Rectal In Situ Thermosensitive Gel Loaded with Agomelatine-Silver Nanoparticles: Formulation and Characterization
Abstract
1. Introduction
2. Results and Discussion
2.1. UV-Vis Spectral Analysis
2.2. DL%
2.3. Morphology of the Synthesized AgNPs
2.4. Particle Size and Zeta Potential
2.5. PXRD
2.6. FT-IR Spectroscopy Analysis
2.7. Characterization of the Fabricated In Situ Rectal Gel Formulations
2.7.1. Impact of Independent Variables on GT
2.7.2. Impact of Independent Variables on GS
2.7.3. Syringeability
2.7.4. Spreadability
2.7.5. Rheology
2.7.6. Drug Content and pH Evaluation
2.7.7. Impact of Independent Variables on the Cumulative Percent Released at 6 h
2.8. Optimization of Rectal In Situ Gel Formulations
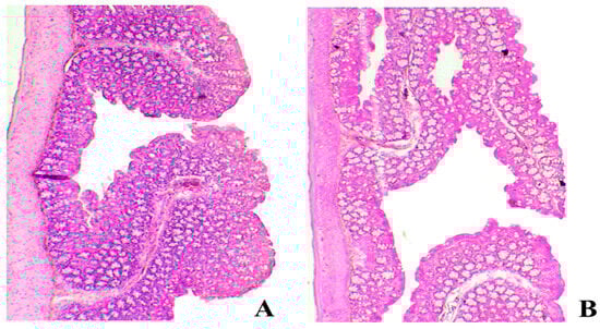
2.9. Histopathology Study
2.10. Retention In Vivo Test
2.11. In Vivo Assessment
2.12. Accelerated Stability Study
3. Conclusions
4. Materials and Methods
4.1. Materials
4.2. Animals
4.3. HPLC Analysis of AG
4.4. Green Synthesis of Silver Nanoparticles
4.5. Characterization of AgNPs
4.5.1. UV-Vis Spectrophotometry
4.5.2. Drug-Loading (DL)
4.5.3. Morphology of the Synthesized AgNPs
4.5.4. Particle Size and Zeta Potential
4.5.5. Powder X-Ray Diffraction (PXRD)
4.5.6. Fourier-Transform Infrared (FT-IR) Spectroscopy Analysis
4.6. Appraisal and Optimization of AG-AgNPs-Loaded In Situ Rectal Gel
4.6.1. Gelation Temperature (GT) Measurement
4.6.2. Measurement of Gel Strength (GS)
4.6.3. Syringeability Test
4.6.4. Spreadability Test
4.6.5. Rheological Study
4.6.6. Drug Content and pH Measurement
4.6.7. In Vitro Drug Release Test
4.6.8. Release-Data Analysis
4.6.9. Histopathology Study
4.6.10. Retention In Vivo Test
4.6.11. Pharmacokinetic Assessment
In Vivo Study
Pharmacokinetic Parameters (PK) Determination
4.6.12. Accelerated Stability Study
4.7. Statistical Analysis
Author Contributions
Funding
Institutional Review Board Statement
Informed Consent Statement
Data Availability Statement
Acknowledgments
Conflicts of Interest
References
- Yucel, A.O.; Demir-Dora, D.; İsbir, M.F.; Dora, B. Agomelatine is superior to melatonin in pain suppression: An experimental study. Neurol. Sci. Neurophysiol. 2020, 37, 203–207. [Google Scholar] [CrossRef]
- Saiz-Rodríguez, M.; Ochoa, D.; Belmonte, C.; Román, M.; Vieira de Lara, D.; Zubiaur, P.; Koller, D.; Mejía, G.; Abad-Santos, F. Polymorphisms in CYP1A2, CYP2C9 and ABCB1 affect agomelatine pharmacokinetics. J. Psychopharmacol. 2019, 33, 522–531. [Google Scholar] [CrossRef] [PubMed]
- De Berardis, D.; Fornaro, M.; Serroni, N.; Campanella, D.; Rapini, G.; Olivieri, L.; Srinivasan, V.; Iasevoli, F.; Tomasetti, C.; De Bartolomeis, A. Agomelatine beyond borders: Current evidences of its efficacy in disorders other than major depression. Int. J. Mol. Sci. 2015, 16, 1111–1130. [Google Scholar] [CrossRef]
- Ahmed, S.; Gull, A.; Alam, M.; Aqil, M.; Sultana, Y. Ultrasonically tailored, chemically engineered and “QbD” enabled fabrication of agomelatine nanoemulsion; optimization, characterization, ex-vivo permeation and stability study. Ultrason. Sonochemistry 2018, 41, 213–226. [Google Scholar] [CrossRef]
- Shnoudeh, A.J.; Hamad, I.; Abdo, R.W.; Qadumii, L.; Jaber, A.Y.; Surchi, H.S.; Alkelany, S.Z. Synthesis, characterization, and applications of metal nanoparticles. In Biomaterials and Bionanotechnology; Elsevier: Amsterdam, The Netherlands, 2019; pp. 527–612. [Google Scholar]
- Kumar, S.; Kumar, B.; Sehgal, R.; Wani, M.; Kumar, D.; Sharma, M.D.; Singh, V.; Sehgal, R.; Kumar, V. Advantages and disadvantages of metal nanoparticles. In Nanoparticles Reinforced Metal Nanocomposites: Mechanical Performance and Durability; Springer: Singapore, 2023; pp. 209–235. [Google Scholar]
- Nikolaidis, P. Analysis of green methods to synthesize nanomaterials. In Green Synthesis of Nanomaterials for Bioenergy Applications; John Wiley and Sons: Hoboken, NJ, USA, 2020; pp. 125–144. [Google Scholar]
- Saddik, M.S.; Elsayed, M.M.; Abdelkader, M.S.A.; El-Mokhtar, M.A.; Abdel-Aleem, J.A.; Abu-Dief, A.M.; Al-Hakkani, M.F.; Farghaly, H.S.; Abou-Taleb, H.A. Novel green biosynthesis of 5-fluorouracil chromium nanoparticles using harpullia pendula extract for treatment of colorectal cancer. Pharmaceutics 2021, 13, 226. [Google Scholar] [CrossRef] [PubMed]
- Gomes, H.I.; Martins, C.S.; Prior, J.A. Silver nanoparticles as carriers of anticancer drugs for efficient target treatment of cancer cells. Nanomaterials 2021, 11, 964. [Google Scholar] [CrossRef]
- Laib, I.; Gheraissa, N.; Benaissa, A.; Benkhira, L.; Azzi, M.; Benaissa, Y.; Abdelaziz, A.G.; Tian, F.; Walsh, M.; Bechelany, M. Tailoring innovative silver nanoparticles for modern medicine: The importance of size and shape control and functional modifications. Mater. Today Bio 2025, 33, 102071. [Google Scholar] [CrossRef]
- Laghari, S.; Khuhawar, M.Y. Rapid Visual Detection of Imipramine, Citalopram, and Sertraline by Citrate- Stabilized Silver Nanoparticles. Int. J. Nanosci. Nanotechnol. 2021, 17, 91–107. [Google Scholar]
- Sakran, W.; Abdel-Rashid, R.S.; Saleh, F.; Abdel-Monem, R. Ethosomal gel for rectal transmucosal delivery of domperidone: Design of experiment, in vitro, and in vivo evaluation. Drug Deliv. 2022, 29, 1477–1491. [Google Scholar] [CrossRef]
- Al-Joufi, F.; Elmowafy, M.; Alruwaili, N.K.; Alharbi, K.S.; Shalaby, K.; Alsharari, S.D.; Ali, H.M. Mucoadhesive in situ rectal gel loaded with rifampicin: Strategy to improve bioavailability and alleviate liver toxicity. Pharmaceutics 2021, 13, 336. [Google Scholar] [CrossRef]
- Akl, M.A.; Ismael, H.R.; Abd Allah, F.I.; Kassem, A.A.; Samy, A.M. Tolmetin sodium-loaded thermosensitive mucoadhesive liquid suppositories for rectal delivery; strategy to overcome oral delivery drawbacks. Drug Dev. Ind. Pharm. 2019, 45, 252–264. [Google Scholar] [CrossRef]
- Salman, Z.; Alhamdany, A.; Yousif, N. An innovative mucoadhesive thermosensitive in situ gelling liquid suppository of metoclopramide hydrocloride for treatment of nausea and vomiting associated with diseases. Indian J. Pharm. Sci. 2020, 82, 650–664. [Google Scholar] [CrossRef]
- Yuan, Y.; Cui, Y.; Zhang, L.; Zhu, H.-P.; Guo, Y.-S.; Zhong, B.; Hu, X.; Zhang, L.; Wang, X.-H.; Chen, L. Thermosensitive and mucoadhesive in situ gel based on poloxamer as new carrier for rectal administration of nimesulide. Int. J. Pharm. 2012, 430, 114–119. [Google Scholar] [CrossRef] [PubMed]
- Rathi, R.; Sanshita; Kumar, A.; Vishvakarma, V.; Huanbutta, K.; Singh, I.; Sangnim, T. Advancements in rectal drug delivery systems: Clinical trials, and patents perspective. Pharmaceutics 2022, 14, 2210. [Google Scholar] [CrossRef] [PubMed]
- Zorraquín-Peña, I.; Cueva, C.; Bartolomé, B.; Moreno-Arribas, M.V. Silver nanoparticles against foodborne bacteria. Effects at intestinal level and health limitations. Microorganisms 2020, 8, 132. [Google Scholar] [CrossRef] [PubMed]
- Vijayakumar, A.; Sharon, E.; Teena, J.; Nobil, S.; Nazeer, I. A clinical study on drug-related problems associated with intravenous drug administration. J. Basic Clin. Pharm. 2014, 5, 49. [Google Scholar] [CrossRef]
- Khan, Z.; Al-Thabaiti, S.A.; Obaid, A.Y.; Al-Youbi, A.O. Preparation and characterization of silver nanoparticles by chemical reduction method. Colloids Surf. B Biointerfaces 2011, 82, 513–517. [Google Scholar] [CrossRef]
- Fahmy, H.M.; Mosleh, A.M.; Abd Elghany, A.; Shams-Eldin, E.; Serea, E.S.A.; Ali, S.A.; Shalan, A.E. Coated silver nanoparticles: Synthesis, cytotoxicity, and optical properties. RSC Adv. 2019, 9, 20118–20136. [Google Scholar] [CrossRef]
- Bélteky, P.; Rónavári, A.; Igaz, N.; Szerencsés, B.; Tóth, I.Y.; Pfeiffer, I.; Kiricsi, M.; Kónya, Z. Silver nanoparticles: Aggregation behavior in biorelevant conditions and its impact on biological activity. Int. J. Nanomed. 2019, 14, 667–687. [Google Scholar] [CrossRef]
- Mishra, S.K.; Teotia, A.K.; Kumar, A.; Kannan, S. Mechanically tuned nanocomposite coating on titanium metal with integrated properties of biofilm inhibition, cell proliferation, and sustained drug delivery. Nanomed. Nanotechnol. Biol. Med. 2017, 13, 23–35. [Google Scholar] [CrossRef]
- Pryshchepa, O.; Pomastowski, P.; Buszewski, B. Silver nanoparticles: Synthesis, investigation techniques, and properties. Adv. Colloid Interface Sci. 2020, 284, 102246. [Google Scholar] [CrossRef] [PubMed]
- Kamble, S.; Agrawal, S.; Cherumukkil, S.; Sharma, V.; Jasra, R.V.; Munshi, P. Revisiting zeta potential, the key feature of interfacial phenomena, with applications and recent advancements. ChemistrySelect 2022, 7, e202103084. [Google Scholar] [CrossRef]
- Ali, M.H.; Azad, M.A.K.; Khan, K.; Rahman, M.O.; Chakma, U.; Kumer, A. Analysis of crystallographic structures and properties of silver nanoparticles synthesized using PKL extract and nanoscale characterization techniques. ACS Omega 2023, 8, 28133–28142. [Google Scholar] [CrossRef]
- Gelen, V.; Özkanlar, S.; Kara, A.; Yeşildağ, A. Citrate-coated silver nanoparticles loaded with agomelatine provide neuronal therapy in acute cerebral ischemia/reperfusion of rats by inhibiting the oxidative stress, endoplasmic reticulum stress, and P2X7 receptor-mediated inflammasome. Environ. Toxicol. 2024, 39, 1531–1543. [Google Scholar] [CrossRef]
- Liao, Y.; Zhang, X.; Li, C.; Huang, Y.; Lei, M.; Yan, M.; Zhou, Y.; Zhao, C. Inclusion complexes of HP-β-cyclodextrin with agomelatine: Preparation, characterization, mechanism study and in vivo evaluation. Carbohydr. Polym. 2016, 147, 415–425. [Google Scholar] [CrossRef]
- Fouda, A.; Abdel-Maksoud, G.; Saad, H.A.; Gobouri, A.A.; Mohammedsaleh, Z.M.; Abdel-Haleem El-Sadany, M. The efficacy of silver nitrate (AgNO3) as a coating agent to protect paper against high deteriorating microbes. Catalysts 2021, 11, 310. [Google Scholar] [CrossRef]
- Ganguly, S.; Das, P.; Srinivasan, S.; Rajabzadeh, A.R.; Tang, X.S.; Margel, S. Superparamagnetic amine-functionalized maghemite nanoparticles as a thixotropy promoter for hydrogels and magnetic field-driven diffusion-controlled drug release. ACS Appl. Nano Mater. 2024, 7, 5272–5286. [Google Scholar] [CrossRef]
- Dong, C.; Zhang, X.; Cai, H.; Cao, C. Facile and one-step synthesis of monodisperse silver nanoparticles using gum acacia in aqueous solution. J. Mol. Liq. 2014, 196, 135–141. [Google Scholar] [CrossRef]
- Umer, A.; Naveed, S.; Ramzan, N.; Rafique, M.S.; Imran, M. A green method for the synthesis of copper nanoparticles using L-ascorbic acid. Matéria 2014, 19, 197–203. [Google Scholar] [CrossRef]
- Indana, M.K.; Gangapuram, B.R.; Dadigala, R.; Bandi, R.; Guttena, V. A novel green synthesis and characterization of silver nanoparticles using gum tragacanth and evaluation of their potential catalytic reduction activities with methylene blue and Congo red dyes. J. Anal. Sci. Technol. 2016, 7, 19. [Google Scholar] [CrossRef]
- Ansari, M.J.; Rehman, N.U.; Ibnouf, E.; Alalaiwe, A.; Ganaie, M.A.; Zafar, A. Gum acacia-and gum tragacanth-coated silver nanoparticles: Synthesis, physiological stability, in-vitro, ex-vivo and in-vivo activity evaluations. Coatings 2022, 12, 1579. [Google Scholar] [CrossRef]
- Kayed, K.; Issa, M.; Al-Ourabi, H. The FTIR spectra of Ag/Ag2O composites doped with silver nanoparticles. J. Exp. Nanosci. 2024, 19, 2336227. [Google Scholar] [CrossRef]
- Bialik, M.; Kuras, M.; Sobczak, M.; Oledzka, E. Achievements in thermosensitive gelling systems for rectal administration. Int. J. Mol. Sci. 2021, 22, 5500. [Google Scholar] [CrossRef]
- Fathalla, Z.M.; Vangala, A.; Longman, M.; Khaled, K.A.; Hussein, A.K.; El-Garhy, O.H.; Alany, R.G. Poloxamer-based thermoresponsive ketorolac tromethamine in situ gel preparations: Design, characterisation, toxicity and transcorneal permeation studies. Eur. J. Pharm. Biopharm. 2017, 114, 119–134. [Google Scholar] [CrossRef] [PubMed]
- Barse, R.; Kokare, C.; Tagalpallewar, A. Influence of hydroxypropylmethylcellulose and poloxamer composite on developed ophthalmic in situ gel: Ex vivo and in vivo characterization. J. Drug Deliv. Sci. Technol. 2016, 33, 66–74. [Google Scholar] [CrossRef]
- Agrawal, M.; Saraf, S.; Saraf, S.; Dubey, S.K.; Puri, A.; Gupta, U.; Kesharwani, P.; Ravichandiran, V.; Kumar, P.; Naidu, V. Stimuli-responsive In situ gelling system for nose-to-brain drug delivery. J. Control. Release 2020, 327, 235–265. [Google Scholar] [CrossRef] [PubMed]
- Sonowal, M.B. Formulation, Optimization and Evaluation of Novel Injectable, Thermoresponsive and Cytocompatible Gel for Sustained Drug Delivery. Int. J. Chemtech Res. 2017, 10, 479–505. [Google Scholar]
- Salem, H.F.; Ali, A.A.; Rabea, Y.K.; El-Ela, F.I.A.; Khallaf, R.A. Glycerosomal thermosensitive in situ gel of duloxetine HCl as a novel nanoplatform for rectal delivery: In vitro optimization and in vivo appraisal. Drug Deliv. Transl. Res. 2022, 12, 3083–3103. [Google Scholar] [CrossRef] [PubMed]
- Chen, X.; Zhang, Y.; Yu, W.; Zhang, W.; Tang, H.; Yuan, W.-E. In situ forming ROS-scavenging hybrid hydrogel loaded with polydopamine-modified fullerene nanocomposites for promoting skin wound healing. J. Nanobiotechnol. 2023, 21, 129. [Google Scholar] [CrossRef]
- Yurtdaş-Kırımlıoğlu, G. A promising approach to design thermosensitive in situ gel based on solid dispersions of desloratadine with Kolliphor® 188 and Pluronic® F127. J. Therm. Anal. Calorim. 2022, 147, 1307–1327. [Google Scholar] [CrossRef]
- Zhang, X.; Yu, W.; Zhang, Y.; Zhang, W.; Wang, J.; Gu, M.; Cheng, S.; Ren, G.; Zhao, B.; Yuan, W.-E. A hydrogen generator composed of poly (lactic-co-glycolic acid) nanofibre membrane loaded iron nanoparticles for infectious diabetic wound repair. J. Colloid Interface Sci. 2024, 672, 266–278. [Google Scholar] [CrossRef]
- Lee, S.C.; Gillispie, G.; Prim, P.; Lee, S.J. Physical and chemical factors influencing the printability of hydrogel-based extrusion bioinks. Chem. Rev. 2020, 120, 10834–10886. [Google Scholar] [CrossRef]
- Dewan, M.; Sarkar, G.; Bhowmik, M.; Das, B.; Chattoapadhyay, A.K.; Rana, D.; Chattopadhyay, D. Effect of gellan gum on the thermogelation property and drug release profile of Poloxamer 407 based ophthalmic formulation. Int. J. Biol. Macromol. 2017, 102, 258–265. [Google Scholar] [CrossRef]
- Abourehab, M.A.; Rajendran, R.R.; Singh, A.; Pramanik, S.; Shrivastav, P.; Ansari, M.J.; Manne, R.; Amaral, L.S.; Deepak, A. Alginate as a promising biopolymer in drug delivery and wound healing: A review of the state-of-the-art. Int. J. Mol. Sci. 2022, 23, 9035. [Google Scholar] [CrossRef] [PubMed]
- Andrews, G.P.; Laverty, T.P.; Jones, D.S. Mucoadhesive polymeric platforms for controlled drug delivery. Eur. J. Pharm. Biopharm. 2009, 71, 505–518. [Google Scholar] [CrossRef]
- Dhawan, S.; Medhi, B.; Chopra, S. Formulation and evaluation of diltiazem hydrochloride gels for the treatment of anal fissures. Sci. Pharm. 2009, 77, 465–482. [Google Scholar] [CrossRef]
- Jackson, T.C.; Patani, B.O.; Ifekpolugo, N.L.; Udofa, E.M.; Obiakor, N.M. Developent of metronidazole loaded silver nanoparticles from Acalypha ciliata for treatment of susceptible pathogens. Nanosci. Nanotechnol. 2019, 9, 22–28. [Google Scholar]
- Ashe, B. A Detail investigation to observe the effect of zinc oxide and Silver nanoparticles in biological system. In Biotechnology and Medical Engineering; National Institute of Technology Rourkela: Rourkela, India, 2011. [Google Scholar]
- Salunke, B.K.; Sathiyamoorthi, E.; Tran, T.K.; Kim, B.S. Phyto-synthesized silver nanoparticles for biological applications. Korean J. Chem. Eng. 2017, 34, 943–951. [Google Scholar] [CrossRef]
- Aziz, S.B.; Hussein, G.; Brza, M.; Mohammed, S.J.; Abdulwahid, R.; Saeed, S.R.; Hassanzadeh, A. Fabrication of interconnected plasmonic spherical silver nanoparticles with enhanced localized surface plasmon resonance (LSPR) peaks using quince leaf extract solution. Nanomaterials 2019, 9, 1557. [Google Scholar] [CrossRef] [PubMed]
- Elsayed, M.M.; Elsayed, A.; Fouad, M.A.; Mohamed, M.S.; Lee, S.; Mahmoud, R.A.; Sabry, S.A.; Ghoneim, M.M.; Hassan, A.H.; Abd Elkarim, R.A. Development and optimization of vildagliptin solid lipid nanoparticles loaded ocuserts for controlled ocular delivery: A promising approach towards treating diabetic retinopathy. Int. J. Pharm. X 2024, 7, 100232. [Google Scholar] [CrossRef]
- El-Shenawy, A.A.; Elsayed, M.M.; Atwa, G.M.; Abourehab, M.A.; Mohamed, M.S.; Ghoneim, M.M.; Mahmoud, R.A.; Sabry, S.A.; Anwar, W.; El-Sherbiny, M. Anti-tumor activity of orally administered gefitinib-loaded nanosized cubosomes against colon cancer. Pharmaceutics 2023, 15, 680. [Google Scholar] [CrossRef]
- Elsayed, M.M.; Okda, T.M.; Atwa, G.M.; Omran, G.A.; Abd Elbaky, A.E.; Ramadan, A.E.h. Design and optimization of orally administered luteolin nanoethosomes to enhance its anti-tumor activity against hepatocellular carcinoma. Pharmaceutics 2021, 13, 648. [Google Scholar] [CrossRef]
- Sabry, S.; Okda, T.; Hasan, A. Formulation, characterization, and evaluation of the anti-tumor activity of nanosized galangin loaded niosomes on chemically induced hepatocellular carcinoma in rats. J. Drug Deliv. Sci. Technol. 2021, 61, 102163. [Google Scholar] [CrossRef]
- Hasan, A.A.; Sabry, S.A.; Abdallah, M.H.; El-Damasy, D.A. Formulation and in vitro characterization of poly(dl-lactide-co-glycolide)/Eudragit RLPO or RS30D nanoparticles as an oral carrier of levofloxacin hemihydrate. Pharm Dev Technol 2016, 21, 655–663. [Google Scholar] [CrossRef]
- Zewail, M.; Gaafar, P.M.E.; Youssef, N.A.H.A.; Ali, M.E.; Ragab, M.F.; Kamal, M.F.; Noureldin, M.H.; Abbas, H. Novel Siprulina platensis Bilosomes for Combating UVB Induced Skin Damage. Pharmaceuticals 2023, 16, 36. [Google Scholar] [CrossRef]
- Elsayed, M.M.; Aboelez, M.O.; Mohamed, M.S.; Mahmoud, R.A.; El-Shenawy, A.A.; Mahmoud, E.A.; Al-Karmalawy, A.A.; Santali, E.Y.; Alshehri, S.; Elsadek, M.E.M. Tailoring of rosuvastatin calcium and atenolol bilayer tablets for the management of hyperlipidemia associated with hypertension: A preclinical study. Pharmaceutics 2022, 14, 1629. [Google Scholar] [CrossRef] [PubMed]
- Hasan, A.; Abd Elghany, M.; Sabry, S. Design and characterization of intra-oral fast dissolving tablets containing diacerein-solid dispersion. J. Appl. Pharm. Sci. 2020, 10, 044–053. [Google Scholar]
- Liu, Y.; Yang, F.; Feng, L.; Yang, L.; Chen, L.; Wei, G.; Lu, W. In vivo retention of poloxamer-based in situ hydrogels for vaginal application in mouse and rat models. Acta Pharm. Sin. B 2017, 7, 502–509. [Google Scholar] [CrossRef]
- El-Kamel, A.; El-Khatib, M. Thermally reversible in situ gelling carbamazepine liquid suppository. Drug Deliv. 2006, 13, 143–148. [Google Scholar] [CrossRef] [PubMed]
- Raval, M.; Bagada, H. Formulation and evaluation of cyclodextrin-based thermosensitive in situ gel of azithromycin for periodontal delivery. J. Pharm. Innov. 2021, 16, 67–84. [Google Scholar] [CrossRef]
- Rençber, S.; Karavana, S.Y.; Şenyiğit, Z.A.; Eraç, B.; Limoncu, M.H.; Baloğlu, E. Mucoadhesive in situ gel formulation for vaginal delivery of clotrimazole: Formulation, preparation, and in vitro/in vivo evaluation. Pharm. Dev. Technol. 2017, 22, 551–561. [Google Scholar] [CrossRef]
- Shahien, M.M.; Alshammari, A.; Ibrahim, S.; Ahmed, E.H.; Atia, H.A.; Elariny, H.A.; Abdallah, M.H. Development of Glycerosomal pH Triggered In Situ Gelling System to Ameliorate the Nasal Delivery of Sulpiride for Pediatric Psychosis. Gels 2024, 10, 608. [Google Scholar] [CrossRef]
- Okur, N.Ü.; Yozgatlı, V.; Şenyiğit, Z. Formulation and detailed characterization of voriconazole loaded in situ gels for ocular application. J. Fac. Pharm. Ank. Univ. 2020, 44, 33–49. [Google Scholar]
- Abdallah, M.H.; Abdelnabi, D.M.; Elghamry, H.A. Response Surface Methodology for Optimization of Buspirone Hydrochloride-Loaded In Situ Gel for Pediatric Anxiety. Gels 2022, 8, 395. [Google Scholar] [CrossRef]
- Fathi, A.M.; Eissa, R.G.; Balata, G.F.; Ghazy, F.-E.S.; Eissa, N.G. Intranasal thermosensitive hydrogel of agomelatine solid dispersion for better management of depression. J. Drug Deliv. Sci. Technol. 2023, 88, 104974. [Google Scholar] [CrossRef]
- Abdallah, M.H.; Sabry, S.A.; Hasan, A.A. Enhancing transdermal delivery of glimepiride via entrapment in proniosomal gel. J. Young Pharm. 2016, 8, 335. [Google Scholar] [CrossRef]
- Barzegar-Jalali, M. Kinetic analysis of drug release from nanoparticles. J. Pharm. Pharm. Sci. 2008, 11, 167–177. [Google Scholar] [CrossRef]
- Fawaz, F.; Bonini, F.; Guyot, M.; Lagueny, A.; Fessi, H.; Devissaguet, J. Disposition and protective effect against irritation after intravenous and rectal administration of indomethacin loaded nanocapsules to rabbits. Int. J. Pharm. 1996, 133, 107–115. [Google Scholar] [CrossRef]
- Zhang, H.; Pu, C.; Wang, Q.; Tan, X.; Gou, J.; He, H.; Zhang, Y.; Yin, T.; Wang, Y.; Tang, X. Physicochemical characterization and pharmacokinetics of agomelatine-loaded PLGA microspheres for intramuscular injection. Pharm. Res. 2019, 36, 1–11. [Google Scholar] [CrossRef]
- Madhavi Harika, S.; Sudhakar, M.; Basava Rao, V. Formulation and Characterization of Carvedilol In situ Gels for Oral Delivery-In vitro and In vivo Pharmacokinetic Studies. Anal. Chem. Lett. 2022, 12, 599–614. [Google Scholar] [CrossRef]











| Source | Response | ||||||||
|---|---|---|---|---|---|---|---|---|---|
| Gelation Temperature | Gel Strength | Cumulative Drug Release at 6 h | |||||||
| SOS | F-Value | p-Value | SOS | F-Value | p-Value | SOS | F-Value | p-Value | |
| Model | 103.08 | 24.84 | 0.002 * | 516.33 | 2788.20 | <0.0001 * | 2138.25 | 141.75 | <0.0001 * |
| A. P188% | 88.17 | 63.73 | 0.0005 | 468.17 | 5056.20 | <0.0001 | 1919.24 | 254.46 | <0.0001 |
| B. HPMC % | 2.67 | 1.93 | 0.2237 | 48.17 | 520.20 | <0.0001 | 219.01 | 29.04 | 0.0017 |
| AB | 12.25 | 8.86 | 0.0309 | ||||||
| Residual | 6.92 | 0.5556 | 45.25 | ||||||
| Cor. Total | 110.00 | 516.89 | 2183.50 | ||||||
| F. Code | Viscosity, cP | Syringeability | Spreadability (cm2) | Drug Content, % | pH | |
|---|---|---|---|---|---|---|
| At 25 ± 1 °C | At 37 ± 0.5 °C | |||||
| F1 | 223 ± 14.57 | 18,425 ± 342.67 | Pass | 7.46 ± 0.31 | 90.18 ± 1.11 | 7.1 ± 0.46 |
| F2 | 269 ± 10.89 | 20,841 ± 205.82 | Pass | 7.55 ± 0.22 | 93.83 ± 3.06 | 6.9 ± 0.65 |
| F3 | 298 ± 15.04 | 26,279 ± 446.11 | Pass | 7.08 ± 0.18 | 89.67 ± 2.43 | 7.3 ± 0.31 |
| F4 | 311 ± 14.72 | 28,560 ± 322.94 | Pass | 6.7 ± 0.35 | 94.25 ± 1.68 | 6.5 ± 0.11 |
| F5 | 337 ± 11.82 | 31,807 ± 283.18 | Pass | 6.42 ± 0.19 | 92.41 ± 2.52 | 6.2 ± 0.37 |
| F6 | 354 ± 12.33 | 34,572 ± 358.99 | Pass | 6.29 ± 0.37 | 95.78 ± 1.27 | 6.8 ± 0.76 |
| F7 | 395 ± 10.19 | 35,226 ± 366.86 | Pass | 5.82 ± 0.29 | 94.26 ± 2.34 | 7.2 ± 0.61 |
| F8 | 448 ± 9.37 | 37,005 ± 202.22 | Pass | 5.49 ± 0.11 | 96.55 ± 1.27 | 7.0 ± 0.25 |
| F9 | 491 ± 12.74 | 39,204 ± 349.25 | Pass | 5.13 ± 0.24 | 93.02 ± 2.23 | 5.9 ± 0.43 |
| F. Code | Zero-Order | First-Order | Diffusion | Korsmeyer | Hixson | Fitted Model | |||||
|---|---|---|---|---|---|---|---|---|---|---|---|
| R2 | K0 | R2 | K1 | R2 | KH | R2 | n | R2 | KC | ||
| F1 | 0.3957 | 3.6750 | 0.94292 | 0.18862 | 0.99074 | 41.287 | 0.95299 | 0.24927 | 0.22370 | 0.06244 | Diffusion |
| F2 | 0.8927 | 7.8917 | 0.97323 | 0.13868 | 0.99987 | 29.391 | 0.98925 | 0.31955 | 0.98352 | 0.28842 | Diffusion |
| F3 | 0.9025 | 6.5685 | 0.98974 | 0.10404 | 0.99240 | 26.718 | 0.98905 | 0.35188 | 0.97967 | 0.22695 | Diffusion |
| F4 | 0.9163 | 6.2784 | 0.96155 | 0.07691 | 0.98768 | 25.290 | 0.96088 | 0.37446 | 0.97701 | 0.18772 | Diffusion |
| F5 | 0.9381 | 6.0190 | 0.98928 | 0.05949 | 0.99288 | 23.805 | 0.99147 | 0.42423 | 0.97790 | 0.15814 | Diffusion |
| F6 | 0.9429 | 5.9373 | 0.98318 | 0.05230 | 0.99516 | 23.322 | 0.99111 | 0.49985 | 0.97305 | 0.14515 | Diffusion |
| F7 | 0.9625 | 5.8928 | 0.98922 | 0.04821 | 0.99597 | 22.672 | 0.99240 | 0.56105 | 0.98278 | 0.13750 | Diffusion |
| F8 | 0.9693 | 5.6674 | 0.94191 | 0.04271 | 0.98892 | 21.606 | 0.93120 | 0.63590 | 0.98029 | 0.12548 | Diffusion |
| F9 | 0.9742 | 5.3547 | 0.98949 | 0.03744 | 0.99363 | 20.203 | 0.99189 | 0.69238 | 0.98558 | 0.11305 | Diffusion |
| PK Abbreviation | Optimized In Situ Rectal Gel | Unprocessed AG-Loaded In Situ Gel | Oral AG Tablets |
|---|---|---|---|
| Cmax, ng/mL | 1703.45 ± 35.62 | 1135.63 ± 40.34 | 734.29 ± 7.54 |
| tmax, h | 2.5 ± 0.251 | 2.5 ± 0.189 | 3.5 ± 0.158 |
| Kab, h−1 | 0.43945 ± 0.028 | 0.44063 ± 0.012 | 1.314 ± 0.073 |
| Kel, h−1 | 0.2712 ± 0.013 | 0.273279 ± 0.027 | 0.3234 ± 0.078 |
| t0.5ab, h | 1.576 ± 0.376 | 1.37273 ± 0.264 | 0.527 ± 0.251 |
| t0.5el, h | 2.56 ± 0.488 | 2.53 ± 0.367 | 2.142 ± 0360 |
| AUC0–8, ng × h/mL | 7068.262 ± 72.98 | 4692.648 ± 81.24 | 3039.735 ± 35.46 |
| AUC0–∞, ng × h/mL | 27,370.4 ± 250.26 | 18,036.65 ± 199.54 | 9860.745 ± 52.33 |
| MAT, h | 2.275 ± 0.150 | 2.269 ± 0.098 | 0.761 ± 0.012 |
| AUMC, ng.h2/mL | 34,659.45 ± 98.401 | 16,133.26 ± 103.44 | 14,175.89 ± 62.19 |
| MRT, h | 5.138 ± 0.035 | 4.148 ± 0.026 | 3.049 ± 0.0211 |
| RB, % | 277.5 | 182.9 | - |
| Parameter | Initial Values | At 25 ± 0.5 °C | At 40 ± 1 C°/ RH, 75% | ||||
|---|---|---|---|---|---|---|---|
| Time of Sampling (Month) | Time of Sampling (Month) | ||||||
| 1 | 2 | 3 | 1 | 2 | 3 | ||
| Color | - | No change | No change | No change | No change | No change | No change |
| pH | 7.20 ± 054 | 7.20 ± 0.21 | 7.20 ± 0.17 | 7.20 ± 0.56 | 7.20 ± 0.25 | 7.10 ± 0.72 | 7.00 ± 0.57 |
| Drug content (%) | 91.64 ± 4.1 | 91.53 ± 3.8 | 91.36 ± 3.5 | 91.10 ± 4.2 | 91.45 ± 3.7 | 90.72 ± 6.2 | 90.44 ± 3.8 |
| GT (°C) | 26.63 ± 2.1 | 26.99 ± 1.5 | 27.12 ± 3.2 | 27.79 ± 3.1 | 27.19 ± 4.6 | 27.58 ± 3.4 | 28.09 ± 1.9 |
| GS (Sec) | 36.98 ± 1.2 | 36.81 ± 1.7 | 36.75 ± 2.4 | 36.40 ± 1.9 | 36.7 ± 3.2 | 36.11 ± 1.8 | 35.67 ± 4.6 |
| Rel. at 6 h (%) | 80.24 ± 3.6 | 80.68 ± 2.8 | 81.39 ± 5.1 | 81.91 ± 4.7 | 81.05 ± 4.2 | 82.23 ± 3.9 | 83.25 ± 1.2 |
| System | HPLC, JASCO Corporation, Tokyo, Japan)/PU–980 Pump, Autosampler Injector/Photodiode Detector (UV-Vis). |
|---|---|
| Column | Peerless LC–C18/RP, Altmann Analytik GmbH, Munich, Germany/250 mm (length)/4.6 mm (internal diameter)/5 μm (particle size). |
| Mobile phase | Methyl alcohol (HPLC grade): phosphate buffer, pH 3 (50:50 v/v). |
| Flow rate | 1 mL/min. |
| Injection volume | 20 μL. |
| Column temperature | 25 °C. |
| Detection wavelength | 230 nm. |
| Variable Code | Variable Name | Variable Level | Response Name | Constrains | ||||
| −1 | 0 | +1 | ||||||
| A | P188 percent (%, w/v) | 10 | 15 | 20 | Gelation temperature, °C | Minimization | ||
| Gel strength, sec. | Maximization | |||||||
| B | HPMC K15M percent (%, w/v) | 0.5 | 1 | 1.5 | Cumulative percent drug released at 6 h, % | Maximization | ||
| Run Code | NPs Equal to | P188 (%, w/v) | HPMC K15M (%, w/v) | Na-Alg (%, w/v) | Y1 (°C) ± SD | Y2 (sec) ± SD | Y3 (%) ± SD | |
| F1 | 10 mg AG | 10 | 0.5 | 0.5 | 30 ± 2.51 | 31 ± 1.11 | 98.67 ± 5.78 | |
| F2 | 10 mg AG | 10 | 1 | 0.5 | 28 ± 1.68 | 33 ± 2.58 | 86.28 ± 1.46 | |
| F3 | 10 mg AG | 10 | 1.5 | 0.5 | 26 ± 3.01 | 36 ± 1.69 | 81.98 ± 4.18 | |
| F4 | 10 mg AG | 15 | 0.5 | 0.5 | 35 ± 2.69 | 39 ± 2.35 | 73.10 ± 4.58 | |
| F5 | 10 mg AG | 15 | 1 | 0.5 | 33 ± 2.44 | 42 ± 2.70 | 67.69 ± 1.20 | |
| F6 | 10 mg AG | 15 | 1.5 | 0.5 | 32 ± 3.21 | 45 ± 3.46 | 64.27 ± 2.34 | |
| F7 | 10 mg AG | 20 | 0.5 | 0.5 | 34 ± 1.98 | 48 ± 3.57 | 59.13 ± 3.51 | |
| F8 | 10 mg AG | 20 | 1 | 0.5 | 36 ± 3.27 | 51 ± 3.00 | 52.09 ± 2.30 | |
| F9 | 10 mg AG | 20 | 1.5 | 0.5 | 37 ± 4.51 | 54 ± 1.58 | 48.40 ± 4.37 | |
| PK Abbreviation | PK Full Name | Unit | Calculated from: |
|---|---|---|---|
| Cmax | Maximum plasma drug concentration | ng/mL | |
| tmax | Time to achieve the Cmax | H | |
| Kab | Absorption rate constant | h−1 | Plasma concentration- Time profile |
| Kel | Elimination rate constant | h−1 | |
| t0.5ab | Half-life of absorption | H | |
| t0.5el | Half-life of elimination | H | |
| AUC0–8 | Areas under the plasma concentration– time curves from zero to the end of sampling time | ng.h/mL | The trapezoidal method |
| AUC0–∞ | Areas under the plasma concentration–time curve from zero to infinity | ng.h/mL | AUC0–8 + last plasma concentration/Kel |
| MAT | Mean absorption time | H | 1/Kab |
| AUMC | Area under the first moment curve | ng.h2/mL | The linear trapezoidal rule with extrapolation to infinite time |
| MRT | Mean residence time | H | AUMC/AUC |
Disclaimer/Publisher’s Note: The statements, opinions and data contained in all publications are solely those of the individual author(s) and contributor(s) and not of MDPI and/or the editor(s). MDPI and/or the editor(s) disclaim responsibility for any injury to people or property resulting from any ideas, methods, instructions or products referred to in the content. |
© 2026 by the authors. Licensee MDPI, Basel, Switzerland. This article is an open access article distributed under the terms and conditions of the Creative Commons Attribution (CC BY) license.
Share and Cite
Abdallah, M.H.; Mohamed, M.S.; Shehata, T.M.; Abdelhafez, W.A.; Elsayed, M.M.A.; Ramadan, A.E.h.; Kamal, I.; Kassem, A.M.; Mostafa, M.E.; Salama, A.; et al. Rectal In Situ Thermosensitive Gel Loaded with Agomelatine-Silver Nanoparticles: Formulation and Characterization. Gels 2026, 12, 51. https://doi.org/10.3390/gels12010051
Abdallah MH, Mohamed MS, Shehata TM, Abdelhafez WA, Elsayed MMA, Ramadan AEh, Kamal I, Kassem AM, Mostafa ME, Salama A, et al. Rectal In Situ Thermosensitive Gel Loaded with Agomelatine-Silver Nanoparticles: Formulation and Characterization. Gels. 2026; 12(1):51. https://doi.org/10.3390/gels12010051
Chicago/Turabian StyleAbdallah, Marwa H., Mohamed S. Mohamed, Tamer M. Shehata, Wael A. Abdelhafez, Mahmoud M. A. Elsayed, Abd El hakim Ramadan, Islam Kamal, Abdulsalam M. Kassem, Mahmoud Elkot Mostafa, Ayman Salama, and et al. 2026. "Rectal In Situ Thermosensitive Gel Loaded with Agomelatine-Silver Nanoparticles: Formulation and Characterization" Gels 12, no. 1: 51. https://doi.org/10.3390/gels12010051
APA StyleAbdallah, M. H., Mohamed, M. S., Shehata, T. M., Abdelhafez, W. A., Elsayed, M. M. A., Ramadan, A. E. h., Kamal, I., Kassem, A. M., Mostafa, M. E., Salama, A., Mahmoud, R. A., & El-Shenawy, A. A. (2026). Rectal In Situ Thermosensitive Gel Loaded with Agomelatine-Silver Nanoparticles: Formulation and Characterization. Gels, 12(1), 51. https://doi.org/10.3390/gels12010051

