Endogenous Fusarium Endophthalmitis after Bone Marrow Transplant: A Case Report and Literature Review
Abstract
1. Introduction
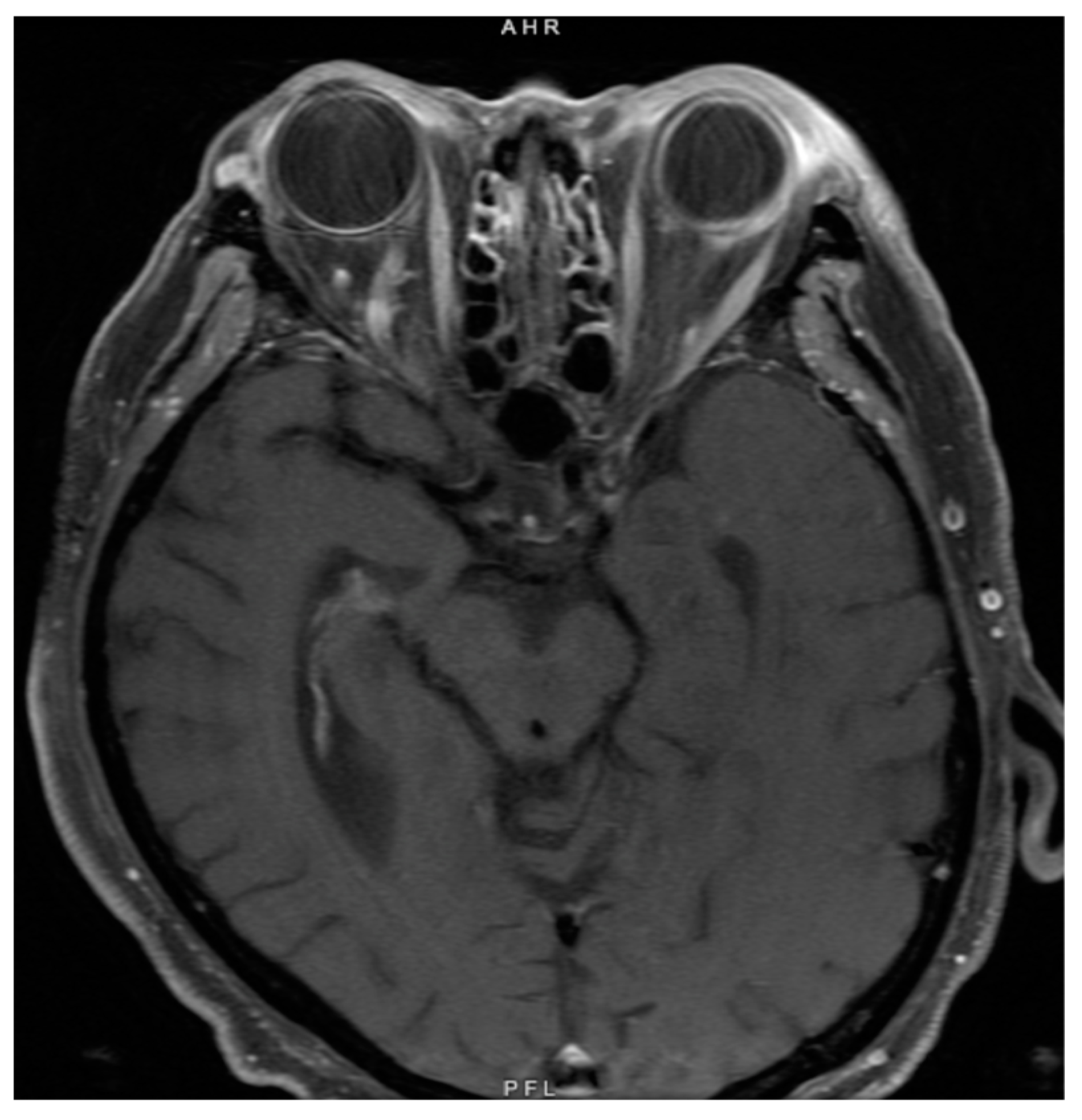
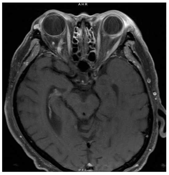
2. Case Report
3. Discussion
4. Literature Review
| Reference | No. of Patients | Age (Years) | Gender | Medical History | Antifungals Prior to Ocular Symptoms | Involved Sites | Fusarium species | Treatment | Ocular Surgery | Ocular Outcome | Final Vision | Systemic Outcome | 
|---|---|---|---|---|---|---|---|---|---|---|---|---|
| Tiribelli et al. 2002 [24] | 1 | 31 | Male | AML | Itraconazole | Skin, lungs, eye, meninges | F. solani | Systemic: AmB | Vitrectomy Iridectomy PK | No response | Total vision loss | Death from hemorrhagic shock | 
| Intraocular: AmB | ||||||||||||
| Rezai et al. 2005 [25] | 1 | 70 | Female | AML | NA | Skin, blood, eye | NA | Systemic: AmB | None | No response | - | Death from multiorgan failure | 
| Intraocular: AmB | ||||||||||||
| Cudillo et al. 2006 [26] | 1 | 34 | Male | ALL | Itraconazole | Skin, blood, lungs, sinuses, eye | NA | Systemic: AmB | None | Response | - | Death from leukemia relapse | 
| Thachil et al. 2010 [15] | 1 | 67 | Female | AML | NA | Skin, blood, eye | F. solani | Systemic: Vori, AmB | Vitrectomy | Response | HM | Survival | 
| Intraocular: AmB | ||||||||||||
| Kapp et al. 2011 [27] | 1 | 69 | Male | AML, HSCT | Posaconazole | Blood, kidneys, eye | F. solani | Systemic: Vori, AmB | Vitrectomy | No response | Worse than HM | Death from multiorgan failure | 
| Intraocular: AmB | ||||||||||||
| Kah et al. 2011 [23] | 1 | 9 | Male | ALL | NA | Skin, blood, eye, kidney abscess, subcutaneous soft tissue | NA | Systemic: AmB cholesterol dispersion | None | Response | VA 6/24 (20/80) | Survival | 
| Intraocular: Vori | ||||||||||||
| Perini et al. 2013 [28] | 1 | 68 | Male | AML | NA | Skin, blood, lungs, eye | NA | Systemic: Vori, AmB | Enucleation | No response | - | - | 
| Intraocular: Vori | ||||||||||||
| Malavade et al. 2013 [9] | 3 | 62 | Male | Hodgkin lymphoma | Fluconazole | Skin, eye | NA | Systemic: itraconazole, AmB | Vitrectomy | No response | - | Death from refractory leukemia | 
| Intraocular: AmB | ||||||||||||
| Topical: AmB | ||||||||||||
| 66 | Male | AML | AmB + Vori | Skin, bone, eye | NA | Systemic: AmB, Vori | Vitrectomy | No response | - | - | ||
| Intraocular: AmB, Vori | RD repair Enucleation | |||||||||||
| 46 | Male | ALL | Vori | Skin, sinus, eye | NA | Systemic: Vori, AmB, co-trimoxazole | None | NA | - | - | ||
| Jørgensen et al. 2014 [13] | 1 | 56 | Female | Liver transplant x 2 | Micafungin | Eye | F. solani | Systemic: Micafungin, Vori after enucleation | Enucleation | NA | - | Death from septic shock | 
| Intraocular: Vori for contralateral eye | ||||||||||||
| Bui & Carvounis 2016 [20] | 1 | 14 | Female | ALL | NA | Eye | NA | Systemic: Vori, AmB | Vitrectomy | Response | VA 20/20 | Survival | 
| Intraocular: AmB, Vori | ||||||||||||
| Ocampo-Garza et al. 2016 [29] | 1 | 46 | Male | ALL | NA | Skin, lungs, eye | F. solani | Systemic: Vori, AmB | None | No response | Total vision loss | Survival, undergoing continued chemotherapy | 
| Topical: AmB | ||||||||||||
| Balamurugan and Khodifad 2016 [10] | 1 | 46 | Male | Diabetes mellitus, topical and oral steroids for uveitis treatment | NA | Eye | NA | Systemic: antifungal not specified | Vitrectomy | No response | HM | - | 
| Intraocular: Vori | ||||||||||||
| Rizzello et al. 2018 [8] | 1 | 59 | Female | ALL, Diabetes mellitus in setting of prolonged steroid use | Posaconazole | Skin, blood, eye | F. solani | Systemic: Vori, AmB | Vitrectomy Lensectomy | Response | VA +0.50 logMAR (20/63) | Survival in ALL remission | 
| Intraocular: Vori | ||||||||||||
| Topical: AmB | ||||||||||||
| Glasgow et al. 1996 [12] | 1 | 51 | Male | AIDS, cytomegalovirus retinitis | Ganciclovir | Blood, brain, lung, kidney, thyroid, lymph nodes, eye | F. solani | Systemic: AmB, fluconazole | None | No response | - | Death | 
| Intraocular: AmB | ||||||||||||
| Patel et al. 1994 [30] | 1 | 31 | Female | ALL | NA | Skin, eye | NA | Systemic: AmB, 5-FC | None | No response | Progressive vision loss | Death from bronchopneumonia and multiorgan failure | 
| Intraocular: AmB | ||||||||||||
| Topical: AmB | ||||||||||||
| Cho et al. 1973 [31] | 1 | 2.5 | Male | ALL | None | Skin, knee, eye | F. solani | Systemic: AmB | None | Response | - | Death | 
| Topical: AmB | ||||||||||||
| Simon et al. 2018 [19] | 1 | 71 | Female | AML | Posaconazole | Eye | F. dimerum | Systemic: Vori | Vitrectomy | Response | HM | Survival, undergoing continued chemotherapy | 
| Intraocular: AmB, Vori | ||||||||||||
| Topical: Vori | ||||||||||||
| Milligan et al. 2016 [18] | 1 | 32 | Female | None; recent thorn prick with self-limited local inflammatory | None | Eye | F. solani | Systemic: Vori | Vitrectomy | No response | CF | Survival | 
| Intraocular: AmB, Vori | RD repair with silicone oil | |||||||||||
| Yoshida et al. 2018 [32] | 1 | 16 | Male | AML | NA | Lung, spleen, subcutaneous soft tissue, eye | F. solani | Systemic: Vori, AmB | Vitrectomy | Response | VA 20/400 | Survival | 
| Intraocular: Vori | Tractional RD repair | |||||||||||
| Gabriele and Hutchins. 1996 [16] | 1 | 30 | Male | Intravenous drug use | NA | Eye | F. dimerum | Systemic: AmB | Vitrectomy | Response | VA 20/20 | Survival | 
| Intraocular: AmB | ||||||||||||
| Baysal et al. 2018 [33] | 1 | 28 | Male | AML | Posaconazole | Eye | NA | Systemic: Vori, AmB | Enucleation | NA | - | Death from pneumosepsis | 
| Voriconazole | ||||||||||||
| Relimpio-López et al. 2018 [34] | 2 | NA | NA | NA | NA | Eye | F. solani | NA | Lensectomy | No response | - | NA | 
| PK | ||||||||||||
| Evisceration | ||||||||||||
| NA | NA | NA | NA | Eye | F. solani | Systemic: Vori | Vitrectomy | Response | HM (aphakic) | NA | ||
| Intraocular: AmB, Vori | PK | |||||||||||
| Topical: AmB, fortified Vori, Povidone-Iodine | ||||||||||||
| Lieberman et al. 1979 [11] | 1 | 45 | Female | Uveitis treated with oral prednisone 60–120 mg daily | NA | Eye | F. solani | None | Sector iridectomy Lensectomy Enucleation | No response | - | NA | 
| Comhaire-Poutchinian et al. 1990 [17] | 1 | 27 | Female | Recent kidney infection | Itraconazole | Kidney, skin, eye | NA | Systemic: AmB, 5-FC | Vitrectomy | Response | VA 4/10 (20/50) | Survival | 
| Venditti et al. 1988 [35] | 1 | 55 | Male | AML | NA | Skin, blood, eye | F. solani | Systemic: AmB, 5-FC | None | No response | Total vision loss | Death | 
| Robertson et al. 1991 [14] | 1 | 33 | Male | AML, BMT | NA | Skin, eye, toe | F. solani | Systemic: AmB | Vitrectomy | No response | - | Survival free of leukemia and fungal disease | 
| Intraocular: AmB | Enucleation | |||||||||||
| Louie et al. 1994 [36] | 1 | 67 | Male | AML | Fluconazole | Blood, eye | F. solani | Systemic: AmB | Vitrectomy | Response | VA 4/200 (20/1000) | Death from recurrent leukemia | 
| Intraocular: AmB | ||||||||||||
| Topical: None | ||||||||||||
| Present Case | 1 | 70 | Male | AML, BMT | isovuconazole | Skin, blood, joints, eye | F. solani | Systemic: AmB | Vitrectomy | No response | CF at 2-3′ | Death from complications of treatment | 
| Intraocular: AmB, Vori | ||||||||||||
| TOTAL | 31 | 
5. Conclusions
Author Contributions
Funding
Institutional Review Board Statement
Informed Consent Statement
Data Availability Statement
Acknowledgments
Conflicts of Interest
References
- Nucci, M.; Anaissie, E. Fusarium Infections in Immunocompromised Patients. Clin. Microbiol. Rev. 2007, 20, 695–704. [Google Scholar] [CrossRef] [PubMed]
- Dursun, D.; Fernandez, V.; Miller, D.; Alfonso, E.C. Advanced Fusarium Keratitis Progressing to Endophthalmitis. Cornea 2003, 22, 300–303. [Google Scholar] [CrossRef] [PubMed]
- Agarwal, M.; Shah, S.; Garg, A.; Gandhi, A.; Kumar, B. Fusarium Causing Recalcitrant Post-operative endophthalmitis-Report of a Case with Review of Literature. Ocul. Immunol. Inflamm. 2022, 30, 989–991. [Google Scholar] [CrossRef] [PubMed]
- Arasaki, R.; Tanaka, S.; Okawa, K.; Tanaka, Y.; Inoue, T.; Kobayashi, S.; Ito, A.; Maruyama-Inoue, M.; Yamaguchi, T.; Muraosa, Y.; et al. Endophthalmitis outbreak caused by Fusarium oxysporum after cataract surgery. Am. J. Ophthalmol. Case Rep. 2022, 26, 101397. [Google Scholar] [CrossRef] [PubMed]
- Kim, S.W.; Kim, J.H.; Choi, M.; Lee, S.J.; Shin, J.P.; Kim, J.G.; Kang, S.W.; Park, K.H.; for the Korean Retina Society Members. An Outbreak of Fungal Endophthalmitis After Cataract Surgery in South Korea. JAMA Ophthalmol. 2023, 141, 226–233. [Google Scholar] [CrossRef] [PubMed]
- Chhablani, J. Fungal Endophthalmitis. Expert Rev. Anti-Infect. Ther. 2011, 9, 1191–1201. [Google Scholar] [CrossRef] [PubMed]
- Essman, T.F.; Flynn, H.W.; Smiddy, W.E.; Brod, R.D.; Murray, T.G.; Davis, J.L.; Rubsamen, P.E. Treatment Outcomes in a 10-year Study of Endogenous Fungal Endophthalmitis. Ophthalmic Surg. Lasers 1997, 28, 185–194. [Google Scholar] [CrossRef] [PubMed]
- Rizzello, I.; Castagnetti, F.; Toschi, P.G.; Bertaccini, P.; Primavera, L.; Paolucci, M.; Faccioli, L.; Spinardi, L.; Lewis, R.; Cavo, M.; et al. Successful Treatment of Bilateral Endogenous Fusarium solani Endophthalmitis in a Patient with Acute Lymphocytic Leukaemia. Mycoses 2018, 61, 53–60. [Google Scholar] [CrossRef] [PubMed]
- Malavade, S.S.; Mai, M.; Pavan, P.; Nasr, G.; Sandin, R.; Greene, J. Endogenous Fusarium Endophthalmitis in Hematologic Malignancy: Short Case Series and Review of Literature. Infect. Dis. Clin. Pract. 2013, 21, 6–11. [Google Scholar] [CrossRef]
- Balamurugan, S.; Khodifad, A. Endogenous Fusarium Endophthalmitis in Diabetes Mellitus. Case Rep. Ophthalmol. Med. 2016, 2016, e6736413. [Google Scholar] [CrossRef]
- Lieberman, T.W.; Ferry, A.P.; Bottone, E.J. Fusarium Solani Endophthalmitis without Primary Corneal Involvement. Am. J. Ophthalmol. 1979, 88, 764–767. [Google Scholar] [CrossRef] [PubMed]
- Glasgow, B.J.; Engstrom, R.E., Jr.; Holland, G.N.; Kreiger, A.E.; Wool, M.G. Bilateral Endogenous Fusarium Endophthalmitis Associated with Acquired Immunodeficiency Syndrome. Arch. Ophthalmol. 1996, 114, 873–877. [Google Scholar] [CrossRef] [PubMed]
- Jørgensen, J.S.; Prause, J.U.; Kiilgaard, J.F. Bilateral Endogenous Fusarium solani Endophthalmitis in a Liver-Transplanted Patient: A Case Report. J. Med. Case Rep. 2014, 8, 101. [Google Scholar] [CrossRef]
- Robertson, M.J.; Socinski, M.A.; Soiffer, R.J.; Finberg, R.W.; Wilson, C.; Anderson, K.C.; Bosserman, L.; Sang, D.N.; Salkin, I.F.; Ritz, J. Successful Treatment of Disseminated Fusarium Infection After Autologous Bone Marrow Transplantation for Acute Myeloid Leukemia. Bone Marrow Transpl. 1991, 8, 143–145. [Google Scholar]
- Thachil, J.; Mohandas, K.; Sebastian, R.T. Successful Treatment of Disseminated Fusariosis with Ocular Involvement After Chemotherapy for Secondary Acute Myeloid Leukemia. Infect. Dis. Clin. Pract. 2010, 18, 77. [Google Scholar] [CrossRef]
- Gabriele, P.; Hutchins, R.K. Fusarium Endophthalmitis in an Intravenous Drug Abuser. Am. J. Ophthalmol. 1996, 122, 119–121. [Google Scholar] [CrossRef]
- Comhaire-Poutchinian, Y.; Berthe-Bonnet, S.; Grek, V.; Cremer, V. Endophthalmitis due to Fusarium: An Uncommon Cause. Bull. Soc. Belg. Ophtalmol. 1990, 239, 75–78. [Google Scholar]
- Milligan, A.L.; Gruener, A.M.; Milligan, I.D.; O’Hara, G.A.; Stanford, M.R. Isolated endogenous Fusarium endophthalmitis in an immunocompetent adult after a thorn prick to the hand. Am. J. Ophthalmol. Case Rep. 2016, 6, 45–47. [Google Scholar] [CrossRef]
- Simon, L.; Gastaud, L.; Martiano, D.; Bailleux, C.; Hasseine, L.; Gari-Toussaint, M. First Endogenous Fungal Endophthalmitis due to Fusarium Dimerum: A Severe Eye Infection Contracted During Induction Chemotherapy for Acute Leukemia. J. Mycol. Médicale 2018, 28, 403–406. [Google Scholar] [CrossRef]
- Bui, D.K.; Carvounis, P.E. Favorable Outcomes of Filamentous Fungal Endophthalmitis Following Aggressive Management. J. Ocul. Pharmacol. Ther. 2016, 32, 623–630. [Google Scholar] [CrossRef]
- Chee, Y.E.; Eliott, D. The Role of Vitrectomy in the Management of Fungal Endophthalmitis. Semin. Ophthalmol. 2017, 32, 29–35. [Google Scholar] [CrossRef] [PubMed]
- Malbin, B.; Guest, J.M.; Lin, X. Recalcitrant Fusarium Fungal Endophthalmitis: Novel Surgical Technique Combining Vitrectomy with Intralesional Injection of Voriconazole and Povidone Iodine. Retin. Cases Brief Rep. 2022, 16, 1456. [Google Scholar] [CrossRef] [PubMed]
- Kah, T.A.; Yong, K.C.; Rahman, R.A. Disseminated fusariosis and endogenous fungal endophthalmitis in acute lymphoblastic leukemia following platelet transfusion possibly due to transfusion-related immunomodulation. BMC Ophthalmol. 2011, 11, 30. [Google Scholar] [CrossRef] [PubMed]
- Tiribelli, M.; Zaja, F.; Filì, C.; Michelutti, T.; Prosdocimo, S.; Candoni, A.; Fanin, R. Endogenous endophthalmitis following disseminated fungemia due to Fusarium solani in a patient with acute myeloid leukemia. Eur. J. Haematol. 2002, 68, 314–317. [Google Scholar] [CrossRef] [PubMed]
- Rezai, K.A.; Eliott, D.; Plous, O.; Vazquez, J.A.; Abrams, G.W. Disseminated Fusarium Infection Presenting as Bilateral Endogenous Endophthalmitis in a Patient with Acute Myeloid Leukemia. Arch. Ophthalmol. 2005, 123, 702–703. [Google Scholar] [CrossRef] [PubMed]
- Cudillo, L.; Tendas, A.; Picardi, A.; Dentamaro, T.; Del Principe, M.I.; Amadori, S.; de Fabritiis, P. Successful treatment of disseminated fusariosis with high dose liposomal amphotericin-B in a patient with acute lymphoblastic leukemia. Ann. Hematol. 2006, 85, 136–138. [Google Scholar] [CrossRef] [PubMed]
- Kapp, M.; Schargus, M.; Deuchert, T.; Springer, J.; Wendel, F.; Loeffler, J.; Grigoleit, G.; Kurzai, O.; Heinz, W.; Einsele, H.; et al. Endophthalmitis as primary clinical manifestation of fatal fusariosis in an allogeneic stem cell recipient. Transpl. Infect. Dis. 2011, 13, 374–379. [Google Scholar] [CrossRef] [PubMed]
- Perini, G.F.; Camargo, L.F.A.; Lottenberg, C.L.; Hamerschlak, N. Disseminated fusariosis with endophthalmitis in a patient with hematologic malignancy. Einstein 2013, 11, 545–546. [Google Scholar] [CrossRef] [PubMed]
- Ocampo-Garza, J.; Herz-Ruelas, M.; Chavez-Alvarez, S.; Gómez-Flores, M.; Vera-Cabrera, L.; Welsh-Lozano, O.; Gallardo-Rocha, A.; Escalante-Fuentes, W.; Ocampo-Candiani, J. Disseminated fusariosis with endophthalmitis after skin trauma in acute lymphoblastic leukemia. J. Eur. Acad. Dermatol. Venereol. 2016, 30, e121–e123. [Google Scholar] [CrossRef]
- Patel, A.S.; Hemady, R.K.; Rodrigues, M.; Rajagopalan, S.; Elman, M.J. Endogenous Fusarium Endophthalmitis in a Patient with Acute Lymphocytic Leukemia. Am. J. Ophthalmol. 1994, 117, 363–368. [Google Scholar] [CrossRef]
- Cho, C.T.; Vats, T.S.; Lowman, J.T.; Brandsberg, J.W.; Tosh, F.E. Fusarium Solani Infection During Treatment for Acute Leukemia. J. Pediatr. 1973, 83, 1028–1031. [Google Scholar] [CrossRef] [PubMed]
- Yoshida, M.; Kiyota, N.; Maruyama, K.; Kunikata, H.; Toyokawa, M.; Hagiwara, S.; Makimura, K.; Sato, N.; Taniuchi, S.; Nakazawa, T. Endogenous Fusarium Endophthalmitis During Treatment for Acute Myeloid Leukemia, Successfully Treated with 25-Gauge Vitrectomy and Antifungal Medications. Mycopathologia 2018, 183, 451–457. [Google Scholar] [CrossRef] [PubMed]
- Baysal, M.; Umit, E.; Boz, İ.B.; Kırkızlar, O.; Demir, M. Fusarium Endophthalmitis, Unusual and Challenging Infection in an Acute Leukemia Patient. Case Rep. Hematol. 2018, 2018, 9531484. [Google Scholar] [CrossRef] [PubMed]
- Relimpio-López, M.I.; Gessa-Sorroche, M.; Garrido-Hermosilla, A.M.; Díaz-Ruiz, C.; Montero-Iruzubieta, J.; Etxebarría-Ecenarro, J.; Ruiz-Casas, D.; Rodríguez-de-la-Rúa-Franch, E. Extreme Surgical Maneuvers in Fungal Endophthalmitis. Ophthalmologica 2017, 239, 233. [Google Scholar] [CrossRef] [PubMed]
- Venditti, M.; Micozzi, A.; Gentile, G.; Polonelli, L.; Morace, G.; Bianco, P.; Avvisati, G.; Papa, G.; Martino, P. Invasive Fusarium solani Infections in Patients with Acute Leukemia. Clin. Infect. Dis. 1988, 10, 653–660. [Google Scholar] [CrossRef]
- Louie, T.; el Baba, F.; Shulman, M.; Jimenez-Lucho, V. Endogenous Endophthalmitis due to Fusarium: Case Report and Review. Clin. Infect. Dis. 1994, 18, 585–588. [Google Scholar] [CrossRef]




| Disclaimer/Publisher’s Note: The statements, opinions and data contained in all publications are solely those of the individual author(s) and contributor(s) and not of MDPI and/or the editor(s). MDPI and/or the editor(s) disclaim responsibility for any injury to people or property resulting from any ideas, methods, instructions or products referred to in the content. | 
© 2024 by the authors. Licensee MDPI, Basel, Switzerland. This article is an open access article distributed under the terms and conditions of the Creative Commons Attribution (CC BY) license (https://creativecommons.org/licenses/by/4.0/).
Share and Cite
Zhao, C.S.; Wai, K.; Koo, E.B.; Rahimy, E.; Mruthyunjaya, P.; Mahajan, V.B.; DeBoer, C.M.T. Endogenous Fusarium Endophthalmitis after Bone Marrow Transplant: A Case Report and Literature Review. Vision 2024, 8, 44. https://doi.org/10.3390/vision8030044
Zhao CS, Wai K, Koo EB, Rahimy E, Mruthyunjaya P, Mahajan VB, DeBoer CMT. Endogenous Fusarium Endophthalmitis after Bone Marrow Transplant: A Case Report and Literature Review. Vision. 2024; 8(3):44. https://doi.org/10.3390/vision8030044
Chicago/Turabian StyleZhao, Cindy S., Karen Wai, Eubee B. Koo, Ehsan Rahimy, Prithvi Mruthyunjaya, Vinit B. Mahajan, and Charles M. T. DeBoer. 2024. "Endogenous Fusarium Endophthalmitis after Bone Marrow Transplant: A Case Report and Literature Review" Vision 8, no. 3: 44. https://doi.org/10.3390/vision8030044
APA StyleZhao, C. S., Wai, K., Koo, E. B., Rahimy, E., Mruthyunjaya, P., Mahajan, V. B., & DeBoer, C. M. T. (2024). Endogenous Fusarium Endophthalmitis after Bone Marrow Transplant: A Case Report and Literature Review. Vision, 8(3), 44. https://doi.org/10.3390/vision8030044
 
        

 
       