Visualization of Inferior Alveolar and Lingual Nerve Pathology by 3D Double-Echo Steady-State MRI: Two Case Reports with Literature Review
Abstract
:1. Introduction
2. Case Presentation
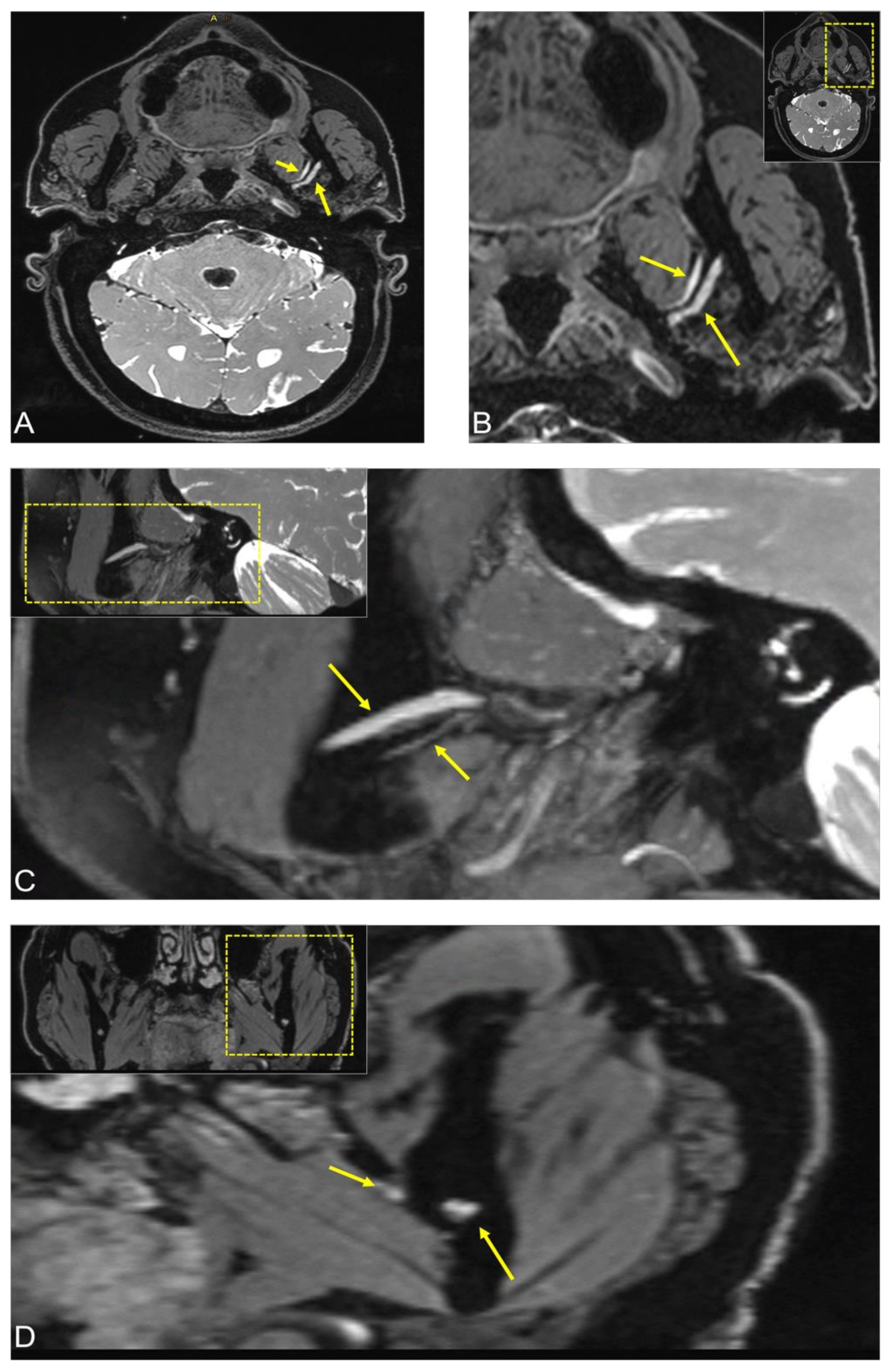
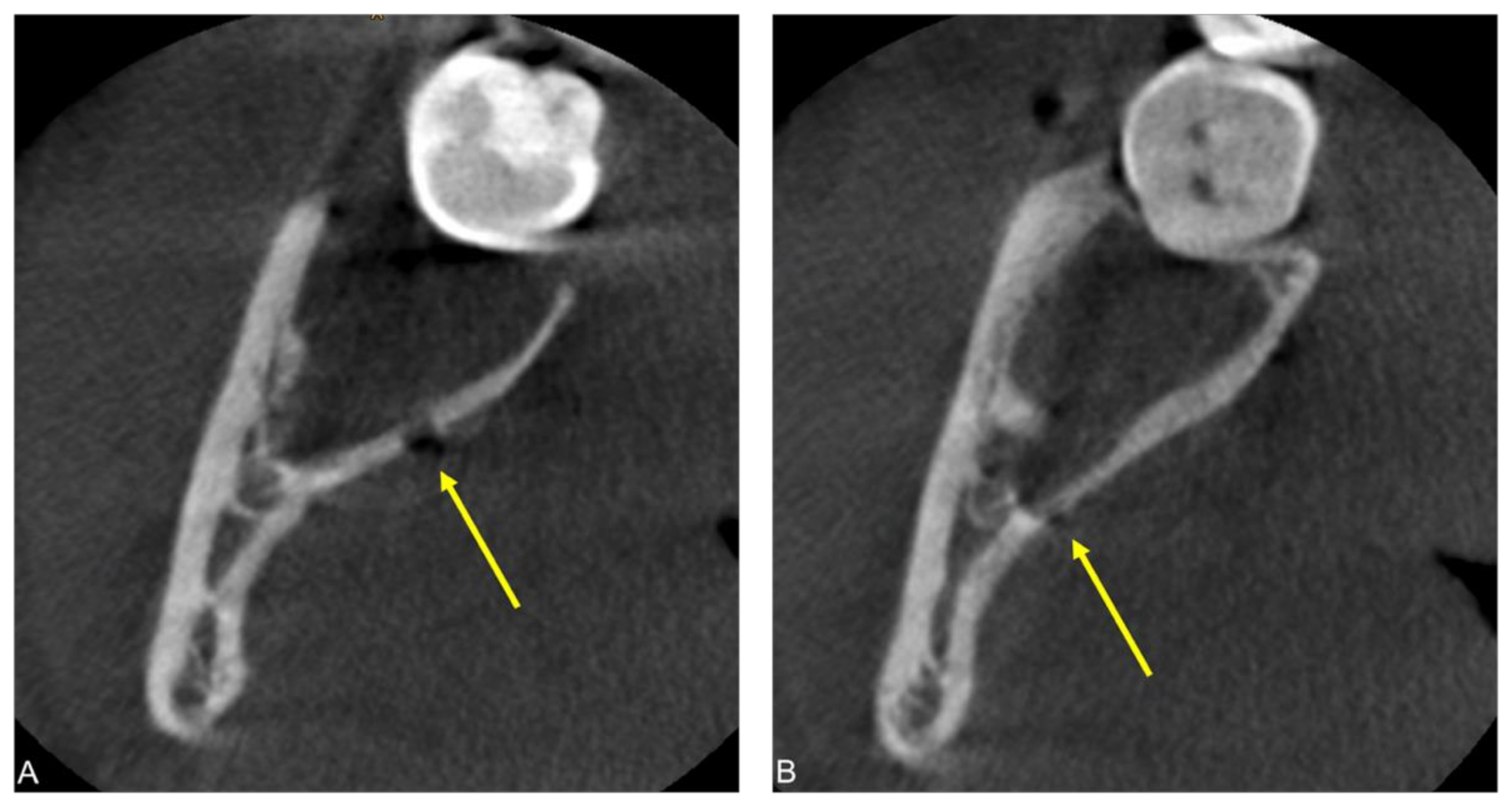
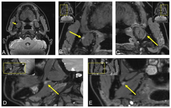
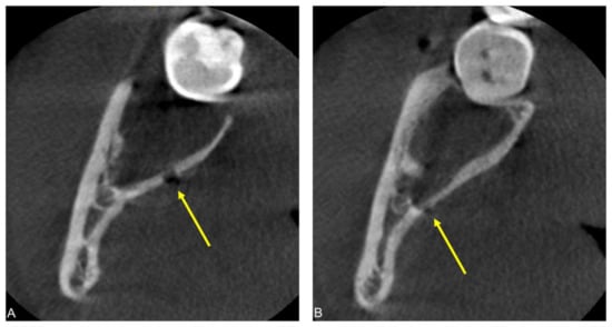
2.1. Case 1
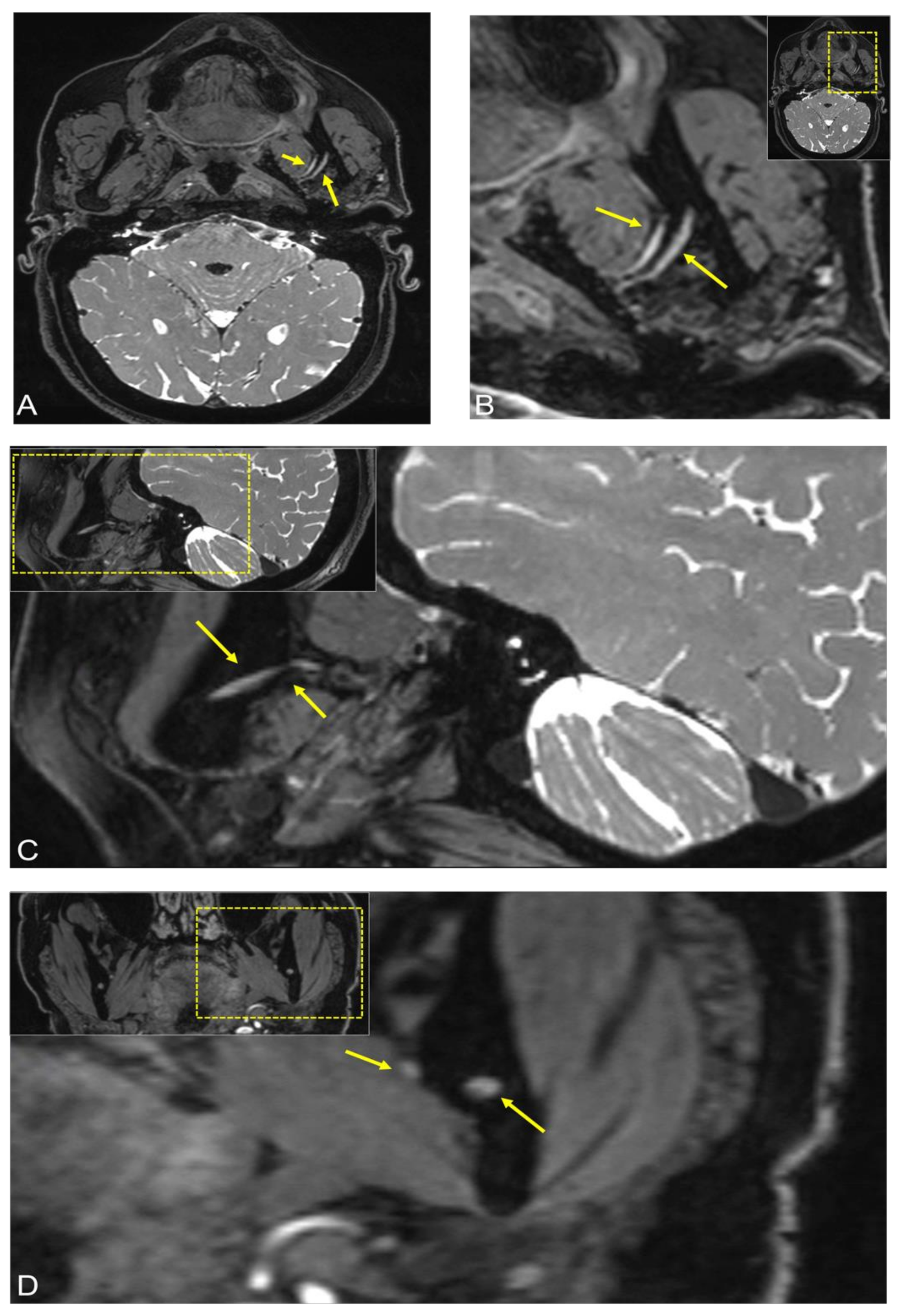
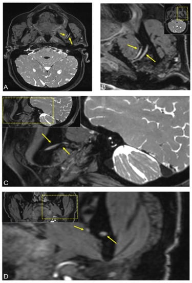
2.2. Case 2
3. Discussion
4. Conclusions
Author Contributions
Funding
Institutional Review Board Statement
Informed Consent Statement
Data Availability Statement
Conflicts of Interest
References
- Shankland, W.E. The Trigeminal Nerve. Part IV: The Mandibular Division. Cranio 2001, 19, 153–161. [Google Scholar] [CrossRef]
- Libersa, P.; Savignat, M.; Tonnel, A. Neurosensory Disturbances of the Inferior Alveolar Nerve: A Retrospective Study of Complaints in a 10-Year Period. J. Oral Maxillofac. Surg. 2007, 65, 1486–1489. [Google Scholar] [CrossRef]
- Jerjes, W.; Swinson, B.; Moles, D.; El-Maaytah, M.; Banu, B.; Upile, T.; Kumar, M.; Al Khawalde, M.; Vourvachis, M.; Hadi, H.; et al. Permanent Sensory Nerve Impairment Following Third Molar Surgery: A Prospective Study. Oral Surg. Oral Med. Oral Pathol. Oral Radiol. Endodontol. 2006, 102, e1–e7. [Google Scholar] [CrossRef] [PubMed]
- Qi, W.; Lei, J.; Liu, Y.-N.; Li, J.-N.; Pan, J.; Yu, G.-Y. Evaluating the Risk of Post-Extraction Inferior Alveolar Nerve Injury through the Relative Position of the Lower Third Molar Root and Inferior Alveolar Canal. Int. J. Oral Maxillofac. Surg. 2019, 48, 1577–1583. [Google Scholar] [CrossRef]
- Sigron, G.R.; Pourmand, P.P.; Mache, B.; Stadlinger, B.; Locher, M.C. The Most Common Complications After Wisdom-Tooth Removal: Part 1: A Retrospective Study of 1199 Cases in the Mandible. Swiss Dent. J. 2014, 124, 1042–1056. [Google Scholar] [CrossRef]
- Pippi, R.; Spota, A.; Santoro, M. Prevention of Lingual Nerve Injury in Third Molar Surgery: Literature Review. J. Oral Maxillofac. Surg. 2017, 75, 890–900. [Google Scholar] [CrossRef] [Green Version]
- Robinson, P. Observations on the Recovery of Sensation Following Inferior Alveolar Nerve Injuries. Br. J. Oral Maxillofac. Surg. 1988, 26, 177–189. [Google Scholar] [CrossRef]
- Renton, T.; Yilmaz, Z. Managing Iatrogenic Trigeminal Nerve Injury: A Case Series and Review of the Literature. Int. J. Oral Maxillofac. Surg. 2012, 41, 629–637. [Google Scholar] [CrossRef]
- Dula, K.; Bornstein, M.M.; Buser, D.; Dagassan-Berndt, D.; Ettlin, D.A.; Filippi, A.; Gabioud, F.; Katsaros, C.; Krastl, G.; Lambrecht, J.T.; et al. SADMFR Guidelines for the Use of Cone-Beam Computed Tomography/Digital Volume Tomography. Swiss Dent. J. 2014, 124, 1169–1183. [Google Scholar]
- Öhman, A.; Kivijärvi, K.; Blombäck, U.; Flygare, L. Pre-Operative Radiographic Evaluation of Lower Third Molars with Computed Tomography. Dentomaxillofacial Radiol. 2006, 35, 30–35. [Google Scholar] [CrossRef] [Green Version]
- Fujii, H.; Fujita, A.; Yang, A.; Kanazawa, H.; Buch, K.; Sakai, O.; Sugimoto, H. Visualization of the Peripheral Branches of the Mandibular Division of the Trigeminal Nerve on 3D Double-Echo Steady-State with Water Excitation Sequence. Am. J. Neuroradiol. 2015, 36, 1333–1337. [Google Scholar] [CrossRef] [PubMed] [Green Version]
- Al-Haj Husain, A.; Valdec, S.; Stadlinger, B.; Rücker, M.; Piccirelli, M.; Winklhofer, S. Preoperative Visualization of the Lingual Nerve by 3D Double-Echo Steady-State MRI in Surgical Third Molar Extraction Treatment. Clin. Oral Investig. 2022, 26, 2043–2053. [Google Scholar] [CrossRef] [PubMed]
- Al-Haj Husain, A.; Solomons, M.; Stadlinger, B.; Pejicic, R.; Winklhofer, S.; Piccirelli, M.; Valdec, S. Visualization of the Inferior Alveolar Nerve and Lingual Nerve Using MRI in Oral and Maxillofacial Surgery: A Systematic Review. Diagnostics 2021, 11, 1657. [Google Scholar] [CrossRef]
- Al-Haj Husain, A.; Stadlinger, B.; Winklhofer, S.; Müller, M.; Piccirelli, M.; Valdec, S. Mandibular Third Molar Surgery: Intraosseous Localization of the Inferior Alveolar Nerve Using 3D Double-Echo Steady-State MRI (3D-DESS). Diagnostics 2021, 11, 1245. [Google Scholar] [CrossRef] [PubMed]
- Coulthard, P.; Kushnerev, E.; Yates, J.M.; Walsh, T.; Patel, N.; Bailey, E.; Renton, T.F. Interventions for Iatrogenic Inferior Alveolar and Lingual Nerve Injury. Cochrane Database Syst. Rev. 2014, 4, CD005293. [Google Scholar] [CrossRef]
- Carvalho, R.; Vasconcelos, B.; Falcão, P.; Campos, G. Assessment of Factors Associated with Surgical Difficulty During Removal of Impacted Lower Third Molars. Int. J. Oral Maxillofac. Surg. 2011, 40, 1139. [Google Scholar] [CrossRef]
- Burian, E.; Sollmann, N.; Ritschl, L.M.; Palla, B.; Maier, L.; Zimmer, C.; Probst, F.; Fichter, A.; Miloro, M.; Probst, M. High Resolution MRI for Quantitative Assessment of Inferior Alveolar Nerve Impairment in Course of Mandible Fractures: An Imaging Feasibility Study. Sci. Rep. 2020, 10, 11566. [Google Scholar] [CrossRef]
- Valdec, S.; Husain, A.A.-H.; Winklhofer, S.; Müller, M.; Piccirelli, M.; Stadlinger, B. Comparison of Preoperative Cone-Beam Computed Tomography and 3D-Double Echo Steady-State MRI in Third Molar Surgery. J. Clin. Med. 2021, 10, 4768. [Google Scholar] [CrossRef]
- Miloro, M.; Kolokythas, A. Inferior Alveolar and Lingual Nerve Imaging. Atlas Oral Maxillofac. Surg. Clin. 2011, 19, 35–46. [Google Scholar] [CrossRef]
- Gahleitner, A.; Solar, P.; Nasel, C.; Homolka, P.; Youssefzadeh, S.; Ertl, L.; Schick, S. Magnetic Resonance Tomography in Dental Radiology (dental MRI). Der Radiologe 1999, 39, 1044–1050. [Google Scholar] [CrossRef]
- Ludwig, U.; Eisenbeiss, A.-K.; Scheifele, C.; Nelson, K.; Bock, M.; Hennig, J.; von Elverfeldt, D.; Herdt, O.; Flügge, T.; Hövener, J.-B. Dental MRI Using Wireless Intraoral Coils. Sci. Rep. 2016, 6, 23301. [Google Scholar] [CrossRef] [PubMed] [Green Version]
- Prager, M.; Heiland, S.; Gareis, D.; Hilgenfeld, T.; Bendszus, M.; Gaudino, C. Dental MRI Using a Dedicated RF-Coil at 3 Tesla. J. Cranio Maxillofac. Surg. 2015, 43, 2175–2182. [Google Scholar] [CrossRef] [PubMed]
- Burian, E.; Probst, F.A.; Weidlich, D.; Cornelius, C.-P.; Maier, L.; Robl, T.; Zimmer, C.; Karampinos, D.C.; Ritschl, L.M.; Probst, M. MRI of the Inferior Alveolar Nerve and Lingual nerve-anatomical Variation and Morphometric Benchmark Values of Nerve Diameters in Healthy Subjects. Clin. Oral Investig. 2020, 24, 2625–2634. [Google Scholar] [CrossRef] [PubMed]
- Qin, Y.; Zhang, J.; Li, P.; Wang, Y. 3D Double-Echo Steady-State with Water Excitation MR Imaging of the Intraparotid Facial Nerve at 1.5T: A Pilot Study. Am. J. Neuroradiol. 2011, 32, 1167–1172. [Google Scholar] [CrossRef] [PubMed] [Green Version]
- Wu, W.; Wu, F.; Liu, D.; Zheng, C.; Kong, X.; Shu, S.; Li, D.; Kong, X.; Wang, L. Visualization of the Morphology and Pathology of the Peripheral Branches of the Cranial Nerves Using Three-Dimensional High-Resolution High-Contrast Magnetic Resonance Neurography. Eur. J. Radiol. 2020, 132, 109137. [Google Scholar] [CrossRef] [PubMed]
- Gray, C.F.; Redpath, T.W.; Smith, F.W.; Staff, R. Advanced Imaging: Magnetic Resonance Imaging in Implant Dentistry. Clin. Oral Implant. Res. 2003, 14, 18–27. [Google Scholar] [CrossRef]
- Probst, M.; Richter, V.; Weitz, J.; Kirschke, J.S.; Ganter, C.; Troeltzsch, M.; Nittka, M.; Cornelius, C.-P.; Zimmer, C.; Probst, F.A. Magnetic Resonance Imaging of the Inferior Alveolar Nerve with Special Regard to Metal Artifact Reduction. J. Cranio Maxillofac. Surg. 2017, 45, 558–569. [Google Scholar] [CrossRef]
- Deogade, S.C.; Daware, S.N.; Balakrishna, R.; Ingole, Y.S.; Patil, S.M.; Naitam, D.M. Assessment of Postoperative Discomfort and Nerve Injuries after Surgical Removal of Mandibular Third Molar: A Prospective Study. J. Fam. Med. Prim. Care 2021, 10, 1712–1717. [Google Scholar] [CrossRef]
- Petroni, G.; Passaretti, A.; Zaccheo, F.; Di Nardo, D.; Testarelli, L.; Cicconetti, A. Lingual Flap Protection During Third Molar Surgery: A Literature Review. Eur. J. Dent. 2021, 15, 776–781. [Google Scholar] [CrossRef]
- Romsa, B.; Ruggiero, S.L. Diagnosis and Management of Lingual Nerve Injuries. Oral Maxillofac. Surg. Clin. N. Am. 2021, 33, 239–248. [Google Scholar] [CrossRef]
- Weyh, A.; Pucci, R.; Valentini, V.; Fernandes, R.; Salman, S. Injuries of the Peripheral Mandibular Nerve, Evaluation of Interven-Tions and Outcomes: A Systematic Review. Craniomaxillofac. Trauma Reconstr. 2021, 14, 337–348. [Google Scholar] [CrossRef] [PubMed]
- Fagin, A.P.; Susarla, S.M.; Donoff, R.B.; Kaban, L.B.; Dodson, T.B. What Factors Are Associated with Functional Sensory Recovery Fol-Lowing Lingual Nerve Repair? J. Oral Maxillofac. Surg. 2012, 70, 2907–2915. [Google Scholar] [CrossRef] [PubMed]
- Jones, R. Repair of the Trigeminal Nerve: A Review. Aust. Dent. J. 2010, 55, 112–119. [Google Scholar] [CrossRef] [PubMed]
- Kogan, M.; Lee, K.; Chuang, S.-K.; Ziccardi, V.B. Outcomes of Direct Lingual Nerve Repair After an Injury: A Systematic Review. J. Oral Maxillofac. Surg. 2021, 79, 697–703. [Google Scholar] [CrossRef] [PubMed]
- Hasegawa, T.; Yamada, S.; Ueda, N.; Soutome, S.; Funahara, M.; Akashi, M.; Furuno, S.; Miyamoto, H.; Hayashida, S.; Amano, R.; et al. Treatment Modalities and Risk Factors Associated With Refractory Neurosensory Disturbances of the Inferior Alveolar Nerve Following Oral Surgery: A Multicentre Retrospective Study. Int. J. Oral Maxillofac. Surg. 2018, 47, 794–801. [Google Scholar] [CrossRef] [Green Version]
- Moon, S.; Lee, S.-J.; Kim, E.; Lee, C.-Y. Hypoesthesia After IAN Block Anesthesia with Lidocaine: Management of Mild to Moderate Nerve Injury. Restor. Dent. Endod. 2012, 37, 232–235. [Google Scholar] [CrossRef]
- Lee, C.-H.; Lee, B.-S.; Choi, B.-J.; Lee, J.-W.; Ohe, J.-Y.; Yoo, H.-Y.; Kwon, Y.-D. Recovery of Inferior Alveolar Nerve Injury After Bilateral Sagittal Split Ramus Osteotomy (BSSRO): A Retrospective Study. Maxillofac. Plast. Reconstr. Surg. 2016, 38, 74. [Google Scholar] [CrossRef] [Green Version]
- Nakanishi, T.; Yamamoto, Y.; Tanioka, K.; Shintani, Y.; Tojyo, I.; Fujita, S. Effect of Duration from Lingual Nerve Injury to Undergoing Microneurosurgery on Improving Sensory and Taste Functions: Retrospective Study. Maxillofac. Plast. Reconstr. Surg. 2019, 41, 1–8. [Google Scholar] [CrossRef]
- Suhaym, O.; Miloro, M. Does Early Repair of Trigeminal Nerve Injuries Influence Neurosensory Recovery? A Systematic Review and Meta-Analysis. Int. J. Oral Maxillofac. Surg. 2021, 50, 820–829. [Google Scholar] [CrossRef]




| Double-Echo Steady-State (DESS) MRI Parameters | |
|---|---|
| Acquisition time | 12:24 min:s |
| Field of View (FOV) | 242 × 242 × 78 mm3 |
| Acquisition matrix | 320 × 320 × 104 |
| Acquisition voxel | 0.75 × 0.75 × 0.75 mm3 |
| Number of signal averages | 1 |
| Repetition Time (TR) | 11.2 ms |
| Time to Echo 1 (TE1) | 4.2 ms |
| Time to Echo 2 (TE2) | 7.7 ms |
| WFS (pix)/bandwidth (Hz/Px) | 1/355 |
| Fat suppression | Selective water excitation |
| Parallel acquisition | No |
Publisher’s Note: MDPI stays neutral with regard to jurisdictional claims in published maps and institutional affiliations. |
© 2022 by the authors. Licensee MDPI, Basel, Switzerland. This article is an open access article distributed under the terms and conditions of the Creative Commons Attribution (CC BY) license (https://creativecommons.org/licenses/by/4.0/).
Share and Cite
Al-Haj Husain, A.; Schönegg, D.; Valdec, S.; Stadlinger, B.; Gander, T.; Essig, H.; Piccirelli, M.; Winklhofer, S. Visualization of Inferior Alveolar and Lingual Nerve Pathology by 3D Double-Echo Steady-State MRI: Two Case Reports with Literature Review. J. Imaging 2022, 8, 75. https://doi.org/10.3390/jimaging8030075
Al-Haj Husain A, Schönegg D, Valdec S, Stadlinger B, Gander T, Essig H, Piccirelli M, Winklhofer S. Visualization of Inferior Alveolar and Lingual Nerve Pathology by 3D Double-Echo Steady-State MRI: Two Case Reports with Literature Review. Journal of Imaging. 2022; 8(3):75. https://doi.org/10.3390/jimaging8030075
Chicago/Turabian StyleAl-Haj Husain, Adib, Daphne Schönegg, Silvio Valdec, Bernd Stadlinger, Thomas Gander, Harald Essig, Marco Piccirelli, and Sebastian Winklhofer. 2022. "Visualization of Inferior Alveolar and Lingual Nerve Pathology by 3D Double-Echo Steady-State MRI: Two Case Reports with Literature Review" Journal of Imaging 8, no. 3: 75. https://doi.org/10.3390/jimaging8030075
APA StyleAl-Haj Husain, A., Schönegg, D., Valdec, S., Stadlinger, B., Gander, T., Essig, H., Piccirelli, M., & Winklhofer, S. (2022). Visualization of Inferior Alveolar and Lingual Nerve Pathology by 3D Double-Echo Steady-State MRI: Two Case Reports with Literature Review. Journal of Imaging, 8(3), 75. https://doi.org/10.3390/jimaging8030075

