Diagnosis and Management of Kaposi Sarcoma-Associated Herpesvirus Inflammatory Cytokine Syndrome in Resource-Constrained Settings: A Case Report and an Adapted Case Definition
Abstract
1. Introduction
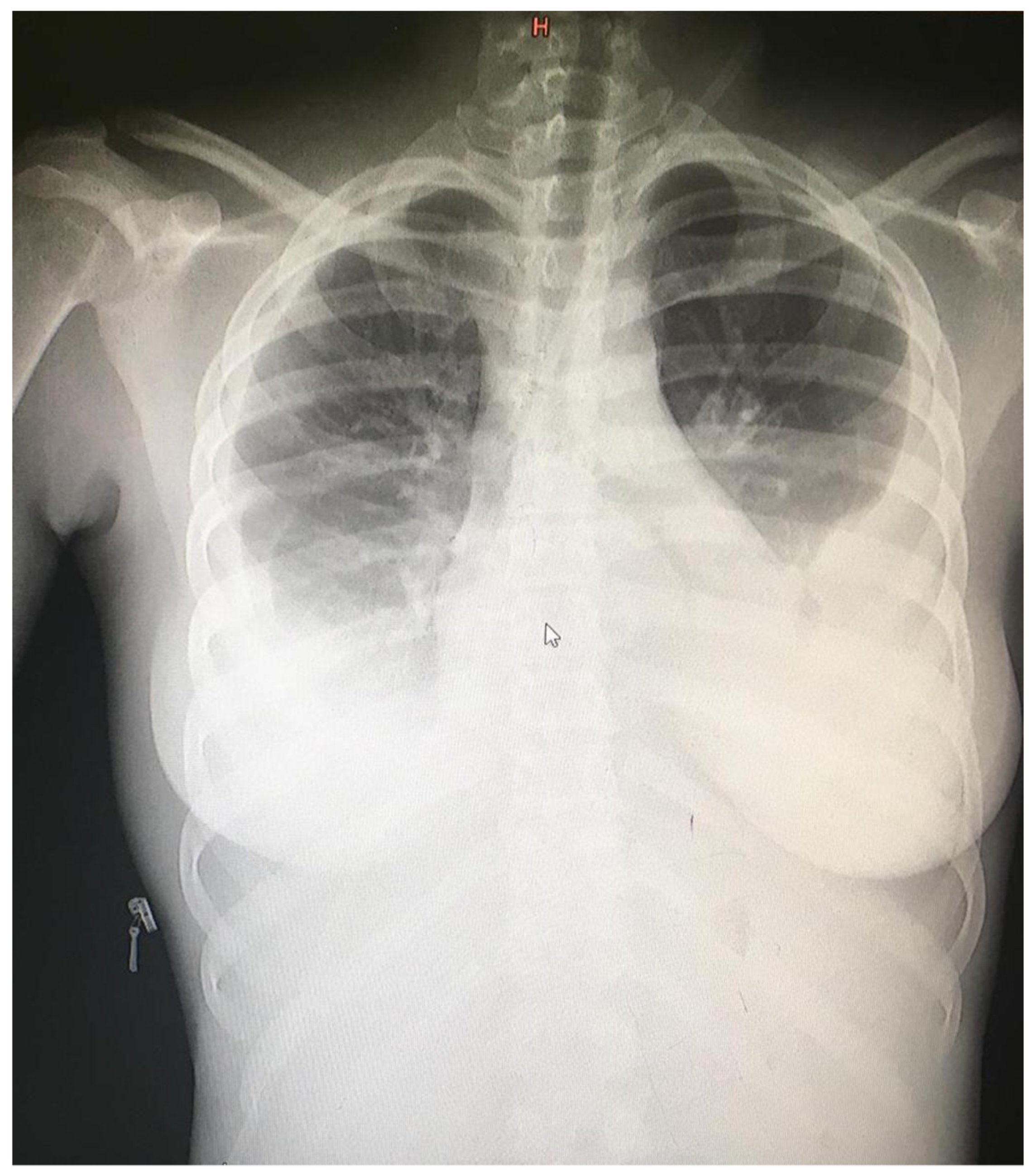
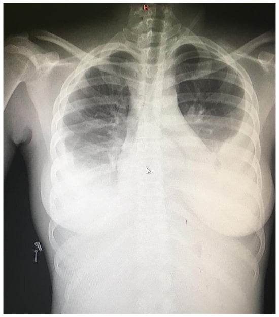
2. Case Presentation
3. Discussion
3.1. Case Definition of KICS
3.2. Differential Diagnosis of KICS
3.3. Management of KICS in Resource-Constrained Settings
3.4. Suggestions for Future Research
4. Conclusions
Supplementary Materials
Author Contributions
Funding
Institutional Review Board Statement
Informed Consent Statement
Data Availability Statement
Conflicts of Interest
References
- Cesarman, E.; Damania, B.; Krown, S.E.; Martin, J.; Bower, M.; Whitby, D. Kaposi Sarcoma. Nat. Rev. Dis. Primers 2019, 5, 9. [Google Scholar] [CrossRef] [PubMed]
- Gonçalves, P.H.; Uldrick, T.S.; Yarchoan, R. HIV-Associated Kaposi Sarcoma and Related Diseases. AIDS 2017, 31, 1903–1916. [Google Scholar] [CrossRef] [PubMed]
- DeSantis, S.M.; Pau, C.-P.; Archibald, L.K.; Nwanyanwu, O.C.; Kazembe, P.N.; Dobbie, H.; Jarvis, W.R.; Jason, J. Demographic and Immune Correlates of Human Herpesvirus 8 Seropositivity in Malawi, Africa. Int. J. Infect. Dis. 2002, 6, 266–271. [Google Scholar] [CrossRef]
- Department of HIV, AIDS, and Viral Hepatitis. HIV Sub-National Estimates Viewer. Available online: https://naomi-spectrum.unaids.org/?country=Malawi (accessed on 11 December 2024).
- Ferlay, J.; Ervik, M.; Lam, F.; Laversanne, M.; Colombet, M.; Mery, L.; Piñeros, M.; Znaor, A.; Soerjomataram, I.; Bray, F. Global Cancer Observatory: Cancer Today. Lyon, France: International Agency for Research on Cancer. Available online: https://gco.iarc.who.int/today (accessed on 11 December 2024).
- Bisson, G.P.; Ramchandani, R.; Miyahara, S.; Mngqibisa, R.; Matoga, M.; Ngongondo, M.; Samaneka, W.; Koech, L.; Naidoo, K.; Rassool, M.; et al. Risk Factors for Early Mortality on Antiretroviral Therapy in Advanced HIV-Infected Adults. AIDS 2017, 31, 2217–2225. [Google Scholar] [CrossRef] [PubMed]
- Gupta, A.; Nadkarni, G.; Yang, W.-T.; Chandrasekhar, A.; Gupte, N.; Bisson, G.P.; Hosseinipour, M.; Gummadi, N. Early Mortality in Adults Initiating Antiretroviral Therapy (ART) in Low- and Middle-Income Countries (LMIC): A Systematic Review and Meta-Analysis. PLoS ONE 2011, 6, e28691. [Google Scholar] [CrossRef]
- Zachariah, R.; Fitzgerald, M.; Massaquoi, M.; Pasulani, O.; Arnould, L.; Makombe, S.; Harries, A.D. Risk Factors for High Early Mortality in Patients on Antiretroviral Treatment in a Rural District of Malawi. AIDS 2006, 20, 2355–2360. [Google Scholar] [CrossRef]
- Fukumoto, H.; Kanno, T.; Hasegawa, H.; Katano, H. Pathology of Kaposi’s Sarcoma-Associated Herpesvirus Infection. Front. Microbiol. 2011, 2, 175. [Google Scholar] [CrossRef] [PubMed]
- Forrestel, A.K.; Naujokas, A.; Martin, J.N.; Maurer, T.A.; McCalmont, T.H.; Laker-Opwonya, M.O.; Mulyowa, G.; Busakhala, N.; Amerson, E.H. Bacillary Angiomatosis Masquerading as Kaposi’s Sarcoma in East Africa. J. Int. Assoc. Provid. AIDS Care 2015, 14, 21–25. [Google Scholar] [CrossRef] [PubMed]
- Krown, S.E.; Moser, C.B.; MacPhail, P.; Matining, R.M.; Godfrey, C.; Caruso, S.R.; Hosseinipour, M.C.; Samaneka, W.; Nyirenda, M.; Busakhala, N.W.; et al. Treatment of Advanced AIDS-Associated Kaposi Sarcoma in Resource-Limited Settings: A Three-Arm, Open-Label, Randomised, Non-Inferiority Trial. Lancet 2020, 395, 1195–1207. [Google Scholar] [CrossRef]
- Uldrick, T.S.; Wang, V.; O’Mahony, D.; Aleman, K.; Wyvill, K.M.; Marshall, V.; Steinberg, S.M.; Pittaluga, S.; Maric, I.; Whitby, D.; et al. An Interleukin-6-Related Systemic Inflammatory Syndrome in Patients Co-Infected with Kaposi Sarcoma-Associated Herpesvirus and HIV but without Multicentric Castleman Disease. Clin. Infect. Dis. 2010, 51, 350–358. [Google Scholar] [CrossRef] [PubMed]
- Polizzotto, M.N.; Uldrick, T.S.; Hu, D.; Yarchoan, R. Clinical Manifestations of Kaposi Sarcoma Herpesvirus Lytic Activation: Multicentric Castleman Disease (KSHV-MCD) and the KSHV Inflammatory Cytokine Syndrome. Front. Microbiol. 2012, 3, 73. [Google Scholar] [CrossRef]
- Tamburro, K.M.; Yang, D.; Poisson, J.; Fedoriw, Y.; Roy, D.; Lucas, A.; Sin, S.-H.; Malouf, N.; Moylan, V.; Damania, B.; et al. Vironome of Kaposi Sarcoma Associated Herpesvirus-Inflammatory Cytokine Syndrome in an AIDS Patient Reveals Co-Infection of Human Herpesvirus 8 and Human Herpesvirus 6A. Virology 2012, 433, 220–225. [Google Scholar] [CrossRef]
- Ray, A.; Marshall, V.; Uldrick, T.; Leighty, R.; Labo, N.; Wyvill, K.; Aleman, K.; Polizzotto, M.N.; Little, R.F.; Yarchoan, R.; et al. Sequence Analysis of Kaposi Sarcoma-Associated Herpesvirus (KSHV) microRNAs in Patients with Multicentric Castleman Disease and KSHV-Associated Inflammatory Cytokine Syndrome. J. Infect. Dis. 2012, 205, 1665–1676. [Google Scholar] [CrossRef] [PubMed]
- Polizzotto, M.N.; Uldrick, T.S.; Wyvill, K.M.; Aleman, K.; Marshall, V.; Wang, V.; Whitby, D.; Pittaluga, S.; Jaffe, E.S.; Millo, C.; et al. Clinical Features and Outcomes of Patients With Symptomatic Kaposi Sarcoma Herpesvirus (KSHV)-Associated Inflammation: Prospective Characterization of KSHV Inflammatory Cytokine Syndrome (KICS). Clin. Infect. Dis. 2016, 62, 730–738. [Google Scholar] [CrossRef] [PubMed]
- Cantos, V.D.; Kalapila, A.G.; Ly Nguyen, M.; Adamski, M.; Gunthel, C.J. Experience with Kaposi Sarcoma Herpesvirus Inflammatory Cytokine Syndrome in a Large Urban HIV Clinic in the United States: Case Series and Literature Review. Open Forum Infect. Dis. 2017, 4, ofx196. [Google Scholar] [CrossRef] [PubMed]
- Karass, M.; Grossniklaus, E.; Seoud, T.; Jain, S.; Goldstein, D.A. Kaposi Sarcoma Inflammatory Cytokine Syndrome (KICS): A Rare but Potentially Treatable Condition. Oncologist 2017, 22, 623–625. [Google Scholar] [CrossRef] [PubMed]
- El-Mallawany, N.K.; Kamiyango, W.; Villiera, J.; Peckham-Gregory, E.C.; Scheurer, M.E.; McAtee, C.L.; Allen, C.E.; Kovarik, C.L.; Frank, D.; Eason, A.B.; et al. Kaposi Sarcoma Herpesvirus Inflammatory Cytokine Syndrome-like Clinical Presentation in Human Immunodeficiency Virus-Infected Children in Malawi. Clin. Infect. Dis. 2019, 69, 2022–2025. [Google Scholar] [CrossRef] [PubMed]
- Suzuki, T.; Uemura, H.; Yanagawa, Y.; Mizushima, D.; Aoki, T.; Watanabe, K.; Tanuma, J.; Tsukada, K.; Teruya, K.; Gatanaga, H.; et al. Successful Treatment for Kaposi Sarcoma Inflammatory Cytokine Syndrome in a Severe CD4+ Lymphocytopenic HIV Patient. AIDS 2019, 33, 1801–1802. [Google Scholar] [CrossRef] [PubMed]
- Caro-Vegas, C.; Sellers, S.; Host, K.M.; Seltzer, J.; Landis, J.; Fischer, W.A.; Damania, B.; Dittmer, D.P. Runaway Kaposi Sarcoma-Associated Herpesvirus Replication Correlates with Systemic IL-10 Levels. Virology 2020, 539, 18–25. [Google Scholar] [CrossRef] [PubMed]
- Dumic, I.; Radovanovic, M.; Igandan, O.; Savic, I.; Nordstrom, C.W.; Jevtic, D.; Subramanian, A.; Ramanan, P. A Fatal Case of Kaposi Sarcoma Immune Reconstitution Syndrome (KS-IRIS) Complicated by Kaposi Sarcoma Inflammatory Cytokine Syndrome (KICS) or Multicentric Castleman Disease (MCD): A Case Report and Review. Am. J. Case Rep. 2020, 21, e926433. [Google Scholar] [CrossRef]
- Li, Q.; Ali, F.; Kak, V.; Santos, R. A Rare Case of the Newly Recognized Kaposi Sarcoma Herpesvirus-Associated Disease. Cureus 2020, 12, e8784. [Google Scholar] [CrossRef] [PubMed]
- Piñeiro, F.; Climent, F.; Imaz, A.; Gudiol, C.; Niubó, J.; Palomar-Muñoz, A.; Serrano, T.; Saumoy, M.; Podzamczer, D. Clinical and Pathological Features of Kaposi Sarcoma Herpesvirus-Associated Inflammatory Cytokine Syndrome. AIDS 2020, 34, 2097–2101. [Google Scholar] [CrossRef] [PubMed]
- Tally, T.; Dretler, R.; Cain, T.; Brennan, K. Kaposi Sarcoma Inflammatory Cytokine Syndrome Presenting as Infection: A Case Report. J. Foot Ankle Surg. 2020, 59, 403–408. [Google Scholar] [CrossRef]
- Winiszewski, H.; Daguindau, E.; Chaignat, C.; Piton, G.; Bouiller, K.; Lepiller, Q.; Klopfenstein, T. HHV8 Inflammatory Cytokine Syndrome Mimicking Septic Shock. Med. Mal. Infect. 2020, 50, 300–302. [Google Scholar] [CrossRef] [PubMed]
- Ramaswami, R.; Lurain, K.; Marshall, V.A.; Rupert, A.; Labo, N.; Cornejo-Castro, E.; Miley, W.; Wang, H.-W.; Widell, A.; Lindsley, M.; et al. Elevated IL-13 in Effusions of Patients with HIV and Primary Effusion Lymphoma as Compared with Other Kaposi Sarcoma Herpesvirus-Associated Disorders. AIDS 2021, 35, 53–62. [Google Scholar] [CrossRef]
- Spezia-Lindner, N.J.; Kondapi, D.; DiNardo, A.R.; Ramaswami, R.; Chiao, E.; Clark, E.H. The Importance of Early Recognition of KSHV-Mediated Syndromes: A Case Report. Am. J. Med. 2021, 134, e503–e506. [Google Scholar] [CrossRef] [PubMed]
- Chang, K.-M.; Hsieh, S.L.; Harris, C.A. Disseminated Kaposi Sarcoma with Cytokine Release in an AIDS Patient. J. Microbiol. Immunol. Infect. 2022, 55, 344–346. [Google Scholar] [CrossRef]
- Hansen, M.E.; Mangusan, R.; Lurain, K.; Odeny, T.; George, J.; Lu, C.; Manion, M.; Widell, A.; Ekwede, I.; Whitby, D.; et al. Characteristics of Patients Admitted to the ICU with Kaposi Sarcoma Herpesvirus-Associated Diseases. AIDS 2022, 36, 1969–1978. [Google Scholar] [CrossRef] [PubMed]
- Zhou, T.; Yuan, C.M.; Lurain, K.; Rous, C.; Weaver, L.; Raffeld, M.; Stetler-Stevenson, M.; Uldrick, T.S.; Filie, A.C.; Pittaluga, S.; et al. A Novel Approach for Characterization of KSHV-Associated Multicentric Castleman Disease from Effusions. Br. J. Haematol. 2023, 200, 462–475. [Google Scholar] [CrossRef] [PubMed]
- Al-Obaidi, A.; Mahadevia, H.; Syed, Z.; Raza, S. A Challenging Case of Kaposi Sarcoma Inflammatory Cytokine Syndrome. Cureus 2023, 15, e42218. [Google Scholar] [CrossRef]
- Liapis, K.; Bouzani, M.; Petrakis, V.; Anagnostopoulos, N.I.; Kotsianidis, I. A Variant of KSHV-Associated Inflammatory Cytokine Syndrome in Elderly Men of Mediterranean Descent. Infection 2024, 52, 1175–1180. [Google Scholar] [CrossRef] [PubMed]
- Lage, S.L.; Ramaswami, R.; Rocco, J.M.; Rupert, A.; Davis, D.A.; Lurain, K.; Manion, M.; Whitby, D.; Yarchoan, R.; Sereti, I. Inflammasome Activation in Patients with Kaposi Sarcoma Herpesvirus-Associated Diseases. Blood 2024, 144, 1496–1507. [Google Scholar] [CrossRef] [PubMed]
- Patel, R.; Lurain, K.; Yarchoan, R.; Ramaswami, R. Clinical Management of Kaposi Sarcoma Herpesvirus-Associated Diseases: An Update on Disease Manifestations and Treatment Strategies. Expert. Rev. Anti-Infect. Ther. 2023, 21, 929–941. [Google Scholar] [CrossRef] [PubMed]
- Blumenthal, M.J.; Schutz, C.; Barr, D.; Locketz, M.; Marshall, V.; Whitby, D.; A Katz, A.; Uldrick, T.; Meintjes, G.; Schäfer, G. The Contribution of Kaposi’s Sarcoma-Associated Herpesvirus to Mortality in Hospitalized Human Immunodeficiency Virus-Infected Patients Being Investigated for Tuberculosis in South Africa. J. Infect. Dis. 2019, 220, 841–851. [Google Scholar] [CrossRef] [PubMed]
- Belard, S.; Taccari, F.; Kumwenda, T.; Huson, M.A.; Wallrauch, C.; Heller, T. Point-of-Care Ultrasound for Tuberculosis and HIV-Revisiting the Focused Assessment with Sonography for HIV-Associated Tuberculosis (FASH) Protocol and Its Differential Diagnoses. Clin. Microbiol. Infect. 2024, 30, 320–327. [Google Scholar] [CrossRef] [PubMed]
- Hodson, D.Z.; Kumwenda, T.; Wallrauch, C.; Rambiki, E.; Tymchuk, C.; Taccari, F.; Heller, T. Subtle Sonographic Signs of Disseminated Tuberculosis: A Case Report and Narrative Literature Review. Am. J. Trop. Med. Hyg. 2024, 111, 529–534. [Google Scholar] [CrossRef]
- Huson, M.A.M.; Kumwenda, T.; Gumulira, J.; Rambiki, E.; Wallrauch, C.; Heller, T. Ultrasound findings in Kaposi sarcoma patients: Overlapping sonographic features with disseminated tuberculosis. Ultrasound J. 2023, 15, 27. [Google Scholar] [CrossRef] [PubMed]
- Friedland, G.H.; Naidoo, P.; Abdool-Gafoor, B.; Moosa, M.-Y.S.; Ramdial, P.K.; Gandhi, R.T. Case Records of the Massachusetts General Hospital. Case 29-2013. A 32-Year-Old HIV-Positive African Man with Dyspnea and Skin Lesions. N. Engl. J. Med. 2013, 369, 1152–1161. [Google Scholar] [CrossRef] [PubMed]
- Saberian, C.; Campbell, B.R. Rapidly Disseminated Kaposi’s Sarcoma Despite Initiation of Antiretroviral Therapy. Cureus 2023, 15, e39627. [Google Scholar] [CrossRef]
- Letang, E.; Lewis, J.J.; Bower, M.; Mosam, A.; Borok, M.; Campbell, T.B.; Naniche, D.; Newsom-Davis, T.; Shaik, F.; Fiorillo, S.; et al. Immune Reconstitution Inflammatory Syndrome Associated with Kaposi Sarcoma: Higher Incidence and Mortality in Africa than in the UK. AIDS 2013, 27, 1603–1613. [Google Scholar] [CrossRef]
- Letang, E.; Almeida, J.M.; Miró, J.M.; Ayala, E.; White, I.E.; Carrilho, C.; Bastos, R.; Nhampossa, T.; Menéndez, C.; Campbell, T.B.; et al. Predictors of Immune Reconstitution Inflammatory Syndrome-Associated with Kaposi Sarcoma in Mozambique: A Prospective Study. J. Acquir. Immune Defic. Syndr. 2010, 53, 589–597. [Google Scholar] [CrossRef] [PubMed]
- Rambiki, E.; Rambiki, K.; Khalani, J.; Huwa, J.; Wallrauch, C.; Heller, T.; Painschab, M. Letters to the Editor Low Rates of Side Effects in Paclitaxel Chemotherapy for Kaposi Sarcoma and Feasibility of Treatment in Outpatient ART Clinic Settings in Malawi. J. Acquir. Immune Defic. Syndr. 2024, 96, e1–e2. [Google Scholar] [CrossRef]
- Volkow, P.F.; Cornejo, P.; Zinser, J.W.; Ormsby, C.E.; Reyes-Terán, G. Life-Threatening Exacerbation of Kaposi’s Sarcoma after Prednisone Treatment for Immune Reconstitution Inflammatory Syndrome. AIDS 2008, 22, 663–665. [Google Scholar] [CrossRef] [PubMed]
- Manion, M.; Uldrick, T.; Polizzotto, M.N.; Sheikh, V.; Roby, G.; Lurain, K.; Metzger, D.; Mican, J.M.; Pau, A.; Lisco, A.; et al. Emergence of Kaposi’s Sarcoma Herpesvirus-Associated Complications Following Corticosteroid Use in TB-IRIS. Open Forum Infect. Dis. 2018, 5, ofy217. [Google Scholar] [CrossRef] [PubMed]





| Reference Range | Day 0 | Day 2 | Day 4 | Day 17 | Day 39 | Day 59 | Day 116 | |
|---|---|---|---|---|---|---|---|---|
| White-cell count (per µL) | 4000–10,000 | 5500 | 3400 | 2700 | 3400 | 3600 | 2000 | |
| Hemoglobin (g/dL) | 10.9–17.3 | 5.4 | 5.2 | 6.9 | 9.8 | 11.1 | 11.9 | 15.9 |
| Mean corpuscular volume (fl) | 71–95 | 92 | 94 | 97 | 89 | 93 | 94 | |
| Platelet count (per µL) | 122–330 | 80,000 | 35,000 | 100,000 | 185,000 | 158,000 | 158,000 | |
| Urea nitrogen (mg/dL) | 18–55 | 100 | 19 | 17 | ||||
| Creatinine (mg/dL) | 0.7–1.3 | 1.80 | 0.80 | 0.50 | 0.53 | 1.10 | 1.00 | |
| Alanine aminotransferase (U/L) | 0–45 | 33 | 13 | |||||
| Aspartate aminotransferase (U/L) | 0–35 | 12 | 11 | 13 | 16 | |||
| Alkaline phosphatase (U/L) | 64–304 | 48 | ||||||
| Gamma-glutamyl transferase (U/L) | 0–55 | 20 | ||||||
| Total bilirubin (mg/dL) | 6.8–8.3 | 0.46 | 1.50 | 0.20 | 0.75 | |||
| Total protein (g/dL) | 6.8–8.3 | 5.5 | 8.1 | |||||
| Albumin (g/dL) | 3.5–5.2 | 2.1 | 4.8 | |||||
| C-reactive protein (mg/L) | <1 | 20.6 | 6.4 | 3.4 | ||||
| CD4 (per µL) | 500–1500 | 49 | 53 | 69 | ||||
| HIV viral load (copies per mL) | UD | 8000 | 975 | UD | ||||
| KSVH viral load (copies per mL) | UD | 50,000 |
| Day 0 | Patient presented hypotensive and hypoxic. Left thoracentesis removed 2000 mL bloody fluid. Requiring supplemental oxygen started at 10 L/min via facemask. Received intravenous fluids, ceftriaxone 2 g, two units of blood. |
| Day 1 | Hemodynamics and respiratory status improved. Oxygen saturation 97% on 5 L/min. Received second dose ceftriaxone. KICS suspected. |
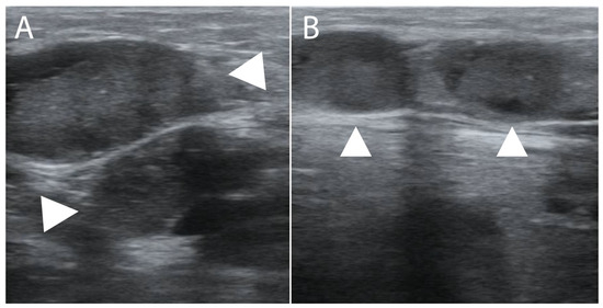
| Day 2 | Ultrasound revealed bilateral pleural effusions, pelvic free fluid, and hyperechoic splenic lesions consistent with disseminated KS. Right thoracentesis removed 1300 mL blood-stained fluid. Received first cycle of IV paclitaxel 100 mg/m2, IV dexamethasone 12 mg, third dose of ceftriaxone 2 g. |
| Day 3 | Received dexamethasone 12 mg, two units of blood, and fourth dose ceftriaxone 2 g. Inguinal lymph node biopsy performed. |
| Day 4 | Received dexamethasone 8 mg and last dose of ceftriaxone 2 g. |
| Day 5 | Prednisone 40 mg. |
| Day 6 | Prednisone 40 mg. |
| Day 7 | Prednisone 40 mg. Discharged from hospital. |
| Day 8–14 | Prednisone 30 mg daily at home. |
| Day 15–21 | Prednisone 15 mg at home. |
| Day 17 | Clinic visit for paclitaxel cycle 2 with repeat laboratory examinations. Received ART adherence counseling. Patient felt improved and wanted to return to school. |
| Day 39 | Clinic visit for paclitaxel cycle 3 with repeat laboratory examinations and ultrasound. Reported adherence to ART regimen. |
| Day 59 | Clinic visit for paclitaxel cycle 4 with repeat laboratory examinations. |
| Day 80 | Clinic visit for paclitaxel cycle 5. |
| Day 101 | Clinic visit for paclitaxel cycle 6. |
| Day 116 | Post treatment follow up visit in clinic with repeat laboratory examinations and ultrasound. Patient felt well and was back in school. |
| 1. Clinical manifestations |
|
|
| 2. No strong evidence for other source of systemic inflammation |
| |
| 3. Confirmation of KS |
| |
| Optional findings (usually not available) |
| |
Disclaimer/Publisher’s Note: The statements, opinions and data contained in all publications are solely those of the individual author(s) and contributor(s) and not of MDPI and/or the editor(s). MDPI and/or the editor(s) disclaim responsibility for any injury to people or property resulting from any ideas, methods, instructions or products referred to in the content. |
© 2024 by the authors. Licensee MDPI, Basel, Switzerland. This article is an open access article distributed under the terms and conditions of the Creative Commons Attribution (CC BY) license (https://creativecommons.org/licenses/by/4.0/).
Share and Cite
Kumwenda, T.; Hodson, D.Z.; Rambiki, K.; Rambiki, E.; Fedoriw, Y.; Tymchuk, C.; Wallrauch, C.; Heller, T.; Painschab, M.S. Diagnosis and Management of Kaposi Sarcoma-Associated Herpesvirus Inflammatory Cytokine Syndrome in Resource-Constrained Settings: A Case Report and an Adapted Case Definition. Trop. Med. Infect. Dis. 2024, 9, 307. https://doi.org/10.3390/tropicalmed9120307
Kumwenda T, Hodson DZ, Rambiki K, Rambiki E, Fedoriw Y, Tymchuk C, Wallrauch C, Heller T, Painschab MS. Diagnosis and Management of Kaposi Sarcoma-Associated Herpesvirus Inflammatory Cytokine Syndrome in Resource-Constrained Settings: A Case Report and an Adapted Case Definition. Tropical Medicine and Infectious Disease. 2024; 9(12):307. https://doi.org/10.3390/tropicalmed9120307
Chicago/Turabian StyleKumwenda, Tapiwa, Daniel Z. Hodson, Kelvin Rambiki, Ethel Rambiki, Yuri Fedoriw, Christopher Tymchuk, Claudia Wallrauch, Tom Heller, and Matthew S. Painschab. 2024. "Diagnosis and Management of Kaposi Sarcoma-Associated Herpesvirus Inflammatory Cytokine Syndrome in Resource-Constrained Settings: A Case Report and an Adapted Case Definition" Tropical Medicine and Infectious Disease 9, no. 12: 307. https://doi.org/10.3390/tropicalmed9120307
APA StyleKumwenda, T., Hodson, D. Z., Rambiki, K., Rambiki, E., Fedoriw, Y., Tymchuk, C., Wallrauch, C., Heller, T., & Painschab, M. S. (2024). Diagnosis and Management of Kaposi Sarcoma-Associated Herpesvirus Inflammatory Cytokine Syndrome in Resource-Constrained Settings: A Case Report and an Adapted Case Definition. Tropical Medicine and Infectious Disease, 9(12), 307. https://doi.org/10.3390/tropicalmed9120307

