Abstract
Background/Objectives: Primary stability is an important factor for dental implant success, and a high insertion torque (IT) is recommended in cases where an immediate load is required or desired. At the same time, some authors have claimed that it can interfere with bone-to-implant healing. This study aimed to compare the survival rates of implants inserted with different torques in full-arch cases, with or without immediate load, with up to 2-year follow-up. Methods: This study included subjects who required full-arch rehabilitation with implants. All cases were planned for the placement of four implants on each arch and were divided into groups according to the IT and had implant stability quotient (ISQ) measurements taken periodically for up to 2 years. Results: No implant was lost during this period, and no significant differences in peri-implant bone loss were observed. The paired t-test was performed to determine the association between ISQ and IT. Conclusions: The results suggest that initial torques higher than 75 Ncm may not be harmful to the stability of implants placed for full-arch rehabilitation, at least during the study period. Further clinical studies with longer follow-up periods are necessary to confirm these results.
1. Introduction
Functional loading of implants immediately after placement has been used with high success rates in both arches [1]. This procedure has often been used in full-arch implant-supported rehabilitation with excellent long-term results [2].
High primary stability of the implant and maintenance of this stability within the tolerable threshold are primary concerns during the healing period of immediately loaded implants [3]. Considering that there are no methods for direct measurement of micro-movements at the bone–implant interface, indirect methods that evaluate the insertion torque (IT) values and implant stability quotient (ISQ) have been the most common clinical methods for assessing the primary stability of the implant for a predictable immediate loading protocol [3]. The value of the final IT has been the clinical parameter most used to assess primary stability; the peak of the IT is directly related to the degree of micro-movement: higher ITs produce more bone compression on the interface, and thus, higher primary stability [4].
Nevertheless, the parameter of the minimum torque value for a safe, immediate loading protocol still needs to be well established. However, some authors have reported that torque values over 32 Ncm indicate sufficient primary stability for the above-mentioned purposes [5,6].
More clinical data are needed to ensure that high ITs provide clinical advantages. The idea that excessive bone compression due to high ITs could lead to local ischemia and necrosis at the bone–implant interface has been reported in previous studies [7,8,9]. Sub-instrumentation, or undersized drilling, is a concept based on osteotomy preparation that is smaller in diameter than the size of the implant. This has also been used to increase the primary stability of implants [10]. However, this technique for bone instrumentation at an implant site could also present a clinical limitation. At some point, the IT would be too high, and biological damage would result in peri-implant bone necrosis [10]. According to this hypothesis, excessive torque values above 50 Ncm could result in high-stress transmission to the adjacent bone, resulting in failure of osseointegration [5].
The growing interest in immediate loading protocols and, consequently, the need for high primary stability levels by applying high ITs have increased the need to confirm that it would be possible to scientifically demonstrate the hypothesis of compression necrosis reported in the above-mentioned articles. Some studies have questioned the compression necrosis hypothesis [11,12]. Although this hypothesis has been widely accepted in the literature, no published study has confirmed it to date [13]. An animal study [11] investigated the effect of high IT (110 Ncm mean–150 Ncm peak) on osseointegration of unloaded implants. No implants failed during the study, and the authors concluded that these high ITs did not induce bone necrosis or implant failure. The suggestion was that improving the primary stability of implants could be relevant for immediate loading protocols.
Another human study [12] analyzed the clinical results of implants installed with high ITs of over 70 Ncm (110.6 Ncm mean–176 Ncm peak) and evaluated marginal bone levels around the implants. None of the implants had failed during the follow-up period. The authors concluded that high ITs (up to 176 Ncm) did not prevent osseointegration or affect the marginal bone levels around the implants. Three other human studies that stated that high IT would be valued higher than 50 Ncm showed comparable results between implants placed with high or low torques in terms of implant survival [14,15,16]. However, two studies concluded that higher torque showed evidence of higher bone loss around these implants [14,15].
The literature regarding the effects of high ITs on the osseointegration of implants in vivo is still scarce. There are still many doubts about the possible lesions to local bone that these high torques could cause. The aim of this preliminary 2-year clinical prospective controlled case series study was to assess the effects of high IT on the osseointegration of dental implants with All-on-Four treatment protocols.
2. Materials and Methods
2.1. Pre-Surgical Evaluation
This case series was conducted in accordance with the clinical case reporting guideline (CARE) [17], and the patients provided written terms of free and informed consent to the publication of their cases. The study was conducted in compliance with the Declaration of Helsinki and approved by the Guarulhos University Ethics Committee on Clinical Research (IRB: 61544116.7.0000.5506). Furthermore, it involved patients who presented for full-arch rehabilitation treatment at Guarulhos University (UnG, Guarulhos, SP, Brazil) from January 2017 to October 2017. All patients in this study had completely or partially edentulous arches with the remaining teeth (maxillary and/or mandibular) indicated for extraction. The teeth indicated for extraction in partially dentate patients included those with longitudinal fractures, periodontal disease, endodontic failure, perforated roots or prosthetic convenience.
The inclusion criteria were the need for full-arch rehabilitation with a completely fixed implant-supported dental prosthesis, adequate bone volume for implant installation, the patient’s ability and willingness to follow the study protocol and a good state of general health [12]. Bone volume was assessed using radiographic and tomographic measurements. For the patient’s inclusion in this study, the degree of bone resorption should be Division A or B, as suggested by Misch (1990) [18]. Furthermore, the premaxillary and inter-foraminal bone height should be sufficient to allow the placement of two tilted distal implants with a minimum length of 13 mm and two axial anterior implants with a minimum length of 10 mm, according to the All-on-Four protocol [19,20]. Patients who did not present these bone dimensions were excluded. The exclusion criteria were inadequate bone volume, general and local health conditions that prevented the use of local anesthesia and/or intraoral surgery, general conditions that could lead to problems with osseointegration, such as the use of bisphosphonates for osteoporosis treatment, and parafunctional habits, such as bruxism. Smoking status was not used as an exclusion criterion [12].
The patients were offered all possible treatment options, so they could choose which treatment plan was more adequate for each patient. Those enrolled in the study chose the procedure and authorized it by signing a term of consent in accordance with the Helsinki Declaration (1975, revised in 2013). The primary goal was to achieve sufficient initial stability to perform immediate loading, and thus, in some cases, sub-instrumentation of the implant sites could be performed in order to ensure this objective. The choice for sub-instrumentation was left for the surgeon to decide, regardless of the region, whenever they felt the bone density appeared to be D3 or D4 [18], according to their experience. In regions with a denser bone or cortical (D1 or D2), conventional instrumentation was performed. At least 45 Ncm of initial torque was necessary to continue with the immediate loading, but higher values could be reached if possible [12]. Diagnosis and treatment planning included study models articulated in a semi-adjustable articulator, clinical photographs, panoramic radiographs (Figure 1) and cone-beam computed tomography (CBCT) imaging exams to identify the anatomical structures and visualize the presence of any pathology. After the oral rehabilitation project was ready, a multifunctional guide to determine the best implant placement positions was fabricated.
Figure 1.
Baseline panoramic radiograph.
2.2. Surgical Protocol
Patients were medicated with 2 g of amoxicillin intraorally 2 h before the surgical procedure [12]. None of the enrolled patients was allergic to penicillin. Immediately before surgery, patients were rinsed with 2% chlorhexidine for 1 min. All surgeries were performed by two highly experienced surgeons (AC and TM). Local anesthesia with Articaine Chlorohydrate with adrenaline 1:100,000 (DFL, Rio de Janeiro, RJ, Brazil) was administered during all surgical procedures (Figure 2).
Figure 2.
Initial view of the mandibular arch after anesthesia.
A supra-crestal incision was made in the first molar region, and two vertical releasing incisions were made in the first molar region. A mucoperiosteal flap was made and deflected, allowing the anatomical structures to be visualized [19] (Figure 3).
Figure 3.
View of the mandible after elevating the mucoperiosteal flap.
The drilling sequence for implant installation was performed according to the instructions of the implant manufacturer (Dérig, São Paulo, SP, Brazil), according to the All-on-Four protocol (Figure 4) [19,20,21].
Figure 4.
View of the mandible with parallel pins to check implant positions for the All-on-Four concept.
During bone instrumentation, when the surgeon’s experience enabled them to sense that the implant sites would have poor bone density, they performed sub-instrumentation to obtain the highest torque value possible at every site [10]. The surgeons decided this based on their extensive experience with All-on-Four treatments to promote lateral compression of the bone, thereby increasing primary stability [10]. The implants used in this study were tapered, with a rough surface, internal tri-channel connection implants (TRI Bioneck RP ∅ 4.3 mm, Dérig, São Paulo, Brazil) (Figure 5).
Figure 5.
TRI Bioneck RP implant (Dérig, São Paulo, Brazil).
The implants were initially inserted with the handpiece adjusted to an initial IT of 45 Ncm. When the handpiece was stalled, the implant was manually inserted using a custom-made torque wrench [12]. This instrument allowed torques of up to 200 Ncm (Figure 6) to be measured until the implant was completely seated (Figure 7 and Figure 8).
Figure 6.
Detail of the custom-made torque wrench allowing measurements of up to 200 Ncm to be taken.
Figure 7.
Implants placed according to the All-on-Four concept.
Figure 8.
The implant reaching the reading of 150 Ncm on the wrench.
Maximum IT and ISQ (Ostell, W&H, Gothenburg, Sweden) values were recorded for each implant (Figure 9).
Figure 9.
Implant stability quotient (ISQ) recording after implant placement.
Implants with IT values equal to or higher than 75 Ncm were included in the study for follow-up and measurements, while implants with IT values lower than 75 Ncm were not marked as being of primary interest to this study. Despite this, when all four implants reached torques equal to or greater than 45 Ncm [22], immediate loading was performed. Straight multi-unit abutments were tightened to the anterior implants with a torque of 32 Ncm, and 17° or 30° angled multi-unit abutments (Dérig, São Paulo, Brazil) were drawn to the distal tilted implants with a torque of 20 Ncm [19]. After placing the abutments, the surgical wounds were sutured with 4-0 silk thread (Ethicon, São Paulo, SP, Brazil) (Figure 10).
Figure 10.
Occlusal view of the mandible after multi-unit covers were installed and sutured with 4.0 silk thread.
If one or more implants in the arch did not reach an installation torque of 45 Ncm, cover screws were installed over the implants, and primary wound closure was performed with a 4-0 silk thread (Ethicon, São Paulo, SP, Brazil). Patients were asked to rinse with 2% chlorhexidine three times daily for 10 days after surgery [12]. Amoxicillin 875 mg was prescribed two times a day for seven days. Ibuprofen 600 mg was also prescribed twice daily for 5 days for pain control.
2.3. Prosthetic Protocol
All dental prostheses were planned and fabricated post-surgically. The implant-supported screw-retained prostheses were delivered in two different ways, varying according to the loading protocol—immediate or delayed—determined by the primary stability obtained during implant installation [21].
Immediate loading was performed in cases where all four implants presented high primary stability, with installation torques of over 45 Ncm [22]. Impressions of the implants and residual ridges were performed immediately after surgery using the multifunctional guide as an open-tray transfer splinted with a low-shrinkage modeling resin. Only the soft putty addition silicon material was used, without the light-body material. The next day, a nickel–chromium metal bar, which was made according to the position of the teeth in the multifunctional guide, was tried and sent to mount the teeth for patient approval. On the same day, the esthetic appearance and maxillomandibular relations were tried. After dentist and patient approval, the prostheses were sent for full laboratory processing with acrylic materials [21].
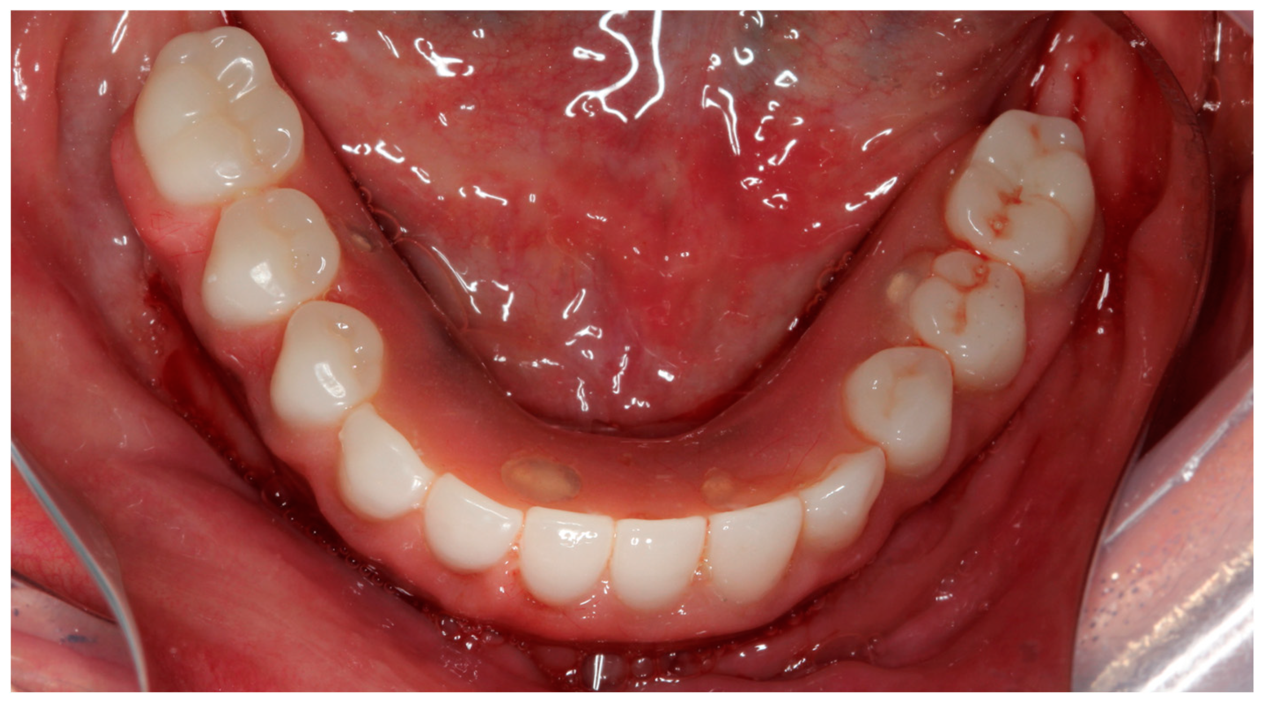
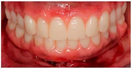
The installation and final occlusal adjustments of the full-arch rehabilitation occurred 48 h after surgery (Figure 11 and Figure 12).
Figure 11.
Occlusal view of the mandibular full-arch screw-retained rehabilitation 48 h after surgery.
Figure 12.
Buccal view of rehabilitations of both arches according to the All-on-Four concept 48 h after surgery.
Delayed loading was performed in cases where one or more implants did not reach the torque of 45 Ncm. Throughout the 6 months of healing, patients wore conventional removable prostheses relined with a soft silicon liner (Ufi Gel, VOCO GmbH, Cuxhaven, Germany) to avoid acrylic contact with the submerged implants. Fixed prostheses were constructed after second-stage surgery, six months after the implant installation.
2.4. Follow-Up
Patients were followed up for two years after implant installation, according to the following appointment schedules: time intervals of 7 days, 60 days, 6 months, 12 months, 18 months and 24 months [21]. The success criteria used in this study were, as suggested by Misch [23], no mobility, no pain during function, less than 2 mm of radiographic bone loss after initial surgery and no history of exudates. The clinical parameters of the implants were assessed during all follow-up appointments. Patients were examined using periodontal probing, CT scans, radiographs (Figure 13), intra- and extra-oral photographs and ISQ assessment.
Figure 13.
Two-year follow-up control panoramic radiograph.
All patients were instructed twice daily to use interdental brushes, dental floss and an oral hygiene system based on high-pressure water spray for biofilm control. Professional control was performed at every follow-up appointment [21]. Panoramic radiographs and CT scans were obtained before and after surgery and at every follow-up appointment. Inspection during the follow-up appointments included assessment of oral hygiene, soft tissue health (peri-implant pockets, pain and exudation), radiographic and tomographic aspects of the bone/implant interface, ISQ measurements, verification of screw loosening and other possible complications.
2.5. Statistical Analysis
Statistical analyses were conducted using GraphPad Prism (version 9.0.2, GraphPad Software, San Diego, CA, USA). The Shapiro–Wilk test was used to assess the normality of sample distributions. To evaluate the changes in insertion torque (IT) values and implant stability quotient (ISQ) measurements across different time points, a paired t-test was performed. Statistical significance was set at p < 0.05. This methodological approach ensures a robust and reliable analysis, allowing for the precise examination of the temporal relationships between IT and ISQ values, thereby enhancing the statistical validity and interpretability of the findings.
3. Results
A total of 11 patients fulfilled the inclusion criteria for this study: 9 women and 2 men, with a mean age of 56. A total of 19 All-on-Four treatments were performed, and 76 implants were placed: 10 in the maxilla (40 implants) and 9 in the mandible (36 implants). In six cases, immediate loading was performed in the maxilla, but with only 14 implants achieving 75 Ncm or higher among these six patients, and in all nine mandibular treatments, it was possible to perform immediate loading, with 29 implants achieving 75 Ncm or higher among all of the nine patients. A total of 43 implants were selected for analysis in this study. No implants in this study were lost either in immediate or delayed loading treatment; that is, irrespective of the IT value, all implants survived until the last appointment. The IT values of the implants analyzed in this study (n = 43) varied from 75 Ncm to values exceeding 120 Ncm: 14 in the maxilla and 29 in the mandible. Three implants reached 150 Ncm, four implants reached 180 Ncm, and two implants achieved 200 Ncm, all in the mandible. Although bone loss around the implant neck was not a parameter measured in this study on radiographs, we observed no significant bone loss in any of the implants (p < 0.05). Sub-instrumentation was performed in 84.2% of the implants placed (all 40 maxillary implants and 24 mandibular implants), and this may have helped with reaching these higher IT values. This means that 84% of the implants were inserted at D3 or D4 bone density, according to the surgeon’s perspective.
Smoking habits appeared to have no influence on implant survival. Three patients were light smokers (≤10 cigarettes per day) [12], and eight were non-smokers.
Table 1 shows the comparison of the ISQ measurement in the maxilla from the time of implant placement (initial) and the mean primary to secondary stability (osseointegration) values at time intervals of 7 days, 7–60 days, from the time of placement up to the last follow-up, 24 months in six maxillary cases and 12 months in four patients.
Table 1.
Analysis of implant stability quotient (ISQ) means according to torques above 70 Ncm. IT—initial torque value; ISQ—implant stability quotient; SD—standard deviation. p ≤ 0.05 = statistical difference.
Table 2 presents a comparison of ISQ measurements in the mandible at three key time points: at the time of implant placement (initial), after seven days and between seven and sixty days after placement. This analysis covers the transition from primary stability to secondary stability (osseointegration) and extends to the final follow-up at 24 months for four mandibular cases and 12 months for another four cases. The Shapiro–Wilk test was conducted to assess the normality of the sample. Subsequently, a paired t-test was employed to evaluate the relationship between the IT value and ISQ measurements during the initial phase and throughout the healing period, with significance set at p < 0.05.
Table 2.
Analysis of ISQ means according to torques above 75 Ncm. IT—initial torque value; ISQ—implant stability quotient; SD—standard deviation. p ≤ 0.05 = statistical difference.
For maxillary implants with torques above 70 Ncm, comparisons between the initial and 7-day ISQ values (p = 0.3230), between the 7-day and 60-day values (p = 0.4633), and between the initial and 24-month values (p = 0.3245) showed no statistically significant differences (Table 1).
For mandibular implants with torques above 70 Ncm, all comparisons showed statistically significant differences between the initial and 7-day ISQ values (p < 0.001), between the 7-day and 60-day values (p = 0.0102), and between the initial and 24-month values (p < 0.001) (Table 2). These results indicate a more dynamic stability pattern in mandibular implants compared to maxillary implants.
The mean bone loss around the implants was 1.08 ± 0.49 mm in the maxilla and 0.90 ± 0.28 mm in the mandible. All cases performed in the mandible were immediately loaded, but in the maxilla, we found 1.01 ± 0.41 mm bone loss in immediate loading cases and 1.11 ± 0.60 mm bone loss in delayed load cases. Regarding the method of bone instrumentation, in all maxilla cases, sub-instrumentation was performed, and in the mandible, conventional instrumentation showed 0.76 ± 0.13 mm bone loss against 0.97 ± 0.32 mm bone loss in sub-instrumentation cases. When comparing high and regular/low torque groups, we found 0.96 ± 0.36 mm and 1.03 ± 0.47 mm bone loss, respectively.
4. Discussion
The primary stability of dental implants is defined as their capacity to resist axial, lateral and rotational loads [4]. This is of utmost importance, especially for immediate loading protocols. In this study, we found 100% success in All-on-Four protocols with immediate loading and high initial IT for the region where the implant was placed. The success of immediate loading has been well demonstrated in the literature; however, the stiffness of the bone/implant/crown junction must be ensured to achieve a predictable result [11,24,25]. Some factors influence the primary stability of implants during installation. The first factor is bone density; its local composition determines the mechanical properties of the bone. Implants installed in dense cortical bone present higher primary stability than implants placed in cancellous bone. The second factor is the role of compressive stresses at the bone–implant interface. The use of a final bur with a smaller diameter than the implant, a procedure known as sub-instrumentation of the implant site, results in significant compression of the local bone, leading to radial stresses that can be beneficial for increasing the primary stability of the implant [10]. Sub-instrumentation of the implant site produces an increase in the moment of force necessary for installing the implant in position. This moment of force is referred to as the IT. Increasing the IT makes it possible to increase the primary stability [7,11,12,26]. Some of the implants placed in the maxilla could reach even higher values than 100 Ncm when sub-instrumentation was performed, showing the importance of this technique in low-density bone. The third factor is implant geometry. Tapered implants have higher primary stability levels than cylindrical implants [27]. Surface roughness also appears to influence implant stability, as implants with rough surfaces appear to have higher primary stability than smooth surface implants [28]. From a clinical standpoint, sub-instrumentation of implant sites appears to provide implants with better levels of primary stability, irrespective of local bone density [8].
To enhance the chances of obtaining a high IT, conical implants with rough surfaces were used in both the maxilla and the mandible. Implant site preparation was performed at sites with high-density bone, in accordance with the manufacturer’s recommendations. In sites with low bone density (D3 or D4), sub-instrumentation was performed to promote higher lateral compression of the bone, thereby increasing primary stability, although the idea that excessive bone compression could result in local ischemia and bone necrosis has been widely reported. This necrosis could result in implant periapical lesions, which could demand treatment with different degrees of invasiveness, including removal of the implant [7,8]. Compression necrosis is still a hypothesis [13]. If the bone is compressed beyond its physiological tolerance, this can result in local ischemia with subsequent necrosis or sequestrum formation, which can lead to implant failure. Moreover, excessive torque can transmit high stresses to the marginal bone around the implant, dense cortical bone with minimum blood supply and greater susceptibility to necrosis after implant installation [5,8,9,10,14,15]. An animal study [11] aiming to compare the bone healing process of implants inserted in cortical bone with low torques (10 Ncm) and with high torques (mean 110 Ncm, with peak 150 Ncm) found that, in fact, this high stress on the peri-implant bone produced microcracks but did not induce deleterious bone resorption. On the other hand, this phenomenon seems to accelerate bone remodeling compared to low IT implants. The study concluded that high IT (up to 150 Ncm) in an unloaded healing situation does not induce bone necrosis or implant failure and still increases the primary and secondary stability of the implants. This event is more than relevant in our study because we performed immediate loading of these implants, and some of our implants reached initial torques similar to this animal study [11]. In humans, we do not know any specific research that has been published to clarify how high the initial torque should be to induce bone resorption beyond remodeling, leading to implant failure.
Another experimental study [29] performed a histological analysis of the effects of high ITs on the adjacent bone, with torque values of 80, 120 and 150 Ncm. None of these high torque levels resulted in failure of the implants. The 150 Ncm group showed high compression of the adjacent bone, whereas the 80 Ncm group presented a significantly lower compression. The compressed bone areas in all groups developed into bone regeneration with no signs of ischemia or necrosis. The authors concluded that different torque levels resulted in different initial healing patterns. However, no significant differences were observed in the final histological pattern. They also concluded that high ITs promoted more extensive bone remodeling around the implants but did not prevent the occurrence of osseointegration.
To date, no clinical prospective studies have been able to demonstrate the occurrence of compression necrosis due to high IT. Two papers reported implant failure supposedly due to high IT, but both papers reported single clinical cases [30,31]. Our study showed results on high torques for implants placed according to the All-on-Four concept, which may have had higher stability than single implants. Other studies have reported higher bone resorption around implants with high IT [14,15,32,33,34,35]. In contrast, several studies, among them animal models [11,28,36,37,38,39,40,41] and human studies [12,42,43,44,45,46,47,48], analyzed the outcomes of high ITs, the majority of them equal to or higher than 70 Ncm, with the same parameters used in the present study. All of these studies reported no significant differences between conventional and high ITs concerning success rates. Regarding marginal bone loss, our results showed no significant differences between high and regular or low initial torques during the evaluation period. However, the high-torque group showed less bone loss than the other groups, similar to another study [12]. Bone loss in the maxilla and mandible was similar but with less bone loss in the mandible, even with more cortical bone around the implants, which could lead to minor bone remodeling compared to a more medullary one. The same results were found when comparing bone loss in immediate versus delayed load implants. The major difference was found in the bone instrumentation technique, with less bone loss in implants placed using conventional protocol in comparison with sub-instrumentation, even though clinically, the difference was not significant. This may be explained by the All-on-Four configurations, where the fixed rehabilitation may help stabilize the implant. This corroborates some clinical studies [12,45,47] that also showed no differences in marginal bone loss on implants inserted with high and low ITs. Furthermore, systematic reviews with meta-analyses [49,50,51,52,53] have also been published regarding high ITs. These observed no significant difference in marginal bone resorption and implant failure rates between implants inserted with high, regular or low IT values.
A systematic review with meta-analysis on immediately loaded implants performed according to the All-on-Four protocol for full-arch rehabilitation [54] reported that 74% of the implant failures occurred during the first 12 months, which consisted of the healing period. These findings suggest that the critical period for the success of immediately loaded implants for full-arch rehabilitation is the healing period, during which secondary stability is not yet sufficient to secure osseointegration of the implant. Therefore, reaching and maintaining high primary stability values during the healing period, as suggested by the present study, could be a valuable approach for guaranteeing immediately loaded implants, with the purpose of increasing implant safety in the critical phase in which most of the failures occur. Factors related to implants, such as macro/micro geometry [27] and surface roughness [28], influence secondary stability but are primarily related to the bone itself. Sub-instrumentation [8] and osseodensification [55] demonstrate greater clinical effectiveness in improving primary stability, particularly for immediately loaded implants [56]. Additionally, testing secondary stability in combination with adjunctive treatments, such as ozone [57,58] or photobiomodulation [59], would provide valuable insights into their combined effects on long-term outcomes.
With such high IT values in our study, high stresses were transmitted to the adjacent bone, and high compression was exerted on both cancellous and cortical bone due to the conical geometry of the implants. No signs of ischemia or necrosis resulting from this compression could be clinically and/or radiographically confirmed in any of the implants analyzed. However, we found higher ISQ values for implant placement in the mandible than in the maxilla. At the last control appointment, the two arches demonstrated similar results, regardless of the torque group. No implants failed during the 2-year follow-up of this study, and there was no significant difference in the marginal bone levels around the implants. The results of the present study indicated that high IT did not induce ischemia or necrosis of the adjacent bone, as reported in other studies [14,15,32,33,34,35]. Instead, high IT promoted radial compression of the marginal bone, increasing the primary stability of the implant. This could be particularly significant when considering immediate loading protocols. High ITs can reach and maintain a higher primary stability for immediately loaded implants during healing. This could mean more security for these implants during the critical healing period before secondary stability is reached. The ISQ measurements showed a shallow depth of these implants placed with IT values ≥ 75 Ncm in the maxilla, with recovery to similar values found at the time of implant placement. However, in the mandible, where we found higher values, the depth between primary and secondary stability was more evident, similar to values shown in another clinical study on the mandible [15]. These findings corroborated those of another human study with a 12-month follow-up, showing that high initial torque (>50 Ncm) did not result in higher secondary stability [60]. Nevertheless, the ISQ measurements showed a recovery to values considered optimal for maintaining osseointegration without problems, as was found during the control appointments, with bone loss no higher than expected, no mobility and no pain during masticatory function or pressure test during the period of the follow-up. This result appears to endorse the hypothesis that IT values higher than 80 Ncm may not be harmful to peri-implant bone or clinically affect the stability of implants, although this was the objective of the study and may be interpreted as bias.
This study had some limitations, such as the small sample size, which reached a minimum of 75 Ncm, which enabled it to enter the analysis and a comprehensive short-term follow-up (<5 years). Another limitation is the absence of a 30-day ISQ measurement that could have provided essential data on the osseointegration process. Moreover, this study showed an interesting clinical point of view on the behavior of dental implants placed with higher torque values. The study included 76 implants placed in 11 patients, with 40 in the maxilla and 36 in the mandible. Of these, 43 implants were selected for analysis, with 14 in the maxilla and 29 in the mandible, all of which had an IT value of 75 Ncm or higher. While the authors performed statistical tests to analyze the data, including a Shapiro–Wilk normality test and a paired t-test, they did not conduct a power analysis. This omission raises concerns regarding the validity of the findings, as it is unclear whether the observed results are statistically significant or merely due to chance.
The authors acknowledge the limitations of the small sample size and recommend further studies with a larger number of implants and patients to confirm these results. Therefore, addressing the power analysis in future research is crucial to enhance the reliability of the study’s conclusions. Earlier studies [5,6,11,13] showed that the IT ranging between 25 and 32 Ncm was sufficient to achieve primary stability; however, these studies evaluated implant systems that mounted a dental implant that supported torque forces no higher than 32 Ncm. Finally, we must point out that osseointegration occurred even in implants placed with low IT (<20 Ncm). The idea that low or higher ITs would influence the bone-to-implant contact and peri-implant bone-tissue behavior depends on several other clinical variables, such as bone architecture, macro- and micro-geometry of the implants and distribution of the occlusal load.
5. Conclusions
The results of this 2-year prospective case series study showed a 100% success rate for implants placed with high ITs according to the All-on-Four concept. These results suggest that high ITs could be used to reach and maintain higher primary stability values for immediately loaded implants during the healing period. However, these data must be evaluated with caution, and further studies with a higher number of implants and patients included must be conducted. Further longitudinal studies (>5 years) are also necessary to confirm and validate these results.
Author Contributions
Conceptualization, A.C., T.d.M. and J.A.S.; methodology, A.C., T.d.M. and J.A.S.; software, T.d.M., R.B., I.R.O. and T.R.; validation, A.C., C.F.M., J.A.S., N.D.P. and T.d.M.; formal analysis, R.B., I.R.O., N.D.P. and M.d.C.F.; investigation, A.C. and T.d.M.; resources, A.C.; data curation, M.d.C.F., D.d.R.F. and N.D.P.; writing—original draft preparation, A.C. and A.P.; writing—review and editing, C.F.M., M.d.C.F., N.D.P. and J.A.S.; visualization, C.F.M., A.P. and J.A.S.; supervision, J.A.S.; project administration, A.C.; funding acquisition, A.C. All authors have read and agreed to the published version of the manuscript.
Funding
This research received no external funding.
Institutional Review Board Statement
The study was conducted in accordance with the Declaration of Helsinki and approved by the Ethics Committee of the University of Guarulhos (Clinical Research protocol code IRB: 61544116.7.0000.5506, Approval Date: 12 December 2016).
Informed Consent Statement
Written informed consent was obtained from patients to publish this paper.
Data Availability Statement
The datasets used and/or analyzed in the current study are available from the corresponding authors upon reasonable request.
Conflicts of Interest
The authors declare no conflicts of interest.
References
- Del Fabbro, M.; Testori, T.; Kekovic, V.; Goker, F.; Tumedei, M.; Wang, H.L. A Systematic Review of Survival Rates of Osseointegrated Implants in Fully and Partially Edentulous Patients Following Immediate Loading. J. Clin. Med. 2019, 8, 2142. [Google Scholar] [CrossRef]
- Agliardi, E.L.; Pozzi, A.; Romeo, D.; Del Fabbro, M. Clinical outcomes of full-arch immediate fixed prostheses supported by two axial and two tilted implants: A retrospective cohort study with 12–15 years of follow-up. Clin. Oral. Implant. Res. 2023, 34, 351–366. [Google Scholar] [CrossRef]
- Lee, J.; Pyo, S.W.; Cho, H.J.; An, J.S.; Lee, J.H.; Koo, K.T.; Lee, Y.M. Comparison of implant stability measurements between a resonance frequency analysis device and a modified damping capacity analysis device: An in vitro study. J. Periodontal Implant. Sci. 2020, 50, 56–66. [Google Scholar] [CrossRef] [PubMed]
- Tumedei, M.; Piattelli, A.; Degidi, M.; Mangano, C.; Iezzi, G. A Narrative Review of the Histological and Histomorphometrical Evaluation of the Peri-Implant Bone in Loaded and Unloaded Dental Implants. A 30-Year Experience (1988–2018). Int. J. Environ. Res. Public Health 2020, 17, 2088. [Google Scholar] [CrossRef]
- Sotto-Maior, B.S.; Rocha, E.P.; Almeida, E.O.; Freitas-Júnior, A.C.; Anchieta, R.B.; Del Bel Cury, A.A. Influence of high insertion torque on implant placement—An anisotropic bone stress analysis. Braz. Dent. J. 2010, 21, 508–514. [Google Scholar] [CrossRef] [PubMed]
- Dos Santos, M.V.; Elias, C.N.; Lima, J.H.C. The effects of superficial roughness and design on the primary stability of dental implants. Clin. Implant. Dent. Relat. Res. 2011, 13, 215–223. [Google Scholar] [CrossRef] [PubMed]
- Meridith, N. Assessment of implant stability as a prognostic determinant. Int. J. Prosthodont. 1998, 11, 491–501. [Google Scholar]
- Gonzáles-Martín, O.; Lee, E.A.; Veltri, M. CBCT fractal dimension changes at the Apex of immediate implants placed using undersized drilling. Clin. Oral. Implant. Res. 2012, 23, 954–957. [Google Scholar] [CrossRef]
- Isoda, K.; Ayukawa, Y.; Tsukiyama, Y.; Sogo, M.; Matsushita, Y.; Koyano, K. Relationship between the Bone Density Estimated by Cone-Beam Computed Tomography and the Primary Stability of Dental Implants: Relationship between Bone Density and Implant Stability. Clin. Oral. Implant. Res. 2012, 23, 832–836. [Google Scholar] [CrossRef]
- Jimbo, R.; Tovar, N.; Anchieta, R.B.; Machado, L.S.; Marin, C.; Teixeira, H.S.; Coelho, P.G. The combined effects of undersized drilling and implant macrogeometry on bone healing around dental implants: An experimental study. Int. J. Oral. Maxillofac. Surg. 2014, 43, 1269–1275. [Google Scholar] [CrossRef]
- Trisi, P.; Todisco, M.; Consolo, U.; Travaglini, D. High versus low implant insertion torque: A histologic, histomorphometric, and biomechanical study in the sheep mandible. Int. J. Oral. Maxillofac. Implant. 2011, 26, 837–849. [Google Scholar]
- Khayat, P.G.; Arnal, H.M.; Tourbah, B.I.; Sennerby, L. Clinical outcome of dental implants placed with high insertion torques (up to 176Ncm). Clin. Implant. Dent. Relat. Res. 2013, 15, 227–233. [Google Scholar] [CrossRef]
- Greenstein, G.; Cavallaro, J. Implant insertion torque: Its role in achieving primary stability of restorable dental implants. Compend. Contin. Educ. Dent. 2017, 38, 88–95. [Google Scholar]
- Aldahlawi, S.; Demeter, A.; Irinakis, T. The effect of implant placement torque on crestal bone remodeling after 1 year of loading. Clin. Cosmet. Investig. Dent. 2018, 10, 203–209. [Google Scholar] [CrossRef]
- Dahdal, S.; Alkhori, I.; Shihabi, S. Evaluation of the effectiveness of high insertion torques on implant stability quotient (ISQ) and marginal bone loss of implants in posterior mandible. Int. J. Dent. Oral. Sci. 2021, 8, 4887–4891. [Google Scholar]
- Elbeialy, R.R.; El-Beialy, W.R. Outcome of dental implants placed with high insertion torque. Egypt. Dent. J. 2017, 63, 299–306. [Google Scholar] [CrossRef]
- Gagnier, J.J.; Kienle, G.; Altman, D.G.; Moher, D.; Sox, H.; Riley, D.; CARE Group. The CARE Guidelines: Consensus-based Clinical Case Reporting Guideline Development. Glob. Adv. Health Med. 2013, 2, 38–43. [Google Scholar] [CrossRef] [PubMed]
- Misch, C. Classifications and treatment options of the completely edentulous arch in implant dentistry. Dent. Today 1990, 9, 26, 28–30. [Google Scholar] [PubMed]
- Malo, P.; Rangert, B.; Nobre, M. “All-on-Four” immediate-function concept with Branemark system implants for completely edentulous mandibles: A retrospective clinical study. Clin. Implant. Dent. Relat. Res. 2003, 5, 2–9. [Google Scholar] [CrossRef] [PubMed]
- Malo, P.; Rangert, B.; Nobre, M. All-on-4 immediate-function concept with Brånemark system implants for completely edentulous maxillae: A 1-year retrospective clinical study. Clin. Implant. Dent. Relat. Res. 2005, 5, S88–S94. [Google Scholar] [CrossRef]
- Narvaja, A.; Shibli, J.A.; Coppede, A.; Giro, G.; Feres, M.; Faveri, M. Microbiologic Analysis of Immediately Loaded Full-Arch Implant-Retained Prosthesis Protocol After 2 Years of Loading: A Retrospective Study. Int. J. Oral. Maxillofac. Implant. 2018, 33, 1339–1344. [Google Scholar] [CrossRef] [PubMed]
- Canizzaro, G.; Leone, M.; Ferri, V.; Viola, P.; Federico, G.; Esposito, M. Immediate loading of single implants inserted flapless with medium or high insertion torque: A 6-month follow-up of a split-mouth randomized controlled trial. Eur. J. Oral. Implantol. 2012, 5, 333–342. [Google Scholar]
- Misch, C.E.; Perel, M.L.; Wang, H.L.; Sammartino, G.; Galindo-Moreno, P.; Trisi, P.; Steigmann, M.; Rebaudi, A.; Palti, A.; Pikos, M.A.; et al. Implant success, survival, and failure: The International Congress of Oral Implantologists (ICOI) Pisa Consensus Conference. Implant. Dent. 2008, 17, 5–15. [Google Scholar] [CrossRef] [PubMed]
- Degidi, M.; Daprile, G.; Piatelli, A. Determination of primary stability: A comparison of the surgeon’s perception and objective measurements. Int. J. Oral. Maxillofac. Implant. 2010, 25, 558–561. [Google Scholar]
- Degidi, M.; Daprile, G.; Piatelli, A.; Iezzi, G. Development of a new implant primary stability parameter: Insertion torque revisited. Clin. Implant. Dent. Relat. Res. 2013, 15, 637–644. [Google Scholar] [CrossRef] [PubMed]
- O’Sullivan, D.; Sennerby, L.; Meredith, N. Measurements comparing the initial stability of five designs of dental implants: A human cadaver study. Clin. Implant. Dent. Relat. Res. 2000, 2, 85–92. [Google Scholar] [CrossRef]
- Bartold, P.M.; Kuliwaba, J.S.; Lee, V.; Shah, S.; Marino, V.; Fazzalari, N.L. Influence of surface roughness and shape on microdamage of the osseous surface adjacent to titanium dental implants. Clin. Oral. Implant. Res. 2011, 22, 613–618. [Google Scholar] [CrossRef] [PubMed]
- Javed, F.; Almas, K.; Crespi, R.; Romanos, G.E. Implant surface morphology and primary stability: Is there a connection? Implant. Dent. 2011, 20, 40–46. [Google Scholar] [CrossRef]
- Campos, F.E.; Gomes, J.B.; Marin, C.; Teixeira, H.S.; Suzuki, M.; Witek, L.; Zanetta-Barbosa, D.; Coelho, P.G. Effect of drilling dimension on implant placement torque and early osseointegration stages: An experimental study in dogs. J. Oral. Maxillofac. Surg. 2012, 70, e43–e50. [Google Scholar] [CrossRef]
- Piatelli, A.; Scarano, A.; Balleri, P.; Favero, G.A. Clinical and histological evaluation of an active “implant periapical lesion”. A case report. Int. J. Oral. Maxillofac. Implant. 1998, 13, 713–716. [Google Scholar]
- Bashutski, J.D.; D’Silva, N.J.; Wang, H.L. Implant compression necrosis: Current understanding and case report. J. Periodontol. 2009, 80, 700–704. [Google Scholar] [CrossRef] [PubMed]
- Duyck, J.; Corpas, L.; Vermeiren, S.; Ogawa, T.; Quirynen, M.; Vandamme, K.; Jacobs, R.; Naert, I. Histological, histomorphometrical, and radiological evaluation of an experimental implant design with a high insertion torque. Clin. Oral. Implant. Res. 2010, 21, 877–884. [Google Scholar] [CrossRef] [PubMed]
- Stavropoulos, A.; Cochran, D.; Obrecht, M.; Pippenger, B.E.; Dard, M. Effect of Osteotomy preparation on osseointegration of immediately loaded, tapered dental implants. Adv. Dent. Res. 2016, 28, 34–41. [Google Scholar] [CrossRef]
- Barone, A.; Alfonsi, F.; Derchi, G.; Tonelli, P.; Toti, P.; Marchionni, S.; Covani, U. The effect of insertion torque on the clinical outcome of single implants: A randomized clinical trial. Clin. Implant. Dent. Relat. Res. 2016, 18, 588–600. [Google Scholar] [CrossRef] [PubMed]
- Marconcini, S.; Giammarinaro, E.; Toti, P.; Alfonsi, F.; Covani, U.; Barone, A. Longitudinal analysis on the effect of insertion torque on delayed single implants: A 3-year randomized clinical study. Clin. Implant. Dent. Relat. Res. 2018, 20, 322–332. [Google Scholar] [CrossRef] [PubMed]
- Warreth, A.; Polyois, J.; Lee, C.T.; Claffey, N. Generation of microdamage around endosseous implants. Clin. Oral. Implant. Res. 2009, 20, 1300–1306. [Google Scholar] [CrossRef]
- Consolo, U.; Travaglini, D.; Todisco, M.; Trisi, P.; Galli, S. Histologic and biomechanical evaluation of the effects of implant insertion torque on peri-implant bone healing. J. Craniofac Surg. 2013, 24, 860–865. [Google Scholar] [CrossRef] [PubMed]
- Rea, M.; Botticelli, D.; Ricci, S.; Soldini, C.; Gonzáles, G.G.; Lang, N.P. Influence of immediate loading on healing of implants installed with different insertion torques—An experimental study in dogs. Clin. Oral. Implant. Res. 2015, 26, 90–95. [Google Scholar] [CrossRef] [PubMed]
- Duyck, J.; Roesems, R.; Cardoso, M.V.; Ogawa, T.; De Villa Camargos, G.; Vandamme, K. Effect of insertion torque on titanium implant osseointegration: An animal experimental study. Clin. Oral. Implant. Res. 2015, 26, 191–196. [Google Scholar] [CrossRef]
- Eom, T.G.; Kim, H.W.; Jeon, G.R.; Yun, M.J.; Huh, J.B.; Jeong, C.M. Effects of different Implant osteotomy reparation sizes on implant stability and bone response in the minipig mandible. Int. J. Oral. Maxillofac. Implant. 2016, 31, 997–1006. [Google Scholar] [CrossRef] [PubMed]
- Muktadar, A.K.; Gangaiah, M.; Chrcanovic, B.R.; Chowdhary, R. Evaluation of the effect of self-cutting and nonself-cutting thread designed implant with different thread depth on variable insertion torques: An histomorphometric analysis in rabbits. Clin. Implant. Dent. Relat. Res. 2018, 20, 507–514. [Google Scholar] [CrossRef] [PubMed]
- Simunek, A.; Strnad, J.; Kopecka, D.; Brazda, T.; Pilathadka, S.; Chauhan, R.; Slezak, R.; Capek, L. Changes in stability after healing of immediately loaded dental implants. Int. J. Oral. Maxillofac. Implant. 2010, 25, 1085–1092. [Google Scholar]
- Makary, C.; Rebaudi, A.; Mokbel, N.; Naaman, N. Peak insertion torque correlated to histologically and clinically evaluated bone density. Implant. Dent. 2011, 20, 182–191. [Google Scholar] [CrossRef]
- Grandi, T.; Garuti, G.; Samarani, R.; Guazzi, P.; Forabosco, A. Immediate loading of single post-extractive implants in the anterior maxilla: 12-month results from a multicenter clinical study. J. Oral. Implantol. 2012, 38, 477–484. [Google Scholar] [CrossRef] [PubMed]
- Grandi, T.; Guazzi, P.; Samarani, R.; Grandi, G. Clinical outcome and bone healing of implants placed with high insertion torque: 12-month results from a multicenter controlled cohort study. Int. J. Oral. Maxillofac. Surg. 2013, 42, 516–520. [Google Scholar] [CrossRef]
- Bidgoli, M.; Soheilifar, S.; Faradmal, J.; Soheilifar, S. High insertion torque and peri-implant bone loss: Is there a relationship? J. Long. Term. Eff. Med. Implant. 2015, 25, 209–213. [Google Scholar] [CrossRef] [PubMed]
- De Santis, D.; Cucchi, A.; Rigoni, G.; Longhi, C.; Nocini, P.F. Relationship between primary stability and crestal bone loss of implants placed with high insertion torque: A 3-Year prospective study. Int. J. Oral. Maxillofac. Implant. 2016, 31, 1126–1134. [Google Scholar] [CrossRef] [PubMed]
- Makary, C.; Menhall, A.; Zammarie, C.; Lombardi, T.; Lee, S.Y.; Stacchi, C.; Park, K.B. Primary stability optimization by using fixtures with different thread depth according to bone density: A clinical prospective study on early loaded implants. Materials 2019, 12, 2398. [Google Scholar] [CrossRef]
- Berardini, M.; Trisi, P.; Sinajari, B.; Rutjes, A.W.S.; Caputi, S. The effects of high insertion torque versus low insertion torque on marginal bone resorption and implant failure rates: A systematic review with meta-analyses. Implant. Dent. 2016, 25, 532–540. [Google Scholar] [CrossRef] [PubMed]
- Li, H.; Liang, Y.; Zheng, Q. Meta-analysis of correlations between marginal bone resorption and high insertion torque of dental implants. Int. J. Oral. Maxillofac. Implant. 2015, 30, 767–772. [Google Scholar] [CrossRef] [PubMed][Green Version]
- Lemos, C.A.A.; Verri, F.R.; de Oliveira Neto, O.B.; Cruz, R.S.; Luna Gomes, J.M.; da Silva Casado, B.G.; Pellizzer, E.P. Clinical effect of the high insertion torque on dental implants: A systematic review and meta-analysis. J. Prosthet. Dent. 2021, 126, 490–496. [Google Scholar] [CrossRef]
- Atieh, M.A.; Baqain, Z.H.; Tawse-Smith, A.; Ma, S.; Almoselli, M.; Lin, L.; Alsabeeha, N.H.M. The influence of insertion torque values on the failure and complication rates of dental implants: A systematic review and meta-analysis. Clin. Implant. Dent. Relat. Res. 2021, 23, 341–360. [Google Scholar] [CrossRef] [PubMed]
- Roca-Millan, E.; González-Navarro, B.; Domínguez-Mínger, J.; Marí-Roig, A.; Jané-Salas, E.; López-López, J. Implant insertion torque and marginal bone loss: A systematic review and meta-analysis. Int. J. Oral Implantol. 2020, 13, 345–353. [Google Scholar]
- Patzelt, S.B.M.; Bahat, O.; Reynolds, M.A.; Strub, J.R.S. The all-on-four treatment concept: A systematic review. Clin. Implant. Dent. Relat. Res. 2014, 16, 836–855. [Google Scholar] [CrossRef] [PubMed]
- Huwais, S.; Meyer, E. A novel osseous densification approach in implant osteotomy preparation to increase biomechanical primary stability, bone mineral density, and bone-to-implant contact. Int. J. Oral. Maxillofac. Implant. 2017, 32, 27–36. [Google Scholar] [CrossRef] [PubMed]
- de Carvalho Formiga, M.; Grzech-Leśniak, K.; Moraschini, V.; Shibli, J.A.; Neiva, R. Effects of Osseodensification on Immediate Implant Placement: Retrospective Analysis of 211 Implants. Materials 2022, 15, 3539. [Google Scholar] [CrossRef] [PubMed] [PubMed Central]
- Colombo, M.; Gallo, S.; Garofoli, A.; Poggio, C.; Arciola, C.R.; Scribante, A. Ozone Gel in Chronic Periodontal Disease: A Randomized Clinical Trial on the Anti-Inflammatory Effects of Ozone Application. Biology 2021, 10, 625. [Google Scholar] [CrossRef] [PubMed]
- Formiga, M.C.; Martins, I.; Randazzo, A.; Guimarães, C.; Faverani, L. Full-Arch Rehabilitation Using Implant-Guided Surgery and Ozone Therapy to Prevent Complications in a Sustemically Compromised Patient. Cureus 2024, 16, e76251. [Google Scholar] [CrossRef]
- Elbay, M.; Elbay, Ü.Ş.; Kaya, E.; Kalkan, Ö.P. Effects of photobiomodulation with different application parameters on injection pain in children: A randomized clinical trial. J. Clin. Pediatr. Dent. 2023, 47, 54–62. [Google Scholar] [CrossRef]
- Cassetta, M.; Brandetti, G.; Altieri, F. Are the Insertion Torque Value and Implant Stability Quotient Correlated, and If So, Can Insertion Torque Values Predict Secondary Implant Stability? A Prospective Parallel Cohort Study. Int. J. Oral. Maxillofac. Implant. 2022, 37, 135–142. [Google Scholar] [CrossRef] [PubMed]
Disclaimer/Publisher’s Note: The statements, opinions and data contained in all publications are solely those of the individual author(s) and contributor(s) and not of MDPI and/or the editor(s). MDPI and/or the editor(s) disclaim responsibility for any injury to people or property resulting from any ideas, methods, instructions or products referred to in the content. |
© 2025 by the authors. Licensee MDPI, Basel, Switzerland. This article is an open access article distributed under the terms and conditions of the Creative Commons Attribution (CC BY) license (https://creativecommons.org/licenses/by/4.0/).












