Bonding Protocols for Lithium Disilicate Veneers: A Narrative Review and Case Study
Abstract
1. Introduction
2. Materials and Methods
2.1. Review of the Literature
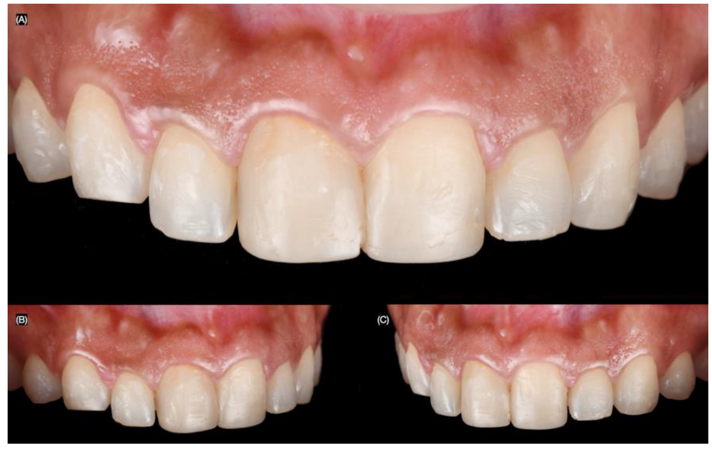
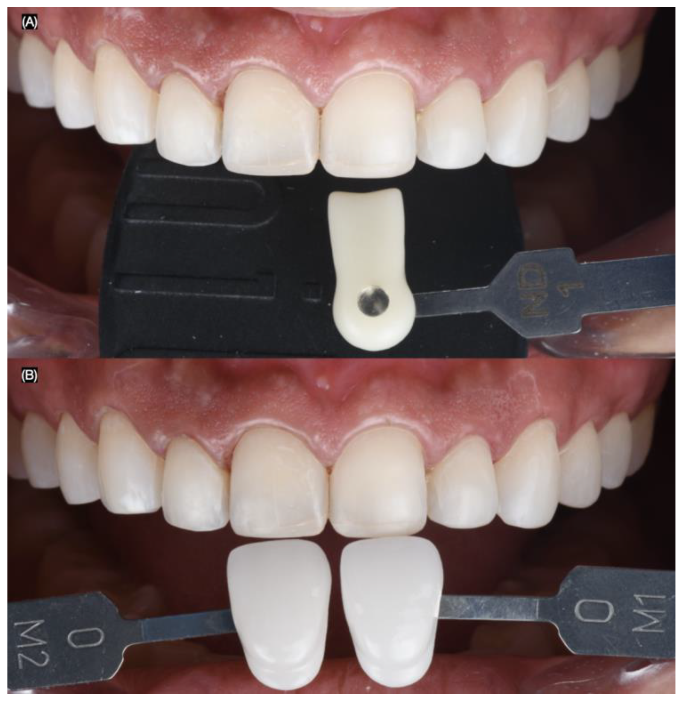
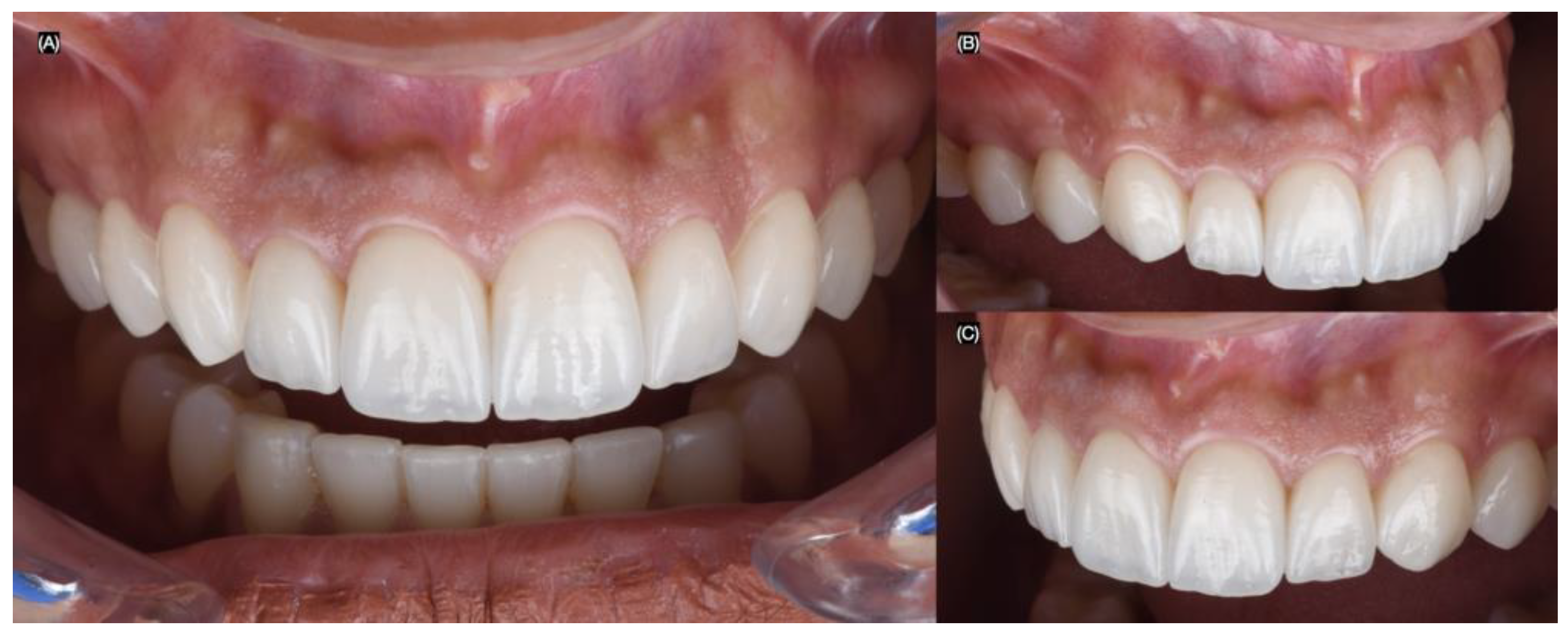
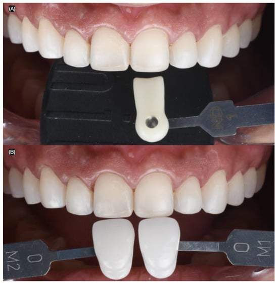
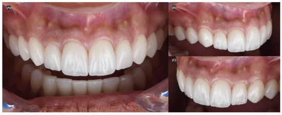
2.2. Case Study
3. Results
4. Discussion
4.1. Tooth Preparation for Labial Veneers
4.2. Lithium Disilicate Ceramic Veneers
4.3. Ceramic Surface Treatment
4.4. Tooth Surface Treatment
4.5. Tooth Isolation
4.6. Luting Cements
4.7. Case Report
4.8. Limitations
5. Conclusions
Author Contributions
Funding
Institutional Review Board Statement
Informed Consent Statement
Data Availability Statement
Conflicts of Interest
References
- Ikeda, H.; Saheki, Y.; Sakano, Y.; Wada, A.; Ando, H.; Tagai, K. Facial radiance influences facial attractiveness and affective impressions of faces. Int. J. Cosmet. Sci. 2021, 43, 144–157. [Google Scholar] [CrossRef] [PubMed] [PubMed Central]
- Hebbal, M.I.; Helaby, B.S.; AlHefdhi, M.A. Reasons for Widespread Aspiration of Esthetics Veneers “Hollywood Smile: A Survey Among Five Gulf Countries”. J. Pharm. Bioallied Sci. 2022, 14, S923–S927. [Google Scholar] [CrossRef] [PubMed] [PubMed Central]
- Villalobos-Tinoco, J.; Fischer, N.; Jurado, C.; Flores-Reyes, J.; Karimi, K.; Tsujimoto, A. Ultrathin Partial Ceramic Veneers in the Esthetic Zone with Tooth Whitening: A 5-year Case Report. Oper. Dent. 2023, 48, 358–363. [Google Scholar] [CrossRef] [PubMed]
- Horn, S.; Matuszewska, N.; Gkantidis, N.; Verna, C.; Kanavakis, G. Smile dimensions affect self-perceived smile attractiveness. Sci. Rep. 2021, 11, 2779. [Google Scholar] [CrossRef] [PubMed] [PubMed Central]
- Godinho, J.; Gonçalves, R.P.; Jardim, L. Contribution of facial components to the attractiveness of the smiling face in male and female patients: A cross-sectional correlation study. Am. J. Orthod. Dentofac. Orthop. 2020, 157, 98–104. [Google Scholar] [CrossRef] [PubMed]
- Fahl, N.; Ritter, A.V. Composite veneers: The direct-indirect technique revisited. J. Esthet. Restor. Dent. 2021, 33, 7–19. [Google Scholar] [CrossRef] [PubMed]
- Jurado, C.A.; Yeh, J.S.; Vidal, C.M.P.; Cho, S.; Abuhammoud, S. Fracture load of chairside CAD-CAM veneers fabricated with pre-and fully crystalized lithium disilicate ceramics. J. Prosthodont. 2024. ahead of print. [Google Scholar] [CrossRef] [PubMed]
- Dalkilic, E.; Altier, M.; Erol, F.; Yildirim, G. Fracture resistance and failure modes of lithium disilicate or composite endocrowns. Niger. J. Clin. Pract. 2018, 21, 821–826. [Google Scholar] [CrossRef] [PubMed]
- Bhanot, S.; Mahajan, P.; Bajaj, N.; Monga, P.; Sood, A.; Yadav, R. Fracture resistance of lab composite versus all-ceramic restorations in class II inlay cavity preparations: An in vitro study. J. Conserv. Dent. 2022, 25, 258–263. [Google Scholar] [PubMed] [PubMed Central]
- Blatz, M.B.; Conejo, J.; Alammar, A.; Ayub, J. Current Protocols for Resin-Bonded Dental Ceramics. Dent. Clin. North Am. 2022, 66, 603–625. [Google Scholar] [CrossRef] [PubMed]
- Blatz, M.B.; Alammar, A.; Rojas, F.; Conejo, J. How to Bond to Current CAD/CAM Ceramics. Compend. Contin. Educ. Dent. 2023, 44, 560. [Google Scholar] [PubMed]
- Shibata, S.; Taguchi, C.; Gondo, R.; Stolf, S.; Baratieri, L. Ceramic Veneers and Direct-Composite Cases of Amelogenesis Imperfecta Rehabilitation. Oper. Dent. 2016, 41, 233–242. [Google Scholar] [CrossRef] [PubMed]
- Robles, M.; Jurado, C.A.; Floriani, F.; Rojas-Rueda, S.; Garcia, P.; Azpiazu-Flores, F.X. 3D-printed tooth reduction guide for minimally invasive veneer preparations. A case report. Int. J. Esthet. Dent. 2024, 19, 348–359. [Google Scholar] [PubMed]
- Aslan, Y.; Uludamar, A.; Özkan, Y. Retrospective Analysis of Lithium Disilicate Laminate Veneers Applied by Experienced Dentists: 10-Year Results. Int. J. Prosthodont. 2019, 32, 471–474. [Google Scholar] [CrossRef] [PubMed]
- Klein, P.; Spitznagel, F.A.; Zembic, A.; Prott, L.S.; Pieralli, S.; Bongaerts, B.; Metzendorf, M.; Langner, R.; Gierthmuehlen, P.C. Survival and Complication Rates of Feldspathic, Leucite-Reinforced, Lithium Disilicate and Zirconia Ceramic Laminate Veneers: A Systematic Review and Meta-Analysis. J. Esthet. Restor. Dent. 2024. ahead of print. [Google Scholar] [CrossRef] [PubMed]
- Verniani, G.; Ferrari, M.; Manfredini, D.; Cagidiaco, E.F. A Randomized Controlled Clinical Trial on Lithium Disilicate Veneers Manufactured by the CAD–CAM Method: Digital Versus Hybrid Workflow. Prosthesis 2024, 6, 329–340. [Google Scholar] [CrossRef]
- Ergun, G.; Cekic, I.; Lassila, L.V.J.; Vallittu, P.K. Bonding of lithium-disilicate ceramic to enamel and dentin using orthotropic fiber-reinforced composite at the interface. Acta Odontol. Scand. 2006, 64, 293–299. [Google Scholar] [CrossRef] [PubMed]
- Agostini, F.G.; Kaaden, C.; Powers, J.M. Bond strength of self-etching primers to enamel and dentin of primary teeth. Pediatr. Dent. 2001, 23, 481–486. [Google Scholar] [PubMed]
- Alghazzawi, T.F. Clinical Survival Rate and Laboratory Failure of Dental Veneers: A Narrative Literature Review. J. Funct. Biomater. 2024, 15, 131. [Google Scholar] [CrossRef] [PubMed] [PubMed Central]
- Schmitter, M.; Seydler, B.B. Minimally invasive lithium disilicate ceramic veneers fabricated using chairside CAD/CAM: A clinical report. J. Prosthet. Dent. 2012, 107, 71–74. [Google Scholar] [CrossRef] [PubMed]
- Soares, P.V.; Spini, P.H.R.; Spini, P.H.; Carvalho, V.F.; Souza, P.G.; Gonzaga, R.C.D.Q.; Gonzaga, R.C.; Tolentino, A.B.; Machado, A.C. Esthetic rehabilitation with laminated ceramic veneers reinforced by lithium disilicate. Quintessence Int. 2014, 45, 129–133, Erratum in Quintessence Int. 2014, 45, 318. [Google Scholar] [CrossRef] [PubMed]
- Zandinejad, A.; Lin, W.; Atarodi, M.; Abdel-Azim, T.; Metz, M.; Morton, D. Digital Workflow for Virtually Designing and Milling Ceramic Lithium Disilicate Veneers: A Clinical Report. Oper. Dent. 2015, 40, 241–246. [Google Scholar] [CrossRef] [PubMed]
- Martins, J.D.; Lima, C.M.; Miranda, J.S.; Leite, F.P.P.; Tanaka, R.; Miyashita, E. Digital smile designing, pressing and stratifying ceramic lithium disilicate veneers to rehabilitate dental agenesis: A clinical report. RGO Rev. Gaúch. Odontol. 2019, 67, e20190043. [Google Scholar] [CrossRef]
- Souza, R.; da Silva, N.; de Miranda, L.; de Araújo, G.; Moura, D.; Barbosa, H. Two-year Follow-up of Ceramic Veneers and a Full Crown Treated With Self-etching Ceramic Primer: A Case Report. Oper. Dent. 2020, 45, 352–358. [Google Scholar] [CrossRef] [PubMed]
- Tyagi, R.; Kalra, N.; Khatri, A.; Yangdol, P.; Goyal, T.; Sabherwal, P. Lithium disilicate (IPS” e.Max computer-aided design) veneers for the esthetic rehabilitation in a young adolescent. Int. J. Oral Health Sci. 2022, 12, 34–37. [Google Scholar] [CrossRef]
- Das, S.; Adhikari, H.D. A Cosmetic Chronicle: A case report on the treatment of Tetracycline induced discoloration with Lithium Disilicate Veneers. J. West. Bengal. Univ. Health Sci. 2023, 3, 94–98. [Google Scholar]
- Hu, E.; Brunstein, K.; Kreider, J.K.; Yoo, A.; Shute, W. Restoring Severe Tetracycline Stained Teeth with Milled Lithium Disilicate Ceramic Veneers: A Case Report with 14-Month Recall. J. Dent. Oral Epidemiol. 2024, 4, jdoe2400116. [Google Scholar] [CrossRef]
- Malchiodi, L.; Zotti, F.; Moro, T.; De Santis, D.; Albanese, M. Clinical and Esthetical Evaluation of 79 Lithium Disilicate Multilayered Anterior Veneers with a Medium Follow-Up of 3 Years. Eur. J. Dent. 2019, 13, 581–588. [Google Scholar] [CrossRef] [PubMed] [PubMed Central]
- Imburgia, M.; Lerner, H.; Mangano, F. A Retrospective Clinical Study on 1075 Lithium Disilicate CAD/CAM Veneers with Feather-Edge Margins Cemented on 105 Patients. Eur. J. Prosthodont. Restor Dent. 2021, 29, P54–P63. [Google Scholar] [CrossRef] [PubMed]
- Nejatidanesh, F.; Savabi, G.; Amjadi, M.; Abbasi, M.; Savabi, O. Five year clinical outcomes and survival of chairside CAD/CAM ceramic laminate veneers—A retrospective study. J. Prosthodont. Res. 2018, 62, 462–467. [Google Scholar] [CrossRef] [PubMed]
- Sen, N.; Olley, R.C. Retrospective Evaluation of Factors Affecting Long-Term Clinical Performance of CAD/CAM Laminate Veneers. Int. J. Prosthodont. 2024, 37, 411–416. [Google Scholar] [CrossRef] [PubMed]
- Jarad, F.; Griffiths, C.; Jaffri, M.; Adeyemi, A.; Youngson, C. The effect of bleaching, varying the shade or thickness of composite veneers on final colour: An in vitro study. J. Dent. 2008, 36, 554–559. [Google Scholar] [CrossRef] [PubMed]
- Tsujimoto, A.; Jurado, C.; Villalobos-Tinoco, J.; Fischer, N.; Alresayes, S.; Sanchez-Hernandez, R.; Watanabe, H.; Garcia-Godoy, F. Minimally Invasive Multidisciplinary Restorative Approach to the Esthetic Zone Including a Single Discolored Tooth. Oper. Dent. 2021, 46, 477–483. [Google Scholar] [CrossRef] [PubMed]
- Durães, I.; Cavalcanti, A.; Mathias, P. The Thickness and Opacity of Aesthetic Materials Influence the Restoration of Discolored Teeth. Oper. Dent. 2021, 46, 559–565. [Google Scholar] [CrossRef] [PubMed]
- Atash, R.; Abbeele, A.V.D. Bond strengths of eight contemporary adhesives to enamel and to dentine: An in vitro study on bovine primary teeth. Int. J. Paediatr. Dent. 2005, 15, 264–273. [Google Scholar] [CrossRef] [PubMed]
- Rechmann, P.; Bartolome, N.; Kinsel, R.; Vaderhobli, R.; Rechmann, B.M.T. Bond strength of etch-and-rinse and self-etch adhesive systems to enamel and dentin irradiated with a novel CO2 9.3 μm short-pulsed laser for dental restorative procedures. Lasers Med. Sci. 2017, 32, 1981–1993. [Google Scholar] [CrossRef] [PubMed]
- Caponi, L.; Raslan, F.; Roig, M. Fabrication of a facially generated tooth reduction guide for minimally invasive preparations: A dental technique. J. Prosthet. Dent. 2022, 127, 689–694. [Google Scholar] [CrossRef] [PubMed]
- Robles, M.; Jurado, C.A.; Azpiazu-Flores, F.X.; Villalobos-Tinoco, J.; Afrashtehfar, K.I.; Fischer, N.G. An Innovative 3D Printed Tooth Reduction Guide for Precise Dental Ceramic Veneers. J. Funct. Biomater. 2023, 14, 216. [Google Scholar] [CrossRef] [PubMed] [PubMed Central]
- Gao, J.; He, J.; Fan, L.; Lu, J.; Xie, C.; Yu, H. Accuracy of Reduction Depths of Tooth Preparation for Porcelain Laminate Veneers Assisted by Different Tooth Preparation Guides: An In Vitro Study. J. Prosthodont. 2022, 31, 593–600. [Google Scholar] [CrossRef] [PubMed]
- Gao, J.; Luo, T.; Zhao, Y.; Xie, C.; Yu, H. Accuracy of the preparation depth in mixed targeted restorative space type veneers assisted by different guides: An in vitro study. J. Prosthodont. Res. 2023, 67, 556–561. [Google Scholar] [CrossRef] [PubMed]
- Chen, Y.; Yeung, A.W.; Pow, E.H.; Tsoi, J.K. Current status and research trends of lithium disilicate in dentistry: A bibliometric analysis. J. Prosthet. Dent. 2021, 126, 512–522. [Google Scholar] [CrossRef] [PubMed]
- Zarone, F.; Ferrari, M.; Mangano, F.G.; Leone, R.; Sorrentino, R. “Digitally Oriented Materials”: Focus on Lithium Disilicate Ceramics. Int. J. Dent. 2016, 2016, 9840594. [Google Scholar] [CrossRef] [PubMed] [PubMed Central]
- Della Bona, A.; Anusavice, K.J. Microstructure, composition, and etching topography of dental ceramics. Int. J. Prosthodont. 2002, 15, 159–167. [Google Scholar] [PubMed]
- Soares, C.J.; Soares, P.V.; Pereira, J.C.; Fonseca, R.B. Surface Treatment Protocols in the Cementation Process of Ceramic and Laboratory-Processed Composite Restorations: A Literature Review. J. Esthet. Restor. Dent. 2005, 17, 224–235. [Google Scholar] [CrossRef] [PubMed]
- Moreira, P.M.; Carvalho, G.L.M.; Albuquerque, R.d.C.; André, C.B. Effect of hydrofluoric acid and self-etch ceramic primers on the flexural strength and fatigue resistance of glass ceramics: A systematic review and meta-analysis of in vitro studies. Jpn. Dent. Sci. Rev. 2024, 60, 198–210. [Google Scholar] [CrossRef] [PubMed] [PubMed Central]
- del Rio, D.L.; Sandoval-Sanchez, E.; Campos-Villegas, N.E.; Azpiazu-Flores, F.X.; Zavala-Alonso, N.-V. Influence of Heated Hydrofluoric Acid Surface Treatment on Surface Roughness and Bond Strength to Feldspathic Ceramics and Lithium-Disilicate Glass-Ceramics. J. Adhes. Dent. 2021, 23, 549–555. [Google Scholar] [CrossRef] [PubMed]
- de Araujo-Neto, V.G.; Nobre, C.F.d.A.; Freitas, M.I.M.; Lima, R.B.W.; Sinhoreti, M.A.C.; Cury, A.A.D.B.; Giannini, M. Effect of Hydrofluoric Acid Concentration on Bond Strength to Glass-Ceramics: A Systematic Review and Meta-Analysis of In-Vitro Studies. J. Adhes. Dent. 2023, 25, 231–240. [Google Scholar] [CrossRef] [PubMed] [PubMed Central]
- Dapieve, K.S.; Pilecco, R.O.; Pivetta, J.P.; Machry, R.V.; Werner, A.; Kleverlaan, C.J.; Pereira, G.K.R.; Valandro, L.F. Is the application of a silane-based coupling agent necessary to stabilize the fatigue performance of bonded simplified lithium disilicate restorations? J. Mech. Behav. Biomed. Mater. 2022, 126, 104989. [Google Scholar] [CrossRef] [PubMed]
- Peumans, M.; Van Meerbeek, B.; Lambrechts, P.; Vanherle, G. Porcelain veneers: A review of the literature. J. Dent. 2000, 28, 163–177. [Google Scholar] [CrossRef] [PubMed]
- Tsujimoto, A.; Barkmeier, W.; Takamizawa, T.; Latta, M.; Miyazaki, M. The Effect of Phosphoric Acid Pre-etching Times on Bonding Performance and Surface Free Energy with Single-step Self-etch Adhesives. Oper. Dent. 2016, 41, 441–449. [Google Scholar] [CrossRef] [PubMed]
- Frankenberger, R.; Lohbauer, U.; Schaible, R.B.; Nikolaenko, S.A.; Naumann, M. Luting of ceramic inlays in vitro: Marginal quality of self-etch and etch-and-rinse adhesives versus self-etch cements. Dent. Mater. 2008, 24, 185–191. [Google Scholar] [CrossRef] [PubMed]
- Prasad, M.; Mohamed, S.; Nayak, K.; Shetty, S.; Talapaneni, A.; Sk, S. Effect of moisture, saliva, and blood contamination on the shear bond strength of brackets bonded with a conventional bonding system and self-etched bonding system. J. Nat. Sci. Biol. Med. 2014, 5, 123–129. [Google Scholar] [CrossRef] [PubMed] [PubMed Central]
- Patel, S.; Hamer, S. A simple guide to using dental dam. Br. Dent. J. 2021, 230, 644–650. [Google Scholar] [CrossRef] [PubMed] [PubMed Central]
- Wang, Y.; Li, C.; Yuan, H.; Wong, M.C.; Zou, J.; Shi, Z.; Zhou, X. Rubber dam isolation for restorative treatment in dental patients. Cochrane Database Syst. Rev. 2016, 9, CD009858. [Google Scholar] [CrossRef]
- Reuter, J.E. The isolation of teeth and the protection of the patient during endodontic treatment. Int. Endod. J. 1983, 16, 173–181. [Google Scholar] [CrossRef]
- Jevon, P.; Shamsi, S. Management of anaphylaxis in the dental practice: An update. Br. Dent. J. 2020, 229, 721–728. [Google Scholar] [CrossRef]
- Manso, A.P.; Carvalho, R.M. Dental Cements for Luting and Bonding Restorations: Self-Adhesive Resin Cements. Dent. Clin. North Am. 2017, 61, 821–834. [Google Scholar] [CrossRef] [PubMed]
- Moraes, R.R.; Correr-Sobrinho, L.; Sinhoreti, M.A.; Puppin-Rontani, R.M.; Ogliari, F.; Piva, E. Light-activation of resin cement trough ceramic: Relationship between irradiance intensity and bond strength to dentin. J. Biomed. Mat. Res. 2008, 85B, 160–165. [Google Scholar] [CrossRef] [PubMed]
- Blatz, M.B.; Mante, F.K.; Saleh, N.; Atlas, A.M.; Mannan, S.; Ozer, F. Postoperative tooth sensitivity with a new self-adhesive resin cement—A randomized clinical trial. Clin. Oral Investig. 2013, 17, 793–798. [Google Scholar] [CrossRef] [PubMed]
- Radovic, I.; Monticelli, F.; Goracci, C.; Vulicevic, Z.R.; Ferrari, M. Self-adhesive resin cements: A literature review. J. Adhes. Dent. 2008, 10, 251–258. [Google Scholar]
- Kumbuloglu, O.; Lassila, L.V.J.; User, A.; Vallittu, P.K. A study of the physical and chemical properties of four resin composite luting cements. Int. J. Prosthodont. 2004, 17, 357–363. [Google Scholar]
- Pissaia, J.F.; Guanaes, B.K.d.A.; Kintopp, C.C.d.A.; Correr, G.M.; da Cunha, L.F.; Gonzaga, C.C. Color stability of ceramic veneers as a function of resin cement curing mode and shade: 3-year follow-up. PLoS ONE 2019, 14, e0219183. [Google Scholar] [CrossRef] [PubMed] [PubMed Central]












| Inclusion | Exclusion |
|---|---|
| Clinical case reports | In vitro studies |
| Labial lithium disilicate veneers | Retrospective studies |
| Describing all the bonding steps | Reviews |
| Veneers on implant abutments/crowns | |
| Cases without description of the bonding steps |
| Authors, Year, and Title of Publication | Type of Restorations | Bonding Protocol | Results |
|---|---|---|---|
| Schmitter M et al., 2012. Minimally invasive lithium disilicate ceramic veneers fabricated using chairside CAD/CAM [20]. | A thin (0.4 mm) lithium disilicate veneer to correct the shape of right lateral incisor. |
| After one year, the patient was recalled. The restoration was intact without any chipping, discoloration, or other complications. |
| Soares PV et al., 2014. Esthetic rehabilitation with laminated ceramic veneers reinforced by lithium disilicate. [21]. | Four lithium disilicate veneers to close spaces between mandibular central and lateral incisors. |
| Detailed planning, correct selection of dental materials, and quality communication with the prosthetic technician contributed to a harmonious smile and the evident satisfaction of both patient and professionals. |
| Zandinejad A et al., 2015. Digital workflow for virtually designing and milling ceramic lithium disilicate veneers [22]. | Six lithium CAD/CAM lithium disilicate veneers from canine to canine. |
| All restorations fabricated were clinically acceptable in terms of marginal fit, shape, contour, and esthetics. |
| Martins JD et al., 2019. Digital smile designing, pressing and stratifying ceramic lithium disilicate veneers to rehabilitate dental agenesis [23]. | Eight lithium disilicate veneers from right first premolar to left first premolar on a patient to replaced stained resin composites. |
| Ceramic veneers are a possibility for conservative and successful treatment of smile anatomization in patients with dental agenesis using careful treatment planning. |
| Souza R et al., 2020. Two-year follow-up of ceramic veneers and a full crown treated with self-etching ceramic primer [24]. | Five ultra-thin lithium disilicate veneers and one full crown in the esthetic zone. |
| The satisfactory clinical performance of lithium disilicate restorations treated with Monobond Etch and Prime (MEP) after two years of follow-up supports the promising results shown in laboratory studies. |
| Tyagi R et al., 2022. Lithium disilicate (“IPS” e. Max computer-aided design) veneers for the esthetic rehabilitation in a young adolescent [25]. | Four lithium disilicate veneers on central and lateral incisors on a patient with generalized Fluorosis Grade 3 and Class I fracture on right incisor. |
| Correction of the discoloration by a less invasive technique was achieved. Lithium disilicate (IPS” e. Max) veneers present a promising approach to the management of esthetic concerns in the case of a young permanent tooth. |
| Das S et al., 2023. A Cosmetic Chronicle: A case report on the treatment of Tetracycline induced discoloration with Lithium Disilicate Veneers [26]. | Six lithium disilicate veneers from right canine to left canine on a patient tetracycline discoloration. |
| Restoration of such drug-induced intrinsic discolorations with laminate veneers is a viable and predictable treatment option presently due to intensified cognizance and advancements in the field of esthetic dentistry. |
| Hu E et al., 2024. Restoring Severe Tetracycline Stained Teeth with Milled Lithium Disilicate Ceramic Veneers [27]. | Lithium disilicate veneers from right second premolar to left second premolar on a patient with tetracycline-stained teeth. |
| This case report demonstrated that monolithic lithium disilicate veneers can completely cover underlying discoloration in a patient with severe tetracycline staining while achieving predictable, esthetic, and life-changing results. |
| Authors, Year and Title of Publication | Methodology | Conclusions |
|---|---|---|
| Klein P et al., 2021. Survival and Complication Rates of Feldspathic, Leucite-Reinforced, Lithium Disilicate and Zirconia Ceramic Laminate Veneers: A Systematic Review and Meta-Analysis [15] | Survival and complication rates of leucite-reinforced, lithium disilicate and zirconia veneers. Results: 96.8% survival rate at 10.4 years. | Ceramic laminate-veneers are a reliable treatment option. Lithium disilicate veneers may be preferred as a restorative material for long-term success. |
| Malchiodi L et al., 2019. Clinical and Esthetical Evaluation of 79 Lithium Disilicate Multilayered Anterior Veneers with a Medium Follow-Up of 3 Years [28] | A total of 79 lithium disilicate multilayered anterior veneers evaluated with a medium follow-up of 3 years. Results: 98.7% survival rate. | Lithium disilicate veneers in the esthetical rehabilitation of worn anterior teeth proved to be an effective way of treatment in a medium follow-up of 3 years. |
| Imburgia M et al., 2021. A Retrospective Clinical Study on 1075 Lithium Disilicate CAD/CAM Veneers with Feather-Edge Margins Cemented on 105 Patients [29] | A retrospective clinical study on 1075 lithium disilicate veneers cemented on 105 patients. Results: 99.83% survival rate in observation period of 30.8 months. | Lithium disilicate veneers showed good clinical performance in terms of survival, color matching, ceramic surface, marginal discoloration, and integrity. |
| Nejatidanesh F et al., 2018. Five year clinical outcomes and survival of chairside CAD/CAM ceramic laminate veneers—a retrospective study [30] | Five-year clinical outcomes and survival of chairside CAD/CAM lithium disilicate veneers—a retrospective study. A total of 197 veneers placed in 71 patients. Results: 97.8% survival rate after 5 years. | Chairside CAD/CAM lithium disilicate offer high survival rate. |
| Sen N et al., 2024. Retrospective Evaluation of Factors Affecting Long-Term Clinical Performance of CAD/CAM Laminate Veneers [31] | Retrospective evaluation of factors affecting long-term clinical performance of CAD/CAM laminate veneers. A total of 197 laminate veneers placed by a single operator and evaluated for up to 10 years. Results: 89.1% survival rate of E.max CAD lithium disilicate. | CAD/CAM laminate veneers milled from lithium disilicate ceramics have high survival rates. |
| Ceramic | Treatment |
|---|---|
| Feldspathic Porcelain | 9.5% hydrofluoric acid for 2 to 2.5 min |
| Leucite | 9.5% hydrofluoric acid for 60 s |
| Lithium Disilicate | 9.5% hydrofluoric acid for 20 s |
Disclaimer/Publisher’s Note: The statements, opinions and data contained in all publications are solely those of the individual author(s) and contributor(s) and not of MDPI and/or the editor(s). MDPI and/or the editor(s) disclaim responsibility for any injury to people or property resulting from any ideas, methods, instructions or products referred to in the content. |
© 2025 by the authors. Licensee MDPI, Basel, Switzerland. This article is an open access article distributed under the terms and conditions of the Creative Commons Attribution (CC BY) license (https://creativecommons.org/licenses/by/4.0/).
Share and Cite
Rojas-Rueda, S.; Villalobos-Tinoco, J.; Conner, C.; Colvert, S.; Nurrohman, H.; Jurado, C.A. Bonding Protocols for Lithium Disilicate Veneers: A Narrative Review and Case Study. Biomimetics 2025, 10, 188. https://doi.org/10.3390/biomimetics10030188
Rojas-Rueda S, Villalobos-Tinoco J, Conner C, Colvert S, Nurrohman H, Jurado CA. Bonding Protocols for Lithium Disilicate Veneers: A Narrative Review and Case Study. Biomimetics. 2025; 10(3):188. https://doi.org/10.3390/biomimetics10030188
Chicago/Turabian StyleRojas-Rueda, Silvia, Jose Villalobos-Tinoco, Clint Conner, Staley Colvert, Hamid Nurrohman, and Carlos A. Jurado. 2025. "Bonding Protocols for Lithium Disilicate Veneers: A Narrative Review and Case Study" Biomimetics 10, no. 3: 188. https://doi.org/10.3390/biomimetics10030188
APA StyleRojas-Rueda, S., Villalobos-Tinoco, J., Conner, C., Colvert, S., Nurrohman, H., & Jurado, C. A. (2025). Bonding Protocols for Lithium Disilicate Veneers: A Narrative Review and Case Study. Biomimetics, 10(3), 188. https://doi.org/10.3390/biomimetics10030188

