Desmoid Tumor Management Challenges: A Case Report and Literature Review on the Watch-and-Wait Approach in Recurrent Thoracic Fibromatosis
Abstract
1. Introduction
2. Case Description
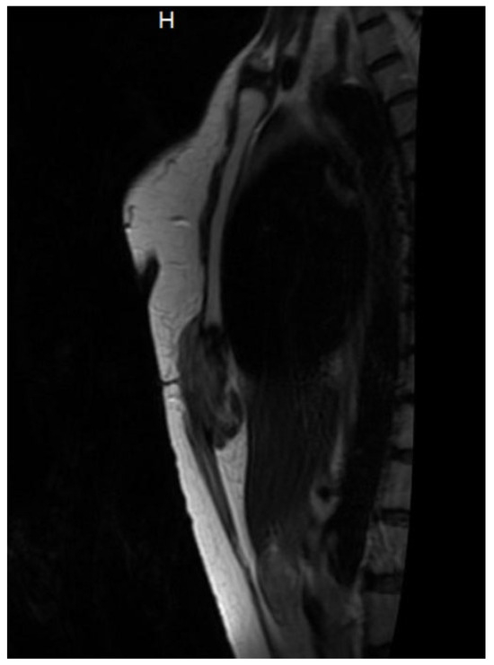
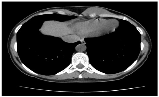
2.1. Initial Diagnostic Workup
2.2. Surgical Intervention and Initial Outcomes
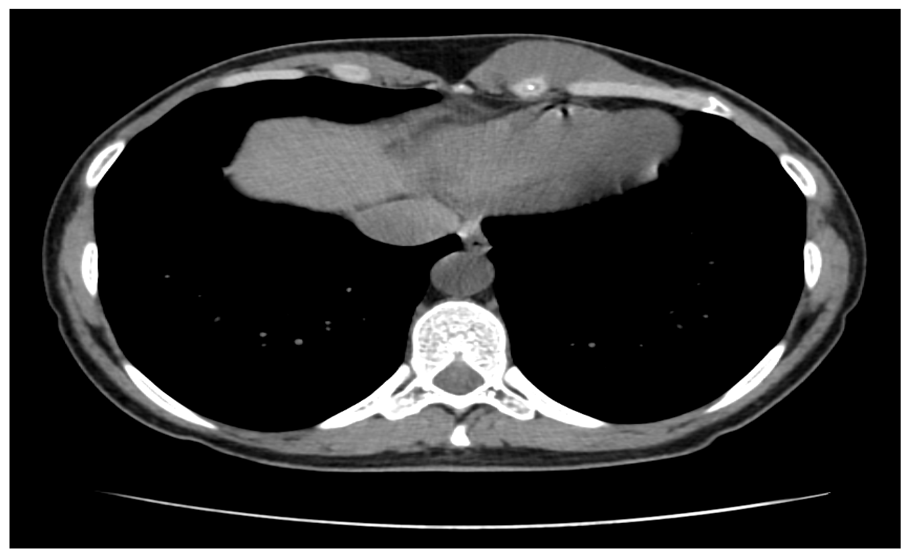
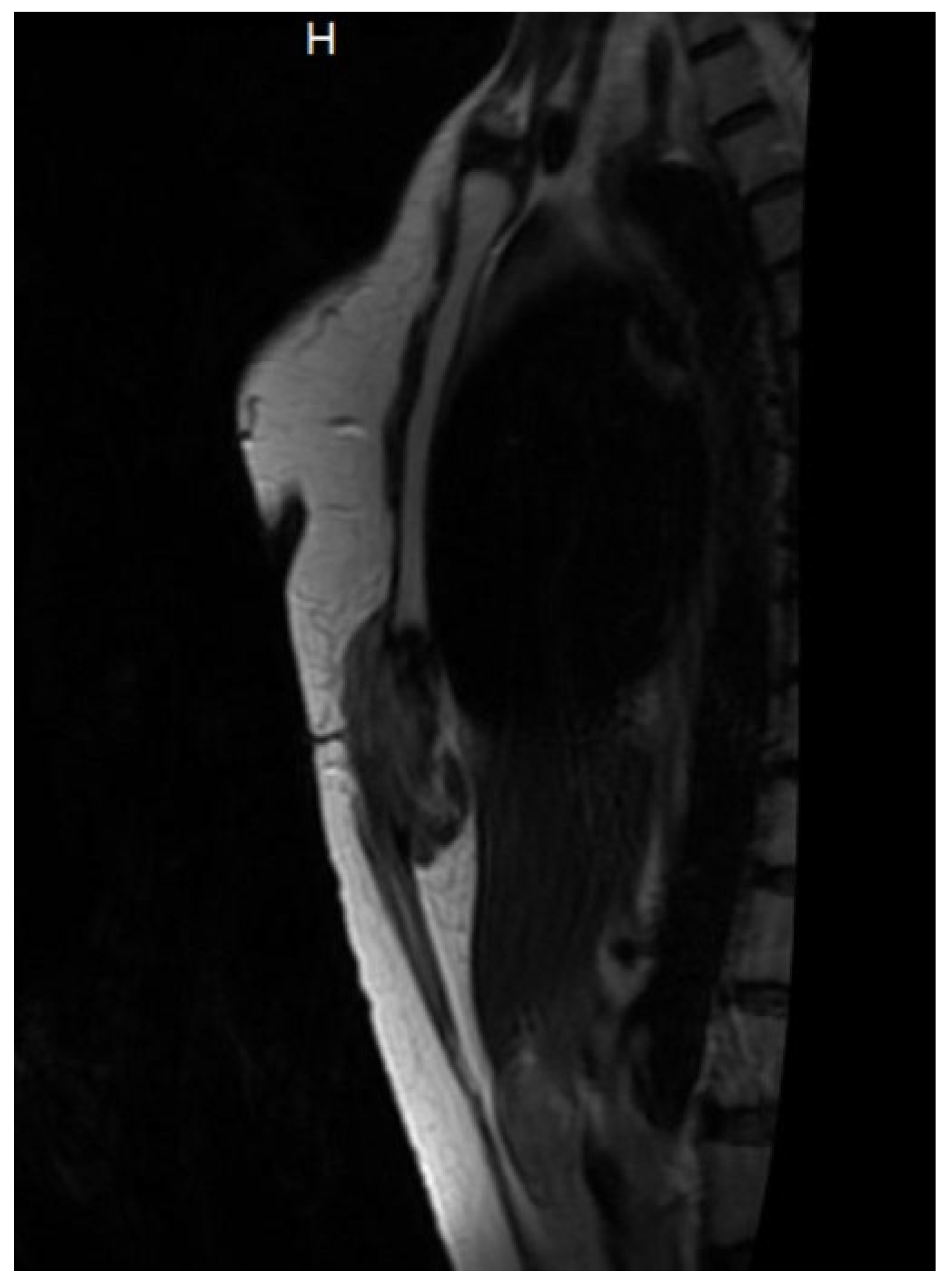
2.3. Tumor Recurrence and Further Management
2.4. Second Surgical Intervention and Postoperative Course
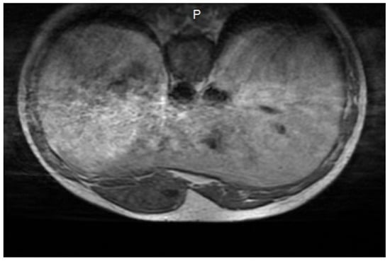
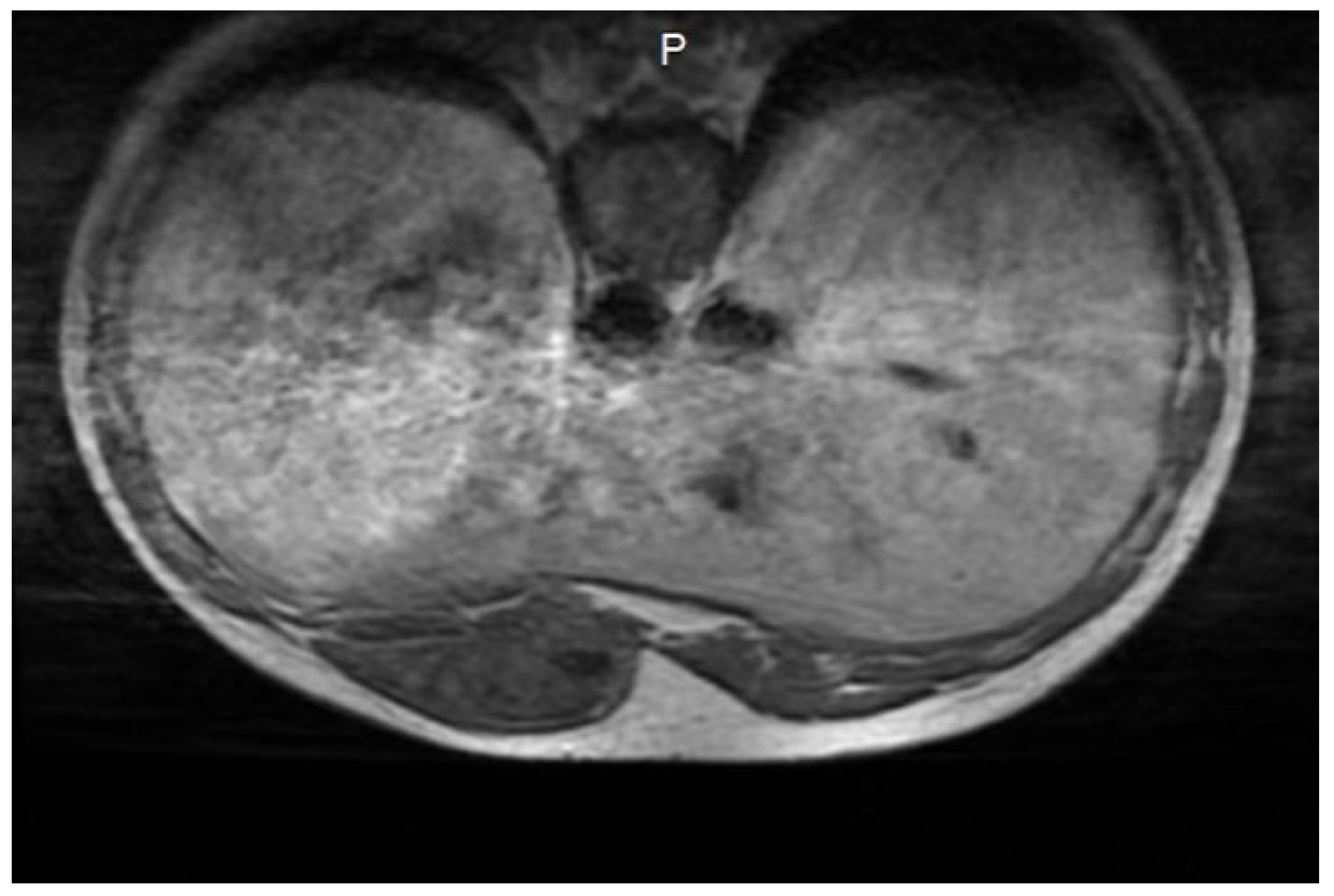
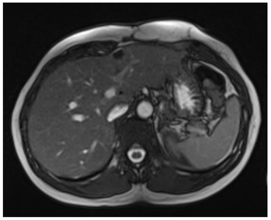
2.5. Long-Term Follow-Up and Disease Progression
- 1.
- A hypertrophic scar on the left thigh (from flap harvesting) (Figure 6A);
- 2.
- A thoraco-abdominal scar from the second surgical resection (Figure 6B).

2.6. Clinical Implications
3. Discussions
3.1. Diagnosis and Imaging Characteristics
3.2. Molecular Aspects and Prognostic Markers
3.3. Management Strategies: Surgery vs. Conservative Approaches
3.4. The Role of Watch-and-Wait in Desmoid Tumors
3.5. Radiotherapy as an Alternative or Adjuvant Treatment
3.6. Systemic Therapy and Locoregional Treatments
3.7. Final Considerations and Clinical Lessons
4. Conclusions
Author Contributions
Funding
Institutional Review Board Statement
Informed Consent Statement
Data Availability Statement
Conflicts of Interest
Correction Statement
Acronyms and Abbreviations
| CIN III | cervical intraepithelial neoplasia |
| AP/LL/CC | antero-posterior/latero-lateral/cranio-caudal |
| CT | contrast tomography |
| MRI | magnetic resonance imaging |
| VEGF | vascular endothelial growth factor |
| APC | adenomatous polyposis coli |
References
- Wang, Z.; Wu, J.; Lv, A.; Tian, X.; Hao, C. En Bloc Resection for Intra-Abdominal/Retroperitoneal Desmoid-Type Fibromatosis with Adjacent Organ Involvement: A Case Series and Literature Review. BioSci. Trends 2018, 12, 620–626. [Google Scholar] [PubMed]
- Merchant, N.B.; Lewis, J.J.; Woodruff, J.M.; Leung, D.H.; Brennan, M.F. Extremity and trunk desmoid tumors: A multifactorial analysis of outcome. Cancer 1999, 86, 2045–2052. [Google Scholar] [PubMed]
- Moore, D.; Burns, L.; Creavin, B.; Ryan, E.; Conlon, K.; Kelly, M.E.; Kavanagh, D. Surgical Management of Abdominal Desmoids: A Systematic Review and Meta-Analysis. Ir. J. Med. Sci. 2023, 192, 549–560. [Google Scholar] [PubMed]
- Kiel, K.D.; Suit, H.D. Radiation Therapy in the Treatment of Aggressive Fibromatoses (Desmoid Tumors); Wiley Subscription Services, Inc.: Hoboken, NJ, USA, 1984. [Google Scholar]
- Kasper, B.; Ströbel, P.; Hohenberger, P. Desmoid tumors: Clinical features and treatment options for advanced disease. Oncologist 2011, 16, 682–693. [Google Scholar] [CrossRef]
- Master, S.R.; Mangla, A.; Shah, C. Desmoid Tumor; StatPearls Publishing: Tampa, FL, USA, 2025. Available online: https://www.ncbi.nlm.nih.gov/books/NBK459231/ (accessed on 15 January 2025).
- Overhaus, M.; Decker, P.; Fischer, H.P.; Textor, H.J.; Hirner, A. Desmoid tumors of the abdominal wall: A case report. World J. Surg. Oncol. 2003, 1, 11. [Google Scholar] [CrossRef]
- Slowik, V.; Attard, T.; Dai, H.; Shah, R.; Septer, S. Desmoid tumors complicating familial adenomatous polyposis: A meta-analysis mutation spectrum of affected individuals. BMC Gastroenterol. 2015, 15, 84. [Google Scholar] [CrossRef]
- Ma, J.H.; Ma, Z.H.; Dong, X.F.; Yin, H.; Zhao, Y.F. Abdominal wall desmoid tumors: A case report. Oncol. Lett. 2013, 5, 1976–1978. [Google Scholar] [CrossRef]
- Ghert, M.; Yao, X.; Corbett, T.; Corbett, T.; Gupta, A.A.; Kandel, A.R. Treatment and follow-up strategies in desmoid tumours: A practice guideline. Curr. Oncol. 2014, 21, e642–e649. [Google Scholar] [CrossRef]
- Zhao, C.X.; Dombrowski, N.D.; Perez-Atayde, A.R.; Robson, C.D.; Afshar, S.; Janeway, K.A.; Rahbar, R. Desmoid tumors of the head and neck in the pediatric population: Has anything changed? Int. J. Pediatr. Otorhinolaryngol. 2021, 140, 110511. [Google Scholar] [CrossRef]
- Huang, P.W.; Tzen, C.Y. Prognostic factors in desmoid-type fibromatosis: A clinicopathological and immunohistochemical analysis of 46 cases. Pathology 2010, 42, 147–150. [Google Scholar] [CrossRef]
- Bektas, M.; Bell, T.; Khan, S.; Tumminello, B.; Fernandez, M.M.; Heyes, C.; Oton, A.B. Desmoid Tumors: A Comprehensive Review. Adv. Ther. 2023, 40, 3697–3722. [Google Scholar] [CrossRef] [PubMed]
- Bonvalot, S.; Eldweny, H.; Haddad, V.; Rimareix, F.; Missenard, G.; Oberlin, O.; Vanel, D.; Terrier, P.; Blay, J.Y.; Le Cesne, A.; et al. Extra-abdominal primary fibromatosis: Aggressive management could be avoided in a subgroup of patients. Eur. J. Surg. Oncol. 2008, 34, 462–468. [Google Scholar] [CrossRef] [PubMed]
- Napolitano, A.; Mazzocca, A.; Ceruso, M.S.; Minelli, A.; Baldo, F.; Badalamenti, G.; Silletta, M.; Santini, D.; Tonini, G.; Incorvaia, L.; et al. Recent Advances in Desmoid Tumor Therapy. Cancers 2020, 12, 2135. [Google Scholar] [CrossRef] [PubMed]
- Baumert, B.G.; Spahr, M.O.; Von Hochstetter, A.; Beauvois, S.; Landmann, C.; Fridrich, K.; Villà, S.; Kirschner, M.J.; Storme, G.; Thum, P.; et al. The Impact of Radiotherapy in the Treatment of Desmoid Tumours. An International Survey of 110 Patients. A Study of the Rare Cancer Network. Radiat. Oncol. 2007, 2, 12. [Google Scholar] [CrossRef]
- Ergen, S.A.; Tiken, E.E.; Oksuz, D.C.; Dincbas, F.O.; Dervisoglu, S.; Mandel, N.M.; Hiz, M.; Koca, S. The Role of Radiotherapy in the Treatment of Primary or Recurrent Desmoid Tumors and Long-Term Results. Balk. Med. J. 2016, 33, 316–321. [Google Scholar] [CrossRef]
- Bonvalot, S.; Desai, A.; Coppola, S.; Péchoux, C.L.; Terrier, P.; Dômont, J.; Cesne, A.L. The Treatment of Desmoid Tumors: A Stepwise Clinical Approach. Ann. Oncol. 2012, 23, x158–x166. [Google Scholar] [CrossRef]
- Guadagnolo, B.A.; Zagars, G.K.; Ballo, M.T. Long-term outcomes for desmoid tumors treated with radiation therapy. Int. J. Radiat. Oncol. Biol. Phys. 2008, 71, 441–447. [Google Scholar] [CrossRef]
- Gega, M.; Yanagi, H.; Yoshikawa, R.; Noda, M.; Ikeuchi, H.; Tsukamoto, K.; Oshima, T.; Fujiwara, Y.; Gondo, N.; Tamura, K.; et al. Successful Chemotherapeutic Modality of Doxorubicin plus Dacarbazine for the Treatment of Desmoid Tumors in Association with Familial Adenomatous Polyposis. J. Clin. Oncol. 2005, 24, 102–105. [Google Scholar] [CrossRef]
- Palassini, E.; Frezza, A.M.; Mariani, L.; Lalli, L.; Colombo, C.; Fiore, M.; Messina, A.; Casale, A.; Morosi, C.; Collini, P.; et al. Long-Term Efficacy of Methotrexate plus Vinblastine/Vinorelbine in a Large Series of Patients Affected by Desmoid-Type Fibromatosis. Cancer J. 2017, 23, 86–91. [Google Scholar] [CrossRef]
- Szucs, Z.; Messiou, C.; Wong, H.H.; Hatcher, H.; Miah, A.; Zaidi, S.; Van Der Graaf, W.T.A.; Judson, I.; Jones, R.L.; Benson, C. Pazopanib, a Promising Option for the Treatment of Aggressive Fibromatosis. Anti-Cancer Drugs 2017, 28, 421–426. [Google Scholar] [CrossRef]
- Auloge, P.; Garnon, J.; Robinson, J.M.; Thenint, M.-A.; Koch, G.; Caudrelier, J.; Weiss, J.; Cazzato, R.L.; Kurtz, J.E.; Gangi, A. Percutaneous Cryoablation for Advanced and Refractory Extra-Abdominal Desmoid Tumors. Int. J. Clin. Oncol. 2021, 26, 1147–1158. [Google Scholar] [CrossRef]








Disclaimer/Publisher’s Note: The statements, opinions and data contained in all publications are solely those of the individual author(s) and contributor(s) and not of MDPI and/or the editor(s). MDPI and/or the editor(s) disclaim responsibility for any injury to people or property resulting from any ideas, methods, instructions or products referred to in the content. |
© 2025 by the authors. Licensee MDPI, Basel, Switzerland. This article is an open access article distributed under the terms and conditions of the Creative Commons Attribution (CC BY) license (https://creativecommons.org/licenses/by/4.0/).
Share and Cite
Perné, M.-G.; Alexescu, T.-G.; Vlad, C.-V.; Milaciu, M.-V.; Leach, N.-V.; Togănel, R.-D.; Petre, G.-E.; Șimon, I.; Zolog, V.; Răzniceanu, V.; et al. Desmoid Tumor Management Challenges: A Case Report and Literature Review on the Watch-and-Wait Approach in Recurrent Thoracic Fibromatosis. J. Mind Med. Sci. 2025, 12, 13. https://doi.org/10.3390/jmms12010013
Perné M-G, Alexescu T-G, Vlad C-V, Milaciu M-V, Leach N-V, Togănel R-D, Petre G-E, Șimon I, Zolog V, Răzniceanu V, et al. Desmoid Tumor Management Challenges: A Case Report and Literature Review on the Watch-and-Wait Approach in Recurrent Thoracic Fibromatosis. Journal of Mind and Medical Sciences. 2025; 12(1):13. https://doi.org/10.3390/jmms12010013
Chicago/Turabian StylePerné, Mirela-Georgiana, Teodora-Gabriela Alexescu, Călin-Vasile Vlad, Mircea-Vasile Milaciu, Nicoleta-Valentina Leach, Răzvan-Dan Togănel, Gabriel-Emil Petre, Ioan Șimon, Vlad Zolog, Vlad Răzniceanu, and et al. 2025. "Desmoid Tumor Management Challenges: A Case Report and Literature Review on the Watch-and-Wait Approach in Recurrent Thoracic Fibromatosis" Journal of Mind and Medical Sciences 12, no. 1: 13. https://doi.org/10.3390/jmms12010013
APA StylePerné, M.-G., Alexescu, T.-G., Vlad, C.-V., Milaciu, M.-V., Leach, N.-V., Togănel, R.-D., Petre, G.-E., Șimon, I., Zolog, V., Răzniceanu, V., Bianca, S., Ciumărnean, L., & Orășan, O.-H. (2025). Desmoid Tumor Management Challenges: A Case Report and Literature Review on the Watch-and-Wait Approach in Recurrent Thoracic Fibromatosis. Journal of Mind and Medical Sciences, 12(1), 13. https://doi.org/10.3390/jmms12010013

