Combined Effects of Defatted Hydrolyzed Collagen from Salmon Skin and Vitamin C on Proliferation and Migration of Human Fibroblast Cell
Abstract
1. Introduction
2. Materials and Methods
2.1. Chemicals and Sockeye (Oncorhynchus nerka) Salmon Skin
2.2. Preparation of Salmon Skin
2.3. Preparation of Defatted Hydrolyzed Collagen from Salmon Skin
2.4. Molecular Weight (MW) Distribution
2.5. Amino Acid Analysis
2.6. Effect of HC and Vitamin C on Cell Proliferation and Migration of Human Fibroblast (HDF) Cell
2.6.1. Cell Culture
2.6.2. Cell Proliferation Assays
2.6.3. Cell Migration Assays
2.6.4. Lamellipodia Formation
2.6.5. Western Blot Analysis
2.7. Statistical Analysis
3. Results
3.1. Molecular Weight (MW) Distribution of HC
3.2. Amino Acid Composition of HC
3.3. HDF Fibroblast Cell Proliferation as Affected by Hc or Vit C at Various Concentrations
3.4. Impact of HC in Combination with Vit C at the Selected Level on Proliferation of HDF Cells
3.5. Impact of HC in Combination with Vit C on Migration and Lamellipodia Formation of HDF Cells
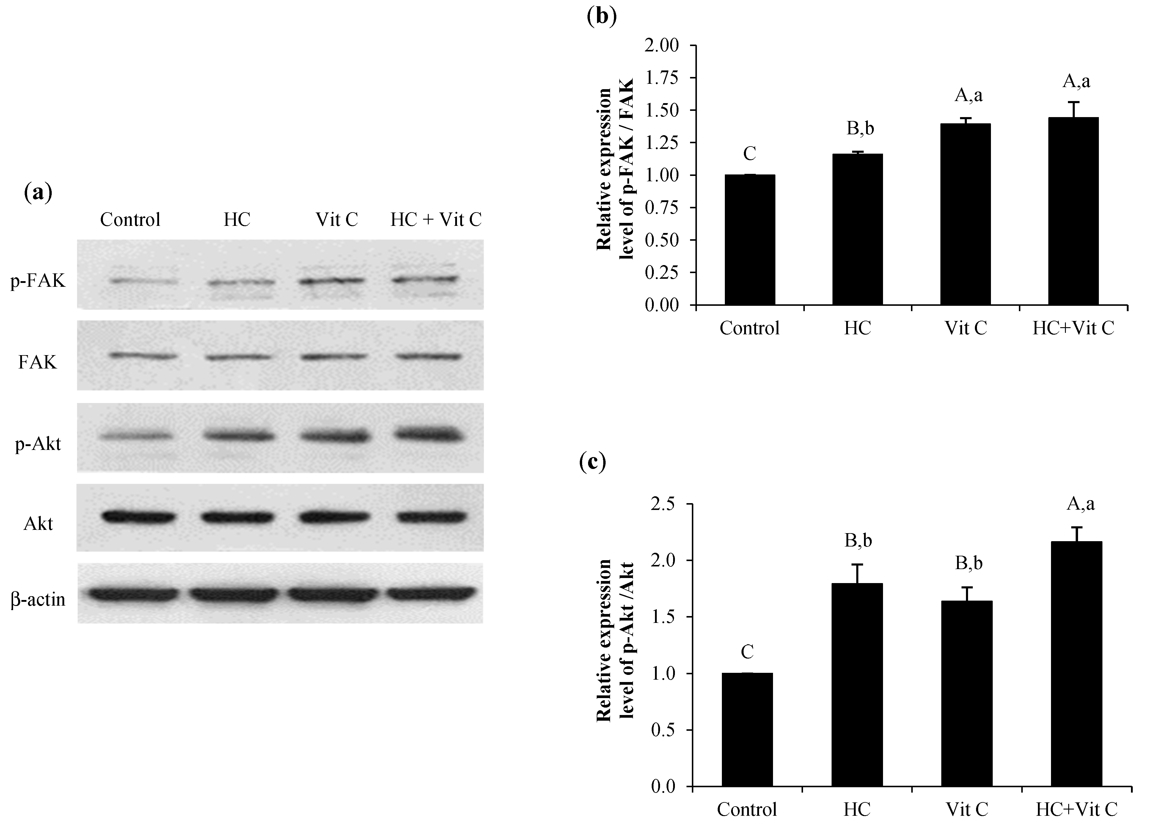
3.6. Effect of HC, Vit C, and HC+Vit C on Migration of HDF Cells via FAK/Akt Signaling Pathway
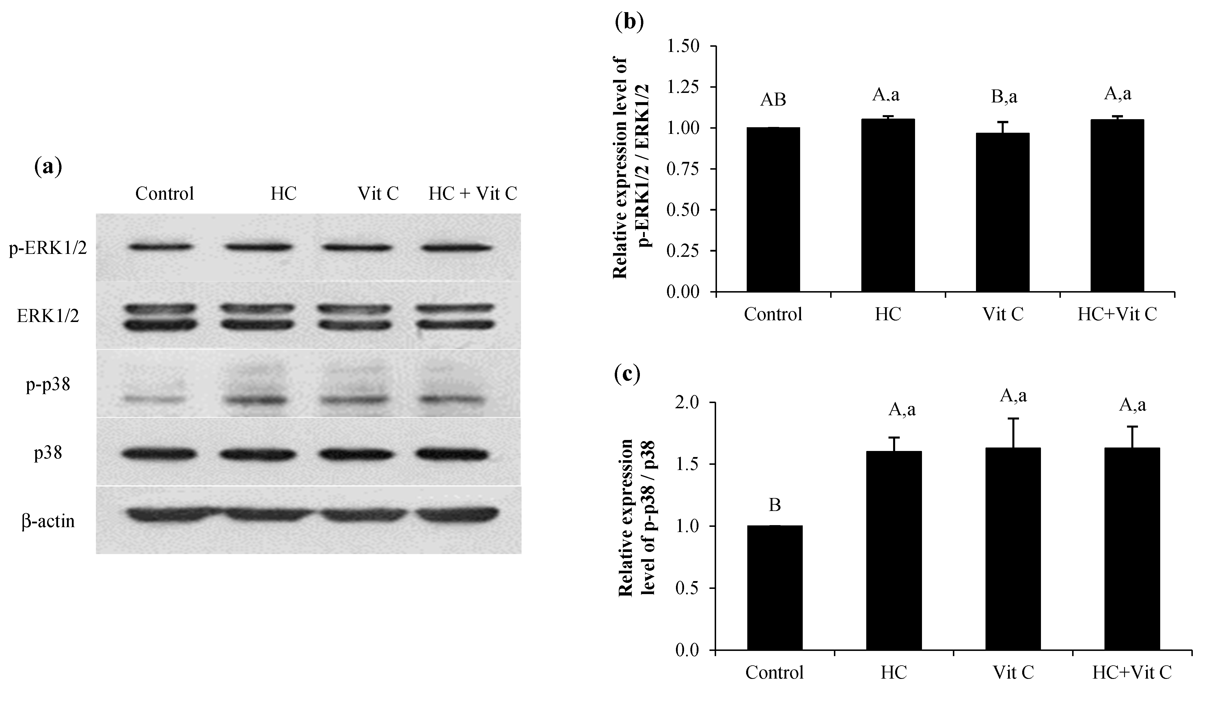
3.7. Impact of HC, Vit C, and HC+Vit C on ERK/p38 MAPK Signaling Pathway in HDF Cells
4. Discussion
5. Conclusions
Author Contributions
Funding
Institutional Review Board Statement
Data Availability Statement
Acknowledgments
Conflicts of Interest
References
- Yeung, D.A.; Kelly, N.H. The role of collagen-based biomaterials in chronic wound healing and sports medicine applications. Bioengineering 2021, 8, 8. [Google Scholar] [CrossRef] [PubMed]
- Li, C.; Fu, Y.; Dai, H.; Wang, Q.; Gao, R.; Zhang, Y. Recent progress in preventive effect of collagen peptides on photoaging skin and action mechanism. Food Sci. Hum. Wellness 2022, 11, 218–229. [Google Scholar] [CrossRef]
- Chotphruethipong, L.; Binlateh, T.; Hutamekalin, P.; Sukketsiri, W.; Aluko, R.E.; Benjakul, S. Hydrolyzed collagen from defatted sea bass skin and its conjugate with epigallocatechin gallate: In vitro antioxidant, anti-inflammatory, wound-healing and anti-obesity activities. Food Biosci. 2021, 43, 101303. [Google Scholar] [CrossRef]
- Pozzolini, M.; Millo, E.; Oliveri, C.; Mirata, S.; Salis, A.; Damonte, G.; Arkel, M.; Scarfì, S. Elicited ROS scavenging activity, photoprotective, and wound-healing properties of collagen-derived peptides from the marine sponge Chondrosia reniformis. Mar. Drugs 2018, 16, 465. [Google Scholar] [CrossRef]
- Chotphruethipong, L.; Binlateh, T.; Hutamekalin, P.; Sukketsiri, W.; Aluko, R.E.; Benjakul, S. In vitro antioxidant and wound-healing activities of hydrolyzed collagen from defatted Asian sea bass skin as influenced by different enzyme types and hydrolysis processes. RSC Adv. 2021, 11, 18144–18151. [Google Scholar] [CrossRef]
- Jin, R.; Teng, X.; Shang, J.; Wang, D.; Liu, N. Identification of novel DPP–IV inhibitory peptides from Atlantic salmon (Salmo salar) skin. Food Res. Int. 2020, 133, 109161. [Google Scholar] [CrossRef]
- Wu, R.; Wu, C.; Liu, D.; Yang, X.; Huang, J.; Zhang, J.; Liao, B.; He, H. Antioxidant and anti-freezing peptides from salmon collagen hydrolysate prepared by bacterial extracellular protease. Food Chem. 2018, 248, 346–352. [Google Scholar] [CrossRef]
- De Almagro, M.C. The use of collagen hydrolysates and native collagen in osteoarthritis. Am. J. Biomed. Sci. Res. 2020, 6, 530–532. [Google Scholar] [CrossRef]
- Nilsuwan, K.; Chantakun, K.; Chotphruethipong, L.; Benjakul, S. Development of hydrolysis and defatting processes for production of lowered fishy odor hydrolyzed collagen from fatty skin of sockeye Salmon (Oncorhynchus nerka). Foods 2021, 10, 2257. [Google Scholar] [CrossRef]
- Woonnoi, W.; Chotphruethipong, L.; Tanasawet, S.; Benjakul, S.; Sutthiwong, N.; Sukketsiri, W. Hydrolyzed collagen from salmon skin increases the migration and filopodia formation of skin keratinocytes by activation of FAK/Src pathway. Polish J. Food Nutr. Sci. 2021, 71, 323–332. [Google Scholar] [CrossRef]
- D’Aniello, C.; Cermola, F.; Patriarca, E.J.; Minchiotti, G. Vitamin C in stem cell biology: Impact on extracellular matrix homeostasis and epigenetics. Stem. Cells Int. 2017, 2017, 8936156. [Google Scholar] [CrossRef] [PubMed]
- Mohammed, B.M.; Fisher, B.J.; Kraskauskas, D.; Ward, S.; Wayne, J.S.; Brophy, D.F.; Fowler, A.A., III; Yager, D.R.; Natarajan, R. Vitamin C promotes wound healing through novel pleiotropic mechanisms. Int. Wound J. 2016, 13, 572–584. [Google Scholar] [CrossRef] [PubMed]
- Sae-leaw, T.; Benjakul, S.; O’Brien, N.M.; Kishimura, H. Characteristics and functional properties of gelatin from seabass skin as influenced by defatting. Int. J. Food Sci. Technol. 2016, 51, 1204–1211. [Google Scholar] [CrossRef]
- Chotphruethipong, L.; Sukketsiri, W.; Aluko, R.E.; Sae-Leaw, T.; Benjakul, S. Effect of hydrolyzed collagen from defatted Asian sea bass (Lates calcarifer) skin on fibroblast proliferation, migration and antioxidant activities. J. Food Sci. Technol. 2021, 58, 541–551. [Google Scholar] [CrossRef] [PubMed]
- Singkhorn, S.; Tantisira, M.H.; Tanasawet, S.; Hutamekalin, P.; Wongtawatchai, T.; Sukketsiri, W. Induction of keratinocyte migration by ECa 233 is mediated through FAK/Akt, ERK, and p38 MAPK signaling. Phytother. Res. 2018, 32, 1397–1403. [Google Scholar] [CrossRef] [PubMed]
- Chotphruethipong, L.; Binlateh, T.; Hutamekalin, P.; Aluko, R.E.; Tepaamorndech, S.; Zhang, B.; Benjakul, S. Impact of hydrolyzed collagen from defatted sea bass skin on proliferation and differentiation of preosteoblast MC3T3-E1 cells. Foods 2021, 10, 1476. [Google Scholar] [CrossRef] [PubMed]
- León-López, A.; Morales-Peñaloza, A.; Martínez-Juárez, V.M.; Vargas-Torres, A.; Zeugolis, D.I.; Aguirre-Álvarez, G. Hydrolyzed collagen—Sources and applications. Molecules 2019, 24, 4031. [Google Scholar] [CrossRef]
- Song, Y.; Wu, C.; Zhang, X.; Bian, W.; Liu, N.; Yin, S.; Yang, M.; Luo, M.; Tang, J.; Yang, X. A short peptide potentially promotes the healing of skin wound. Biosci. Rep. 2019, 39, BSR20181734. [Google Scholar] [CrossRef]
- Sato, K.; Asai, T.T.; Jimi, S. Collagen-derived di-peptide, prolylhydroxyproline (Pro-Hyp): A new low molecular weight growth-initiating factor for specific fibroblasts associated with wound healing. Front. Cell Dev. Biol. 2020, 8, 1243. [Google Scholar] [CrossRef]
- Ali, A.M.M.; Benjakul, S.; Kishimura, H. Molecular characteristics of acid and pepsin soluble collagens from the scales of golden carp (Probarbus jullieni). Emir. J. Food Agric. 2017, 29, 450–457. [Google Scholar] [CrossRef]
- Kakko, T.; Damerau, A.; Nisov, A.; Puganen, A.; Tuomasjukka, S.; Honkapää, K.; Tarvainen, M.; Yang, B. Quality of protein isolates and hydrolysates from Baltic Herring (Clupea harengus membras) and Roach (Rutilus rutilus) produced by pH-shift processes and enzymatic hydrolysis. Foods 2022, 11, 230. [Google Scholar] [CrossRef] [PubMed]
- Ibrahim, A.; Soliman, M.; Kotb, S.; Ali, M.M. Evaluation of fish skin as a biological dressing for metacarpal wounds in donkeys. BMC Vet. Res. 2020, 16, 472. [Google Scholar] [CrossRef] [PubMed]
- Fisher, G.J.; Quan, T.; Purohit, T.; Shao, Y.; Cho, M.K.; He, T.; Varani, J.; Kang, S.; Voorhees, J.J. Collagen fragmentation promotes oxidative stress and elevates matrix metalloproteinase-1 in fibroblasts in aged human skin. Am. J. Clin. Pathol. 2009, 174, 101–114. [Google Scholar] [CrossRef] [PubMed]
- Chotphruethipong, L.; Sukketsiri, W.; Battino, M.; Benjakul, S. Conjugate between hydrolyzed collagen from defatted seabass skin and epigallocatechin gallate (EGCG): Characteristics, antioxidant activity and in vitro cellular bioactivity. RSC Adv. 2021, 11, 2175–2184. [Google Scholar] [CrossRef] [PubMed]
- Wojcik, M.; Kazimierczak, P.; Vivcharenko, V.; Koziol, M.; Przekora, A. Effect of vitamin C/hydrocortisone immobilization within curdlan-based wound dressings on In vitro cellular response in context of the management of chronic and burn wounds. Int. J. Mol. Sci. 2021, 22, 11474. [Google Scholar] [CrossRef]
- Fujiwara, T.; Kanazawa, S.; Ichibori, R.; Tanigawa, T.; Magome, T.; Shingaki, K.; Miyata, S.; Tohyama, M.; Hosokawa, K. L-arginine stimulates fibroblast proliferation through the GPRC6A-ERK1/2 and PI3K/Akt pathway. PLoS ONE 2014, 9, e92168. [Google Scholar] [CrossRef]
- Chaitrakoonthong, T.; Ampornaramveth, R.; Kamolratanakul, P. Rinsing with L-ascorbic acid exhibits concentration-dependent effects on human gingival fibroblast in vitro wound healing behavior. Int. J. Dent. 2020, 2020, 4706418. [Google Scholar] [CrossRef]
- Mata, A.M.O.F.D.; Carvalho, R.M.D.; Alencar, M.V.O.B.D.; Cavalcante, A.A.D.C.M.; Silva, B.B.D. Ascorbic acid in the prevention and treatment of cancer. Rev. Assoc. Med. Bras. 2016, 62, 680–686. [Google Scholar] [CrossRef]
- Chakraborty, A.; Jana, N.R. Vitamin C-conjugated nanoparticle protects cells from oxidative stress at low doses but induces oxidative stress and cell death at high doses. ACS Appl. Mater. Interfaces 2017, 9, 41807–41817. [Google Scholar] [CrossRef]
- Wu, Y.K.; Tu, Y.K.; Yu, J.; Cheng, N.C. The influence of cell culture density on the cytotoxicity of adipose-derived stem cells induced by L-ascorbic acid-2-phosphate. Sci. Rep. 2020, 10, 104. [Google Scholar] [CrossRef]
- Benjakul, S.; Karnjanapratum, S.; Visessanguan, W. Hydrolysed collagen from Lates calcarifer skin: Its acute toxicity and impact on cell proliferation and collagen production of fibroblasts. Int. J. Food Sci. Technol. 2018, 53, 1871–1879. [Google Scholar] [CrossRef]
- Sá, O.M.D.S.; Lopes, N.N.F.; Alves, M.T.S.; Caran, E.M.M. Effects of glycine on collagen, PDGF, and EGF expression in model of oral mucositis. Nutrients 2018, 10, 1485. [Google Scholar] [CrossRef] [PubMed]
- Barchitta, M.; Maugeri, A.; Favara, G.; Magnano San Lio, R.; Evola, G.; Agodi, A.; Basile, G. Nutrition and wound healing: An overview focusing on the beneficial effects of curcumin. Int. J. Mol. Sci. 2019, 20, 1119. [Google Scholar] [CrossRef]
- Ruggiero, C.; Lalli, E. Targeting the cytoskeleton against metastatic dissemination. Cancer Metastasis Rev. 2021, 40, 89–140. [Google Scholar] [CrossRef] [PubMed]
- Zhao, X.K.; Cheng, Y.; Liang Cheng, M.; Yu, L.; Mu, M.; Li, H.; Liu, Y.; Zhang, B.; Yao, Y.; Guo, H.; et al. Focal adhesion kinase regulates fibroblast migration via integrin beta-1 and plays a central role in fibrosis. Sci. Rep. 2016, 6, 19276. [Google Scholar] [CrossRef]
- Huang, C.; Jacobson, K.; Schaller, M.D. MAP kinases and cell migration. J. Cell Sci. 2004, 117, 4619–4628. [Google Scholar] [PubMed]







| Amino Acid | (g/100g HC) * |
|---|---|
| Aspartic Acid (Asp) | 5.79 ± 0.08 |
| Cystine (Cys) | 0.04 ± 0.00 |
| Glutamic Acid (Glu) | 7.63 ± 0.11 |
| Glycine (Gly) | 21.8 ± 0.31 |
| Histidine (His) | 1.77 ± 0.02 |
| Hydroxylysine (Hylys) | 0.65 ± 0.01 |
| Hydroxyproline (Hyp) | 4.65 ± 0.07 |
| Isoleucine (Ile) | 1.50 ± 0.02 |
| L-Alanine (Ala) | 5.68 ± 0.08 |
| L-Arginine (Arg) | 7.18 ± 0.10 |
| Leucine (Leu) | 3.35 ± 0.05 |
| Lysine (Lys) | 4.94 ± 0.07 |
| Methionine (Met) | 1.78 ± 0.02 |
| Phenylalanine (Phe) | 2.20 ± 0.03 |
| Proline (Pro) | 8.81 ± 0.12 |
| Serine (Ser) | 4.16 ± 0.06 |
| Threonine (Thr) | 3.11 ± 0.04 |
| Tryptophan (Trp) | 0.19 ± 0.00 |
| Tyrosine (Tyr) | 1.23 ± 0.02 |
| Valine (Val) | 2.24 ± 0.03 |
| Total amino acid | 88.7 ± 1.24 |
| Imino acids (Hyp+Pro) | 13.46 ± 0.19 |
| Hydrophobic amino acids | 47.55 ± 0.67 |
Publisher’s Note: MDPI stays neutral with regard to jurisdictional claims in published maps and institutional affiliations. |
© 2022 by the authors. Licensee MDPI, Basel, Switzerland. This article is an open access article distributed under the terms and conditions of the Creative Commons Attribution (CC BY) license (https://creativecommons.org/licenses/by/4.0/).
Share and Cite
Chotphruethipong, L.; Hutamekalin, P.; Nilsuwan, K.; Sukketsiri, W.; Aluko, R.E.; Abdul, N.R.; Benjakul, S. Combined Effects of Defatted Hydrolyzed Collagen from Salmon Skin and Vitamin C on Proliferation and Migration of Human Fibroblast Cell. Fishes 2022, 7, 265. https://doi.org/10.3390/fishes7050265
Chotphruethipong L, Hutamekalin P, Nilsuwan K, Sukketsiri W, Aluko RE, Abdul NR, Benjakul S. Combined Effects of Defatted Hydrolyzed Collagen from Salmon Skin and Vitamin C on Proliferation and Migration of Human Fibroblast Cell. Fishes. 2022; 7(5):265. https://doi.org/10.3390/fishes7050265
Chicago/Turabian StyleChotphruethipong, Lalita, Pilaiwanwadee Hutamekalin, Krisana Nilsuwan, Wanida Sukketsiri, Rotimi E. Aluko, Nazeer Rasool Abdul, and Soottawat Benjakul. 2022. "Combined Effects of Defatted Hydrolyzed Collagen from Salmon Skin and Vitamin C on Proliferation and Migration of Human Fibroblast Cell" Fishes 7, no. 5: 265. https://doi.org/10.3390/fishes7050265
APA StyleChotphruethipong, L., Hutamekalin, P., Nilsuwan, K., Sukketsiri, W., Aluko, R. E., Abdul, N. R., & Benjakul, S. (2022). Combined Effects of Defatted Hydrolyzed Collagen from Salmon Skin and Vitamin C on Proliferation and Migration of Human Fibroblast Cell. Fishes, 7(5), 265. https://doi.org/10.3390/fishes7050265

