The Establishment of the Multi-Visual Loop-Mediated Isothermal Amplification Method for the Rapid Detection of Vibrio harveyi, Vibrio parahaemolyticus, and Singapore grouper iridovirus
Abstract
1. Introduction
2. Materials and Methods
2.1. Pathogens
2.2. Primer Design
2.3. Preparation of LAMP Templates
2.4. Establishment and Optimization of the Triple LAMP System
2.5. Optimization of Reaction Temperature and Time for the Triple LAMP
2.6. Construction of Standard Plasmids
2.7. Specificity Detection and Enzyme Digestion Identification of the Triple LAMP Reaction
2.8. Sensitivity Detection of the Triple LAMP Reaction
2.9. Application of the Triple LAMP Method in Groupers
3. Results
3.1. Optimization of Triple LAMP Reaction System
3.2. Optimization of Reaction Temperature
3.3. Determination of Reaction Time
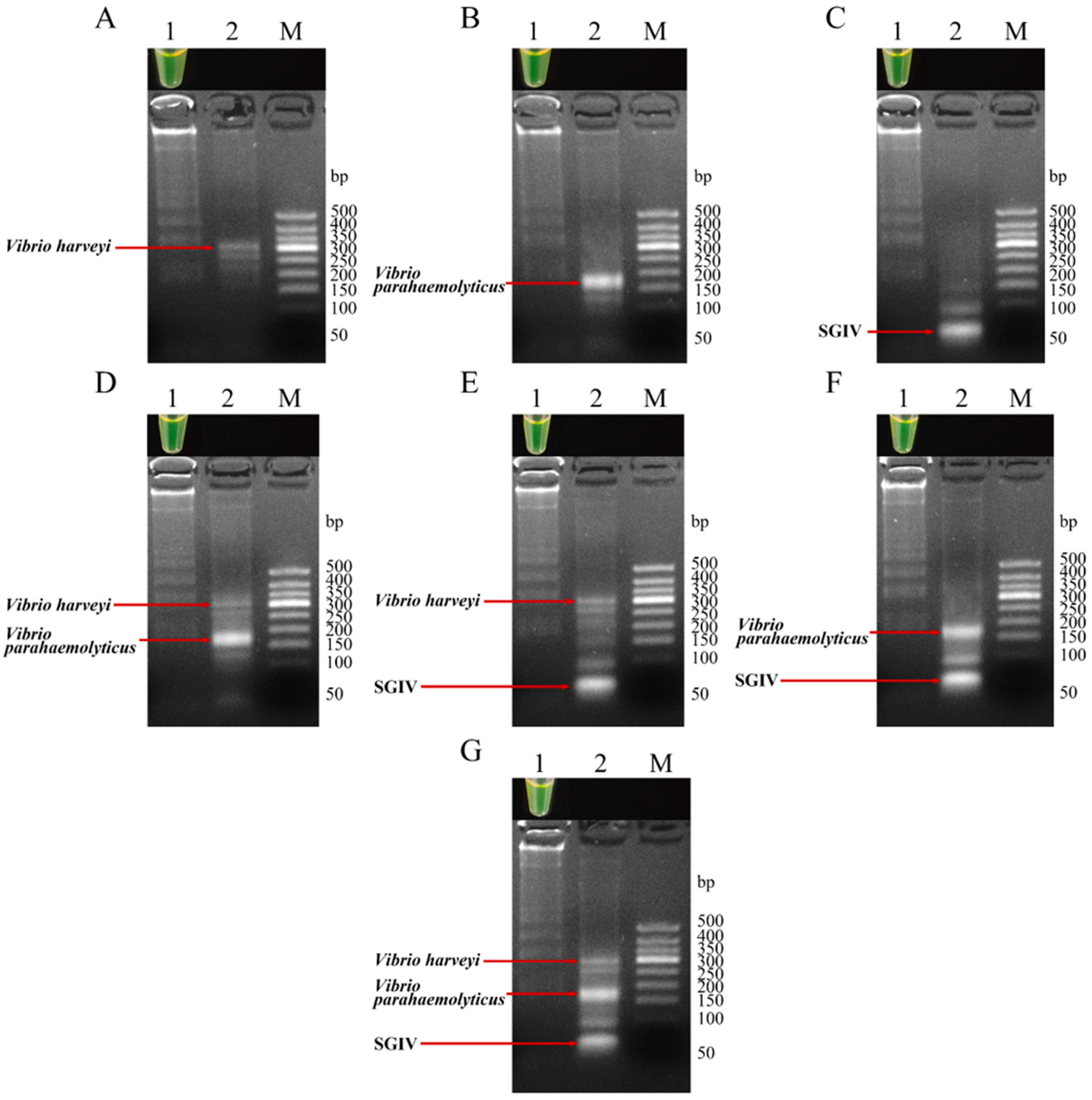
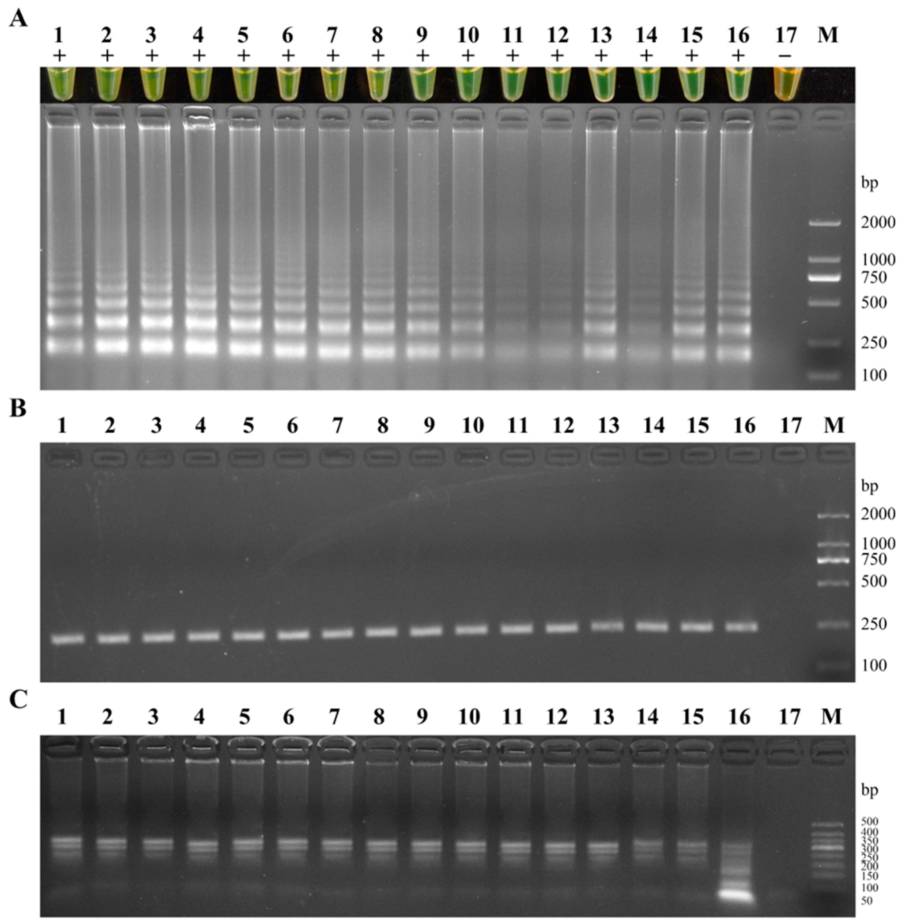
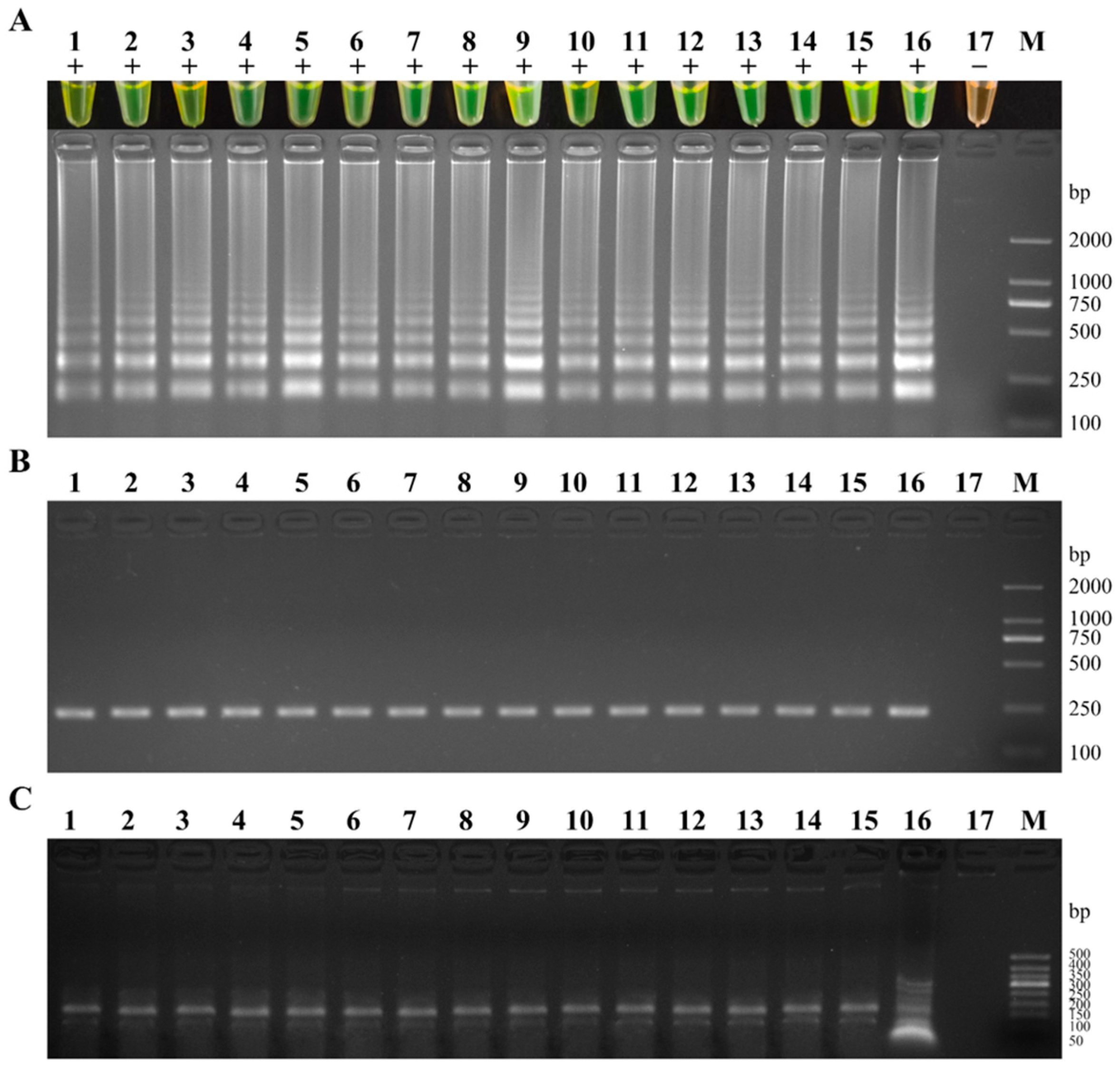
3.4. Specificity Detection and Enzyme Digestion Identification
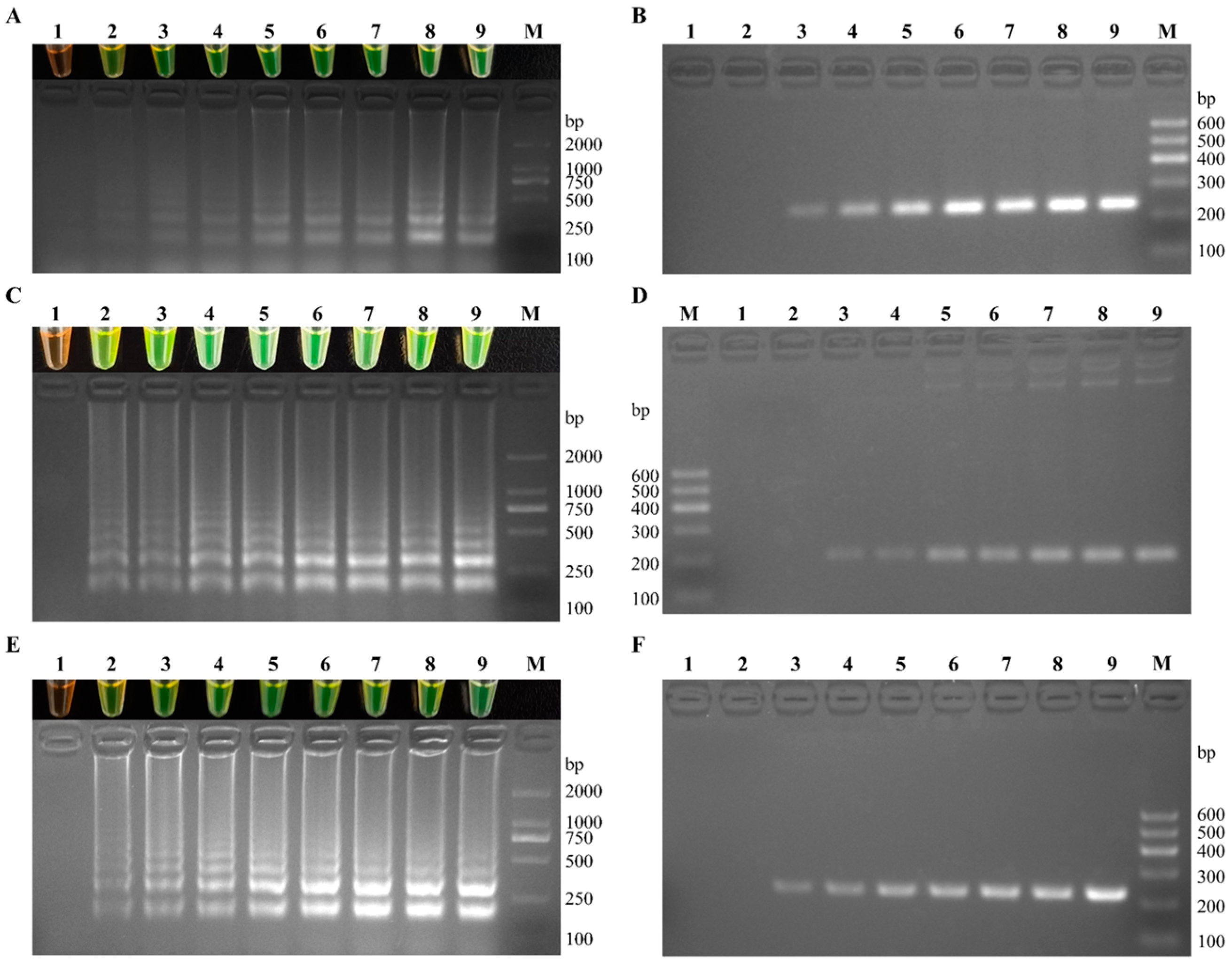
3.5. Sensitivity Detection
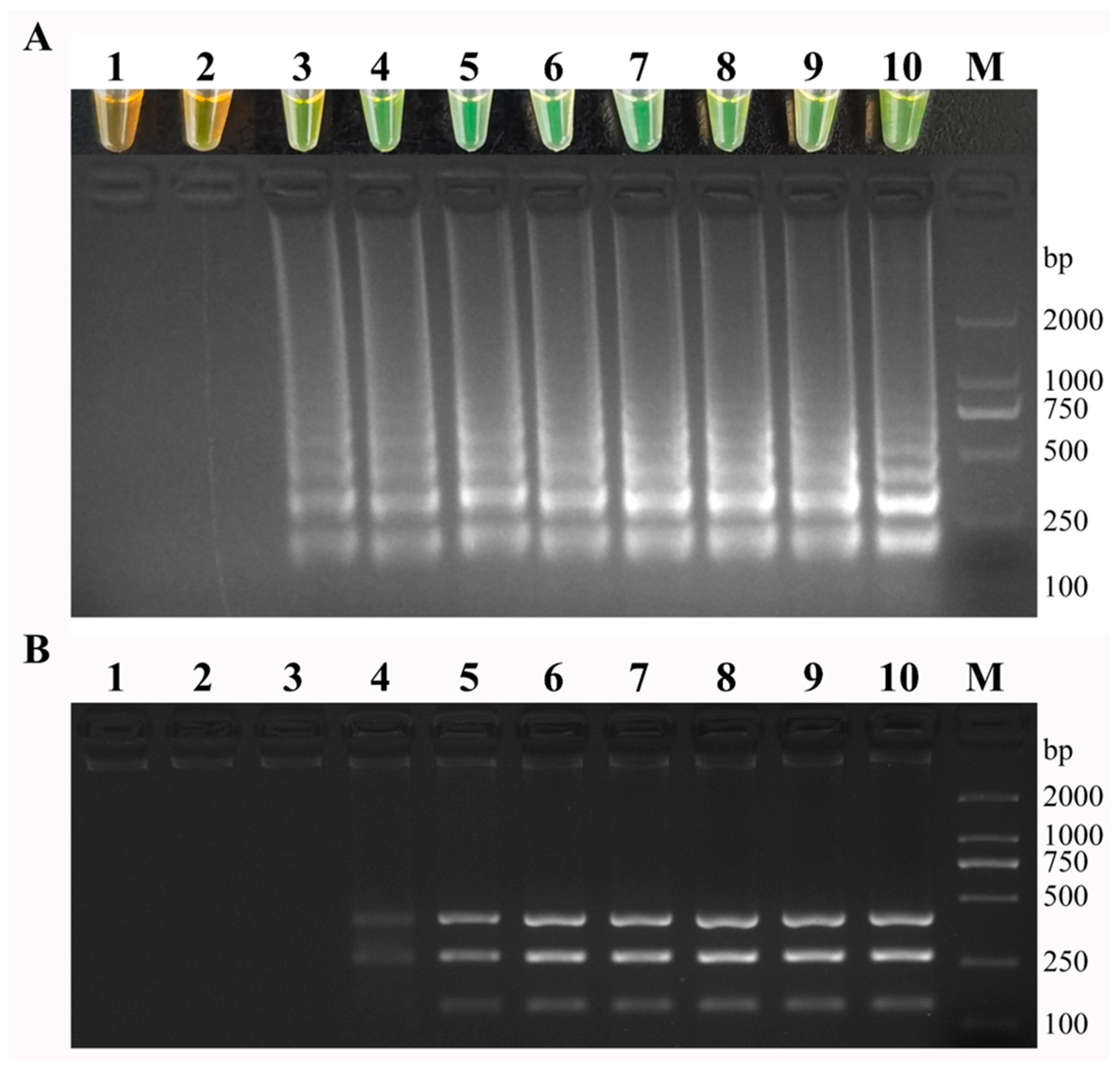
3.6. Application of the Triple LAMP Detection Method
4. Discussion
5. Conclusions
Author Contributions
Funding
Institutional Review Board Statement
Data Availability Statement
Conflicts of Interest
References
- The People’s Republic of China Ministry of Agriculture. Fisheries Bureau. China Fishery Statistical Yearbook 2023; China Agriculture Press: Beijing, China, 2023. [Google Scholar]
- Luo, M.; Chen, F.X.; Liu, L.L.; Li, W.D.; Zeng, G.Q.; Tan, W.; Li, X.M. Progress in disease research of grouper aquaculture in China. Fish. Sci. 2013, 32, 549–554. [Google Scholar]
- Liu, Z.T.; Zhang, X.; Huang, X.H.; Huang, Y.H.; Qin, Q.W. Mechanism of oligochitosan improving non-specific immunity of Epinephelus fuscoguttatus (♀) × E. lanceolatu (♂). J. Fish. China 2022, 46, 85–94. [Google Scholar]
- He, L.G.; Liang, Y.S.; Yu, X.; Peng, W.; He, J.N.; Fu, L.J.; Lin, H.R.; Zhang, Y.; Lu, D.Q. Vibrio parahaemolyticus flagellin induces cytokines expression via toll-like receptor 5 pathway in orange-spotted grouper, Epinephelus coioides. Fish Shellfish Immunol. 2019, 87, 573–581. [Google Scholar] [CrossRef] [PubMed]
- Shen, G.M.; Shi, C.Y.; Fan, C.; Jia, D.; Wang, S.Q.; Xie, G.S.; Li, G.Y.; Mo, Z.L.; Huang, J. Isolation, identification and pathogenicity of Vibrio harveyi, the causal agent of skin ulcer disease in juvenile hybrid groupers Epinephelus fuscoguttatus × Epinephelus lanceolatus. J. Fish Dis. 2017, 40, 1351–1362. [Google Scholar] [CrossRef] [PubMed]
- Xu, H.; Zeng, Y.H.; Yin, W.L.; Lu, H.B.; Gong, X.X.; Zhang, N.; Zhang, X.; Long, H.; Ren, W.; Cai, X.N.; et al. Prevalence of bacterial coinfections with Vibrio harveyi in the industrialized flow-through aquaculture systems in Hainan province: A neglected high-risk lethal causative agent to hybrid grouper. Int. J. Mol. Sci. 2022, 23, 11628. [Google Scholar] [CrossRef] [PubMed]
- Qin, Z.W.; Xue, L.; Gao, J.S.; Hu, Y.D.; Zhang, J.M.; Wu, Q.P. Advances in nucleic acid isothermal detection technologies for foodborne viruses. Microbiol. China 2021, 48, 266–277. [Google Scholar]
- Yeh, H.Y.; Shoemaker, C.A.; Klesius, P.H. Sensitive and rapid detection of Flavobacterium columnare in channel catfish Ictalurus punctatus by a loop-mediated isothermal amplification method. J. Appl. Microbiol. 2006, 100, 919–925. [Google Scholar] [CrossRef] [PubMed]
- Cai, X.Q.; Xu, M.J.; Wang, Y.H.; Qiu, D.Y.; Liu, G.X.; Lin, A.; Tang, J.D.; Zhang, R.L.; Zhu, X.Q. Sensitive and rapid detection of Clonorchis sinensis infection in fish by loop-mediated isothermal amplification (LAMP). Parasitol. Res. 2010, 106, 1379–1383. [Google Scholar] [CrossRef] [PubMed]
- Suebsing, R.; Pradeep, P.J.; Jitrakorn, S.; Sirithammajak, S.; Kampeera, J.; Turner, W.A.; Saksmerprome, V.; Withyachumnarnkul, B.; Kiatpathomchai, W. Detection of natural infection of infectious spleen and kidney necrosis virus in farmed tilapia by hydroxynapthol blue-loop-mediated isothermal amplification assay. J. Appl. Microbiol. 2016, 121, 55–67. [Google Scholar] [CrossRef]
- Fan, Q.; Xie, Z.X.; Wei, Y.; Zhang, Y.F.; Xie, Z.Q.; Xie, L.J.; Huang, J.L.; Zeng, T.T.; Wang, S.; Luo, S.S.; et al. Development of a visual multiplex fluorescent LAMP assay for the detection of foot-and-mouth disease, vesicular stomatitis and bluetongue viruses. PLoS ONE 2022, 17, e0278451. [Google Scholar] [CrossRef]
- Li, S.; Wang, Y.S.; Yo, H.W.; Li, Y.; Xia, G.Q. Development of multiplex loop-mediated isothermal amplification assays to detect three kinds of food-borne pathogens. J. Nav. Univ. Eng. 2018, 30, 75–79+90. [Google Scholar]
- Fan, Q.; Xie, Z.X.; Xie, Z.Q.; Xie, L.J.; Huang, J.L.; Zhang, Y.F.; Zeng, T.T.; Wang, S.; Luo, S.S.; Deng, X.W.; et al. Development of multiplex fluorescence-based loop-mediated isothermal amplification assay for the detection of bovine rotavirus and enterotoxigenic E. coli. Chin. Vet. Sci. 2019, 49, 1119–1127. [Google Scholar]
- Wang, Y.; Cheng, Y.; Xie, J.; Liu, Y. Establishment of multiplex loop-mediated isothermal amplification for rapid detection of genitourinary mycoplasma. Clin. Lab. 2018, 64, 1217–1224. [Google Scholar] [CrossRef] [PubMed]
- Siddique, M.P.; Jang, W.J.; Lee, J.M.; Hasan, M.T.; Kim, C.H.; Kong, I.S. Detection of Vibrio anguillarum and Vibrio alginolyticus by singleplex and duplex loop-mediated isothermal amplification (LAMP) Assays Targeted to groEL and fklB Genes. Int. Microbiol. 2019, 22, 501–509. [Google Scholar] [CrossRef] [PubMed]
- Wang, Z.; Hervey, W.J.; Kim, S.; Lin, B.; Vora, G.J. Complete genome sequence of the bioluminescent marine bacterium Vibrio harveyi ATCC 33843 (392 [MAV]). Genome Announc. 2015, 3, e01493. [Google Scholar] [CrossRef] [PubMed]
- Nhung, P.H.; Ohkusu, K.; Miyasaka, J.; Sun, X.S.; Ezaki, T. Rapid and specific identification of 5 human pathogenic Vibrio species by multiplex polymerase chain reaction targeted to dnaJ gene. Diagn. Microbiol. Infect. Dis. 2007, 59, 271–275. [Google Scholar] [CrossRef] [PubMed]
- Lü, L.; Zhou, S.Y.; Chen, C.; Weng, S.P.; Chan, S.M.; He, J.G. Complete genome sequence analysis of an iridovirus isolated from the orange-spotted grouper, Epinephelus coioides. Virology 2005, 339, 81–100. [Google Scholar] [CrossRef] [PubMed]
- Tu, Z.; Li, H.; Zhang, X.; Sun, Y.; Zhou, Y. Complete genome sequence and comparative genomics of the golden pompano (Trachinotus ovatus) pathogen, Vibrio harveyi strain QT520. PeerJ 2017, 5, e4127. [Google Scholar] [CrossRef] [PubMed]
- Xu, X.D.; Xie, Z.Y.; Wang, S.F.; Xuan, X.Z.; Zhou, Y.C. Toxicity and immunogenicity of LPS from pathogenic Vibrio alginolyticus to grouper, Epinephelus malabaricus. Mar. Sci. 2010, 34, 47–51. [Google Scholar]
- Huang, Y.Y.; Yang, M.W.; Tan, H.L.; Liang, Z.; Zeng, L.; Wei, X.X.; Huang, G.H.; Tong, G.X. Development and application of duplex fluorescent quantitative PCR method for detecting Macrobrachium rosenbergii nodavirus and decapod iridescent virus 1. J. South. Agric. 2022, 53, 1474–1482. [Google Scholar]
- Liao, M.J.; Zhang, Z.; Rong, X.J.; Wang, Y.G.; Liu, Z.C.; Luan, J.; Li, B.; Wang, L.; Chen, G.P. Development of a SYBR Green I real-time PCR for detection of Vibrio harveyi based on the vhhP2 gene. J. Fish. Sci. China 2014, 21, 611–620. [Google Scholar]
- Pei, L.S.; Zhu, Y.L.; Mao, Q.; Chen, L.M.; Guo, Y.J.; Sun, J.F. Isolation, identification and antibiotic susceptibility analysis of thepathogenic Vibrio harveyi from Epinephelus coioides. J. Tianjin Agric. Univ. 2021, 28, 35–40. [Google Scholar]
- Sheng, X.Z.; Song, J.L.; Zhan, W.B. Development of a colloidal gold immunochromatographic test strip for detection of lymphocystis disease virus in fish. J. Appl. Microbiol. 2012, 113, 737–744. [Google Scholar] [CrossRef] [PubMed]
- Zhang, X.J.; Bai, X.S.; Bi, K.R.; Zhoi, B.Y.; Qin, L.; Yan, B.L.; Qin, G.M. Simultaneous detection of Vibrio parahaemolyticus and V. cholerae from aquatic animals by dulplex PCR. Fish. Sci. 2013, 32, 412–415. [Google Scholar]
- Zhu, J.L.; Wang, G.L.; Jin, S. Development and application of multiplex PCR of vibrios pathogenic to cultured large yellow croaker, Pseudnosciaena crocea (Richardson). J. Fish. Sci. China 2009, 16, 156–164. [Google Scholar]
- Mo, Q.H.; Wang, H.B.; Dai, H.R.; Lin, J.C.; Tan, H.; Wang, Q.; Yang, Z. Rapid and simultaneous detection of three major diarrhea-causing viruses by multiplex real-time nucleic acid sequence-based amplification. Arch. Virol. 2015, 160, 719–725. [Google Scholar] [CrossRef]
- Pan, Y.; Yang, J.H.; Peng, F.Y.; Huang, Y.H.; Qin, Q.W.; Huang, X.H. Rapid detection of Singapore grouper iridovirus by a recombinase polymerase amplification combined with lateral flow dipstick. J. Fish. China 2024, 48, 059411. [Google Scholar]
- Kong, C.J.; Shi, Y.H.; Li, H.Y.; Chen, J. Detection of infectious spleen and kidney necrosis virus (ISKNV) by HRCA approach. Fish. Sci. 2011, 30, 575–579. [Google Scholar]
- Yan, S.; Li, C.L.; Lan, H.Z.; Pan, D.D.; Wu, Y.C. Comparison of four isothermal amplification techniques: LAMP, SEA, CPA, and RPA for the identification of chicken adulteration. Food Control 2024, 159, 110302. [Google Scholar] [CrossRef]
- Wong, Y.P.; Othman, S.; Lau, Y.L.; Radu, S.; Chee, H.Y. Loop-mediated isothermal amplification (LAMP): A versatile technique for detection of micro-organisms. J. Appl. Microbiol. 2018, 124, 626–643. [Google Scholar] [CrossRef]
- Yu, Y.P.; Yang, Z.T.; Wang, L.; Sun, F.; Lee, M.; Wen, Y.F.; Qin, Q.W.; Yue, G.H. LAMP for the rapid diagnosis of iridovirus in aquaculture. Aquac. Fish. 2022, 7, 158–165. [Google Scholar] [CrossRef]
- Zhou, S.; Gao, Z.X.; Zhang, M. The development and application of a duplex loop-mediated isothermal amplification method for rapid detection of Vibrio vulnificus and Vibrio parahaemolyticus. Chin. J. Vet. Sci. 2016, 36, 1875–1881. [Google Scholar]
- Rahman, A.M.A.; Ransangan, J.; Subbiah, V.K. Improvements to the rapid detection of the marine pathogenic bacterium, Vibrio harveyi, using loop-mediated isothermal amplification (LAMP) in combination with SYBR Green. Microorganisms 2022, 10, 2346. [Google Scholar] [CrossRef] [PubMed]
- Kamra, E.; Singh, N.; Khan, A.; Singh, J.; Chauhan, M.; Kamal, H.; Mehta, P.K. Diagnosis of genitourinary tuberculosis by loop-mediated isothermal amplification based on SYBR Green I dye reaction. Biotechniques 2022, 73, 47–57. [Google Scholar] [CrossRef]
- Lai, M.Y.; Ooi, C.H.; Lau, Y.L. Validation of SYBR green I based closed-tube loop-mediated isothermal amplification (LAMP) assay for diagnosis of knowlesi malaria. Malar J. 2021, 20, 166. [Google Scholar] [CrossRef]












| Pathogen | Prime Name | Primer Sequence (5’−3’) | 
|---|---|---|
| V. parahaemolyticus | DNAJ-1-F3-1 | TTGCTATGGCTGCACTCG | 
| DNAJ-1-B3-1 | TCTTTTTGGCGAGCGCTTAA | |
| DNAJ-1-FIP-1 | GGCCAGTTTGTGTTTCTGACGG-CTTAAG-CGGCGAAGTTGAAGTTCCA (BspT I) | |
| DNAJ-1-BIP-1 | GCGCGGTAAAGGTGTGAAAGGT-TTTT-AACTGGCGTTTCTACAACCA | |
| DNAJ-1-LF-1 | TTTTAGGCTTACTCGTCCATCAA | |
| DNAJ-1-LB-1 | CGTGGCGGTGGTATTGGT | |
| V. harveyi | TolC-2-F3-2 | TCCTTCGAGTTTCTCAAGCG | 
| TolC-2-B3-2 | TCACGTAGCGATTCGTAGCT | |
| TolC-2-FIP-2 | CTAGTTGGCGACCAACCGCT-AAGCTT-CGCGCACAAGACAACCTAG (Hind III) | |
| TolC-2-BIP-2 | TCACTGACGTACACGATGCGC-TTTT-CGAGTTTTCCGCCAAGACT | |
| TolC-2-LF-2 | GCTTTTTCTGCACGAACGAA | |
| TolC-2-LB-2 | AAGCACAATACGATGCAGTACTTG | |
| SGIV | RAD2-3-F3-3 | CGTTGGAACTGAACGGAGAT | 
| RAD2-3-B3-3 | GCGGTGATGTCTCTGCCTA | |
| RAD2-3-FIP-3 | GCGGGACCCAACCTGTGAATTC-TTTT-ATGGATCTGTGCGTCATGTG (EcoR I) | |
| RAD2-3-BIP-3 | GATGATACGAGCGCACGGAAGC-GAATTC-CTTTGTCCTTTCCGCGTCT (EcoR I) | |
| RAD2-3-LF-3 | GCTGATTAAAATCGGTGCCG | |
| RAD2-3-LB-3 | ACGACGTGCCCATTGAATCT | 
| Reaction System Components | Volume (μL) | 
|---|---|
| 10 × Thermoplol buffer | 2.5 | 
| MgSO4 (100 mM) | 1.5 | 
| dNTPs (10 mM) | 3.5 | 
| DNAJ-1-FIP-1/BIP-1 (1:1, 50 M) | 1 | 
| DNAJ-1-F3-1/B3-1 (1:1, 10 M) | 1 | 
| DNAJ-1-LF-1/LB-1 (1:1, 25 M) | 1 | 
| TolC-2-FIP-2/BIP-2 (1:1, 50 M) | 1 | 
| TolC-2-F3-2/B3-2 (1:1, 10 M) | 1 | 
| TolC-2-LF-2/LB-2 (1:1, 25 M) | 1 | 
| RAD2-3-FIP-3/BIP-3 (1:1, 50 M) | 1 | 
| RAD2-3-F3-3/B3-3 (1:1, 10 M) | 1 | 
| RAD2-3-LF-3/LB-3 (1:1, 25 M) | 1 | 
| Bst DNA polymerase (8 U) | 1 | 
| DNA template mixture (V. harveyi: V. parahaemolyticus: SGIV = 1:1:1) | 1 | 
| ddH2O | 6.5 | 
| Total | 25 | 
| Pathogen | Prime Name | Primer Sequence (5′−3′) | Amplified Fragment | 
|---|---|---|---|
| V. parahaemolyticus | VP-F | GTTCAGCAAACCTGTCCTACC | 146 bp | 
| VP-R | GCTTACTGGCACTTCACAATAGA | ||
| V. harveyi | VH-F | TGACGGTTTCAAAGTCGGTG | 276 bp | 
| VH-R | GCACTTCTTTCACAACACTACGG | ||
| SGIV | RAD-F | TCGTTGGATGCGTTCGG | 477 bp | 
| RAD-R | CGGTTCTGGCGGTGATGT | 
| Disclaimer/Publisher’s Note: The statements, opinions and data contained in all publications are solely those of the individual author(s) and contributor(s) and not of MDPI and/or the editor(s). MDPI and/or the editor(s) disclaim responsibility for any injury to people or property resulting from any ideas, methods, instructions or products referred to in the content. | 
© 2024 by the authors. Licensee MDPI, Basel, Switzerland. This article is an open access article distributed under the terms and conditions of the Creative Commons Attribution (CC BY) license (https://creativecommons.org/licenses/by/4.0/).
Share and Cite
Li, T.; Ding, R.; Zhang, J.; Zhou, Y.; Liu, C.; Cao, Z.; Sun, Y. The Establishment of the Multi-Visual Loop-Mediated Isothermal Amplification Method for the Rapid Detection of Vibrio harveyi, Vibrio parahaemolyticus, and Singapore grouper iridovirus. Fishes 2024, 9, 225. https://doi.org/10.3390/fishes9060225
Li T, Ding R, Zhang J, Zhou Y, Liu C, Cao Z, Sun Y. The Establishment of the Multi-Visual Loop-Mediated Isothermal Amplification Method for the Rapid Detection of Vibrio harveyi, Vibrio parahaemolyticus, and Singapore grouper iridovirus. Fishes. 2024; 9(6):225. https://doi.org/10.3390/fishes9060225
Chicago/Turabian StyleLi, Tao, Ronggang Ding, Jing Zhang, Yongcan Zhou, Chunsheng Liu, Zhenjie Cao, and Yun Sun. 2024. "The Establishment of the Multi-Visual Loop-Mediated Isothermal Amplification Method for the Rapid Detection of Vibrio harveyi, Vibrio parahaemolyticus, and Singapore grouper iridovirus" Fishes 9, no. 6: 225. https://doi.org/10.3390/fishes9060225
APA StyleLi, T., Ding, R., Zhang, J., Zhou, Y., Liu, C., Cao, Z., & Sun, Y. (2024). The Establishment of the Multi-Visual Loop-Mediated Isothermal Amplification Method for the Rapid Detection of Vibrio harveyi, Vibrio parahaemolyticus, and Singapore grouper iridovirus. Fishes, 9(6), 225. https://doi.org/10.3390/fishes9060225
 
         
                                                


 
       