Effects of Different Irradiance Conditions on Photosynthetic Activity, Photosystem II, Rubisco Enzyme Activity, Chloroplast Ultrastructure, and Chloroplast-Related Gene Expression in Clematis tientaiensis Leaves
Abstract
1. Introduction
2. Materials and Methods
2.1. Plant Materials and Growth Conditions
2.2. Chlorophyll Content Analysis
2.3. Photosynthetic Parameters and Chlorophyll Fluorescence Parameters Measurements
2.4. Rubisco Activase Enzyme (RAC) and Rubisco Enzyme Activity Analysis
2.5. H2O2 Content and O2−· Production Rate Analysis
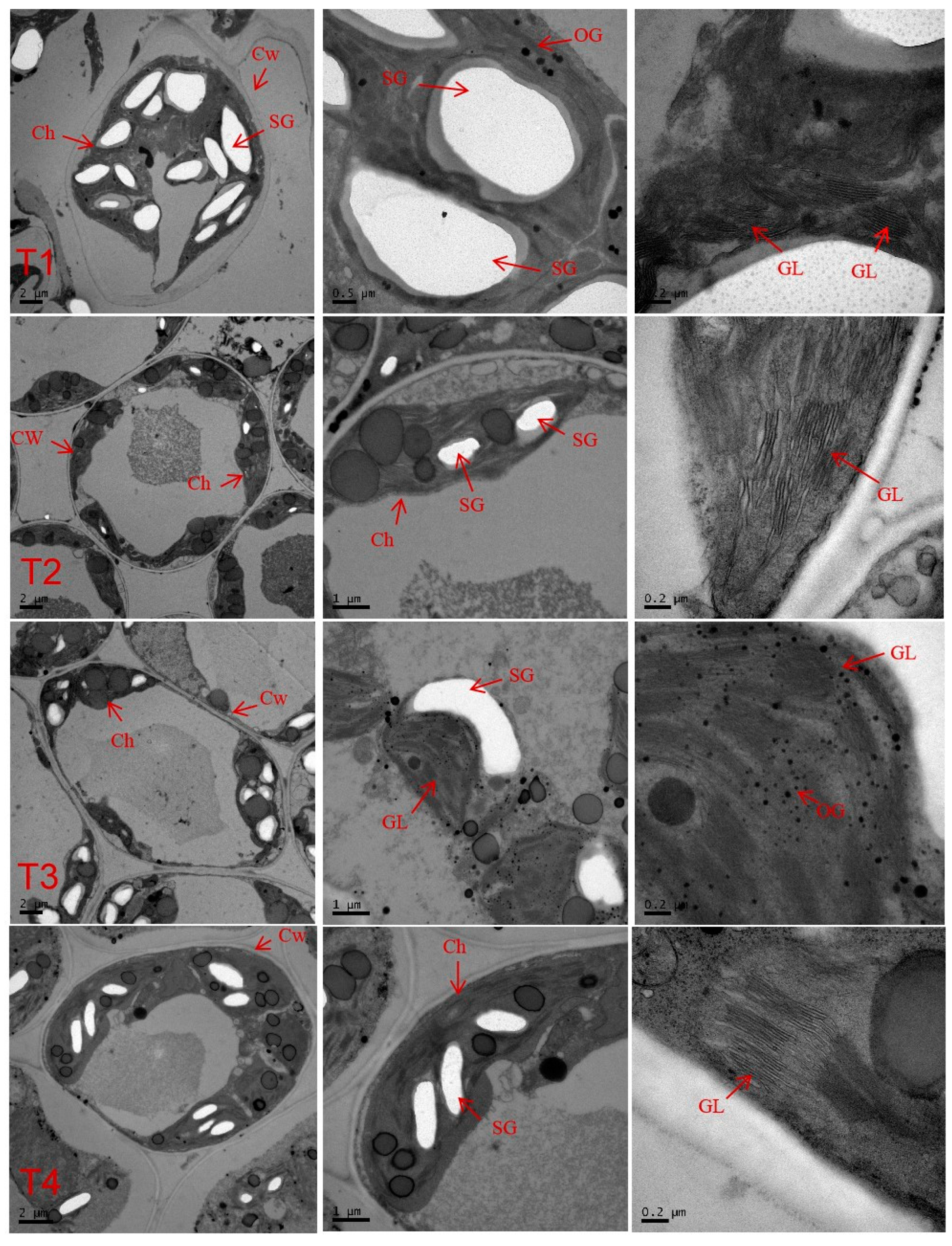
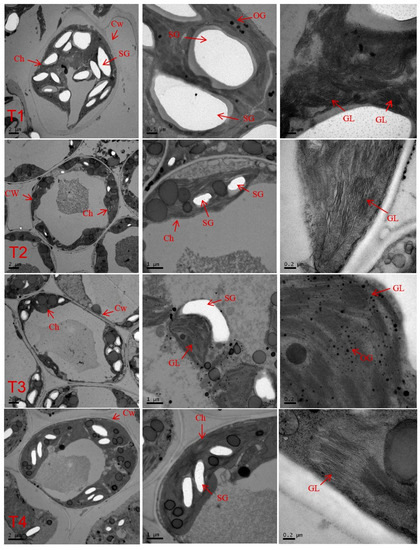
2.6. Chloroplast Ultrastructure Analysis
2.7. Amino Acid Content Analysis
2.8. Related Gene Expression Analysis
2.9. Data Analysis
3. Results
3.1. Leaf Morphology Response to Different Levels of Irradiance
3.2. Chlorophyll Content Response to Different Levels of Irradiance
3.3. Responses of Photosynthetic Parameters and Chlorophyll Fluorescence Parameters to Different Levels of Irradiance
3.4. RAC and Rubisco Activity Response to Different Levels of Irradiance
3.5. H2O2 Content and O2−· Production Rate Response to Different Irradiance Levels
3.6. Chloroplast Ultrastructure Response to Different Irradiance Levels
3.7. Amino Acid Content Response to Different Irradiance Levels
3.8. Related Gene Expression Response to Different Irradiance Levels
4. Discussion
5. Conclusions
Supplementary Materials
Author Contributions
Funding
Data Availability Statement
Acknowledgments
Conflicts of Interest
References
- Relf, D.; Appleton, B.L. Selecting Landscape Plants: Ornamental Vines. Environ. Hortic. 2001, 130, 426–608. [Google Scholar]
- Kizu, H.; Tommori, T. Studies on the constituents of Clematis species. V. On the saponins of the root of Clematis chinensis OSBECK.(5). Chem. Pharm. Bull. 1982, 30, 3340–3346. [Google Scholar] [CrossRef]
- Liu, X.B.; Yang, B.X.; Zhang, L.; Lu, Y.Z.; Gong, M.H.; Tian, J.K. An in vivo and in vitro assessment of the anti-inflammatory, antinociceptive, and immunomodulatory activities of Clematis terniflora DC. extract, participation of aurantiamide acetate. J. Ethnopharmacol. 2015, 169, 287–294. [Google Scholar]
- Begon, M.E.; Harpe, J.L.; Townsend, C.R. Ökologie; Spektrum Akademischer Verlag: Berlin/Heidelberg, Germany, 1998; p. 750. [Google Scholar]
- Kubota, S.; Iwasaki, T.; Hanada, K.; Nagano, A.J.; Fujiyama, A.; Toyoda, A.; Sumio, S.; Yutaka, S.; Kouki, H.; Motomi, I.; et al. A genome scan for genes underlying microgeographic-scale local adaptation in a wild Arabidopsis species. PLoS Genet. 2015, 11, e1005361. [Google Scholar]
- McDonough MacKenzie, C.; Primack, R.B.; Miller-Rushing, A.J. Local environment, not local adaptation, drives leaf-out phenology in common gardens along an elevational gradient in Acadia National Park, Maine. Am. J. Bot. 2018, 105, 986–995. [Google Scholar] [CrossRef] [PubMed]
- Ma, X.; Qian, R.; Zhang, X.; Zhang, X.; Hu, Q.; Liu, H.; Zheng, J. Contrasting growth, physiological and gene expression responses of Clematis crassifolia and Clematis cadmia to different irradiance conditions. Sci. Rep. 2019, 9, 17842. [Google Scholar] [CrossRef] [PubMed]
- Zhang, Z.; Chen, Z.; Chen, F.; Xie, W.; Zhang, F.; Li, G. Additional Notes on the Seed Plant Flora of Zhejiang (VII). J. Zhejiang Sci. Technol. 2020, 40, 52–55. (In Chinese) [Google Scholar]
- Lambers, H.; Chapin, F.S.; Pons, T.L. Photosynthesis. In Plant Physiological Ecology; Springer: New York, NY, USA, 2008; Volume 2, pp. 11–99. [Google Scholar]
- Evans, J.R. Improving photosynthesis. Plant Physiol. 2013, 162, 1780–1793. [Google Scholar] [CrossRef]
- Ashraf, M.; Harris, P.J.C. Photosynthesis under stressful environments: An overview. Photosynthetica 2013, 51, 163–190. [Google Scholar] [CrossRef]
- Tang, H.; Hu, Y.Y.; Yu, W.W.; Song, L.L.; Wu, J.S. Growth, photosynthetic and physiological responses of Torreya grandis seedlings to varied light environments. Trees 2015, 29, 1011–1022. [Google Scholar] [CrossRef]
- Guo, W.D.; Guo, Y.P.; Liu, J.R.; Liu, J.R.; Mattson, N. Midday depression of photosynthesis is related with carboxylation efficiency decrease and D1 degradation in bayberry (Myrica rubra) plants. Sci. Hortic. 2009, 123, 188–196. [Google Scholar] [CrossRef]
- Schumann, T.; Paul, S.; Melzer, M.; Dörmann, P.; Jahns, P. Plant growth under natural light conditions provides highly flexible short-term acclimation properties toward high light stress. Front. Plant Sci. 2017, 8, 681. [Google Scholar] [CrossRef] [PubMed]
- Demmig-Adams, B.; Muller, O.; Stewart, J.J.; Cohu, C.M.; Adams, W.W. Chloroplast thylakoid structure in evergreen leaves employing strong thermal energy dissipation. J. Photochem. Photobiol. B. Biol. Off. J. Eur. Soc. Photobiol. 2015, 152 Pt B, 357–366. [Google Scholar] [CrossRef]
- Murakami, S.; Packer, L. Protonation and chloroplast membrane structure. J. Cell Biol. 1970, 47, 332–351. [Google Scholar] [CrossRef] [PubMed]
- Baghel, L.; Kataria, S.; Guruprasad, K.N. Effect of static magnetic field pretreatment on growth, photosynthetic performance and yield of soybean under water stress. Photosynthetica 2018, 56, 718–730. [Google Scholar] [CrossRef]
- Nath, K.; Jajoo, A.; Poudyal, R.S.; Timilsina, R.; Park, Y.S.; Aro, E.M.; Nam, H.G.; Lee, C.H. Towards a critical understanding of the photosystem II repair mechanism and its regulation during stress conditions. FEBS Lett. 2013, 587, 3372–3381. [Google Scholar] [CrossRef] [PubMed]
- Yehezkeli, O.; Tel-Vered, R.; Michaeli, D.; Nechushtai, R.; Willner, I. Photosystem I (PSI)/photosystem II (PSII)-based photo-bioelectrochemical cells revealing directional generation of photocurrents. Small 2013, 9, 2970–2978. [Google Scholar] [CrossRef]
- Huang, L.Y.; Li, Z.Z.; Liu, Q.; Pu, G.B.; Zhang, Y.Q.; Li, J. Research on the adaptive mechanism of photosynthetic apparatus under salt stress: New directions to increase crop yield in saline soils. Ann. Appl. Biol. 2019, 175, 1–17. [Google Scholar] [CrossRef]
- Hussain, S.; Iqbal, N.; Brestic, M.; Raza, M.A.; Pang, T.; Langham, D.R.; Safdar, M.E.; Ahmed, S.; Wen, B.X.; Gao, Y.; et al. Changes in morphology, chlorophyll fluorescence performance and Rubisco activity of soybean in response to foliar application of ionic titanium under normal light and shade environment. Sci. Total Environ. 2019, 658, 626–637. [Google Scholar] [CrossRef]
- Ogbaga, C.C.; Stepien, P.; Athar, H.U.R.; Muhammad, A. Engineering Rubisco activase from thermophilic cyanobacteria into high-temperature sensitive plants. Crit. Rev. Biotechnol. 2018, 38, 559–572. [Google Scholar] [CrossRef]
- Fukayama, H.; Mizumoto, A.; Ueguchi, C.; Katsunuma, J.; Morita, R.; Sasayama, D.; Hatanaka, T.; Azuma, T. Expression level of Rubisco activase negatively correlates with Rubisco content in transgenic rice. Photosynth. Res. 2018, 137, 465–474. [Google Scholar] [CrossRef] [PubMed]
- Wachter, R.M.; Salvucci, M.E.; Carmo-Silva, A.E.; Csengele Barta, C.; Genkov, T.; Spreitzer, R.J. Activation of interspecies-hybrid Rubisco enzymes to assess different models for the Rubisco–Rubisco activase interaction. Photosynth. Res. 2013, 117, 557–566. [Google Scholar] [CrossRef]
- Scafaro, A.P.; Gallé, A.; Van Rie, J.; Elizabete Carmo-Silva, E.; Salvucci, M.E.; Atwell, B.J. Heat tolerance in a wild Oryza species is attributed to maintenance of Rubisco activation by a thermally stable Rubisco activase ortholog. New Phytol. 2016, 211, 899–911. [Google Scholar] [CrossRef] [PubMed]
- Wilson, R.H.; Thieulin-Pardo, G.; Hartl, F.U.; Hayer-Hartl, M. Improved recombinant expression and purification of functional plant Rubisco. FEBS Lett. 2019, 593, 611–621. [Google Scholar] [CrossRef]
- Qian, R.J.; Ye, Y.J.; Hu, Q.D.; Ma, X.H.; Zhang, X.L.; Zheng, J. Metabolomic and Transcriptomic Analyses Reveal New Insights into the Role of Metabolites and Genes in Modulating Flower Colour of Clematis tientaiensis. Horticulturae 2023, 9, 14. [Google Scholar] [CrossRef]
- Ma, X.H.; Hu, Q.D.; Zhang, Y.J.; Qian, R.J.; Zheng, J.; Liu, H.J. Effects of nitrogen form on photosynthetic characteristics and nitrogen metabolism of Clematis. J. Trop. Subtrop. Bot. 2021, 29, 276–284. (In Chinese) [Google Scholar]
- Jiang, M.; Zhou, Y.Q.; Li, R.R. ITS sequence analysis of eight medicinal plants in Clematis, L. Chin. Tradit. Herb. Drugs 2011, 42, 1802–1806. [Google Scholar]
- Lichtenthaler, H.K. Chlorophylls and carotenoids-pigments of photosynthetic biomembranes. Methods Enzymol. 1987, 148, 350–382. [Google Scholar]
- Li, T.T.; Hu, Y.Y.; Du, X.H.; Tang, H.; Shen, C.H.; Wu, J.S. Salicylic acid alleviates the adverse effects of salt stress in Torreya grandis cv. Merrillii seedlings by activating photosynthesis and enhancing antioxidant systems. PLoS ONE 2014, 9, e109492. [Google Scholar] [CrossRef]
- Hendrickson, L.; Furbank, R.T.; Chow, W.S. A simple alternative approach to assessing the fate of absorbed light energy using chlorophyll fluorescence. Photosynth. Res. 2004, 82, 73–81. [Google Scholar] [CrossRef]
- Tsuyoshi, F.; Katsura, I.; Vanda, Q.; Furbank, R.T.; Caemmerer, S.V. Phosphorylation of phosphoenolpyruvate carboxylase is not essential for high photosynthetic rates in the C4 species Flaveriabidentie. Plant Physiol. 2007, 144, 1936–1945. [Google Scholar]
- Wang, A.G.; Luo, G.H. Quantitative relation between the reaction of hydroxylamine and superoxide anion radicals in plants. Plant Physiol. Commun. 1990, 6, 55–57. (In Chinese) [Google Scholar]
- Patterson, B.D.; MacRae, E.A.; Ferguson, I.B. Estimation of hydrogen peroxide in plant extracts usingtitanium(IV). AnalBiochem 1984, 139, 487–492. [Google Scholar]
- Deng, Y.; Sha, Q.; Li, C.; Ye, X.; Tang, R. Differential responses of double petal and multi petal jasmine to shading: II. Morphology, anatomy and physiology. Sci. Hortic. 2012, 144, 19–28. [Google Scholar] [CrossRef]
- Hu, Q.; Qian, R.; Zhang, Y.; Zhang, X.L.; Ma, X.H.; Zheng, J. Physiological and Gene Expression Changes of Clematis crassifolia and Clematis cadmia in Response to Heat Stress. Front. Plant Sci. 2021, 12, 421. [Google Scholar] [CrossRef] [PubMed]
- Wu, B.; Zhou, L.; Qi, S.; Jin, M.L.; Hu, J.; Lu, J.S. Effect of habitat factors on the understory plant diversity of Platycladus orientalis plantations in Beijing mountainous areas based on MaxEnt model. Ecol. Indic. 2021, 129, 107917. [Google Scholar] [CrossRef]
- Cherepanov, D.A.; Shelaev, I.V.; Gostev, F.E.; Aybush, A.V.; Mamedov, M.D.; Shuvalo, V.A.; Semenov, A.Y.; Nadtochenko, V.A. Generation of ion-radical chlorophyll states in the light-harvesting antenna and the reaction center of cyanobacterial photosystem I. Photosynth. Res. 2020, 146, 55–73. [Google Scholar] [CrossRef]
- Son, M.; Pinnola, A.; Gordon, S.C.; Bassi, R.; Schlau-Cohen, G.S. Observation of dissipative chlorophyll-to-carotenoid energy transfer in light-harvesting complex II in membrane nanodiscs. Nat. Commun. 2020, 11, 1295. [Google Scholar] [CrossRef]
- Ma, X.; Song, L.; Yu, W.; Hu, Y.Y.; Liu, Y.; Wu, J.S.; Ying, Y.Q. Growth, physiolog ical, and biochemical responses of Camptotheca acuminata seedlings to different light environments. Front. Plant Sci. 2015, 6, 321. [Google Scholar] [CrossRef]
- Rao, S.D.; Banack, S.A.; Cox, P.A.; Weiss, J.H. BMAA selectively injures motor neurons via AMPA/kainate receptor activation. Exp. Neurol. 2006, 201, 244–252. [Google Scholar] [CrossRef]
- Fan, H.; Guo, S.; Jiao, Y.; Zhang, R.H.; Li, J. Effects of exogenous nitric oxide on growth, active oxygen species metabolism, and photosynthetic characteristics in cucumber seedlings under NaCl stress. Front. Agric. China 2007, 1, 308–314. [Google Scholar] [CrossRef]
- Pandey, D.M.; Yu, K.W.; Wu, R.Z.; Hahn, E.J.; Paek, K.Y. Effects of different irradiance on the photosynthetic process during ex-vitro acclimation of Anoectochilus plantlets. Photosynthetica 2006, 44, 419–424. [Google Scholar] [CrossRef]
- Ralph, P.J.; Gademann, R. Rapid light curves: A powerful tool to assess photosynthetic activity. Aquat. Bot. 2005, 82, 222–237. [Google Scholar] [CrossRef]
- Baker, N.R. Chlorophyll fluorescence: A probe of photosynthesis in vivo. Annu. Rev. Plant Biol. 2008, 59, 89–113. [Google Scholar] [CrossRef] [PubMed]
- Zhang, Y.L.; Feng, G.Y.; Hu, Y.Y.; Yao, Y.D.; Zhang, W.F. Photosynthetic activity and its correlation with matter production in non-foliar green organs of cotton. Acta Agron. Sin. 2010, 36, 701–708. (In Chinese) [Google Scholar] [CrossRef]
- Wang, Z.Z.; Zheng, P.; Meng, J.F.; Xi, Z.M. Effect of exogenous 24-epibrassinolide on chlorophyll fluorescence, leaf surface morphology and cellular ultrastructure of grape seedlings (Vitis vinifera L.) under water stress. Acta Physiol. Plant. 2015, 37, 1729. [Google Scholar] [CrossRef]
- Mulo, P.; Sakurai, I.; Aro, E.M. Strategies for psbA gene expression in cyanobacteria, green algae and higher plants: From transcription to PSII repair. Biochim. Et Biophys. Acta (BBA)-Bioenerg. 2012, 1817, 247–257. [Google Scholar] [CrossRef]
- Jain, A.; Cao, A.; Karthikeyan, A.S.; Baldwin, J.C.; Raghothama, K.G. Phosphate deficiency suppresses expression of light-regulated psbO and psbP genes encoding extrinsic proteins of oxygen-evolving complex of PSII. Curr. Sci. 2005, 89, 1592–1596. [Google Scholar]
- Cameron, K.M.; Carmen Molina, M. Photosystem II gene sequences of psbB and psbC clarify the phylogenetic position of Vanilla (Vanilloideae, Orchidaceae). Cladistics 2006, 22, 239–248. [Google Scholar] [CrossRef]
- Wang, F.; Liu, J.; Chen, M.; Zhou, L.J.; Li, Z.W.; Zhao, Q.; Pan, G.; Zaidi, S.H.R.; Cheng, F.M. Involvement of abscisic acid in PSII photodamage and D1 protein turnover for light-induced premature senescence of rice flag leaves. PLoS ONE 2016, 11, e0161203. [Google Scholar] [CrossRef]
- Campbell, W.J.; Allen, L.H., Jr.; Bowes, G. Effects of CO2 concentration on rubisco activity, amount, and photosynthesis in soybean leaves. Plant Physiol. 1988, 88, 1310–1316. [Google Scholar] [CrossRef]
- Flexas, J.; Ribas-Carbó, M.; Bota, J.; Galmés, J.; Henkle, M.; Martínez-Cañellas, S.; Medrano, H. Decreased Rubisco activity during water stress is not induced by decreased relative water content but related to conditions of low stomatal conductance and chloroplast CO2 concentration. New Phytol. 2006, 172, 73–82. [Google Scholar] [CrossRef] [PubMed]
- Causin, H.F. The central role of amino acids on nitrogen utilization and plant growth. J. Plant Physiol. 1996, 149, 358–362. [Google Scholar]
- Bowlus, R.D.; Somero, G.N. Solute compatibility with enzyme function and structure: Rationales for the selection of osmotic agents and endproducts of anaerobic metabolism in marine invertebrates. J. Exp. Zool. 1979, 208, 137–151. [Google Scholar] [CrossRef] [PubMed]
- Sita, K.; Sehgal, A.; Bhandari, K.; Kumar, J.; Kumar, S.; Singh, S.; Siddique, K.H.; Nayyar, H. Impact of heat stress during seed filling on seed quality and seed yield in lentil (Lens culinaris Medikus) genotypes. J. Sci. Food Agricul. 2018, 98, 5134–5141. [Google Scholar] [CrossRef]
- Alhaithloul, H.A.; Soliman, M.H.; Ameta, K.L.; El-Esawi, M.A.; Elkelish, A. Changes in ecophysiology, osmolytes, and secondary metabolites of the medicinal plants of Mentha piperita and Catharanthus roseus subjected to drought and heat stress. Biomolecules 2020, 10, 43. [Google Scholar] [CrossRef]









| Genes Code | Primer | Sequences | Annealing Temp (°C) | Gene Length |
|---|---|---|---|---|
| actin | actin-F | AACCCTGAGGAGATTCCA | 60 | 162 |
| actin-R | CACCACCCTTCAAGTGAGCAG | |||
| psbA | c136757_g1_1F | GCCTGAGACACAATAGAACC | 62 | 268 |
| c136757_g1_1R | AAGTAAGCAAGGAGGGAAC | |||
| psbB | c145729_g1_1F | GGAGGAATCGCTTCTCATCATAT | 62 | 192 |
| c145729_g1_1R | CGGACGCTAAGATGGAATAGAC | |||
| psbC | c144230_g2_1F | GTCAATTATGTCTCGCCTAGAAGT | 60 | 158 |
| c144230_g2_1R | ACCTACGAAGAAGAAGAATCCTAA | |||
| psb(OEC) | c144262_g2_1F | CAACAGTGGGAGGAAAAGAG | 62 | 168 |
| c144262_g2_1R | GCAACTCATCTCAGCACCAT |
| Irradiance | Leaf Area (cm2) |
|---|---|
| T1 | 3.41 ± 0.39 d |
| T2 | 5.04 ± 0.12 c |
| T3 | 6.35 ± 0.47 b |
| T4 | 13.28 ± 0.53 a |
| Amino Acid | Absolute Content (µg g−1) | Relative Contnet to T1 Irradiance | |||||
|---|---|---|---|---|---|---|---|
| T1 | T2 | T3 | T4 | T2 | T3 | T4 | |
| Glycine | 13.40 | 8.62 | 9.21 | — | 0.64 | 0.69 | / |
| Alanine | 105.00 | 46.7 | 28.56 | 35.88 | 0.44 | 0.27 | 0.34 |
| Aminobutyric acid | 79.05 | 38.29 | 27.77 | 35.13 | 0.48 | 0.35 | 0.44 |
| Serine | 613.54 | 678.56 | 366.25 | 367.88 | 1.11 | 0.60 | 0.601 |
| Proline | 154.21 | 89.33 | 65.67 | 95.48 | 0.58 | 0.43 | 0.62 |
| Valine | 86.26 | 88.92 | 95.33 | 108.21 | 1.03 | 1.11 | 1.25 |
| Threonine | 278.92 | 183.52 | 148.92 | 122.32 | 0.66 | 0.53 | 0.44 |
| Isoleucine | 3.24 | 5.68 | 8.24 | 12.78 | 1.75 | 2.54 | 3.94 |
| Leucine | 11.28 | 15.89 | 58.95 | 23.86 | 1.41 | 5.23 | 2.12 |
| Asparagine | 368.93 | 427.57 | 502.36 | 602.82 | 1.16 | 1.36 | 1.63 |
| Ornithine hydrochloride | 0.68 | — | — | 0.38 | / | / | 0.56 |
| Aspartic acid | 32.48 | 48.28 | 52.46 | 60.28 | 1.49 | 1.62 | 1.86 |
| Glutamine | 1033.89 | 988.69 | 970.80 | 850.60 | 0.96 | 0.94 | 0.82 |
| Lysine | 21.15 | 18.36 | 15.10 | 13.47 | 0.87 | 0.71 | 0.64 |
| Glutamic acid | 268.95 | 288.85 | 305.66 | 396.79 | 1.07 | 1.14 | 1.48 |
| Histidine | 4.78 | 5.95 | 16.17 | 7.88 | 1.24 | 3.38 | 1.65 |
| Phenylalanine | 22.58 | 25.68 | 158.38 | 32.38 | 1.14 | 7.01 | 1.43 |
| Arginine | 0.48 | 0.28 | — | — | 0.58 | / | / |
| Tyrosine | 13.67 | — | — | — | / | / | / |
| Tryptophan | 5.88 | 6.48 | 7.95 | 8.93 | 1.10 | 1.35 | 1.52 |
| ≤1.0 | 1–2 | 2–3 | 3–4 | ≥4 | |||
Disclaimer/Publisher’s Note: The statements, opinions and data contained in all publications are solely those of the individual author(s) and contributor(s) and not of MDPI and/or the editor(s). MDPI and/or the editor(s) disclaim responsibility for any injury to people or property resulting from any ideas, methods, instructions or products referred to in the content. |
© 2023 by the authors. Licensee MDPI, Basel, Switzerland. This article is an open access article distributed under the terms and conditions of the Creative Commons Attribution (CC BY) license (https://creativecommons.org/licenses/by/4.0/).
Share and Cite
Ma, X.; Zhou, Q.; Hu, Q.; Zhang, X.; Zheng, J.; Qian, R. Effects of Different Irradiance Conditions on Photosynthetic Activity, Photosystem II, Rubisco Enzyme Activity, Chloroplast Ultrastructure, and Chloroplast-Related Gene Expression in Clematis tientaiensis Leaves. Horticulturae 2023, 9, 118. https://doi.org/10.3390/horticulturae9010118
Ma X, Zhou Q, Hu Q, Zhang X, Zheng J, Qian R. Effects of Different Irradiance Conditions on Photosynthetic Activity, Photosystem II, Rubisco Enzyme Activity, Chloroplast Ultrastructure, and Chloroplast-Related Gene Expression in Clematis tientaiensis Leaves. Horticulturae. 2023; 9(1):118. https://doi.org/10.3390/horticulturae9010118
Chicago/Turabian StyleMa, Xiaohua, Qin Zhou, Qingdi Hu, Xule Zhang, Jian Zheng, and Renjuan Qian. 2023. "Effects of Different Irradiance Conditions on Photosynthetic Activity, Photosystem II, Rubisco Enzyme Activity, Chloroplast Ultrastructure, and Chloroplast-Related Gene Expression in Clematis tientaiensis Leaves" Horticulturae 9, no. 1: 118. https://doi.org/10.3390/horticulturae9010118
APA StyleMa, X., Zhou, Q., Hu, Q., Zhang, X., Zheng, J., & Qian, R. (2023). Effects of Different Irradiance Conditions on Photosynthetic Activity, Photosystem II, Rubisco Enzyme Activity, Chloroplast Ultrastructure, and Chloroplast-Related Gene Expression in Clematis tientaiensis Leaves. Horticulturae, 9(1), 118. https://doi.org/10.3390/horticulturae9010118

