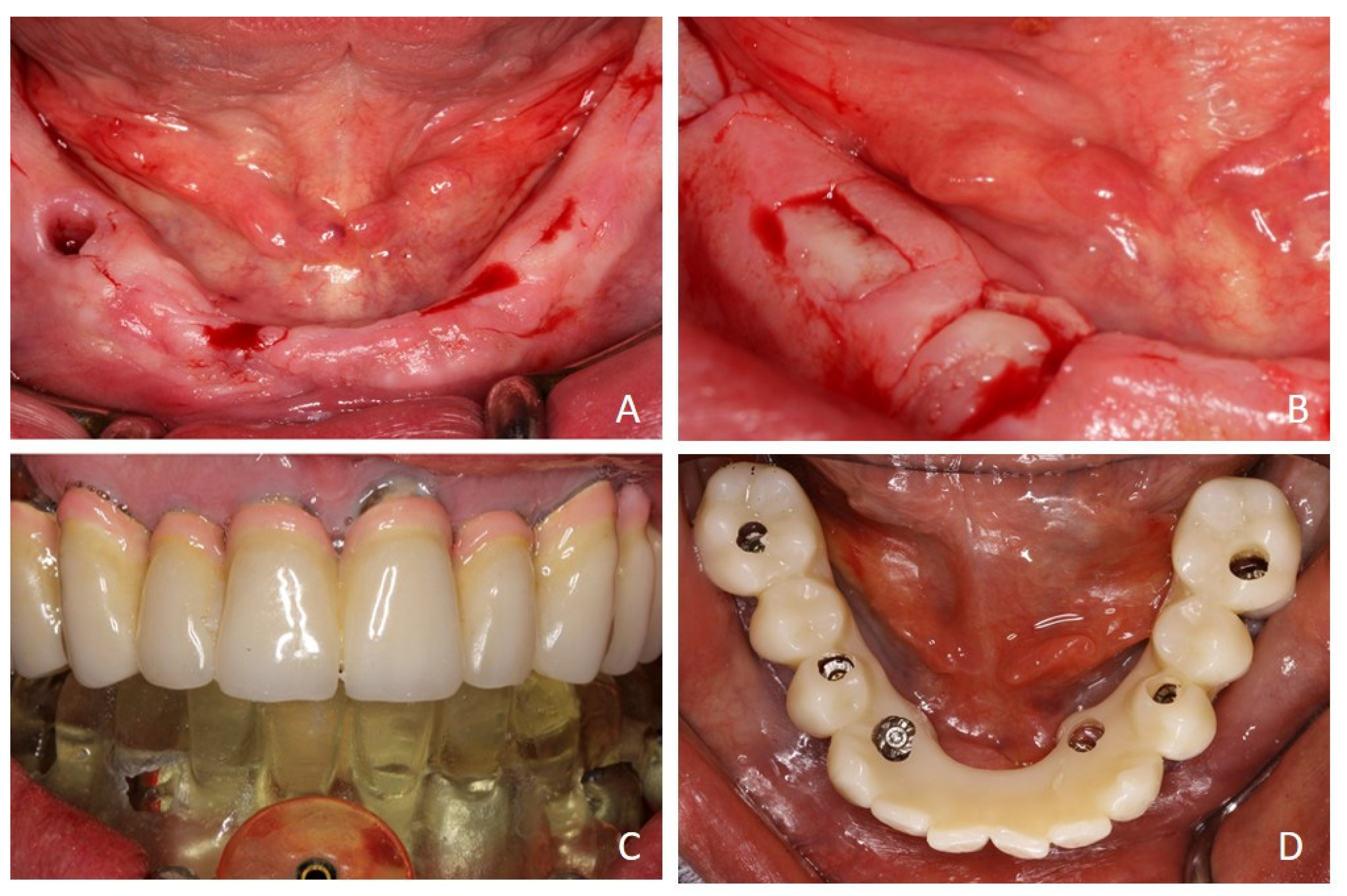
2. Case Report
3. Surgical Strategy
4. Discussion
5. Conclusions
Author Contributions
Funding
Institutional Review Board Statement
Informed Consent Statement
Data Availability Statement
Conflicts of Interest
References
- Hama, D.R.; Mahmood, B.J. Comparison of accuracy between free-hand and surgical guide implant placement among experienced and non-experienced dental implant practitioners: An in vitro study. J. Periodontal. Implant Sci. 2023, 53, 388–401. [Google Scholar] [CrossRef] [PubMed]
- Tahmaseb, A.; Wu, V.; Wismeijer, D.; Coucke, W.; Evans, C. The accuracy of static computer-aided implant surgery: A systematic review and meta-analysis. Clin. Oral Implant. Res. 2018, 16, 416–435. [Google Scholar] [CrossRef] [PubMed]
- Dioguardi, M.; Spirito, F.; Quarta, C.; Sovereto, D.; Basile, E.; Ballini, A.; Caloro, G.A.; Troiano, G.; Lo Muzio, L.; Mastrangelo, F. Guided Dental Implant Surgery: Systematic Review. J. Clin. Med. 2023, 12, 1490. [Google Scholar] [CrossRef]
- Arisan, V.; Karabuda, C.Z.; Ozdemir, T. Implant surgery using bone-and mucosa-supported stereolithographic guides in totally edentulous jaws: Surgical and post-operative outcomes of computer-aided vs. standard techniques. Clin. Oral Implants Res. 2010, 21, 980–988. [Google Scholar] [CrossRef] [PubMed]
- Romandini, M.; Ruales-Carrera, E.; Sadilina, S.; Hämmerle, C.H.F.; Sanz, M. Minimal invasiveness at dental implant placement: A systematic review with meta-analyses on flapless fully guided surgery. Periodontol 2000 2023, 91, 89–112. [Google Scholar] [CrossRef] [PubMed]
- Rocci, A.; Martignoni, M.; Gottlow, J. Immediate loading in the maxilla using flapless surgery, implants placed in predetermined positions, and prefabricated provisional restorations: A retrospective 3-year clinical study. Clin. Implant Dent. Relat. Res. 2003, 5, 29–36. [Google Scholar] [CrossRef] [PubMed]
- De Bruyn, H.; Atashkadeh, M.; Cosyn, J.; van de Velde, T. Clinical outcome and bone preservation of single TiUnit implants installed with flapless or flap surgery. Clin. Implant Dent. Relat. Res. 2011, 13, 175–183. [Google Scholar] [CrossRef]
- Widmann, G.; Bale, R.J. Accuracy in computer-aided implant surgery—A review. Int. J. Oral Maxillofac. Implant. 2006, 21, 305–313. [Google Scholar]
- Rungcharassaeng, K.; Caruso, J.M.; Kan, J.Y.K.; Schutyser, F.; Boumans, T. Accuracy of computer-guided surgery: A comparison of operator experience. J. Prosthet. Dent. 2015, 114, 407–413. [Google Scholar] [CrossRef]
- Bover-Ramos, F.; Vina-Almunia, J.; Cervera-Ballester, J.; Penarrocha-Diago, M.; Garcia-Mira, B. Accuracy of Implant Placement with Computer-Guided Surgery: A Systematic Review and Meta-Analysis Comparing Cadaver, Clinical, and In Vitro Studies. Int. J. Oral Maxillofac Implant. 2018, 33, 1–15. [Google Scholar] [CrossRef]
- Jung Ronald, E.; Sneider, D.; Ganeles, J.; Wismeijer, D.; Zwahlen, M.; Hammerle, C.; Tahmaseb, A. Computer technology applications in surgical implant dentistry: A systematic review. Int. J. Oral Maxillofac. Implant. 2009, 24, 92–109. [Google Scholar]
- Raico Gallardo, Y.N.; Rodrigues Texeira da Silva-Olivio, I.; Mukai, E.; Morimoto, S.; Sesma, N.; Cordaro, L. Accuracy comparison of guided surgery for dental implants according to the tissue of support: A systematic review and meta-analysis. Clin. Oral Implant. Res. 2017, 28, 602–612. [Google Scholar] [CrossRef]
- Flanagan, D. Flapless dental implant placement. J. Oral Implantol. 2007, 33, 75–83. [Google Scholar] [CrossRef] [PubMed]
- Vasak, C.; Watzak, G.; Gahleitner, A.; Strbac, G.; Schemper, M.; Zechner, W. Computed tomography-based evaluation of template (NobelGuideTM)-guided implant positions: A prospective radiological study. Clin. Oral Implant. Res. 2011, 22, 1157–1163. [Google Scholar] [CrossRef] [PubMed]
- Sunitha, R.V.; Sapthagiri, E. Flapless implant surgery: A 2-year follow-up study of 40 implants. Oral Surg. Oral Med. Oral Pathol. Oral Radiol. 2013, 116, 237–243. [Google Scholar] [CrossRef]
- Chrcanovic, B.R.; Albrektsson, T.; Wennerberg, A. Flapless versus conventional flapped dental implant surgery: A meta-analysis. PLoS ONE 2014, 9, e100624. [Google Scholar] [CrossRef]
- Zhou, W.; Liu, Z.; Song, L.; Kuo, C.; Shafer, D. Clinical factors affecting the accuracy of guided implant surgery—A systematic review and meta-analysis. J. Evid. Based Dent. Pract. 2018, 18, 28–40. [Google Scholar] [CrossRef] [PubMed]
- El Kholy, K.; Janner, S.F.M.; Schimmel, M.; Buser, D. The influence of guided sleeve height, drilling distance, and drilling key length on the accuracy of static Computer-Assisted Implant Surgery. Clin. Implant Dent. Relat. Res. 2019, 21, 101–107. [Google Scholar] [CrossRef]
- Marei, H.F.; Abdel-Hady, A.; Al-Khalifa, K.; Al-Mahalawy, H. Influence of surgeon experience on the accuracy of implant placement via a partially computer-guided surgical protocol. Int. J. Oral Maxillofac. Implant. 2019, 34, 1177–1183. [Google Scholar] [CrossRef] [PubMed]
- Sicilia, A.; Botticelli, D.; Cordaro, L.; De Bruyn, H. Computer-guided implant therapy and soft-and hard-tissue aspects. The Third EAO Consensus Conference 2012. Clin. Oral Implant. Res. 2012, 23, 157–161. [Google Scholar] [CrossRef] [PubMed]
- Lin, W.S. Complications related to digital technologies in treating edentulous patients with dental implants—Part II. Computer-guided surgery and prosthetic stages. J. Prosthet. Dent. 2023, 129, 817–818. [Google Scholar] [CrossRef]
- Monsalve-Guil, L.; Velasco-Ortega, E.; Ortiz-Garcia, I.; Matos-Garrido, N.; Moreno-Muñoz, J.; Núñez-Márquez, E.; Rondón-Romero, J.L.; López-López, J.; Jiménez-Guerra, Á. Retrospective clinical follow-up of implants placed in edentulous jaws after computer-guided surgery and immediate loading, in geriatric patients. Med. Oral Patol. Oral Cir. Bucal. 2025, 30, e76–e85. [Google Scholar] [CrossRef] [PubMed]
- Fonseca, C.M.; Da Fonseca, P.A.B.; Quezada, M.M.; Marquez, T.; Montero, J.; Morton, D.; Correia, A. Analyzing Linear and Angular Deviations After Guided Surgery for Dental Implant Placement: A Preliminary Study. Int. J. Oral Maxillofac. Implant. 2024, 39, 738–744. [Google Scholar] [CrossRef] [PubMed]
- Tattan, M.; Chambrone, L.; González-Martín, O.; Avila-Ortiz, G. Static computer-aided, partially guided, and free-handed implant placement: A systematic review and meta-analysis of randomized controlled trials. Clin. Oral Implant. Res. 2020, 31, 889–916. [Google Scholar] [CrossRef]
- Shi, Y.; Wang, J.; Ma, C.; Shen, J.; Dong, X.; Lin, D. A systematic review of the accuracy of digital surgical guides for dental implantation. Int. J. Implant Dent. 2023, 9, 38. [Google Scholar] [CrossRef] [PubMed]
- Thornton, L.J. Anterior guidance: Group function/canine guidance. A literature review. J. Prosthet. Dent. 1990, 64, 479–482. [Google Scholar] [CrossRef] [PubMed]
- Zhong, M.; Kanda, R.; Tsuda, S.; Hashimoto, Y.; Zhang, R.; Fujii, T.; Kashiwagi, K. Effects of PEEK surface treatment using alumina blasting or concentrated sulfuric acid etching in combination with functional monomers on shear bond strength to adhesive cement after artificial aging. Dent. Mater. J, 2025; Published online. [Google Scholar] [CrossRef]
- Wang, J.; Gu, J.T.; Meng, M.; Wang, C.Y.; Chen, J.H.; Niu, L.N. Polyetheretherketone Framework for Implant-supported Full-arch Fixed Dental Prostheses in a Periodontitis Patient with a 6-year Follow-up: A Case Report. Chin. J. Dent. Res. 2022, 25, 149–158. [Google Scholar] [PubMed]
- Haroun, F.; Ozan, O. Evaluation of Stresses on Implant, Bone, and Restorative Materials Caused by Different Opposing Arch Materials in Hybrid Prosthetic Restorations Using the All-on-4 Technique. Materials 2021, 14, 4308. [Google Scholar] [CrossRef] [PubMed]
- Favot, L.M.; Berry-Kromer, V.; Haboussi, M.; Thiebaud, F.; Ben Zineb, T. Numerical study of the influence of material parameters on the mechanical behaviour of a rehabilitated edentulous mandible. J. Dent. 2014, 42, 287–297. [Google Scholar] [CrossRef] [PubMed]
- Mishra, S.K.; Bhasmey, S.R.; Chowdhary, R. Complete-arch implant-supported fixed dental prostheses fabricated with PEEK and PEKK framework: A systematic review. Evid. Based Dent. 2023, 24, 193. [Google Scholar] [CrossRef]
- Sivaraman, K.; Chopra, A.; Venkatesh, S.B. Clinical importance of median mandibular flexure in oral rehabilitation: A review. J. Oral Rehabil. 2016, 43, 215–225. [Google Scholar] [CrossRef] [PubMed]
- Parmar, N. Can monolithic zirconia frameworks in implant-supported cross-arch prostheses deliver reliable long-term outcomes? Evid. Based Dent, 2025; Published online. [Google Scholar] [CrossRef]
- Luo, J.; Zhang, Y.; Yu, Z.; Jiang, X.; Li, J.; Chen, B.; Di, P.; Lin, Y.; Zhang, Y. A retrospective single cohort study on the 5–13 year clinical outcomes of implant-supported cross-arch fixed dental prostheses with monolithic zirconia-based frameworks. J. Prosthodont, 2024; Published online. [Google Scholar] [CrossRef]
- Kakkad, N.; Yadav, N.S.; Hazari, P.; Narwani, S.; Somkuwar, K.; Basha, S.; Verma, V.; Arora, S.; Aldowah, O.; Heboyan, A.; et al. Comparative Evaluation of Tensile Bond Strength of Poly Ether Ether Ketone (PEEK) and Zirconia Copings Using Resin Cement with or without Adhesive: An In Vitro Study. Materials 2022, 15, 4167. [Google Scholar] [CrossRef] [PubMed]
- Chackartchi, T.; Romanos, G.E.; Parkanyi, L.; Schwarz, F.; Sculean, A. Reducing errors in guided implant surgery to optimize treatment outcomes. Periodontol 2000 2022, 88, 64–72. [Google Scholar] [CrossRef]
- Jorba-García, A.; González-Barnadas, A.; Camps-Font, O.; Figueiredo, R.; Valmaseda-Castellón, E. Accuracy assessment of dynamic computer-aided implant placement: A systematic review and meta-analysis. Clin. Oral Investig. 2021, 25, 2479–2494. [Google Scholar] [CrossRef] [PubMed]








Disclaimer/Publisher’s Note: The statements, opinions and data contained in all publications are solely those of the individual author(s) and contributor(s) and not of MDPI and/or the editor(s). MDPI and/or the editor(s) disclaim responsibility for any injury to people or property resulting from any ideas, methods, instructions or products referred to in the content. |
© 2025 by the authors. Licensee MDPI, Basel, Switzerland. This article is an open access article distributed under the terms and conditions of the Creative Commons Attribution (CC BY) license (https://creativecommons.org/licenses/by/4.0/).
Share and Cite
Kouveliotis, G.; Papapmanoli, E.; Tasopoulos, T.; Tampakos, I.; Michas, D.; Tzanakakis, E.-G.; Zoidis, P. Fully Digital Workflow for Immediate Loading Using a Minimally Invasive Surgical Approach: A Case Report. Prosthesis 2025, 7, 25. https://doi.org/10.3390/prosthesis7020025
Kouveliotis G, Papapmanoli E, Tasopoulos T, Tampakos I, Michas D, Tzanakakis E-G, Zoidis P. Fully Digital Workflow for Immediate Loading Using a Minimally Invasive Surgical Approach: A Case Report. Prosthesis. 2025; 7(2):25. https://doi.org/10.3390/prosthesis7020025
Chicago/Turabian StyleKouveliotis, George, Eirini Papapmanoli, Theodoros Tasopoulos, Ioannis Tampakos, Dimitrios Michas, Emmanouil-George Tzanakakis, and Panagiotis Zoidis. 2025. "Fully Digital Workflow for Immediate Loading Using a Minimally Invasive Surgical Approach: A Case Report" Prosthesis 7, no. 2: 25. https://doi.org/10.3390/prosthesis7020025
APA StyleKouveliotis, G., Papapmanoli, E., Tasopoulos, T., Tampakos, I., Michas, D., Tzanakakis, E.-G., & Zoidis, P. (2025). Fully Digital Workflow for Immediate Loading Using a Minimally Invasive Surgical Approach: A Case Report. Prosthesis, 7(2), 25. https://doi.org/10.3390/prosthesis7020025

