Glycosylation on the Antifreeze and Antioxidant Capacities of Tilapia Gelatin Hydrolysates
Abstract
1. Introduction
2. Materials and Methods
2.1. Materials and Chemicals
2.2. Preparation of Glycosylated Fish Gelatin Hydrolysate (GH)
2.3. Degree of Conjugation (DC)
2.4. Ultraviolet (UV)–Visible Spectra
2.5. Fourier Transform Infrared (FTIR) Spectra
2.6. Intrinsic Fluorescence Spectra
2.7. Determination of Antifreeze Activity
2.7.1. Catalase Freezing Protection Ability
2.7.2. Preparation and Freeze–Thaw Treatment of Minced Shrimp and Minced Shrimp Gel
2.7.3. Determination of Turbidity
2.7.4. Intrinsic Fluorescence Spectra
2.7.5. SDS-Polyacrylamide Gel Electrophoresis (SDS-PAGE) Analysis
2.8. Determination of Antioxidant Activity
2.8.1. DPPH Scavenging Activity
2.8.2. Hydroxyl Radicals Scavenging Activity
2.8.3. Superoxide Anion Radical Scavenging Activity
2.8.4. Ferric Reducing Antioxidant Power (FRAP)
2.8.5. Fe2+ Chelating Activity
2.9. Identification of Glycosylation Sites by Mass Spectrometry
2.10. Statistical Analysis
3. Results and Discussion
3.1. Glycosylation Degrees (DGs)
3.2. UV–Visible Spectra Analysis
3.3. FTIR Spectra Analysis
3.4. Intrinsic Fluorescence Spectra Analysis
3.5. Antifreeze Activity Analysis
3.5.1. Catalase Activity
3.5.2. Effect of Glycosylated GH on the Frozen Storage Characteristics of Myofibrillar Protein
Turbidity Change
Intrinsic Fluorescence Spectra Analysis
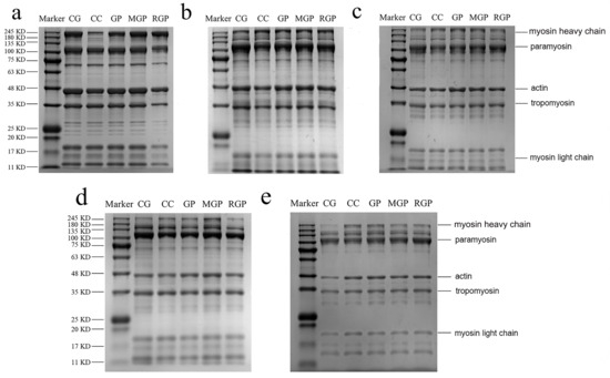
SDS–PAGE Analysis
3.6. Antioxidant Activity Analysis
3.6.1. DPPH Scavenging Ability
3.6.2. Hydroxyl Radicals Scavenging Activity
3.6.3. Superoxide Anion Radical Scavenging Activity
3.6.4. FRAP
3.6.5. Fe2⁺ Chelating Activity
3.7. Glycosylation Site Analysis
4. Conclusions
Author Contributions
Funding
Institutional Review Board Statement
Data Availability Statement
Conflicts of Interest
Abbreviations
| GH | Gelatin hydrolysate |
| RGP | Ribose glycosylation product |
| GGP | Glucose glycosylation product |
| MGP | Maltose glycosylation product |
| DGP | Dextran glycosylation product |
| DC | Degree of conjugation |
| UV | Ultraviolet |
| FTIR | Fourier transform infrared |
| CG | Control group |
| CC | Commercial cryoprotectant |
| GP | Gelatin peptide |
| MGP | Maltose glycosylated peptide |
| RGP | Ribose glycosylated peptide |
| SDS-PAGE | SDS-polyacrylamide gel electrophoresis |
References
- Yu, D.W.; Regenstein, J.M.; Xia, W.S. Bio-based edible coatings for the preservation of fishery products: A Review. Crit. Rev. Food Sci. Nutr. 2019, 59, 2481–2493. [Google Scholar] [CrossRef] [PubMed]
- Dalvi-Isfahan, M.; Hamdami, N.; Le-Bail, A. Effect of freezing under electrostatic field on the quality of lamb meat. Innov. Food Sci. Emerg. Technol. 2016, 37, 68–73. [Google Scholar] [CrossRef]
- Du, X.; Li, H.J.; Dong, C.H.; Ren, Y.M.; Pan, N.; Kong, B.H.; Liu, H.Y.; Xia, X.F. Effect of ice structuring protein on the microstructure and myofibrillar protein structure of mirror carp (Cyprinus carpio L.) induced by freeze-thaw processes. LWT 2021, 139, 110570. [Google Scholar] [CrossRef]
- Ling, M.P.; Huang, J.D.; Hsiao, H.A.; Chang, Y.W.; Kao, Y.T. Risk Assessment of the Dietary Phosphate Exposure in Taiwan Population Using a Total Diet Study. Foods 2020, 9, 1574. [Google Scholar] [CrossRef]
- Damodaran, S.; Wang, S. Ice crystal growth inhibition by peptides from fish gelatin hydrolysate. Food Hydrocoll. 2017, 70, 46–56. [Google Scholar] [CrossRef]
- Nikoo, M.; Benjakul, S.; Xu, X. Antioxidant and cryoprotective effects of Amur sturgeon skin gelatin hydrolysate in unwashed fish mince. Food Chem. 2015, 181, 295–303. [Google Scholar] [CrossRef]
- Bashir, K.M.I.; Sohn, J.H.; Kim, J.S.; Choi, J.S. Identification and characterization of novel antioxidant peptides from mackerel (Scomber japonicus) muscle protein hydrolysates. Food Chem. 2020, 323, 126809. [Google Scholar] [CrossRef]
- Karnjanapratum, S.; Benjakul, S. Cryoprotective and antioxidative effects of gelatin hydrolysate from unicorn leatherjacket skin. Int. J. Refrig. 2015, 49, 69–78. [Google Scholar] [CrossRef]
- Némethy, G.; Scheraga, H.A. The structure of water and hydrophobic bonding in proteins. III. The thermodynamic properties of hydrophobic bonds in proteins1,2. J. Phys. Chem. 1962, 66, 1773–1789. [Google Scholar] [CrossRef]
- Liu, J.Y.; Shen, S.Y.; Xiao, N.Y.; Jiang, Q.Q.; Shi, W.Z. Effect of glycation on physicochemical properties and volatile flavor characteristics of silver carp mince. Food Chem. 2022, 386, 132741. [Google Scholar] [CrossRef]
- Ding, R.; Valicka, E.; Akhtar, M.; Ettelaie, R. Insignificant impact of the presence of lactose impurity on formation and colloid stabilising properties of whey protein–maltodextrin conjugates prepared via Maillard reactions. Food Struct. 2017, 12, 43–53. [Google Scholar] [CrossRef]
- Yu, B.B.; Wu, W.; Wang, B.; Zhang, N.; Bak, K.H.; Soladoye, O.P.; Aluko, R.E.; Zhang, Y.H.; Fu, Y. Maillard-reacted peptides from glucosamine-induced glycation exhibit a pronounced salt taste-enhancing effect. Food Chem. 2022, 374, 131776. [Google Scholar] [CrossRef]
- Wang, K.; Li, W.C.; Wang, K.; Hu, Z.Y.; Xiao, H.; Du, B.; Zhao, L. Structural and inflammatory characteristics of Maillard reaction products from litchi thaumatin-like protein and fructose. Food Chem. 2022, 374, 131821. [Google Scholar] [CrossRef]
- Cen, S.J.; Zhang, L.Y.; Liu, L.W.; Lou, Q.M.; Wang, C.C.; Huang, T. Phosphorylation modification on functional and structural properties of fish gelatin: The effects of phosphate contents. Food Chem. 2022, 380, 132209. [Google Scholar] [CrossRef]
- Shikama, K.; Yamazaki, T. Denaturation of catalase by freezing and thawing. Nature 1961, 190, 83–84. [Google Scholar] [CrossRef]
- Benjakul, S.; Visessanguan, W.; Ishizaki, S.; Tanaka, M. Differences in gelation characteristics of natural actomyosin from two species of bigeye snapper, Priacanthus tayenus and Priacanthus macracanthus. J. Food Sci. 2001, 66, 1311–1318. [Google Scholar] [CrossRef]
- Shi, J.; Lei, Y.T.; Shen, H.X.; Hong, H.; Yu, X.P.; Zhu, B.W.; Luo, Y.K. Effect of glazing and rosemary (Rosmarinus officinalis) extract on preservation of mud shrimp (Solenocera melantho) during frozen storage. Food Chem. 2019, 272, 604–612. [Google Scholar] [CrossRef]
- Gu, S.Y.; Wang, Z.J.; Dong, J.L.; Bao, Z.; Zeng, M.M.; He, Z.Y.; Chen, Q.M.; Chen, J. Effect of molecular weight and distribution of bovine bone gelatin on the cross-linking gelation induced by transglutaminase. Int. J. Biol. Macromol. 2025, 294, 139306. [Google Scholar] [CrossRef] [PubMed]
- Tai, Z.G.; Cai, L.; Dai, L.; Dong, L.H.; Wang, M.F.; Yang, Y.B.; Cao, Q.; Ding, Z.T. Antioxidant activity and chemical constituents of edible flower of Sophora viciifolia. Food Chem. 2011, 126, 1648–1654. [Google Scholar] [CrossRef] [PubMed]
- Girgih, A.T.; He, R.; Hasan, F.M.; Udenigwe, C.C.; Gill, T.A.; Aluko, R.E. Evaluation of the in vitro antioxidant properties of a cod (Gadus morhua) protein hydrolysate and peptide fractions. Food Chem. 2015, 173, 652–659. [Google Scholar] [CrossRef] [PubMed]
- Ge, Y.; Duan, Y.F.; Fang, G.Z.; Zhang, Y.; Wang, S. Polysaccharides from fruit calyx of Physalis alkekengi var. francheti: Isolation, purification, structural features and antioxidant activities. Carbohydr. Polym. 2009, 77, 188–193. [Google Scholar] [CrossRef]
- Meneses, N.G.T.; Martins, S.; Teixeira, J.A.; Mussatto, S.I. Influence of extraction solvents on the recovery of antioxidant phenolic compounds from brewer’s spent grains. Sep. Purif. Technol. 2013, 108, 152–158. [Google Scholar] [CrossRef]
- Tang, C.H.; Wang, X.S.; Yang, X.Q. Enzymatic hydrolysis of hemp (Cannabis sativa L.) protein isolate by various proteases and antioxidant properties of the resulting hydrolysates. Food Chem. 2009, 114, 1484–1490. [Google Scholar] [CrossRef]
- Huang, Y.M.; Chen, D.Q.; Shan, L.; Lu, Y.J.; Bai, J.H.; Fu, Y.; Zhou, Y.B.; Su, Y.; Guo, Y.L. The crucial quality marker of Panax ginseng: Glycosylated modified ribonuclease-like storage protein. Int. J. Biol. Macromol. 2024, 282, 136894. [Google Scholar] [CrossRef]
- Li, B.; Bao, Z.; Xu, W.; Chi, Y.J. Influence of glycation extent on the physicochemical and gelling properties of soybean β-conglycinin. Eur. Food Res. Technol. 2015, 240, 399–411. [Google Scholar] [CrossRef]
- Kato, A. Industrial applications of Maillard-type protein-polysaccharide conjugates. Food Sci. Technol. Res. 2002, 8, 193–199. [Google Scholar] [CrossRef]
- Li, Y.; Zhong, F.; Ji, W.; Yokoyama, W.; Shoemaker, C.F.; Zhu, S.; Xia, W.S. Functional properties of Maillard reaction products of rice protein hydrolysates with mono-, oligo- and polysaccharides. Food Hydrocoll. 2013, 30, 53–60. [Google Scholar] [CrossRef]
- Liang, Y.F.; Wang, K.; Yang, Q.F.; Zhang, L.T.; Shi, C.; Tavakoli, S.; Tan, Y.Q.; Luo, Y.K.; Hong, H. The antioxidant activities and flavor properties of glycated bighead carp meat hydrolysates produced with galactose and galacto-oligosaccharides. LWT Food Sci. Technol. 2022, 158, 113104. [Google Scholar] [CrossRef]
- Yu, X.Y.; Zhao, M.Y.; Hu, J.; Zeng, S.T.; Bai, X.L. Correspondence analysis of antioxidant activity and UV-Vis absorbance of Maillard reaction products as related to reactants. LWT Food Sci. Technol. 2012, 46, 1–9. [Google Scholar] [CrossRef]
- Chen, X.; Jiang, D.; Xu, P.P.; Geng, Z.M.; Xiong, G.Y.; Zou, Y.; Wang, D.Y.; Xu, W.M. Structural and antimicrobial properties of Maillard reaction products in chicken liver protein hydrolysate after sonication. Food Chem. 2021, 343, 128417. [Google Scholar] [CrossRef] [PubMed]
- Hong, P.K.; Ndagijimana, M.; Betti, M. Glucosamine-induced glycation of hydrolysed meat proteins in the presence or absence of transglutaminase: Chemical modifications and taste-enhancing activity. Food Chem. 2016, 197, 1143–1152. [Google Scholar] [CrossRef]
- Hong, X.; Meng, J.; Lu, R.-R. Improvement of ACE inhibitory activity of casein hydrolysate by Maillard reaction with xylose. J. Sci. Food Agric. 2015, 95, 66–71. [Google Scholar] [CrossRef] [PubMed]
- Xu, Y.J.; Zhao, Y.Q.; Wei, Z.X.; Zhang, H.; Dong, M.; Huang, M.Y.; Han, M.Y.; Han, M.Y.; Xu, X.L.; Zhou, G.H. Modification of myofibrillar protein via glycation: Physicochemical characterization, rheological behavior and solubility property. Food Hydrocoll. 2020, 105, 105852. [Google Scholar] [CrossRef]
- Jia, X.; Li, L.C.; Teng, J.W.; Li, M.J.; Long, H.; Xia, N. Glycation of rice protein and d-xylose pretreated through hydrothermal cooking-assisted high hydrostatic pressure: Focus on the structural and functional properties. LWT 2022, 160, 113194. [Google Scholar] [CrossRef]
- Gómez-Estaca, J.; Albertos, I.; Martín-Diana, A.B.; Rico, D.; Martínez-Álvarez, Ó. Protein hydrolysis and glycosylation as strategies to produce bioactive ingredients from unmarketable prawns. Foods. 2021, 10, 2844. [Google Scholar] [CrossRef] [PubMed]
- Shan, P.; Ho, C.T.; Zhang, L.; Gao, X.L.; Lin, H.; Xu, T.; Wang, B.; Fu, J.Y.; He, R.H.; Zhang, Y.Q. Degradation Mechanism of Soybean Protein B3 Subunit Catalyzed by Prolyl Endopeptidase from Aspergillus niger during Soy Sauce Fermentation. J. Agric. Food Chem. 2022, 70, 5869–5878. [Google Scholar] [CrossRef] [PubMed]
- Bu, D.; Tu, Z.C.; Wang, H.; Hu, Y.M.; Sun, Q.; Liu, G.X. Insight into the mechanism of d-allose in reducing the allergenicity and digestibility of ultrasound-pretreated α-lactalbumin by high-resolution mass spectrometry. Food Chem. 2022, 374, 131616. [Google Scholar] [CrossRef] [PubMed]
- Sun, L.B.; Wang, D.H.; Huang, Z.; Elfalleh, W.; Qin, L.X.; Yu, D.Y. Structure and flavor characteristics of Maillard reaction products derived from soybean meal hydrolysates-reducing sugars. LWT 2023, 185, 115097. [Google Scholar] [CrossRef]
- Chen, X.; Wang, S.Y. Cryoprotective effect of antifreeze glycopeptide analogues obtained by nonenzymatic glycation on Streptococcus thermophilus and its possible action mechanism. Food Chem. 2019, 288, 239–247. [Google Scholar] [CrossRef] [PubMed]
- Liu, S.C.; Zhang, L.Y.; Li, Z.Y.; Chen, J.; Zhang, Y.Y.; Yang, X.B.; Chen, Q.H.; Cai, H.Y.; Hong, P.Z.; Zhu, C.H.; et al. The cryoprotective effect of an antifreeze collagen peptide complex obtained by enzymatic glycosylation on Tilapia. Foods 2024, 13, 1319. [Google Scholar] [CrossRef]
- Zou, W.J.; Mourad, F.K.; Zhang, X.Y.; Ahn, D.U.; Cai, Z.X.; Jin, Y.G. Phase separation behavior and characterization of ovalbumin and propylene glycol alginate complex coacervates. Food Hydrocoll. 2020, 108, 105978. [Google Scholar] [CrossRef]
- Du, X.; Li, H.J.; Pan, N.; Wan, W.; Sun, F.D.; Xia, X.F.; Shao, M.L.; Wang, C.Y. Effectiveness of ice structuring protein on the myofibrillar protein from mirror carp (Cyprinus carpio L) during cryopreservation: Reduction of aggregation and improvement of emulsifying properties. Int. J. Refrig. 2022, 133, 1–8. [Google Scholar] [CrossRef]
- Li, Y.Y.; Kong, L.R.; Zhang, X.T.; Wen, R.X.; Peng, X.Y. Protection of whey polypeptide on the lipid oxidation, color, and textural stability of frozen-thawed Spanish mackerel surimi. Foods 2023, 12, 4464. [Google Scholar] [CrossRef] [PubMed]
- Walayat, N.; Wei, R.; Su, Z.C.; Lorenzo, J.M.; Nawaz, A. Effect of tea polysaccharides on fluctuated frozen storage impaired total sulfhydryl level and structural attributes of silver carp surimi proteins. Food Hydrocoll. 2024, 157, 110448. [Google Scholar] [CrossRef]
- Walayat, N.; Tang, W.; Nawaz, A.; Ding, Y.T.; Liu, J.H.; Lorenzo, J.M. Influence of Konjac oligo-glucomannan as cryoprotectant on physicochemical and structural properties of silver carp surimi during fluctuated frozen storage. LWT Food Sci. Technol. 2022, 164, 113641. [Google Scholar] [CrossRef]
- Jenkelunas, P.J.; Li-Chan, E.C.Y. Production and assessment of Pacific hake (Merluccius productus) hydrolysates as cryoprotectants for frozen fish mince. Food Chem. 2018, 239, 535–543. [Google Scholar] [CrossRef] [PubMed]
- Yu, Q.Y.; Liu, J.; Liu, Y.Y.; Zheng, Y.Y.; Pi, R.B.; Mubango, E.; Tan, Y.Q.; Luo, Y.K.; Hong, H. Inhibitive effect of cryoprotectants on the oxidative and structural changes in myofibrillar proteins of unwashed mince from silver carp during frozen storage. Food Res. Int. 2022, 161, 111880. [Google Scholar] [CrossRef] [PubMed]
- Sun, X.Y.; Li, Q.; Ding, N.; Liang, S.J.; Mubango, E.; Zheng, Y.Y.; Yu, Q.Y.; Dai, R.T.; Tan, Y.Q.; Luo, Y.K.; et al. Cryoprotective effect of fistular onion stalk polysaccharide on frozen surimi derived from bighead carp: Physicochemical properties and gel quality during storage. Food Hydrocoll. 2024, 148, 109404. [Google Scholar] [CrossRef]
- Xie, F.; Zheng, W.Q.; Fu, T.T.; Zhu, K.X.; Zhang, H.; Song, Z.B.; Ai, L.Z. Cryoprotective effect of tamarind seed polysaccharide on grass carp surimi: Characteristics, interactions, and mechanisms. Food Hydrocoll. 2024, 153, 110022. [Google Scholar] [CrossRef]
- Zhang, X.D.; Zhang, Y.Q.; Dong, Y.; Ding, H.C.; Chen, K.; Lu, T.T.; Dai, Z.Y. Study on the mechanism of protein hydrolysate delaying quality deterioration of frozen surimi. LWT 2022, 167, 113767. [Google Scholar] [CrossRef]
- Li, P.; Yang, H.; Zhu, Y.C.; Wang, Y.; Bai, D.Q.; Dai, R.T.; Ren, X.Q.; Yang, H.S.; Ma, L.Z. Influence of washing and cold storage on lipid and protein oxidation in catfish (Clarias lazera) surimi. J. Aquat. Food Prod. Technol. 2016, 25, 790–801. [Google Scholar] [CrossRef]
- Wang, L.S.; Huang, J.C.; Chen, Y.L.; Huang, M.; Zhou, G.H. Identification and characterization of antioxidant peptides from enzymatic hydrolysates of duck meat. J. Agric. Food Chem. 2015, 63, 3437–3444. [Google Scholar] [CrossRef] [PubMed]
- Han, J.R.; Zhu, Z.M.; Wu, H.T.; Sun, N.; Tang, Y.; Yu, C.P.; Zhao, C.C.; Zhang, Z.Y.; Li, A.T.; Yan, J.N. Kinetics of antioxidant-producing Maillard reaction in the mixture of ribose and sea cucumber (Stichopus japonicus) gut hydrolysates. J. Aquat. Food Prod. Technol. 2017, 26, 993–1002. [Google Scholar] [CrossRef]
- Sumaya-Martinez, M.T.; Thomas, S.; Linard, B.; Binet, A.; Guerard, F. Effect of Maillard reaction conditions on browning and antiradical activity of sugar-tuna stomach hydrolysate model system. Food Res. Int. 2005, 38, 1045–1050. [Google Scholar] [CrossRef]
- Jomova, K.; Raptova, R.; Alomar, S.Y.; Alwasel, S.H.; Nepovimova, E.; Kuca, K.; Valko, M. Reactive oxygen species, toxicity, oxidative stress, and antioxidants: Chronic diseases and aging. Arch. Toxicol. 2023, 97, 2499–2574. [Google Scholar] [CrossRef] [PubMed]
- Nooshkam, M.; Varidi, M.; Bashash, M. The Maillard reaction products as food-born antioxidant and antibrowning agents in model and real food systems. Food Chem. 2019, 275, 644–660. [Google Scholar] [CrossRef] [PubMed]
- Andrés, C.M.C.; Pérez de la Lastra, J.M.; Andrés Juan, C.; Plou, F.J.; Pérez-Lebeña, E. Superoxide anion chemistry: Its role at the core of the innate immunity. Int. J. Mol. Sci. 2023, 24, 1841. [Google Scholar] [CrossRef]
- Van Lancker, F.; Adams, A.; De Kimpe, N. Chemical modifications of peptides and their impact on food properties. Chem. Rev. 2011, 111, 7876–7903. [Google Scholar] [CrossRef] [PubMed]
- Benzie, I.F.F.; Strain, J.J. The ferric reducing ability of plasma (FRAP) as a measure of “antioxidant power”: The FRAP assay. Anal. Biochem. 1996, 239, 70–76. [Google Scholar] [CrossRef]
- Wang, W.Q.; Bao, Y.H.; Chen, Y. Characteristics and antioxidant activity of water-soluble Mail lard reaction products from interactions in a whey protein isolate and sugars system. Food Chem. 2013, 139, 355–361. [Google Scholar] [CrossRef] [PubMed]
- Kim, J.S.; Lee, Y.S. Antioxidant activity of Maillard reaction products derived from aqueous glucose/glycine, diglycine, and triglycine model systems as a function of heating time. Food Chem. 2009, 116, 227–232. [Google Scholar] [CrossRef]
- Tagami, U.; Akashi, S.; Mizukoshi, T.; Suzuki, E.; Hirayama, K. Structural studies of the Maillard reaction products of a protein using ion trap mass spectrometry. J. Mass Spectrom. 2000, 35, 131–138. [Google Scholar] [CrossRef]
- Yang, W.H.; Tu, Z.C.; Wang, H.; Zhang, L.; Xu, S.S.; Niu, C.D.; Yao, H.L.; Kaltashov, I.A. Mechanism of reduction in IgG and IgE binding of β-lactoglobulin induced by ultrasound pretreatment combined with dry-state glycation: A study using conventional spectrometry and high-resolution mass spectrometry. J. Agric. Food Chem. 2017, 65, 8018–8027. [Google Scholar] [CrossRef]






| DPPH Scavenging Activity (%) | Hydroxyl Radicals Scavenging Activity (%) | Superoxide Anion Radical Scavenging Activity (%) | FRAP (mmol Fe2+/g) | Fe2+ Chelating Activity (%) | |
|---|---|---|---|---|---|
| GP | 2.82 ± 0.36 e | 4.73 ± 0.31 d | 21.13 ± 0.65 bc | 9.61 ± 0.6 d | 41.13 ± 2.32 d |
| RGP | 44.38 ± 2.07 a | 65.03 ± 1.45 a | 29.97 ± 3.56 a | 104.08 ± 2.15 a | 71.95 ± 1.05 a |
| GGP | 18.95 ± 0.68 c | 19.69 ± 0.92 b | 22.84 ± 2.63 b | 14.1 ± 0.86 c | 63.11 ± 0.64 b |
| MGP | 30.85 ± 0.66 b | 14.06 ± 1.68 c | 25.92 ± 4.43 ab | 26.49 ± 0.21 b | 52.42 ± 3.57 c |
| DGP | 8.92 ± 1.73 d | 11.44 ± 1.42 c | 17.13 ± 1.94 c | 6.48 ± 0.17 e | 37.28 ± 0.21 e |
| Protein Group Number | Position | Glycosylated Peptide m/z | Δppm | Peptide Fragment Sequence | Modification Sites |
|---|---|---|---|---|---|
| RGP group | |||||
| A0A669BC94 | 593–604 | 822.8625+2 | 7.99 | DGRSFKVCQMER | K6 |
| I3K2P3 | 253–272 | 645.6511+3 | 1.05 | GGAPRGAPSGRGGPPSAPTR | R5 |
| A0A669B1T8 | 605–624 | 1239.5982+2 | 4.84 | RQGWTSVGDLEGCVHYKVVR | R1, R13 |
| G9M6I7 | 1151–1186 | 1190.8953+3 | 8.14 | NGEMGPAGPPGPPGPAGPPGPPGSGFEFVSQPLQEK | K36 |
| A0A668RWL1 | 355–365 | 752.3644+2 | −1.63 | HKSLFQENRGR | K2 |
| A0A668V4B9, G9M6I6 | 339–356 | 872.4196+2 | −13.93 | GPTGEIGATGLAGARGAR | R15 |
| G9M6I7 | 1122–1132 | 530.7298+2 | 3.75 | GPSGSNGAPGK | K11 |
| I3K2P3 | 40–59 | 794.7065+3 | −0.88 | DSLDSSFTHAMKLISAEIER | K12 |
| A0A668RWL1 | 116–148 | 828.3867+5 | −13.25 | LLMSFSGNLSVLTEADQFMVQLVKVPGYEERLK | K24, R31, K33 |
| G9M6I7 | 225–248 | 844.7389+3 | −3.43 | GPAGPQGGRGFPGTPGLPGIKGHR | R9, K21 |
| G9M6I7 | 567–592 | 781.0372+3 | 0.59 | GASGDSGKPGERGATGPAGAVGAPGK | R12 |
| A0A668V4B9, G9M6I6 | 972–1004 | 627.3071+5 | 14.72 | GLRGHPGLQGMPGPSGPPGDTGAAGAHGPSGPR | R3 |
| G9M6I7 | 1367–1385 | 1087.5378+2 | 2.67 | ALLLQGSNDVEIRAEGNSR | R13 |
| GGP group | |||||
| G9M6I7 | 690–713 | 762.0062+3 | −12.74 | GEPGAAGAPGGLGAPGMQGMPGER | R24 |
| A0A668RWL1 | 384–417 | 1026.2341+4 | −0.17 | RQSTASGPNGESSSLESALHNFLSTVPEGLARCR | R1, R32, R34 |
| A0A668S3R5 | 990–1031 | 822.6040+5 | 3.06 | GHRGFTGMQGPPGPPGPSGAAGAPGKDGVSGLPGPTGPPGPR | R3, R42 |
| A0A668S3R5, G9M6I5 | 447–470 | 781.0377+3 | 0.44 | TGEPGLPGAKGMTGSPGNPGPDGK | K10 |
| A0A668V4B9, G9M6I6 | 579–614 | 1104.8659+3 | 5.12 | GEPGPAGVAGAPGHQGAGGMPGERGGAGTPGPKGEK | K36 |
| G9M6I7 | 450–467 | 716.3412+3 | 11.38 | GGRGEPGGAGPRGPPGER | R3, R12, R18 |
| G9M6I6 | 32–72 | 1317.9843+3 | 3.12 | GDRGPPGPNGKDGLPGPPGPAGPPGPPGLGGNFAAQYDGVK | K41 |
| A0A668RWL1 | 446–470 | 760.3846+4 | −0.36 | VTLGQSPHSNQESHKKPFQVQKEDK | K22 |
| G9M6I5 | 172–212 | 791.3828+5 | 14.08 | GPPGPPGSSGPQGFTGPPGEAGEPGSPGPMGPRGPAGPPGK | K41 |
| A0A669B1T8 | 186–218 | 847.0008+5 | 11.34 | TIGRRNTFIGTPYWMAPEVIACDENPEATYDYR | R5, C22, R33 |
| A0A668S3R5, G9M6I5 | 715–753 | 1268.2747+3 | 17.59 | GPPGERGEAGPPGPAGFAGPPGADGQPGAKGEPGDNGAK | K39 |
| A0A669BC94 | 69–84 | 474.9716+4 | −12.02 | RYGGPPPGWDGPPPER | R1 |
| A0A668T9S7 | 56–88 | 1069.5129+4 | 2.34 | AIDWDLEDLSETISIVESNPGKFRLGDNELQER | K22, R24, R33 |
| G9M6I5 | 1093–1125 | 627.3078+5 | 17.41 | GHRGFTGMQGPPGPPGTSGESGPAGAAGPAGPR | R3 |
| A0A669B1T8 | 797–806 | 495.5831+3 | −4.36 | LKFLCERNDK | R7 |
| A0A669B1T8 | 559–579 | 581.5013+5 | −4.91 | RRFQQMDVLEGLNVLITISGK | R1, R2, K21 |
| G9M6I7 | 411–448 | 723.3411+5 | −7.81 | GNNGDPGPSGPKGEPGAKGEPGPAGIQGLPGPSGEEGK | K12 |
| G9M6I7 | 863–890 | 952.4720+3 | 12.65 | VGPPGPAGAGGAPGPGGPTGKDGARGTR | K21, R25, R28 |
| A0A668T9S7 | 207–217 | 718.8540+2 | −2.89 | LEKVSHMTSSR | R11 |
| MGP group | |||||
| A0A668U5S2 | 660–666 | 637.8201+2 | 14.54 | LQVECRK | K7 |
| A0A669BC94 | 228–233 | 513.2894+2 | −0.79 | KLLPGR | R6 |
| A0A668V4B9, G9M6I6 | 621–632 | 939.8905+2 | −10.46 | GPDGNPGRDGPR | R8, R12 |
| G9M6I7 | 884–890 | 537.7505+2 | 2.65 | DGARGTR | R7 |
Disclaimer/Publisher’s Note: The statements, opinions and data contained in all publications are solely those of the individual author(s) and contributor(s) and not of MDPI and/or the editor(s). MDPI and/or the editor(s) disclaim responsibility for any injury to people or property resulting from any ideas, methods, instructions or products referred to in the content. |
© 2025 by the authors. Licensee MDPI, Basel, Switzerland. This article is an open access article distributed under the terms and conditions of the Creative Commons Attribution (CC BY) license (https://creativecommons.org/licenses/by/4.0/).
Share and Cite
Liu, Y.; Tu, Z.; Lu, Q.; Zhan, S.; Jia, R.; Qiao, Z.; Wei, H.; Huang, T. Glycosylation on the Antifreeze and Antioxidant Capacities of Tilapia Gelatin Hydrolysates. Fishes 2025, 10, 65. https://doi.org/10.3390/fishes10020065
Liu Y, Tu Z, Lu Q, Zhan S, Jia R, Qiao Z, Wei H, Huang T. Glycosylation on the Antifreeze and Antioxidant Capacities of Tilapia Gelatin Hydrolysates. Fishes. 2025; 10(2):65. https://doi.org/10.3390/fishes10020065
Chicago/Turabian StyleLiu, Ying, Zongcai Tu, Qiuyu Lu, Shengnan Zhan, Ru Jia, Zhaohui Qiao, Huamao Wei, and Tao Huang. 2025. "Glycosylation on the Antifreeze and Antioxidant Capacities of Tilapia Gelatin Hydrolysates" Fishes 10, no. 2: 65. https://doi.org/10.3390/fishes10020065
APA StyleLiu, Y., Tu, Z., Lu, Q., Zhan, S., Jia, R., Qiao, Z., Wei, H., & Huang, T. (2025). Glycosylation on the Antifreeze and Antioxidant Capacities of Tilapia Gelatin Hydrolysates. Fishes, 10(2), 65. https://doi.org/10.3390/fishes10020065

