Biochemical Characterization of a Novel Alkaline-Tolerant Xaa-Pro Dipeptidase from Aspergillus phoenicis
Abstract
1. Introduction
2. Materials and Methods
2.1. Chemicals and Reagents
2.2. Plasmids, Strains and Growth Conditions
2.3. Gene Cloning and Sequence Analysis
2.4. Expression of ApXPD in P. pastoris
2.5. Enzyme Purification
2.6. Enzyme and Protein Assays
2.7. Biochemical Characterization of Recombinant ApXPD
3. Results
3.1. Molecular Cloning and Sequence Analysis of the xpd Gene from A. phoenicis ATCC 14332
3.2. Reclassification of XPDs Based on Phylogenetic Analysis and MEROPS Database
3.3. Three-Dimensional Structure Analysis of ApXPD
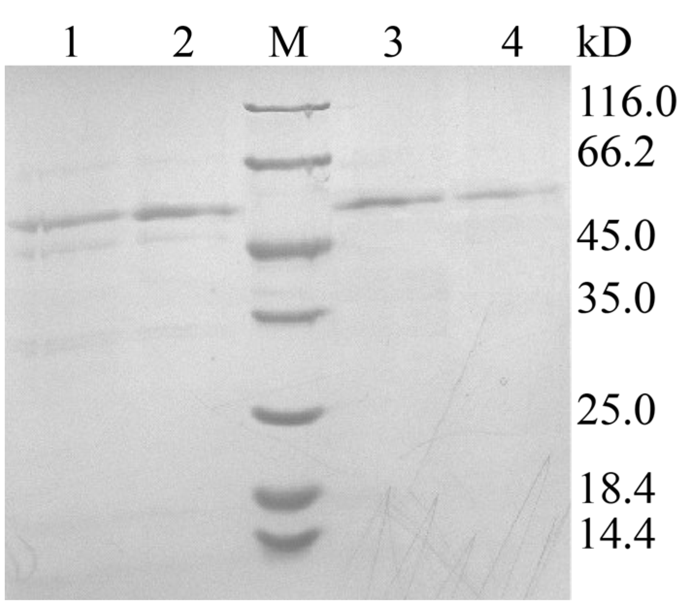
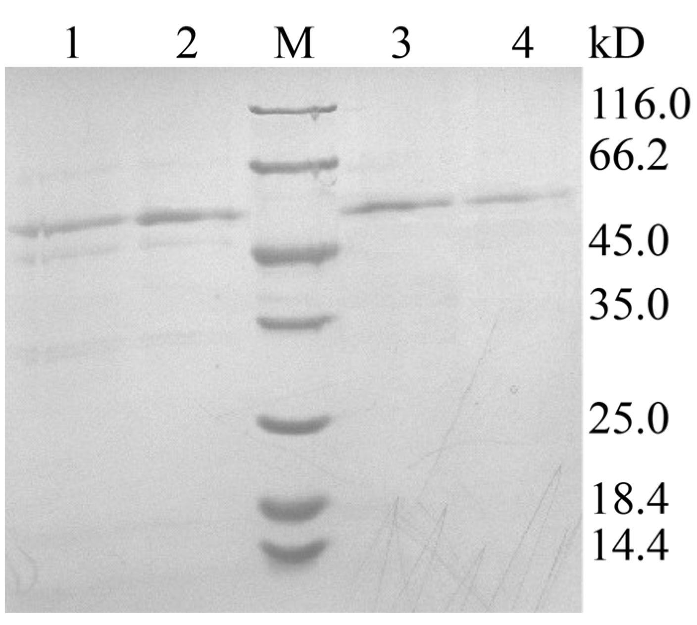
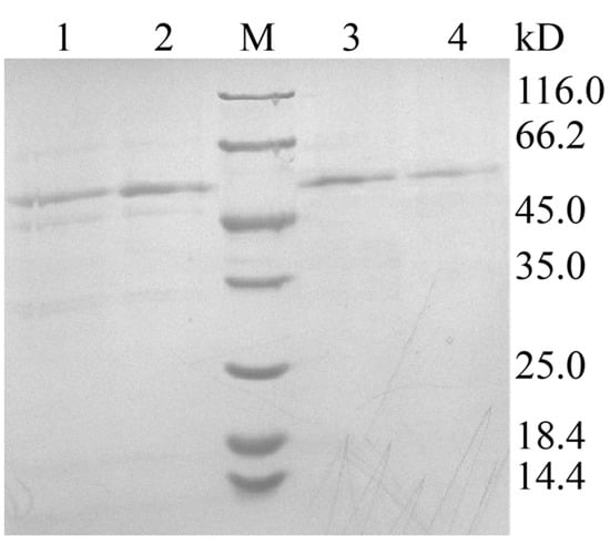
3.4. Expression and Purification of Recombinant ApXPD
3.5. Effects of Temperature and pH on the Activity and Stability of Recombinant ApXPD
3.6. Metal Dependency of Recombinant ApXPD
3.7. Substrate Specificity of Recombinant ApXPD
3.8. Enzyme Kinetics
4. Discussion
5. Conclusions
Supplementary Materials
Author Contributions
Funding
Institutional Review Board Statement
Informed Consent Statement
Data Availability Statement
Conflicts of Interest
References
- Rawlings, N.D.; Alan, J.; Thomas, P.D.; Huang, X.D.; Bateman, A.; Finn, R.D. The MEROPS database of proteolytic enzymes, their substrates and inhibitors in 2017 and a comparison with peptidases in the PANTHER database. Nucleic Acids Res. 2018, 46, D624–D632. [Google Scholar] [CrossRef] [PubMed]
- Kitchener, R.; Grunden, A. Prolidase function in proline metabolism and its medical and biotechnological applications. J. Appl. Microbiol. 2012, 113, 233–247. [Google Scholar] [CrossRef] [PubMed]
- Namiduru, E.S. Prolidase. Bratisl. Lek. Listy 2016, 117, 480–485. [Google Scholar] [CrossRef] [PubMed]
- Are, V.N.; Kumar, A.; Kumar, S.; Goyal, V.D.; Ghosh, B.; Bhatnagar, D.; Jamdar, S.N.; Makde, R.D. Crystal structure and biochemical investigations reveal novel mode of substrate selectivity and illuminate substrate inhibition and allostericity in a subfamily of Xaa-Pro dipeptidases. BBA-Proteins Proteom. 2017, 1865, 153–164. [Google Scholar] [CrossRef] [PubMed]
- Wilk, P.; Wator, E.; Weiss, M.S. Prolidase—A protein with many faces. Biochimie 2021, 183, 3–12. [Google Scholar] [CrossRef]
- Misiura, M.; Miltyk, W. Current understanding of the emerging role of prolidase in cellular metabolism. Int. J. Mol. Sci. 2020, 21, 5906. [Google Scholar] [CrossRef]
- Eni-Aganga, I.; Lanaghan, Z.M.; Balasubramaniam, M.; Dash, C.; Pandhare, J. PROLIDASE: A review from discovery to its role in health and disease. Front. Mol. Biosci. 2021, 8, 723003. [Google Scholar] [CrossRef]
- Theriot, C.M.; Tove, S.R.; Grunden, A.M. Chapter 3 Biotechnological applications of recombinant microbial prolidases. In Advances in Applied Microbiology; Academic Press: Cambridge, MA, USA, 2009; Volume 68, pp. 99–132. [Google Scholar]
- Stepankova, A.; Duskova, J.; Skalova, T.; Hasek, J.; Koval, T.; Ostergaard, L.H.; Dohnalek, J. Organophosphorus acid anhydrolase from Alteromonas macleodii: Structural study and functional relationship to prolidases. Acta Crystallogr. Sect. F Struct. Biol. Cryst. Commun. 2013, 69, 346–354. [Google Scholar] [CrossRef]
- Manco, G.; Porzio, E.; Suzumoto, Y. Enzymatic detoxification: A sustainable means of degrading toxic organophosphate pesticides and chemical warfare nerve agents. J. Chem. Technol. Biot. 2018, 93, 2064–2082. [Google Scholar] [CrossRef]
- Wang, T.-F.; Lo, H.-F.; Chi, M.-C.; Lai, K.-L.; Lin, M.-G.; Lin, L.-L. Affinity immobilization of a bacterial prolidase onto metal-ion-chelated magnetic nanoparticles for the hydrolysis of organophosphorus compounds. Int. J. Mol. Sci. 2019, 20, 3625. [Google Scholar] [CrossRef]
- Yang, J.; Xiao, Y.-Z.; Li, R.; Liu, Y.; Long, L.-J. Repurposing a bacterial prolidase for organophosphorus hydrolysis: Reshaped catalytic cavity switches substrate selectivity. Biotechnol. Bioeng. 2020, 117, 2694–2702. [Google Scholar] [CrossRef] [PubMed]
- Yang, J.; Xiao, Y.; Liu, Y.; Li, R.; Long, L. Structure-based redesign of the bacterial prolidase active-site pocket for efficient enhancement of methyl-parathion hydrolysis. Catal. Sci. Technol. 2021, 11, 5086–5093. [Google Scholar] [CrossRef]
- Spodenkiewicz, M.; Spodenkiewicz, M.; Cleary, M.; Massier, M.; Fitsialos, G.; Cottin, V.; Jouret, G.; Poirsier, C.; Doco-Fenzy, M.; Lèbre, A.S. Clinical genetics of prolidase deficiency: An updated review. Biology 2020, 9, 108. [Google Scholar] [CrossRef] [PubMed]
- Benassi, V.M.; Lucas, R.C.d.; Michelin, M.; Jorge, J.A.; Terenzi, H.F.; Polizeli, M.d.L.T.d.M. Production and action of an Aspergillus phoenicis enzymatic pool using different carbon sources. Braz. J. Food Technol. 2012, 15, 253–260. [Google Scholar] [CrossRef]
- Jalving, R.; Bron, P.; Kester, H.C.; Visser, J.; Schaap, P.J. Cloning of a prolidase gene from Aspergillus nidulans and characterisation of its product. Mol. Genet. Genom. 2002, 267, 218–222. [Google Scholar] [CrossRef]
- Ameen, F.; AlNadhari, S.; Yassin, M.A.; Al-Sabri, A.; Almansob, A.; Alqahtani, N.; Stephenson, S.L. Desert soil fungi isolated from Saudi Arabia: Cultivable fungal community and biochemical production. Saudi J. Biol. Sci. 2022, 29, 2409–2420. [Google Scholar] [CrossRef]
- Li, Q.; Loman, A.A.; Coffman, A.M.; Ju, L. Soybean hull induced production of carbohydrases and protease among Aspergillus and their effectiveness in soy flour carbohydrate and protein separation. J. Biotechnol. 2017, 248, 35–42. [Google Scholar] [CrossRef]
- NKacem, N.C.; Destain, J.; Meraihi, Z.; Dehimat, L.; Haddoum, T.; Wathelet, J.P.; Thonart, P. Optimization of extracellular catalase production from Aspergillus phoenicis K30 by Plackett-Burman design and linear regression using date flour as single carbon source and purification of the enzyme. Afr. J. Biotechnol. 2013, 12, 2646–2653. [Google Scholar]
- Iwasa, H.; Ozawa, K.; Sasaki, N.; Kinoshita, N.; Yokoyama, K.; Hiratsuka, A. Fungal FAD-dependent glucose dehydrogenases concerning high activity, affinity, and thermostability for maltose-insensitive blood glucose sensor. Biochem. Eng. J. 2018, 140, 115–122. [Google Scholar] [CrossRef]
- Lopes, D.C.B.; Carraro, C.B.; Silva, R.N.; de Paula, R.G. Molecular characterization of xyloglucanase cel74a from Trichoderma reesei. Int. J. Mol. Sci. 2021, 22, 4545. [Google Scholar] [CrossRef]
- Campos Antoniêto, A.C.; Maués, D.B.; Nogueira, K.M.V.; de Paula, R.G.; Steindorff, A.S.; Kennedy, J.F.; Pandey, A.; Gupta, V.K.; Silva, R.N. Engineering of holocellulase in biomass-degrading fungi for sustainable biofuel production. J. Clean. Prod. 2022, 371, 133488. [Google Scholar] [CrossRef]
- Alnoch, R.C.; Salgado, J.C.S.; Alves, G.S.; de Andrades, D.; Meleiro, L.P.; Segato, F.; Berto, G.L.; Ward, R.J.; Buckeridge, M.S.; Polizeli, M.d.L.T.M. Biochemical characterization of an endoglucanase GH7 from thermophile Thermothielavioides terrestris expressed on Aspergillus nidulans. Catalysts 2023, 13, 582. [Google Scholar] [CrossRef]
- Kumar, S.; Stecher, G.; Li, M.; Knyaz, C.; Tamura, K. MEGA X: Molecular evolutionary genetics analysis across computing platforms. Mol. Biol. Evol. 2018, 35, 1547–1549. [Google Scholar] [CrossRef]
- Ghosh, M.; Grunden, A.M.; Dunn, D.M.; Weiss, R.; Adams, M.W. Characterization of native and recombinant forms of an unusual cobalt-dependent proline dipeptidase (prolidase) from the hyperthermophilic archaeon Pyrococcus furiosus. J. Bacteriol. 1998, 180, 4781–4789. [Google Scholar] [CrossRef]
- Morel, F.; Frot-Coutaz, J.; Aubel, D.; Portalier, R.; Atlan, D. Characterization of a prolidase from Lactobacillus delbrueckii subsp. bulgaricus CNRZ 397 with an unusual regulation of biosynthesis. Microbiology 1999, 145 Pt 2, 437. [Google Scholar]
- Kgosisejo, O.; Chen, J.A.; Grochulski, P.; Tanaka, T. Crystallographic structure of recombinant Lactococcus lactis prolidase to support proposed structure-function relationships. BBA-Proteins Proteom. 2017, 1865, 473–480. [Google Scholar] [CrossRef] [PubMed]
- Besio, R.; Alleva, S.; Forlino, A.; Lupi, A.; Meneghini, C.; Minicozzi, V.; Profumo, A.; Stellato, F.; Tenni, R.; Morante, S. Identifying the structure of the active sites of human recombinant prolidase. Eur. Biophys. J. 2010, 39, 935–945. [Google Scholar] [CrossRef] [PubMed]
- Maher, M.J.; Ghosh, M.; Grunden, A.M.; Menon, A.L.; Adams, M.W.W.; Adams, M.W.W.; Freeman, H.C.; Guss, J.M. Structure of the prolidase from Pyrococcus furiosus. Biochemistry 2004, 43, 2771–2783. [Google Scholar] [CrossRef]
- Jeyakanthan, J.; Takada, K.; Sawano, M.; Ogasahara, K.; Mizutani, H.; Kunishima, N.; Yokoyama, S.; Yutani, K. Crystal structural and functional analysis of the putative dipeptidase from Pyrococcus horikoshii OT3. J. Biophys. 2009, 2009, 434038. [Google Scholar] [CrossRef]
- Kabashima, T.; Fujii, M.; Hamasaki, Y.; Ito, K.; Yoshimoto, T. Cloning of a novel prolidase gene from Aureobacterium esteraromaticum. BBA-Mol. Cell Res. 1999, 1429, 516–520. [Google Scholar] [CrossRef]
- Mahon, C.S.; O’Donoghue, A.J.; Goetz, D.H.; Murray, P.G.; Craik, C.S.; Tuohy, M.G. Characterization of a multimeric, eukaryotic prolyl aminopeptidase: An inducible and highly specific intracellular peptidase from the non-pathogenic fungus Talaromyces emersonii. Microbiology 2009, 155, 3673–3682. [Google Scholar] [CrossRef] [PubMed]
- Kumar, A.; Are, V.N.; Ghosh, B.; Agrawal, U.; Jamdar, S.N.; Makde, R.D.; Sharma, S.M. Crystallization and preliminary X-ray diffraction analysis of Xaa-Pro dipeptidase from Xanthomonas campestris. Acta Crystallogr. F Struct. Biol. Commun. 2014, 70, 1268–1271. [Google Scholar] [CrossRef] [PubMed]
- Theriot, C.M.; Tove, S.R.; Grunden, A.M. Characterization of two proline dipeptidases (prolidases) from the hyperthermophilic archaeon Pyrococcus horikoshii. Appl. Microbiol. Biotechnol. 2010, 86, 177–188. [Google Scholar] [CrossRef] [PubMed]
- Du, X.L.; Tove, S.; Kast-Hutcheson, K.; Grunden, A.M. Characterization of the dinuclear metal center of Pyrococcus furiosus prolidase by analysis of targeted mutants. FEBS Lett. 2005, 579, 6140–6146. [Google Scholar] [CrossRef]
- Besio, R.; Baratto, M.C.; Gioia, R.; Monzani, E.; Nicolis, S.; Cucca, L.; Profumo, A.; Casella, L.; Basosi, R.; Tenni, R.; et al. A Mn(II)–Mn(II) center in human prolidase. BBA—Proteins Proteom. 2013, 1834, 197–204. [Google Scholar] [CrossRef]
- Park, M.S.; Hill, C.M.; Li, Y.; Hardy, R.K.; Khanna, H.; Khang, Y.H.; Raushel, F.M. Catalytic properties of the PepQ prolidase from Escherichia coli. Arch. Biochem. Biophys. 2004, 429, 224–230. [Google Scholar] [CrossRef]
- Vyas, N.K.; Nickitenko, A.; Rastogi, V.K.; Shah, S.S.; Quiocho, F.A. Structural insights into the dual activities of the nerve agent degrading organophosphate anhydrolase/prolidase. Biochemistry 2010, 49, 547–559. [Google Scholar] [CrossRef]
- Xiao, Y.Z.; Yang, J.; Tian, X.P.; Wang, X.X.; Li, J.; Zhang, S.; Long, L.J. Biochemical basis for hydrolysis of organophosphorus by a marine bacterial prolidase. Process Biochem. 2017, 52, 141–148. [Google Scholar] [CrossRef]
- Fernandez-Espla, M.D.; Martin-Hernandez, M.C.; Fox, P.F. Purification and characterization of a prolidase from Lactobacillus casei subsp. casei IFPL 731. Appl. Environ. Microbiol. 1997, 63, 314–316. [Google Scholar] [CrossRef]
- Kaminogawa, S.; Azuma, N.; Hwang, I.K.; Suzuki, Y.; Yamauchi, K. Isolation and characterization of a prolidase from Streptococcus cremoris H61. J. Agric. Chem. Soc. JPN 1984, 48, 3035–3040. [Google Scholar] [CrossRef]
- Yang, S.I.; Tanaka, T. Characterization of recombinant prolidase from Lactococcus lactis—Changes in substrate specificity by metal cations, and allosteric behavior of the peptidase. FEBS J. 2008, 275, 271–280. [Google Scholar] [CrossRef] [PubMed]
- Are, V.N.; Jamdar, S.N.; Ghosh, B.; Goyal, V.D.; Kumar, A.; Neema, S.; Gadre, R.; Makde, R.D. Crystal structure of a novel prolidase from Deinococcus radiodurans identifies new subfamily of bacterial prolidases. Proteins 2017, 85, 2239–2251. [Google Scholar] [CrossRef] [PubMed]
- Willingham, K.; Maher, M.J.; Grunden, A.M.; Ghosh, M.; Adams, M.W.W.; Freeman, H.C.; Guss, J.M. Crystallization and characterization of the prolidase from Pyrococcus furiosus. Acta Crystallogr. D 2001, 57, 428–430. [Google Scholar] [CrossRef] [PubMed]
- Cheng, T.; Liu, L.; Wang, B.; Wu, J.; DeFrank, J.J.; Anderson, D.M.; Rastogi, V.K.; Hamilton, A.B. Nucleotide sequence of a gene encoding an organophosphorus nerve agent degrading enzyme from Alteromonas haloplanktis. J. Ind. Microbiol. Biotechnol. 1997, 18, 49–55. [Google Scholar] [CrossRef]
- Lupi, A.; Della Torre, S.; Campari, E.; Tenni, R.; Cetta, G.; Rossi, A.; Forlino, A. Human recombinant prolidase from eukaryotic and prokaryotic sources. Expression, purification, characterization and long-term stability studies. FEBS J. 2006, 273, 5466–5478. [Google Scholar] [CrossRef]
- Weaver, J.; Watts, T.; Li, P.; Rye, H.S. Structural basis of substrate selectivity of E. coli prolidase. PLoS ONE 2014, 9, e111531. [Google Scholar] [CrossRef]
- Chen, J.A.; Tanaka, T. Charged residues on a flap-loop structure of Lactococcus lactis prolidase play critical roles in allosteric behavior and substrate inhibition. BBA-Proteins Proteom. 2011, 1814, 1677–1685. [Google Scholar] [CrossRef]
- Wilk, P.; Uehlein, M.; Kalms, J.; Dobbek, H.; Mueller, U.; Weiss, M.S. Substrate specificity and reaction mechanism of human prolidase. FEBS J. 2017, 284, 2870–2885. [Google Scholar] [CrossRef]
- Grunden, A.; Ghosh, M.; Schut, G. Proline dipeptidase from Pyrococcus furiosus. Methods Enzymol. 2001, 330, 433–445. [Google Scholar]
- Theriot, C.M.; Semcer, R.L.; Shah, S.S.; Grunden, A.M. Improving the catalytic activity of hyperthermophilic Pyrococcus horikoshii prolidase for detoxification of organophosphorus nerve agents over a broad range of temperatures. Archaea 2011, 2011, 565127. [Google Scholar] [CrossRef]
- DeFrank, J.J.; Cheng, T.C. Purification and properties of an organophosphorus acid anhydrase from a halophilic bacterial isolate. J. Bacteriol. 1991, 173, 1938–1943. [Google Scholar] [CrossRef] [PubMed][Green Version]
- Cheng, T.C.; Harvey, S.P.; Chen, G.L. Cloning and expression of a gene encoding a bacterial enzyme for decontamination of organophosphorus nerve agents and nucleotide sequence of the enzyme. Appl. Environ. Microbiol. 1996, 62, 1636–1641. [Google Scholar] [CrossRef] [PubMed]
- Cheng, T.C.; Harvey, S.P.; Stroup, A.N. Purification and properties of a highly active organophosphorus acid anhydrolase from Alteromonas undina. Appl. Environ. Microbiol. 1993, 59, 3138–3140. [Google Scholar] [CrossRef] [PubMed]
- Wang, T.F.; Chi, M.C.; Lai, K.L.; Lin, M.G.; Chen, Y.Y.; Lo, H.F.; Lin, L.L. High-level expression and molecular characterization of a recombinant prolidase from Escherichia coli NovaBlue. PeerJ 2018, 6, e5863. [Google Scholar] [CrossRef]
- Booth, M.; Jennings, V.; Fhaolain, I.N.; O’Cuinn, G. Prolidase activity of Lactococcus lactis subsp. cremoris AM2: Partial purification and characterization. J. Dairy Res. 1990, 57, 245–254. [Google Scholar]
- Timofeev, V.; Slutskaya, E.; Gorbacheva, M.; Boyko, K.; Rakitina, T.; Korzhenevskiy, D.; Lipkin, A.; Popov, V. Structure of recombinant prolidase from Thermococcus sibiricus in space group P21221. Acta Crystallogr. 2015, 71, 951–957. [Google Scholar]
- Trofimov, A.A.; Slutskaya, E.A.; Polyakov, K.M.; Dorovatovskii, P.V.; Gumerov, V.M.; Popov, V.O. Influence of intermolecular contacts on the structure of recombinant prolidase from Thermococcus sibiricus. Acta Crystallogr. 2012, 68, 1275–1278. [Google Scholar]
- Suga, K.; Kabashima, T.; Ito, K.; Tsuru, D.; Okamura, H.; Kataoka, J.; Yoshimoto, T. Prolidase from Xanthomonas maltophilia: Purification and characterization of the enzyme. Biosci. Biotechnol. Biochem. 1995, 59, 2087–2090. [Google Scholar] [CrossRef][Green Version]
- Chandrasekaran, L.; Belinskaya, T.; Saxena, A. In vitro characterization of organophosphorus compound hydrolysis by native and recombinant human prolidase. Toxicol. In Vitro 2013, 27, 499–506. [Google Scholar] [CrossRef]







| Substrate | Relative Activity (%) |
|---|---|
| Lys-Pro † | 100 ± 2.1 |
| Gly-Pro † | 86.3 ± 1.7 |
| Ala-Pro † | 32.7 ± 1.3 |
| Pro-Pro † | ND |
| Cys-Gly ∗ | – |
| Lys-Ala ∗ | – |
| Lys-Ser ∗ | – |
| Lys-Gly ∗ | – |
| Leu-Ala-Pro † | ND |
| Lys-Pro-Ala ∗ | – |
| Gly-Pro-Ala ∗ | – |
| Lys-Trp-Ala-Pro † | ND |
| Lys-Pro-Ala-Ala ∗ | – |
| Substrate | Vmax (μmol min−1 mg−1) | Km (mM) | kcat (s−1) | kcat/Km (mM−1 s−1) | h |
|---|---|---|---|---|---|
| Lys-Pro | 85.7 | 1.0 | 123.5 | 123.5 | 1.03 |
| Gly-Pro | 82.8 | 1.2 | 105.9 | 88.3 | 1.05 |
Disclaimer/Publisher’s Note: The statements, opinions and data contained in all publications are solely those of the individual author(s) and contributor(s) and not of MDPI and/or the editor(s). MDPI and/or the editor(s) disclaim responsibility for any injury to people or property resulting from any ideas, methods, instructions or products referred to in the content. |
© 2023 by the authors. Licensee MDPI, Basel, Switzerland. This article is an open access article distributed under the terms and conditions of the Creative Commons Attribution (CC BY) license (https://creativecommons.org/licenses/by/4.0/).
Share and Cite
Dong, Z.; Yang, S.; Zhang, K.; Tang, C.; Kan, Y.; Yao, L. Biochemical Characterization of a Novel Alkaline-Tolerant Xaa-Pro Dipeptidase from Aspergillus phoenicis. Fermentation 2023, 9, 978. https://doi.org/10.3390/fermentation9110978
Dong Z, Yang S, Zhang K, Tang C, Kan Y, Yao L. Biochemical Characterization of a Novel Alkaline-Tolerant Xaa-Pro Dipeptidase from Aspergillus phoenicis. Fermentation. 2023; 9(11):978. https://doi.org/10.3390/fermentation9110978
Chicago/Turabian StyleDong, Zixing, Shuangshuang Yang, Kun Zhang, Cunduo Tang, Yunchao Kan, and Lunguang Yao. 2023. "Biochemical Characterization of a Novel Alkaline-Tolerant Xaa-Pro Dipeptidase from Aspergillus phoenicis" Fermentation 9, no. 11: 978. https://doi.org/10.3390/fermentation9110978
APA StyleDong, Z., Yang, S., Zhang, K., Tang, C., Kan, Y., & Yao, L. (2023). Biochemical Characterization of a Novel Alkaline-Tolerant Xaa-Pro Dipeptidase from Aspergillus phoenicis. Fermentation, 9(11), 978. https://doi.org/10.3390/fermentation9110978

