Applications of Enzymatic-Ultrasonic Treatment for the Integrated Processing of Secondary Fish Raw Materials and the Production of Food Ingredients
Abstract
1. Introduction
2. Materials and Methods
2.1. Materials
- 1.
- Secondary fish raw materials obtained from Atlantic cod (Gadus morhua) filleting residues (backbones with meat trimmings, skin, tails, fins).
- −
- Atlantic cod skin with meat trimmings (AcS);
- −
- Vertebrae and rib bones with meat trimmings; fins with meat trimmings; and the tail section with the tail fin (SRF).
- 2.
- Enzyme preparation: alkaline fungal protease (Fungal protease) «Protozyme C», obtained by culturing the fungus strain Acremonium chrysogenum, followed by purification and concentration, declared enzyme activity 50,000 units/g; optimal pH values 8.0–10.5 units; activity temperature 50–60 °C. The enzyme preparation was purchased from the manufacturer, the biotechnology company Biopreparat, Voronezh, Russian Federation. Protozyme C has collagenolytic, elastolytic, and keratinolytic effects, acts on connective tissue, and reduces its strength during subsequent heat treatment.
2.2. Obtaining Protein Hydrolysates from Secondary Fish Raw Materials
- (i)
- In the traditional method for producing hydrolysates (Sample 1 and Sample 2), the enzyme Protozyme C was added to the AcS or SRF and water (1:4.5) solution at a concentration of 3% of the initial raw material mass. Enzymatic hydrolysis was conducted for 6 h at a temperature of 55 ± 3 °C. After enzymatic hydrolysis, the enzyme was inactivated by heating the hydrolysate solution to 90 °C for 10 min. The hydrolysate solution was then centrifuged at 4000 rpm, filtered, and dried to a moisture content not exceeding 8%.
- (ii)
- To obtain the experimental hydrolysate samples (Sample 3 and Sample 4), the following technology was used: the prepared aqueous solution of AcS or SRF and water (1:4.5) was subjected to ultrasonic treatment with the following parameters: frequency 22 ± 1.6 kHz, intensity 10 W/cm2, maximum power 400 W/L. The volumetric energy density was calculated based on the heat capacity and volume of the processed medium (1 L). An ultrasonic unit (UZT “Volna-M UZTA-0.40/22-OM”, Biysk, Russia) [38] was used for the treatment. The exposure was carried out by immersing a mushroom-shaped transducer into the aqueous solution containing the secondary fish raw material under constant stirring.
2.3. Evaluation of Food Ingredient Properties
- (i)
- Aqueous solution: 10 g of hydrolysate was placed into a 250 mL extraction flask with a ground glass stopper, then 100 mL of distilled water was added. The mixture was shaken for 30 min in a laboratory shaker (AVU-6S, Russia, Rostov Region, Medical Products Plant), followed by centrifugation at 3000 rpm for 15 min using an Eppendorf MiniSpin centrifuge (Hamburg, Germany). At least 15 mL of the supernatant (aqueous solution) was decanted into a clean beaker and used for the bioassay.
- (ii)
- Acetone solution: 10 g of hydrolysate was placed into a 100 mL extraction flask with a ground glass stopper, then 15 mL of acetone (98% purity, AO “Vekton”, Russia) was added. The mixture was shaken for 20 min in the laboratory shaker (AVU-6S, Kemerovo, Russia). Subsequently, 0.5 mL of the supernatant was taken and added to a beaker containing 20 mL of bidistilled water to prepare the acetone solution used for bioassay testing on the protozoan.
2.4. Statistical Processing of Results
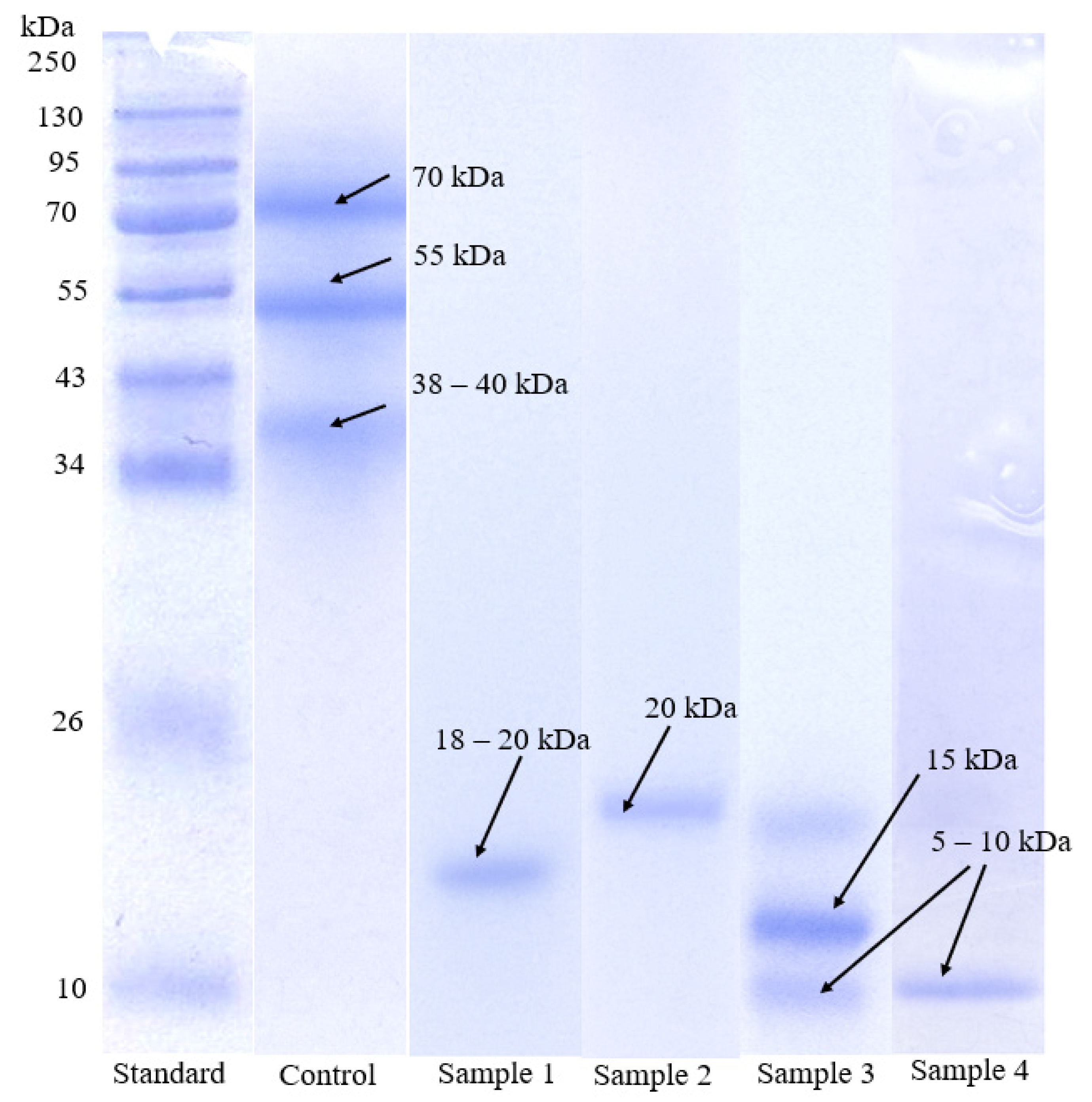
3. Results and Discussion
4. Conclusions
Author Contributions
Funding
Institutional Review Board Statement
Informed Consent Statement
Data Availability Statement
Acknowledgments
Conflicts of Interest
References
- Rudovica, V.; Rotter, A.; Gaudêncio, S.P.; Novoveská, L.; Akgül, F.; Akslen-Hoel, L.K.; Alexandrino, D.A.M.; Anne, O.; Arbidans, L.; Atanassova, M.; et al. Valorization of Marine Waste: Use of Industrial By-Products and Beach Wrack Towards the Production of High Added-Value Products. Front. Mar. Sci. 2021, 8, 723333. [Google Scholar] [CrossRef]
- Jimenez-Champi, D.; Romero-Orejon, F.; Jáuregui, A.; Ramos-Escudero, F. The Revalorization of Fishery By-Products: Types, Bioactive Compounds, and Food Applications. Int. J. Food Sci. 2024, 2024, 6624083. [Google Scholar] [CrossRef]
- Panwar, S.; Sindhu, R.; Arora, S. Fishery By-product Valorization. In Food Processing Waste and Utilization; CRC Press: Boca Raton, FL, USA, 2022. [Google Scholar] [CrossRef]
- Dekkers, E.; Raghavan, S.; Kristinsson, H.G.; Marshall, M.R. Oxidative stability of mahi mahi red muscle dipped in tilapia protein hydrolysates. Food Chem. 2011, 124, 640–645. [Google Scholar] [CrossRef]
- Nag, M.; Lahiri, D.; Dey, A.; Sarkar, T.; Pati, S.; Joshi, S.; Bunawan, H.; Mohammed, A.; Edinur, H.A.; Ghosh, S.; et al. Seafood Discards: A Potent Source of Enzymes and Biomacromolecules with Nutritional and Nutraceutical Significance. Front. Nutr. 2022, 9, 879929. [Google Scholar] [CrossRef]
- Ghalamara, S.; Brazinha, C.; Silva, S.; Pintado, M. Valorization of Fish Processing By-Products: Biological and Functional Properties of Bioactive Peptides. Curr. Food Sci. Technol. Rep. 2024, 2, 377–391. [Google Scholar] [CrossRef]
- Venugopal, V. Valorization of Seafood Processing Discards: Bioconversion and Bio-Refinery Approaches. Front. Sustain. Food Syst. 2021, 5, 611835. [Google Scholar] [CrossRef]
- Hassoun, A.; Cropotova, J.; Trollman, H.; Jagtap, S.; Garcia-Garcia, G.; Parra-López, C.; Nirmal, N.; Özogul, F.; Bhat, Z.; Aït-Kaddour, A.; et al. Use of Industry 4.0 Technologies to Reduce and Valorize Seafood Waste and By-Products: A Narrative Review on Current Knowledge. Curr. Res. Food Sci. 2023, 6, 100505. [Google Scholar] [CrossRef]
- Xia, F.L.W.; Supri, S.; Djamaludin, H.; Nurdiani, R.; Seng, L.L.; Yin, K.W.; Rovina, K. Turning Waste into Value: Extraction and Effective Valorization Strategies of Seafood By-Products. Waste Manag. Bull. 2024, 2, 84–100. [Google Scholar] [CrossRef]
- Niloo, M.; Regenstein, J.M.; Yasemi, M. Protein Hydrolysates from Fishery Processing By-Products: Production, Characteristics, Food Applications, and Challenges. Foods 2023, 12, 4470. [Google Scholar] [CrossRef]
- Yusoff, M.A.; Mohammadi, P.; Ahmad, F.; Sanusi, N.A. Valorization of Seafood Waste: A Review of Life Cycle Assessment Studies in Biorefinery Applications. Sci. Total Environ. 2024, 952, 175810. [Google Scholar] [CrossRef]
- Hsu, K.-C. Purification of antioxidative peptides prepared from enzymatic hydrolysates of tuna dark muscle by-product. Food Chem. 2010, 122, 42–48. [Google Scholar] [CrossRef]
- Vilkova, D.D.; Novichenko, O.V.; Belova, M.A.; Kutuzov, M.N.; Nikitin, I.A. Infrared Spectroscopy as a Rapid Method the Assessment of the Shelf-Life and Freshness of Refrigerated Rainbow Trout. Storage Process. Farm Prod. 2024, 32, 85–94. [Google Scholar] [CrossRef]
- Mezenova, O.Y.; Agafonova, S.V.; Romanenko, N.Y.; Kalinina, N.S.; Volkov, V.V. Ultrasound for separation of fat from fish processing waste. J. Int. Acad. Refrig. 2025, 2, 82–91. (In Russian) [Google Scholar] [CrossRef]
- Derkach, S.R.; Kuchina, Y.A.; Kolotova, D.S.; Grokhovsky, V.A.; Dubrovin, S.Y.; Petrova, L.A.; Dyakina, T.A.; Voronko, N.G. Properties of fish gelatin from the skin of Atlantic cod (Gadus morhua). In Proceedings of the All-Russian Scientific and Practical Conference with International Participation “Science and Innovations in the Arctic”, Murmansk, Russia, 4–9 December 2023; Murmansk Arctic University: Murmansk, Russia, 2024; pp. 578–580. (In Russian). [Google Scholar]
- Ramakrishnan, V.V.; Ghaly, A.E.; Brooks, M.S.; Budge, S.M. Extraction of proteins from mackerel fish processing waste using Alcalase enzyme. J. Bioprocess. Biotech. 2013, 3, 2–9. [Google Scholar] [CrossRef]
- Zinina, O.; Neverova, O.; Sharaviev, P.; Neverova, E.; Aleksandrina, E. Determination of the functional properties of protein hydrolysates by the in silico method. E3S Web Conf. 2023, 395, 03004. [Google Scholar] [CrossRef]
- Zhou, C.; Hu, J.; Yu, X.; Yagoub, A.E.A.; Zhang, Y.; Ma, H.; Otu, P.N.Y. Heat and/or ultrasound pretreatments motivated enzymolysis of corn gluten meal: Hydrolysis kinetics and protein structure. LWT 2017, 77, 488–496. [Google Scholar] [CrossRef]
- Viji, P.; Madhusudana Rao, B.; Debbarma, J.; Ravishankar, C.N. Research developments in the applications of microwave energy in fish processing: A review. Trends Food Sci. Technol. 2022, 123, 222–232. [Google Scholar] [CrossRef]
- Zhang, Y.; Sun, Q.; Liu, S.; Wei, S.; Xia, Q.; Ji, H.; Hao, J. Extraction of fish oil from fish heads using ultra-high pressure pre-treatment prior to enzymatic hydrolysis. Innov. Food Sci. Emerg. Technol. 2021, 70, 102670. [Google Scholar] [CrossRef]
- Quan, T.H.; Benjakul, S. Production and characterisation of duck albumen hydrolysate using enzymatic process. Int. J. Food Sci. Technol. 2019, 54, 3015–3023. [Google Scholar] [CrossRef]
- Zou, Y.; Kang, D.; Liu, R.; Qi, J.; Zhou, G.; Zhang, W. Effects of ultrasonic assisted cooking on the chemical profiles of taste and flavor of spiced beef. Ultrason. Sonochem. 2018, 46, 36–45. [Google Scholar] [CrossRef]
- Naumenko, N.; Potoroko, I.; Kalinina, I. Stimulation of antioxidant activity and γ-aminobutyric acid synthesis in germinated wheat grain Triticum aestivum L. by ultrasound: Increasing the nutritional value of the product. Ultrason. Sonochem. 2022, 86, 106000. [Google Scholar] [CrossRef]
- Cropotova, J.; Kvangarsnes, K.; Rustad, T.; Stangeland, J.; Roda, G.; Fanzaga, M.; Bartolomei, M.; Lammi, C. Effect of ultrasound treatment on quality parameters and health promoting activity of fish protein hydrolysates extracted from side streams of Atlantic mackerel (Scomber scombrus). Front. Nutr. 2024, 11, 1446485. [Google Scholar] [CrossRef]
- Chemat, F.; Rombaut, N.; Sicaire, A.-G.; Meullemiestre, A.; Fabiano-Tixier, A.-S.; Abert-Vian, M. Ultrasound assisted extraction of food and natural products. Mechanisms, techniques, combinations, protocols and applications. A review. Ultrason. Sonochem. 2017, 34, 540–560. [Google Scholar] [CrossRef] [PubMed]
- Chemat, F.; Huma, Z.; Khan, M.K. Applications of ultrasound in food technology: Processing, preservation and extraction. Ultrason. Sonochem. 2011, 18, 813–835. [Google Scholar] [CrossRef] [PubMed]
- Wang, B.; Meng, T.; Ma, H.; Zhang, Y.; Li, Y.; Jin, J.; Ye, X. Mechanism study of dual-frequency ultrasound assisted enzymolysis on rapeseed protein by immobilized Alcalase. Ultrason. Sonochem. 2016, 32, 307–313. [Google Scholar] [CrossRef] [PubMed]
- Krasulya, O.; Bogush, V.; Trishina, V.; Potoroko, I.; Khmelev, S.; Sivashanmugam, P.; Anandane, S. Impact of acoustic cavitation on food emulsions. Ultrason. Sonochem. 2016, 30, 98–102. [Google Scholar] [CrossRef] [PubMed]
- Ashokkumar, M.; Lee, J.; Kentish, S.; Grieser, F. Bubbles in an acoustic field: An overview. Ultrason. Sonochem. 2007, 14, 470–475. [Google Scholar] [CrossRef]
- Pu, Y.; Zou, Q.; Hou, D.; Zhang, Y.; Chen, S. Molecular weight kinetics and chain scission models for dextran polymers during ultrasonic degradation. Carbohydr. Polym. 2017, 156, 71–76. [Google Scholar] [CrossRef]
- Wang, D.; Yan, L.; Ma, X.; Wang, W.; Zou, M.; Zhong, J. Ultrasound promotes enzymatic reactions by acting on different targets: Enzymes, substrates and enzymatic reaction systems. Int. J. Biol. Macromol. 2018, 119, 453–461. [Google Scholar] [CrossRef]
- Damodaran, S.; Parkin, K.L.; Fennema, O.R. (Eds.) Fennema’s Food Chemistry, 4th ed.; CRC Press: Boca Raton, FL, USA, 2007. [Google Scholar] [CrossRef]
- Kristinsson, H.G.; Rasco, B.A. Fish Protein Hydrolysates: Production, Biochemical, and Functional Properties. Crit. Rev. Food Sci. Nutr. 2000, 40, 43–81. [Google Scholar] [CrossRef]
- Chalamaiah, M.; Kumar, B.D.; Hemalatha, R.; Jyothirmayi, T. Fish protein hydrolysates: Proximate composition, amino acid composition, antioxidant activities and applications: A review. Food Chem. 2012, 135, 3020–3038. [Google Scholar] [CrossRef]
- Sarmadi, B.H.; Ismail, A. Antioxidative peptides from food proteins: A review. Peptides 2010, 31, 1949–1956. [Google Scholar] [CrossRef]
- He, S.; Franco, C.; Zhang, W. Functions, applications and production of protein hydrolysates from fish processing co-products (FPCP). Food Res. Int. 2013, 50, 289–297. [Google Scholar] [CrossRef]
- Jenkelunas, P.J.; Li-Chan, E.C.Y. Production and assessment of Pacific hake (Merluccius productus) hydrolysates as cryoprotectants for frozen fish mince. Food Chem. 2018, 239, 535–543. [Google Scholar] [CrossRef] [PubMed]
- Khmelev, V.N.; Lebedev, A.N.; Khmelev, M.V. Ultrasonic Drying and Presowing Treatment of Seeds. Int. Workshops Tutor. Electron Devices Mater. 2006, 3, 251–253. [Google Scholar] [CrossRef]
- ISO 5983-2:2009; Determination of Nitrogen Content and Calculation of Crude Protein Content. International Organization for Standardization: Geneva, Switzerland, 2009.
- Okuskhanova, E.; Yessimbekov, Z.; Suychinov, A.; Rebezov, M.; Semenova, N.; Rebezov, Y.; Gorelik, O.; Zinina, O. Study of water binding capacity, pH, chemical composition and microstructure of livestock meat and poultry. Annu. Res. Rev. Biol. 2017, 14, 34413. [Google Scholar] [CrossRef]
- Jambrak, A.R.; Mason, T.J.; Lelas, V.; Paniwnyk, L.; Herceg, Z. Effect of ultrasound treatment on particle size and molecular weight of whey proteins. J. Food Eng. 2014, 121, 15–23. [Google Scholar] [CrossRef]
- Jafarpour, R.M.; Gomes, S.; Gregersen, S.; Sloth, J.J.; Jacobsen, C.; Sørensen, A.-D.-M. Characterization of cod (Gadus morhua) frame composition and its valorization by enzymatic hydrolysis. J. Food Compos. Anal. 2020, 89, 103469. [Google Scholar] [CrossRef]
- Perera, C.O.; Alzahrani, M.A.J. Ultrasound as a pre-treatment for extraction of bioactive compounds and food safety: A review. LWT 2021, 142, 111114. [Google Scholar] [CrossRef]
- Zou, Y.; Yang, H.; Li, P.; Zhang, M.; Zhang, X.; Xu, W.; Wang, D. Effect of different time of ultrasound treatment on physicochemical, thermal, and antioxidant properties of chicken plasma protein. Poult. Sci. 2019, 98, 1925–1933. [Google Scholar] [CrossRef]
- Boskey, A.; Pleshko Camacho, N. FT-IR imaging of native and tissue-engineered bone and cartilage. Biomaterials 2007, 28, 2465–2478. [Google Scholar] [CrossRef]
- Wang, Y.; Tang, X.; Luan, J.; Zhu, W.; Xu, Y.; Yi, S.; Li, J.; Wang, J.; Li, X. Effects of ultrasound pretreatment at different powers on flavor characteristics of enzymatic hydrolysates of cod (Gadus macrocephalus) head. Food Res. Int. 2022, 159, 111612. [Google Scholar] [CrossRef]
- Mezenova, O.Y.; Agafonova, S.V.; Romanenko, N.Y.; Kalinina, N.S.; Volkov, V.V. Comparative evaluation of methods for extracting fat from secondary fish raw materials intended for the synthesis of biotechnology products. Sci. Works Dalrybvtuz. 2025, 71, 59–71. (In Russian) [Google Scholar]
- Zaky, A.A.; Simal-Gándara, J.; Eun, J.B.; Shim, K.; Abd El-Aty, A.M. Bioactivities, applications, safety, and health benefits of bioactive peptides from food and by-products. Front. Nutr. 2022, 8, 815640. [Google Scholar] [CrossRef]
- Phongthai, S.; Lim, S.T.; Rawdkuen, S. Optimization of microwave-assisted extraction of rice bran protein and its hydrolysates properties. J. Cereal Sci. 2016, 70, 146–154. [Google Scholar] [CrossRef]
- Hong, H.; Fan, H.; Chalamaiah, M.; Wu, J. Preparation of low-molecular-weight, collagen hydrolysates (peptides): Current progress, challenges, and future perspectives. Food Chem. 2019, 301, 125222. [Google Scholar] [CrossRef] [PubMed]
- Ji, Q.; Yu, X.; Yagoub, A.E.A.; Chen, L.; Mustapha, A.T.; Zhou, C. Enhancement of lignin removal and enzymolysis of sugarcane bagasse by ultrasound-assisted ethanol synergized deep eutectic solvent pretreatment. Renew. Energy 2021, 172, 304–316. [Google Scholar] [CrossRef]
- Kristoffersen, K.A.; Måge, I.; Wubshet, S.G.; Böcker, U.; Dankel, K.R.; Lislelid, A.; Rønningen, M.A.; Afseth, N.K. FTIR-based prediction of collagen content in hydrolyzed protein samples. Spectrochim. Acta A Mol. Biomol. Spectrosc. 2023, 301, 122919. [Google Scholar] [CrossRef] [PubMed]
- Kang, D.; Zhang, W.; Lorenzo, J.M.; Chen, X. Structural and functional modification of food proteins by high power ultrasound and its application in meat processing. Crit. Rev. Food Sci. Nutr. 2021, 61, 1914–1933. [Google Scholar] [CrossRef]
- Li, X.; Liu, Y.; Wang, Y.; Wang, J.; Xu, Y.; Yi, S.; Li, J. Combined ultrasound and heat pretreatment improve the enzymatic hydrolysis of clam (Aloididae aloidi) and the flavor of hydrolysates. Innov. Food Sci. Emerg. Technol. 2021, 67, 102596. [Google Scholar] [CrossRef]
- Esua, O.J.; Sun, D.-W.; Cheng, J.-H.; Wang, H.; Chen, C. Hybridising plasma functionalized water and ultrasound pretreatment for enzymatic protein hydrolysis of Larimichthys polyactis: Parametric screening and optimization. Food Chem. 2022, 385, 132677. [Google Scholar] [CrossRef] [PubMed]
- Gomez, B.; Munekata, P.E.S.; Gavahian, M.; Barba, F.J.; Martí-Quijal, F.J.; Bolumar, T.; Lorenzo, J.M. Application of pulsed electric fields in meat and fish processing industries: An overview. Food Res. Int. 2019, 123, 95–105. [Google Scholar] [CrossRef] [PubMed]






Disclaimer/Publisher’s Note: The statements, opinions and data contained in all publications are solely those of the individual author(s) and contributor(s) and not of MDPI and/or the editor(s). MDPI and/or the editor(s) disclaim responsibility for any injury to people or property resulting from any ideas, methods, instructions or products referred to in the content. |
© 2025 by the authors. Licensee MDPI, Basel, Switzerland. This article is an open access article distributed under the terms and conditions of the Creative Commons Attribution (CC BY) license (https://creativecommons.org/licenses/by/4.0/).
Share and Cite
Naumenko, N.; Antonova, A.; Kalinina, I.; Fatkullin, R. Applications of Enzymatic-Ultrasonic Treatment for the Integrated Processing of Secondary Fish Raw Materials and the Production of Food Ingredients. Fermentation 2025, 11, 670. https://doi.org/10.3390/fermentation11120670
Naumenko N, Antonova A, Kalinina I, Fatkullin R. Applications of Enzymatic-Ultrasonic Treatment for the Integrated Processing of Secondary Fish Raw Materials and the Production of Food Ingredients. Fermentation. 2025; 11(12):670. https://doi.org/10.3390/fermentation11120670
Chicago/Turabian StyleNaumenko, Natalia, Anastasia Antonova, Irina Kalinina, and Rinat Fatkullin. 2025. "Applications of Enzymatic-Ultrasonic Treatment for the Integrated Processing of Secondary Fish Raw Materials and the Production of Food Ingredients" Fermentation 11, no. 12: 670. https://doi.org/10.3390/fermentation11120670
APA StyleNaumenko, N., Antonova, A., Kalinina, I., & Fatkullin, R. (2025). Applications of Enzymatic-Ultrasonic Treatment for the Integrated Processing of Secondary Fish Raw Materials and the Production of Food Ingredients. Fermentation, 11(12), 670. https://doi.org/10.3390/fermentation11120670

