Design, Construction, and Efficacy of a Novel Multiepitope Chimeric Vaccine Against Lumpfish (Cyclopterus lumpus) Infection
Abstract
1. Introduction
2. Materials and Methods
2.1. Protein Engineering and Epitope Integration
2.2. Computational Analysis
2.3. Computational Protein Modeling and Validation of the 3D Structure of MCV
2.4. Codon Optimization and Cloning Design
2.5. Immune Simulation of MCV
2.6. Transformation of E. coli with a Recombinant Plasmid Harboring the MCV
2.7. Evaluation of MCV Expression in E. coli
2.8. Transmission Electron Microscopy (TEM)
2.9. Bacterial and Culture Conditions
2.10. Fish Holding
2.11. Recombinant E. coli-MCV Preparation
2.12. Lumpfish Experimental Design and Immunization
2.13. Lumpfish Challenge and Sampling
2.14. Enzyme-Linked Immunosorbent Assay (ELISA)
2.15. Statistical Analysis
3. Results
3.1. Epitope Selection for the Construction of the MCV
3.2. Physicochemical Characterization of the MCV
3.3. Structural Modeling and Codon Optimization of MCV
3.4. In Silico Immune Simulation of MCV
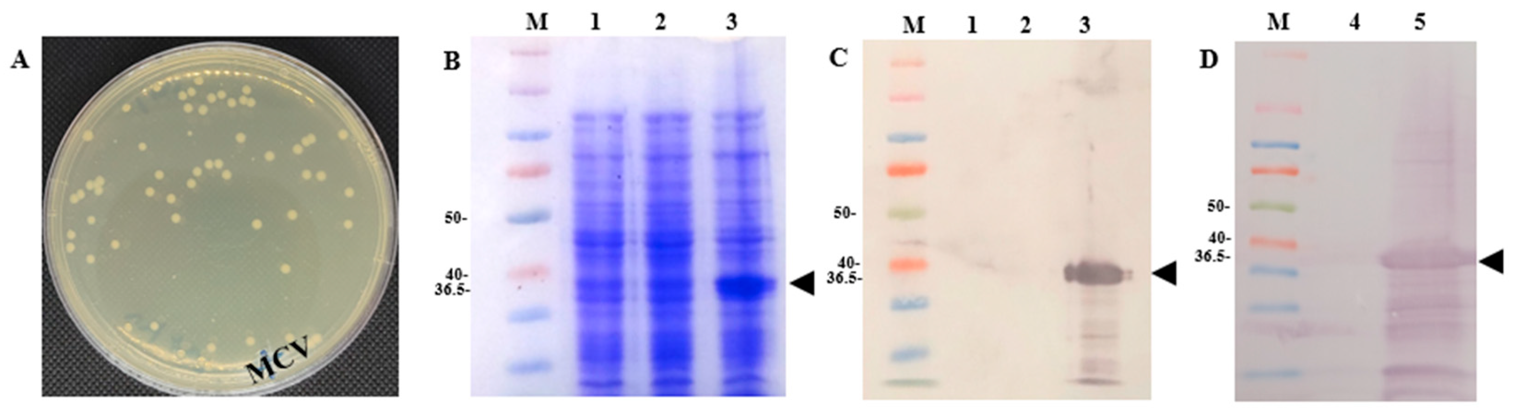
3.5. Expression of MCV Plasmids in E. coli
3.6. Immune Protection and Efficacy of MCV in Lumpfish
4. Discussion
5. Conclusions
Supplementary Materials
Author Contributions
Funding
Institutional Review Board Statement
Data Availability Statement
Conflicts of Interest
Abbreviations
| BCIP | 5-Bromo-4-Chloro-3-Indolyl Phosphate |
| CAI | Codon Adaptation Index |
| CFU | Colony-Forming Units |
| CHAB | Cysteine Heart Agar with Blood |
| CHSE-214 | Chinook Salmon Embryo Cell Line (ATCC CHSE-214) |
| DHODH | Dihydroorotate Dehydrogenase |
| ELISA | Enzyme-Linked Immunosorbent Assay |
| EPON | Epoxy Resin for Embedding |
| GRAVY | Grand Average of Hydropathicity |
| Hsp | Heat Shock Protein |
| IgM | Immunoglobulin M |
| IMAC | Immobilized Metal Affinity Chromatography |
| IPTG | Isopropyl β-D-1-thiogalactopyranoside |
| JBARB | Dr. Joe Brown Aquatic Research Building |
| JCat | Java Codon Adaptation Tool |
| LB | Lysogeny Broth |
| MCV | Multiepitope Chimeric Vaccine |
| MCS | Multiple Cloning Site |
| NBT | Nitro Blue Tetrazolium |
| PBS | Phosphate-Buffered Saline |
| PBS-T | Phosphate-Buffered Saline with Tween-20 |
| PIT | Passive Integrated Transponder |
| PSSM | Position-Specific Scoring Matrix |
| QMEAN | Qualitative Model Energy Analysis |
| RPS | Relative Percent Survival |
| rpm | Revolutions Per Minute |
| SDS-PAGE | Sodium Dodecyl Sulfate–Polyacrylamide Gel Electrophoresis |
| TEM | Transmission Electron Microscopy/Microscope |
| TSB | Tryptic Soy Broth |
| UV | Ultraviolet |
| wpi | Weeks Post-Immunization |
| pI | Isoelectric Point |
References
- Brooker, A.; Papadopoulou, A.; Gutierrez-Rabadan, C.; Rey Planellas, S.; Davie, A.; Migaud, H. Sustainable production and use of cleaner fish for the biological control of sea lice: Recent advances and current challenges. Vet. Rec. 2018, 183, 383. [Google Scholar] [CrossRef]
- Powell, A.; Treasurer, J.W.; Pooley, C.L.; Keay, A.J.; Lloyd, R.; Imsland, A.K.; Garcia de Leaniz, C. Use of lumpfish for sea-lice control in salmon farming: Challenges and opportunities. Rev. Aquac. 2018, 10, 683–702. [Google Scholar] [CrossRef]
- Kumagai, A.; Sugimoto, K.; Itou, D.; Kamaishi, T.; Miwa, S.; Iida, T. Atypical Aeromonas salmonicida Infection in Cultured Marbled Sole Pleuronectes yokohamae. Fish Pathol. 2006, 41, 7–12. [Google Scholar] [CrossRef][Green Version]
- Pedersen, K.; Larsen, J.L. First report on outbreak of furunculosis in turbot Scophthalmus maximus caused by Aeromonas salmonicida subsp. salmonicida in Denmark. Bull. Eur. Assoc. Fish Pathol. 1996, 16, 129–133. [Google Scholar]
- Reddy, T.V.; Ravindranath, K.; Sreeraman, P.K.; Subba Rao, M.V. Aeromonas salmonicida associated with mass mortality of Cyprinus carpio and Oreochromis mossambicus in a freshwater reservoir in Andhra Pradesh, India. J. Aquac. Trop. 1994, 9, 259–268. [Google Scholar]
- Coyne, R.; Smith, P.; Dalsgaard, I.; Nilsen, H.; Kongshaug, H.; Samuelsen, O. Winter ulcer disease of post-smolt Atlantic salmon: An unsuitable case for treatment? Aquaculture 2006, 253, 171–178. [Google Scholar] [CrossRef]
- Coyne, R.; Samuelsen, O.; Andersen, K.; Lunestad, B.; Nilsen, H.; Dalsgaard, I.; Smith, P. Attempt to validate breakpoint MIC values estimated from pharmacokinetic data obtained during oxolinic acid therapy of winter ulcer disease in Atlantic salmon (Salmo salar). Aquaculture 2004, 238, 51–66. [Google Scholar] [CrossRef]
- Gaggero, A.; Castro, H.; Sandino, A. First isolation of Piscirickettsia salmonis from coho salmon, Oncorhynchus kisutch (Walbaum), and rainbow trout, Oncorhynchus mykiss (Walbaum), during the freshwater stage of their life cycle. J. Fish Dis. 2006, 18, 277–280. [Google Scholar] [CrossRef]
- Mauel, M.J.; Miller, D.L.; Frazier, K.; Liggett, A.D.; Styer, L.; Montgomery-Brock, D.; Brock, J. Characterization of a piscirickettsiosis-like disease in Hawaiian tilapia. Dis. Aquat. Org. 2003, 53, 249–255. [Google Scholar] [CrossRef]
- Iregui, C.A.; Vasquez, G.M.; Rey, A.L.; Verjan, N. Piscirickettsia-like organisms as a cause of acute necrotic lesions in Colombian tilapia larvae. J. Vet. Diagn. Investig. 2011, 23, 147–151. [Google Scholar] [CrossRef]
- Sakai, T.; Yamada, H.; Shimizu, H.; Yuasa, K.; Kamaishi, T.; Oseko, N.; Iida, T. Characteristics and pathogenicity of brown pigment-producing Vibrio anguillarum isolated from Japanese flounder [Paralichthys olivaceus]. Fish Pathol. Jpn. 2006, 41, 77–80. [Google Scholar] [CrossRef]
- Guguianu, E.; Vulpe, V. Yersiniosis outbreak in rainbow trout (Oncorhynchus mykis) at a fish farm from northern Romania. Cercet. Agron. Mold. 2009, 75–80. Available online: https://repository.iuls.ro/xmlui/handle/20.500.12811/2629 (accessed on 31 December 2025).
- Rodríguez, L.A.; Castillo, A.; Gallardo, C.S.; Nieto, T.P. Outbreaks of Yersinia ruckeri in rainbow trout in north west of Spain. Bull. Eur. Assoc. Fish Pathol. 1999, 19, 130–132. [Google Scholar]
- Chukwu-Osazuwa, J.; Cao, T.; Vasquez, I.; Gnanagobal, H.; Hossain, A.; Dang, M.; Onireti, O.; Hall, J.R.; Santander, J. Experimental co-infection of lumpfish with sublethal doses of Aeromonas salmonicida and Vibrio anguillarum causes increased mortality. Aquaculture 2025, 609, 742952. [Google Scholar] [CrossRef]
- Gnanagobal, H.; Chakraborty, S.; Vasquez, I.; Chukwu-Osazuwa, J.; Cao, T.; Hossain, A.; Dang, M.; Valderrama, K.; Kumar, S.; Bindea, G.; et al. Transcriptome profiling of lumpfish (Cyclopterus lumpus) head kidney to Renibacterium salmoninarum at early and chronic infection stages. Dev. Comp. Immunol. 2024, 156, 105165. [Google Scholar] [CrossRef]
- Chakraborty, S.; Gnanagobal, H.; Hossain, A.; Cao, T.; Vasquez, I.; Boyce, D.; Santander, J. Inactivated Aeromonas salmonicida impairs adaptive immunity in lumpfish (Cyclopterus lumpus). J. Fish Dis. 2024, 47, e13944. [Google Scholar] [CrossRef]
- Onireti, O.B.; Cao, T.; Vasquez, I.; Chukwu-Osazuwa, J.; Gnanagobal, H.; Hossain, A.; Machimbirike, V.I.; Hernandez-Reyes, Y.; Khoury, A.; Khoury, A.; et al. Evaluation of the protective efficiency of an autogenous Vibrio anguillarum vaccine in lumpfish (Cyclopterus lumpus) under controlled and field conditions in Atlantic Canada. Front. Aquac. 2023, 2, 1306503. [Google Scholar] [CrossRef]
- Chakraborty, S.; Hossain, A.; Cao, T.; Gnanagobal, H.; Segovia, C.; Hill, S.; Monk, J.; Porter, J.; Boyce, D.; Hall, J.R.; et al. Multi-Organ Transcriptome Response of Lumpfish (Cyclopterus lumpus) to Aeromonas salmonicida Subspecies salmonicida Systemic Infection. Microorganisms 2022, 10, 2113. [Google Scholar] [CrossRef]
- Bouazzaoui, A.; Abdellatif, A.A.H.; Al-Allaf, F.A.; Bogari, N.M.; Al-Dehlawi, S.; Qari, S.H. Strategies for Vaccination: Conventional Vaccine Approaches Versus New-Generation Strategies in Combination with Adjuvants. Pharmaceutics 2021, 13, 140. [Google Scholar] [CrossRef]
- Brisse, M.; Vrba, S.M.; Kirk, N.; Liang, Y.; Ly, H. Emerging Concepts and Technologies in Vaccine Development. Front. Immunol. 2020, 11, 583077. [Google Scholar] [CrossRef]
- Ma, J.; Bruce, T.J.; Jones, E.M.; Cain, K.D. A Review of Fish Vaccine Development Strategies: Conventional Methods and Modern Biotechnological Approaches. Microorganisms 2019, 7, 569. [Google Scholar] [CrossRef] [PubMed]
- Rathor, G.S.; Swain, B. Advancements in Fish Vaccination: Current Innovations and Future Horizons in Aquaculture Health Management. Appl. Sci. 2024, 14, 5672. [Google Scholar] [CrossRef]
- Oli, A.N.; Obialor, W.O.; Ifeanyichukwu, M.O.; Odimegwu, D.C.; Okoyeh, J.N.; Emechebe, G.O.; Adejumo, S.A.; Ibeanu, G.C. Immunoinformatics and Vaccine Development: An Overview. Immunotargets Ther. 2020, 9, 13–30. [Google Scholar] [CrossRef] [PubMed]
- Aiman, S.; Ahmad, A.; Khan, A.A.; Alanazi, A.M.; Samad, A.; Ali, S.L.; Li, C.; Ren, Z.; Khan, A.; Khattak, S. Vaccinomics-based next-generation multi-epitope chimeric vaccine models prediction against Leishmania tropica—A hierarchical subtractive proteomics and immunoinformatics approach. Front. Immunol. 2023, 14, 1259612. [Google Scholar] [CrossRef]
- Jaan, S.; Shah, M.; Ullah, N.; Amjad, A.; Javed, M.S.; Nishan, U.; Mustafa, G.; Nawaz, H.; Ahmed, S.; Ojha, S.C. Multi-epitope chimeric vaccine designing and novel drug targets prioritization against multi-drug resistant Staphylococcus pseudintermedius. Front. Microbiol. 2022, 13, 971263. [Google Scholar] [CrossRef]
- Sanches, R.C.O.; Tiwari, S.; Ferreira, L.C.G.; Oliveira, F.M.; Lopes, M.D.; Passos, M.J.F.; Maia, E.H.B.; Taranto, A.G.; Kato, R.; Azevedo, V.A.C.; et al. Immunoinformatics Design of Multi-Epitope Peptide-Based Vaccine Against Schistosoma mansoni Using Transmembrane Proteins as a Target. Front. Immunol. 2021, 12, 621706. [Google Scholar] [CrossRef]
- Chugh, S.; Bahal, R.K.; Dhiman, R.; Singh, R. Antigen identification strategies and preclinical evaluation models for advancing tuberculosis vaccine development. npj Vaccines 2024, 9, 57. [Google Scholar] [CrossRef]
- Bhattacharya, K.; Shamkh, I.M.; Khan, M.S.; Lotfy, M.M.; Nzeyimana, J.B.; Abutayeh, R.F.; Hamdy, N.M.; Hamza, D.; Chanu, N.R.; Khanal, P.; et al. Multi-Epitope Vaccine Design against Monkeypox Virus via Reverse Vaccinology Method Exploiting Immunoinformatic and Bioinformatic Approaches. Vaccines 2022, 10, 2010. [Google Scholar] [CrossRef]
- Welsh, R.M.; Fujinami, R.S. Pathogenic epitopes, heterologous immunity and vaccine design. Nat. Rev. Microbiol. 2007, 5, 555–563. [Google Scholar] [CrossRef]
- Dey, J.; Mahapatra, S.R.; Raj, T.K.; Kaur, T.; Jain, P.; Tiwari, A.; Patro, S.; Misra, N.; Suar, M. Designing a novel multi-epitope vaccine to evoke a robust immune response against pathogenic multidrug-resistant Enterococcus faecium bacterium. Gut Pathogens 2022, 14, 21. [Google Scholar] [CrossRef]
- Alawam, A.S.; Alwethaynani, M.S. Construction of an aerolysin-based multi-epitope vaccine against Aeromonas hydrophila: An in silico machine learning and artificial intelligence-supported approach. Front. Immunol. 2024, 15, 1369890. [Google Scholar] [CrossRef]
- Ahmad, S.; Ismail, S. Vaccinomics to Design a Novel Single Chimeric Subunit Vaccine for Broad-Spectrum Immunological Applications targeting Nosocomial Enterobacteriaceae Pathogens. Eur. J. Pharm. Sci. 2020, 146, 105258. [Google Scholar] [CrossRef] [PubMed]
- Islam, S.I.; Mahfuj, S.; Alam, M.A.; Ara, Y.; Sanjida, S.; Mou, M.J. Immunoinformatic Approaches to Identify Immune Epitopes and Design an Epitope-Based Subunit Vaccine against Emerging Tilapia Lake Virus (TiLV). Aquac. J. 2022, 2, 186–202. [Google Scholar] [CrossRef]
- Negahdari, B.; Sarkoohi, P.; Nezhad, F.G.; Shahbazi, B.; Ahmadi, K. Design of multi-epitope vaccine candidate based on OmpA, CarO and ZnuD proteins against multi-drug resistant Acinetobacter baumannii. Heliyon 2024, 10, e34690. [Google Scholar] [CrossRef] [PubMed]
- Mou, M.; Sanjida, S. In Silico-Based Vaccine Design Against Hepatopancreatic Microsporidiosis in Shrimp. Trends Sci. 2022, 19, 2679. [Google Scholar] [CrossRef]
- Ghafouri, F.; Cohan, R.A.; Noorbakhsh, F.; Samimi, H.; Haghpanah, V. An in-silico approach to develop of a multi-epitope vaccine candidate against SARS-CoV-2 envelope (E) protein. Res. Sq. 2020, rs.3.rs-30374. [Google Scholar] [CrossRef]
- Razali, S.A.; Shamsir, M.S.; Ishak, N.F.; Low, C.F.; Azemin, W.A. Riding the wave of innovation: Immunoinformatics in fish disease control. PeerJ 2023, 11, e16419. [Google Scholar] [CrossRef]
- Sunita; Sajid, A.; Singh, Y.; Shukla, P. Computational tools for modern vaccine development. Hum. Vaccin Immunother. 2020, 16, 723–735. [Google Scholar] [CrossRef]
- Khalid, K.; Poh, C.L. The Promising Potential of Reverse Vaccinology-Based Next-Generation Vaccine Development over Conventional Vaccines against Antibiotic-Resistant Bacteria. Vaccines 2023, 11, 1264. [Google Scholar] [CrossRef]
- Xue, W.; Li, T.; Gu, Y.; Li, S.; Xia, N. Molecular engineering tools for the development of vaccines against infectious diseases: Current status and future directions. Expert Rev. Vaccines 2023, 22, 563–578. [Google Scholar] [CrossRef]
- Du, Y.; Hu, X.; Miao, L.; Chen, J. Current status and development prospects of aquatic vaccines. Front. Immunol. 2022, 13, 1040336. [Google Scholar] [CrossRef] [PubMed]
- Plant, K.P.; LaPatra, S.E.; Cain, K.D. Vaccination of rainbow trout, Oncorhynchus mykiss (Walbaum), with recombinant and DNA vaccines produced to Flavobacterium psychrophilum heat shock proteins 60 and 70. J. Fish Dis. 2009, 32, 521–534. [Google Scholar] [CrossRef] [PubMed]
- Marana, M.H.; Jørgensen, L.v.G.; Skov, J.; Chettri, J.K.; Holm Mattsson, A.; Dalsgaard, I.; Kania, P.W.; Buchmann, K. Subunit vaccine candidates against Aeromonas salmonicida in rainbow trout Oncorhynchus mykiss. PLoS ONE 2017, 12, e0171944. [Google Scholar] [CrossRef] [PubMed]
- Wong, K.Y.; Megat Mazhar Khair, M.H.; Song, A.A.L.; Masarudin, M.J.; Loh, J.Y.; Chong, C.M.; Beardall, J.; Teo, M.Y.M.; In, L.L.A. Recombinant lactococcal-based oral vaccine for protection against Streptococcus agalactiae infections in tilapia (Oreochromis niloticus). Fish Shellfish. Immunol. 2024, 149, 109572. [Google Scholar] [CrossRef]
- Islam, S.I.; Mou, M.J.; Sanjida, S. Application of reverse vaccinology to design a multi-epitope subunit vaccine against a new strain of Aeromonas veronii. J. Genet. Eng. Biotechnol. 2022, 20, 118. [Google Scholar] [CrossRef]
- Pumchan, A.; Proespraiwong, P.; Sawatdichaikul, O.; Phurahong, T.; Hirono, I.; Unajak, S. Computational design of novel chimeric multiepitope vaccine against bacterial and viral disease in tilapia (Oreochromis sp.). Sci. Rep. 2024, 14, 14048. [Google Scholar] [CrossRef]
- Choudhury, A.; Kumar, P.; Nafidi, H.-A.; Almaary, K.S.; Wondmie, G.F.; Kumar, A.; Bourhia, M. Immunoinformatics approaches in developing a novel multi-epitope chimeric vaccine protective against Saprolegnia parasitica. Sci. Rep. 2024, 14, 2260. [Google Scholar] [CrossRef]
- Sabourin, M.; Tuzon, C.T.; Fisher, T.S.; Zakian, V.A. A flexible protein linker improves the function of epitope-tagged proteins in Saccharomyces cerevisiae. Yeast 2007, 24, 39–45. [Google Scholar] [CrossRef]
- Fadilah, F.; Paramita, R.I.; Erlina, L.; Istiadi, K.A.; Wuyung, P.E.; Tedjo, A. Linker optimization in breast cancer multiepitope peptide vaccine design based on molecular study. In Proceedings of the 4th International Conference on Life Sciences and Biotechnology (ICOLIB 2021), Virtual, 15–16 November 2021; pp. 528–538. [Google Scholar]
- Chukwu-Osazuwa, J.; Cao, T.; Vasquez, I.; Gnanagobal, H.; Hossain, A.; Machimbirike, V.I.; Santander, J. Comparative Reverse Vaccinology of Piscirickettsia salmonis, Aeromonas salmonicida, Yersinia ruckeri, Vibrio anguillarum and Moritella viscosa, Frequent Pathogens of Atlantic Salmon and Lumpfish Aquaculture. Vaccines 2022, 10, 473. [Google Scholar] [CrossRef]
- Gasteiger, E.; Hoogland, C.; Gattiker, A.; Duvaud, S.e.; Wilkins, M.R.; Appel, R.D.; Bairoch, A. Protein Identification and Analysis Tools on the ExPASy Server. In The Proteomics Protocols Handbook; Walker, J.M., Ed.; Humana Press: Totowa, NJ, USA, 2005; pp. 571–607. [Google Scholar] [CrossRef]
- Waterhouse, A.M.; Studer, G.; Robin, X.; Bienert, S.; Tauriello, G.; Schwede, T. The structure assessment web server: For proteins, complexes and more. Nucleic Acids Res. 2024, 52, W318–W323. [Google Scholar] [CrossRef]
- Bienert, S.; Waterhouse, A.; de Beer, T.A.P.; Tauriello, G.; Studer, G.; Bordoli, L.; Schwede, T. The SWISS-MODEL Repository—New features and functionality. Nucleic Acids Res. 2016, 45, D313–D319. [Google Scholar] [CrossRef] [PubMed]
- Chen, V.B.; Arendall, W.B., 3rd; Headd, J.J.; Keedy, D.A.; Immormino, R.M.; Kapral, G.J.; Murray, L.W.; Richardson, J.S.; Richardson, D.C. MolProbity: All-atom structure validation for macromolecular crystallography. Acta Crystallogr. D Biol Crystallogr. 2010, 66, 12–21. [Google Scholar] [CrossRef] [PubMed]
- Williams, C.J.; Headd, J.J.; Moriarty, N.W.; Prisant, M.G.; Videau, L.L.; Deis, L.N.; Verma, V.; Keedy, D.A.; Hintze, B.J.; Chen, V.B.; et al. MolProbity: More and better reference data for improved all-atom structure validation. Protein Sci. 2018, 27, 293–315. [Google Scholar] [CrossRef] [PubMed]
- Park, S.W.; Lee, B.H.; Song, S.H.; Kim, M.K. Revisiting the Ramachandran plot based on statistical analysis of static and dynamic characteristics of protein structures. J. Struct. Biol. 2023, 215, 107939. [Google Scholar] [CrossRef]
- Chakrabarti, P.; Pal, D. The interrelationships of side-chain and main-chain conformations in proteins. Prog. Biophys. Mol. Biol. 2001, 76, 1–102. [Google Scholar] [CrossRef]
- Hollingsworth, S.A.; Karplus, P.A. A fresh look at the Ramachandran plot and the occurrence of standard structures in proteins. Biomol. Concepts 2010, 1, 271–283. [Google Scholar] [CrossRef]
- Haddad, Y.; Adam, V.; Heger, Z. Rotamer Dynamics: Analysis of Rotamers in Molecular Dynamics Simulations of Proteins. Biophys. J. 2019, 116, 2062–2072. [Google Scholar] [CrossRef]
- Doytchinova, I.A.; Flower, D.R. VaxiJen: A server for prediction of protective antigens, tumour antigens and subunit vaccines. BMC Bioinform. 2007, 8, 4. [Google Scholar] [CrossRef]
- Grote, A.; Hiller, K.; Scheer, M.; Münch, R.; Nörtemann, B.; Hempel, D.C.; Jahn, D. JCat: A novel tool to adapt codon usage of a target gene to its potential expression host. Nucleic Acids Res. 2005, 33, W526–W531. [Google Scholar] [CrossRef]
- Rapin, N.; Lund, O.; Castiglione, F. Immune System Simulation Online. Bioinformatics 2011, 27, 2013–2014. [Google Scholar] [CrossRef]
- Castiglione, F.; Bernaschi, M. C-immsim: Playing with the immune response. In Proceedings of the Sixteenth International Symposium on Mathematical Theory of Networks and Systems (MTNS2004), Leuven, Belgium, 5–9 July 2004. [Google Scholar]
- Sambrook, J.; Russell, D.W. Molecular Cloning: A Laboratory Manual, 3rd ed.; Cold Spring Harbor Press: New York, NY, USA, 2001. [Google Scholar]
- Valderrama, K.; Saravia, M.; Santander, J. Phenotype of Aeromonas salmonicida sp. salmonicida cyclic adenosine 3′,5′-monophosphate receptor protein (Crp) mutants and its virulence in rainbow trout (Oncorhynchus mykiss). J. Fish Dis. 2017, 40, 1849–1856. [Google Scholar] [CrossRef] [PubMed]
- Vasquez, I.; Cao, T.; Chakraborty, S.; Gnanagobal, H.; O’Brien, N.; Monk, J.; Boyce, D.; Westcott, J.D.; Santander, J. Comparative genomics analysis of Vibrio anguillarum isolated from lumpfish (Cyclopterus lumpus) in newfoundland reveal novel chromosomal organizations. Microorganisms 2020, 8, 1666. [Google Scholar] [CrossRef] [PubMed]
- Almarza, O.; Valderrama, K.; Ayala, M.; Segovia, C.; Santander, J.; Santander, J. A functional ferric uptake regulator (Fur) protein in the fish pathogen Piscirickettsia salmonis. Int. Microbiol. 2016, 19, 49–55. [Google Scholar] [CrossRef] [PubMed]
- Nerland, A.; Høgh, B.; Olsen, B.; Jensen, H. Aeromonas salmonicida ssp. salmonicida requires exogenous arginine and methionine for growth. J. Fish Dis. 1993, 16, 605–608. [Google Scholar] [CrossRef]
- Chakraborty, S.; Cao, T.; Hossain, A.; Gnanagobal, H.; Vasquez, I.; Boyce, D.; Santander, J. Vibrogen-2 vaccine trial in lumpfish (Cyclopterus lumpus) against Vibrio anguillarum. J. Fish Dis. 2019, 42, 1057–1064. [Google Scholar] [CrossRef]
- Hnasko, R. ELISA: Methods and Protocols; Humana Press: New York, NY, USA, 2015. [Google Scholar]
- Bolleddula, J.; Brady, K.; Bruin, G.; Lee, A.; Martin, J.A.; Walles, M.; Xu, K.; Yang, T.-Y.; Zhu, X.; Yu, H. Absorption, Distribution, Metabolism, and Excretion of Therapeutic Proteins: Current Industry Practices and Future Perspectives. Drug Metab. Dispos. 2022, 50, 837–845. [Google Scholar] [CrossRef]
- Tibbitts, J.; Canter, D.; Graff, R.; Smith, A.; Khawli, L.A. Key factors influencing ADME properties of therapeutic proteins: A need for ADME characterization in drug discovery and development. MAbs 2016, 8, 229–245. [Google Scholar] [CrossRef]
- Schwartz, R.; Ting, C.S.; King, J. Whole proteome pI values correlate with subcellular localizations of proteins for organisms within the three domains of life. Genome Res. 2001, 11, 703–709. [Google Scholar] [CrossRef]
- Arakawa, T.; Timasheff, S.N. Theory of protein solubility. Methods Enzym. 1985, 114, 49–77. [Google Scholar] [CrossRef]
- Magdeldin, S.; Yoshida, Y.; Li, H.; Maeda, Y.; Yokoyama, M.; Enany, S.; Zhang, Y.; Xu, B.; Fujinaka, H.; Yaoita, E.; et al. Murine colon proteome and characterization of the protein pathways. BioData Min. 2012, 5, 11. [Google Scholar] [CrossRef]
- Ikai, A. Thermostability and aliphatic index of globular proteins. J. Biochem 1980, 88, 1895–1898. [Google Scholar] [PubMed]
- Meuzelaar, H.; Vreede, J.; Woutersen, S. Influence of Glu/Arg, Asp/Arg, and Glu/Lys Salt Bridges on α-Helical Stability and Folding Kinetics. Biophys. J. 2016, 110, 2328–2341. [Google Scholar] [CrossRef] [PubMed]
- Davis, I.W.; Leaver-Fay, A.; Chen, V.B.; Block, J.N.; Kapral, G.J.; Wang, X.; Murray, L.W.; Arendall, W.B., 3rd; Snoeyink, J.; Richardson, J.S.; et al. MolProbity: All-atom contacts and structure validation for proteins and nucleic acids. Nucleic Acids Res. 2007, 35, W375–W383. [Google Scholar] [CrossRef] [PubMed]
- Rare Codon Analysis Tool. Available online: https://www.genscript.com/tools/rare-codon-analysis (accessed on 2 October 2021).
- Jain, R.; Jain, A.; Mauro, E.; LeShane, K.; Densmore, D. ICOR: Improving codon optimization with recurrent neural networks. BMC Bioinform. 2023, 24, 132. [Google Scholar] [CrossRef]
- Deng, X.; Gujjar, R.; El Mazouni, F.; Kaminsky, W.; Malmquist, N.A.; Goldsmith, E.J.; Rathod, P.K.; Phillips, M.A. Structural plasticity of malaria dihydroorotate dehydrogenase allows selective binding of diverse chemical scaffolds. J. Biol. Chem. 2009, 284, 26999–27009. [Google Scholar] [CrossRef]
- Sato, D.; Hartuti, E.D.; Inaoka, D.K.; Sakura, T.; Amalia, E.; Nagahama, M.; Yoshioka, Y.; Tsuji, N.; Nozaki, T.; Kita, K.; et al. Structural and Biochemical Features of Eimeria tenella Dihydroorotate Dehydrogenase, a Potential Drug Target. Genes 2020, 11, 1468. [Google Scholar] [CrossRef]
- Liu, S.; Neidhardt, E.A.; Grossman, T.H.; Ocain, T.; Clardy, J. Structures of human dihydroorotate dehydrogenase in complex with antiproliferative agents. Structure 2000, 8, 25–33. [Google Scholar] [CrossRef]
- Munier-Lehmann, H.; Vidalain, P.O.; Tangy, F.; Janin, Y.L. On dihydroorotate dehydrogenases and their inhibitors and uses. J. Med. Chem. 2013, 56, 3148–3167. [Google Scholar] [CrossRef]
- Unajak, S.; Pumchan, A.; Roytrakul, S.; Sawatdichaikul, O.; Areechon, N. Novel Vaccine Development for Fish Culture Based on the Multiepitope Concept. Methods Mol. Biol. 2022, 2411, 219–240. [Google Scholar] [CrossRef]
- Fágáin, C.O. Understanding and increasing protein stability. Biochim. Biophys. Acta 1995, 1252, 1–14. [Google Scholar] [CrossRef]
- Kishore, D.; Kundu, S.; Kayastha, A.M. Thermal, chemical and pH induced denaturation of a multimeric β-galactosidase reveals multiple unfolding pathways. PLoS ONE 2012, 7, e50380. [Google Scholar] [CrossRef] [PubMed]
- Scheiblhofer, S.; Laimer, J.; Machado, Y.; Weiss, R.; Thalhamer, J. Influence of protein fold stability on immunogenicity and its implications for vaccine design. Expert Rev. Vaccines 2017, 16, 479–489. [Google Scholar] [CrossRef] [PubMed]
- McLellan, J.S.; Chen, M.; Joyce, M.G.; Sastry, M.; Stewart-Jones, G.B.; Yang, Y.; Zhang, B.; Chen, L.; Srivatsan, S.; Zheng, A.; et al. Structure-based design of a fusion glycoprotein vaccine for respiratory syncytial virus. Science 2013, 342, 592–598. [Google Scholar] [CrossRef] [PubMed]
- Kim, S.C.; Sekhon, S.S.; Shin, W.R.; Ahn, G.; Cho, B.K.; Ahn, J.Y.; Kim, Y.H. Modifications of mRNA vaccine structural elements for improving mRNA stability and translation efficiency. Mol. Cell. Toxicol. 2022, 18, 1–8. [Google Scholar] [CrossRef] [PubMed]
- Kudla, G.; Lipinski, L.; Caffin, F.; Helwak, A.; Zylicz, M. High Guanine and Cytosine Content Increases mRNA Levels in Mammalian Cells. PLoS Biol. 2006, 4, e180. [Google Scholar] [CrossRef]
- Gustafsson, C.; Govindarajan, S.; Minshull, J. Codon bias and heterologous protein expression. Trends Biotechnol. 2004, 22, 346–353. [Google Scholar] [CrossRef]
- Morla, S.; Makhija, A.; Kumar, S. Synonymous codon usage pattern in glycoprotein gene of rabies virus. Gene 2016, 584, 1–6. [Google Scholar] [CrossRef]
- Ali, M.; Pandey, R.K.; Khatoon, N.; Narula, A.; Mishra, A.; Prajapati, V.K. Exploring dengue genome to construct a multi-epitope based subunit vaccine by utilizing immunoinformatics approach to battle against dengue infection. Sci. Rep. 2017, 7, 9232. [Google Scholar] [CrossRef]
- Chauhan, V.; Rungta, T.; Goyal, K.; Singh, M.P. Designing a multi-epitope based vaccine to combat Kaposi Sarcoma utilizing immunoinformatics approach. Sci. Rep. 2019, 9, 2517. [Google Scholar] [CrossRef]
- Shey, R.A.; Ghogomu, S.M.; Esoh, K.K.; Nebangwa, N.D.; Shintouo, C.M.; Nongley, N.F.; Asa, B.F.; Ngale, F.N.; Vanhamme, L.; Souopgui, J. In-silico design of a multi-epitope vaccine candidate against onchocerciasis and related filarial diseases. Sci. Rep. 2019, 9, 4409. [Google Scholar] [CrossRef]
- Rappuoli, R.; Bottomley, M.J.; D’Oro, U.; Finco, O.; De Gregorio, E. Reverse vaccinology 2.0: Human immunology instructs vaccine antigen design. J. Exp. Med. 2016, 213, 469–481. [Google Scholar] [CrossRef] [PubMed]
- Ivanova, D.L.; Thompson, S.B.; Klarquist, J.; Harbell, M.G.; Kilgore, A.M.; Lasda, E.L.; Hesselberth, J.R.; Hunter, C.A.; Kedl, R.M. Vaccine adjuvant-elicited CD8(+) T cell immunity is co-dependent on T-bet and FOXO1. Cell Rep. 2023, 42, 112911. [Google Scholar] [CrossRef] [PubMed]
- Pholchamat, S.; Vialle, R.; Luang-In, V.; Phadee, P.; Wang, B.; Wang, T.; Secombes, C.J.; Wangkahart, E. Evaluation of the efficacy of MONTANIDE™ GR01, a new adjuvant for feed-based vaccines, on the immune response and protection against Streptococcus agalactiae in oral vaccinated Nile tilapia (Oreochromis niloticus) under laboratory and on-farm conditions. Fish Shellfish. Immunol. 2024, 149, 109567. [Google Scholar] [CrossRef] [PubMed]
- Schetters, S.T.T.; Jong, W.S.P.; Kruijssen, L.J.W.; van den Berg van Saparoea, H.B.; Engels, S.; Unger, W.W.J.; Houben, D.; den Haan, J.M.M.; Luirink, J.; Kooyk, Y.V. Bacterial inclusion bodies function as vehicles for dendritic cell-mediated T cell responses. Cell. Mol. Immunol. 2020, 17, 415–417. [Google Scholar] [CrossRef]
- Pesarrodona, M.; Jauset, T.; Díaz-Riascos, Z.V.; Sánchez-Chardi, A.; Beaulieu, M.E.; Seras-Franzoso, J.; Sánchez-García, L.; Baltà-Foix, R.; Mancilla, S.; Fernández, Y.; et al. Targeting Antitumoral Proteins to Breast Cancer by Local Administration of Functional Inclusion Bodies. Adv. Sci. 2019, 6, 1900849. [Google Scholar] [CrossRef]
- Torrealba, D.; Parra, D.; Seras-Franzoso, J.; Vallejos-Vidal, E.; Yero, D.; Gibert, I.; Villaverde, A.; Garcia-Fruitós, E.; Roher, N. Nanostructured recombinant cytokines: A highly stable alternative to short-lived prophylactics. Biomaterials 2016, 107, 102–114. [Google Scholar] [CrossRef]
- Rinas, U.; Garcia-Fruitós, E.; Corchero, J.L.; Vázquez, E.; Seras-Franzoso, J.; Villaverde, A. Bacterial Inclusion Bodies: Discovering Their Better Half. Trends Biochem. Sci. 2017, 42, 726–737. [Google Scholar] [CrossRef]
- de Groot, N.S.; Espargaró, A.; Morell, M.; Ventura, S. Studies on bacterial inclusion bodies. Future Microbiol. 2008, 3, 423–435. [Google Scholar] [CrossRef]
- Rosenberg, A.S. Effects of protein aggregates: An immunologic perspective. AAPS J. 2006, 8, E501–E507. [Google Scholar] [CrossRef]








| Strains/Plasmid | Description | Reference |
|---|---|---|
| J223 | Wild type A. salmonicida | [65] |
| J360 | Wild type V. anguillarum | [66] |
| J297 | P. salmonis LF-89 | (ATCC VR-1361) |
| BL21 | E. coli BL21 Star™ (DE3) | |
| pEZ317 | Plasmid vector pET30a (+) with the multi-epitope chimeral vaccine insert. | This study |
| Antigens | Epitopes | No of Residues/aa |
|---|---|---|
| Common antigens and epitopes | ||
| LPS assembly protein LptD | PYYLNLAPNYD | 11 |
| Outer membrane protein assembly factor BamA | IEGLQRL | 7 |
| TonB-dependent siderophore receptor | EKIDVRGGAAVQYG | 15 |
| Flagellar hook assembly protein FlgD | WDGNDQNGN | 9 |
| Flagellar basal-body rod protein FlgG | LLTQLAQQDP ALQASALVG | 10 9 |
| Specific toxins/virulent factors | ||
| Hemolysin (Vibrio anguillarum) | DGVYNYDTGLLFTYD | 192–206 |
| Siderophore amonabactin (Aeromonas salmonicida) | LQPGVFRLNPILLSL | 3–17 |
| SSAMIIDGTLHYSYF | 62–76 | |
| M23 family metallopeptidase (Moritella viscosa) | HSKLFNIYFLIFSLI | 14–28 |
| M4 family metallopeptidase (Piscirickettsia salmonis) | GSGVFNKAFYLLSQQ | 515–529 |
| Properties | Epitopes |
|---|---|
| Amino acid composition | >GDPYYLNLAPNYDLLDIEGLQRLLGLLPRARFQDSDMLEVRVLGHKFRNPVGIAAGFDKHGMGFGFVEIGSVTPKPQEGNPRPRVFRLPEDQAVINRYGFNSEKIDVRGGAAVQYGTEDGLPLGVNLGKNKTSVDWDGNDQNGNADYLVVNVSSPNTAGLLTQLAQQDPAAYALQASALVGVHRPAVLVKIAPDLTSQDDGVYNYDTGLLFTYDGIDGLIVTNTTVSRPAGLQGALRSETGGLSGLQPGVFRLNPILLSLAAYSSAMIIDGTLHYSYFQGRVPIIGVGGVSSHSKLFNIYFLIFSLIASLVGSGVFNKAFYLLSQQFGGVTDAIGADHRR |
| Number of amino acids | 340 |
| Antigenic probability | 0.6139 |
| Molecular weight | 36,478.27 |
| Theoretical pI | 5.67 |
| Estimated half-life | 30 h (mammalian reticulocytes, in vitro) >20 h (yeast, in vivo) >10 h (E. coli, in vivo) |
| Instability index | The instability index (II) is computed to be 38.61. This classifies the protein as stable. |
| Grand average of hydropathicity (GRAVY) | −0.013 |
| Aliphatic Index | 98.06 |
| Extinction coefficient | 27,850, extinction coefficients are in units of M−1 cm−1, at 280 nm measured in water. |
| Total number of negatively charged residues (Asp + Glu) | 31 |
| Total number of positively charged residues (Arg + Lys) | 26 |
| Codon Optimization | |
|---|---|
| Nucleotides | GGAGATCCCTACTATTTAAATCTAGCTCCAAACTATGATCTGCTTGACATCGAGGGTCTACAACGTTTGCTGGGCCTCCTTCCGCGCGCACGTTTTCAGGACAGCGATATGCTGGAAGTTCGTGTGCTGGGTCATAAGTTTCGCAATCCGGTGGGCATCGCTGCCGGCTTCGATAAACATGGTATGGGTTTCGGTTTTGTTGAAATCGGGTCTGTTACGCCGAAACCGCAAGAGGGCAACCCACGTCCGCGTGTGTTCCGCCTGCCGGAAGACCAGGCAGTTATTAACCGTTATGGTTTTAACAGCGAAAAGATCGACGTTCGTGGTGGTGCTGCGGTTCAGTACGGCACTGAGGATGGTTTGCCGTTGGGTGTGAACCTGGGCAAAAACAAGACCTCCGTTGATTGGGATGGTAACGATCAGAATGGTAACGCCGACTACCTGGTCGTGAATGTTAGCAGCCCGAATACCGCAGGCTTGCTGACCCAGCTGGCGCAGCAGGATCCGGCGGCGTACGCCCTGCAAGCGAGCGCCCTGGTTGGCGTGCACCGCCCAGCGGTGCTGGTGAAAATCGCACCGGATCTGACGCTCAGGACGACGGCGTGTATAACTACGACACCGGTTTACTGTTCACCTATGACGGCATCGACGGCTTGATTGTTACGAACACCACCGTTTCTCGTCCGGCGGGTTTGCAAGGTGCGCTGCGTTCCGAGACTGGCGGTCTGTCCGGTTTACAACCGGGTGTTTTCCGCTTGAATCCGATTCTGCTGAGCTTGGCTGCGTACTCCAGCGCTATGATCATCGACGGCACCCTGCATTATAGCTACTTCCAGGGCCGTGTGCCTATTATTGGCGTAGGTGGCGTCTCAAGCCACAGCAAACTGTTCAATATTTATTTCCTGATCTTTAGCTTAATTGCGTCTCTGGTGGGTAGCGGTGTCTTCAACAAGGCGTTTTACCTGTTGTCGCAACAATTTGGTGGCGTCACCGACGCGATCGGCGCAGACCACCGTAGA |
| Number of nucleotides | 1259 |
| GC content | 54.61% |
| The Codon Adaptation Index (CAI) | 1 |
Disclaimer/Publisher’s Note: The statements, opinions and data contained in all publications are solely those of the individual author(s) and contributor(s) and not of MDPI and/or the editor(s). MDPI and/or the editor(s) disclaim responsibility for any injury to people or property resulting from any ideas, methods, instructions or products referred to in the content. |
© 2026 by the authors. Licensee MDPI, Basel, Switzerland. This article is an open access article distributed under the terms and conditions of the Creative Commons Attribution (CC BY) license.
Share and Cite
Chukwu-Osazuwa, J.; Cao, T.; Vasquez, I.; Gnanagobal, H.; Hossain, A.; Onireti, O.; Chakraborty, S.; Machimbirike, V.I.; Santander, J. Design, Construction, and Efficacy of a Novel Multiepitope Chimeric Vaccine Against Lumpfish (Cyclopterus lumpus) Infection. Fishes 2026, 11, 83. https://doi.org/10.3390/fishes11020083
Chukwu-Osazuwa J, Cao T, Vasquez I, Gnanagobal H, Hossain A, Onireti O, Chakraborty S, Machimbirike VI, Santander J. Design, Construction, and Efficacy of a Novel Multiepitope Chimeric Vaccine Against Lumpfish (Cyclopterus lumpus) Infection. Fishes. 2026; 11(2):83. https://doi.org/10.3390/fishes11020083
Chicago/Turabian StyleChukwu-Osazuwa, Joy, Trung Cao, Ignacio Vasquez, Hajarooba Gnanagobal, Ahmed Hossain, Oluwatoyin Onireti, Setu Chakraborty, Vimbai Irene Machimbirike, and Javier Santander. 2026. "Design, Construction, and Efficacy of a Novel Multiepitope Chimeric Vaccine Against Lumpfish (Cyclopterus lumpus) Infection" Fishes 11, no. 2: 83. https://doi.org/10.3390/fishes11020083
APA StyleChukwu-Osazuwa, J., Cao, T., Vasquez, I., Gnanagobal, H., Hossain, A., Onireti, O., Chakraborty, S., Machimbirike, V. I., & Santander, J. (2026). Design, Construction, and Efficacy of a Novel Multiepitope Chimeric Vaccine Against Lumpfish (Cyclopterus lumpus) Infection. Fishes, 11(2), 83. https://doi.org/10.3390/fishes11020083

