Accuracy of CT-Guided Core-Needle Biopsy in Diagnosis of Thoracic Lesions Suspicious for Primitive Malignancy of the Lung: A Five-Year Retrospective Analysis
Abstract
1. Introduction
2. Materials and Methods
2.1. CT Acquisition Protocol
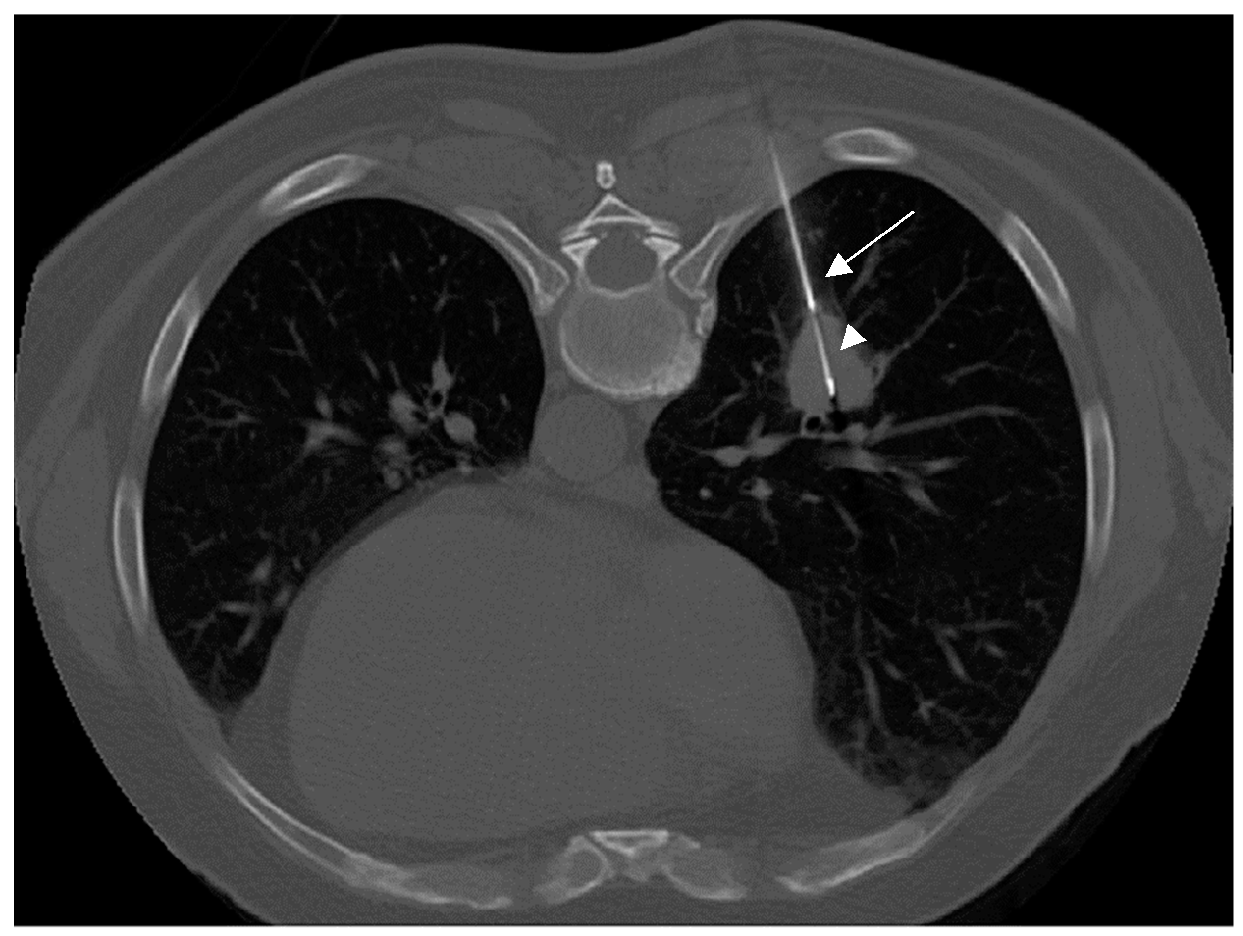
2.2. Biopsy Technique
2.3. Statistical Analysis
3. Results
3.1. Study Population Characteristics
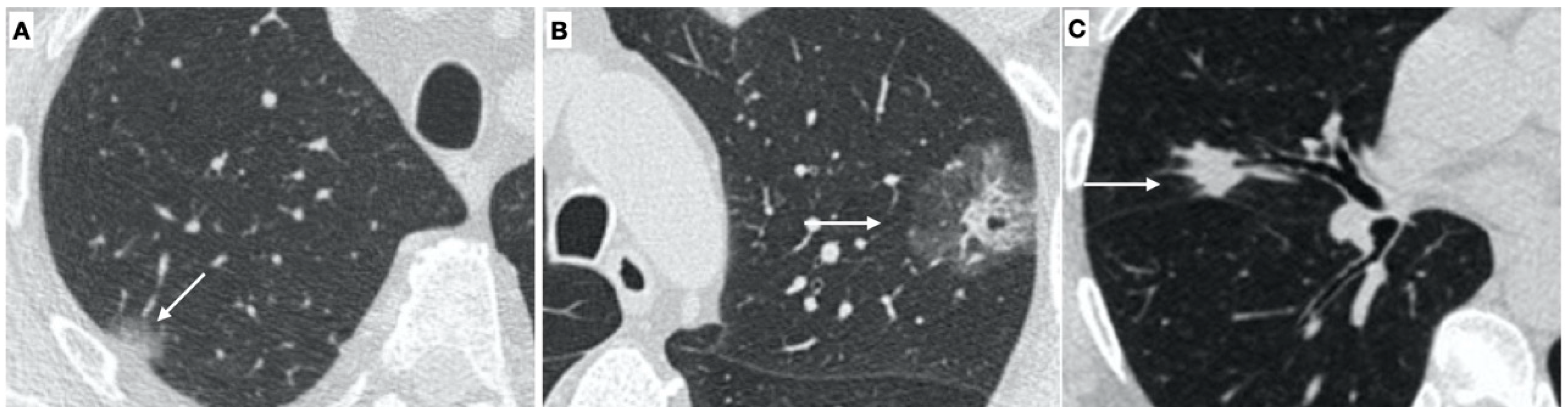
3.2. CT Findings
3.3. Complications
3.4. Microhistological Evidences
3.5. Sensitivity, Predictive Values and Diagnostic Accuracy
4. Discussion
5. Conclusions
Author Contributions
Funding
Institutional Review Board Statement
Informed Consent Statement
Data Availability Statement
Conflicts of Interest
Abbreviations
References
- Bade, B.C.; Dela Cruz, C.S. Lung Cancer 2020: Epidemiology, Etiology, and Prevention. Clin. Chest Med. 2020, 41, 1–24. [Google Scholar] [CrossRef] [PubMed]
- Anderson, W.J.; Doyle, L.A. Updates from the 2020 World Health Organization Classification of Soft Tissue and Bone Tumours. Histopathology 2021, 78, 644–657. [Google Scholar] [CrossRef] [PubMed]
- American Cancer Society. Cancer Facts & Figures 2022; American Cancer Society: Atlanta, GA, USA, 2022. [Google Scholar]
- Bepler, G. Lung cancer epidemiology and genetics. J. Thorac. Imaging 1999, 14, 228–234. [Google Scholar] [CrossRef] [PubMed]
- Baum, R.P.; Świętaszczyk, C.; Prasad, V. FDG-PET/CT in lung cancer: An update. Front. Radiat. Ther. Oncol. 2010, 42, 15–45. [Google Scholar] [CrossRef]
- Rivera, M.P.; Mehta, A.C.; Wahidi, M.M. Establishing the diagnosis of lung cancer: Diagnosis and management of lung cancer, 3rd ed: American College of Chest Physicians evidence-based clinical practice guidelines. Chest 2013, 143 (Suppl. S5), e142S–e165S. [Google Scholar] [CrossRef]
- Libby, D.M.; Smith, J.P.; Altorki, N.K.; Pasmantier, M.W.; Yankelevitz, D.; Henschke, C.I. Managing the small pulmonary nodule discovered by CT. Chest 2004, 125, 1522–1529. [Google Scholar] [CrossRef][Green Version]
- Lorenz, J.M. Updates in percutaneous lung biopsy: New indications, techniques and controversies. Semin. Interv. Radiol. 2012, 29, 319–324. [Google Scholar] [CrossRef][Green Version]
- Gong, Y.; Sneige, N.; Guo, M.; Hicks, M.E.; Moran, C.A. Transthoracic fine-needle aspiration vs concurrent core needle biopsy in diagnosis of intrathoracic lesions: A retrospective comparison of diagnostic accuracy. Am. J. Clin. Pathol. 2006, 125, 438–444. [Google Scholar] [CrossRef]
- Hirsch, F.R.; Wynes, M.W.; Gandara, D.R.; Bunn, P.A., Jr. The tissue is the issue: Personalized medicine for non-small cell lung cancer. Clin. Cancer Res. 2010, 16, 4909–4911. [Google Scholar] [CrossRef]
- Marshall, D.; Laberge, J.M.; Firetag, B.; Miller, T.; Kerlan, R.K. The changing face of percutaneous image-guided biopsy: Molecular profiling and genomic analysis in current practice. J. Vasc. Interv. Radiol. 2013, 24, 1094–1103. [Google Scholar] [CrossRef]
- Chung, C.; Christianson, M. Predictive and prognostic biomarkers with therapeutic targets in breast, colorectal, and non-small cell lung cancers: A systemic review of current development, evidence, and recommendation. J. Oncol. Pharm. Pract. 2014, 20, 11–28. [Google Scholar] [CrossRef]
- Manhire, A.; Charig, M.; Clelland, C.; Gleeson, F.; Miller, R.; Moss, H.; Pointon, K.; Richardson, C.; Sawicka, E. Guidelines for radiologically guided lung biopsy. Thorax 2003, 58, 920–936. [Google Scholar] [CrossRef]
- Winokur, R.S.; Pua, B.B.; Sullivan, B.W.; Madoff, D.C. Percutaneous lung biopsy: Technique, efficacy, and complications. Semin. Interv. Radiol. 2013, 30, 121–127. [Google Scholar] [CrossRef]
- Anzidei, M.; Porfiri, A.; Andrani, F.; Di Martino, M.; Saba, L.; Catalano, C.; Bezzi, M. Imaging-guided chest biopsies: Techniques and clinical results. Insights Imaging 2017, 8, 419–428. [Google Scholar] [CrossRef]
- Yeow, K.M.; Su, I.H.; Pan, K.T.; Tsay, P.K.; Lui, K.W.; Cheung, Y.C.; Chou, A.S. Risk factors of pneumothorax and bleeding: Multivariate analysis of 660 CT-guided coaxial cutting needle lung biopsies. Chest 2004, 126, 748–754. [Google Scholar] [CrossRef]
- Covey, A.M.; Gandhi, R.; Brody, L.A.; Getrajdman, G.; Thaler, H.T.; Brown, K.T. Factors associated with pneumothorax and pneumothorax requiring treatment after percutaneous lung biopsy in 443 consecutive patients. J. Vasc. Interv. Radiol. 2004, 15, 479–483. [Google Scholar] [CrossRef] [PubMed]
- Khan, M.F.; Straub, R.; Moghaddam, S.R.; Maataoui, A.; Gurung, J.; Wagner, T.O.; Ackermann, H.; Thalhammer, A.; Vogl, T.J.; Jacobi, V. Variables affecting the risk of pneumothorax and intrapulmonal hemorrhage in CT-guided transthoracic biopsy. Eur. Radiol. 2008, 18, 1356–1363. [Google Scholar] [CrossRef] [PubMed]
- Veltri, A.; Bargellini, I.; Giorgi, L.; Almeida, P.; Akhan, O. CIRSE Guidelines on Percutaneous Needle Biopsy (PNB). Cardiovasc. Intervent. Radiol. 2017, 40, 1501–1513. [Google Scholar] [CrossRef] [PubMed]
- Patel, I.J.; Davidson, J.C.; Nikolic, B.; Salazar, G.M.; Schwartzberg, M.S.; Walker, T.G.; Saad, W.A. Consensus guidelines for periprocedural management of coagulation status and hemostasis risk in percutaneous image-guided interventions. J. Vasc. Interv. Radiol. 2012, 23, 727–736. [Google Scholar] [CrossRef]
- Hinojar, R.; Jiménez-Natcher, J.J.; Fernández-Golfín, C.; Zamorano, J.L. New oral anticoagulants: A practical guide for physicians. Eur. Heart J. Cardiovasc. Pharm. 2015, 1, 134–145. [Google Scholar] [CrossRef]
- Law 219/2017 ‘Provisions for informed consent and advance treatment directives’. Gazzetta Ufficiale della Repubblica Italiana, n. 12. 16 January 2018.
- Yatabe, Y.; Dacic, S.; Borczuk, A.C.; Warth, A.; Russell, P.A.; Lantuejoul, S.; Beasley, M.B.; Thunnissen, E.; Pelosi, G.; Rekhtman, N.; et al. Best Practices Recommendations for Diagnostic Immunohistochemistry in Lung Cancer. J. Thorac. Oncol. 2019, 14, 377–407. [Google Scholar] [CrossRef] [PubMed]
- Takeshita, J.; Masago, K.; Kato, R.; Hata, A.; Kaji, R.; Fujita, S.; Katakami, N. CT-guided fine-needle aspiration and core needle biopsies of pulmonary lesions: A single-center experience with 750 biopsies in Japan. AJR Am. J. Roentgenol. 2015, 204, 29–34. [Google Scholar] [CrossRef]
- Li, C.; Liu, B.; Meng, H.; Lv, W.; Jia, H. Efficacy and Radiation Exposure of Ultra-Low-Dose Chest CT at 100 kVp with Tin Filtration in CT-Guided Percutaneous Core Needle Biopsy for Small Pulmonary Lesions Using a Third-Generation Dual-Source CT Scanner. J. Vasc. Interv. Radiol. 2019, 30, 95–102. [Google Scholar] [CrossRef]
- Yeow, K.M.; Tsay, P.K.; Cheung, Y.C.; Lui, K.W.; Pan, K.T.; Chou, A.S. Factors affecting diagnostic accuracy of CT-guided coaxial cutting needle lung biopsy: Retrospective analysis of 631 procedures. J. Vasc. Interv. Radiol. 2003, 14, 581–588. [Google Scholar] [CrossRef] [PubMed]
- Sun, L.; Qin, C.; Fu, Q.; Hu, S.; Zhao, W.; Li, H. Comparison of the Detection Rates of Different Diagnostic Methods for Primary Peripheral Lung Cancer. Front. Oncol. 2021, 11, 696239. [Google Scholar] [CrossRef]
- Schreiber, G.; McCrory, D.C. Performance characteristics of different modalities for diagnosis of suspected lung cancer: Summary of published evidence. Chest 2003, 123 (Suppl. S1), 115s–128s. [Google Scholar] [CrossRef]
- Zhang, H.; Tian, S.; Wang, S.; Liu, S.; Liao, M. CT-Guided Percutaneous Core Needle Biopsy in Typing and Subtyping Lung Cancer: A Comparison to Surgery. Technol. Cancer Res. Treat. 2022, 21, 15330338221086411. [Google Scholar] [CrossRef]
- Ferretti, G.R.; Busser, B.; de Fraipont, F.; Reymond, E.; McLeer-Florin, A.; Mescam-Mancini, L.; Moro-Sibilot, D.; Brambilla, E.; Lantuejoul, S. Adequacy of CT-guided biopsies with histomolecular subtyping of pulmonary adenocarcinomas: Influence of ATS/ERS/IASLC guidelines. Lung Cancer 2013, 82, 69–75. [Google Scholar] [CrossRef]
- Kwan, S.W.; Bhargavan, M.; Kerlan, R.K., Jr.; Sunshine, J.H. Effect of advanced imaging technology on how biopsies are done and who does them. Radiology 2010, 256, 751–758. [Google Scholar] [CrossRef]
- Yao, X.; Gomes, M.M.; Tsao, M.S.; Allen, C.J.; Geddie, W.; Sekhon, H. Fine-needle aspiration biopsy versus core-needle biopsy in diagnosing lung cancer: A systematic review. Curr. Oncol. 2012, 19, e16–e27. [Google Scholar] [CrossRef] [PubMed]
- Aviram, G.; Greif, J.; Man, A.; Schwarz, Y.; Marmor, S.; Graif, M.; Blachar, A. Diagnosis of intrathoracic lesions: Are sequential fine-needle aspiration (FNA) and core needle biopsy (CNB) combined better than either investigation alone? Clin. Radiol. 2007, 62, 221–226. [Google Scholar] [CrossRef] [PubMed]


| Inclusion Criteria | Exclusion Criteria |
|---|---|
| Execution of the biopsy procedure | Procedure not executed/technical failure |
| Lesions ≤ 50 mm in size | Target masses > 50 mm diameter |
| Diagnosis of lung cancer, precursor lesions, and atypia | Microhistological diagnoses different from the ones in the inclusion criteria |
| Microhistological samples characterized by non-specific findings | Patients for whom lung cancer was not the indication for the procedure |
| Negative or inconclusive diagnoses | Biopsies performed under CBCT and US guidance |
| Population Charasteristics | |
|---|---|
| Male patients | 218 (62.3%) |
| Female patients | 132 (37.7%) |
| Mean age at biopsy | 72 |
| Density | |
| Solid density nodules | 270 (77.1%) |
| Part-solid nodules | 70 (20%) |
| Ground-glass nodules | 10 (2.9%) |
| Morphology | |
| Rounded | 158 (45.1%) |
| Non-rounded | 192 (54.9%) |
| Margins | |
| Irregular/spiculated | 256 (73.1%) |
| Lobulated | 38 (10.9%) |
| Smooth | 35 (10%) |
| Ill-defined | 21 (6%) |
| Relationships with adjacent structures | |
| Pleural attachment | 80 (22.9%) |
| Peripheral, isolated lesion | 270 (77.1%) |
| Other radiological features | |
| Calcified lesions | 21 (6%) |
| Cavitary lesions | 14 (4%) |
| Non-calcified, non-cavitary lesions | 315 (90%) |
| Total biopsies | 350 |
| Histological Pattern | Number of Samples | Percentage (%) |
|---|---|---|
| Adenocarcinoma | 182 | 52% |
| Squamous cell carcinoma | 45 | 12.90% |
| Neuroendocrine tumor | 16 | 4.50% |
| Non-subtyped NSCLC | 10 | 2.90% |
| Mesenchymal neoplasm | 6 | 1.70% |
| Uncertain/inconclusive | 20 | 5.70% |
| Negative samples | 71 | 20.30% |
| TOTAL | 350 | 100% |
| Value | CI 95% | |
|---|---|---|
| Sensitivity (%) | 90.07 | 86.05–93.25 |
| Specificity (%) | 100 | 93.84–100 |
| Positive Predictive Value (%) | 100 | |
| Negative Predictive Value (%) | 98.74 | 98.23–99.10 |
| Accuracy (%) | 98.87 | 97.12–99.69 |
| AUC | 0.952 | 0.924–0.972 |
Publisher’s Note: MDPI stays neutral with regard to jurisdictional claims in published maps and institutional affiliations. |
© 2022 by the authors. Licensee MDPI, Basel, Switzerland. This article is an open access article distributed under the terms and conditions of the Creative Commons Attribution (CC BY) license (https://creativecommons.org/licenses/by/4.0/).
Share and Cite
Baratella, E.; Cernic, S.; Minelli, P.; Furlan, G.; Crimì, F.; Rocco, S.; Ruaro, B.; Cova, M.A. Accuracy of CT-Guided Core-Needle Biopsy in Diagnosis of Thoracic Lesions Suspicious for Primitive Malignancy of the Lung: A Five-Year Retrospective Analysis. Tomography 2022, 8, 2828-2838. https://doi.org/10.3390/tomography8060236
Baratella E, Cernic S, Minelli P, Furlan G, Crimì F, Rocco S, Ruaro B, Cova MA. Accuracy of CT-Guided Core-Needle Biopsy in Diagnosis of Thoracic Lesions Suspicious for Primitive Malignancy of the Lung: A Five-Year Retrospective Analysis. Tomography. 2022; 8(6):2828-2838. https://doi.org/10.3390/tomography8060236
Chicago/Turabian StyleBaratella, Elisa, Stefano Cernic, Pierluca Minelli, Giovanni Furlan, Filippo Crimì, Simone Rocco, Barbara Ruaro, and Maria Assunta Cova. 2022. "Accuracy of CT-Guided Core-Needle Biopsy in Diagnosis of Thoracic Lesions Suspicious for Primitive Malignancy of the Lung: A Five-Year Retrospective Analysis" Tomography 8, no. 6: 2828-2838. https://doi.org/10.3390/tomography8060236
APA StyleBaratella, E., Cernic, S., Minelli, P., Furlan, G., Crimì, F., Rocco, S., Ruaro, B., & Cova, M. A. (2022). Accuracy of CT-Guided Core-Needle Biopsy in Diagnosis of Thoracic Lesions Suspicious for Primitive Malignancy of the Lung: A Five-Year Retrospective Analysis. Tomography, 8(6), 2828-2838. https://doi.org/10.3390/tomography8060236

