Restoring Adipose Tissue Homeostasis in Response to Aging: Initial Clinical Experience with Profhilo Structura®
Abstract
1. Introduction
2. Results and Discussion
2.1. Cohesivity
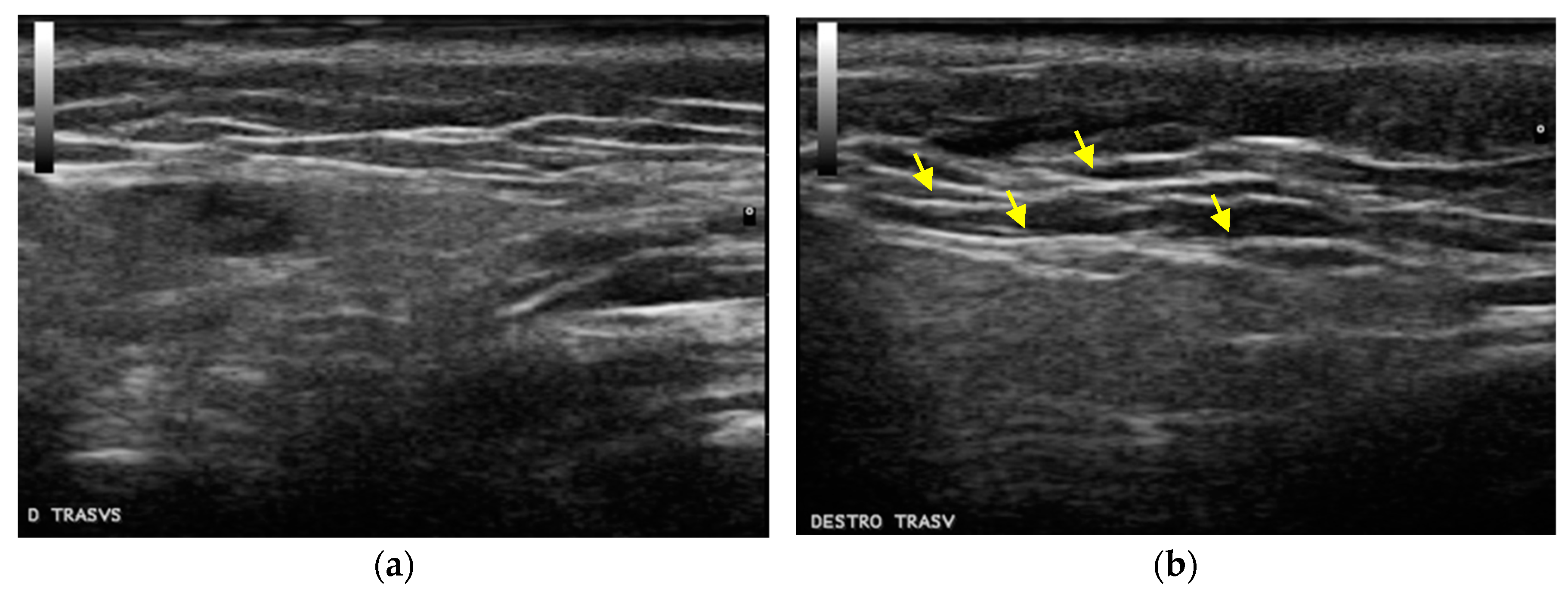
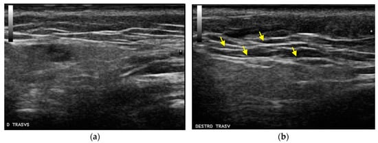
2.2. Clinical Evaluations
3. Conclusions
4. Materials and Methods
4.1. Cohesivity
4.2. Population Characteristics
4.3. Injection Technique
4.4. Instrumental Evaluations
4.5. Clinical Evaluations
4.6. Data Analysis
Author Contributions
Funding
Institutional Review Board Statement
Informed Consent Statement
Data Availability Statement
Conflicts of Interest
References
- Rohrich, R.J.; Pessa, J.E. The Fat Compartments of the Face: Anatomy and Clinical Implications for Cosmetic Surgery. Plast. Reconstr. Surg. 2007, 119, 2219–2227. [Google Scholar] [CrossRef]
- Gierloff, M.; Stöhring, C.; Buder, T.; Wiltfang, J. The subcutaneous fat compartments in relation to aesthetically important facial folds and rhytides. J. Plast. Reconstr. Aesthetic Surg. 2012, 65, 1292–1297. [Google Scholar] [CrossRef] [PubMed]
- Gierloff, M.; Stöhring, C.; Buder, T.; Gassling, V.; Açil, Y.; Wiltfang, J. Aging Changes of the Midfacial Fat Compartments: A Computed Tomographic Study. Plast. Reconstr. Surg. 2012, 129, 263–273. [Google Scholar] [CrossRef]
- Wan, D.; Amirlak, B.; Giessler, P.; Rasko, Y.; Rohrich, R.J.; Yuan, C.; Lysikowski, J.; Delgado, I.; Davis, K. The differing adipocyte morphologies of deep versus superficial midfacial fat compartments: A cadaveric study. Plast. Reconstr. Surg. 2014, 133, 615e–622e. [Google Scholar] [CrossRef] [PubMed]
- Wan, D.; Amirlak, B.; Rohrich, R.; Davis, K. The clinical importance of the fat compartments in midfacial aging. Plast. Reconstr. Surg. Glob. Open 2013, 1, e92. [Google Scholar] [CrossRef] [PubMed]
- Mertens, A.; Foyatier, J.L.; Mojallal, A. Quantitative analysis of midface fat compartments mass with ageing and body mass index, anatomical study. Ann. Chir. Plast. Esthet. 2016, 61, 798–805. [Google Scholar] [CrossRef]
- Tabit, C.J.; Slack, G.C.; Fan, K.; Wan, D.C.; Bradley, J.P. Fat grafting versus adipose-derived stem cell therapy: Distinguishing indications, techniques, and outcomes. Aesthetic Plast. Surg. 2012, 36, 704–713. [Google Scholar] [CrossRef]
- Wollina, U.; Goldman, A.; Berger, U.; Abdel-Naser, M.B. Esthetic and cosmetic dermatology. Dermatol. Ther. 2008, 21, 118–130. [Google Scholar] [CrossRef]
- Huang, S.; Zhao, W.; Wang, Z.; Tao, K.; Liu, X.; Chang, P. Potential drawbacks in cell-assisted lipotransfer: A systematic review of existing reports (Review). Mol. Med. Rep. 2016, 13, 1063–1069. [Google Scholar] [CrossRef]
- Hamid, A.A.; Idrus, R.B.H.; Saim, A.B.; Sathappan, S.; Chua, K.-H. Characterization of human adipose-derived stem cells and expression of chondrogenic genes during induction of cartilage differentiation. Clinics 2012, 67, 99–106. [Google Scholar] [CrossRef]
- Ghersetich, I.; Lotti, T.; Campanile, G.; Grappone, C.; Dini, G. Hyaluronic acid in cutaneous intrinsic aging. Int. J. Dermatol. 1994, 33, 119–122. [Google Scholar] [CrossRef]
- Jones, D.; Murphy, D.K. Volumizing Hyaluronic Acid Filler for Midface Volume Deficit: 2-Year Results from a Pivotal Single-Blind Randomized Controlled Study. Dermatol. Surg. 2013, 39, 1602–1612. [Google Scholar] [CrossRef]
- McCracken, M.S.; Khan, J.A.; Wulc, A.E.; Holds, J.B.; Fante, R.G.; Migliori, M.E.; Ebroon, D.A.; Amato, M.M.; Silkiss, R.Z.; Patel, B.C.K. Hyaluronic Acid Gel (Restylane) Filler for Facial Rhytids: Lessons Learned From American Society of Ophthalmic Plastic and Reconstructive Surgery Member Treatment of 286 Patients. Ophthalmic Plast. Reconstr. Surg. 2006, 22, 188–191. [Google Scholar] [CrossRef][Green Version]
- Stellavato, A.; Corsuto, L.; D’Agostino, A.; La Gatta, A.; Diana, P.; Bernini, P.; De Rosa, M.; Schiraldi, C. Hyaluronan Hybrid Cooperative Complexes as a Novel Frontier for Cellular Bioprocesses Re-Activation. PLoS ONE 2016, 11, e0163510. [Google Scholar] [CrossRef]
- Stern, R.; Maibach, H.I. Hyaluronan in skin: Aspects of aging and its pharmacologic modulation. Clin. Dermatol. 2008, 26, 106–122. [Google Scholar] [CrossRef]
- Tezel, A.; Fredrickson, G.H. The science of hyaluronic acid dermal fillers. J. Cosmet. Laser Ther. 2008, 10, 35–42. [Google Scholar] [CrossRef]
- Sundaram, H.; Cassuto, D. Biophysical characteristics of hyaluronic acid soft-tissue fillers and their relevance to aesthetic applications. Plast. Reconstr. Surg. 2013, 132, 5S–21S. [Google Scholar] [CrossRef]
- Stellavato, A.; La Noce, M.; Corsuto, L.; Pirozzi, A.V.A.; De Rosa, M.; Papaccio, G.; Schiraldi, C.; Tirino, V. Hybrid Complexes of High and Low Molecular Weight Hyaluronans Highly Enhance HASCs Differentiation: Implication for Facial Bioremodelling. Cell. Physiol. Biochem. 2017, 44, 1078–1092. [Google Scholar] [CrossRef]
- Scrima, M.; Merola, F.; Vito, N.; Pacchioni, D.; Vecchi, G.; Melito, C.; Iorio, A.; Giori, A.M.; Ferravante, A. Elucidations on the Performance and Reversibility of Treatment with Hyaluronic Acid Based Dermal Fillers: In vivo and in vitro Approaches. Clin. Cosmet. Investig. Dermatol. 2022, 15, 2629–2640. [Google Scholar] [CrossRef]
- Sundaram, H.; Rohrich, R.J.; Liew, S.; Sattler, G.; Talarico, S.; Trévidic, P.; Molliard, S.G. Cohesivity of Hyaluronic Acid Fillers: Development and Clinical Implications of a Novel Assay, Pilot Validation with a Five-Point Grading Scale, and Evaluation of Six, U.S. Food and Drug Administration-Approved Fillers. Plast. Reconstr. Surg. 2015, 136, 678–686. [Google Scholar] [CrossRef]
- La Gatta, A.; De Rosa, M.; Frezza, M.A.; Catalano, C.; Meloni, M.; Schiraldi, C. Biophysical and biological characterization of a new line of hyaluronan-based dermal fillers: A scientific rationale to specific clinical indications. Mater. Sci. Eng. C Mater. Biol. Appl. 2016, 68, 565–572. [Google Scholar] [CrossRef] [PubMed]
- Laurino, C.; Palmieri, B.; Coacci, A. Efficacy, Safety, and Tolerance of a New Injection Technique for High- and Low-Molecular-Weight Hyaluronic Acid Hybrid Complexes. Eplasty 2015, 15, e46. [Google Scholar] [PubMed]
- Cassuto, D.; Delledonne, M.; Zaccaria, G.; Illiano, I.; Giori, A.M.; Bellia, G. Safety Assessment of High- and Low-Molecular-Weight Hyaluronans (Profhilo®) as Derived from Worldwide Postmarketing Data. BioMed Res. Int. 2020, 2020, 8159047. [Google Scholar] [CrossRef] [PubMed]
- Sparavigna, A.; Cicerone, M.; Giori, A.M.; Bellia, G. Long Term Efficacy and Tolerance of High-And Low-Molecular-Weight Hyaluronans (Profhilo®) intradermal injections. J. Plast. Pathol. Dermatol. 2022, 18, 4. [Google Scholar]
- Alessio, N.; Stellavato, A.; Squillaro, T.; Del Gaudio, S.; Di Bernardo, G.; Peluso, G.; De Rosa, M.; Schiraldi, C.; Galderisi, U. Hybrid complexes of high and low molecular weight hyaluronan delay in vitro replicative senescence of mesenchymal stromal cells: A pilot study for future therapeutic application. Aging 2018, 10, 1575–1585. [Google Scholar] [CrossRef]
- Vleggar, D.; Fitzgerald, R.; Paul Lorenc, Z. Composition and mechanism of action of poly-L-lactic acid in soft tissue augmentation. J. Drugs Dermatol. 2014, 13 (Suppl. 4), s29–s31. [Google Scholar]
- Hanf, E.; Gresser, U. Battle against Aging and Folds: Benefit and Risks of the Semi-Permanent Fillers Polylactic Acid and Calcium Hydroxylapatite. Adv. Aging Res. 2014, 3, 130–141. [Google Scholar] [CrossRef]





Disclaimer/Publisher’s Note: The statements, opinions and data contained in all publications are solely those of the individual author(s) and contributor(s) and not of MDPI and/or the editor(s). MDPI and/or the editor(s) disclaim responsibility for any injury to people or property resulting from any ideas, methods, instructions or products referred to in the content. |
© 2023 by the authors. Licensee MDPI, Basel, Switzerland. This article is an open access article distributed under the terms and conditions of the Creative Commons Attribution (CC BY) license (https://creativecommons.org/licenses/by/4.0/).
Share and Cite
Cassuto, D.; Cigni, C.; Bellia, G.; Schiraldi, C. Restoring Adipose Tissue Homeostasis in Response to Aging: Initial Clinical Experience with Profhilo Structura®. Gels 2023, 9, 614. https://doi.org/10.3390/gels9080614
Cassuto D, Cigni C, Bellia G, Schiraldi C. Restoring Adipose Tissue Homeostasis in Response to Aging: Initial Clinical Experience with Profhilo Structura®. Gels. 2023; 9(8):614. https://doi.org/10.3390/gels9080614
Chicago/Turabian StyleCassuto, Daniel, Clara Cigni, Gilberto Bellia, and Chiara Schiraldi. 2023. "Restoring Adipose Tissue Homeostasis in Response to Aging: Initial Clinical Experience with Profhilo Structura®" Gels 9, no. 8: 614. https://doi.org/10.3390/gels9080614
APA StyleCassuto, D., Cigni, C., Bellia, G., & Schiraldi, C. (2023). Restoring Adipose Tissue Homeostasis in Response to Aging: Initial Clinical Experience with Profhilo Structura®. Gels, 9(8), 614. https://doi.org/10.3390/gels9080614

