Angiosarcoma of the Breast: Overview of Current Data and Multimodal Imaging Findings
Abstract
1. Introduction
2. Clinical Presentation
3. Pathogenesis
4. Imaging Findings
4.1. Mammography
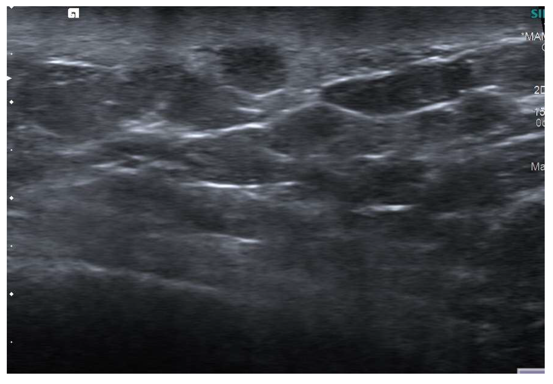
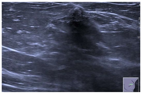
4.2. Ultrasound
4.3. Magnetic Resonance Imaging
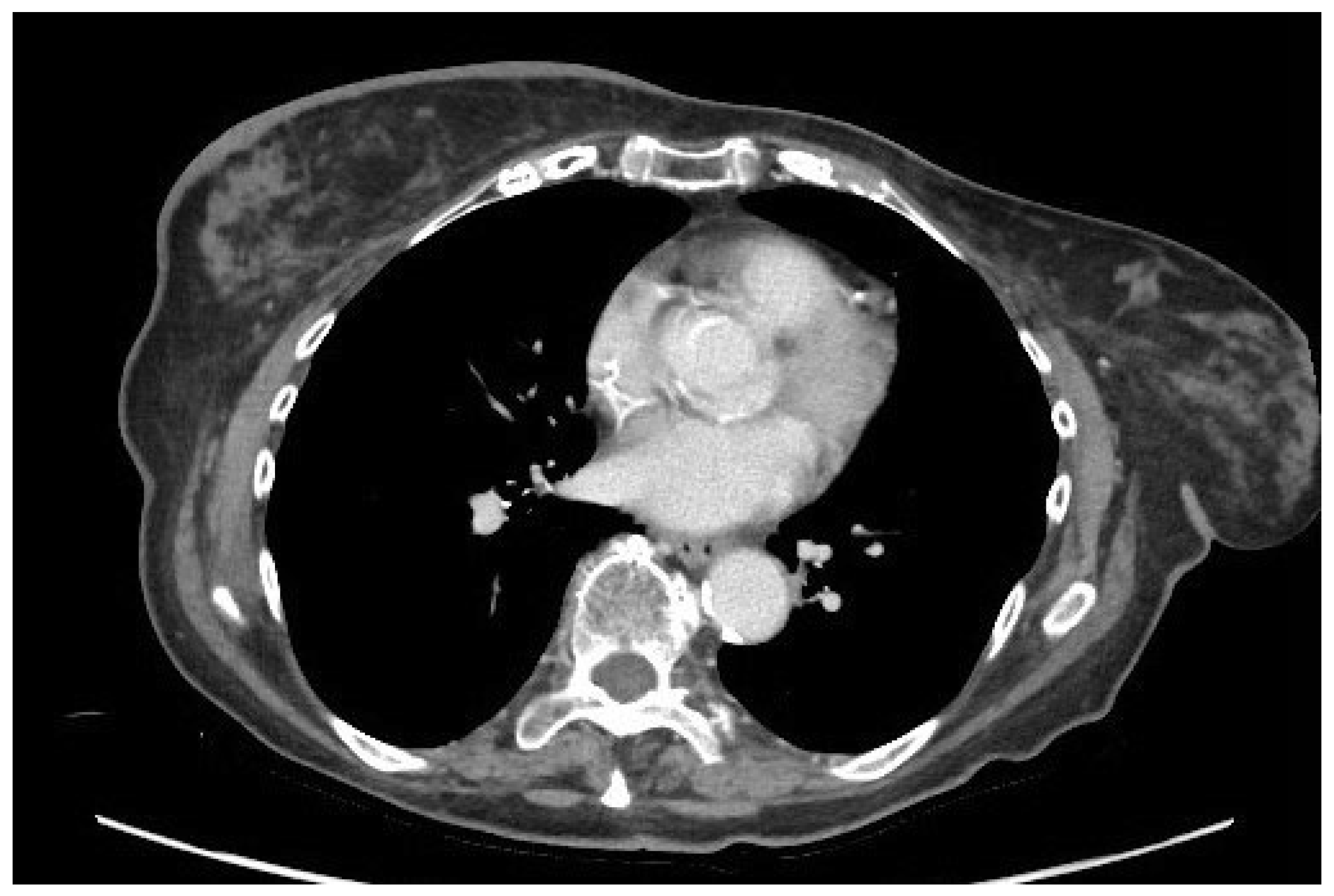
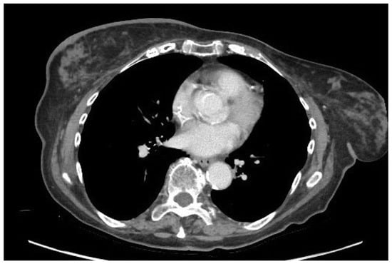
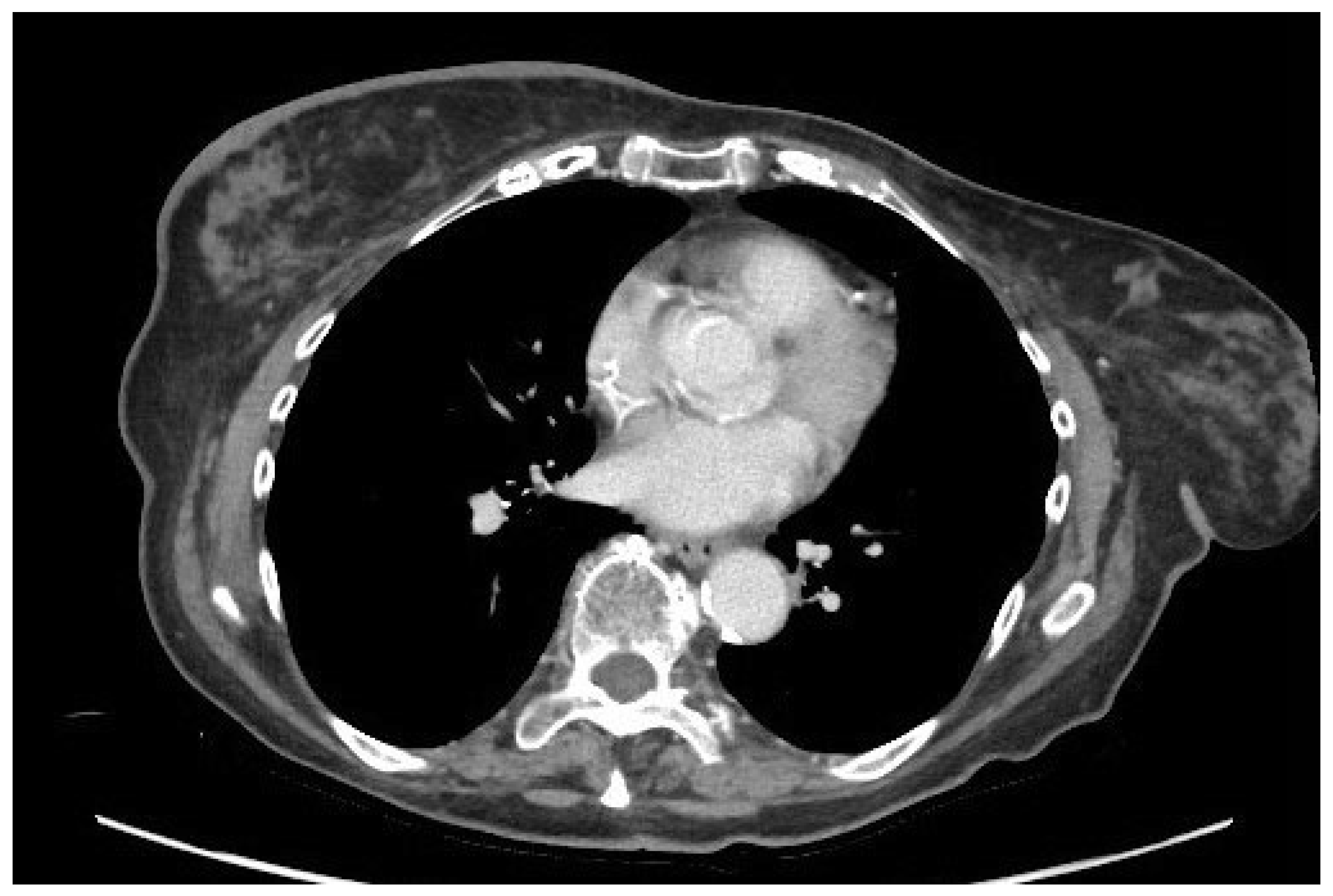
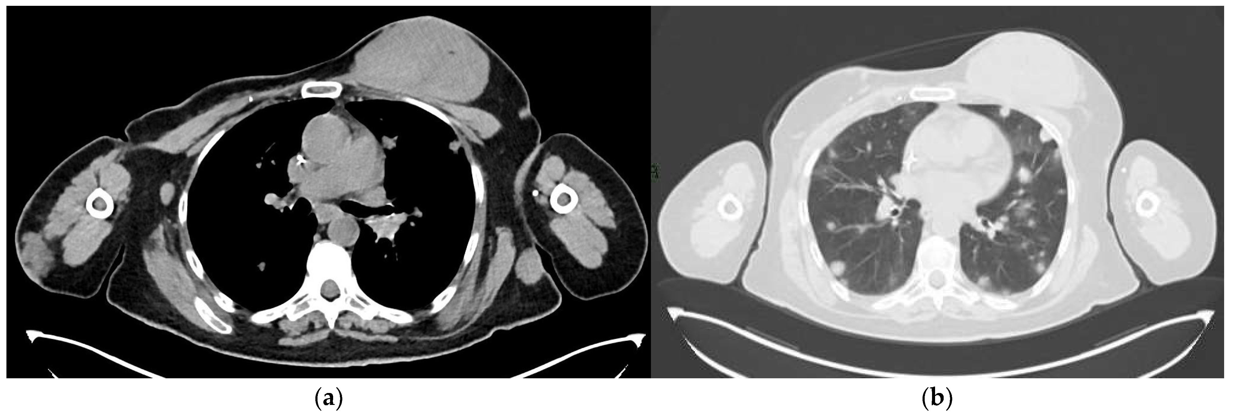
4.4. Computed Tomography
4.5. PET-CT
5. Histopathology
6. Treatment and Prognosis
7. Conclusions
Author Contributions
Funding
Institutional Review Board Statement
Informed Consent Statement
Data Availability Statement
Acknowledgments
Conflicts of Interest
References
- Yang, W.T.; Hennessy, B.T.J.; Dryden, M.J.; Valero, V.; Hunt, K.K.; Krishnamurthy, S. Mammary Angiosarcomas: Imaging Findings in 24 Patients. Radiology 2007, 242, 725–734. [Google Scholar] [CrossRef] [PubMed]
- Hui, A.; Henderson, M.; Speakman, D.; Skandarajah, A. Angiosarcoma of the Breast: A Difficult Surgical Challenge. Breast Edinb. Scotl. 2012, 21, 584–589. [Google Scholar] [CrossRef]
- Bentley, H.; Roberts, J.; Hayes, M.; Wilson, C.; Simmons, C.; Nichol, A.; Smrke, A.; Martin, T. The Role of Imaging in the Diagnosis of Primary and Secondary Breast Angiosarcoma: Twenty-Five-Year Experience of a Provincial Cancer Institution. Clin. Breast Cancer 2023, 23, e45–e53. [Google Scholar] [CrossRef]
- Glazebrook, K.N.; Magut, M.J.; Reynolds, C. Angiosarcoma of the Breast. AJR Am. J. Roentgenol. 2008, 190, 533–538. [Google Scholar] [CrossRef] [PubMed]
- Abbott, R.; Palmieri, C. Angiosarcoma of the Breast Following Surgery and Radiotherapy for Breast Cancer. Nat. Clin. Pract. Oncol. 2008, 5, 727–736. [Google Scholar] [CrossRef] [PubMed]
- Brenn, T.; Fletcher, C.D.M. Radiation-Associated Cutaneous Atypical Vascular Lesions and Angiosarcoma: Clinicopathologic Analysis of 42 Cases. Am. J. Surg. Pathol. 2005, 29, 983–996. [Google Scholar] [CrossRef]
- Brenn, T.; Fletcher, C.D.M. Postradiation Vascular Proliferations: An Increasing Problem. Histopathology 2006, 48, 106–114. [Google Scholar] [CrossRef] [PubMed]
- Verdin, V.; Mattart, L.; Cusumano, P.G.; De Hertogh, O.; De Meester, C.; Francart, D.; Kirova, Y.M.; Nelissen, X.; Sacino, F.; Vanderick, J.; et al. Angiosarcoma Associated with Radiation Therapy after Treatment of Breast Cancer. Retrospective Study on Ten Years. Cancer/Radiothérapie 2021, 25, 114–118. [Google Scholar] [CrossRef]
- Nascimento, A.F.; Raut, C.P.; Fletcher, C.D.M. Primary Angiosarcoma of the Breast: Clinicopathologic Analysis of 49 Cases, Suggesting That Grade Is Not Prognostic. Am. J. Surg. Pathol. 2008, 32, 1896–1904. [Google Scholar] [CrossRef]
- Morgan, E.A.; Kozono, D.E.; Wang, Q.; Mery, C.M.; Butrynski, J.E.; Baldini, E.H.; George, S.; Nascimento, A.F.; Raut, C.P. Cutaneous Radiation-Associated Angiosarcoma of the Breast: Poor Prognosis in a Rare Secondary Malignancy. Ann. Surg. Oncol. 2012, 19, 3801–3808. [Google Scholar] [CrossRef]
- Yap, J.; Chuba, P.J.; Thomas, R.; Aref, A.; Lucas, D.; Severson, R.K.; Hamre, M. Sarcoma as a Second Malignancy after Treatment for Breast Cancer. Int. J. Radiat. Oncol. Biol. Phys. 2002, 52, 1231–1237. [Google Scholar] [CrossRef]
- Brady, M.S.; Garfein, C.F.; Petrek, J.A.; Brennan, M.F. Post-Treatment Sarcoma in Breast Cancer Patients. Ann. Surg. Oncol. 1994, 1, 66–72. [Google Scholar] [CrossRef]
- Uryvaev, A.; Moskovitz, M.; Abdach-Bortnyak, R.; Hershkovitz, D.; Fried, G. Post-Irradiation Angiosarcoma of the Breast: Clinical Presentation and Outcome in a Series of Six Cases. Breast Cancer Res. Treat. 2015, 153, 3–8. [Google Scholar] [CrossRef] [PubMed]
- Wang, L.; Lao, I.W.; Yu, L.; Yang, W.; Wang, J. Primary Breast Angiosarcoma: A Retrospective Study of 36 Cases from a Single Chinese Medical Institute with Clinicopathologic and Radiologic Correlations. Breast J. 2017, 23, 282–291. [Google Scholar] [CrossRef]
- Abdou, Y.; Elkhanany, A.; Attwood, K.; Ji, W.; Takabe, K.; Opyrchal, M. Primary and Secondary Breast Angiosarcoma: Single Center Report and a Meta-Analysis. Breast Cancer Res. Treat. 2019, 178, 523–533. [Google Scholar] [CrossRef]
- Malolan, A.; Chowdary, P.B.; Sadashivaiah, S.B. Recurrent Primary Angiosarcoma of the Breast Presenting as Kasabach-Merritt Syndrome: A Case Report and Review of Literature. J. Clin. Diagn. Res. JCDR 2016, 10, XD04–XD07. [Google Scholar] [CrossRef]
- Bernathova, M.; Jaschke, W.; Pechlahner, C.; Zelger, B.; Bodner, G. Primary Angiosarcoma of the Breast Associated Kasabach-Merritt Syndrome during Pregnancy. Breast Edinb. Scotl. 2006, 15, 255–258. [Google Scholar] [CrossRef] [PubMed]
- Maguiness, S.; Guenther, L. Kasabach-Merritt Syndrome. J. Cutan. Med. Surg. 2002, 6, 335–339. [Google Scholar] [CrossRef] [PubMed]
- Ginter, P.S.; McIntire, P.J.; Shin, S.J. Vascular Tumours of the Breast: A Comprehensive Review with Focus on Diagnostic Challenges Encountered in the Core Biopsy Setting. Pathology (Phila.) 2017, 49, 197–214. [Google Scholar] [CrossRef]
- Fodor, J.; Orosz, Z.; Szabó, E.; Sulyok, Z.; Polgár, C.; Zaka, Z.; Major, T. Angiosarcoma after Conservation Treatment for Breast Carcinoma: Our Experience and a Review of the Literature. J. Am. Acad. Dermatol. 2006, 54, 499–504. [Google Scholar] [CrossRef] [PubMed]
- Fraga-Guedes, C.; Gobbi, H.; Mastropasqua, M.G.; Botteri, E.; Luini, A.; Viale, G. Primary and Secondary Angiosarcomas of the Breast: A Single Institution Experience. Breast Cancer Res. Treat. 2012, 132, 1081–1088. [Google Scholar] [CrossRef]
- Wang, X.Y.; Jakowski, J.; Tawfik, O.W.; Thomas, P.A.; Fan, F. Angiosarcoma of the Breast: A Clinicopathologic Analysis of Cases from the Last 10 Years. Ann. Diagn. Pathol. 2009, 13, 147–150. [Google Scholar] [CrossRef]
- Marchal, C.; Weber, B.; de Lafontan, B.; Resbeut, M.; Mignotte, H.; du Chatelard, P.P.; Cutuli, B.; Reme-Saumon, M.; Broussier-Leroux, A.; Chaplain, G.; et al. Nine Breast Angiosarcomas after Conservative Treatment for Breast Carcinoma: A Survey from French Comprehensive Cancer Centers. Int. J. Radiat. Oncol. Biol. Phys. 1999, 44, 113–119. [Google Scholar] [CrossRef]
- Bonito, F.J.P.; de Almeida Cerejeira, D.; Dahlstedt-Ferreira, C.; Oliveira Coelho, H.; Rosas, R. Radiation-Induced Angiosarcoma of the Breast: A Review. Breast J. 2020, 26, 458–463. [Google Scholar] [CrossRef]
- West, J.G.; Weitzel, J.N.; Tao, M.L.; Carpenter, M.; West, J.E.; Fanning, C. BRCA Mutations and the Risk of Angiosarcoma after Breast Cancer Treatment. Clin. Breast Cancer 2008, 8, 533–537. [Google Scholar] [CrossRef]
- Kadouri, L.; Sagi, M.; Goldberg, Y.; Lerer, I.; Hamburger, T.; Peretz, T. Genetic Predisposition to Radiation Induced Sarcoma: Possible Role for BRCA and P53 Mutations. Breast Cancer Res. Treat. 2013, 140, 207–211. [Google Scholar] [CrossRef] [PubMed]
- Donehower, L.A.; Harvey, M.; Slagle, B.L.; McArthur, M.J.; Montgomery, C.A.; Butel, J.S.; Bradley, A. Mice Deficient for P53 Are Developmentally Normal but Susceptible to Spontaneous Tumours. Nature 1992, 356, 215–221. [Google Scholar] [CrossRef] [PubMed]
- Chen, C.-M.; Chang, J.-L.; Behringer, R.R. Tumor Formation in P53 Mutant Ovaries Transplanted into Wild-Type Female Hosts. Oncogene 2004, 23, 7722–7725. [Google Scholar] [CrossRef][Green Version]
- Domfeh, A.B.; Fichera, M.; Hunt, J.L. Allelic Loss of 3 Different Tumor Suppressor Gene Loci in Benign and Malignant Endothelial Tumors of the Head and Neck. Arch. Pathol. Lab. Med. 2006, 130, 1184–1187. [Google Scholar] [CrossRef] [PubMed]
- Naka, N.; Tomita, Y.; Nakanishi, H.; Araki, N.; Hongyo, T.; Ochi, T.; Aozasa, K. Mutations of P53 Tumor-Suppressor Gene in Angiosarcoma. Int. J. Cancer 1997, 71, 952–955. [Google Scholar] [CrossRef]
- Momand, J.; Zambetti, G.P.; Olson, D.C.; George, D.; Levine, A.J. The Mdm-2 Oncogene Product Forms a Complex with the P53 Protein and Inhibits P53-Mediated Transactivation. Cell 1992, 69, 1237–1245. [Google Scholar] [CrossRef]
- Manner, J.; Radlwimmer, B.; Hohenberger, P.; Mössinger, K.; Küffer, S.; Sauer, C.; Belharazem, D.; Zettl, A.; Coindre, J.-M.; Hallermann, C.; et al. MYC High Level Gene Amplification Is a Distinctive Feature of Angiosarcomas after Irradiation or Chronic Lymphedema. Am. J. Pathol. 2010, 176, 34–39. [Google Scholar] [CrossRef] [PubMed]
- Mentzel, T.; Schildhaus, H.U.; Palmedo, G.; Büttner, R.; Kutzner, H. Postradiation Cutaneous Angiosarcoma after Treatment of Breast Carcinoma Is Characterized by MYC Amplification in Contrast to Atypical Vascular Lesions after Radiotherapy and Control Cases: Clinicopathological, Immunohistochemical and Molecular Analysis of 66 Cases. Mod. Pathol. 2012, 25, 75–85. [Google Scholar] [CrossRef] [PubMed]
- Guo, T.; Zhang, L.; Chang, N.; Singer, S.; Maki, R.G.; Antonescu, C.R. Consistent MYC and FLT4 Gene Amplification in Radiation-Induced Angiosarcoma but Not in Other Radiation-Associated Atypical Vascular Lesions. Genes Chromosomes Cancer 2011, 50, 25–33. [Google Scholar] [CrossRef] [PubMed]
- Wada, M.; Horinaka, M.; Yasuda, S.; Masuzawa, M.; Sakai, T.; Katoh, N. PDK1 Is a Potential Therapeutic Target against Angiosarcoma Cells. J. Dermatol. Sci. 2015, 78, 44–50. [Google Scholar] [CrossRef]
- Chen, K.T.; Kirkegaard, D.D.; Bocian, J.J. Angiosarcoma of the Breast. Cancer 1980, 46, 368–371. [Google Scholar] [CrossRef]
- Brentani, M.M.; Pacheco, M.M.; Oshima, C.T.; Nagai, M.A.; Lemos, L.B.; Góes, J.C. Steroid Receptors in Breast Angiosarcoma. Cancer 1983, 51, 2105–2111. [Google Scholar] [CrossRef] [PubMed]
- Wang, J.; Fisher, C.; Thway, K. Angiosarcoma of the Breast with Solitary Metastasis to the Ovary during Pregnancy: An Uncommon Pattern of Metastatic Disease. Case Rep. Oncol. Med. 2013, 2013, 209610. [Google Scholar] [CrossRef]
- Velidedeoğlu, M.; Bilgin, İ.A.; Karaduman, Z.; Kılıç, F.; Öztürk, T.; Aydoğan, F. A Case Report of Primary Breast Angiosarcoma Causing Hemorrhagic Shock in Pregnancy. Turk. J. SurgeryUlusal Cerrahi Derg. 2014, 30, 54–56. [Google Scholar] [CrossRef]
- Wu, W.-H.; Ji, Q.-L.; Li, Z.-Z.; Wang, Q.-N.; Liu, S.-Y.; Yu, J.-F. Mammography and MRI Manifestations of Breast Angiosarcoma. BMC Womens Health 2019, 19, 73. [Google Scholar] [CrossRef]
- Alves, I.; Marques, J.C. Radiation-Induced Angiosarcoma of the Breast: A Retrospective Analysis of 15 Years’ Experience at an Oncology Center. Radiol. Bras. 2018, 51, 281–286. [Google Scholar] [CrossRef] [PubMed]
- Lim, R.F.; Goei, R. Best Cases from the AFIP: Angiosarcoma of the Breast. Radiogr. Rev. Publ. Radiol. Soc. N. Am. Inc. 2007, 27 (Suppl. S1), S125–S130. [Google Scholar] [CrossRef]
- Mermershtain, W.; Cohen, A.D.; Koretz, M.; Cohen, Y. Cutaneous Angiosarcoma of Breast after Lumpectomy, Axillary Lymph Node Dissection, and Radiotherapy for Primary Breast Carcinoma: Case Report and Review of the Literature. Am. J. Clin. Oncol. 2002, 25, 597–598. [Google Scholar] [CrossRef] [PubMed]
- Deutsch, M.; Rosenstein, M.M. Angiosarcoma of the Breast Mimicking Radiation Dermatitis Arising after Lumpectomy and Breast Irradiation: A Case Report. Am. J. Clin. Oncol. 1998, 21, 608–609. [Google Scholar] [CrossRef] [PubMed]
- Williams, E.V.; Banerjee, D.; Dallimore, N.; Monypenny, I.J. Angiosarcoma of the Breast Following Radiation Therapy. Eur. J. Surg. Oncol. J. Eur. Soc. Surg. Oncol. Br. Assoc. Surg. Oncol. 1999, 25, 221–222. [Google Scholar] [CrossRef]
- Fant, J.; Grant, M.; May, S.; Talaasen, L.; Watkins, D. Angiosarcoma of the Breast: Mammographic, Clinical, and Pathologic Correlation. Breast J. 2003, 9, 252–253. [Google Scholar] [CrossRef]
- Peters, M.E.; Fagerholm, M.I.; Scanlan, K.A.; Voegeli, D.R.; Kelcz, F. Mammographic Evaluation of the Postsurgical and Irradiated Breast. Radiographics 1988, 8, 873–899. [Google Scholar] [CrossRef]
- Kacen, M.G.; Sangle, N.; Kornecki, A. Contrast-Enhanced Mammography in the Diagnosis of Breast Angiosarcoma. Case Rep. Radiol. 2021, 2021, 5542786. [Google Scholar] [CrossRef]
- Liu, X.; Zheng, S.; Li, Y.; He, W. Use of Extended Field-of-View Ultrasound Imaging in Giant Primary Breast Angiosarcoma: A Case Description. Quant. Imaging Med. Surg. 2022, 12, 868–873. [Google Scholar] [CrossRef]
- Gao, Y.; Slanetz, P.J.; Eisenberg, R.L. Echogenic Breast Masses at US: To Biopsy or Not to Biopsy? Radiographics 2013, 33, 419–434. [Google Scholar] [CrossRef]
- Mouhoub, M.; Miry, A.; Haloui, A.; Karich, N.; Kamaoui, I.; Benkirane, S.; Bennani, A. Primary Angiosarcoma of the Breast: A Case Report. Pan Afr. Med. J. 2019, 33. [Google Scholar] [CrossRef]
- Matsumoto, R.A.E.K.; Hsieh, S.J.K.; Chala, L.F.; de Mello, G.G.N.; de Barros, N. Sarcomas of the Breast: Findings on Mammography, Ultrasound, and Magnetic Resonance Imaging. Radiol. Bras. 2018, 51, 401–406. [Google Scholar] [CrossRef] [PubMed]
- Salminen, S.H.; Sampo, M.M.; Böhling, T.O.; Salo, J.; Tarkkanen, M.; Blomqvist, C.P.; Hukkinen, K. Radiation-Associated Angiosarcoma of the Breast: Analysis of Diagnostic Tools in a Registry-Based Population. Acta Radiol. Stockh. Swed. 1987 2022, 63, 22–27. [Google Scholar] [CrossRef] [PubMed]
- Yang, O.O.; Lan, T.; He, J.L.; Xu, H.B.; Hao, L.; Shu, C.; Hu, Z.J.; Luo, H. Magnetic Resonance Imaging and Contrast-Enhanced Ultrasound Findings of a Recurrent Primary Breast Angiosarcoma. Medicine (Baltimore) 2021, 100, e24625. [Google Scholar] [CrossRef] [PubMed]
- Qin, X.; Wu, Y.; Yu, L.; Lv, Q.; Xie, M. Metastasis of Primary Breast Angiosarcoma to Axillary and Supraclavicular Lymph Nodes: A Rare Case Diagnosed Using Imaging Data. J. Int. Med. Res. 2021, 49, 3000605211002337. [Google Scholar] [CrossRef] [PubMed]
- Chikarmane, S.A.; Gombos, E.C.; Jagadeesan, J.; Raut, C.; Jagannathan, J.P. MRI Findings of Radiation-Associated Angiosarcoma of the Breast (RAS). J. Magn. Reson. Imaging JMRI 2015, 42, 763–770. [Google Scholar] [CrossRef]
- Sanders, L.M.; Groves, A.C.; Schaefer, S. Cutaneous Angiosarcoma of the Breast on MRI. AJR Am. J. Roentgenol. 2006, 187, W143–W146. [Google Scholar] [CrossRef]
- O’Neill, A.C.; D’Arcy, C.; McDermott, E.; O’Doherty, A.; Quinn, C.; McNally, S. Magnetic Resonance Imaging Appearances in Primary and Secondary Angiosarcoma of the Breast. J. Med. Imaging Radiat. Oncol. 2014, 58, 208–212. [Google Scholar] [CrossRef]
- Liberman, L.; Dershaw, D.D.; Kaufman, R.J.; Rosen, P.P. Angiosarcoma of the Breast. Radiology 1992, 183, 649–654. [Google Scholar] [CrossRef]
- Kikawa, Y.; Konishi, Y.; Nakamoto, Y.; Harada, T.; Takeo, M.; Ogata, M.; Yamamoto, M.; Usuki, N.; Toyoshima, M.; Katsuyama, E. Angiosarcoma of the Breast - Specific Findings of MRI. Breast Cancer 2006, 13, 369–373. [Google Scholar] [CrossRef]
- Marchant, L.K.; Orel, S.G.; Perez-Jaffe, L.A.; Reynolds, C.; Schnall, M.D. Bilateral Angiosarcoma of the Breast on MR Imaging. AJR Am. J. Roentgenol. 1997, 169, 1009–1010. [Google Scholar] [CrossRef] [PubMed]
- Brown, A.L.; Wahab, R.A. MRI of Primary Angiosarcoma of the Breast. Radiology 2020, 297, 31. [Google Scholar] [CrossRef]
- Ooe, Y.; Terakawa, H.; Kawashima, H.; Ikeda, H.; Inaki, N. Bilateral Primary Angiosarcoma of the Breast: A Case Report. J. Med. Case Rep. 2023, 17, 60. [Google Scholar] [CrossRef] [PubMed]
- Perretta, T.; Meucci, R.; Serio, M.L.; Caliandro, A.; Censi, M.; Beninati, E.; Collura, A.; Vanni, G.; Giacobbi, E.; Anemona, L.; et al. Small Vascular Lesions of the Breast Diagnosed by Magnetic Resonance Imaging-guided Vacuum Assisted Biopsy: Report of 2 Cases. Radiol. Case Rep. 2022, 17, 2492–2500. [Google Scholar] [CrossRef]
- Vuille-dit-Bille, R.N.; Sauter, D.; Pfofe, D.; Zagralioglu, O.; Jandali, A.R.; Nadig, J.; Dinçler, S.; Muff, B. High-Grade Cutaneous Angiosarcoma of the Breast 8.5 Years after Radiotherapy. Breast J. 2013, 19, 435–436. [Google Scholar] [CrossRef]
- Varghese, B.; Deshpande, P.; Dixit, S.; Koppiker, C.B.; Jalnapurkar, N. Primary Angiosarcoma Of the Breast: A Case Report. J. Radiol. Case Rep. 2019, 13, 15–25. [Google Scholar] [CrossRef]
- Chesebro, A.L.; Chikarmane, S.A.; Gombos, E.C.; Giardino, A.A. Radiation-Associated Angiosarcoma of the Breast: What the Radiologist Needs to Know. AJR Am. J. Roentgenol. 2016, 207, 217–225. [Google Scholar] [CrossRef] [PubMed]
- Ohta, M.; Tokuda, Y.; Kuge, S.; Okumura, A.; Tanaka, M.; Kubota, M.; Tajima, T.; Akatsuka, A.; Osamura, R.Y.; Tamaoki, N.; et al. A Case of Angiosarcoma of the Breast. Jpn. J. Clin. Oncol. 1997, 27, 91–94. [Google Scholar] [CrossRef] [PubMed]
- Zeng, W.; Styblo, T.M.; Li, S.; Sepulveda, J.N.; Schuster, D.M. Breast Angiosarcoma: FDG PET Findings. Clin. Nucl. Med. 2009, 34, 443–445. [Google Scholar] [CrossRef]
- Cassou-Mounat, T.; Champion, L.; Bozec, L.; Laurence, V.; Huchet, V.; Luporsi, M.; Jehanno, N. Primary and Secondary Breast Angiosarcoma: FDG PET/CT Series. Clin. Nucl. Med. 2019, 44, e33. [Google Scholar] [CrossRef]
- Tang, C.; Zhan, C.; Qin, Y.; Hu, Q.; Ai, T. Primary Angiosarcoma of the Breast: Two Case Reports and Brief Review of the Literature. Radiol. Case Rep. 2023, 18, 1671–1675. [Google Scholar] [CrossRef]
- Rosen, P.P.; Kimmel, M.; Ernsberger, D. Mammary Angiosarcoma. The Prognostic Significance of Tumor Differentiation. Cancer 1988, 62, 2145–2151. [Google Scholar] [CrossRef] [PubMed]
- Luini, A.; Gatti, G.; Diaz, J.; Botteri, E.; Oliveira, E.; Cecilio Sahium de Almeida, R.; Veronesi, P.; Intra, M.; Pagani, G.; Naninato, P.; et al. Angiosarcoma of the Breast: The Experience of the European Institute of Oncology and a Review of the Literature. Breast Cancer Res. Treat. 2007, 105, 81–85. [Google Scholar] [CrossRef]
- Abraham, J.A.; Hornicek, F.J.; Kaufman, A.M.; Harmon, D.C.; Springfield, D.S.; Raskin, K.A.; Mankin, H.J.; Kirsch, D.G.; Rosenberg, A.E.; Nielsen, G.P.; et al. Treatment and Outcome of 82 Patients with Angiosarcoma. Ann. Surg. Oncol. 2007, 14, 1953–1967. [Google Scholar] [CrossRef] [PubMed]
- Monroe, A.T.; Feigenberg, S.J.; Mendenhall, N.P. Angiosarcoma after Breast-Conserving Therapy. Cancer 2003, 97, 1832–1840. [Google Scholar] [CrossRef] [PubMed]
- Spiker, A.M.; Mangla, A.; Ramsey, M.L. Angiosarcoma. In StatPearls; StatPearls Publishing: Treasure Island, FL, USA, 2023. [Google Scholar]
- Biswas, T.; Tang, P.; Muhs, A.; Ling, M. Angiosarcoma of the Breast: A Rare Clinicopathological Entity. Am. J. Clin. Oncol. 2009, 32, 582–586. [Google Scholar] [CrossRef] [PubMed]
- Bousquet, G.; Confavreux, C.; Magné, N.; de Lara, C.T.; Poortmans, P.; Senkus, E.; de Lafontan, B.; Bolla, M.; Largillier, R.; Lagneau, E.; et al. Outcome and Prognostic Factors in Breast Sarcoma: A Multicenter Study from the Rare Cancer Network. Radiother. Oncol. J. Eur. Soc. Ther. Radiol. Oncol. 2007, 85, 355–361. [Google Scholar] [CrossRef]
- Sher, T.; Hennessy, B.T.; Valero, V.; Broglio, K.; Woodward, W.A.; Trent, J.; Hunt, K.K.; Hortobagyi, G.N.; Gonzalez-Angulo, A.M. Primary Angiosarcomas of the Breast. Cancer 2007, 110, 173–178. [Google Scholar] [CrossRef]
- Ragavan, S.; Lim, H.J.; Tan, J.W.-S.; Hendrikson, J.; Chan, J.Y.; Farid, M.; Chia, C.S.; Tan, G.H.C.; Soo, K.C.; Teo, M.C.C.; et al. Axillary Lymph Node Dissection in Angiosarcomas of the Breast: An Asian Institutional Perspective. Sarcoma 2020, 2020, 4890803. [Google Scholar] [CrossRef]
- Maeda, T.; Tateishi, U.; Hasegawa, T.; Ojima, H.; Arai, Y.; Sugimura, K. Primary Hepatic Angiosarcoma on Coregistered FDG PET and CT Images. AJR Am. J. Roentgenol. 2007, 188, 1615–1617. [Google Scholar] [CrossRef]
- Freudenberg, L.S.; Rosenbaum, S.J.; Schulte-Herbrüggen, J.; Eising, E.G.; Lauenstein, T.; Wolff, A.; Bockisch, A. Diagnosis of a Cardiac Angiosarcoma by Fluorine-18 Fluordeoxyglucose Positron Emission Tomography. Eur. Radiol. 2002, 12 Suppl 3, S158–S161. [Google Scholar] [CrossRef]
- Thijssens, K.M.J.; van Ginkel, R.J.; Suurmeijer, A.J.H.; Pras, E.; van der Graaf, W.T.A.; Hollander, M.; Hoekstra, H.J. Radiation-Induced Sarcoma: A Challenge for the Surgeon. Ann. Surg. Oncol. 2005, 12, 237–245. [Google Scholar] [CrossRef] [PubMed]
- Rao, J.; Dekoven, J.G.; Beatty, J.D.; Jones, G. Cutaneous Angiosarcoma as a Delayed Complication of Radiation Therapy for Carcinoma of the Breast. J. Am. Acad. Dermatol. 2003, 49, 532–538. [Google Scholar] [CrossRef] [PubMed]
- Plotti, F.; Di Donato, V.; Zullo, M.A.; Angioli, R.; Panici, P.B. An Unusual Case of Secondary Fibrosarcoma after Treatment for Breast Cancer. Gynecol. Oncol. 2006, 103, 1133–1136. [Google Scholar] [CrossRef] [PubMed]
- Borman, H.; Safak, T.; Ertoy, D. Fibrosarcoma Following Radiotherapy for Breast Carcinoma: A Case Report and Review of the Literature. Ann. Plast. Surg. 1998, 41, 201–204. [Google Scholar] [CrossRef]
- Depla, A.L.; Scharloo-Karels, C.H.; de Jong, M.A.A.; Oldenborg, S.; Kolff, M.W.; Oei, S.B.; van Coevorden, F.; van Rhoon, G.C.; Baartman, E.A.; Scholten, R.J.; et al. Treatment and Prognostic Factors of Radiation-Associated Angiosarcoma (RAAS) after Primary Breast Cancer: A Systematic Review. Eur. J. Cancer Oxf. Engl. 1990 2014, 50, 1779–1788. [Google Scholar] [CrossRef]
- Torres, K.E.; Ravi, V.; Kin, K.; Yi, M.; Guadagnolo, B.A.; May, C.D.; Arun, B.K.; Hunt, K.K.; Lam, R.; Lahat, G.; et al. Long-Term Outcomes in Patients with Radiation-Associated Angiosarcomas of the Breast Following Surgery and Radiotherapy for Breast Cancer. Ann. Surg. Oncol. 2013, 20, 1267–1274. [Google Scholar] [CrossRef]
- Lewcun, J.A.; Pameijer, C.; Kass, R.; Cream, L.; Hershock, D.; Brooks, A.J.; Dodge, D.G. Doxorubicin, Paclitaxel, and Cisplatin Based Chemotherapy for the Treatment of Angiosarcoma: Two Case Reports. Int. J. Surg. Case Rep. 2020, 68, 83–87. [Google Scholar] [CrossRef]
- Gambini, D.; Visintin, R.; Locatelli, E.; Bareggi, C.; Galassi, B.; Runza, L.; Blundo, C.; Sosnovskikh, I.; Tomirotti, M. Secondary Breast Angiosarcoma and Paclitaxel-Dependent Prolonged Disease Control: Report of Two Cases and Review of the Literature. Tumori 2015, 101, e60–e63. [Google Scholar] [CrossRef]
- Suzuki, Y.; Taniguchi, K.; Hatono, M.; Kajiwara, Y.; Abe, Y.; Kawada, K.; Tsukioki, T.; Kochi, M.; Nishiyama, K.; Iwamoto, T.; et al. Recurring Radiationinduced Angiosarcoma of the Breast That Was Treated with Paclitaxel Chemotherapy: A Case Report. Surg Case Rep. 2020, 6, 25. [Google Scholar] [CrossRef]
- Gutkin, P.M.; Ganjoo, K.N.; Lohman, M.; von Eyben, R.; Charville, G.W.; Nazerali, R.S.; Dirbas, F.M.; Horst, K.C. Angiosarcoma of the Breast: Management and Outcomes. Am. J. Clin. Oncol. 2020, 43, 820–825. [Google Scholar] [CrossRef]
- Stacchiotti, S.; Palassini, E.; Sanfilippo, R.; Vincenzi, B.; Arena, M.G.; Bochicchio, A.M.; De Rosa, P.; Nuzzo, A.; Turano, S.; Morosi, C.; et al. Gemcitabine in Advanced Angiosarcoma: A Retrospective Case Series Analysis from the Italian Rare Cancer Network. Ann. Oncol. Off. J. Eur. Soc. Med. Oncol. 2012, 23, 501–508. [Google Scholar] [CrossRef] [PubMed]
- Leu, K.M.; Ostruszka, L.J.; Shewach, D.; Zalupski, M.; Sondak, V.; Biermann, J.S.; Lee, J.S.-J.; Couwlier, C.; Palazzolo, K.; Baker, L.H. Laboratory and Clinical Evidence of Synergistic Cytotoxicity of Sequential Treatment with Gemcitabine Followed by Docetaxel in the Treatment of Sarcoma. J. Clin. Oncol. 2004, 22, 1706–1712. [Google Scholar] [CrossRef] [PubMed]
- Brady, M.S.; Gaynor, J.J.; Brennan, M.F. Radiation-Associated Sarcoma of Bone and Soft Tissue. Arch. Surg. 1960 1992, 127, 1379–1385. [Google Scholar] [CrossRef] [PubMed]
- Kuten, A.; Sapir, D.; Cohen, Y.; Haim, N.; Borovik, R.; Robinson, E. Postirradiation Soft Tissue Sarcoma Occurring in Breast Cancer Patients: Report of Seven Cases and Results of Combination Chemotherapy. J. Surg. Oncol. 1985, 28, 168–171. [Google Scholar] [CrossRef] [PubMed]
- Cafiero, F.; Gipponi, M.; Peressini, A.; Queirolo, P.; Bertoglio, S.; Comandini, D.; Percivale, P.; Sertoli, M.R.; Badellino, F. Radiation-Associated Angiosarcoma: Diagnostic and Therapeutic Implications--Two Case Reports and a Review of the Literature. Cancer 1996, 77, 2496–2502. [Google Scholar] [CrossRef]
- Lagrange, J.L.; Ramaioli, A.; Chateau, M.C.; Marchal, C.; Resbeut, M.; Richaud, P.; Lagarde, P.; Rambert, P.; Tortechaux, J.; Seng, S.H.; et al. Sarcoma after Radiation Therapy: Retrospective Multiinstitutional Study of 80 Histologically Confirmed Cases. Radiology 2000, 216, 197–205. [Google Scholar] [CrossRef]
- Barrow, B.J.; Janjan, N.A.; Gutman, H.; Benjamin, R.S.; Allen, P.; Romsdahl, M.M.; Ross, M.I.; Pollock, R.E. Role of Radiotherapy in Sarcoma of the Breast—A Retrospective Review of the M.D. Anderson Experience. Radiother. Oncol. J. Eur. Soc. Ther. Radiol. Oncol. 1999, 52, 173–178. [Google Scholar] [CrossRef]
- Guram, S.; Covelli, A.M.; O’Neill, A.C.; Shultz, D.B.; Demicco, E.G.; Gupta, A.A.; Gladdy, R.A. Multidisciplinary Intervention in Radiation-Associated Angiosarcoma of the Breast: Patterns of Recurrence and Response to Treatment. Ann. Surg. Oncol. 2022, 29, 522–532. [Google Scholar] [CrossRef]
- Brenin, C.M.; Small, W.; Talamonti, M.S.; Gradisher, W.J. Radiation-Induced Sarcoma Following Treatment of Breast Cancer. Cancer Control J. Moffitt Cancer Cent. 1998, 5, 425–432. [Google Scholar] [CrossRef]
- Chapelier, A.R.; Bacha, E.A.; de Montpreville, V.T.; Dulmet, E.M.; Rietjens, M.; Margulis, A.; Macchiarini, P.; Dartevelle, P.G. Radical Resection of Radiation-Induced Sarcoma of the Chest Wall: Report of 15 Cases. Ann. Thorac. Surg. 1997, 63, 214–219. [Google Scholar] [CrossRef] [PubMed]
- Feigenberg, S.J.; Mendenhall, N.P.; Reith, J.D.; Ward, J.R.; Copeland, E.M. Angiosarcoma after Breast-Conserving Therapy: Experience with Hyperfractionated Radiotherapy. Int. J. Radiat. Oncol. Biol. Phys. 2002, 52, 620–626. [Google Scholar] [CrossRef] [PubMed]
- Palta, M.; Morris, C.G.; Grobmyer, S.R.; Copeland, E.M.; Mendenhall, N.P. Angiosarcoma after Breast-Conserving Therapy: Long-Term Outcomes with Hyperfractionated Radiotherapy. Cancer 2010, 116, 1872–1878. [Google Scholar] [CrossRef]
- Quadros, C.A.; Vasconcelos, A.; Andrade, R.; Ramos, R.S.; Studart, E.; Nascimento, G.; Trajano, A. Good Outcome after Neoadjuvant Chemotherapy and Extended Surgical Resection for a Large Radiation-Induced High-Grade Breast Sarcoma. Int. Semin. Surg. Oncol. 2006, 3, 18. [Google Scholar] [CrossRef] [PubMed]
- Erel, E.; Vlachou, E.; Athanasiadou, M.; Hassan, S.; Chandrasekar, C.R.; Peart, F. Management of Radiation-Induced Sarcomas in a Tertiary Referral Centre: A Review of 25 Cases. Breast Edinb. Scotl. 2010, 19, 424–427. [Google Scholar] [CrossRef]
- Strobbe, L.J.; Peterse, H.L.; van Tinteren, H.; Wijnmaalen, A.; Rutgers, E.J. Angiosarcoma of the Breast after Conservation Therapy for Invasive Cancer, the Incidence and Outcome: An Unforseen Sequela. Breast Cancer Res. Treat. 1998, 47, 101–109. [Google Scholar] [CrossRef] [PubMed]
- Sheth, G.R.; Cranmer, L.D.; Smith, B.D.; Grasso-LeBeau, L.; Lang, J.E. Radiation-Induced Sarcoma of the Breast: A Systematic Review. The Oncologist 2012, 17, 405–418. [Google Scholar] [CrossRef]
- Billings, S.D.; McKenney, J.K.; Folpe, A.L.; Hardacre, M.C.; Weiss, S.W. Cutaneous Angiosarcoma Following Breast-Conserving Surgery and Radiation: An Analysis of 27 Cases. Am. J. Surg. Pathol. 2004, 28, 781–788. [Google Scholar] [CrossRef]














Disclaimer/Publisher’s Note: The statements, opinions and data contained in all publications are solely those of the individual author(s) and contributor(s) and not of MDPI and/or the editor(s). MDPI and/or the editor(s) disclaim responsibility for any injury to people or property resulting from any ideas, methods, instructions or products referred to in the content. |
© 2023 by the authors. Licensee MDPI, Basel, Switzerland. This article is an open access article distributed under the terms and conditions of the Creative Commons Attribution (CC BY) license (https://creativecommons.org/licenses/by/4.0/).
Share and Cite
Conti, M.; Morciano, F.; Rossati, C.; Gori, E.; Belli, P.; Fornasa, F.; Romanucci, G.; Rella, R. Angiosarcoma of the Breast: Overview of Current Data and Multimodal Imaging Findings. J. Imaging 2023, 9, 94. https://doi.org/10.3390/jimaging9050094
Conti M, Morciano F, Rossati C, Gori E, Belli P, Fornasa F, Romanucci G, Rella R. Angiosarcoma of the Breast: Overview of Current Data and Multimodal Imaging Findings. Journal of Imaging. 2023; 9(5):94. https://doi.org/10.3390/jimaging9050094
Chicago/Turabian StyleConti, Marco, Francesca Morciano, Claudia Rossati, Elisabetta Gori, Paolo Belli, Francesca Fornasa, Giovanna Romanucci, and Rossella Rella. 2023. "Angiosarcoma of the Breast: Overview of Current Data and Multimodal Imaging Findings" Journal of Imaging 9, no. 5: 94. https://doi.org/10.3390/jimaging9050094
APA StyleConti, M., Morciano, F., Rossati, C., Gori, E., Belli, P., Fornasa, F., Romanucci, G., & Rella, R. (2023). Angiosarcoma of the Breast: Overview of Current Data and Multimodal Imaging Findings. Journal of Imaging, 9(5), 94. https://doi.org/10.3390/jimaging9050094

