Isolation, Characterization, and Pathogenicity of an Aeromonas veronii Strain Causing Disease in Rhinogobio ventralis
Abstract
1. Introduction
2. Materials and Methods
2.1. Fish Sampling and Materials Used
2.1.1. Fish
2.1.2. Main Instruments and Reagents
2.2. Experimental Methods
2.2.1. Pathogen Isolation
2.2.2. Morphological Observation
2.2.3. Biochemical Identification
2.2.4. 16S rRNA Sequence Analysis
2.2.5. Histopathological Observations
2.2.6. Infection Trials
2.2.7. Intestinal Microbiota Analysis
2.2.8. Antimicrobial Susceptibility Testing
3. Results
3.1. Clinical Signs of Diseased Fish
3.2. Bacterial Morphology
3.3. Analysis using 16S rRNA Gene Sequencing
3.4. Biochemical Characteristics of RV-JZ01
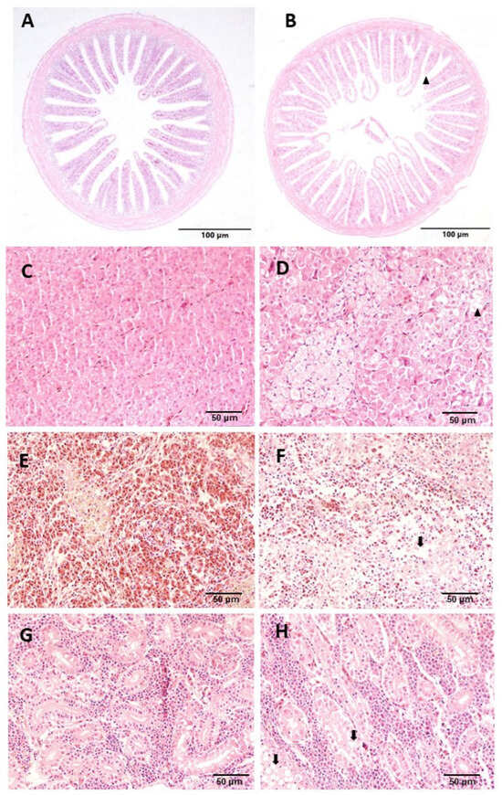
3.5. Histopathological Changes in Diseased Fish
3.6. Infection Experiment
3.7. Intestinal Microbiota
3.8. Antibiotic Susceptibility Analysis
4. Discussion
5. Conclusions
Author Contributions
Funding
Institutional Review Board Statement
Informed Consent Statement
Data Availability Statement
Acknowledgments
Conflicts of Interest
References
- Zhu, Y.; Wu, X.; He, Y.; Yang, D. Study on broodstock culture, induced spawning and artificial incubation of Rhinogobio ventralis (Sauvage et Dabry) in recirculating aquaculture system. Freshw. Fish. 2018, 48, 101–106. [Google Scholar]
- Shao, K.; Yan, S.; Xiong, M.; Li, W.; Pan, L.; Xu, N. Development of sixteen novel polymorphic microsatellite markers in Rhinogobio ventralis (Teleostei, Cyprinidae, Gobioninae). Conserv. Genet. Resour. 2015, 7, 225–227. [Google Scholar] [CrossRef]
- Jiang, Z.; Jiang, J.; Wang, Y.; Zhang, E.; Zhang, Y.; Li, L.; Xie, F.; Cai, B.; Cao, L.; Zheng, G.; et al. Red List of China’s Vertebrates. Biodivers. Sci. 2016, 24, 500–551. [Google Scholar]
- National Forestry and Grassland Administration, PRC; Ministry of Agriculture and Rural Affair, PRC. The List of National Key Protected Wildlife in China. Chinese. J. Wildlife 2021, 42, 605–640. [Google Scholar]
- Guan, M.; Qu, H.; Hu, M.; Liu, Y.; Lu, X.; Ni, Y.; Xiao, K.; Yang, Y.; Li, S.; Guo, W. Artificial propagation of Rhinogobio ventralis. Fish. Sci. 2015, 34, 294–299. [Google Scholar]
- Adams, E. Studies in Gram Staining. Stain. Technol. 1975, 50, 227–231. [Google Scholar] [CrossRef] [PubMed]
- Arroyo, E.; Enriquez, L.; Sanchez, A.; Ovalle, M.; Olivas, A. Scanning electron microscopy of bacteria Tetrasphaera duodecadis. Scanning 2014, 36, 547–550. [Google Scholar] [CrossRef] [PubMed]
- Jensen, S.; Bergh, O.; Enger, O.; Hjeltnes, B. Use of PCR-RFLP for genotyping 16S rRNA and characterizing bacteria cultured from halibut fry. Can. J. Microbiol. 2002, 48, 379–386. [Google Scholar] [CrossRef] [PubMed]
- Reed, L.J.; Muench, H. A simple method of estimating fifty percent endpoints. Am. J. Epidemiol. 1938, 27, 493–497. [Google Scholar] [CrossRef]
- Chao, A. Nonparametric estimation of the number of classes in a population. Scand. J. Stat. 1984, 11, 265–270. [Google Scholar]
- Shannon, C.E. A mathematical theory of communication. Bell. Syst. Tech. J. 1948, 27, 379–423, 623–656. [Google Scholar] [CrossRef]
- Simpson, E.H. Measurement of diversity. Nature 1949, 163, 688. [Google Scholar] [CrossRef]
- Faith, D.P. Conservation evaluation and phylogenetic diversity. Biol. Conserv. 1992, 61, 1–10. [Google Scholar] [CrossRef]
- Pielou, E.C. The measurement of diversity in different types of biological collections. J. Theor. Biol. 1966, 13, 131–144. [Google Scholar] [CrossRef]
- Good, I.J. The population frequency of species and the estimation of the population parameters. Biometrics 1958, 40, 237–246. [Google Scholar] [CrossRef]
- Wang, Y.; Sheng, H.-F.; He, Y.; Wu, J.-Y.; Jiang, Y.-X.; Tam, N.F.-Y.; Zhou, H.-W. Comparison of the levels of bacterial diversity in freshwater, intertidal wetland, and marine sediments by using millions of illumina tags. Appl. Environ. Microbiol. 2012, 78, 8264–8271. [Google Scholar] [CrossRef] [PubMed]
- Barry, A.L.; Coyle, M.B.; Thornsberry, C.; Gerlach, E.H.; Hawkinson, R.W. Methods of measuring zones of inhibition with the Bauer-Kirby disk susceptibility test. J. Clin. Microbiol. 1979, 10, 885–889. [Google Scholar] [CrossRef] [PubMed]
- Ran, C.; Qin, C.; Xie, M.; Zhang, J.; Li, J.; Xie, Y.; Wang, Y.; Li, S.; Liu, L.; Fu, X.; et al. Aeromonas veronii and aerolysin are important for the pathogenesis of motile aeromonad septicemia in cyprinid fish. Environ. Microbiol. 2018, 20, 3442–3456. [Google Scholar] [CrossRef] [PubMed]
- Han, Z.; Sun, J.; Jiang, B.; Hu, X.; Lv, A.; Chen, L.; Guo, Y. Concurrent infections of Aeromonas veronii and Vibrio cholerae in koi carp (Cyprinus carpio var. koi). Aquaculture 2021, 535, 736395. [Google Scholar] [CrossRef]
- Li, F.; Wu, D.; Gu, H.; Yin, M.; Ge, H.; Liu, X.; Huang, J.; Zhang, Y.; Wang, Z. Aeromonas hydrophila and Aeromonas veronii cause motile Aeromonas septicaemia in the cultured Chinese sucker, Myxocyprinus asiaticus. Aquac. Res. 2019, 50, 1515–1526. [Google Scholar] [CrossRef]
- Chen, F.; Sun, J.; Han, Z.; Yang, X.; Xian, J.; Lv, A.; Hu, X.; Shi, H. Isolation, identification and characteristics of Aeromonas veronii from diseased Crucian carp (Carassius auratus gibelio). Front. Microbiol. 2019, 10, 2742. [Google Scholar] [CrossRef] [PubMed]
- Raj, N.S.; Swaminathana, T.R.; Dharmaratnama, A.; Raja, S.A.; Ramraj, D.; Lalc, K.K. Aeromonas veronii caused bilateral exophthalmia and mass mortality in cultured Nile tilapia, Oreochromis niloticus (L.) in India. Aquaculture 2019, 512, 734278. [Google Scholar] [CrossRef]
- Paget, E. The LD50 test. Acta. Pharmacol. Toxicol. 1983, 52 (Suppl. 2), 6–19. [Google Scholar] [CrossRef] [PubMed]
- Santos, Y.; Toranzo, A.E.; Barja, J.L.; Nieto, T.P.; Villa, T.G. Virulence properties and enterotoxin production of Aeromonas strains isolated from fish. Infect. Immun. 1988, 56, 3285–3293. [Google Scholar] [CrossRef] [PubMed]
- Cai, S.; Wu, Z.; Jian, J.; Lu, Y.; Tang, J. Characterization of pathogenic Aeromonas veronii bv. veronii associated with ulcerative syndrome from Chinese longsnout catfish (Leiocassis longirostris Günther). Braz. J. Microbiol. 2012, 43, 382–388. [Google Scholar]
- Pei, C.; Zhu, L.; Qiao, D.; Yan, Y.; Li, L.; Zhao, X.; Zhang, J.; Jiang, X.; Kong, X. Identification of Aeromonas veronii isolated from largemouth bass Micropterus salmoides and histopathological analysis. Aquaculture 2021, 540, 736707. [Google Scholar] [CrossRef]
- Lazado, C.C.; Zilberg, D. Pathogenic characteristics of Aeromonas veronii isolated from the liver of a diseased guppy (Poecilia reticulata). Lett. Appl. Microbio. 2018, 67, 476–483. [Google Scholar] [CrossRef]
- Xue, M.; Fu, M.; Zhang, M.; Xu, C.; Meng, Y.; Jiang, N.; Li, Y.; Liu, W.; Fan, Y.; Zhou, Y. Aflatoxin B1 induced oxidative F stress and gut microbiota disorder to increase the infection of Cyprinid Herpesvirus 2 in Gibel carp (Carassius auratus gibelio). Antioxidants 2023, 12, 306. [Google Scholar] [CrossRef]
- Linh, N.V.; Khongcharoen, N.; Nguyen, D.H.; Rungrueng, N.; Jhunkeaw, C.; Sangpo, P.; Dong, H.T. Effects of hyperoxia during oxygen nanobubble treatment on innate immunity, growth performance, gill histology, and gut microbiome in Nile tilapia, Oreochromis niloticus. Fish Shellfish Immunol. 2023, 143, 109191. [Google Scholar] [CrossRef]
- Lee, J.E.; Yoon, S.H.; Lee, G.Y.; Lee, D.H.; Huh, C.S.; Kim, G.B. Chryseobacterium vaccae sp. nov., isolated from raw cow’s milk. Int. J. Syst. Evol. Microbiol. 2020, 70, 4859–4866. [Google Scholar] [CrossRef]
- Deng, L. Isolation and identification of Aeromonas veronii from Micropterus salmoides and pathological lesions of its infection. J. Henan Agric. Sci. 2021, 50, 164–171. [Google Scholar]
- Yang, C.; Dong, J.; Liu, Z.; Sun, C.; Zhao, F.; Ye, X. Isolation and identification of Aeromonas veronii from diseased Micropterus salmoides. South. China Fish. Sci. 2021, 17, 54–61. [Google Scholar]
- Lei, N.; Hao, G.; Huang, A.; Wang, Y.; Lin, F.; Shen, X.; Zhu, J. Isolation and identification of pathogenic Aeromonas veronii in Micropterus salmoides. Oceanol. Limnol. Sin. 2022, 53, 1180–1188. [Google Scholar]
- Sakulworakan, R.; Chokmangmeepisarn, P.; Dinh-Hung, N.; Sivaramasamy, E.; Hirono, I.; Chuanchuen, R.; Kayansamruaj, P.; Rodkhum, C. Insight into whole genome of Aeromonas veronii isolated From Freshwater Fish by Resistome Analysis Reveal Extensively Antibiotic Resistant Traits. Front. Microbiol. 2021, 12, 733668. [Google Scholar] [CrossRef] [PubMed]









| Reaction Item | Result | Reaction Item | Result |
|---|---|---|---|
| A1 Negative Control | N | E1 Gelatin | P |
| A2 Dextrin | P | E2 Glycyl-L-Proline | P |
| A3 D-Maltose | P | E3 L-Alanine | P |
| A4 D-Trehalose | P | E4 L-Arginine | P |
| A5 D-Cellobiose | P | E5 L-Aspartic Acid | P |
| A6 Gentiobiose | N | E6 L-Glutamic Acid | P |
| A7 Sucrose | B | E7 L-Histidine | P |
| A8 D-Turanose | P | E8 L-Pyroglutamic Acid | B |
| A9 Stachyose | N | E9 L-Serine | P |
| A10 Positive Control | P | E10 Lincomycin | P |
| A11 Acidic PH PH6 | P | E11 Guanidine HCl | P |
| A12 Acidic PH PH5 | N | E12 Niaproof 4 | P |
| B1 D-Raffinose | B | F1 Pectin | P |
| B2 α-D-Lactose | B | F2 D-Galacturonic Acid | B |
| B3 D-Melibiose | B | F3 L-Galactonic Acid Lactone | B |
| B4 β-Methyl-D-Glucoside | P | F4 D-Galactonic Acid | P |
| B5 D-Salicin | B | F5 D-Glucuronic Acid | N |
| B6 N-Acetyl-D-Glucosamine | P | F6 Glucuronamide | N |
| B7 N-Acetyl-β-D-Mannosamine | P | F7 Mucic Acid | B |
| B8 N-Acetyl-D-Galactosamine | P | F8 Quinic Acid | B |
| B9 N-Acetyl Neuraminic Acid | P | F9 D-Saccharic Acid | B |
| B10 1% NaCl | N | F10 Vancomycin | B |
| B11 4% NaCl | N | F11 Tetrazolium Violet | B |
| B12 8% NaCl | P | F12 Tetrazolium Blue | P |
| C1 α-D-Glucose | B | G1 P-Hydroxy-Phenylacetic Acid | P |
| C2 D-Mannose | B | G2 Methyl Pyruvate | B |
| C3 D-Fructose | B | G3 D-Lactic Acid Methyl Ester | N |
| C4 D-Galactose | P | G4 Lactic Acid | P |
| C5 3-Methyl Glucose | B | G5 Citric Acid | P |
| C6 D-Fucose | N | G6 α-Keto-Glutaric Acid | P |
| C7 L-Fucose | B | G7 D-Malic Acid | P |
| C8 L-Rhamnose | B | G8 L-Malic Acid | P |
| C9 Inosine | P | G9 Bromo-Succinic Acid | N |
| C10 1%Sodium Lactate | B | G10 Nalidixic Acid | B |
| C11 Fusidic Acid | N | G11 Lithium Chloride | N |
| C12 D-Serine | P | G12 Potassium Tellurite | N |
| D1 D-Sorbitol | N | H1 Tween 40 | P |
| D2 D-Mannitol | B | H2 γ-Amino-Butyric Acid | N |
| D3 D-Arabitol | N | H3 α-Hydroxy-Butyric Acid | B |
| D4 Myo-lnositol | B | H4 β-Hydroxy-D,L-Butyric Acid | B |
| D5 Glycerol | P | H5 α-Keto-Butyric Acid | B |
| D6 D-Glucose-6-PO4 | P | H6 Acetoacetic Acid | B |
| D7 D-Fructose-6-PO4 | P | H7 Propionic Acid | B |
| D8 D-Aspartic Acid | P | H8 Acetic Acid | P |
| D9 D-Serine | P | H9 Formic Acid | P |
| D10 Troleandomycin | N | H10 Aztreonam | B |
| D11 Rifamycin SV | B | H11 Sodium Butyrate | B |
| D12 Minocycline | N | H12 Sodium Bromate | N |
| Medicine Name | Inhibition Zone (mm) | Sensitivity | Medicine Name | Inhibition Zone (mm) | Sensitivity |
|---|---|---|---|---|---|
| Vancomycin | 11 | I | Penicillin G | 6 | R |
| Erythromycin | 31 | S | Piperacillin | 34 | S |
| Cefuroxime | 39 | S | Florfenicol | 25 | S |
| Norfloxacin | 31 | S | Gentamicin | 21 | S |
| Furazolidone | 34 | S | Carbenicillin | 30 | S |
| Sulfanilamide | 22 | S | Lincomycin | 16 | S |
| Enrofloxacin | 39 | S | Neomycin | ≤6 | R |
| Doxycycline | 31 | S | Medemycin | ≤6 | R |
Disclaimer/Publisher’s Note: The statements, opinions and data contained in all publications are solely those of the individual author(s) and contributor(s) and not of MDPI and/or the editor(s). MDPI and/or the editor(s) disclaim responsibility for any injury to people or property resulting from any ideas, methods, instructions or products referred to in the content. |
© 2024 by the authors. Licensee MDPI, Basel, Switzerland. This article is an open access article distributed under the terms and conditions of the Creative Commons Attribution (CC BY) license (https://creativecommons.org/licenses/by/4.0/).
Share and Cite
Wu, X.; Cheng, B.; Xue, M.; Jiang, N.; Li, X.; Hu, X.; Li, X.; Zhu, T.; Zhu, Y.; Zhou, Y. Isolation, Characterization, and Pathogenicity of an Aeromonas veronii Strain Causing Disease in Rhinogobio ventralis. Fishes 2024, 9, 188. https://doi.org/10.3390/fishes9050188
Wu X, Cheng B, Xue M, Jiang N, Li X, Hu X, Li X, Zhu T, Zhu Y, Zhou Y. Isolation, Characterization, and Pathogenicity of an Aeromonas veronii Strain Causing Disease in Rhinogobio ventralis. Fishes. 2024; 9(5):188. https://doi.org/10.3390/fishes9050188
Chicago/Turabian StyleWu, Xingbing, Baolin Cheng, Mingyang Xue, Nan Jiang, Xuemei Li, Xiaona Hu, Xiaoli Li, Tingbing Zhu, Yongjiu Zhu, and Yong Zhou. 2024. "Isolation, Characterization, and Pathogenicity of an Aeromonas veronii Strain Causing Disease in Rhinogobio ventralis" Fishes 9, no. 5: 188. https://doi.org/10.3390/fishes9050188
APA StyleWu, X., Cheng, B., Xue, M., Jiang, N., Li, X., Hu, X., Li, X., Zhu, T., Zhu, Y., & Zhou, Y. (2024). Isolation, Characterization, and Pathogenicity of an Aeromonas veronii Strain Causing Disease in Rhinogobio ventralis. Fishes, 9(5), 188. https://doi.org/10.3390/fishes9050188

