Cerebral Cryptococcosis Associated with CD4+ T-lymphocytopenia in Non-HIV Patients after SARS-CoV-2 Infection: Case Series in a Specialized Institute in Lima, Peru
Abstract
:1. Introduction
2. Results
2.1. Demographic Characteristics
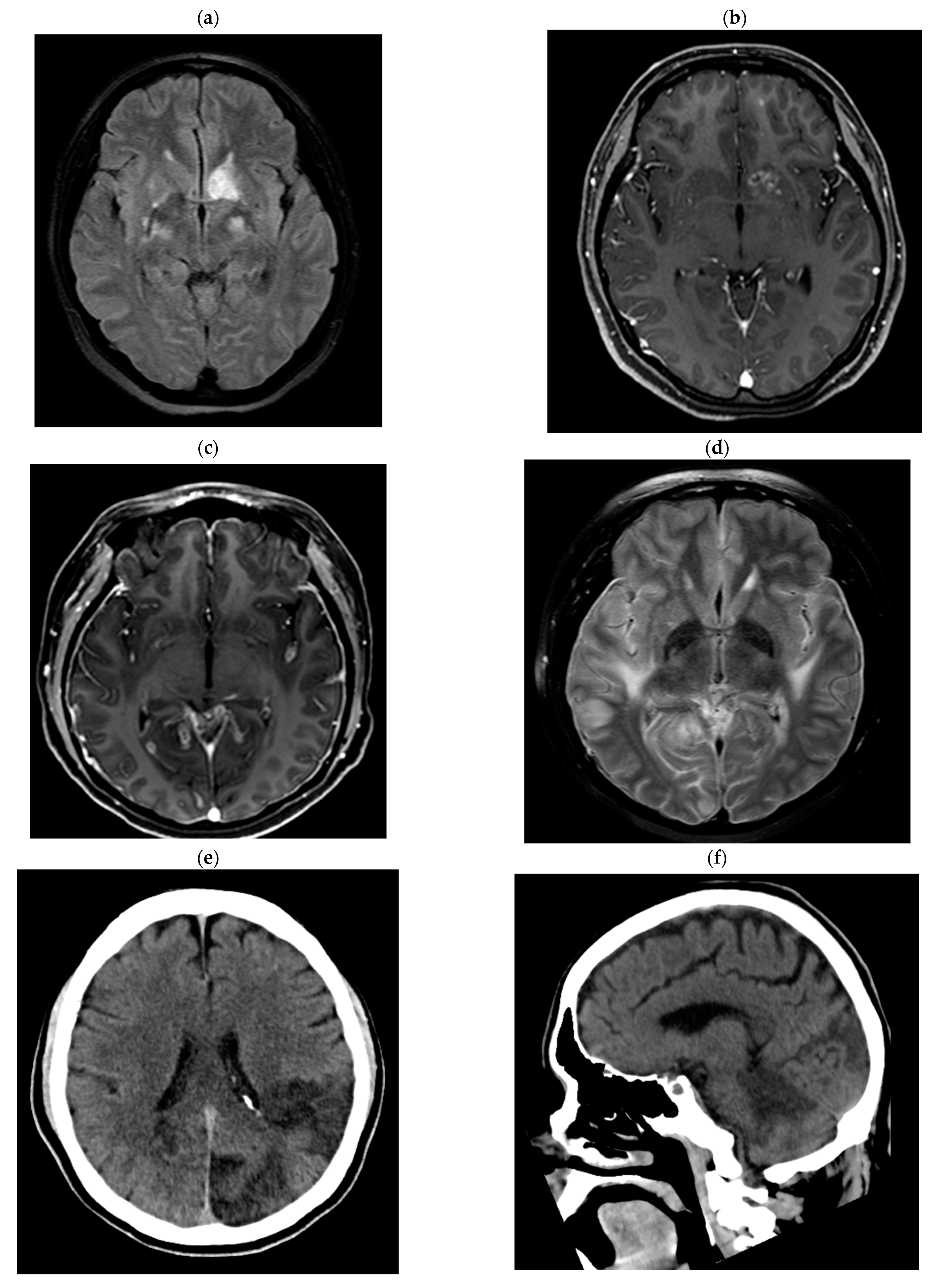
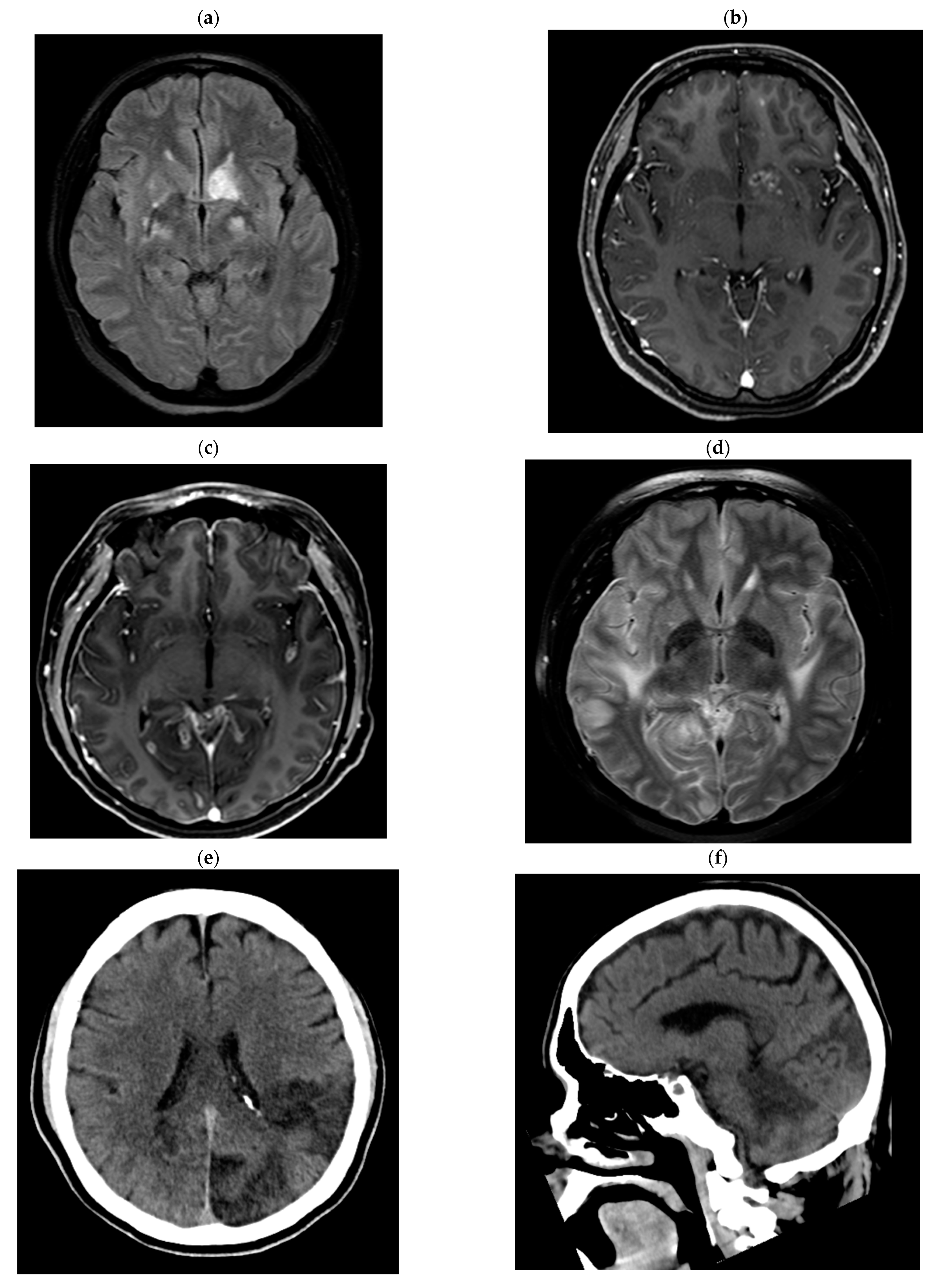
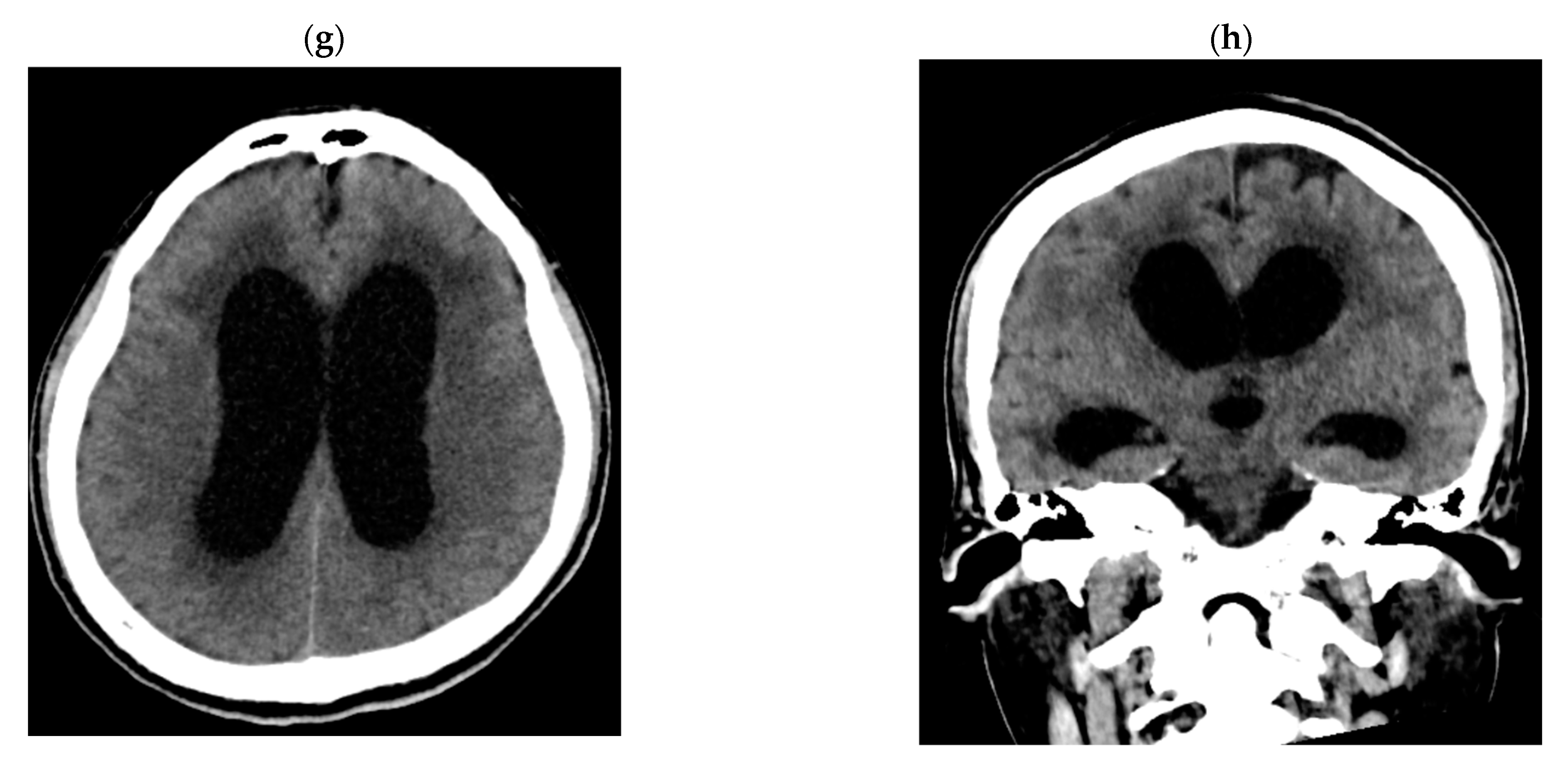
2.2. Detailed Case Descriptions
3. Discussion
4. Conclusions
Author Contributions
Funding
Institutional Review Board Statement
Informed Consent Statement
Data Availability Statement
Acknowledgments
Conflicts of Interest
References
- Umakanthan, S.; Sahu, P.; Ranade, A.V.; Bukelo, M.M.; Rao, J.S.; Abrahao-Machado, L.F.; Dahal, S.; Kumar, H.; Kv, D. Origin, transmission, diagnosis and management of coronavirus disease 2019 (COVID-19). Postgrad. Med. J. 2020, 96, 753–758. [Google Scholar] [PubMed]
- Pemán, J.; Ruiz-Gaitán, A.; García-Vidal, C.; Salavert, M.; Ramírez, P.; Puchades, F.; García-Hita, M.; Alastruey-Izquierdo, A.; Quindós, G. Fungal co-infection in COVID-19 patients: Should we be concerned? Rev. Iberoam. Micol. 2020, 37, 41–46. [Google Scholar] [CrossRef] [PubMed]
- Bartoletti, M.; Pascale, R.; Cricca, M.; Rinaldi, M.; Maccaro, A.; Bussini, L.; Fornaro, G.; Tonetti, T.; Pizzilli, G.; Francalanci, E.; et al. Epidemiology of invasive pulmonary aspergillosis among COVID-19 intubated patients: A prospective study. Clin. Infect. Dis. 2021, 73, e3606–e3614. [Google Scholar] [CrossRef] [PubMed]
- Narayanan, S.; Chua, J.V.; Baddley, J.W. COVID-19 associated Mucormycosis (CAM): Risk factors and mechanisms of disease. Clin. Infect. Dis. 2022, 74, 1279–1283. [Google Scholar] [CrossRef] [PubMed]
- Toori, K.U.; Qureshi, M.A.; Chaudhry, A. Lymphopenia: A useful predictor of COVID-19 disease severity and mortality. Pak. J. Med. Sci. 2021, 37, 1984–1988. [Google Scholar] [CrossRef] [PubMed]
- Zhang, S.; Asquith, B.; Szydlo, R.; Tregoning, J.S.; Pollock, K.M. Peripheral T cell lymphopenia in COVID-19: Potential mechanisms and impact. Immunother. Adv. 2021, 1, ltab015. Available online: https://www.ncbi.nlm.nih.gov/pmc/articles/PMC9364037/ (accessed on 14 October 2022). [CrossRef] [PubMed]
- Tay, M.Z.; Poh, C.M.; Rénia, L.; MacAry, P.A.; Ng, L.F.P. The trinity of COVID-19: Immunity, inflammation and intervention. Nat. Rev. Immunol. 2020, 20, 363–374. [Google Scholar] [CrossRef] [PubMed]
- Ngan, N.T.T.; Flower, B.; Day, J.N. Treatment of Cryptococcal Meningitis: How Have We Got Here and Where are We Going? Drugs 2022, 82, 1237–1249. [Google Scholar] [CrossRef] [PubMed]
- Regalla, D.; VanNatta, M.; Alam, M.; Malek, A.E. COVID-19-associated Cryptococcus infection (CACI): A review of literature and clinical pearls. Infection 2022, 50, 1007–1012. [Google Scholar] [CrossRef] [PubMed]
- Chastain, D.B.; Kung, V.M.; Golpayegany, S.; Jackson, B.T.; Franco-Paredes, C.; Vargas Barahona, L.; Thompson, G.R., III; Henao-Martínez, A.F. Cryptococcosis among hospitalised patients with COVID-19: A multicentre research network study. Mycoses 2022, 65, 815–823. [Google Scholar] [CrossRef] [PubMed]
- Gushiken, A.C.; Saharia, K.K.; Baddley, J.W. Cryptococcosis. Infect. Dis. Clin. N. Am. 2021, 35, 493–514. [Google Scholar] [CrossRef] [PubMed]
- Chen, Y.; Shi, Z.W.; Strickland, A.B.; Shi, M. Cryptococcus neoformans Infection in the Central Nervous System: The Battle between Host and Pathogen. J. Fungi 2022, 8, 1069. [Google Scholar] [CrossRef] [PubMed]
- Umakanthan, S.; Bukelo, M.M.; Gajula, S.S. The Commonwealth Caribbean COVID-19: Regions Resilient Pathway During Pandemic. Front. Public Health 2022, 10, 844333. Available online: https://www.ncbi.nlm.nih.gov/pmc/articles/PMC9160791/ (accessed on 13 February 2023). [CrossRef] [PubMed]
- REUNIS: Repositorio Único Nacional de Información en Salud—Ministerio de Salud. Available online: https://www.minsa.gob.pe/reunis/data/vacunas-covid19.asp (accessed on 12 February 2023).
- Umakanthan, S.; Patil, S.; Subramaniam, N.; Sharma, R. COVID-19 vaccine hesitancy and resistance in India explored through a population-based longitudinal survey. Vaccines 2021, 9, 1064. [Google Scholar] [CrossRef] [PubMed]



| Variable | All Patients (n = 8) |
|---|---|
| Demographic characteristics and background | |
| Age, years * | 57 (37.5–62) |
| Sex | |
| 5 (62.50) |
| 3 (37.50) |
| Comorbidities | 3 (37.5) |
| 2 (25.00) |
| 1 (12.50) |
| 5 (62.50) |
COVID-19 diagnosis
| 7 (87.5) 2 (25.00) |
| 75 (30–180) |
| COVID-19 mild | 8 (100.0) |
| Hospitalization time (days) * | 39 (27.5–55.5) |
| Clinical characteristics on admission | |
| 26 (15.5–80) |
| 7 (87.50) |
| 6 (75.00) |
| 6 (75.00) |
| 1 (12.50) |
| 8 (100.0) |
| 4 (50.00) |
| 5 (62.50) |
| 1 (12.50) |
| 88.5 (81–90) |
| 18 (18–20) |
| 105 (95–125) |
| 60 (60–80) |
| 75 (71.66–95) |
| 36.55 (36–36.65) |
| 97 (95.5–98) |
| 14 (13–14) |
| |
| 8935 (6830–14,000) |
| 1230 (815–1,770) |
| 254,000 (209,000–295,000) |
| 13 (12.4–14.4) |
| 98 (86–107) |
| 0.48 (0.43–1.06) |
| 38 (29–74) |
| 29.5 (23–38) |
| 247.5 (98–437) 173.5 (83.5–235.5) 1.89 (1.42–2.75) |
| 0 (0.00) |
| 0 (0.00) |
| 3 (37.50) |
| Case | Age | Sex | COVID Severity | Time from COVID | Illness Time | Hea-dache | Sei-zures | Alutina-tions | Cerebrospinal Fluid (CSF) | Ag. Latex (+) | Ly CD4 | Ly CD8 | Dead | |||||
|---|---|---|---|---|---|---|---|---|---|---|---|---|---|---|---|---|---|---|
| Cel | Mon | Prot | Gluc | Chinese Ink (+) | Culture (+) | |||||||||||||
| 1 | 24 | F | Mild | 60 | 30 | Yes | Not | Not | 64 | 100 | 54 | 43 | Yes | Yes | 1024 | 107 | 253 | Not |
| 2 | 57 | F | Mild | 30 | 17 | Yes | Not | Yes | 489 | 100 | 39 | 62 | Not | Yes | 128 | 267 | 143 | Not |
| 3 | 58 | M | Mild | 180 | 120 | Yes | Not | Not | 132 | 100 | 155 | 32 | Not | Yes | - | 290 | 161 | Not |
| 4 | 68 | M | Mild | - | 14 | Yes | Not | Yes | 191 | 94 | 298 | 21 | Not | Yes | - | 89 | 20 | Not |
| 5 | 23 | M | Mild | 90 | 22 | Yes | Not | Not | 20 | 100 | 35 | 36 | Yes | Yes | 1024 | 584 | 284 | Not |
| 6 | 57 | F | Mild | 40 | 30 | Yes | Not | Yes | 7 | 0 | - | 4 | Yes | Yes | 16 | 228 | 218 | Yes |
| 7 | 66 | M | Mild | - | 7 | Yes | Not | Yes | 20 | 100 | 41 | 83 | Not | Yes | - | 644 | 186 | Yes |
| 8 | 51 | M | Mild | 365 | 365 | Not | Yes | Not | 3 | 100 | 64 | 20 | Not | Yes | 1024 | 46 | 24 | Yes |
Disclaimer/Publisher’s Note: The statements, opinions and data contained in all publications are solely those of the individual author(s) and contributor(s) and not of MDPI and/or the editor(s). MDPI and/or the editor(s) disclaim responsibility for any injury to people or property resulting from any ideas, methods, instructions or products referred to in the content. |
© 2023 by the authors. Licensee MDPI, Basel, Switzerland. This article is an open access article distributed under the terms and conditions of the Creative Commons Attribution (CC BY) license (https://creativecommons.org/licenses/by/4.0/).
Share and Cite
Huamani-Córdova, J.M.; Hueda-Zavaleta, M.; Vargas-Bellina, V.; Simbron-Ribbeck, L.; Chong-Chinchay, K.d.R.; Gómez de la Torre, J.C.; Benítes-Zapata, V.A. Cerebral Cryptococcosis Associated with CD4+ T-lymphocytopenia in Non-HIV Patients after SARS-CoV-2 Infection: Case Series in a Specialized Institute in Lima, Peru. Trop. Med. Infect. Dis. 2023, 8, 182. https://doi.org/10.3390/tropicalmed8030182
Huamani-Córdova JM, Hueda-Zavaleta M, Vargas-Bellina V, Simbron-Ribbeck L, Chong-Chinchay KdR, Gómez de la Torre JC, Benítes-Zapata VA. Cerebral Cryptococcosis Associated with CD4+ T-lymphocytopenia in Non-HIV Patients after SARS-CoV-2 Infection: Case Series in a Specialized Institute in Lima, Peru. Tropical Medicine and Infectious Disease. 2023; 8(3):182. https://doi.org/10.3390/tropicalmed8030182
Chicago/Turabian StyleHuamani-Córdova, Juana M., Miguel Hueda-Zavaleta, Victor Vargas-Bellina, Lourdes Simbron-Ribbeck, Katty del Rosario Chong-Chinchay, Juan Carlos Gómez de la Torre, and Vicente A. Benítes-Zapata. 2023. "Cerebral Cryptococcosis Associated with CD4+ T-lymphocytopenia in Non-HIV Patients after SARS-CoV-2 Infection: Case Series in a Specialized Institute in Lima, Peru" Tropical Medicine and Infectious Disease 8, no. 3: 182. https://doi.org/10.3390/tropicalmed8030182
APA StyleHuamani-Córdova, J. M., Hueda-Zavaleta, M., Vargas-Bellina, V., Simbron-Ribbeck, L., Chong-Chinchay, K. d. R., Gómez de la Torre, J. C., & Benítes-Zapata, V. A. (2023). Cerebral Cryptococcosis Associated with CD4+ T-lymphocytopenia in Non-HIV Patients after SARS-CoV-2 Infection: Case Series in a Specialized Institute in Lima, Peru. Tropical Medicine and Infectious Disease, 8(3), 182. https://doi.org/10.3390/tropicalmed8030182

