Preparation and Characterization of a Novel Mucoadhesive Carvedilol Nanosponge: A Promising Platform for Buccal Anti-Hypertensive Delivery
Abstract
:1. Introduction
2. Results and Discussion
2.1. Effect of Formulation Variables on Physicochemical Characteristics of CRV-Loaded Bilosomes
2.1.1. Effect on Vesicle Size, Polydispersity and Zeta Potential
2.1.2. Effect on Percentage Entrapment Efficiency
2.1.3. Effect on In Vitro Drug Release
2.2. Selection of Optimized Formula
2.3. Characterization of the Optimized CRV-Loaded Bilosomes
2.3.1. Transmission Electron Microscopic (TEM) Analysis
2.3.2. Differential Scanning Calorimetry
2.4. Ex-Vivo Release Study
2.4.1. Ex-Vivo Permeation Studies
2.4.2. Confocal Laser Scanning Microscopy (CLSM) Study
2.5. Stability Study
2.6. Development of CRV-Loaded Bilosomal Sponge (CRV Nanosponge)
2.7. Characterization of CRV Nanosponge
2.7.1. Sponge Morphology
2.7.2. pH, Drug Content and Porosity
2.7.3. Swelling Ratio and Mucoadehison Time
2.7.4. In Vitro Mucoadhesion Time
2.7.5. In Vitro Release of CRV from CRV Nanosponge
2.8. In Vivo Studies of CRV Nanosponge
2.8.1. Effect on Systolic and Diastolic Blood Pressure
2.8.2. Effect on Cardiac Biomarkers
2.8.3. Effect of CRV Nanosponge on Oxidative Stress Markers
2.8.4. Effect on the Serum Lipid Profile Parameters
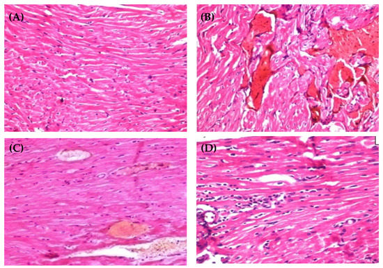
2.9. Histopathological Examination
3. Conclusions
4. Materials and Methods
4.1. Materials
4.2. Preparation of Bilosomes (BLS)
4.3. Characterization of CRV-Loaded Bilosomes
4.3.1. Determination of Particle Size
4.3.2. Transmission Electron Microscope (TEM)
4.3.3. Entrapment Efficiency (EE %) and Drug Loading (DL)
4.3.4. Differential Scanning Calorimetry (DSC)
4.4. In Vitro Drug Release Study
4.5. Ex-Vivo Permeation Study
4.6. Confocal Laser Scanning Microscopy (CLSM) Study
4.7. Stability Studies for Carvedilol-Loaded Bilosomes
4.8. Preparation of Carvedilol Nanosponge
4.9. Characterization of Carvedilol Nanosponge
4.9.1. Sponge Morphology
4.9.2. Sponge pH
4.9.3. Ex-Vivo Mucoadhesion Time
4.9.4. Porosity Determination
4.9.5. Swelling Ratio
4.9.6. In Vitro Release of CRV Nanosponge
4.10. In Vivo Studies
4.10.1. Experimental Animals
4.10.2. Experimental Protocol
4.10.3. Heart Homogenate Isolation
4.10.4. Lipid Peroxidation Determination (LPO)
4.10.5. Determination of Nitric Oxide (NO)
4.10.6. Reactive Oxygen Species Determination (ROS)
4.10.7. Histopathological Examination
4.11. Statistical Analysis
Supplementary Materials
Author Contributions
Funding
Institutional Review Board Statement
Informed Consent Statement
Data Availability Statement
Acknowledgments
Conflicts of Interest
References
- Agrawal, U.; Sharma, R.; Gupta, M.; Vyas, S.P. Is nanotechnology a boon for oral drug delivery? Drug Discov. Today 2014, 19, 1530–1546. [Google Scholar] [CrossRef] [PubMed]
- Stafylas, P.C.; Sarafidis, P.A. Carvedilol in hypertension treatment. Vasc. Health Risk Manag. 2008, 4, 23–30. [Google Scholar] [CrossRef] [PubMed] [Green Version]
- Halder, S.; Ahmed, F.; Shuma, M.L.; Azad, M.A.K.; Kabir, E.R. Impact of drying on dissolution behavior of carvedilol-loaded sustained release solid dispersion: Development and characterization. Heliyon 2020, 6, e05026. [Google Scholar] [CrossRef] [PubMed]
- Neugebauer, G.; Akpan, W.; Kaufmann, B.; Reiff, K. Stereoselective disposition of carvedilol in man after intravenous and oral administration of the racemic compound. Eur. J. Clin. Pharmacol. 1990, 38, 108–111. [Google Scholar] [CrossRef]
- Rasenack, N.; Müller, B.W. Dissolution rate enhancement by in situ micronization of poorly water-soluble drugs. Pharm. Res. 2002, 19, 1894–1900. [Google Scholar] [CrossRef]
- Yuvaraja, K.; Khanam, J. Enhancement of carvedilol solubility by solid dispersion technique using cyclodextrins, water soluble polymers and hydroxyl acid. J. Pharm. Biomed. Anal. 2014, 96, 10–20. [Google Scholar] [CrossRef]
- Potluri, R.H.; Bandari, S.; Jukanti, R.; Veerareddy, P.R. Solubility enhancement and physicochemical characterization of carvedilol solid dispersion with Gelucire 50/13. Arch. Pharm. Res. 2011, 34, 51–57. [Google Scholar] [CrossRef]
- Sid, D.; Baitiche, M.; Elbahri, Z.; Djerboua, F.; Boutahala, M.; Bouaziz, Z.; Le Borgne, M. Solubility enhancement of mefenamic acid by inclusion complex with β-cyclodextrin: In silico modelling, formulation, characterisation, and in vitro studies. J. Enzym. Inhib. Med. Chem. 2021, 36, 605–617. [Google Scholar] [CrossRef]
- Venishetty, V.K.; Chede, R.; Komuravelli, R.; Adepu, L.; Sistla, R.; Diwan, P.V. Design and evaluation of polymer coated carvedilol loaded solid lipid nanoparticles to improve the oral bioavailability: A novel strategy to avoid intraduodenal administration. Colloids Surf. B Biointerfaces 2012, 95, 1–9. [Google Scholar] [CrossRef]
- Sharma, M.; Sharma, R.; Jain, D.K.; Saraf, A. Enhancement of oral bioavailability of poorly water soluble carvedilol by chitosan nanoparticles: Optimization and pharmacokinetic study. Int. J. Biol. Macromol. 2019, 135, 246–260. [Google Scholar] [CrossRef]
- Pham, M.N.; Van Vo, T.; Tran, V.T.; Tran, P.H.; Tran, T.T. Microemulsion-Based Mucoadhesive Buccal Wafers: Wafer Formation, In Vitro Release, and Ex Vivo Evaluation. AAPS PharmSciTech 2017, 18, 2727–2736. [Google Scholar] [CrossRef] [PubMed]
- Mohsin, K.; Long, M.A.; Pouton, C.W. Design of lipid-based formulations for oral administration of poorly water-soluble drugs: Precipitation of drug after dispersion of formulations in aqueous solution. J. Pharm. Sci 2009, 98, 3582–3595. [Google Scholar] [CrossRef] [PubMed]
- Kalepu, S.; Manthina, M.; Padavala, V. Oral lipid-based drug delivery systems—An overview. Acta Pharmaceutica Sinica B 2013, 3, 361–372. [Google Scholar] [CrossRef] [Green Version]
- Abd El Azim, H.; Nafee, N.; Ramadan, A.; Khalafallah, N. Liposomal buccal mucoadhesive film for improved delivery and permeation of water-soluble vitamins. Int. J. Pharm. 2015, 488, 78–85. [Google Scholar] [CrossRef] [PubMed]
- Abdelbary, A.A.; Abd-Elsalam, W.H.; Al-Mahallawi, A.M. Fabrication of novel ultradeformable bilosomes for enhanced ocular delivery of terconazole: In vitro characterization, ex vivo permeation and in vivo safety assessment. Int. J. Pharm. 2016, 513, 688–696. [Google Scholar] [CrossRef] [PubMed]
- Shukla, A.; Mishra, V.; Kesharwani, P. Bilosomes in the context of oral immunization: Development, challenges and opportunities. Drug Discov. Today 2016, 21, 888–899. [Google Scholar] [CrossRef]
- Aburahma, M.H. Bile salts-containing vesicles: Promising pharmaceutical carriers for oral delivery of poorly water-soluble drugs and peptide/protein-based therapeutics or vaccines. Drug Deliv. 2016, 23, 1847–1867. [Google Scholar] [CrossRef]
- Jain, S.; Harde, H.; Indulkar, A.; Agrawal, A.K. Improved stability and immunological potential of tetanus toxoid containing surface engineered bilosomes following oral administration. Nanomedicine 2014, 10, 431–440. [Google Scholar] [CrossRef]
- Wilkhu, J.S.; McNeil, S.E.; Anderson, D.E.; Perrie, Y. Characterization and optimization of bilosomes for oral vaccine delivery. J. Drug Target. 2013, 21, 291–299. [Google Scholar] [CrossRef] [Green Version]
- Abd-Elbary, A.; Makky, A.M.; Tadros, M.I.; Alaa-Eldin, A.A. Laminated sponges as challenging solid hydrophilic matrices for the buccal delivery of carvedilol microemulsion systems: Development and proof of concept via mucoadhesion and pharmacokinetic assessments in healthy human volunteers. Eur. J. Pharm. Sci. 2016, 82, 31–44. [Google Scholar] [CrossRef]
- Patel, V.F.; Liu, F.; Brown, M.B. Advances in oral transmucosal drug delivery. J. Control. Release 2011, 153, 106–116. [Google Scholar] [CrossRef] [PubMed] [Green Version]
- Shergill, M.; Patel, M.; Khan, S.; Bashir, A.; McConville, C. Development and characterisation of sustained release solid dispersion oral tablets containing the poorly water soluble drug disulfiram. Int. J. Pharm. 2016, 497, 3–11. [Google Scholar] [CrossRef] [PubMed]
- Chou, W.H.; Galaz, A.; Jara, M.O.; Gamboa, A.; Morales, J.O. Drug-Loaded Lipid-Core Micelles in Mucoadhesive Films as a Novel Dosage Form for Buccal Administration of Poorly Water-Soluble and Biological Drugs. Pharmaceutics 2020, 12, 1168. [Google Scholar] [CrossRef] [PubMed]
- Patel, D.; Prajapati, J.; Patel, U.; Patel, V. Formulation of thermoresponsive and buccal adhesive in situ gel for treatment of oral thrush containing poorly water soluble drug bifonazole. J. Pharm. Bioallied Sci. 2012, 4, S116–S117. [Google Scholar] [CrossRef] [PubMed]
- Portero, A.; Teijeiro-Osorio, D.; Alonso, M.J.; Remuñán-López, C. Development of chitosan sponges for buccal administration of insulin. Carbohydrate Polymers 2007, 68, 617–625. [Google Scholar] [CrossRef]
- Hazzah, H.A.; Farid, R.M.; Nasra, M.M.; El-Massik, M.A.; Abdallah, O.Y. Lyophilized sponges loaded with curcumin solid lipid nanoparticles for buccal delivery: Development and characterization. Int. J. Pharm. 2015, 492, 248–257. [Google Scholar] [CrossRef]
- Manca, M.L.; Zaru, M.; Manconi, M.; Lai, F.; Valenti, D.; Sinico, C.; Fadda, A.M. Glycerosomes: A new tool for effective dermal and transdermal drug delivery. Int. J. Pharm. 2013, 455, 66–74. [Google Scholar] [CrossRef]
- El Menshawe, S.F.; Aboud, H.M.; Elkomy, M.H.; Kharshoum, R.M.; Abdeltwab, A.M. A novel nanogel loaded with chitosan decorated bilosomes for transdermal delivery of terbutaline sulfate: Artificial neural network optimization, in vitro characterization and in vivo evaluation. Drug Deliv. Transl. Res. 2020, 10, 471–485. [Google Scholar] [CrossRef]
- Rahman, S.A.; Abdelmalak, N.S.; Badawi, A.; Elbayoumy, T.; Sabry, N.; El Ramly, A. Tretinoin-loaded liposomal formulations: From lab to comparative clinical study in acne patients. Drug Deliv 2016, 23, 1184–1193. [Google Scholar] [CrossRef]
- Al Saqr, A.; Khafagy, E.-S.; Alalaiwe, A.; Aldawsari, M.F.; Alshahrani, S.M.; Anwer, M.K.; Khan, S.; Lila, A.S.A.; Arab, H.H.; Hegazy, W.A.H. Synthesis of Gold Nanoparticles by Using Green Machinery: Characterization and In Vitro Toxicity. Nanomaterials 2021, 11, 808. [Google Scholar] [CrossRef]
- Hasan, A.A.; Samir, R.M.; Abu-Zaid, S.S.; Abu Lila, A.S. Revitalizing the local anesthetic effect of Mebeverine hydrochloride via encapsulation within ethosomal vesicular system. Colloids Surf. B Biointerfaces 2020, 194, 111208. [Google Scholar] [CrossRef] [PubMed]
- Ramalingam, N.; Natesan, G.; Dhandayuthapani, B.; Perumal, P.; Balasundaram, J.; Natesan, S. Design and characterization of ofloxacin niosomes. Pak. J. Pharm. Sci. 2013, 26, 1089–1096. [Google Scholar] [PubMed]
- Aboud, H.M.; Ali, A.A.; El-Menshawe, S.F.; Elbary, A.A. Nanotransfersomes of carvedilol for intranasal delivery: Formulation, characterization and in vivo evaluation. Drug Deliv. 2016, 23, 2471–2481. [Google Scholar] [CrossRef] [PubMed] [Green Version]
- Tayel, S.A.; El-Nabarawi, M.A.; Tadros, M.I.; Abd-Elsalam, W.H. Duodenum-triggered delivery of pravastatin sodium via enteric surface-coated nanovesicular spanlastic dispersions: Development, characterization and pharmacokinetic assessments. Int. J. Pharm. 2015, 483, 77–88. [Google Scholar] [CrossRef]
- Zafar, A.; Imam, S.S.; Alruwaili, N.K.; Yasir, M.; Alsaidan, O.A.; Alshehri, S.; Ghoneim, M.M.; Khalid, M.; Alquraini, A.; Alharthi, S.S. Formulation and Evaluation of Topical Nano-Lipid-Based Delivery of Butenafine: In Vitro Characterization and Antifungal Activity. Gels 2022, 8, 133. [Google Scholar] [CrossRef]
- Moghimipour, E.; Ameri, A.; Handali, S. Absorption-Enhancing Effects of Bile Salts. Molecules 2015, 20, 14451–14473. [Google Scholar] [CrossRef] [Green Version]
- Sanad, R.A.; Abdel-Bar, H.M. Chitosan-hyaluronic acid composite sponge scaffold enriched with Andrographolide-loaded lipid nanoparticles for enhanced wound healing. Carbohydr. Polym. 2017, 173, 441–450. [Google Scholar] [CrossRef]
- Anisha, B.S.; Sankar, D.; Mohandas, A.; Chennazhi, K.P.; Nair, S.V.; Jayakumar, R. Chitosan-hyaluronan/nano chondroitin sulfate ternary composite sponges for medical use. Carbohydr. Polym. 2013, 92, 1470–1476. [Google Scholar] [CrossRef]
- Ansari, M.N.; Ganaie, M.A.; Rehman, N.U.; Alharthy, K.M.; Khan, T.H.; Imam, F.; Ansari, M.A.; Al-Harbi, N.O.; Jan, B.L.; Sheikh, I.A.; et al. Protective role of Roflumilast against cadmium-induced cardiotoxicity through inhibition of oxidative stress and NF-κB signaling in rats. Saudi Pharm. J. 2019, 27, 673–681. [Google Scholar] [CrossRef]
- Xu, C.; Hu, Y.; Hou, L.; Ju, J.; Li, X.; Du, N.; Guan, X.; Liu, Z.; Zhang, T.; Qin, W.; et al. β-Blocker carvedilol protects cardiomyocytes against oxidative stress-induced apoptosis by up-regulating miR-133 expression. J. Mol. Cell Cardiol. 2014, 75, 111–121. [Google Scholar] [CrossRef]
- Urbański, K.; Nowak, M.; Guzik, T.J. Oxidative stress and vascular function. Postepy Biochem. 2013, 59, 424–431. [Google Scholar] [PubMed]
- Angeli, J.K.; Cruz Pereira, C.A.; de Oliveira Faria, T.; Stefanon, I.; Padilha, A.S.; Vassallo, D.V. Cadmium exposure induces vascular injury due to endothelial oxidative stress: The role of local angiotensin II and COX-2. Free. Radic. Biol. Med. 2013, 65, 838–848. [Google Scholar] [CrossRef] [Green Version]
- Lopez, B.L.; Christopher, T.A.; Yue, T.L.; Ruffolo, R.; Feuerstein, G.Z.; Ma, X.L. Carvedilol, a new beta-adrenoreceptor blocker antihypertensive drug, protects against free-radical-induced endothelial dysfunction. Pharmacology 1995, 51, 165–173. [Google Scholar] [CrossRef]
- Yue, T.-L.; Ruffolo, R.R.; Feuerstein, G. Antioxidant Action of Carvedilol: A Potential Role in Treatment of Heart Failure. Heart Fail. Rev. 1999, 4, 39–52. [Google Scholar] [CrossRef]
- Feuerstein, G.Z.; Ruffolo, R.R., Jr. Carvedilol, a novel vasodilating beta-blocker with the potential for cardiovascular organ protection. Eur. Heart J. 1996, 17 (Suppl. B), 24–29. [Google Scholar] [CrossRef] [PubMed] [Green Version]
- El-Nabarawi, M.A.; Shamma, R.N.; Farouk, F.; Nasralla, S.M. Bilosomes as a novel carrier for the cutaneous delivery for dapsone as a potential treatment of acne: Preparation, characterization and in vivo skin deposition assay. J. Liposome Res. 2020, 30, 1–11. [Google Scholar] [CrossRef]
- Saifi, Z.; Rizwanullah, M.; Mir, S.R.; Amin, S. Bilosomes nanocarriers for improved oral bioavailability of acyclovir: A complete characterization through in vitro, ex-vivo and in vivo assessment. J. Drug Deliv. Sci. Technol. 2020, 57, 101634. [Google Scholar] [CrossRef]
- Aboelwafa, A.A.; El-Setouhy, D.A.; Elmeshad, A.N. Comparative study on the effects of some polyoxyethylene alkyl ether and sorbitan fatty acid ester surfactants on the performance of transdermal carvedilol proniosomal gel using experimental design. AAPS PharmSciTech 2010, 11, 1591–1602. [Google Scholar] [CrossRef] [Green Version]
- Moghimipour, E.; Tafaghodi, M.; Balouchi, A.; Handali, S. Formulation and in vitro Evaluation of Topical Liposomal Gel of Triamcinolone Acetonide. Res. J. Pharm. Biol. Chem. Sci. 2013, 4, 101–107. [Google Scholar]
- Kassem, M.A.; ElMeshad, A.N.; Fares, A.R. Lyophilized sustained release mucoadhesive chitosan sponges for buccal buspirone hydrochloride delivery: Formulation and in vitro evaluation. AAPS PharmSciTech 2015, 16, 537–547. [Google Scholar] [CrossRef]
- Akhtar, M.S.; Jabeen, Q.; Akram, M.; Khan, H.U.; Karim, S.; Malik, M.N.; Muhammad, N.; Salma, U. Antihypertensive Activity of Aqueous-Methanol Extract of Berberis Orthobotrys Bien Ex Aitch in Rats. Trop. J. Pharm. Res. 2013, 12, 393–399. [Google Scholar]
- Buhl, S.N.; Jackson, K.Y. Optimal conditions and comparison of lactate dehydrogenase catalysis of the lactate-to-pyruvate and pyruvate-to-lactate reactions in human serum at 25, 30, and 37 degrees C. Clin. Chem. 1978, 24, 828–831. [Google Scholar] [CrossRef] [PubMed]
- Szasz, G.; Gruber, W.; Bernt, E. Creatine kinase in serum: 1. Determination of optimum reaction conditions. Clin. Chem. 1976, 22, 650–656. [Google Scholar] [CrossRef] [PubMed]
- Mihara, M.; Uchiyama, M. Determination of malonaldehyde precursor in tissues by thiobarbituric acid test. Anal. Biochem. 1978, 86, 271–278. [Google Scholar] [CrossRef]
- Wang, C.C.; Huang, Y.J.; Chen, L.G.; Lee, L.T.; Yang, L.L. Inducible nitric oxide synthase inhibitors of Chinese herbs III. Rheum palmatum. Planta Med. 2002, 68, 869–874. [Google Scholar] [CrossRef] [PubMed]
- Vrablic, A.S.; Albright, C.D.; Craciunescu, C.N.; Salganik, R.I.; Zeisel, S.H. Altered mitochondrial function and overgeneration of reactive oxygen species precede the induction of apoptosis by 1-O-octadecyl-2-methyl-rac-glycero-3-phosphocholine in p53-defective hepatocytes. FASEB J. 2001, 15, 1739–1744. [Google Scholar] [CrossRef] [Green Version]











| Formulation Code | SPC Conc. (% w/w) | Chol Conc. (% w/w) | EE (%) | DL | PS (nm) | PDI | ZP (mV) |
|---|---|---|---|---|---|---|---|
| BLS1 | 1 | 0 | 51.03 ± 0.5 | 1.86 ± 0.04 | 311.5 ± 4.3 | 0.41 ± 0.005 | −28.5 ± 3.0 |
| BLS2 | 1 | 10 | 59.81 ± 1.4 | 2.15 ± 0.04 | 271.2 ± 5.8 | 0.54 ± 0.003 | −26.1 ± 3.7 |
| BLS3 | 1 | 30 | 77.05 ± 0.9 | 2.26 ± 0.03 | 252.8 ± 5.1 | 0.67 ± 0.004 | −33.6 ± 1.0 |
| BLS4 | 2 | 0 | 78.81 ± 1.5 | 1.10 ± 0.00 | 251.4 ± 3.4 | 0.36 ± 0.015 | −34.8 ± 2.1 |
| BLS5 | 2 | 10 | 82.8 ± 2.8 | 1.12 ± 0.04 | 241.3 ± 5.8 | 0.37 ± 0.006 | −34.7 ± 2.9 |
| BLS6 | 2 | 30 | 85.72 ± 1.4 | 1.15 ± 0.02 | 235.1 ± 5.1 | 0.21 ± 0.004 | −38.1 ± 1.0 |
| BLS7 | 3 | 0 | 79.57 ± 1.2 | 0.73 ± 0.01 | 231.3 ± 7.1 | 0.43 ± 0.003 | −37.6 ± 1.9 |
| BLS8 | 3 | 10 | 82.4 ± 1.8 | 0.75 ± 0.01 | 229.5 ± 6.0 | 0.43 ± 0.002 | −43.3 ± 1.1 |
| BLS9 | 3 | 30 | 87.13 ± 0.5 | 0.78 ± 0.02 | 217.2 ± 2.0 | 0.18 ± 0.002 | −46.1 ± 1.1 |
| Permeation Parameters | CRV Aqueous Suspension | CRV-Loaded Bilosome |
|---|---|---|
| Total amount of drug permeated (μg/cm2) | 188.0 ± 1.9 | 548.4 ± 6.9 |
| Jmax (μg/cm2/h) | 7.83 ± 0.11 | 22.82 ± 0.41 |
| ER (cm−2·h−1) | 1 | 2.91 |
| Cp (cm/h) | 0.0017 ± 0.001 | 0.0071 ± 0.003 |
Publisher’s Note: MDPI stays neutral with regard to jurisdictional claims in published maps and institutional affiliations. |
© 2022 by the authors. Licensee MDPI, Basel, Switzerland. This article is an open access article distributed under the terms and conditions of the Creative Commons Attribution (CC BY) license (https://creativecommons.org/licenses/by/4.0/).
Share and Cite
Khafagy, E.-S.; Abu Lila, A.S.; Sallam, N.M.; Sanad, R.A.-B.; Ahmed, M.M.; Ghorab, M.M.; Alotaibi, H.F.; Alalaiwe, A.; Aldawsari, M.F.; Alshahrani, S.M.; et al. Preparation and Characterization of a Novel Mucoadhesive Carvedilol Nanosponge: A Promising Platform for Buccal Anti-Hypertensive Delivery. Gels 2022, 8, 235. https://doi.org/10.3390/gels8040235
Khafagy E-S, Abu Lila AS, Sallam NM, Sanad RA-B, Ahmed MM, Ghorab MM, Alotaibi HF, Alalaiwe A, Aldawsari MF, Alshahrani SM, et al. Preparation and Characterization of a Novel Mucoadhesive Carvedilol Nanosponge: A Promising Platform for Buccal Anti-Hypertensive Delivery. Gels. 2022; 8(4):235. https://doi.org/10.3390/gels8040235
Chicago/Turabian StyleKhafagy, El-Sayed, Amr S. Abu Lila, Nahed Mohamed Sallam, Rania Abdel-Basset Sanad, Mahgoub Mohamed Ahmed, Mamdouh Mostafa Ghorab, Hadil Faris Alotaibi, Ahmed Alalaiwe, Mohammed F. Aldawsari, Saad M. Alshahrani, and et al. 2022. "Preparation and Characterization of a Novel Mucoadhesive Carvedilol Nanosponge: A Promising Platform for Buccal Anti-Hypertensive Delivery" Gels 8, no. 4: 235. https://doi.org/10.3390/gels8040235
APA StyleKhafagy, E.-S., Abu Lila, A. S., Sallam, N. M., Sanad, R. A.-B., Ahmed, M. M., Ghorab, M. M., Alotaibi, H. F., Alalaiwe, A., Aldawsari, M. F., Alshahrani, S. M., Alshetaili, A., Almutairy, B. K., Al Saqr, A., & Gad, S. (2022). Preparation and Characterization of a Novel Mucoadhesive Carvedilol Nanosponge: A Promising Platform for Buccal Anti-Hypertensive Delivery. Gels, 8(4), 235. https://doi.org/10.3390/gels8040235

