Selection of Reference Gene for Expression Studies in the Ovary and Pituitary of Spotted Scat (Scatophagus argus) at Different Ovarian Stages
Abstract
1. Introduction
2. Materials and Methods
2.1. Ethical Statement
2.2. Experimental Fish and Sample Collection
2.3. RNA Extraction and cDNA Synthesis
2.4. Primer Design
2.5. Real-Time Quantitative PCR (RT-qPCR) Analysis and Determination of the Amplification Efficiencies
2.6. Stability Analysis of Candidate Reference Genes
3. Results
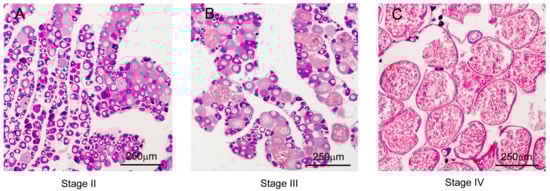
3.1. Characteristics of Ovarian Stages
3.2. RNA Extraction and Quality
3.3. Specificity and Efficiency of the Candidate Primers
3.4. Expression Profiles of Candidate Reference Genes
3.5. Stability of Candidate Reference Genes in Ovaries
3.6. Stability of Candidate Reference Genes in the Pituitary
3.7. Determination of the Optimal Number of Reference Genes
4. Discussion
5. Conclusions
Supplementary Materials
Author Contributions
Funding
Institutional Review Board Statement
Data Availability Statement
Acknowledgments
Conflicts of Interest
References
- Bustin, S.A.; Benes, V.; Garson, J.A.; Hellemans, J.; Huggett, J.; Kubista, M.; Mueller, R.; Nolan, T.; Pfaffl, M.W.; Shipley, G.L.; et al. The MIQE guidelines: Minimum information for publication of quantitative real-time PCR experiments. Clin. Chem. 2009, 55, 611–622. [Google Scholar] [CrossRef]
- Zhang, Y.; Chen, J.; Chen, G.; Ma, C.; Chen, H.; Gao, X.; Tian, Z.; Cui, S.; Tian, Z.; Guo, J.; et al. Identification and validation of reference genes for quantitative gene expression analysis in Ophraella communa. Front. Physiol. 2020, 11, 355. [Google Scholar] [CrossRef]
- Cai, C.; Cai, P.; Chu, G. Selection of suitable reference genes for core clock gene expression analysis by real-time qPCR in rat ovary granulosa cells. Mol. Biol. Rep. 2019, 46, 2941–2946. [Google Scholar] [CrossRef]
- Liman, M.; Wenji, W.; Conghui, L.; Haiyang, Y.; Zhigang, W.; Xubo, W.; Jie, Q.; Quanqi, Z. Selection of reference genes for reverse transcription quantitative real-time PCR normalization in black rockfish (Sebastes schlegeli). Mar. Genom. 2013, 11, 67–73. [Google Scholar] [CrossRef]
- Dheda, K.; Huggett, J.F.; Bustin, S.A.; Johnson, M.A.; Rook, G.; Zumla, A. Validation of housekeeping genes for normalizing RNA expression in real-time PCR. BioTechniques 2004, 37, 112–119. [Google Scholar] [CrossRef]
- Zhang, B.-B.; Shen, X.; Li, X.-J.; Tian, Y.-B.; Ouyang, H.-J.; Huang, Y.-M. Reference gene selection for expression studies in the reproductive axis tissues of Magang geese at different reproductive stages under light treatment. Sci. Rep. 2021, 11, 7573. [Google Scholar] [CrossRef]
- Hu, Q.; Guo, W.; Gao, Y.; Tang, R.; Li, D. Reference gene selection for real-time RT-PCR normalization in rice field eel (Monopterus albus) during gonad development. Fish Physiol. Biochem. 2014, 40, 1721–1730. [Google Scholar] [CrossRef]
- Deloffre, L.A.M.; Andrade, A.; Filipe, A.I.; Canario, A.V.M. Reference genes to quantify gene expression during oogenesis in a teleost fish. Gene 2012, 506, 69–75. [Google Scholar] [CrossRef]
- McCurley, A.T.; Callard, G.V. Characterization of housekeeping genes in zebrafish: Male-female differences and effects of tissue type, developmental stage and chemical treatment. BMC Mol. Biol. 2008, 9, 102. [Google Scholar] [CrossRef]
- Rassier, G.T.; Silveira, T.L.R.; Remião, M.H.; Daneluz, L.O.; Martins, A.W.S.; Dellagostin, E.N.; Ortiz, H.G.; Domingues, W.B.; Komninou, E.R.; Kütter, M.T.; et al. Evaluation of qPCR reference genes in GH-overexpressing transgenic zebrafish (Danio rerio). Sci. Rep. 2020, 10, 12692. [Google Scholar] [CrossRef]
- Ma, D.; Fan, J.; Tian, Y.; Jiang, P.; Wang, J.; Zhu, H.; Bai, J. Selection of reference genes for quantitative real-time PCR normalisation in largemouth bass Micropterus salmoides fed on alternative diets. J. Fish Biol. 2019, 95, 393–400. [Google Scholar] [CrossRef]
- Andersen, C.L.; Jensen, J.L.; Ørntoft, T.F. Normalization of real-time quantitative reverse transcription-PCR data: A model-based variance estimation approach to identify genes suited for normalization, applied to bladder and colon cancer data sets. Cancer Res. 2004, 64, 5245–5250. [Google Scholar] [CrossRef]
- Vandesompele, J.; De Preter, K.; Pattyn, F.; Poppe, B.; Van Roy, N.; De Paepe, A.; Speleman, F. Accurate normalization of real-time quantitative RT-PCR data by geometric averaging of multiple internal control genes. Genome Biol. 2002, 3, research0034. [Google Scholar] [CrossRef]
- Silver, N.; Best, S.; Jiang, J.; Thein, S.L. Selection of housekeeping genes for gene expression studies in human reticulocytes using real-time PCR. BMC Mol. Biol. 2006, 7, 33. [Google Scholar] [CrossRef]
- Pfaffl, M.W.; Tichopad, A.; Prgomet, C.; Neuvians, T.P. Determination of stable housekeeping genes, differentially regulated target genes and sample integrity: BestKeeper—Excel-based tool using pair-wise correlations. Biotechnol. Lett. 2004, 26, 509–515. [Google Scholar] [CrossRef]
- Chen, C.; Wu, J.; Hua, Q.; Tel-Zur, N.; Xie, F.; Zhang, Z.; Chen, J.; Zhang, R.; Hu, G.; Zhao, J.; et al. Identification of reliable reference genes for quantitative real-time PCR normalization in pitaya. Plant Methods. 2019, 15, 70. [Google Scholar] [CrossRef]
- Robledo, D.; Hernández-Urcera, J.; Cal, R.M.; Pardo, B.G.; Sánchez, L.; Martínez, P.; Viñas, A. Analysis of qPCR reference gene stability determination methods and a practical approach for efficiency calculation on a turbot (Scophthalmus maximus) gonad dataset. BMC Genom. 2014, 15, 648. [Google Scholar] [CrossRef]
- Mao, H.; Chen, K.; Zhu, X.; Luo, Q.; Zhao, J.; Li, W.; Wu, X.; Xu, H. Identification of suitable reference genes for quantitative real-time PCR normalization in blotched snakehead Channa maculata. J. Fish Biol. 2017, 90, 2312–2322. [Google Scholar] [CrossRef]
- Yang, C.; Pan, H.; Liu, Y.; Zhou, X. Stably expressed housekeeping genes across developmental stages in the two-spotted spider mite, Tetranychus urticae. PLoS ONE. 2015, 10, e0120833. [Google Scholar] [CrossRef]
- Franzellitti, S.; Kiwan, A.; Valbonesi, P.; Fabbri, E. Selection of best-performing reference gene products for investigating transcriptional regulation across silvering in the European eel (Anguilla anguilla). Sci. Rep. 2015, 5, 16966. [Google Scholar] [CrossRef]
- Bagés, S.; Estany, J.; Tor, M.; Pena, R.N. Investigating reference genes for quantitative real-time PCR analysis across four chicken tissues. Gene 2015, 561, 82–87. [Google Scholar] [CrossRef] [PubMed]
- Mustapha, U.F.; Huang, Y.; Huang, Y.-Q.; Assan, D.; Shi, H.-J.; Jiang, M.-Y.; Deng, S.-P.; Li, G.-L.; Jiang, D.-N. Gonadal development and molecular analysis revealed the critical window for sex differentiation, and E2 reversibility of XY-male spotted scat, Scatophagus argus. Aquaculture 2021, 544, 737147. [Google Scholar] [CrossRef]
- Jiang, M.; Liu, J.; Jiang, D.; Pan, Q.; Shi, H.; Huang, Y.; Zhu, C.; Li, G.; Deng, S. Characterization and expression analysis of gpr173a and gpr173b revealed their involvement in reproductive regulation in spotted scat (Scatophagus argus). Aquac. Res. 2022, 25, 101239. [Google Scholar] [CrossRef]
- Chen, H.P.; Cui, X.F.; Wang, Y.R.; Li, Z.Y.; Tian, C.X.; Jiang, D.N.; Zhu, C.H.; Zhang, Y.; Li, S.S.; Li, G.L. Identification, functional characterization, and estrogen regulation on gonadotropin-releasing hormone in the spotted scat, Scatophagus argus. Fish Physiol. Biochem. 2020, 46, 1743–1757. [Google Scholar] [CrossRef] [PubMed]
- Cui, X.F.; Zhao, Y.; Chen, H.P.; Deng, S.P.; Jiang, D.N.; Wu, T.L.; Zhu, C.H.; Li, G.L. Cloning, expression and functional characterization on vitellogenesis of estrogen receptors in Scatophagus argus. Gen. Comp. Endocrinol. 2017, 246, 37–45. [Google Scholar] [CrossRef]
- Zhai, Y.; Deng, S.P.; Liu, J.Y.; Jiang, D.N.; Huang, Y.; Zhu, C.H.; Li, G.L.; Li, M.H. The reproductive regulation of LPXRFa and its receptor in the hypothalamo-pituitary-gonadal axis of the spotted scat (Scatophagus argus). Fish Physiol. Biochem. 2021, 47, 93–108. [Google Scholar] [CrossRef]
- Deng, S.P.; Chen, H.P.; Zhai, Y.; Jia, L.Y.; Liu, J.Y.; Wang, M.; Jiang, D.N.; Wu, T.L.; Zhu, C.H.; Li, G.L. Molecular cloning, characterization and expression analysis of spexin in spotted scat (Scatophagus argus). Gen. Comp. Endocrinol. 2018, 266, 60–66. [Google Scholar] [CrossRef]
- Gao, Y.; Gao, Y.; Huang, B.; Meng, Z.; Jia, Y. Reference gene validation for quantification of gene expression during ovarian development of turbot (Scophthalmus maximus). Sci. Rep. 2020, 10, 823. [Google Scholar] [CrossRef]
- Moermans, C.; Deliege, E.; Pirottin, D.; Poulet, C.; Guiot, J.; Henket, M.; da Silva, J.; Louis, R. Suitable reference genes determination for real-time PCR using induced sputum samples. Eur. Respir. J. 2019, 54, 1800644. [Google Scholar] [CrossRef]
- Kolkova, Z.; Arakelyan, A.; Casslén, B.; Hansson, S.; Kriegova, E. Normalizing to GADPH jeopardises correct quantification of gene expression in ovarian tumours—IPO8 and RPL4 are reliable reference genes. J. Ovarian Res. 2013, 6, 60. [Google Scholar] [CrossRef]
- Dunislawska, A.; Slawinska, A.; Siwek, M. Validation of the reference genes for the gene expression studies in chicken DT40 cell line. Genes 2020, 11, 372. [Google Scholar] [CrossRef] [PubMed]
- Filatov, M.A.; Nikishin, D.A.; Khramova, Y.V.; Semenova, M.L. Reference genes selection for real-time quantitative PCR analysis in mouse germinal vesicle oocytes. Zygote 2019, 27, 392–397. [Google Scholar] [CrossRef] [PubMed]
- Martínez-Giner, M.; Noguera, J.L.; Balcells, I.; Fernández-Rodríguez, A.; Pena, R.N. Selection of internal control genes for real-time quantitative PCR in ovary and uterus of sows across pregnancy. PLoS ONE. 2013, 8, e66023. [Google Scholar] [CrossRef] [PubMed]
- Huang, Y.; Mustapha, U.F.; Huang, Y.; Tian, C.; Yang, W.; Chen, H.; Deng, S.; Zhu, C.; Jiang, D.; Li, G. A chromosome—Level genome assembly of the Spotted Scat (Scatophagus argus). Genome Biol. Evol. 2021, 13, evab092. [Google Scholar] [CrossRef] [PubMed]
- Rychlik, W. OLIGO 7 Primer Analysis Software. Methods Mol. Biol. 2007, 402, 35–60. [Google Scholar] [PubMed]
- Kubista, M.; Andrade, J.M.; Bengtsson, M.; Forootan, A.; Jonák, J.; Lind, K.; Sindelka, R.; Sjöback, R.; Sjögreen, B.; Strömbom, L.; et al. The real-time polymerase chain reaction. Mol. Aspects Med. 2006, 27, 95–125. [Google Scholar] [CrossRef]
- Jaramillo, M.L.; Pereira, A.G.; Davico, C.E.; Nezzi, L.; Ammar, D.; Müller, Y.M.R.; Nazari, E.M. Evaluation of reference genes for reverse transcription-quantitative PCR assays in organs of zebrafish exposed to glyphosate-based herbicide, Roundup. Animal 2018, 12, 1424–1434. [Google Scholar] [CrossRef]
- Bujko, M.; Rusetska, N.; Mikula, M. Validating candidate reference genes for qRT-PCR-based gene expression analysis in nonfunctioning pituitary adenomas. Pituitary 2016, 19, 110–112. [Google Scholar] [CrossRef]
- Xia, X.; Huo, W.; Wan, R.; Xia, X.; Du, Q.; Chang, Z. Identification of housekeeping genes as references for quantitative real-time RT-PCR analysis in Misgurnus anguillicaudatus. J Genet. 2017, 96, 895–904. [Google Scholar] [CrossRef]
- Yang, C.G.; Wang, X.L.; Tian, J.; Liu, W.; Wu, F.; Jiang, M.; Wen, H. Evaluation of reference genes for quantitative real-time RT-PCR analysis of gene expression in Nile tilapia (Oreochromis niloticus). Gene 2013, 527, 183–192. [Google Scholar] [CrossRef]
- Bower, N.I.; Johnston, I.A. Selection of reference genes for expression studies with fish myogenic cell cultures. BMC Mol. Biol. 2009, 10, 80. [Google Scholar] [CrossRef] [PubMed]
- Mo, F.; Zhao, J.; Liu, N.; Cao, L.H.; Jiang, S.X. Validation of reference genes for RT-qPCR analysis of CYP4T expression in crucian carp. Genet Mol. Biol. 2014, 37, 500–507. [Google Scholar] [CrossRef] [PubMed]
- Lubzens, E.; Young, G.; Bobe, J.; Cerdà, J. Oogenesis in teleosts: How fish eggs are formed. Gen. Comp. Endocrinol. 2010, 165, 367–389. [Google Scholar] [CrossRef] [PubMed]
- Ji, H.; Wang, J.; Liu, J.; Guo, J.; Wang, Z.; Zhang, X.; Guo, L.; Yang, H. Selection of reliable reference genes for real-time qRT-PCR analysis of Zi Geese (Anser anser domestica) gene expression. Asian-Australas J. Anim. Sci. 2013, 26, 423–432. [Google Scholar] [CrossRef]
- Mahanty, A.; Purohit, G.K.; Mohanty, S.; Nayak, N.R.; Mohanty, B.P. Suitable reference gene for quantitative real-time PCR analysis of gene expression in gonadal tissues of minnow Puntius sophore under high-temperature stress. BMC Genom. 2017, 18, 617. [Google Scholar] [CrossRef]
- Hamrita, B.; Nasr, H.B.; Hammann, P.; Kuhn, L.; Guillier, C.-L.; Chaieb, A.; Khairi, H.; Chahed, K. An elongation factor-like protein (EF-Tu) elicits a humoral response in infiltrating ductal breast carcinomas: An immunoproteomics investigation. Clin. Biochem. 2011, 44, 1097–1104. [Google Scholar] [CrossRef]
- Becker, M.; Kuhse, J.; Kirsch, J. Effects of two elongation factor 1A isoforms on the formation of gephyrin clusters at inhibitory synapses in hippocampal neurons. Histochem. Cell Biol. 2013, 140, 603–609. [Google Scholar] [CrossRef]
- Vasiliou, V.; Sandoval, M.; Backos, D.S.; Jackson, B.C.; Chen, Y.; Reigan, P.; Lanaspa, M.A.; Johnson, R.J.; Koppaka, V.; Thompson, D.C. ALDH16A1 is a novel non-catalytic enzyme that may be involved in the etiology of gout via protein-protein interactions with HPRT1. Chem. Biol. Interact. 2013, 202, 22–31. [Google Scholar] [CrossRef]
- Filby, A.L.; Tyler, C.R. Appropriate ‘housekeeping’ genes for use in expression profiling the effects of environmental estrogens in fish. BMC Mol. Biol. 2007, 8, 10. [Google Scholar] [CrossRef]
- Xu, W.; Foster, B.A.; Richards, M.; Bondioli, K.R.; Shah, G.; Green, C.C. Characterization of prostate cancer cell progression in zebrafish xenograft model. Int. J. Oncol. 2018, 52, 252–260. [Google Scholar] [CrossRef]
- Zinzow-Kramer, W.M.; Horton, B.M.; Maney, D.L. Evaluation of reference genes for quantitative real-time PCR in the brain, pituitary, and gonads of songbirds. Horm Behav. 2014, 66, 267–275. [Google Scholar] [CrossRef] [PubMed]
- Wang, S.; Chen, J.-z.; Zhang, Z.; Gu, S.; Ji, C.; Tang, R.; Ying, K.; Xie, Y.; Mao, Y. Cloning, expression and genomic structure of a novel human GNB2L1 gene, which encodes a receptor of activated protein kinase C (RACK)*. Mol. Biol. Rep. 2003, 30, 53–60. [Google Scholar] [CrossRef] [PubMed]
- Guiry, A.; Flynn, D.; Hubert, S.; O’Keeffe, A.M.; LeProvost, O.; White, S.L.; Forde, P.F.; Davoren, P.; Houeix, B.; Smith, T.J.; et al. Testes and brain gene expression in precocious male and adult maturing Atlantic salmon (Salmo salar). BMC Genom. 2010, 11, 211. [Google Scholar] [CrossRef] [PubMed]
- Zhang, X.; Ding, L.; Sandford, A.J. Selection of reference genes for gene expression studies in human neutrophils by real-time PCR. BMC Mol. Biol. 2005, 6, 4. [Google Scholar] [CrossRef]
- Klinge, S.; Voigts-Hoffmann, F.; Leibundgut, M.; Arpagaus, S.; Ban, N. Crystal structure of the eukaryotic 60S ribosomal subunit in complex with initiation factor 6. Science 2011, 334, 941–948. [Google Scholar] [CrossRef]
- Steinau, M.; Rajeevan, M.S.; Unger, E.R. DNA and RNA references for qRT-PCR assays in exfoliated cervical cells. J. Mol. Diagn. 2006, 8, 113–118. [Google Scholar] [CrossRef]
- Olsvik, P.A.; Søfteland, L.; Lie, K.K. Selection of reference genes for qRT-PCR examination of wild populations of Atlantic cod Gadus morhua. BMC Res. Notes 2008, 1, 47. [Google Scholar] [CrossRef]








| Gene Name | Primer Sequence (5’-3’) Forward | Primer Sequence (5’-3’) Reverse | Amplification Efficiency (%) | Product Length (bp) | Gene ID |
|---|---|---|---|---|---|
| APOA1 # | GCCCATCATCACAGAGTACCAAA | AGTCTTGGTCTCTTCCACGTTG | 110.27 | 124 | XM_046389465 |
| B2M #,* | GAACTTCCTGGCGCTAAGCA | TATGATGTCCCCATGAGTGACC | 93.91 | 132 | KJ868824 |
| CGBA # | ACCACGAGGATCCGGTCTACAT | GCCCGCAGAACGTGTTTCCTGTGTTA | 95.80 | 174 | KY129603.1 |
| CTFS # | GCTGCCGTCAAATGCT | GTCCATTCTCAGCCAACCAA | 109.42 | 188 | XM_046405387.1 |
| GAPDH #,* | ATGGCCTTCCGTGTCCC | ACTGTCGCCATTGAAATCTGT | 98.73 | 180 | XM_046405387.1 |
| GNB2L1 # | CCCAAATCGCCACTACGC | GTCCCATCCCAAGCACCA | 106.85 | 202 | MT774146.1 |
| GNRHR # | TACTGGTTCTTCCCCGACGA | TCGCTGCACAATATGAACCTC | 92.71 | 284 | XM_046405904.1 |
| GUSB # | GTCGTTCTGTCGCCTCC | GCCGCCATTAATCGAACCTC | 93.99 | 130 | XM_046410012.1 |
| HPRT1 # | CGCTCCATCCCAATGACAGT | ACGTTCTTGCCTGTCAGTGT | 108.42 | 119 | XM_046405836.1 |
| PLA1A # | TCTACAACAGCCACGTCT | GCCACCAAACAAGTCCAG | 95.56 | 182 | XM_046403220.1 |
| RPL4 # | GCTGGCACCGCAGGATCAACA | CCTTGGTCTTCTTGTAGCCCTCA | 101.09 | 168 | XM_046394990.1 |
| RPLP0 # | GCCCTTCTCCTACGGTCTCA | CTAGCGATGTTCCTCACACCC | 96.99 | 129 | XM_046384377.1 |
| RPS2 # | TCTGCCCATCAAGGAGTCTG | GCTTGCCGATCTTGTTCCC | 101.14 | 275 | XM_046414974.1 |
| SLC25A1 # | CGCATCCCGGAAAAGCCATC | ACCTGTGGCATCTCGCATT | 98.23 | 284 | XM_046411134.1 |
| TBP # | GGTTAGCTGCGAGAAAATATGC | GATCATTCGGTAAATCAGTCCT | 97.83 | 197 | XM_046384317.1 |
| TFRC # | CCGCACTCCTATACACGTT | CAGGTAGCCAATCAAGAACCC | 96.03 | 246 | XM_046408402.1 |
| TUBB4B # | GGCTTCCACCTTCATTGGCAAC | GTACTCGGACACCAGGTCGTTC | 100.40 | 178 | XM_046386004.1 |
| ACTB * | GAGAGGTTCCGTTGCCCAGAG | CAGACAGCACAGTGTTGGCGT | 100.72 | 145 | KF649214.1 |
| EEF1A * | CACATCAACATCGTGGTCATT | ACTTGCTGGTCTCAAACTTCC | 95.83 | 235 | XM_046418492.1 |
Disclaimer/Publisher’s Note: The statements, opinions and data contained in all publications are solely those of the individual author(s) and contributor(s) and not of MDPI and/or the editor(s). MDPI and/or the editor(s) disclaim responsibility for any injury to people or property resulting from any ideas, methods, instructions or products referred to in the content. |
© 2023 by the authors. Licensee MDPI, Basel, Switzerland. This article is an open access article distributed under the terms and conditions of the Creative Commons Attribution (CC BY) license (https://creativecommons.org/licenses/by/4.0/).
Share and Cite
Liu, Z.; Wang, T.; Liu, P.; Jiang, D.; Liu, X.; Deng, S.; Wu, T.; Huang, Y.; Zhu, C.; Li, G.; et al. Selection of Reference Gene for Expression Studies in the Ovary and Pituitary of Spotted Scat (Scatophagus argus) at Different Ovarian Stages. Fishes 2023, 8, 120. https://doi.org/10.3390/fishes8020120
Liu Z, Wang T, Liu P, Jiang D, Liu X, Deng S, Wu T, Huang Y, Zhu C, Li G, et al. Selection of Reference Gene for Expression Studies in the Ovary and Pituitary of Spotted Scat (Scatophagus argus) at Different Ovarian Stages. Fishes. 2023; 8(2):120. https://doi.org/10.3390/fishes8020120
Chicago/Turabian StyleLiu, Zhilong, Tuo Wang, Peng Liu, Dongneng Jiang, Xi Liu, Siping Deng, Tianli Wu, Yang Huang, Chunhua Zhu, Guangli Li, and et al. 2023. "Selection of Reference Gene for Expression Studies in the Ovary and Pituitary of Spotted Scat (Scatophagus argus) at Different Ovarian Stages" Fishes 8, no. 2: 120. https://doi.org/10.3390/fishes8020120
APA StyleLiu, Z., Wang, T., Liu, P., Jiang, D., Liu, X., Deng, S., Wu, T., Huang, Y., Zhu, C., Li, G., & Jiang, M. (2023). Selection of Reference Gene for Expression Studies in the Ovary and Pituitary of Spotted Scat (Scatophagus argus) at Different Ovarian Stages. Fishes, 8(2), 120. https://doi.org/10.3390/fishes8020120

