The Effectiveness and Predictability of BioHPP (Biocompatible High-Performance Polymer) Superstructures in Toronto-Branemark Implant-Prosthetic Rehabilitations: A Case Report
Abstract
1. Introduction
2. Materials and Methods
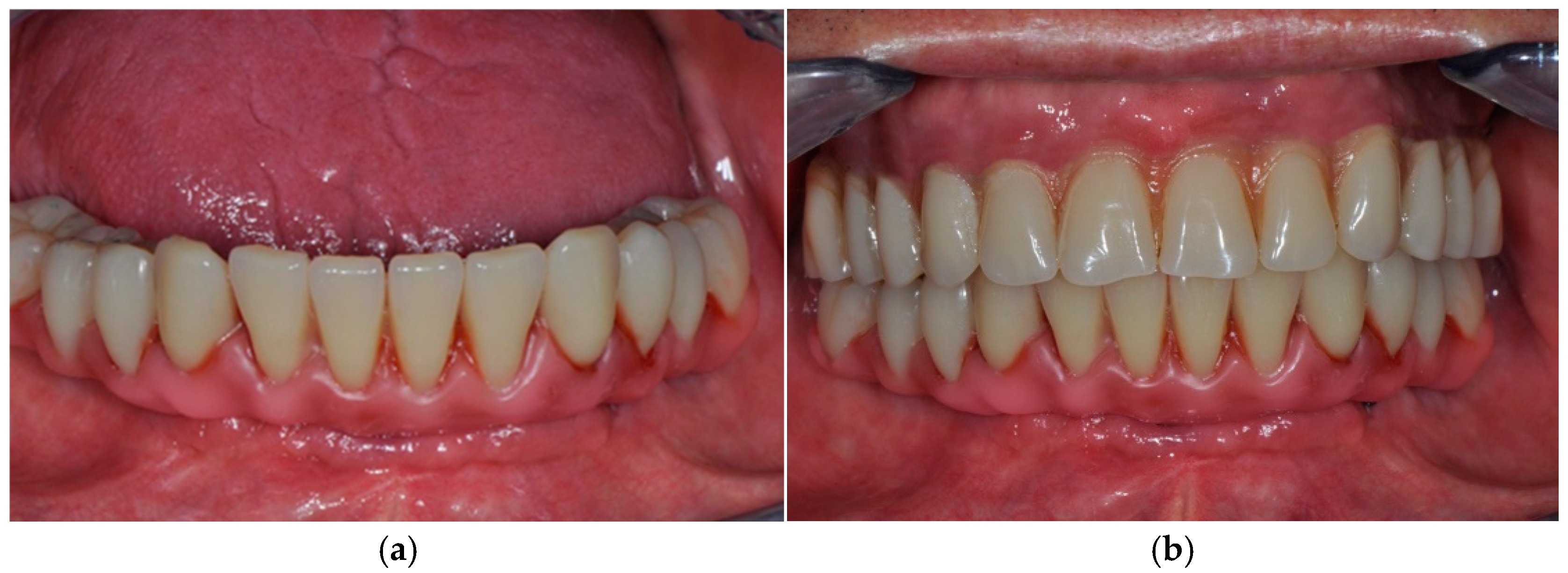
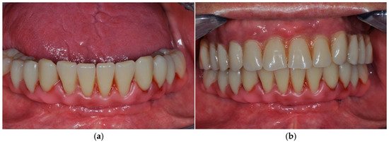
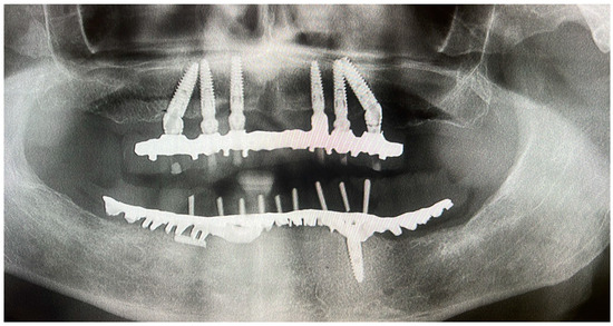
3. Case Presentation
4. Discussion
5. Conclusions
Author Contributions
Funding
Institutional Review Board Statement
Informed Consent Statement
Data Availability Statement
Acknowledgments
Conflicts of Interest
References
- Montero, J.; Macedo de Paula, C.; Albaladejo, A. The “Toronto prosthesis”, an appealing method for restoring patients candidates for hybrid overdentures: A case report. J. Clin. Exp. Dent. 2012, 4, e309–e312. [Google Scholar] [CrossRef] [PubMed] [PubMed Central]
- Wolfinger, G.J.; Balshi, T.J.; Rangert, B. Immediate functional loading of Brånemark system implants in edentulous mandibles: Clinical report of the results of developmental and simplified protocols. Int. J. Oral Maxillofac. Implant. 2003, 18, 250–257. [Google Scholar] [PubMed]
- Brånemark, P.I.; Svensson, B.; van Steenberghe, D. Ten-year survival rates of fixed prostheses on four or six implants ad modum Brånemark in full edentulism. Clin. Oral Implant. Res. 1995, 6, 227–231. [Google Scholar] [CrossRef] [PubMed]
- Bagnasco, F.; Menini, M.; Pesce, P.; Crupi, A.; Gibello, U.; Delucchi, F.; Carossa, M.; Pera, F. Comparison of Full-Arch Intraoral Scans Immediately After Implant Insertion Versus Healed Tissue: A Multicentric Clinical Study. Prosthesis 2024, 6, 1359–1371. [Google Scholar] [CrossRef]
- Lo Russo, L.; Guida, L.; Mariani, P.; Ronsivalle, V.; Gallo, C.; Cicciù, M.; Laino, L. Effect of Fab-rication Technology on the Accuracy of Surgical Guides for Dental-Implant Surgery. Bioengineering 2023, 10, 875. [Google Scholar] [CrossRef]
- Cigu, A.T.; Ciobanu, C.; Covalciuc, E.; Popovici, M.; Cârligeanu, L.; Ardeshir, S. Research of biohpp system behavior in the oral cavity. Int. J. Med. Dent. 2015, 19, 3–83. [Google Scholar]
- Stawarczyk, B.; Beuer, F.; Wimmer, T.; Jahn, D.; Sener, B.; Roos, M.; Schmidlin, P.R. Polyetheretherketone—A suitable material for fixed dental prostheses? J. Biomed. Mater. Res. Part B Appl. Biomater. 2013, 101, 1209–1216. [Google Scholar] [CrossRef]
- Shady Nabhan, M. Effect of different fixed detachable implant supported prosthesis materials on the stresses induced on the supporting structures. Egypt. Dent. J. 2019, 65, 445–452. [Google Scholar] [CrossRef]
- Papathanasiou, I.; Kamposiora, P.; Papavasiliou, G.; Ferrari, M. The use of PEEK in digital prosthodontics: A narrative review. BMC Oral Health 2020, 20, 217. [Google Scholar] [CrossRef]
- Mohamed, A.M.A.; Nawar, N.H. Strain gauge analysis of the stresses induced by different secondary coping materials in tooth supported telescopic overdentures. Eur. J. Prosthodont. Restor. Dent. 2022, 30, 214–222. [Google Scholar]
- Najeeb, S.; Zafar, M.S.; Khurshid, Z.; Siddiqui, F. Applications of polyetheretherketone (PEEK) in oral implantology and prosthodontics. J. Prosthodont. Res. 2016, 60, 12–19. [Google Scholar] [CrossRef] [PubMed]
- Skirbutis, G.; Dzingutė, A.; Masiliūnaitė, V.; Šulcaitė, G.; Žilinskas, J. A review of PEEK polymer’s properties and its use in prosthodontics. Stomatologija 2017, 19, 19–23. [Google Scholar] [PubMed]
- Walter, L.; Greenstein, G. Utility of measuring anterior-posterior spread to determine distal cantilever length off a fixed implant-supported full-arch prosthesis: A review of the literature. J. Am. Dent. Assoc. 2020, 151, 790–795. [Google Scholar] [CrossRef] [PubMed]
- Dioguardi, M.; Spirito, F.; Quarta, C.; Sovereto, D.; Basile, E.; Ballini, A.; Caloro, G.A.; Troiano, G.; Lo Muzio, L.; Mastrangelo, F. Guided Dental Implant Surgery: Systematic Review. J. Clin. Med. 2023, 12, 1490. [Google Scholar] [CrossRef] [PubMed] [PubMed Central]
- Ronsivalle, V.; Venezia, P.; Bennici, O.; D’Antò, V.; Leonardi, R.; Giudice, A.L. Accuracy of digital workflow for placing orthodontic miniscrews using generic and licensed open systems. A 3d imaging analysis of non-native.stl files for guided protocols. BMC Oral Health 2023, 23, 494. [Google Scholar] [CrossRef] [PubMed] [PubMed Central]
- Attard, N.J.; Zarb, G.A. Long-term treatment outcomes in edentulous patients with implant-fixed prostheses: The Toronto study. Int. J. Prosthodont. 2004, 17, 417–424. [Google Scholar] [CrossRef] [PubMed]
- Shadid, R.; Sadaqa, N. A comparison between screw- and cement-retained implant prostheses. A literature review. J. Oral Implant. 2012, 38, 298–307. [Google Scholar] [CrossRef] [PubMed]
- Capparè, P.; Nagni, M.; D’Orto, B.; Speroni, S.; Gherlone, E.F. Full-Arch Implant-Prosthetic Rehabilitation in Patients Affected by Hypertension: A Randomized Clinical Trial at 7 Years Follow-Up. Appl. Sci. 2023, 13, 11218. [Google Scholar] [CrossRef]
- Buzayan, M.M.; Yunus, N.B. Passive Fit in Screw Retained Multi-unit Implant Prosthesis Understanding and Achieving: A Review of the Literature. J. Indian Prosthodont. Soc. 2014, 14, 16–23. [Google Scholar] [CrossRef] [PubMed] [PubMed Central]
- Heboyan, A.; Vardanyan, A.; Karobari, M.I.; Marya, A.; Avagyan, T.; Tebyaniyan, H.; Mustafa, M.; Rokaya, D.; Avetisyan, A. Dental Luting Cements: An Updated Comprehensive Review. Molecules 2023, 28, 1619. [Google Scholar] [CrossRef] [PubMed] [PubMed Central]
- Elter, B.; Tak, Ö. Influence of cement shade, ceramic thickness, and airborne-particle abrasion of titanium surface on the final color of monolithic lithium disilicate glass-ceramic hybrid-abutment systems in vitro. Quintessence Int. 2022, 53, 678–688. [Google Scholar] [CrossRef] [PubMed]
- Kapos, T.; Evans, C. CAD/CAM technology for implant abutments, crowns, and superstructures. Int. J. Oral Maxillofac. Implant. 2014, 29, 117–136. [Google Scholar] [CrossRef] [PubMed]
- Kihara, H.; Hatakeyama, W.; Kondo, H.; Yamamori, T.; Baba, K. Current complications and issues of implant superstructure. J. Oral Sci. 2022, 64, 257–262. [Google Scholar] [CrossRef] [PubMed]
- Wenz, L.M.; Merritt, K.; Brown, S.A.; Moet, A.; Steffee, A.D. In vitro biocompatibility of polyetheretherketone and polysulfone composites. J. Biomed. Mater. Res. 1990, 24, 207–215. [Google Scholar] [CrossRef] [PubMed]
- Williams, D.F.; McNamara, A.; Turner, R.M. Potential of polyetheretherketone (PEEK) and carbon-fibre-reinforced PEEK in medical applications. J. Mater. Sci. Lett. 1987, 6, 188–190. [Google Scholar] [CrossRef]
- Paratelli, A.; Perrone, G.; Ortega, R.; Gómez-Polo, M. Polyetheretherketone in Implant Prosthodontics: A Scoping Review. Int. J. Prosthodont. 2020, 33, 671–679. [Google Scholar] [CrossRef] [PubMed]
- Sanchez de Val, J.E.M.; Perez Albacete Martinez, C.; Gehrke, S.; Ramirez Fernandez, M.P.; Vicent, V.G.; Gomez Moreno, G.; Calvo Guirado, J.L. Periimplant tissues behavior around non-titanium material: Experimental study in dogs. Ann. Anat. 2016, 206, 104–109. [Google Scholar] [CrossRef]
- Lo Giudice, R.; Puleio, F.; Matarese, M.; Nicita, F.; Pantè, G.G.; Previti, C.; Rizzo, G. BioHPP and soft tissue: Confocal laser scanning evaluation of junctional connective tissue. Clin. Oral Implant. Res. 2019, 30, 283. [Google Scholar] [CrossRef]








Disclaimer/Publisher’s Note: The statements, opinions and data contained in all publications are solely those of the individual author(s) and contributor(s) and not of MDPI and/or the editor(s). MDPI and/or the editor(s) disclaim responsibility for any injury to people or property resulting from any ideas, methods, instructions or products referred to in the content. |
© 2025 by the authors. Licensee MDPI, Basel, Switzerland. This article is an open access article distributed under the terms and conditions of the Creative Commons Attribution (CC BY) license (https://creativecommons.org/licenses/by/4.0/).
Share and Cite
Speroni, S.; Antonelli, L.; Coccoluto, L.; Giuffrè, M.; Sarnelli, F.; Tura, T.; Gherlone, E. The Effectiveness and Predictability of BioHPP (Biocompatible High-Performance Polymer) Superstructures in Toronto-Branemark Implant-Prosthetic Rehabilitations: A Case Report. Prosthesis 2025, 7, 10. https://doi.org/10.3390/prosthesis7010010
Speroni S, Antonelli L, Coccoluto L, Giuffrè M, Sarnelli F, Tura T, Gherlone E. The Effectiveness and Predictability of BioHPP (Biocompatible High-Performance Polymer) Superstructures in Toronto-Branemark Implant-Prosthetic Rehabilitations: A Case Report. Prosthesis. 2025; 7(1):10. https://doi.org/10.3390/prosthesis7010010
Chicago/Turabian StyleSperoni, Stefano, Luca Antonelli, Luca Coccoluto, Marco Giuffrè, Francesco Sarnelli, Tommaso Tura, and Enrico Gherlone. 2025. "The Effectiveness and Predictability of BioHPP (Biocompatible High-Performance Polymer) Superstructures in Toronto-Branemark Implant-Prosthetic Rehabilitations: A Case Report" Prosthesis 7, no. 1: 10. https://doi.org/10.3390/prosthesis7010010
APA StyleSperoni, S., Antonelli, L., Coccoluto, L., Giuffrè, M., Sarnelli, F., Tura, T., & Gherlone, E. (2025). The Effectiveness and Predictability of BioHPP (Biocompatible High-Performance Polymer) Superstructures in Toronto-Branemark Implant-Prosthetic Rehabilitations: A Case Report. Prosthesis, 7(1), 10. https://doi.org/10.3390/prosthesis7010010

