Sign in to use this feature.

Years

Between: -

Subjects

remove_circle_outline
remove_circle_outline
remove_circle_outline
remove_circle_outline
remove_circle_outline
remove_circle_outline

Journals

Article Types

Countries / Regions

Search Results (13)

Search Parameters:
Keywords = primary breast angiosarcoma

Order results
Result details
Results per page
Select all
Export citation of selected articles as:
21 pages, 2753 KB  
Systematic Review
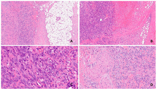
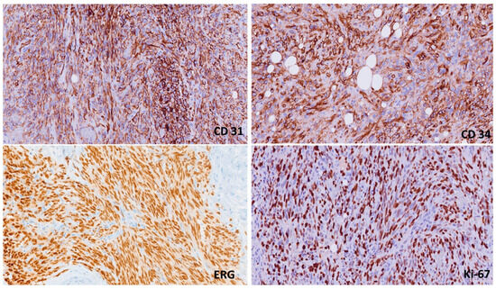
Primary Angiosarcoma of Breast: Surgery Alone Versus Chemotherapy and/or Radiotherapy—A Systematic Review and Meta-Analysis
by Konstantinos Skarentzos, Anastasia Kourtesa, Abraham Pouliakis, Menelaos G. Samaras, Andrea Palicelli, Maurizio Zizzo, Giuseppe Broggi, Serena Salzano, Rosario Caltabiano, Magda Zanelli and Nektarios I. Koufopoulos
Cancers 2026, 18(4), 705; https://doi.org/10.3390/cancers18040705 - 21 Feb 2026
Viewed by 449
Abstract
Background: Primary angiosarcoma of the breast (PAB) is a rare malignancy with no standardized treatment protocol. Objective: To quantify the impact of tumor grade on overall survival (OS) and evaluate the association of adjuvant chemotherapy and radiotherapy with survival in primary angiosarcoma of [...] Read more.
Background: Primary angiosarcoma of the breast (PAB) is a rare malignancy with no standardized treatment protocol. Objective: To quantify the impact of tumor grade on overall survival (OS) and evaluate the association of adjuvant chemotherapy and radiotherapy with survival in primary angiosarcoma of the breast (PAB). Methods: We systematically searched PubMed, Scopus, and Cochrane Library until 27 June 2025. Two reviewers independently screened studies, extracted data, and assessed risk of bias using the Newcastle-Ottawa Scale. Kaplan–Meier curve digitization was used to reconstruct individual patient data. Random-effects meta-analysis was performed for grade comparisons and therapy associations. Results: Eleven studies (436 patients) were included. Meta-analysis of six studies showed increasing tumor grade significantly predicted mortality, with homogeneous hazard ratios (HRs) of 1.2 (Grade 2 vs. 1) and 3.7 (Grade 3 vs. 1). Analysis of five studies revealed that adjuvant chemotherapy was associated with significantly improved survival (HR = 0.11, 95% CI: 0.02–0.45), while radiotherapy showed no benefit (p = 0.96). Included studies demonstrated low-moderate risk of bias. Conclusions: This first quantitative synthesis establishes histologic grade as a paramount prognostic factor in PAB and shows a strong association between adjuvant chemotherapy and survival benefit. These findings provide crucial evidence for risk stratification and support considering chemotherapy in multimodal treatment for this rare disease. Full article
(This article belongs to the Section Cancer Therapy)
Show Figures

Figure 1

22 pages, 2021 KB  
Review
Radiation-Associated Angiosarcoma of the Breast: The State of the Art of a Rare and Aggressive Disease
by Salvatore Cozzi, Sebastiano Finocchi Ghersi, Francesca Tava, Lilia Bardoscia, Masoumeh Najafi, Maria Paola Ruggieri, Anne-Agathe Serre, Camille Roukoz, Cristina Gutierrez Miguelez, Amina Lazrek, Angela Sardaro and Cecilia Taverna
J. Pers. Med. 2024, 14(8), 859; https://doi.org/10.3390/jpm14080859 - 14 Aug 2024
Cited by 12 | Viewed by 4106
Abstract
Introduction: Considering the increasing number of conservative surgeries (quadrantectomies) for primary breast carcinoma, especially in the early stages, often followed by adjuvant radiotherapy, the incidence of radiation-associated angiosarcoma (RAS) is expected to rise in the coming decades, and it will represent a clinical [...] Read more.
Introduction: Considering the increasing number of conservative surgeries (quadrantectomies) for primary breast carcinoma, especially in the early stages, often followed by adjuvant radiotherapy, the incidence of radiation-associated angiosarcoma (RAS) is expected to rise in the coming decades, and it will represent a clinical and therapeutic challenge, as limited data are available due to the rarity and heterogeneity of the disease. Though the prognosis of these patients is poor, a number of clinical and pathological factors can be evaluated to better understand the course of RAS. The aim of this systematic review is to explore the available clinical-pathological, therapeutic, and prognostic data regarding RAS to evaluate its occurrence, diagnosis, treatment, and outcomes. Method: RAS clinical data were identified by a systematic review conducted in five different databases (Medline, Web of Knowledge, Google Scholar, Scopus, and Cochrane). Only RAS works published in English, with access to the full manuscript text, and with clear results, were considered as eligible. Results: We considered 52 papers comprising 319 RAS cases. The patient age at diagnosis ranged from 37 to 93 years, with most cases occurring from 5 to 10 years after breast irradiation. The most common clinical presentation was an aggressive development of macules, papules, or erythematous-violaceous skin discoloration at the site of previous radiation treatment for primary breast carcinoma. Complete surgical excision appeared to be the first-line treatment of the disease, in some cases followed by adjuvant local and/or systemic therapies. Despite different treatments, local recurrence rates ranged from 40% to 90%, leading to negative outcomes and poor prognosis for patients. Conclusion: Although the literature is limited and the data are heterogeneous and contentious, our review aims to highlight the importance of early diagnosis, multimodal treatment, and long-term follow-up of RAS in order to limit and prevent the aggressiveness of this neoplasm. Full article
(This article belongs to the Section Personalized Therapy and Drug Delivery)
Show Figures

Figure 1

10 pages, 3524 KB  
Case Report
Post-Radiation Angiosarcoma (PRA) of the Small Bowel: Report of a Case and Review of the Literature
by Marco La Gatta, Noemi Zorzetti, Cinzia Baccaro, Cuoghi Manuela, Adele Fornelli, Vincenzo Cennamo and Giuseppe Giovanni Navarra
Surgeries 2023, 4(3), 381-390; https://doi.org/10.3390/surgeries4030038 - 19 Jul 2023
Viewed by 2274
Abstract
Angiosarcoma is a rare and aggressive neoplasia of endothelial cells which represents only 2% of all soft-tissue tumors and frequently occurs in the skin and subcutaneous tissues. It is classified in two groups: the first is represented by primary angiosarcoma, which includes cutaneous [...] Read more.
Angiosarcoma is a rare and aggressive neoplasia of endothelial cells which represents only 2% of all soft-tissue tumors and frequently occurs in the skin and subcutaneous tissues. It is classified in two groups: the first is represented by primary angiosarcoma, which includes cutaneous and breast angiosarcoma; the second is constituted by secondary angiosarcoma, which is related to radiation therapy, lymphedema, exposure to some chemical toxins, and familiar syndromes. Post-radiation intestinal angiosarcoma is a special type of secondary angiosarcoma, and only a few cases have been reported in the literature. We present a case of radiation-induced small bowel angiosarcoma in an 88-year-old female patient who was admitted to our department for abdominal pain and signs of intestinal obstruction. Her clinical history included previous radiotherapy treatments after a hysterectomy for uterine fibroids, excision of the vaginal stump for squamous cell carcinoma, and the surgical removal of a left-leg cutaneous angiosarcoma. She underwent emergency surgery, and features of peritoneal carcinomatosis were detected. A histological examination showed the presence of a small intestinal angiosarcoma. At the histochemical analysis, MYC amplification was detected, suggesting that her small bowel angiosarcoma was related to past radiation treatments. Full article
Show Figures

Figure 1

17 pages, 8379 KB  
Review
Angiosarcoma of the Breast: Overview of Current Data and Multimodal Imaging Findings
by Marco Conti, Francesca Morciano, Claudia Rossati, Elisabetta Gori, Paolo Belli, Francesca Fornasa, Giovanna Romanucci and Rossella Rella
J. Imaging 2023, 9(5), 94; https://doi.org/10.3390/jimaging9050094 - 30 Apr 2023
Cited by 18 | Viewed by 9237
Abstract
Angiosarcoma of the breast is a rare breast cancer, which can arise de novo (primary breast angiosarcoma, PBA) or as a secondary malignancy (secondary breast angiosarcoma, SBA) as a result of a biological insult. In the latter case, it is usually diagnosed in [...] Read more.
Angiosarcoma of the breast is a rare breast cancer, which can arise de novo (primary breast angiosarcoma, PBA) or as a secondary malignancy (secondary breast angiosarcoma, SBA) as a result of a biological insult. In the latter case, it is usually diagnosed in patients with a previous history of radiation therapy following a conserving treatment for breast cancer. Over the years, the advances in early diagnosis and treatment of breast cancer, with increasing use of breast-conserving surgery and radiation therapy (instead of radical mastectomy), brought about an increased incidence of the secondary type. PBA and SBA have different clinical presentations and often represent a diagnostic challenge due to the nonspecific imaging findings. The purpose of this paper is to review and describe the radiological features of breast angiosarcoma, both in conventional and advanced imaging to guide radiologists in the diagnosis and management of this rare tumor. Full article
Show Figures

Figure 1

13 pages, 2970 KB  
Case Report
Primary Breast Angiosarcoma: Comparative Transcriptome Analysis
by Andrés Rincón-Riveros, Jairo De la Peña, Wilson Rubiano, Fabio Olivella, María Martinez-Agüero and Victoria E. Villegas
Int. J. Mol. Sci. 2022, 23(24), 16032; https://doi.org/10.3390/ijms232416032 - 16 Dec 2022
Cited by 5 | Viewed by 3343
Abstract
Primary breast angiosarcoma, with de novo appearance and not associated with exposure to radiation or lymphedema, is a rare pathology representing less than 0.05% of the neoplasms related to this organ. The pathology is characterized by its aggressiveness, poor prognosis, and difficulties in [...] Read more.
Primary breast angiosarcoma, with de novo appearance and not associated with exposure to radiation or lymphedema, is a rare pathology representing less than 0.05% of the neoplasms related to this organ. The pathology is characterized by its aggressiveness, poor prognosis, and difficulties in its differential diagnosis. This article reports the case of a 55-year-old white woman with no family history of cancer, with a rapidly growing mass in the left mammary gland that ulcerates and bleeds. It is confirmed as primary breast angiosarcoma by immunostaining in the tumor tissue for CD31, CD34, and FLI-1. In addition, a sample of neoplastic and healthy tissues is collected from the patient for RNA sequencing; the results are contrasted with a tissue sample from a patient with Luminal A subtype of breast cancer, as well as data from other cases of angiosarcoma available in public databases. These findings revealed a genetic profile associated with the immune and inflammatory response in the patient’s sample when compared to available angiosarcoma data; these molecular patterns are consistent with other recent studies. Due to the rarity of the disease, the studies carried out on each patient contribute to the expanding knowledge of the etiology and molecular pathways that are still partially known and continue to be the subject of research. Aside from a comparative transcriptome study, this article aims to provide an update on the state of knowledge about this disease. Full article
(This article belongs to the Special Issue The Emerging Role of RNA in Diseases and Cancers)
Show Figures

Figure 1

10 pages, 1354 KB  
Article
Primary Angiosarcoma of the Breast: A Single-Center Retrospective Study in Korea
by Yeon-Jin Kim, Jai-Min Ryu, Se-Kyung Lee, Byung-Joo Chae, Seok-Won Kim, Seok-Jin Nam, Jong-Han Yu and Jeong-Eon Lee
Curr. Oncol. 2022, 29(5), 3272-3281; https://doi.org/10.3390/curroncol29050267 - 4 May 2022
Cited by 17 | Viewed by 5393
Abstract
Due to the rarity of primary angiosarcoma of the breast, optimal management is based on expert opinion. The aim of this study was to review all primary angiosarcomas of the breast obtained from a single center in terms of clinicopathologic characteristics, treatment, and [...] Read more.
Due to the rarity of primary angiosarcoma of the breast, optimal management is based on expert opinion. The aim of this study was to review all primary angiosarcomas of the breast obtained from a single center in terms of clinicopathologic characteristics, treatment, and survival outcomes. From 1997 to 2020, 15 patients with primary angiosarcoma of the breast underwent either mastectomy or wide excision. We analyzed the clinicopathologic data to assess disease-free survival and overall survival. Fifteen women with primary angiosarcoma of the breast were identified. The mean age at diagnosis was 33 years (range: 14–63 years). The overall mean tumor size was 7.7 cm (range 3.5–20 cm). Upon histological grading, there were three cases of low grade, five intermediate grade, six high grade, and one unidentified grade. The five-year disease-free survival rate was 24.4%, and the five-year survival rate was 37.2%. The survival rate of the low-grade patient group was statistically higher than that of the intermediate- or high-grade patient groups (p = 0.024). Primary angiosarcoma of the breast is a rare aggressive tumor characterized by high grade and poor outcome. Histologic grade appears to be a reliable predictor of survival. There are no standard treatment guidelines; thus, optimal R0 surgical resection remains the best approach. The roles of neoadjuvant, adjuvant chemotherapy, and radiotherapy remain unclear. Full article
(This article belongs to the Topic Soft Tissue Sarcomas: Treatment and Management)
Show Figures

Figure 1

18 pages, 2865 KB  
Review
Clinical and Molecular Insights of Radiation-Induced Breast Sarcomas: Is There Hope on the Horizon for Effective Treatment of This Aggressive Disease?
by Stefania Kokkali, Jose Duran Moreno, Jerzy Klijanienko and Stamatios Theocharis
Int. J. Mol. Sci. 2022, 23(8), 4125; https://doi.org/10.3390/ijms23084125 - 8 Apr 2022
Cited by 17 | Viewed by 4579
Abstract
Radiation-induced breast sarcomas (RIBS) are rare entities representing <1% of all primary breast malignancies, limiting most reports to small retrospective case series. They constitute a heterogeneous group of neoplasms, with high-grade angiosarcoma being the most common subtype. Other sarcoma histotypes, such as undifferentiated [...] Read more.
Radiation-induced breast sarcomas (RIBS) are rare entities representing <1% of all primary breast malignancies, limiting most reports to small retrospective case series. They constitute a heterogeneous group of neoplasms, with high-grade angiosarcoma being the most common subtype. Other sarcoma histotypes, such as undifferentiated pleomorphic sarcoma and leiomyosarcoma, can also be identified. Radiation-induced breast angiosarcoma (RIBA) has an incidence of approximately 0.1% after breast-conserving therapy and arises mainly from the dermis of the irradiated breast. MYC gene amplification is highly indicative of secondary breast angiosarcomas. Their clinical presentation often mimics benign port-radiation lesions, leading to a delay in diagnosis and a lost window of opportunity for cure. Surgery with negative margins is the mainstay of treatment of localized RIBS. In the case of angiosarcoma, technical difficulties, including multifocality, infiltrative margins, and difficulty in assessing tumor margins, render surgical treatment quite challenging. A limited number of studies showed that adjuvant radiation therapy reduces local recurrences; therefore, it is proposed by many groups for large, high-grade tumors. Chemotherapy has been evaluated retrospectively in a small subset of patients, with some evidence supporting its use in angiosarcoma patients. Approximately half of patients with RIBA will show local recurrence. In the advanced setting, different therapeutic options are discussed in the review, including chemotherapy, antiangiogenic therapy, and immunotherapy, whereas the need for further research on molecular therapeutic targets is pointed out. Full article
(This article belongs to the Special Issue Molecular Advances in Cancer Therapy)
Show Figures

Figure 1

10 pages, 1856 KB  
Article
Diagnostic Accuracy of Whole-Body Computed Tomography for Incidental Ovarian Tumors in Patients with Prior Breast Cancer
by Pei-Ching Huang, Ren-Chin Wu, Yu-Hsiang Juan, Hui-Yu Ho, Yung-Chang Lin, Yi-Ting Huang, Shu-Hang Ng, Chyong-Huey Lai, Angel Chao and Gigin Lin
Diagnostics 2022, 12(2), 347; https://doi.org/10.3390/diagnostics12020347 - 29 Jan 2022
Cited by 1 | Viewed by 3556
Abstract
Whole-body computed tomography (WBCT) serves as the first-line imaging modality for breast cancer follow-up. To investigate the imaging characteristics and diagnostic accuracy of WBCT for incidental ovarian tumors in patients with prior breast cancer, we retrospectively reviewed a consecutive cohort of 13,845 patients [...] Read more.
Whole-body computed tomography (WBCT) serves as the first-line imaging modality for breast cancer follow-up. To investigate the imaging characteristics and diagnostic accuracy of WBCT for incidental ovarian tumors in patients with prior breast cancer, we retrospectively reviewed a consecutive cohort of 13,845 patients with breast cancer, of whom 149 had pathologically-proven ovarian lesions. We excluded patients with ovarian diagnosis before breast cancer, CT scan not including ovary, CT-pathology interval >30 days, and severe CT artifact. Among our 60 breast cancer patients (median age, 46 years) with pathologically proven ovarian lesions, 49 patients had benign diseases, seven had primary ovarian cancer and four had ovarian metastasis from breast cancer. The histologic types of breast cancer with ovarian metastases included invasive ductal carcinoma, lobular carcinoma and angiosarcoma. Cystic ovarian lesions identified on WBCT during the breast cancer follow-up are more likely to be benign, while solid-cystic lesions are likely to be primary ovarian cancers, and solid lesions may indicate ovarian metastasis. The diagnostic accuracy, sensitivity, specificity, and areas under the receiver operating characteristic curve of WBCT were 98.3%, 100.0%, 98.0%, and 0.99 (malignant vs. benign); 90.0%, 100.0%, 85.7%, and 0.93 (metastasis vs. primary ovarian cancer), respectively. The only false positive solid lesion was a Sertoli–Leydig tumor. In conclusion, WBCT may help diagnose incidental ovarian tumors in patients with prior breast cancers and guide disease management. Full article
(This article belongs to the Special Issue Advance in the Diagnostics of Ovarian Neoplasms)
Show Figures

Figure 1

3 pages, 198 KB  
Comment
Comment on Kronenfeld et al. Clinical Outcomes for Primary and Radiation-Associated Angiosarcoma of the Breast with Multimodal Treatment: Long-Term Survival Is Achievable. Cancers 2021, 13, 3814
by Markus Notter, Emanuel Stutz, Andreas R. Thomsen, Attila Kollár and Peter Vaupel
Cancers 2021, 13(22), 5707; https://doi.org/10.3390/cancers13225707 - 15 Nov 2021
Cited by 1 | Viewed by 2112
Abstract
On 2 July 2021, Kronenfeld et al. [...] Full article
13 pages, 2106 KB  
Article
Genomic Landscape of Angiosarcoma: A Targeted and Immunotherapy Biomarker Analysis
by Andrea Espejo Freire, Andrew Elliott, Andrew Rosenberg, Philippos Apolinario Costa, Priscila Barreto-Coelho, Emily Jonczak, Gina D’Amato, Ty Subhawong, Junaid Arshad, Julio A. Diaz-Perez, Wolfgang M. Korn, Matthew J. Oberley, Daniel Magee, Don Dizon, Margaret von Mehren, Moh’d M. Khushman, Atif Mahmoud Hussein, Kirsten Leu and Jonathan C. Trent
Cancers 2021, 13(19), 4816; https://doi.org/10.3390/cancers13194816 - 26 Sep 2021
Cited by 59 | Viewed by 8106
Abstract
We performed a retrospective analysis of angiosarcoma (AS) genomic biomarkers and their associations with the site of origin in a cohort of 143 cases. Primary sites were head and neck (31%), breast (22%), extremity (11%), viscera (20%), skin at other locations (8%), and [...] Read more.
We performed a retrospective analysis of angiosarcoma (AS) genomic biomarkers and their associations with the site of origin in a cohort of 143 cases. Primary sites were head and neck (31%), breast (22%), extremity (11%), viscera (20%), skin at other locations (8%), and unknown (9%). All cases had Next Generation Sequencing (NGS) data with a 592 gene panel, and 53 cases had Whole Exome Sequencing (WES) data, which we used to study the microenvironment phenotype. The immunotherapy (IO) response biomarkers Tumor Mutation Burden (TMB), Microsatellite Instability (MSI), and PD-L1 status were the most frequently encountered alteration, present in 36.4% of the cohort and 65% of head and neck AS (H/N-AS) (p < 0.0001). In H/N-AS, TMB-High was seen in 63.4% of cases (p < 0.0001) and PDL-1 positivity in 33% of cases. The most common genetic alterations were TP53 (29%), MYC amplification (23%), ARID1A (17%), POT1 (16%), and ATRX (13%). H/N-AS cases had predominantly mutations in TP53 (50.0%, p = 0.0004), POT1 (40.5%, p < 0.0001), and ARID1A (33.3%, p = 0.5875). In breast AS, leading alterations were MYC amplification (63.3%, p < 0.0001), HRAS (16.1%, p = 0.0377), and PIK3CA (16.1%, p = 0.2352). At other sites, conclusions are difficult to generate due to the small number of cases. A microenvironment with a high immune signature, previously associated with IO response, was evenly distributed in 13% of the cases at different primary sites. Our findings can facilitate the design and optimization of therapeutic strategies for AS. Full article
(This article belongs to the Special Issue Novel Therapeutic Considerations in Bone and Soft Tissue Sarcoma)
Show Figures

Figure 1

10 pages, 779 KB  
Article
Clinical Outcomes for Primary and Radiation-Associated Angiosarcoma of the Breast with Multimodal Treatment: Long-Term Survival Is Achievable
by Joshua P. Kronenfeld, Jessica S. Crystal, Emily L. Ryon, Sina Yadegarynia, Celeste Chitters, Raphael Yechieli, Gina D’Amato, Andrew E. Rosenberg, Susan B. Kesmodel, Jonathan C. Trent and Neha Goel
Cancers 2021, 13(15), 3814; https://doi.org/10.3390/cancers13153814 - 29 Jul 2021
Cited by 14 | Viewed by 4577
Abstract
Background: The optimal management of primary angiosarcoma (PAS) and radiation-associated angiosarcoma (RAAS) of the breast remains undefined. Available data show persistently poor survival outcomes following treatment with surgery or chemotherapy alone. The objective of this study was to evaluate long-term outcomes in patients [...] Read more.
Background: The optimal management of primary angiosarcoma (PAS) and radiation-associated angiosarcoma (RAAS) of the breast remains undefined. Available data show persistently poor survival outcomes following treatment with surgery or chemotherapy alone. The objective of this study was to evaluate long-term outcomes in patients treated with multimodality therapy. Methods: Patients diagnosed with stage I–III PAS or RAAS of the breast were identified from our local tumor registry (2010–2020). Patient demographics, tumor characteristics, and treatment were collected. Primary outcomes were local recurrence (LR), distant recurrence (DR), and median overall survival (OS). A secondary outcome was pathologic complete response (pCR) following neoadjuvant chemotherapy (NAC). Mann–Whitney U, chi-squared, or Fisher exact tests were used to analyze data. Kaplan–Meier curves compared OS for PAS and RAAS. Results: Twenty-two patients met inclusion criteria, including 11 (50%) with RAAS and 11 (50%) with PAS. Compared to PAS patients, RAAS patients were older and had more comorbidities. For RAAS patients, median time from radiation to diagnosis was 6 years (IQR: 5–11). RAAS patients were more likely to have a pCR to NAC (40% vs. 20%, p = 0.72). RAAS patients had a higher LR rate (43% vs. 38%, p = 0.83), and PAS patients were more likely to develop a DR (38% vs. 0%, p = 0.07). Median OS was 81 months in PAS patients and 90 months in RAAS patients (p = 1.00). Discussion: Long-term survival can be achieved in patients with PAS and RAAS who undergo multimodality treatment. NAC can result in pCR. The long-term clinical implications of pCR warrant further investigation. Full article
Show Figures

Figure 1

4 pages, 159 KB  
Article
Primary Angiosarcoma of the Breast—Series of 11 Consecutive Cases—A Single-Centre Experience
by M. Kunkiel, M. Maczkiewicz, A. Jagiełło-Gruszfeld and Z. Nowecki
Curr. Oncol. 2018, 25(1), 50-53; https://doi.org/10.3747/co.25.3816 - 1 Feb 2018
Cited by 28 | Viewed by 1428
Abstract
Angiosarcomas of the breast are rare parenchymal malignancies of the chest wall. Surgery is the main treatment modality with chemotherapy and radiotherapy used in case of recurrence. With generally unfavourable prognosis and lack of clear treatment guidelines due to its rarity and scarcity [...] Read more.
Angiosarcomas of the breast are rare parenchymal malignancies of the chest wall. Surgery is the main treatment modality with chemotherapy and radiotherapy used in case of recurrence. With generally unfavourable prognosis and lack of clear treatment guidelines due to its rarity and scarcity of available data, angiosarcoma of the breast is a challenging clinical situation for both oncologist and patient. We present here the results of a series of 11 consecutive primary angiosarcoma cases treated at our institute between 2000 and 2015. Full article
6 pages, 2548 KB  
Article
Primary Epithelioid Angiosarcoma of the Breast Masquerading as Carcinoma
by S. Muzumder, P. Das, M. Kumar, S. Bhasker, C. Sarkar, K. Medhi, V. K. Iyer and G. K. Rath
Curr. Oncol. 2010, 17(1), 64-69; https://doi.org/10.3747/co.v17i1.451 - 1 Feb 2010
Cited by 25 | Viewed by 1133
Abstract
Here we report a case of primary epithelioid angiosarcoma (EAS) of the breast occurring in a 30-year-old woman. Following fine-needle asspiration cytology (FNAC) and tru-cut biopsy, the patient was initially diagnosed with mammary carcinoma and thereafter underwent modified radical [...] Read more.
Here we report a case of primary epithelioid angiosarcoma (EAS) of the breast occurring in a 30-year-old woman. Following fine-needle asspiration cytology (FNAC) and tru-cut biopsy, the patient was initially diagnosed with mammary carcinoma and thereafter underwent modified radical mastectomy. Postoperative histopathologic examination and immunohistochemistry revealed a diagnosis of primary epithelioid angiosarcoma of the breast. The patient received postoperative radiotherapy to the chest wall and was started on adjuvant thalidomide. Preoperatively, EAS can be mistaken for carcinoma because it is difficult to appreciate the typical morphology on FNAC or tru-cut biopsy. Indeed, this is an area of potential diagnostic error because, nowadays, neoadjuvant therapy is often instituted after core biopsy of a breast mass. This case is being reported not only for its diagnostic difficulty, but also because of its rarity in English literature. Full article
Back to TopTop