Augmented Reality: Advances in Diagnostic Imaging
Abstract
:1. Introduction
1.1 Background on Cross-Sectional Diagnostic Imaging
1.1.1. Computed Tomography (CT)
1.1.2. Magnetic Resonance Imaging (MRI)
1.1.3. Conventional Viewing Methods and Challenges Thereof
2. Recent Advances in Viewing Methods
2.1. Surface Rendering
2.2. Volume Rendering
2.3. Depth 3-Dimensional (D3D) Imaging
2.4. Virtual Reality
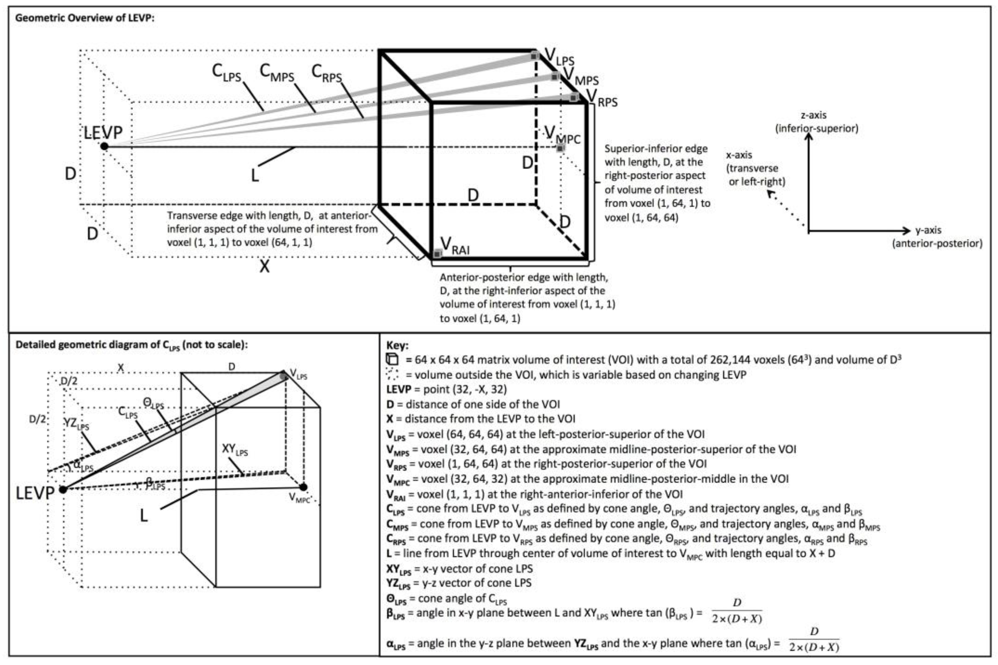
2.5. Augmented Reality
Application of AR to Breast Cancer Diagnostic Imaging
3. Future Role of AR/VR in Diagnostic Medical Imaging
3.1. What Are the Potential Advantages of the AR/VR Approach?
3.2. What Are the Potential Limitations of the AR/VR Approach over Volume Rendering?
4. Conclusions
Author Contributions
Conflicts of Interest
References
- Mettler, F.A., Jr.; Wiest, P.W.; Locken, J.A.; Kelsey, C.A. CT scanning: Patterns of use and dose. J. Radiol. Prot. 2000, 20, 353. [Google Scholar] [CrossRef] [PubMed]
- Mitchell, D.G.; Parker, L.; Sunshine, J.H.; Levin, D.C. Body MR imaging and CT volume: Variations and trends based on an analysis of medicare and fee-for-service health insurance databases. Am. J. Roentgenol. 2002, 179, 27–31. [Google Scholar] [CrossRef] [PubMed]
- Boone, J.M.; Brunberg, J.A. Computed tomography use in a tertiary care university hospital. J. Am. Coll. Radiol. 2008, 5, 132–138. [Google Scholar] [CrossRef] [PubMed]
- Ferroli, P.; Tringali, G.; Acerbi, F.; Schiariti, M.; Broggi, M.; Aquino, D.; Broggi, G. Advanced 3-imensional planning in neurosurgery. Neurosurgery 2013, 72, A54–A62. [Google Scholar] [CrossRef] [PubMed]
- Hohne, K.H.; Bomans, M.; Tiede, U.; Riemer, M. Display of Multiple 3d-Objects Using the Generalized Voxel-Model. In Proceedings of the SPIE 0914, Medical Imaging II, Newport Beach, CA, USA, 27 June 1988. [Google Scholar]
- Calhoun, P.S.; Kuszyk, B.S.; Heath, D.G.; Carley, J.C.; Fishman, E.K. Three-dimensional volume rendering of spiral CT data: Theory and method. Radiographics 1999, 19, 745–764. [Google Scholar] [CrossRef] [PubMed]
- Fishman, E.K.; Ney, D.R.; Heath, D.G.; Corl, F.M.; Horton, K.M.; Johnson, P.T. Volume rendering versus maximum intensity projection in CT angiography: What works best, when, and why. Radiographics 2006, 26, 905–922. [Google Scholar] [CrossRef] [PubMed]
- Johnson, P.T.; Heath, D.G.; Kuszyk, B.S.; Fishman, E.K. CT angiography with volume rendering: Advantages and applications in splanchnic vascular imaging. Radiology 1996, 200, 564–568. [Google Scholar] [CrossRef] [PubMed]
- Viola, I.; Kanitsar, A.; Groller, M.E. Importance-driven volume rendering. In Proceedings of the IEEE Visualization 2004, Austin, TX, USA, 10–15 October 2004; IEEE Computer Society: Washington, DC, USA, 2004; pp. 139–146. [Google Scholar]
- Viola, I.; Gröller, E. Smart Visibility in Visualization. Available online: https://www.cg.tuwien.ac.at/research/publications/2005/TR-186-2-05-06/TR-186-2-05-06-Paper.pdf (accessed on 29 August 2017).
- Kanitsar, A.; Wegenkittl, R.; Fleischmann, D.; Groller, M.E. Advanced Curved Planar Reformation: Flattening of Vascular Structures; IEEE: Piscataway, NJ, USA, 2003. [Google Scholar]
- Douglas, D.B.; Douglas, R.E. Method and Apparatus for Three Dimensional Viewing of Images. U.S. Patent 9,473,766 B2, 18 October 2016. [Google Scholar]
- Douglas, D. Method and Apparatus for Three Dimensional Viewing of Images. U.S. Patent 8,384,771 B1, 26 February 2013. [Google Scholar]
- Douglas, D.; Douglas, R.E. Method and Apparatus for Three Dimensional Viewing of Images. U.S. Patent 9,349,183 B1, 24 May 2016. [Google Scholar]
- Douglas, D.B.; Petricoin, E.F.; Liotta, L.; Wilson, E. D3D augmented reality imaging system: Proof of concept in mammography. Med. Devices 2016, 9, 277–283. [Google Scholar] [CrossRef] [PubMed]
- Baus, O.; Bouchard, S. Moving from virtual reality exposure-based therapy to augmented reality exposure-based therapy: A review. Front. Hum. Neurosci. 2014, 8, 112. [Google Scholar] [CrossRef] [PubMed]
- MEREL, T. The 7 Drivers of the $150 Billion AR/VR Industry; Aol Tech: New York, NY, USA, 2015. [Google Scholar]
- Chen, W.; Chao, J.-G.; Zhang, Y.; Wang, J.-K.; Chen, X.-W.; Tan, C. Orientation Preferences and Motion Sickness Induced in a Virtual Reality Environment. Aerosp. Med. Hum. Perform. 2017, 88, 903–910. [Google Scholar] [CrossRef] [PubMed]
- Ferlay, J.; Shin, H.R.; Bray, F.; Forman, D.; Mathers, C.; Parkin, D.M. Estimates of worldwide burden of cancer in 2008: GLOBOCAN 2008. Int. J. Cancer 2010, 127, 2893–2917. [Google Scholar] [CrossRef] [PubMed]
- DeSantis, C.; Ma, J.; Bryan, L.; Jemal, A. Breast cancer statistics, 2013. CA Cancer J. Clin. 2014, 64, 52–62. [Google Scholar] [CrossRef] [PubMed]
- Howell, A. The emerging breast cancer epidemic: Early diagnosis and treatment. Breast Cancer Res. 2010, 12, S10. [Google Scholar] [CrossRef] [PubMed]
- Kopans, D. Analyzing the Mammogram—Calcifications; Lippincott-Raven: Philadelphia, PA, USA, 1998. [Google Scholar]
- Lee, K.S.; Han, B.H.; Chun, Y.K.; Kim, H.S.; Kim, E.E. Correlation between mammographic manifestations and averaged histopathologic nuclear grade using prognosis-predict scoring system for the prognosis of ductal carcinoma in situ. Clin. Imaging 1999, 23, 339–346. [Google Scholar] [CrossRef]
- Burnside, E.S.; Ochsner, J.E.; Fowler, K.J.; Fine, J.P.; Salkowski, L.R.; Rubin, D.L.; Sisney, G.A. Use of microcalcification descriptors in BI-RADS 4th edition to stratify risk of malignancy. Radiology 2007, 242, 388–395. [Google Scholar] [CrossRef] [PubMed]
- Lovo, E.E.; Quintana, J.C.; Puebla, M.C.; Torrealba, G.; Santos, J.L.; Lira, I.H.; Tagle, P. A novel, inexpensive method of image coregistration for applications in image-guided surgery using augmented reality. Neurosurgery 2007, 60, 366–371. [Google Scholar] [CrossRef] [PubMed]
- Mukhtar, R.A.; Yau, C.; Rosen, M.; Tandon, V.J.; I-Spy, T.; Investigators, A.; Hylton, N.; Esserman, L.J. Clinically meaningful tumor reduction rates vary by prechemotherapy MRI phenotype and tumor subtype in the I-SPY 1 TRIAL (CALGB 150007/150012; ACRIN 6657). Ann. Surg. Oncol. 2013, 20, 3823–3830. [Google Scholar] [CrossRef] [PubMed]
- Khokher, S.; Qureshi, M.U.; Chaudhry, N.A. Comparison of WHO and RECIST criteria for evaluation of clinical response to chemotherapy in patients with advanced breast cancer. Asian Pac. J. Cancer Prev. 2012, 13, 3213–3218. [Google Scholar] [CrossRef] [PubMed]
- Boone, J.M.; Lindfors, K.K. Breast CT: Potential for breast cancer screening and diagnosis. Future Oncol. 2006, 2, 351–356. [Google Scholar] [CrossRef] [PubMed]
- Douglas, D.B.; Boone, J.M.; Petricoin, E.; Liotta, L.; Wilson, E. Augmented Reality Imaging System: 3D Viewing of a Breast Cancer. J. Nat. Sci. 2016, 2, e215. [Google Scholar] [PubMed]
- Willekens, I.; Van de Casteele, E.; Buls, N.; Temmermans, F.; Jansen, B.; Deklerck, R.; de Mey, J. High-resolution 3D micro-CT imaging of breast microcalcifications: A preliminary analysis. BMC Cancer 2014, 14, 9. [Google Scholar] [CrossRef] [PubMed]
- Gazi, P.M.; Yang, K.; Burkett, G.W., Jr.; Aminololama-Shakeri, S.; Seibert, J.A.; Boone, J.M. Evolution of spatial resolution in breast CT at UC Davis. Med. Phys. 2015, 42, 1973–1981. [Google Scholar] [CrossRef] [PubMed]
- Yang, K.; Burkett, G.; Boone, J.M. A breast-specific, negligible-dose scatter correction technique for dedicated cone-beam breast CT: A physics-based approach to improve Hounsfield Unit accuracy. Phys. Med. Biol. 2014, 59, 6487–6505. [Google Scholar] [CrossRef] [PubMed]
- Douglas, D.B.; Iv, M.; Douglas, P.K.; Anderson, A.; Vos, S.B.; Bammer, R.; Zeineh, M.; Wintermark, M. Diffusion Tensor Imaging of TBI: Potentials and Challenges. Top. Magn. Reson. Imaging 2015, 24, 241–251. [Google Scholar] [CrossRef] [PubMed]
- Douglas, D.; Goubran, M.; Wilson, E.; Xu, G.; Tripathi, P.; Holley, D.; Chao, S.; Wintermark, M.; Quon, A.; Zeineh, M. Correlation between arterial spin labeling MRI and dynamic FDG on PET-MR in Alzheimer’s disease and non-Alzhiemer’s disease patients. EJNMMI Phys. 2015, 2, A83. [Google Scholar] [CrossRef] [PubMed]
- Goubran, M.; Douglas, D.; Chao, S.; Quon, A.; Tripathi, P.; Holley, D.; Vasanawala, M.; Zaharchuk, G.; Zeineh, M. Assessment of PET & ASL metabolism in the hippocampal subfields of MCI and AD using simultaneous PET-MR. EJNMMI Phys. 2015, 2, A73. [Google Scholar] [PubMed]
- Berretti, S.; Del Bimbo, A.; Pala, P. 3D face recognition using isogeodesic stripes. IEEE Trans. Pattern Anal. Mach. Intell. 2010, 32, 2162–2177. [Google Scholar] [CrossRef] [PubMed]
- Marcolin, F.; Vezzetti, E. Novel descriptors for geometrical 3D face analysis. Multimed. Tools Appl. 2017, 76, 13805–13834. [Google Scholar] [CrossRef]
- Vezzetti, E.; Speranza, D.; Marcolin, F.; Fracastoro, G. Diagnosing cleft lip pathology in 3d ultrasound: A landmarking-based approach. Image Anal. Stereol. 2015, 35, 53–65. [Google Scholar] [CrossRef]
- Kersten-Oertel, M.; Gerard, I.; Drouin, S.; Mok, K.; Sirhan, D.; Sinclair, D.S.; Collins, D.L. Augmented reality in neurovascular surgery: Feasibility and first uses in the operating room. Int. J. Comput. Assist. Radiol. Surg. 2015, 10, 1823–1836. [Google Scholar] [CrossRef] [PubMed]
- Bernhardt, S.; Nicolau, S.A.; Soler, L.; Doignon, C. The status of augmented reality in laparoscopic surgery as of 2016. Med. Image Anal. 2017, 37, 66–90. [Google Scholar] [CrossRef] [PubMed]
- Meola, A.; Cutolo, F.; Carbone, M.; Cagnazzo, F.; Ferrari, M.; Ferrari, V. Augmented reality in neurosurgery: A systematic review. Neurosurg. Rev. 2016, 40, 537–548. [Google Scholar] [CrossRef] [PubMed]
- Volonte, F.; Pugin, F.; Bucher, P.; Sugimoto, M.; Ratib, O.; Morel, P. Augmented reality and image overlay navigation with OsiriX in laparoscopic and robotic surgery: Not only a matter of fashion. J. Hepatobiliary Pancreat. Sci. 2011, 18, 506–509. [Google Scholar] [CrossRef] [PubMed]







© 2017 by the authors. Licensee MDPI, Basel, Switzerland. This article is an open access article distributed under the terms and conditions of the Creative Commons Attribution (CC BY) license (http://creativecommons.org/licenses/by/4.0/).
Share and Cite
Douglas, D.B.; Wilke, C.A.; Gibson, J.D.; Boone, J.M.; Wintermark, M. Augmented Reality: Advances in Diagnostic Imaging. Multimodal Technol. Interact. 2017, 1, 29. https://doi.org/10.3390/mti1040029
Douglas DB, Wilke CA, Gibson JD, Boone JM, Wintermark M. Augmented Reality: Advances in Diagnostic Imaging. Multimodal Technologies and Interaction. 2017; 1(4):29. https://doi.org/10.3390/mti1040029
Chicago/Turabian StyleDouglas, David B., Clifford A. Wilke, J. David Gibson, John M. Boone, and Max Wintermark. 2017. "Augmented Reality: Advances in Diagnostic Imaging" Multimodal Technologies and Interaction 1, no. 4: 29. https://doi.org/10.3390/mti1040029
APA StyleDouglas, D. B., Wilke, C. A., Gibson, J. D., Boone, J. M., & Wintermark, M. (2017). Augmented Reality: Advances in Diagnostic Imaging. Multimodal Technologies and Interaction, 1(4), 29. https://doi.org/10.3390/mti1040029

