In Vitro Production of Plantlets and Microrhizomes, Genetic Fidelity Assessment, and Metabolic Profiling of Boesenbergia rotunda (L.) Mansf.
Abstract
1. Introduction
2. Materials and Methods
2.1. Plant Material and Surface Sterilization
2.2. Effects of Different Concentrations of BAP and NAA on Multiple Shoot Induction
2.3. Effects of Different Planting Materials on Acclimatization and Transplanting
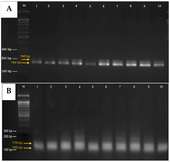
2.4. Genetic Fidelity Assessment
2.5. Effects of LED Lights and Different Sucrose Concentrations on MRZ Induction
2.6. Analysis of Metabolic Profile in MRZ via Nuclear Magnetic Resonance (NMR) Spectroscopy Using the 1H NMR Technique
2.7. Statistical Analysis
3. Results and Discussion
3.1. Effects of Different Concentrations of BAP and NAA on Multiple Shoot Induction
3.2. Effects of Different Planting Materials on Acclimatization
3.3. Genetic Stability Assessment
3.4. Effect of LED Lights and Different Sucrose Concentrations on MRZ Induction
3.5. Metabolite Profile Analysis in MRZ Using the 1H NMR Technique
4. Conclusions
Supplementary Materials
Author Contributions
Funding
Data Availability Statement
Acknowledgments
Conflicts of Interest
References
- Hooker, J.D.; Hooker, J.D. The Flora of British India; L. Reeve: London, UK, 1875. [Google Scholar] [CrossRef]
- Chidburee, A. Effects of Day Length and Red Light on Growth of Curcuma alismatifolia Gagnep. Rhizome. Ph.D. Thesis, Chiang Mai University, Chiang Mai, Thailand, 2008. [Google Scholar]
- Thaingburanatham, W. Dictionary of Thai Medicinal Plants, 2nd ed.; Suriyaban Publisher: Bangkok, Thailand, 1993. [Google Scholar]
- Abdelwahab, S.I.; Mohan, S.; Abdulla, M.A.; Sukari, M.A.; Abdul, A.B.; Taha, M.M.E.; Syam, S.; Ahmad, S.; Lee, K.H. The Methanolic Extract of Boesenbergia rotunda (L.) Mansf. and Its Major Compound Pinostrobin Induces Anti-Ulcerogenic Property in Vivo: Possible Involvement of Indirect Antioxidant Action. J. Ethnopharmacol. 2011, 137, 963–970. [Google Scholar] [CrossRef]
- Lund, J.B.; Blom, T.J.; Aaslyng, J.M. End-of-Day Lighting with Different Red/Far-Red Ratios Using Light-Emitting Diodes Affects Plant Growth of Chrysanthemum × Morifolium ramat. ‘Coral Charm’. Hortscience 2007, 42, 1609–1611. [Google Scholar] [CrossRef]
- Khairudin, N.A.; Haid, Z.; Hakiman, M. In Vitro Shoot and Root Induction of Kaempferia Parviflora (Zingiberaceae) Rhizome Using 6-Benzylaminopurine. J. Trop. Plant Physiol. 2020, 12, 10. [Google Scholar] [CrossRef]
- Jahangir, M.; Atta-ur-Rehman, M.; Abdel Farid, I.B.; Verpoorte, R.; Khan, I.; Peng, J. NMR-Based Metabolomics for Geographical Discrimination of Adhatoda vasica Leaves. Plants 2023, 12, 453. [Google Scholar] [CrossRef]
- Yu, W.; Liu, Y.; Song, L.; Jacobs, D.F.; Du, X.; Ying, Y.; Shao, Q.; Wu, J. Effect of Differential Light Quality on Morphology, Photosynthesis, and Antioxidant Enzyme Activity in Camptotheca acuminata Seedlings. J. Plant Growth Regul. 2017, 36, 148–160. [Google Scholar] [CrossRef]
- Peeters, A.J.M.; Gerards, W.; Barendse, G.W.M.; Wullems, G.J. In Vitro Flower Bud Formation in Tobacco: Interaction of Hormones. Plant Physiol. 1991, 97, 402–408. [Google Scholar] [CrossRef] [PubMed]
- Murashige, T.; Skoog, F. A Revised Medium for Rapid Growth and Bio Assays with Tobacco Tissue Cultures. Physiol. Plant. 1962, 15, 473–497. [Google Scholar] [CrossRef]
- Yusuf, N.A.; Suffian Annuar, M.M.; Khalid, N. Rapid Micropropagation of Boesenbergia rotunda (L.) Mansf. Kulturpfl. (a Valuable Medicinal Plant) from Shoot Bud Explants. Afr. J. Biotechnol. 2011, 10, 1194–1199. [Google Scholar] [CrossRef]
- Guo, Y.; Zhang, Z. Establishment and Plant Regeneration of Somatic Embryogenic Cell Suspension Cultures of the Zingiber officinale Rosc. Sci. Hortic. 2005, 107, 90–96. [Google Scholar] [CrossRef]
- Pierik, R.L.M. In Vitro Culture of Higher Plants; Springer: Dordrecht, The Netherlands, 1997. [Google Scholar] [CrossRef]
- Labrooy, C.; Lee Abdullah, T.; Stanslas, J. Influence of N6-Benzyladenine and Sucrose on In Vitro Direct Regeneration and Microrhizome Induction of Kaempferia parviflora Wall. Ex Baker, An Important Ethnomedicinal Herb of Asia Authors. Trop. Life Sci. Res. 2020, 31, 123–139. [Google Scholar] [CrossRef] [PubMed]
- Zheng, Y.; Liu, Y.; Ma, M.; Xu, K. Increasing in Vitro Microrhizome Production of Ginger (Zingiber officinale Roscoe). Acta Physiol. Plant. 2008, 30, 513–519. [Google Scholar] [CrossRef]
- Jaimakaew, C.; Thumdee, S.; Sotthikul, C. Effects of Light Source and Sucrose on in Vitro Microrhizome Formation of Ginger. Agricultural Sci.J. 2018, 49, 110–114. [Google Scholar]
- Abdel-Mawgood, A.L. DNA Based Techniques for Studying Genetic Diversity, Genetic Diversity in Microorganisms; Caliskan, M., Ed.; InTech: London, UK, 2012; pp. 95–122. Available online: http://www.intechopen.com/books/genetic-diversity-in-microorganisms/dna-based-techniques-for-studying-genetic-diversity (accessed on 14 November 2024).
- Taheri, S.; Teo, C.H.; Heslop-Harrison, J.S.; Schwarzacher, T.; Tan, Y.S.; Wee, W.Y.; Khalid, N.; Biswas, M.K.; Mutha, N.V.R.; Mohd-Yusuf, Y.; et al. Genome Assembly and Analysis of the Flavonoid and Phenylpropanoid Biosynthetic Pathways in Fingerroot Ginger (Boesenbergia rotunda). Int. J. Mol. Sci. 2022, 23, 7269. [Google Scholar] [CrossRef]
- Bapela, M.J.; Heyman, H.; Senejoux, F.; Meyer, J.J.M. 1H NMR-Based Metabolomics of Antimalarial Plant Species Traditionally Used by Vha-Venda People in Limpopo Province, South Africa and Isolation of Antiplasmodial Compounds. J. Ethnopharmacol. 2019, 228, 148–155. [Google Scholar] [CrossRef]
- Lynn, N.H.; Linn, T.Z.; Yanmei, C.; Shimozu, Y.; Taniguchi, S.; Hatano, T. 1H Quantitative NMR Analyses of β-Asarone and Related Compounds for Quality Control of Acorus Rhizome Herbal Drugs in Terms of the Effects of Their Constituents on In Vitro Acetylcholine Esterase Activity. Biosci. Biotechnol. Biochem. 2019, 83, 892–900. [Google Scholar] [CrossRef]
- Bharalee, R.; Das, A.; Kalita, M.C. In Vitro Clonal Propagation of Curcuma caesia Roxb and Curcuma zedoaria Rosc from Rhizome Bud Explants. J. Plant Biochem. Biotechnol. 2005, 14, 61–63. [Google Scholar] [CrossRef]
- Doyle, J.; Doyle, J.L. A Rapid DNA Isolation Procedure for Small Quantities of Fresh Leaf Tissue. Phytochem. Bull. 1987, 19, 11–15. [Google Scholar]
- Promraksa, B.; Phetcharaburanin, J.; Namwat, N.; Techasen, A.; Boonsiri, P.; Loilome, W. Evaluation of anticancer potential of Thai medicinal herb extracts against cholangiocarcinoma cell lines. PLoS ONE 2019, 14, e0216721. [Google Scholar] [CrossRef] [PubMed]
- Phetcharaburanin, J.; Deewai, S.; Kulthawatsiri, T.; Moolpia, K.; Suksawat, M.; Promraksa, B.; Klanrit, P.; Namwat, N.; Loilome, W.; Poopasit, K.; et al. 1H NMR Metabolic Phenotyping of Dipterocarpus alatus as a Novel Tool for Age and Growth Determination. PLoS ONE. 2020, 15, e0243432. [Google Scholar] [CrossRef]
- Hartmann, H.T.; Kester, D.E.; Davies, F.T.; Geneve, R.L. Hartmann and Kester’s Plant Propagation Principles and Practices, 7th ed.; Pearson Education: Hoboken, NJ, USA, 2002. [Google Scholar]
- Skoog, F.; Miller, C. Chemical Regulation of Growth and Organ Formation in Plant Tissues Cultured in Vitro. Symp. Soc. Exp. Biol. 1957, 11, 118–130. [Google Scholar]
- Charasamrit, N. Plant Hormones and Bulk Secretions; Sahamit Nokset Printing House: Bangkok, Thailand, 1994. [Google Scholar]
- Danial, G.H.; Ibrahim, D.A.; Yousef, A.N.; Elyas, S.B. RAPID PROTOCOL OF Aloe vera In Vitro propagation. Iraqi J. Agric. Sci. 2019, 50, 1377–1382. [Google Scholar] [CrossRef]
- Grout, B.W.W.; Aston, M.J. Transplanting of Cauliflower Plants Regenerated from Meristem Culture. I. Water Loss and Water Transfer Related to Changes in Leaf Wax and to Xylem Regeneration. Hortic. Res. 1977, 17, 1–7. [Google Scholar]
- Rakesh, S.; Pareek, N.K.; Rathore, R.S. Visual Nutrient Deficiency Symptoms in Plants. Agrospheres e-Newsl. 2021, 2, 42–45. Available online: https://www.researchgate.net (accessed on 16 April 2021).
- Abbas, M.S.; Taha, H.S.; Aly, U.I.; El-Shabrawi, H.M.; Gaber, E.S.I. In Vitro Propagation of Ginger (Zingiber officinale Rosco). J. Genet. Eng. Biotechnol. 2011, 9, 165–172. [Google Scholar] [CrossRef]
- Zhang, S.; Liu, N.; Sheng, A.; Ma, G.; Wu, G. In Vitro Plant Regeneration from Organogenic Callus of Curcuma kwangsiensis Lindl. (Zingiberaceae). Plant Growth Regul. 2011, 64, 141–145. [Google Scholar] [CrossRef]
- Laipaitong, K.; Te-chato, S.; Khawniam, T. Plant Regeneration of Black Galingale Derived from Shoot Culture. Songklanakarin J. Plant Sci. 2018, 5, 13–18. [Google Scholar]
- Borsai, O.; Hârta, M.; Szabo, K.; Kelemen, C.D.; Andrecan, F.A.; Codrea, M.M.; Clapa, D. Evaluation of Genetic Fidelity of in Vitro-Propagated Blackberry Plants Using RAPD and SRAP Molecular Markers. Hortic. Sci. 2020, 47, 21–27. [Google Scholar] [CrossRef]
- Noguera, P.; Abad, M.; Puchades, R.; Maquieira, A.; Noguera, V. Influence of Particle Size on Physical and Chemical Properties of Coconut Coir Dust as Container Medium. Commun. Soil Sci. Plant Anal. 2003, 34, 593–605. [Google Scholar] [CrossRef]
- Shenoy, V.B.; Vasil, I.K. Biochemical and Molecular Analysis of Plants Derived from Embryogenic Tissue Cultures of Napier Grass (Pennisetum purpureum K. Schum). Theor. Appl. Genet. 1992, 83, 947–955. [Google Scholar] [CrossRef] [PubMed]
- Ioannidis, K.; Tomprou, I.; Mitsis, V.; Koropouli, P. Genetic Evaluation of In Vitro Micropropagated and Regenerated Plants of Cannabis sativa L. Using SSR Molecular Markers. Plants 2022, 11, 2569. [Google Scholar] [CrossRef]
- More, S.S.; Janvale, G.B.; Wagh, S.G.; Kadam, K.D.; Akhare, A.A. Deciphering the Genetic Identity and Fidelity of Banana Genotype Musa acuminata through Molecular Fingerprinting. Asian J. Agric. Hortic. Res. 2023, 10, 59–66. [Google Scholar] [CrossRef]
- Rout, G.R.; Das, P.; Goel, S.; Raina, S. Determination of Genetic Stability of Micropropagated Plants of Ginger Using Random Amplified Polymorphic DNA (RAPD) Markers. Bot. Bull. Acad. Sin. Taipei 1998, 39, 23–27. [Google Scholar]
- Gupta, N.; Jain, V.; Joseph, M.R.; Devi, S. A Review on Micropropagation Culture Method. Asian J. Pharm. Res. Dev. 2020, 8, 86–93. [Google Scholar] [CrossRef]
- Duta-Cornescu, G.; Constantin, N.; Pojoga, D.M.; Nicuta, D.; Simon-Gruita, A. Somaclonal Variation—Advantage or Disadvantage in Micropropagation of the Medicinal Plants. Int. J. Mol. Sci. 2023, 24, 838. [Google Scholar] [CrossRef]
- Khatun, M.M.; Tanny, T.; Yesmin, S.; Salimullah, M.; Alam, I. Evaluation of Genetic Fidelity of in Vitro-Propagated Aloe vera Plants Using DNA-Based Markers. Scienceasia 2018, 44, 87–91. [Google Scholar] [CrossRef]
- Sherif, N.A.; Senthil Kumar, T.; Rao, M.V. DNA Barcoding and Genetic Fidelity Assessment of Micropropagated Aenhenrya rotundifolia (Blatt.) C.S. Kumar and F.N. Rasm.: A Critically Endangered Jewel Orchid. Physiol. Mol. Biol. Plants 2020, 26, 2391–2405. [Google Scholar] [CrossRef]
- Fukuda, N.; Fujita, M.; Ohta, Y.; Sase, S.; Nishimura, S.; Ezura, H. Directional Blue Light Irradiation Triggers Epidermal Cell Elongation of Abaxial Side Resulting in Inhibition of Leaf Epinasty in Geranium under Red Light Condition. Sci. Hortic. 2008, 115, 176–182. [Google Scholar] [CrossRef]
- Slimmon, T.; Machado, V.S.; Coffin, R. The Effect of Light Onin Vitro Microtuberization of Potato Cultivars. Am. Potato J. 1989, 66, 843–848. [Google Scholar] [CrossRef]
- An, N.H.; Chien, T.T.M.; Nhi, H.T.H.; Nga, N.T.M.; Phuc, T.T.; Thuy, L.T.N.; Van Bao Thanh, T.; Nguyen, P.T.T.; Phuong, T.T.B. The Effects of Sucrose, Silver Nitrate, Plant Growth Regulators, and Ammonium Nitrate on Microrhizome Induction in Perennially-Cultivated Ginger (Zingiber officinale Roscoe) from Hue, Vietnam. Acta Agrobot. 2020, 73, 7329. [Google Scholar] [CrossRef]
- Singh, T.D.; Chakpram, L.; Devi, H.S. Induction of in Vitro Microrhizomes Using Silver Nitrate in Zingiber officinale Rosc. Var. Baishey and Nadia. Indian J. Biotechnol. 2014, 13, 256–262. [Google Scholar]
- Islam, M.; Kloppstech, K.; Jacobsen, H. Efficient Procedure for In Vitro Microrhizome Induction in Curcuma longa L. (Zingiberaceae)—A Medicinal Plant of Tropical Asia. Plant Tissue Cult. 2004, 14, 123–134. [Google Scholar]
- Kim, H.H.; Goins, G.D.; Wheeler, R.M.; Sager, J.C. Green-Light Supplementation for Enhanced Lettuce Growth under Red-and Blue-Light-Emitting Diodes. HortScience 2004, 39, 1617–1622. [Google Scholar] [CrossRef]
- Huber, M.; Nieuwendijk, N.M.; Pantazopoulou, C.K.; Pierik, R. Light Signalling Shapes Plant–Plant Interactions in Dense Canopies. Plant Cell Environ. 2021, 44, 1014–1029. [Google Scholar] [CrossRef]
- Wang, W.; Galili, G. Transgenic High-Lysine Rice—A Realistic Solution to Malnutrition? J. Exp. Bot. 2016, 67, 4009–4011. [Google Scholar] [CrossRef]
- Franklin, K.A.; Whitelam, G.C. Phytochromes and Shade-Avoidance Responses in Plants. Ann. Bot. 2005, 96, 169. [Google Scholar] [CrossRef]
- Hisamatsu, T.; King, R.W.; Helliwell, C.A.; Koshioka, M. The Involvement of Gibberellin 20-Oxidase Genes in Phytochrome-Regulated Petiole Elongation of Arabidopsis. Plant Physiol. 2005, 138, 1106–1116. [Google Scholar] [CrossRef] [PubMed]
- Nayak, S.; Naik, P.K. Factors Effecting in Vitro Microrhizome Formation and Growth in Curcuma longa L. and Improved Field Performance of Micropropagated Plants. ScienceAsia 2006, 32, 31–37. [Google Scholar] [CrossRef]
- Zuraida, A.R.; Fatin, K.; Izzati, L.; Nazreena, O.A.; Omar, N.; Deb, C.R. In Vitro Microrhizome Formation in Kaempferia parviflora. Annu. Res. Rev. Biol. 2015, 5, 460–467. [Google Scholar] [CrossRef]
- Zahid, N.A.; Jaafar, H.Z.E.; Hakiman, M. Alterations in Microrhizome Induction, Shoot Multiplication and Rooting of Ginger (Zingiber officinale Roscoe) Var. Bentong with Regards to Sucrose and Plant Growth Regulators Application. Agronomy 2021, 11, 320. [Google Scholar] [CrossRef]
- Muñiz García, M.N.; Muro, M.C.; Mazzocchi, L.C.; País, S.M.; Stritzler, M.; Schlesinger, M.; Capiati, D.A. The Protein Phosphatase 2A Catalytic Subunit StPP2Ac2b Acts as a Positive Regulator of Tuberization Induction in Solanum tuberosum L. Plant Mol. Biol. 2017, 93, 227–245. [Google Scholar] [CrossRef] [PubMed]
- Yamaguchi, S. Gibberellin Metabolism and Its Regulation. Annu. Rev. Plant Biol. 2008, 59, 225–251. [Google Scholar] [CrossRef]
- Roumeliotis, E.; Visser, R.G.F.; Bachem, C.W.B. A Crosstalk of Auxin and GA during Tuber Development. Plant Signal. Behav. 2012, 7, 1360–1363. [Google Scholar] [CrossRef]
- David, D.; Ling, E.C.; Jualang Azlan, G. Optimizing Sucrose and BAP Concentrations for in Vitro Microrhizome Induction of Zingiber officinale Rosc. ‘Tambunan’. Malays. Appl. Biol. 2018, 47, 47–52. [Google Scholar]
- Yu, S.; Hu, L.; Liu, Y.; Cai, X. In Vitro Microrhizome Production, Genetic Homogeneity Assessment, and Field Performance Evaluation in Ginger. Agronomy 2024, 14, 747. [Google Scholar] [CrossRef]
- Yang, Q.; Zhao, D.; Liu, Q. Connections Between Amino Acid Metabolisms in Plants: Lysine as an Example. Front. Plant Sci. 2020, 11, 548590. [Google Scholar] [CrossRef] [PubMed]
- Ramaroson, M.L.; Koutouan, C.; Helesbeux, J.J.; Le Clerc, V.; Hamama, L.; Geoffriau, E.; Briard, M. Role of Phenylpropanoids and Flavonoids in Plant Resistance to Pests and Diseases. Molecules 2022, 27, 8371. [Google Scholar] [CrossRef] [PubMed]
- Imara, D.A.E.S.; El-Mohammady, M.S.; Hanafy, S.A.; Yousef, R.S. Induction of Resistance and Defense Mechanisms of Geranium Plants Against Root Rot Disease Using Gallic Acid and 3,5-Dinitrobenzoic Acid. Egypt. J. Phytopathol. 2024, 52, 109–150. [Google Scholar] [CrossRef]
- Arruda, P.; Neshich, I.P. Nutritional-Rich and Stress-Tolerant Crops by Saccharopine Pathway Manipulation. Food Energy Secur. 2012, 1, 141–147. [Google Scholar] [CrossRef]
- Tienaho, J.; Reshamwala, D.; Karonen, M.; Silvan, N.; Korpela, L.; Marjomäki, V.; Sarjala, T. Field-Grown and In Vitro Propagated Round-Leaved Sundew (Drosera rotundifolia L.) Show Differences in Metabolic Profiles and Biological Activities. Molecules 2021, 26, 3581. [Google Scholar] [CrossRef]
- Baker, N.R.; Zhalnina, K.; Yuan, M.; Herman, D.; Ceja-Navarro, J.A.; Sasse, J.; Jordan, J.S.; Bowen, B.P.; Wu, L.; Fossum, C.; et al. Nutrient and Moisture Limitations Reveal Keystone Metabolites Linking Rhizosphere Metabolomes and Microbiomes. Proc. Natl. Acad. Sci. USA 2024, 121, e2303439121. [Google Scholar] [CrossRef]
- Cohen, S.D.; Kennedy, J.A. Plant Metabolism and the Environment: Implications for Managing Phenolics. Crit. Rev. Food Sci. Nutr. 2010, 50, 620–643. [Google Scholar] [CrossRef]
- Asthir, B.; Kaur, G.; Kaur, B. Convergence of Pathways Towards Ascorbate–Glutathione for Stress Mitigation. J. Plant Biol. 2020, 63, 243–257. [Google Scholar] [CrossRef]
- Tyburski, J.; Tretyn, A. Ascorbate and Glutathione in Organogenesis, Regeneration and Differentiation in Plant In Vitro Cultures. In Ascorbate-Glutathione Pathway and Stress Tolerance in Plants; Springer: Dordrecht, The Netherlands, 2010; pp. 55–90. [Google Scholar] [CrossRef]
- Tan, E.C.; Karsani, S.A.; Foo, G.T.; Wong, S.M.; Abdul Rahman, N.; Khalid, N.; Othman, S.; Yusof, R. Proteomic Analysis of Cell Suspension Cultures of Boesenbergia rotunda Induced by Phenylalanine: Identification of Proteins Involved in Flavonoid and Phenylpropanoid Biosynthesis Pathways. Plant Cell Tissue Organ Cult. 2012, 111, 219–229. [Google Scholar] [CrossRef]
- Ata, N.; Yusuf, N.A.; Tan, B.C.; Husaini, A.; Mohd Yusuf, Y.; Majid, N.A.; Khalid, N. Expression Profiles of Flavonoid-Related Gene, 4 Coumarate: Coenzyme A Ligase, and Optimization of Culturing Conditions for the Selected Flavonoid Production in Boesenbergia rotunda. Plant Cell Tissue Organ Cult. 2015, 123, 47–55. [Google Scholar] [CrossRef]
- Wang, J.; Lu, W.; Tong, Y.; Yang, Q. Leaf Morphology, Photosynthetic Performance, Chlorophyll Fluorescence, Stomatal Development of Lettuce (Lactuca sativa L.) Exposed to Different Ratios of Red Light to Blue Light. Front. Plant Sci. 2016, 7, 176122. [Google Scholar] [CrossRef]
- Mittler, R.; Zandalinas, S.I.; Fichman, Y.; Van Breusegem, F. Reactive Oxygen Species Signalling in Plant Stress Responses. Nat. Rev. Mol. Cell Biol. 2022, 23, 663–679. [Google Scholar] [CrossRef] [PubMed]
- Nelson, A.B.; Queathem, E.D.; Puchalska, P.; Crawford, P.A. Metabolic Messengers: Ketone Bodies. Nat. Metab. 2023, 5, 2062–2074. [Google Scholar] [CrossRef] [PubMed]
- Holeček, M. Branched-Chain Amino Acids in Health and Disease: Metabolism, Alterations in Blood Plasma, and as Supplements. Nutr. Metab. 2018, 15, 33. [Google Scholar] [CrossRef] [PubMed]
- Njus, D.; Kelley, P.M.; Tu, Y.J.; Schlegel, H.B. Ascorbic Acid: The Chemistry Underlying Its Antioxidant Properties. Free Radic. Biol. Med. 2020, 159, 37–43. [Google Scholar] [CrossRef]
- Celi, G.E.A.; Gratão, P.L.; Lanza, M.G.D.B.; Reis, A.R. dos. Physiological and Biochemical Roles of Ascorbic Acid on Mitigation of Abiotic Stresses in Plants. Plant Physiol. Biochem. 2023, 202, 107970. [Google Scholar] [CrossRef]
- Bhoot, H.R.; Zamwar, U.M.; Chakole, S.; Anjankar, A. Dietary Sources, Bioavailability, and Functions of Ascorbic Acid (Vitamin C) and Its Role in the Common Cold, Tissue Healing, and Iron Metabolism. Cureus 2023, 15, e49308. [Google Scholar] [CrossRef]
- Lei, S.; Rossi, S.; Huang, B. Metabolic and Physiological Regulation of Aspartic Acid-Mediated Enhancement of Heat Stress Tolerance in Perennial Ryegrass. Plants 2022, 11, 199. [Google Scholar] [CrossRef] [PubMed]
- Lee, D.-Y.; Kim, E.-H. Therapeutic Effects of Amino Acids in Liver Diseases: Current Studies and Future Perspectives. J. Cancer Prev. 2019, 24, 72. [Google Scholar] [CrossRef]
- Mohamad, M.H.; Awang, R.; Yunus, W.M.Z.W. A Review of Acetol: Application and Production. Am. J. Appl. Sci. 2011, 8, 1135–1139. [Google Scholar] [CrossRef]
- van der Veen, J.N.; Kennelly, J.P.; Wan, S.; Vance, J.E.; Vance, D.E.; Jacobs, R.L. The Critical Role of Phosphatidylcholine and Phosphatidylethanolamine Metabolism in Health and Disease. Biochim. Biophys. Acta Biomembr. 2017, 1859 Pt B, 1558–1572. [Google Scholar] [CrossRef]
- Xu, Y.; Fu, X. Reprogramming of Plant Central Metabolism in Response to Abiotic Stresses: A Metabolomics View. Int. J. Mol. Sci. 2022, 23, 5716. [Google Scholar] [CrossRef] [PubMed]
- Arruda, P.; Barreto, P. Lysine Catabolism Through the Saccharopine Pathway: Enzymes and Intermediates Involved in Plant Responses to Abiotic and Biotic Stress. Front. Plant Sci. 2020, 11, 535796. [Google Scholar] [CrossRef] [PubMed]









| Measurement | Light Source | |
|---|---|---|
| White LEDs | Red LEDs | |
| PAR (mW cm−2) | 0.4756 ± 0.01862 a | 0.0998 ± 0.0189 b |
| Average PPFD (µmol m−2 s−1) | 21.0714 ± 0.8416 a | 5.3338 ± 0.8428 b |
| PPFD-Ultraviolet (350–400 nm) (% UV) | 0.003 ± 0.000 a (1.81%) | 0.0002 ± 0.0002 b (0.01%) |
| PPFD-Blue (401–500 nm) (% blue) | 5.8908 ± 0.2155 a (27.96%) | 0.004 ± 0.0011 b (0.07%) |
| PPFD-G (501–600 nm) (% green) | 10.3586 ± 0.4722 a (49.16%) | 0.046 ± 0.0098 b (0.86%) |
| PPFD-R (601–700 nm) (% red) | 4.8222 ± 0.1591 a (21.07%) | 5.2838 ± 0.4045 a (99.06%) |
| PPFD-Far-red (701–800 nm) | 0.2592 ± 0.0181 a | 0.0012 ± 0.0002 b |
| Red/Far-red | 19.135 ± 1.9467 b | 4791.1 ± 703.0356 a |
| YPFD (µmol m−2 s−1) | 18.0146 ± 0.7216 a | 5.1308 ± 0.3903 b |
| Concentrations (mg L−1) | Shoots No./ Explant | Shoot Formation (%) | Shoot Length (cm) | Leaves No./ Explant | Roots No./ Explant | |
|---|---|---|---|---|---|---|
| BAP | NAA | |||||
| - | - | 1.92 ± 0.12 cd | 38 ± 2.40 b | 4.07 ± 0.42 a | 1.42 ± 0.17 a | 4.46 ± 0.53 a |
| 1 | - | 3.45 ± 0.29 a | 69 ± 5.76 a | 2.21 ± 0.31 c | 1.12 ± 0.20 ab | 4.28 ± 0.54 a |
| 3 | - | 2.66 ± 0.24 bc | 43 ± 8.06 b | 0.93 ± 0.15 e | 0.62 ± 0.09 cd | 1.58 ± 0.27 b |
| 5 | - | 2.91 ± 0.44 ab | 51 ± 9.00 b | 1.00 ± 0.12 e | 0.68 ± 0.09 cd | 1.38 ± 0.23 b |
| 1 | 0.1 | 1.23 ± 0.15 d | 15 ± 4.38 c | 1.33 ± 0.19 de | 0.40 ± 0.12 d | 1.04 ± 0.37 b |
| 3 | 0.1 | 1.93 ± 0.24 cd | 39 ± 4.82 b | 3.18 ± 0.11 b | 0.82 ± 0.09 bc | 1.54 ± 0.24 b |
| 5 | 0.1 | 1.95 ± 0.25 bcd | 16 ± 6.62 c | 2.06 ± 0.25 cd | 0.63 ± 0.16 cd | 0.85 ± 0.19 b |
| LSD (p < 0.05) | 0.00 (*) | 0.00 (*) | 0.00 (*) | 0.00 (*) | 0.00 (*) | |
| Materials | Survival (%) | Mean Plant Height (cm) | Number of Leave | Chlorophyll (SPAD Unit) |
|---|---|---|---|---|
| Peat moss (1) | 100 | 14.21 ± 1.23 a | 4.15 ± 0.22 a | 33.27 ± 2.90 a |
| Peat moss–coconut coir (1:1) | 100 | 10.79 ± 0.79 b | 4.20 ± 0.27 a | 33.05 ± 1.58 a |
| Peat moss–coconut coir (1:2) | 100 | 9.66 ± 1.05 b | 3.66 ± 0.28 a | 30.42 ± 1.99 a |
| LSD (p < 0.05) | 0.01 (*) | 0.28 (ns) | 0.61 (ns) |
| Materials | pH | EC | ||
|---|---|---|---|---|
| Before | After | Before | After | |
| Peat moss (1) | 5.07 | 5.81 | 1.41 | 0.38 |
| Peat moss–coco peat (1:1) | 5.36 | 6.09 | 0.51 | 0.26 |
| Peat moss–coco peat (1:1) | 5.53 | 6.07 | 0.43 | 0.31 |
| Primer ID | F (5′–3′) | R (5′–3′) | PCR Product Size (bp) | DNA Banding | No. of Alleles | |
|---|---|---|---|---|---|---|
| Mother Plants | Acclimatized Plants | |||||
| BrotSSR 001933 | GTTGATCGGCTGGATCACTT | GAAGAGGCTTTGCCTCACTG | 184, 198 | + | + | 2 |
| BrotSSR 002769 | GAAGGTGAAGGAGAAGGGCT | CCTCCCCTGTTTCTTCTTCC | 155, 170 | + | + | 2 |
| ContiSSR 062098 | CGTGAGGATGCTAGAGGAGG | TCTTCAGCCCTTCGATCACT | 220 | + | + | 1 |
| ContiSSR 019224 | CATCGTCCTCTTCTTCCTCG | TGATCCCTCATCGCTCTCTT | 268 | + | + | 1 |
| Data | Sucrose (B) (g L−1) | Light (A) | Mean (B) | |
|---|---|---|---|---|
| White | Red | |||
| MRZ formation (%) | 30 | 98.33 ± 1.67 a | 66.67 ± 2.11 b | 82.50 ± 4.94 a |
| 60 | 75.00 ± 2.24 b | 48.33 ± 3.07 cd | 61.67 ± 4.41 b | |
| 90 | 55.00 ± 2.24 c | 45.00 ± 7.19 d | 50.00 ± 3.89 c | |
| Mean (A) | 76.11 ± 4.44 a | 53.33 ± 3.43 b | ||
| LSD (p < 0.05) | Light (A) | 0.00 (*) | ||
| Sugar (B) | 0.00 (*) | |||
| A × B | 0.01 (*) | |||
| MRZ diameter (cm) | 30 | 0.589 ± 0.043 c | 0.812 ± 0.034 ab | 0.727 ± 0.037 a |
| 60 | 0.773 ± 0.067 ab | 0.647 ± 0.064 bc | 0.761 ± 0.042 a | |
| 90 | 0.910 ± 0.120 a | 0.647 ± 0.051 bc | 0.800 ± 0.065 a | |
| Mean (A) | 0.768 ± 0.048 a | 0.757 ± 0.027 a | ||
| LSD (p < 0.05) | Light (A) | 0.839 (ns) | ||
| Sugar (B) | 0.529 (ns) | |||
| A × B | 0.001 (*) | |||
| MRZ fresh weight/replication (g) | 30 | 0.168 ± 0.012 b | 0.163 ± 0.020 b | 0.199 ± 0.010 b |
| 60 | 0.313 ± 0.041 ab | 0.284 ± 0.104 ab | 0.362 ± 0.038 a | |
| 90 | 0.406 ± 0.097 a | 0.162 ± 0.045 b | 0.322 ± 0.051 a | |
| Mean (A) | 0.302 ± 0.033 a | 0.287 ± 0.029 a | ||
| LSD (p < 0.05) | Light (A) | 0.064 (ns) | ||
| Sugar (B) | 0.001 (*) | |||
| A × B | 0.012 (*) | |||
| MRZ dry weight/replication (g) | 30 | 0.036 ± 0.002 c | 0.048 ± 0.004 bc | 82.50 ± 4.94 a |
| 60 | 0.086 ± 0.009 ab | 0.085 ± 0.019 ab | 61.67 ± 4.41 b | |
| 90 | 0.116 ± 0.026 a | 0.058 ± 0.013 bc | 50.00 ± 3.89 c | |
| Mean (A) | 0.082 ± 0.009 a | 0.087 ± 0.007 a | ||
| LSD (p < 0.05) | Light (A) | 0.543 (ns) | ||
| Sugar (B) | 0.000 (*) | |||
| A × B | 0.006 (*) | |||
| Number of shoots/explant | 30 | 1.89 ± 0.05 a | 1.42 ± 0.06 bc | 0.727 ± 0.037 a |
| 60 | 2.02 ± 0.08 a | 1.44 ± 0.31 b | 0.761 ± 0.042 a | |
| 90 | 1.06 ± 0.04 c | 0.00 ± 0.00 d | 0.800 ± 0.065 a | |
| Mean (A) | 1.66 ± 0.11 a | 0.95 ± 0.19 b | ||
| LSD (p < 0.05) | Light (A) | 0.00 (*) | ||
| Sugar (B) | 0.00 (*) | |||
| A × B | 0.06 (*) | |||
| Shoot length (cm) | 30 | 9.91 ± 0.23 a | 9.47 ± 0.32 a | 9.69 ± 0.20 a |
| 60 | 6.52 ± 0.17 b | 3.67 ± 0.48 c | 5.09 ± 0.49 b | |
| 90 | 1.03 ± 0.13 d | 0.00 ± 0.00 e | 0.52 ± 0.17 c | |
| Mean (A) | 5.82 ± 0.89 a | 4.38 ± 0.96 b | ||
| LSD (p < 0.05) | Light (A) | 0.00 (*) | ||
| Sugar (B) | 0.00 (*) | |||
| A × B | 0.00 (*) | |||
| Metabolites | Functions in Plant | Functions and Possibility for Medicinal Applications |
|---|---|---|
| 3-Hydroxyisobutyrate and 3-hydroxybutyrate | Signaling molecules in response to environmental stresses, such as nutrient limitation or oxidative stress [74]. | Involved in energy metabolism and neuroprotective and anti-inflammatory effects [75]. |
| 3-Methyl-2-oxovalerate | Involved in the catabolism of the essential amino acid isoleucine and linked to metabolic pathways that help plants adjust to biotic stresses [76]. | Derivatives play roles in muscle maintenance and protein synthesis [76]. |
| Ascorbate | Powerful antioxidant crucial for detoxifying reactive oxygen species (ROS) [77], a potential enhancement of antioxidant activity in B. rotunda MRZ [78]. | Recognized for its immune-boosting and skin-protective properties. Has a role in collagen synthesis and wound healing in humans [79]. |
| Aspartate | Amino acid in nitrogen metabolism and essential for synthesizing other amino acids, such as asparagine, lysine, and methionine, which contribute to various growth and stress responses [80]. | Supporting liver function and assisting in muscle recovery due to its involvement in protein synthesis and cellular energy production [81]. |
| Hydroxy acetone | Serve as a carbon source for cellular respiration [82]. | Applications related to skin health due to its moisturizing and gentle exfoliating effects [82]. |
| O-Phosphocholine | Intermediate in phospholipid metabolism and significant in cell membrane stability and signaling [83]. Responds to abiotic stressors | Involved in inflammatory processes and have a potential role in anti-cancer therapies [84]. |
| Saccharopine | intermediate in the lysine degradation pathway and associated with plant responses to stress and osmotic balance [85]. | Linked to energy production and nitrogen balance and may have neuroprotective effects and potential applications in neuromodulatory therapies, particularly given its role in stress responses [85]. |
Disclaimer/Publisher’s Note: The statements, opinions and data contained in all publications are solely those of the individual author(s) and contributor(s) and not of MDPI and/or the editor(s). MDPI and/or the editor(s) disclaim responsibility for any injury to people or property resulting from any ideas, methods, instructions or products referred to in the content. |
© 2025 by the authors. Licensee MDPI, Basel, Switzerland. This article is an open access article distributed under the terms and conditions of the Creative Commons Attribution (CC BY) license (https://creativecommons.org/licenses/by/4.0/).
Share and Cite
Thepthong, K.; Kanjanawattanawong, S. In Vitro Production of Plantlets and Microrhizomes, Genetic Fidelity Assessment, and Metabolic Profiling of Boesenbergia rotunda (L.) Mansf. Horticulturae 2025, 11, 186. https://doi.org/10.3390/horticulturae11020186
Thepthong K, Kanjanawattanawong S. In Vitro Production of Plantlets and Microrhizomes, Genetic Fidelity Assessment, and Metabolic Profiling of Boesenbergia rotunda (L.) Mansf. Horticulturae. 2025; 11(2):186. https://doi.org/10.3390/horticulturae11020186
Chicago/Turabian StyleThepthong, Kankamon, and Supanath Kanjanawattanawong. 2025. "In Vitro Production of Plantlets and Microrhizomes, Genetic Fidelity Assessment, and Metabolic Profiling of Boesenbergia rotunda (L.) Mansf." Horticulturae 11, no. 2: 186. https://doi.org/10.3390/horticulturae11020186
APA StyleThepthong, K., & Kanjanawattanawong, S. (2025). In Vitro Production of Plantlets and Microrhizomes, Genetic Fidelity Assessment, and Metabolic Profiling of Boesenbergia rotunda (L.) Mansf. Horticulturae, 11(2), 186. https://doi.org/10.3390/horticulturae11020186

