Hydroxytyrosol Attenuates High-Fat-Diet-Induced Oxidative Stress, Apoptosis and Inflammation of Blunt Snout Bream (Megalobrama amblycephala) through Its Regulation of Mitochondrial Homeostasis
Abstract
:1. Introduction
2. Materials and Method
2.1. Experimental Diet Preparation
2.2. Fish and Experimental Design
2.3. Sampling
2.4. Biochemical Parameters
2.5. Apoptosis Determination
2.6. Gene Expression
2.7. Statistical Analysis
3. Results
3.1. Growth and Blood Biochemistry
3.2. Oxidative Status
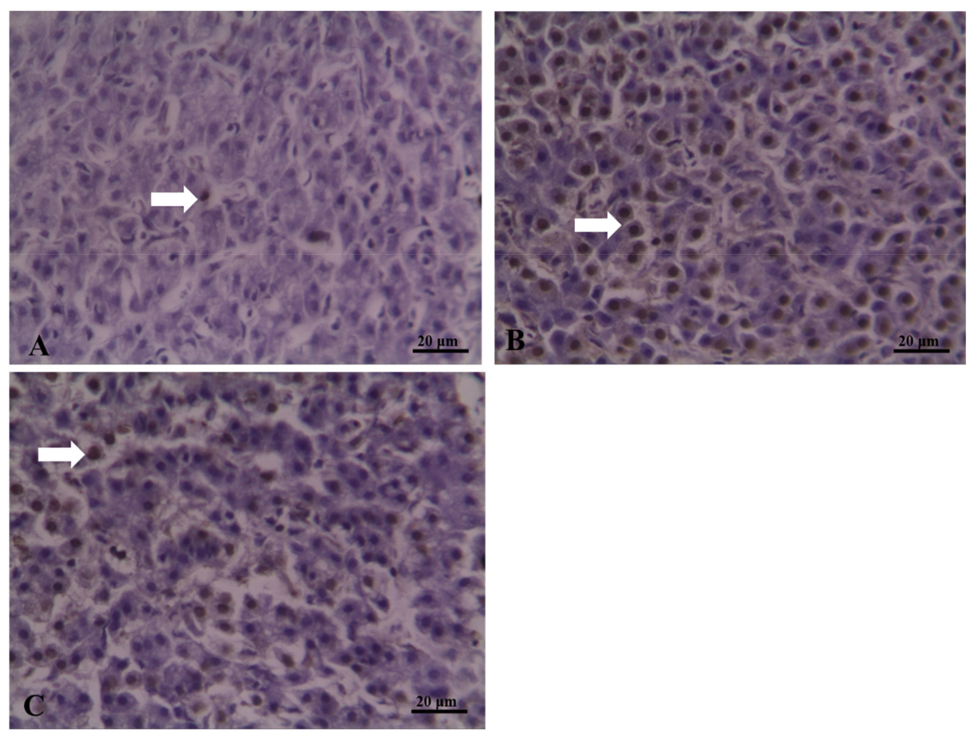
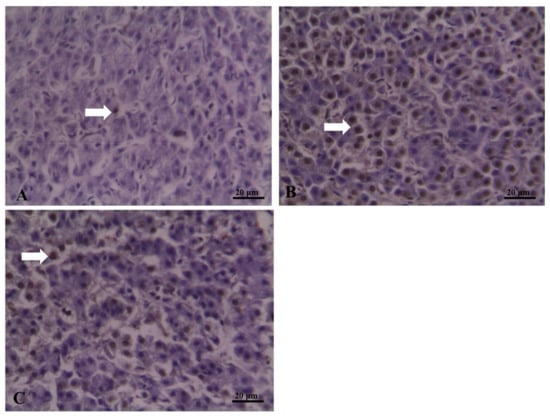
3.3. Hepatocytes Apoptosis
3.4. Inflammation
3.5. Mitochondrial Function
4. Discussion
5. Conclusions
Author Contributions
Funding
Institutional Review Board Statement
Data Availability Statement
Conflicts of Interest
References
- Hillestad, M.; Johnsen, F. High-energy/low-protein diets for Atlantic salmon: Effects on growth, nutrient retention and slaughter quality. Aquaculture 1994, 124, 109–116. [Google Scholar] [CrossRef]
- Du, Z.Y.; Clouet, P.; Zheng, W.H.; Degrace, P.; Liu, Y.J. Biochemical hepatic alterations and body lipid composition in the herbivorous grass carp (Ctenopharyngodon idella) fed high-fat diets. Br. J. Nutr. 2006, 95, 905–915. [Google Scholar] [CrossRef] [Green Version]
- Lu, K.; Xu, W.; Li, J.; Li, X.; Huang, G.; Liu, W. Alterations of liver histology and blood biochemistry in blunt snout bream Megalobrama amblycephala fed high-fat diets. Fish. Sci. 2013, 79, 661–671. [Google Scholar] [CrossRef]
- Oka, T.; Nishimura, Y.; Zang, L.; Hirano, M.; Tanaka, T. Diet-induced obesity in zebrafish shares common pathophysiological pathways with mammalian obesity. BMC Physiol. 2010, 10, 21. [Google Scholar] [CrossRef] [PubMed] [Green Version]
- Zhao, P.; Wong, K.I.; Sun, X.; Reilly, S.M.; Uhm, M.; Liao, Z.; Skorobogatko, Y.; Saltiel, A.R. TBK1 at the Crossroads of Inflammation and Energy Homeostasis in Adipose Tissue. Cell 2018, 172, 731–743. [Google Scholar] [CrossRef] [PubMed] [Green Version]
- Dai, Y.; Cao, X.; Zhang, D.; Li, X.; Liu, W.; Jiang, G. Chronic inflammation is a key to inducing liver injury in blunt snout bream (Megalobrama amblycephala) fed with high-fat diet. Dev. Comp. Immunol. 2019, 97, 28–37. [Google Scholar] [CrossRef] [PubMed]
- Lu, K.; Wang, L.; Zhang, D.; Liu, W.; Xu, W. Berberine attenuates oxidative stress and hepatocytes apoptosis via protecting mitochondria in blunt snout bream Megalobrama amblycephala fed high-fat diets. Fish Physiol. Biochem. 2017, 43, 65–76. [Google Scholar] [CrossRef] [PubMed]
- Tilg, H.; Moschen, A.R. Evolution of inflammation in nonalcoholic fatty liver disease: The multiple parallel hits hypothesis. Hepatology 2010, 52, 1836–1846. [Google Scholar] [CrossRef] [PubMed]
- Gordon, S. The macrophage: Past, present and future. Eur. J. Immunol. 2007, 37, S9–S17. [Google Scholar] [CrossRef]
- Nishimura, S.; Manabe, I.; Nagasaki, M.; Eto, K.; Yamashita, H.; Ohsugi, M.; Otsu, M.; Hara, K.; Ueki, K.; Sugiura, S.; et al. CD8+ effector T cells contribute to macrophage recruitment and adipose tissue inflammation in obesity. Nat. Med. 2009, 15, 914–920. [Google Scholar] [CrossRef]
- Shadel, G.S.; Horvath, T.L. Mitochondrial ROS Signaling in Organismal Homeostasis. Cell 2015, 163, 560–569. [Google Scholar] [CrossRef] [PubMed] [Green Version]
- Liu, J.; Shen, W.; Zhao, B.; Wang, Y.; Wertz, K.; Weber, P.; Zhang, P. Targeting mitochondrial biogenesis for preventing and treating insulin resistance in diabetes and obesity: Hope from natural mitochondrial nutrients. Adv. Drug Deliver. Rev. 2009, 61, 1343–1352. [Google Scholar] [CrossRef] [PubMed]
- Manna, C.; Ragione, F.D.; Cucciolla, V.; Borriello, A.; Zappia, V. Biological Effects of Hydroxytyrosol, a Polyphenol from Olive Oil Endowed with Antioxidant Activity. Adv. Exp. Med. Biol. 1999, 472, 115. [Google Scholar] [PubMed]
- Roberto, F.; Patrizia, R.; Angelo, D.B.; Raffaela, F.; Maurizio, S.; Francesco, M.G.; Guido, M. Oxidative DNA Damage Is Prevented by Extracts of Olive Oil, Hydroxytyrosol, and Other Olive Phenolic Compounds in Human Blood Mononuclear Cells and HL60 Cells. J. Nutr. 2008, 138, 1411–1416. [Google Scholar]
- Liu, Z.; Wang, N.; Ma, Y.; Wen, D. Hydroxytyrosol Improves Obesity and Insulin Resistance by Modulating Gut Microbiota in High-Fat Diet-Induced Obese Mice. Front. Microbiol. 2019, 10, 390. [Google Scholar] [CrossRef]
- Hao, J.; Shen, W.; Yu, G.; Jia, H.; Li, X.; Feng, Z.; Ying, W.; Weber, P.; Wertz, K.; Sharman, E. Hydroxytyrosol promotes mitochondrial biogenesis and mitochondrial function in 3T3-L1 adipocytes. J. Nutr. Biochem. 2010, 21, 634–644. [Google Scholar] [CrossRef]
- Li, X.; Liu, W.; Jiang, Y.; Zhu, H.; Ge, X. Effects of dietary protein and lipid levels in protical diets on growth performance and body composition of blunt snout bream (Megalobrama amblycephala) fingerlings. Aquaculture 2010, 303, 65–70. [Google Scholar] [CrossRef]
- Li, J.; Zhang, D.; Xu, W.; Jiang, G.; Zhang, C.; Li, X.; Liu, W. Effects of dietary choline supplementation on growth performance and hepatic lipid transport in blunt snout bream (Megalobrama amblycephala) fed high-fat diets. Aquaculture 2014, 434, 340–347. [Google Scholar] [CrossRef]
- Cai, L.; Wang, L.; Song, K.; Lu, K.; Zhang, C.; Rahimnejad, S. Evaluation of protein requirement of spotted seabass (Lateolabrax maculatus) under two temperatures, and the liver transcriptome response to thermal stress. Aquaculture 2020, 516, 734615. [Google Scholar] [CrossRef]
- Dong, Y.; Li, L.; Espe, M.; Lu, K.; Rahimnejad, S. Hydroxytyrosol Attenuates Hepatic Fat Accumulation via Activating Mitochondrial Biogenesis and Autophagy through the AMPK Pathway. J. Agric. Food Chem. 2020, 68, 9377–9386. [Google Scholar] [CrossRef]
- Zhang, S.; Fu, J.; Zhou, Z. In vitro effect of manganese chloride exposure on reactive oxygen species generation and respiratory chain complexes activities of mitochondria isolated from rat brain. Toxicol. Vitr. 2004, 18, 71–77. [Google Scholar] [CrossRef] [PubMed]
- Gao, Z.; Luo, W.; Liu, H.; Zeng, C.; Liu, X.; Yi, S.; Wang, W. Transcriptome analysisand SSR/SNP markers information of the blunt snout bream (Megalobrama amblycephala). PLoS ONE 2012, 7, e42637. [Google Scholar] [CrossRef] [Green Version]
- Zhou, W.; Rahimnejad, S.; Lu, K.; Wang, L.; Liu, W. Effects of berberine on growth, liver histology, and expression of lipid-related genes in blunt snout bream (Megalobrama amblycephala) fed high-fat diets. Fish Physiol. Biochem. 2019, 45, 83–91. [Google Scholar] [CrossRef] [PubMed]
- Chavez, J.A.; Summers, S.A. Lipid oversupply, selective insulin resistance, and lipotoxicity: Molecular mechanisms. Biochim. Biophys. Acta BBA-Mol. Cell Biol. Lipids 2010, 1801, 252–265. [Google Scholar] [CrossRef] [Green Version]
- Brookheart, R.T.; Michel, C.I.; Schaffer, J.E. As a Matter of Fat. Cell Metab. 2009, 10, 9–12. [Google Scholar] [CrossRef] [PubMed] [Green Version]
- Arrington, D.A.; Davidson, B.K.; Winemiller, K.O.; Layman, C.A. Influence of life history and seasonal hydrology on lipid storage in three neotropical fish species. J. Fish Biol. 2006, 68, 1347–1361. Available online: http://www.blackwell-synergy.com (accessed on 9 May 2006). [CrossRef]
- Grant, S.M.; Arown, J.A.; Boyce, D.L. Enlarged fatty livers of small juvenile cod: A comparison of laboratory-cultured and wild juveniles. J. Fish Biol. 1998, 52, 1105–1114. [Google Scholar] [CrossRef]
- Du, Z.Y.; Clouet, P.; Huang, L.M.; Degrace, P.; Zheng, W.H.; He, J.G.; Tian, L.X.; Liu, Y.J. Utilization of different dietary lipid sources at high level in herbivorous grass carp (Ctenopharyngodon idella): Mechanism related to hepatic fatty acid oxidation. Aquacult. Nutr. 2008, 14, 77–92. [Google Scholar] [CrossRef]
- Lu, K.L.; Xu, W.N.; Liu, W.B.; Wang, L.N.; Zhang, C.N.; Li, X.F. Association of Mitochondrial Dysfunction with Oxidative Stress and Immune Suppression in Blunt Snout Bream Megalobrama amblycephala Fed a High-Fat Diet. J. Aquat. Anim. Health 2014, 26, 100–112. [Google Scholar] [CrossRef]
- Zou, X.; Feng, Z.; Li, Y.; Wang, Y.; Wertz, K.; Weber, P.; Fu, Y.; Liu, J. Stimulation of GSH synthesis to prevent oxidative stress-induced apoptosis by hydroxytyrosol in human retinal pigment epithelial cells: Activation of Nrf2 and JNK-p62/SQSTM1 pathways. J. Nutr. Biochem. 2012, 23, 994–1006. [Google Scholar] [CrossRef]
- Vial, G.; Dubouchaud, H.; Couturier, K.; Cottet-Rousselle, C.; Taleux, N.; Athias, A.; Galinier, A.; Casteilla, L.; Leverve, X.M. Effects of a high-fat diet on energy metabolism and ROS production in rat liver. J. Hepatol. 2010, 54, 348–356. [Google Scholar] [CrossRef] [PubMed]
- Ravera, S.; Bartolucci, M.; Cuccarolo, P.; Litamè, E.; Illarcio, M.; Calzia, D.; Degan, P.; Morelli, A.; Panfoli, I. Oxidative stress in myelin sheath: The other face of the extramitochondrial oxidative phosphorylation ability. Free Radic. Res. 2015, 49, 1156–1164. [Google Scholar] [CrossRef] [PubMed]
- Bottje, W.; Iqbal, M.; Tang, Z.X.; Cawthon, D.; Okimoto, R.; Wing, T.; Cooper, M. Association of Mitochondrial Function with Feed Efficiency within a Single Genetic Line of Male Broilers. Poultry Sci. 2002, 81, 546–555. [Google Scholar] [CrossRef] [PubMed]
- Wieckowska, A.; Zein, N.N.; Yerian, L.M.; Lopez, A.R.; Mccullough, A.J.; Feldstein, A.E. In vivo assessment of liver cell apoptosis as a novel biomarker of disease severity in nonalcoholic fatty liver disease. Hepatology 2006, 44, 27–33. [Google Scholar] [CrossRef] [PubMed]
- Zamzami, N.; Kroemer, G. The mitochondrion in apoptosis: How Pandora’s box opens. Nat. Rev. Mol. Cell Biol. 2001, 2, 67–71. [Google Scholar] [CrossRef]
- Chiu, S.M.; Xue, L.Y.; Usuda, J.; Azizuddin, K.; Oleinick, N.L. Bax is essential for mitochondrion-mediated apoptosis but not for cell death caused by photodynamic therapy. Brit. J. Cancer 2003, 89, 1590–1597. [Google Scholar] [CrossRef] [Green Version]
- Mcarthur, K.; Whitehead, L.W.; Heddleston, J.M.; Li, L.; Padman, B.S.; Oorschot, V.; Geoghegan, N.D.; Chappaz, S.; Davidson, S.; San, C.H.; et al. BAK/BAX macropores facilitate mitochondrial herniation and mtDNA efflux during apoptosis. Science 2018, 359, eaao6047. [Google Scholar] [CrossRef] [Green Version]
- Xie, S.; Lin, Y.; Wu, T.; Tian, L.; Liang, J.; Tan, B. Dietary lipid levels affected growth performance, lipid accumulation, inflammatory response and apoptosis of japanese seabass (Lateolabrax japonicus). Aquacult. Nutr. 2021, 27, 807–816. [Google Scholar] [CrossRef]
- Zheng, J.; Chen, L.; Lu, T.; Zhang, Y.; Sui, X.; Li, Y.; Huang, X.; He, L.; Cai, J.; Zhou, C.; et al. MSCs ameliorate hepatocellular apoptosis mediated by PINK1-dependent mitophagy in liver ischemia/reperfusion injury through AMPKα activation. Cell Death Dis. 2020, 11, 256. [Google Scholar] [CrossRef]
- Ahonen, T.M.; Saltevo, J.T.; Kautiainen, H.J.; Kumpusalo, E.A.; Vanhala, M.J. The association of adiponectin and low-grade inflammation with the course of metabolic syndrome. Nutr. Metab. Cardiovasc. Dis. 2012, 22, 285–291. [Google Scholar] [CrossRef]
- Sun, X.; Feng, R.; Li, Y.; Lin, S.; Zhang, W.; Li, Y.; Sun, C.; Li, S. Histidine supplementation alleviates inflammation in the adipose tissue of high-fat diet-induced obese rats via the NF-κB- and PPARγ-involved pathways. Br. J. Nutr. 2014, 112, 477–485. [Google Scholar] [CrossRef] [PubMed] [Green Version]
- Li, X.; Jin, Q.; Yao, Q.; Zhou, Y.; Zou, Y.; Li, Z.; Zhang, S.; Tu, C. Placental Growth Factor Contributes to Liver Inflammation, Angiogenesis, Fibrosis in Mice by Promoting Hepatic Macrophage Recruitment and Activation. Front. Immunol. 2017, 8, 801. [Google Scholar] [CrossRef] [PubMed] [Green Version]
- Mcgrath-Morrow, S.A.; Ndeh, R.; Collaco, J.M.; Poupore, A.K.; Dikeman, D.; Zhong, Q.; Singer, B.D.; D’Alessio, F.; Scott, A. The innate immune response to lower respiratory tract E. Coli infection and the role of the CCL2-CCR2 axis in neonatal mice. Cytokine 2017, 97, 108–116. [Google Scholar] [CrossRef] [PubMed] [Green Version]
- Miura, K.; Yang, L.; van Rooijen, N.; Ohnishi, H.; Seki, E. Hepatic recruitment of macrophages promotes nonalcoholic steatohepatitis through CCR2. Am. J. Physiol.-Gastr. Liv. 2012, 302, G1310–G1321. [Google Scholar] [CrossRef] [Green Version]
- Liu, P.; Ho, P. Mitochondria: A master regulator in macrophage and T cell immunity. Mitochondrion 2018, 41, 45–50. [Google Scholar] [CrossRef]
- Dela Cruz, C.S.; Kang, M. Mitochondrial dysfunction and damage associated molecular patterns (DAMPs) in chronic inflammatory diseases. Mitochondrion 2018, 41, 37–44. [Google Scholar] [CrossRef]
- Fouret, G.; Gaillet, S.; Lecomte, J.; Bonafos, B.; Djohan, F.; Barea, B.; Badia, E.; Coudray, C.; Feillet-Coudray, C. 20-Week follow-up of hepatic steatosis installation and liver mitochondrial structure and activity and their interrelation in rats fed a high-fat-high-fructose diet. Br. J. Nutr. 2018, 119, 368–380. [Google Scholar] [CrossRef] [Green Version]
- Kang, C.; Ji, L.L. PGC-1α overexpression via local transfection attenuates mitophagy pathway in muscle disuse atrophy. Free Radic. Biol. Med. 2016, 93, 32–40. [Google Scholar] [CrossRef]
- Palikaras, K.; Lionaki, E.; Tavernarakis, N. Balancing mitochondrial biogenesis and mitophagy to maintain energy metabolism homeostasis. Cell Death Differ. 2015, 22, 1399–1401. [Google Scholar] [CrossRef] [Green Version]
- Yun, J.; Finkel, T. Mitohormesis. Cell Metab. 2014, 19, 757–766. [Google Scholar] [CrossRef] [Green Version]
- Palikaras, K.; Tavernarakis, N. Mitochondrial homeostasis: The interplay between mitophagy and mitochondrial biogenesis. Exp. Gerontol. 2014, 56, 182–188. [Google Scholar] [CrossRef] [PubMed]
- Sin, J.; Andres, A.M.; Taylor, D.J.; Weston, T.; Hiraumi, Y.; Stotland, A.; Kim, B.J.; Huang, C.; Doran, K.S.; Gottlieb, R.A. Mitophagy is required for mitochondrial biogenesis and myogenic differentiation of C2C12 myoblasts. Autophagy 2016, 12, 369–380. [Google Scholar] [CrossRef] [PubMed] [Green Version]
- Chan, D.C. Fusion and fission: Interlinked processes critical for mitochondrial health. Annu. Rev. Genet. 2012, 46, 265–287. [Google Scholar] [CrossRef] [PubMed] [Green Version]
- Grumati, P.; Coletto, L.; Sabatelli, P.; Cescon, M.; Angelin, A.; Bertaggia, E.; Blaauw, B.; Urciuolo, A.; Tiepolo, T.; Merlini, L.; et al. Autophagy is defective in collagen VI muscular dystrophies, and its reactivation rescues myofiber degeneration. Nat. Med. 2010, 16, 1313–1320. [Google Scholar] [CrossRef]





| Ingredients | Groups (Lipid/Hydroxytyrosol) | |||
|---|---|---|---|---|
| LFD | LFD+HT | HFD | HFD+HT | |
| Fish meal | 20.00 | 20.00 | 20.00 | 20.00 |
| Soybean meal | 30.00 | 30.00 | 30.00 | 30.00 |
| α-starch | 8.00 | 8.00 | 8.00 | 8.00 |
| Wheat Flour | 30.00 | 30.00 | 25.00 | 25.00 |
| Microcrystalline cellulose | 5.00 | 5.00 | 0.00 | 0.00 |
| Soybean oil | 3.80 | 3.80 | 13.80 | 13.80 |
| Calcium biphosphate | 1.80 | 1.80 | 1.80 | 1.80 |
| Premix 1 | 1.35 | 1.35 | 1.35 | 1.35 |
| Hydroxytyrosol | 0.00 | 0.02 | 0.00 | 0.02 |
| Nutrition levels (%, as dry matter basis) | ||||
| Protein | 31.12 | 30.88 | 30.95 | 31.05 |
| Lipid | 4.95 | 5.05 | 14.95 | 15.10 |
| Target Genes | Forward Primer Sequence (5′ to 3′) | Reverse Primer Sequence (5′ to 3′) | Annealing Temperature (°C) | Sources |
|---|---|---|---|---|
| PGC-1α | TGCCCTCGGTTCATTGTC | GATTTCTGATTGGTCGCTGTA | 60 | MH791034.1 |
| PGC-1β | CTCTAAGGGTGAATCGCAACG | TCCTCCGCCACTTCCACAT | 60 | MH791035.1 |
| TFAM | CTTTGGTATCCAGGGAGCAGT | GTTGAATCGCATCCAGTCGT | 60 | KT380498.1 |
| NRF-1 | CTCTACGCCTTTGAGGACCAG | CCAGTGCCAACCTGTATGAGC | 60 | [23] |
| IL-6 | CATCACACAAACTTTGGCA | GTACAGCAGTATGGGGGAG | 60 | KJ755058.1 |
| p38MAPK | GGACATTTGGTCAGTGGGCT | GCCATCTGAGGAAGCGAGTT | 60 | MH791036.1 |
| CCR2 | ATCCCTTCAATCACCTCC | CCATCATTACTCCTCTACGG | 60 | [23] |
| CD68 | CTATAGTGACTGGTACCCAT | TGGGGAACGGTGTGAGTCTA | 60 | KY798319.1 |
| SIRT-1 | ACGAACTCTGCCATCGTCTG | TCTGATGTGTCTGTGACGGC | 60 | [23] |
| BCL-2 | GTTGGGATGCCTTTGTGGAG | TTCTGAGCAAAAAAGGCGAT | 60 | [23] |
| Bax | TGTGACCCCAGCCATAAACG | GTCGGTTGAAGAGCAGAGTCA | 60 | MK315043.1 |
| Caspase-3 | GGTGGATGCTATGCCTCAGT | CCATTGCGTTGGTTCATGCC | 60 | KY006115.1 |
| Caspase-9 | TTGGAGACGAGAGGGAGTCA | AGGAGGCCGATGAGCACTAT | 60 | KM604705.1 |
| PINK1 | ACGCCATCCTTCGCTCTATG | TCAGCCGTTTAGGCACTGTT | 60 | [23] |
| Parkin | TCTGTCGTGTGGAGTGGAAC | CTTGGCTCCATTCCCTGAGTT | 60 | [23] |
| FoxO | TTAGTCTCCGCAAAGCAGCA | TGACAGATCCCTACCCCGTT | 60 | [23] |
| Mul1 | AAGGTGTTGTGCGTTCAGTG | GCGTTGGTGGATGACCTTTTC | 60 | [23] |
| Atg5 | TCCACATCAGCATCATCCCG | TAAAGGCAGCAGGTACACGG | 60 | [23] |
| Mfn1 | TTTCACCCGTCACCCAATGT | ACAGCATCAGAACAGCGGAA | 60 | [23] |
| Mfn2 | TTGGCATCACTCACCTCTCG | CCCTGGTTGTCCATGTGAGT | 60 | [23] |
| Opa1 | AGGCACGAGATTGAACTCCG | CAGGCAAGTCAACAAGCACC | 60 | [23] |
| Fis1 | CGAACATGGAGGCGATTGTG | GGTTTCCTTTGAAACGGGTCC | 60 | [23] |
| Rpl13a | TCTGGAGGACTGTAAGAGGTATGC | AGACGCACAATCTTGAGAGCAG | 60 | [23] |
| Groups | LFD | LFD+HT | HFD | HFD+HT |
|---|---|---|---|---|
| Initial body weight (g) | 4.06 ± 0.04 | 4.08 ± 0.02 | 4.07 ± 0.06 | 4.05 ± 0.03 |
| Final body weight (g) | 16.79 ± 0.49 b | 15.67 ± 0.36 b | 13.72 ± 0.4 a | 15.56 ± 0.33 b |
| Weight gain (%) | 313.59 ± 13.44 b | 284.21 ± 12.68 b | 237.24 ± 8.87 a | 284.46 ± 8.84 b |
| Specific growth rate (%/day) | 2.00 ± 0.05 b | 1.90 ± 0.05 b | 1.71 ± 0.04 a | 1.90 ± 0.03 b |
| Feed efficiency ratio | 1.55 ± 0.04 a | 1.66 ± 0.07 a | 1.98 ± 0.05 b | 1.73 ± 0.10 a |
| Feed intake (% BW/day) | 2.66 ± 0.05 | 2.75 ± 0.06 | 3.03 ± 0.12 | 2.85 ± 0.14 |
| Groups | Complex I | Complex II | Complex III | Complex IV | Complex V |
|---|---|---|---|---|---|
| LFD | 1.00 ± 0.12 a | 1.00 ± 0.02 b | 1.00 ± 0.10 a | 1.00 ± 0.07 ab | 1.00 ± 0.06 ab |
| LFD+HT | 2.06 ± 0.28 b | 1.44 ± 0.03 c | 1.93 ± 0.30 b | 1.33 ± 0.24 b | 2.32 ± 0.61 b |
| HFD | 0.61 ± 0.003 a | 0.62 ± 0.03 a | 0.79 ± 0.04 a | 0.44 ± 0.04 a | 0.68 ± 0.11 a |
| HFD+HT | 0.96 ± 0.04 a | 1.03 ± 0.15 b | 1.14 ± 0.22 a | 0.76 ± 0.02 ab | 0.97 ± 0.01 ab |
| LFD | LFD+HT | HFD | HFD+HT | |
|---|---|---|---|---|
| Mitophagy | ||||
| PINK1 | 1.00 ± 0.07 bc | 1.20 ± 0.03 c | 0.72 ± 0.02 a | 0.85 ± 0.005 ab |
| Parkin | 1.00 ± 0.11 ab | 1.55 ± 0.03 c | 0.74 ± 0.04 a | 1.26 ± 0.01 bc |
| Mul1 | 1.00 ± 0.06 c | 1.46 ± 0.01 d | 0.44 ± 0.03 a | 0.72 ± 0.01 b |
| Atg5 | 1.00 ± 0.03 b | 1.25 ± 0.04 c | 0.73 ± 0.01 a | 1.05 ± 0.03 b |
| Biogenesis | ||||
| NRF-1 | 1.00 ± 0.10 c | 1.34 ± 0.12 c | 0.51 ± 0.09 ab | 0.82 ± 0.21 a |
| TFAM | 1.00 ± 0.09 a | 1.33 ± 0.12 c | 0.69 ± 0.04 b | 0.94 ± 0.04 b |
| Fusion | ||||
| Mfn1 | 1.00 ± 0.05 | 1.04 ± 0.04 | 0.87 ± 0.03 | 0.82 ± 0.06 |
| Mfn2 | 1.00 ± 0.05 c | 1.29 ± 0.01 d | 0.52 ± 0.03 a | 0.78 ± 0.03 b |
| Fission | ||||
| Drp1 | 1.00 ± 0.06 ab | 1.40 ± 0.04 c | 0.84 ± 0.04 a | 1.29 ± 0.05 a |
| Fis1 | 1.00 ± 0.06 b | 1.24 ± 0.02 c | 0.68 ± 0.001 a | 0.92 ± 0.02 b |
| Regulatory factors | ||||
| PGC-1α | 1.00 ± 0.13 b | 1.80 ± 0.04 c | 0.48 ± 0.02 a | 0.91 ± 0.06 b |
| PGC-1β | 1.00 ± 0.03 c | 1.25 ± 0.02 d | 0.48 ± 0.01 a | 0.77 ± 0.01 b |
| FoxO | 1.00 ± 0.02 c | 1.23 ± 0.04 d | 0.40 ± 003 a | 0.68 ± 0.04 b |
| SIRT-1 | 1.00 ± 0.005 a | 1.45 ± 0.09 b | 0.79 ± 0.07 a | 1.19 ± 0.04 ab |
Publisher’s Note: MDPI stays neutral with regard to jurisdictional claims in published maps and institutional affiliations. |
© 2022 by the authors. Licensee MDPI, Basel, Switzerland. This article is an open access article distributed under the terms and conditions of the Creative Commons Attribution (CC BY) license (https://creativecommons.org/licenses/by/4.0/).
Share and Cite
Dong, Y.; Xia, T.; Yu, M.; Wang, L.; Song, K.; Zhang, C.; Lu, K. Hydroxytyrosol Attenuates High-Fat-Diet-Induced Oxidative Stress, Apoptosis and Inflammation of Blunt Snout Bream (Megalobrama amblycephala) through Its Regulation of Mitochondrial Homeostasis. Fishes 2022, 7, 78. https://doi.org/10.3390/fishes7020078
Dong Y, Xia T, Yu M, Wang L, Song K, Zhang C, Lu K. Hydroxytyrosol Attenuates High-Fat-Diet-Induced Oxidative Stress, Apoptosis and Inflammation of Blunt Snout Bream (Megalobrama amblycephala) through Its Regulation of Mitochondrial Homeostasis. Fishes. 2022; 7(2):78. https://doi.org/10.3390/fishes7020078
Chicago/Turabian StyleDong, Yanzou, Tian Xia, Manhan Yu, Ling Wang, Kai Song, Chunxiao Zhang, and Kangle Lu. 2022. "Hydroxytyrosol Attenuates High-Fat-Diet-Induced Oxidative Stress, Apoptosis and Inflammation of Blunt Snout Bream (Megalobrama amblycephala) through Its Regulation of Mitochondrial Homeostasis" Fishes 7, no. 2: 78. https://doi.org/10.3390/fishes7020078
APA StyleDong, Y., Xia, T., Yu, M., Wang, L., Song, K., Zhang, C., & Lu, K. (2022). Hydroxytyrosol Attenuates High-Fat-Diet-Induced Oxidative Stress, Apoptosis and Inflammation of Blunt Snout Bream (Megalobrama amblycephala) through Its Regulation of Mitochondrial Homeostasis. Fishes, 7(2), 78. https://doi.org/10.3390/fishes7020078

