Next Article in Journal
The Zinc Finger Protein Zfp2 Regulates Cell–Cell Fusion and Virulence in Cryptococcus neoformans
Previous Article in Journal
Agaricus sinodeliciosus and Coprinus comatus Improve Soil Fertility and Microbial Community Structure
Previous Article in Special Issue
Co-Culture of Monascus purpureus and Aspergillus niger Isolated from Wuyi Hongqu to Enhance Monascus Pigments Production While Inhibiting Citrinin Production
 
 
Font Type:
Arial Georgia Verdana
Font Size:
Aa Aa Aa
Line Spacing:
Column Width:
Background:
Article

Mechanistic Insights from Transcriptomics: How the Glucose Transporter gltp1 Gene Knockout Enhances Monascus Pigment Biosynthesis in M. ruber CICC41233

1
School of Life Science, Jiangxi Science & Technology Normal University, Nanchang 330013, China
2
Analysis and Testing Center, Jiangxi Science & Technology Normal University, Nanchang 330013, China
3
Key Laboratory of Natural Microbial Medicine Research of Jiangxi Province, Jiangxi Science & Technology Normal University, Nanchang 330013, China
4
Jiangxi Provincal Key Laboratory of Organic Functional Molecules, Institute of Organic Chemistry, Jiangxi Science & Technology Normal University, Nanchang 330013, China
*
Authors to whom correspondence should be addressed.
J. Fungi 2025, 11(12), 867; https://doi.org/10.3390/jof11120867
Submission received: 4 November 2025 / Revised: 4 December 2025 / Accepted: 5 December 2025 / Published: 7 December 2025
(This article belongs to the Special Issue Monascus spp. and Their Relative Products)

Abstract

This study’s objective was to evaluate the effect of the glucose transporter GLTP1 in Monascus ruber CICC41233 on Monascus pigment biosynthesis. The gltp1 gene in M. ruber CICC41233 was cloned to construct the overexpression vector pNeo0380-gltp1, resulting in complementation and overexpression strains, and its upstream and downstream homologous arms were used to construct the gene knockout plasmid pHph0380G/Gltp1::hph, resulting in a mutant strain. The results showed that the gltp1 gene knockout strain M. ruber GLTP24 exhibited dramatically accelerated starch degradation and a significant increase (74.1% higher) in the yield of alcohol-soluble pigments compared to the wild-type. Reverse genetic experiments confirmed this phenotype: complementation strains restored wild-type pigment production levels, while overexpression strains showed reduced pigment synthesis. Integrated transcriptomic analyses revealed that gltp1 deletion triggered extensive metabolic reprogramming. This included the downregulation of key components in the carbon-sensing GprD-cAMP/PKA signaling pathway and the concerted upregulation of multiple amino acid metabolic pathways, which supply essential precursors and amino groups for Monascus pigment synthesis. This study provides novel insights into the molecular link between carbon transport, signaling, and Monascus pigments in Monascus ruber.

1. Introduction

Red mold rice (RMR), which is fermented from rice using Monascus spp., is a traditional food product with a history of over a thousand years in China [1,2]. It is widely used as a natural food colorant, preservative, and ingredient in the production of rice wine, vinegar, and meat products. Beyond its culinary applications, RMR is also recognized for its functional properties, including antihypertensive, lipid-lowering, antidiabetic, and anti-inflammatory effects, leading to its classification as functional RMR [2,3,4,5,6]. With an annual production of approximately 20,000 tons in China and over 100 million people consuming Monascus-derived products daily [6], research into the high-efficiency synthesis mechanisms of Monascus pigments (MPs) has gained significant importance.
Monascus pigments are a mixture of compounds and are typically classified into the following three groups based on their absorption spectra: yellow (330–450 nm), orange (460–480 nm), and red (490–530 nm) pigments [6,7]. According to solubility, they can be divided into water-soluble and alcohol-soluble forms, with the latter being the predominant intracellular form [6]. They are secondary metabolites synthesized via the polyketide pathway, using acetyl-CoA as a precursor [8]. The biosynthesis pathway involves key enzymes such as polyketide synthase (PKS) and fatty acid synthase (FAS) [8]. Recent genomic studies have identified a gene cluster spanning approximately 53 kb responsible for MP biosynthesis, which includes genes encoding PKS, FAS, regulatory proteins, and transporters [1].
Nitrogen sources, particularly amino acids, play a critical role in regulating MP biosynthesis and composition. It is proposed that the orange pigment is directly synthesized via the polyketide pathway, the yellow pigment is formed by the reduction in the orange pigment using reducing equivalents (e.g., NADPH), and the red pigment is generated through the amination of the orange pigment, utilizing amino groups derived from amino acid metabolism [5,6]. Specific amino acids have been shown to differentially influence the pigment profile. For instance, supplementation with phenylalanine, valine, leucine, and isoleucine increased the proportion of yellow and orange pigments in Monascus sp. KCCM 10093, while serine, histidine, glycine, and alanine favored the production of red pigments [9]. Similarly, histidine, glycine, arginine, tyrosine, and serine significantly promoted red pigment formation in Monascus ruber ATCC 96218 [10], with arginine suggested as a key amino group donor [6]. Beyond specific amino acids, inorganic nitrogen sources like ammonium sulfate can also alter pigment composition, increasing the proportion of intracellular red pigments while decreasing yellow pigments [11]. These findings underscore the intricate interplay between nitrogen metabolism and MP synthesis.
Numerous studies have explored strategies to enhance MP production by modulating central metabolic pathways. In Monascus ruber CICC41233, heterologous expression of the α-amylase gene AOamyA from Aspergillus oryzae resulted in the engineered strain Monascus ruber Amy9. When fermented with rice as the substrate, starch was completely degraded in the Amy9 strain after 2 days, whereas the wild-type strain still retained residual starch even after 6 days of fermentation. After 6 days of fermentation, the yield of Monascus pigments in the engineered strain M. ruber Amy9 increased by 132% compared to the wild-type strain [12]. Furthermore, overexpression of the gene encoding the endogenous α-amylase MrAMY1 in M. ruber CICC41233 (which shares up to 69% homology with AOamyA) led to complete starch degradation in the resulting engineered strain within 2 days. After 6 days of fermentation, the pigment color value increased by 71.69% compared to the wild-type strain [13]. These results demonstrate a positive correlation between the rapid degradation of starch and the production of Monascus pigments. Overexpression of ATP-citrate lyase (ACL) increases acetyl-CoA supply and boosts pigment yield [14]. Modulation of fatty acid metabolism, such as knocking out the ergosterol biosynthesis gene ERG4 or overexpressing acyl-CoA binding proteins (ACBPs), redirects metabolic flux toward pigment synthesis [15,16,17]. Furthermore, key regulatory elements, including the global regulator LaeA [18], the carbon catabolite repressor CreA [5], and G-protein signaling components (e.g., mga1, flbA), have been identified as critical modulators of MP biosynthesis [19,20,21].
Our preliminary results indicated that M. ruber CICC41233 produced substantial amounts of Monascus pigments after 2 days of fermentation using rice as the substrate, whereas no pigment production was observed when glucose was used as the carbon source under the same conditions. Transcriptome sequencing revealed that among the major facilitator superfamily (MFS) monosaccharide transporters, only one glucose transporter (designated GLTP1), encoded by the gene gltp1, was significantly upregulated. The expression level (FPKM values) of gltp1 was 4506.55 in rice-based fermentation and 1389.04 in glucose-based fermentation (unpublished data). In the M. ruber NRRL1597 genome database (https://mycocosm.jgi.doe.gov/Monru1/Monru1.home.html) (accessed on 20 September 2016), this transporter also exhibited 67% homology with glucose transporters from Aspergillus species, such as Aspergillus fumigatus Af293 (Afu2g11520) and Aspergillus nidulans FGSC A4 (AN5860). These proteins belong to the low-affinity glucose transporter family, which enables rapid sensing of high glucose concentrations in the environment.
Therefore, this study aims to elucidate the molecular mechanism by which GLTP1 influences Monascus pigment synthesis in M. ruber. Using genetic approaches including gene knockout, complementation, and overexpression, combined with transcriptomic analyses, we seek to uncover the regulatory network connecting glucose transport and pigment biosynthesis. This research will not only advance our understanding of the crosstalk between primary and secondary metabolism in M. ruber, but also provide a theoretical foundation for enhancing the industrial production of Monascus pigments.

2. Materials and Methods

2.1. Strains and Culture Conditions

The wild-type strain M. ruber CICC41233 was obtained from the China Center of Industrial Culture Collection. Cultivation of both wild-type and engineered strains was carried out on malt–peptone–starch (MPS) agar at 30 °C for 7 days [12,13,14,15]. For phenotypic characterization, a medium of MPS agar containing 0.2% acetate was utilized. Additionally, Escherichia coli DH5α and Agrobacterium tumefaciens EHA105 were used in accordance with previous methodologies [12,13,14,15].

2.2. Construction of gltp1 Gene Expression and Knockout Vectors and Transform

The gltp1 gene (https://mycocosm.jgi.doe.gov/Monru1/Monru1.home.html, Protein ID 378211, gene_129444, accessed on 20 September 2016) fragment was amplified by PCR with the DNA of M. ruber CICC41233 as a template, and its sequence was analyzed in NCBI Nucleotide BLAST (https://blast.ncbi.nlm.nih.gov/Blast.cgi, accessed on 20 September 2016).
The gltp1 gene fragment and the expression plasmid pNeo0380 [12,13,14,15] were digested with HindIII and SacI, respectively. They were used to construct the expression vectors pNeo0380-gltp1.
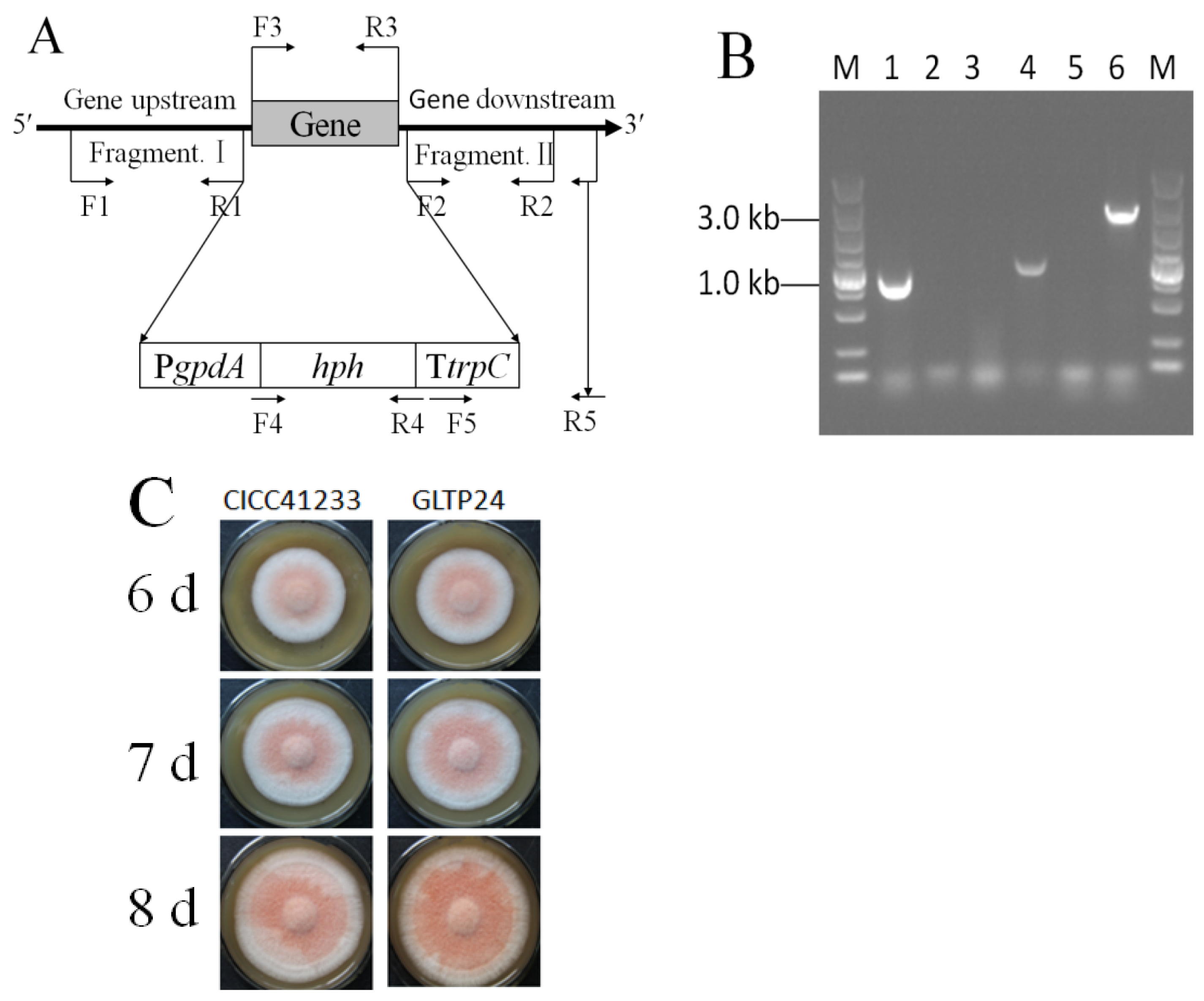
The T-DNA binary vector pHph0380G/Gltp1::hph was constructed on the backbone of pHph0380G to knockout the gltp1 gene. The first homologous arm sequence (fragment I = 1740 bp) of gltp1 upstream was amplified by PCR with the primers G129444-QC-UF-PstI (containing PstI) and G129444-QC-UR-SacI (containing Sac I), and then it was inserted into the PstI/Sac I sites of pHph0380G-GLTP. Then, the second homologous arm sequence (fragment II = 1764 bp) of gltp1 downstream was amplified by PCR with the primers G129444-QC-DF-BglII (containing BglII) and G129444-QC-DR-SpeI (containing SpeI), and then it was also inserted into the BglII/SpeI sites of pHph0380G-GLTP. The primer sequences used in this study are listed in Supplementary Table S1 and the schematic maps of the primer locus for the knockout of gltp1 are shown in Figure 1A.
Subsequently, A. tumefaciens EHA105 harboring the vectors was used to transform M. ruber CICC41233. For overexpression of the gltp1 gene, geneticin (80 μg/mL) was used as the selection agent, while hygromycin B (100 μg/mL) was used for the selection of gltp1 knockout mutants [5]. Putative positive transformants in both cases were verified using previously established methods [12,13,14,15].

2.3. Analysis of MPs’ Production and Starch Content

MPs’ production was carried out in 250 mL Erlenmeyer flasks containing 50 mL of medium (composed of 9.0% rice powder, 0.2% NaNO3, 0.1% KH2PO4, 0.2% MgSO4·7H2O, and 0.2% acetate, pH 3.2). The flasks were inoculated with freshly harvested spores at a final density of 105 conidia/mL and incubated at 30 °C with shaking at 180 rpm. Pigment yields were determined after 36, 48, and 144 h of fermentation. Following fermentation, extracellular and intracellular pigments, along with biomass, were analyzed according to established methods [12,13,14,15]. All experiments were independently performed in triplicate.
The absorbance spectrum scan of pigments was recorded by a UV/VIS spectrophotometer (Cary 60, AgilentTechnologies, Santa Clara, CA, USA) from 200 to 700 nm. The total MPs included extracellular and intracellular pigments.
Following fermentation, the starch content in the culture supernatant was determined using an iodine solution (2.6 g/L I2, 5.0 g/L KI).

2.4. High-Performance Liquid Chromatography (HPLC) Analysis

The glucose content in the culture supernatant was analyzed by high-performance liquid chromatography (HPLC) using a Waters e2695 (Waters Corporation, Milford, MA, USA) system equipped with an Aminex HPX-87H column (Bio-Rad, Hercules, CA, USA). The analysis was performed with a 5 mM H2SO4 mobile phase at a flow rate of 0.6 mL/min. A refractive index detector, maintained at 63 °C, was used for detection [14].

2.5. RNA Extraction and Transcriptome Sequencing

Following fermentation, 25 mL of the culture broth from both M. ruber CICC41233 and the Δgltp1 mutant was allocated for pigment analysis. The remainder was centrifuged (9000× g, 30 min, 4 °C), and the resulting cell pellet was immediately flash-frozen in liquid nitrogen, after which a portion of the samples was used for RNA extraction [12] and another for transcriptome sequencing. Specifically, samples from 36 h and 144 h cultures were sent on dry ice to Kidio Biotechnology Corporation (Guangzhou, China) for library preparation and sequencing. The transcriptome raw data were submitted to the NCBI database.

2.6. Quantitative Real-Time PCR

Gene expression analysis was carried out by reverse transcription followed by relative quantification, normalized to the actin gene as an endogenous reference, based on an established protocol [12]. All the Gltp1 genes, gene_449307 (Abbreviated as G449307), gene_472784 (Abbreviated as G472784), gene_440889 (Abbreviated as G440889), gene_440059 (Abbreviated as G440059), gene_469204 (Abbreviated as G469204), gene_468731 (Abbreviated as G468731), and gene_387285 (Abbreviated as G387285), were selected based on transcriptome sequencing, and the gene sequence information was obtained from the genome of Monascus ruber (https://mycocosm.jgi.doe.gov/Monru1/Monru1.home.html) (accessed on 25 October 2018) and analyzed. The primers actin-YGF1 and actin-YGR1, Gltp1-YGF and Gltp1-YGR, G449307-YGF and G449307-YGR, G472784-YGF and G472784-YGR, G440889-YGF and G440889-YGR, G440059-YGF and G440059-YGR, G469204-YGF and G469204-YGR, G468731-YGF and G468731-YGR, and G387285-YGF and G387285-YGR were designed by software Primer Premier 5 to use to analyze actin, Gltp1, G449307, G472784, G440889, G440059, G469204, G468731, and G387285 gene expression levels, respectively. Supplementary Table S1 lists all the primer sequences employed in this study.

2.7. Statistical Analysis

All experiments were performed with at least three independent replicates. Data are presented as mean ± standard deviation (SD). Statistical significance among different treatment groups was determined by one-way analysis of variance (ANOVA) followed by Tukey’s test, with a p-value of less than 0.05 considered statistically significant.

3. Results and Discussion

3.1. Obtain the Δgltp1 Mutant Strain

The gltp1 gene was cloned from M. ruber CICC41233, and its sequence was subjected to NCBI Nucleotide BLAST analysis. It showed the highest homology (97%) with the hexose transporter hxt1 (TQB68571.1) of Monascus purpureus.
Then, the A. tumefaciens EHA105 mediated transformation of pHph0380G/Gltp1::hph into M. ruber CICC41233, with nine transformants initially selected and confirmed to exhibit mitotic stability. Subsequent PCR analysis of genomic DNA from these candidates, however, demonstrated that only one was positive. Firstly, the primers G129444-JYF-HindIII (F3) and G129444-JYR-SacI (R3) were used to detect the gltp1 gene (948 bp), which was present in the parental strain but was absent in the Δgltp1 mutant (Figure 1A,B). At the same time, the primers Hph-1034F (F4) and Hph-1034R (R4) were used to detect hph gene (1034 bp), which was absent in the parental strain but was present in the Δgltp1 mutant (Figure 1A,B). Then, the primers HtrpC-YZF (F5) and G129444-YZR (R5) were used to verify that the hph cassettes (2644 bp) were successfully inserted into the gltp1 locus in the Δgltp1 mutant (Figure 1A,B). Therefore, the mutant was named M. ruber GLTP24. The phenotype of the parental strain M. ruber CICC41233 and mutant M. ruber GLTP24 were grown on MPS for 7 d, 8 d, and 9 d (Figure 1C). The Δgltp1 mutant grew denser than the parental strain (Figure 1C).
Figure 1. Schematic map of the primer locus for knocking out gltp1 (A) and identification of mutant M. ruber GLTP24 by PCR (B) and phenotype of M. ruber (C). (A) F1, primer G129444-QC-UF-PstI; R1, primer G129444-QC-UR-SacI. F2, primer G129444-QC-DF-BglII; R2, primer G129444-QC-DR-SpeI. F3, G129444-JYF-HindIII; R3, primer G129444-JYR-SacI. F4, primer Hph-1034F; R4, primer Hph-1034R. F5, primer HtrpC-YZF; R5, primer G129444-YZR. (B) The fragments of lanes 1 and 2 were products of the primers F3 and R3 test. The fragments of lanes 3 and 4 were products of the primers F4 and R4 test. The fragments of lanes 5 and 6 were products of the primers F5 and R5 test. Lanes 1, 3, and 5 represent the genomic DNA as the template from the parental strain M. ruber CICC41233; lanes 2, 4, and 6 represent the genomic DNA as the template from the mutaint strain M. ruber GLTP24. M: DL5000 bp DNA Ladder Marker. (C) Phenotype of M. ruber grown on MPS medium.
Figure 1. Schematic map of the primer locus for knocking out gltp1 (A) and identification of mutant M. ruber GLTP24 by PCR (B) and phenotype of M. ruber (C). (A) F1, primer G129444-QC-UF-PstI; R1, primer G129444-QC-UR-SacI. F2, primer G129444-QC-DF-BglII; R2, primer G129444-QC-DR-SpeI. F3, G129444-JYF-HindIII; R3, primer G129444-JYR-SacI. F4, primer Hph-1034F; R4, primer Hph-1034R. F5, primer HtrpC-YZF; R5, primer G129444-YZR. (B) The fragments of lanes 1 and 2 were products of the primers F3 and R3 test. The fragments of lanes 3 and 4 were products of the primers F4 and R4 test. The fragments of lanes 5 and 6 were products of the primers F5 and R5 test. Lanes 1, 3, and 5 represent the genomic DNA as the template from the parental strain M. ruber CICC41233; lanes 2, 4, and 6 represent the genomic DNA as the template from the mutaint strain M. ruber GLTP24. M: DL5000 bp DNA Ladder Marker. (C) Phenotype of M. ruber grown on MPS medium.
Jof 11 00867 g001

3.2. Construct Engineered Strains with the gltp1 Gene Complementation and Overexpression Strains

Then, the gltp1 gene was homologously overexpressed in M. ruber CICC41233, and three transformants tested positive, named as M. ruber OE3, M. ruber OE4, and M. ruber OE7 (the molecular identification results were not presented). The gltp1 gene was expressed in the mutant strain M. ruber GLTP24, and three complementary strains tested positive, named as M. ruber HU1, M. ruber HU 6, and M. ruber HU 17 (the molecular identification results are not presented).

3.3. Comparison of MPs’ Production in M. ruber CICC41233 and Mutant M. ruber GLTP24

The phenotypic appearance of M. ruber CICC41233 and M. ruber GLTP24 fermented using rice flour as the substrate for pigment production is shown in Figure 2A. At 36 h, the mutant strain yielded significantly higher amounts of visual Monascus pigments than the parental strain. The biomass production showed no significant difference between the strains.
More significantly, during fermentation with rice flour, the mutant strain displayed a dramatic acceleration in starch consumption. The residual starch content in the M. ruber CICC41233 fermentation samples at 36 h, 48 h, and 144 h was 44.91 mg/mL, 34.26 mg/mL, and 9.58 mg/mL, respectively. In contrast, M. ruber GLTP24 showed significantly lower levels, as follows: 0.56 mg/mL, 0.15 mg/mL, and 0 mg/mL, respectively (Figure 2B).
Concomitant with rapid starch degradation, the M. ruber GLTP24 mutant produced significantly higher yields of Monascus pigments (MPs). The pigment yield of M. ruber GLTP24 (49.46 U/mL) was significantly higher than that of M. ruber CICC41233 (28.42 U/mL) at 144 h. The results demonstrate that M. ruber GLTP24 can enhance the production of yellow and red pigments in the alcohol-soluble fraction of Monascus pigments (Figure 2C,E) [6]. This establishes a clear positive correlation between the rate of starch degradation and the yield of key MPs, a phenomenon supported by previous studies where accelerated starch hydrolysis led to increased pigment production [12,13]. However, the production of yellow and red pigments in the water-soluble fraction of Monascus pigments saw a slight decrease (Figure 2C,D).
As a low-affinity glucose transporter, GLTP1 can transport extracellular glucose. Consequently, knockout of the gltp1 gene resulted in a significant difference in extracellular glucose concentration between M. ruber CICC41233 and M. ruber GLTP24 (Figure 2F). This indicates that the deletion of the gltp1 glucose transporter paradoxically enhances the degradation of starch.
Our findings depict GLTP1 not merely as a glucose transporter, but as a critical metabolic regulator that couples carbon sensing with secondary metabolism. The observation that its deletion enhances starch degradation suggests that GLTP1 may be involved in a carbon catabolite repression (CCR) mechanism. In many fungi, efficient glucose uptake through specific transporters sustains CCR, repressing the expression of genes for utilizing alternative carbon sources (like starch) and the synthesis of secondary metabolites [5,22].
We propose a model wherein the knockout of gltp1 disrupts this repression signal. The inability to efficiently transport glucose, despite its availability from starch hydrolysis, may be perceived by the cell as a carbon-limited state. This is consistent with the observed downregulation of carbon-sensing components like the G-protein-coupled receptor GprD and the protein kinase Pka-C3 in the mutant, which are part of a signaling cascade known to influence fungal development and secondary metabolism [21,22,23].
In conclusion, GLTP1 serves as a key metabolic gatekeeper. Its deletion deregulates carbon catabolite repression, leading to accelerated starch assimilation and a rechanneling of carbon flux towards the enhanced biosynthesis of Monascus pigments.

3.4. Comparison of MPs’ Production in M. ruber CICC41233 and Complementation and Overexpression Strains

To further verify the impact of the gltp1 gene on Monascus pigment production in M. ruber, the functional role of gltp1 was unequivocally confirmed by reverse genetics. The complementary strains (M. ruber HU1, M. ruber HU6, and M. ruber HU17), in which the gltp1 gene was restored, showed recovery of the wild-type phenotype, with no significant difference in MPs’ production compared to M. ruber CICC41233 (Figure 3A). This demonstrates that the hyper-producing phenotype of the M. ruber GLTP24 mutant is directly attributable to the loss of gltp1.
Conversely, overexpressing gltp1 led to a contrasting effect. The overexpression strains (M. ruber OE3, M. ruber OE4, and M. ruber OE7) consistently produced lower levels of alcohol-soluble and total pigments compared to the wild-type (Figure 3B). The expression levels of the gltp1 gene are shown in Figure 4A. In comparison with M. ruber CICC41233, the expression fold of gltp1 increased by 3.38-, 4.50-, and 2.84-fold in M. ruber OE3, M. ruber OE4, and M. ruber OE7 after 6 days, respectively. This inverse relationship between gltp1 expression levels and pigment yield provides compelling evidence that GLTP1 acts as a negative regulator of MPs’ biosynthesis.

3.5. Global Transcriptional Reprogramming Induced by gltp1 Deletion

The raw transcriptome data are available in the NCBI database under the accession number PRJNA1370451. The deletion of the gltp1 gene in M. ruber triggered extensive transcriptional changes, as evidenced by the high number of differentially expressed genes (DEGs) when comparing the mutant (M. ruber GLTP24) to the wild-type (M. ruber CICC41233) at both 36 h (S01 vs. S02, 1249 DEGs) and 144 h (S03 vs. S04, 1041 DEGs) of fermentation (Table 1). qRT-PCR was performed to corroborate the transcriptomic data obtained from RNA-seq (Figure 4B). In both comparisons, the number of downregulated genes surpassed that of upregulated genes, indicating that the loss of this glucose transporter primarily exerts a repressive effect on a broad spectrum of cellular functions.
KEGG pathway enrichment analysis of these DEGs provided crucial insights into the metabolic rewiring caused by the gltp1 knockout and its direct implications for Monascus pigment (MP) biosynthesis (Table 2, Supplementary Figure S1).
In the early fermentation stage of 36 h (S01 vs. S02 group), DEGs were significantly enriched in pathways central to primary metabolism. These included “Microbial metabolism in diverse environments,” “Pyruvate metabolism,” “Glyoxylate and dicarboxylate metabolism,” and “Glycerolipid metabolism.” The enrichment of these pathways indicates a major rerouting of central carbon flux. Pyruvate is a key hub for generating acetyl-CoA, the essential building block for the polyketide backbone of all MPs [8,14]. The glyoxylate cycle can replenish C4 metabolites, supporting energy production and biosynthesis when glucose is scarce, a condition potentially mimicked by the disrupted glucose sensing in the mutant [22].
Most notably, concerted enrichment was observed in multiple amino acid metabolism pathways, as follows: “beta-Alanine metabolism,” “Phenylalanine metabolism,” “Arginine and proline metabolism,” “Tryptophan metabolism,” “Tyrosine metabolism,” and “Valine, leucine and isoleucine degradation.” This is highly significant for MP synthesis. The degradation of branched-chain amino acids (Val, Leu, and Ile) directly supplies acetyl-CoA [8]. More importantly, amino acids like phenylalanine, tyrosine, tryptophan, and particularly arginine are known to serve as preferential amino group donors for the conversion of orange pigments to red pigments [6,9,10,24]. The transcriptional rewiring of these pathways in the gltp1 mutant suggests a strategic cellular response to enhance the provision of both carbon skeletons and amino groups, thereby priming the metabolic network for efficient MP production, especially the red components.
By the late stage of 144 h (S03 vs. S04 group), the enrichment profile shifted dramatically towards pathways essential for cellular biosynthesis and maintenance, as follows: “Ribosome biogenesis in eukaryotes,” “Purine metabolism,” “Pyrimidine metabolism,” and “Sulfur metabolism.” This indicates a reallocation of resources to bolster the cell’s protein synthesis capacity (ribosomes) and nucleotide pools. This shift is critical for supporting the high-level expression and translation of the large enzymatic complexes required for secondary metabolism, such as the polyketide synthase (PKS) and fatty acid synthase (FAS) within the MP gene cluster. Sulfur metabolism is also crucial for the synthesis of methionine and S-adenosylmethionine [25], which are involved in various cellular methylation reactions and could influence secondary metabolite profiles. The sustained enrichment in “Microbial metabolism in diverse environments” underscores the continued global metabolic adjustment in the mutant.
Further analysis of specific genes revealed a targeted impact on signaling pathways. The expression of gene_390199 (annotated as the G protein-coupled receptor gprD) was significantly downregulated in the mutant at 36 h. In Aspergillus bombycis, the GprD protein is part of the G-protein-coupled receptor (GPCR) complex [22]. In Aspergillus species, this complex has been identified to consist of nine transmembrane proteins (such as GprA-I), along with the Gα, Gβ, and Gγ subunits forming the G protein trimer, and effectors such as GTPase enzymes [22].
Concurrently, gene_473493 (encoding Pka-C3, a catalytic subunit of the cAMP-dependent protein kinase) was significantly downregulated at 144 h (FPKM Table 3). In Aspergillus oryzae RIB40, Pka-C3 is a catalytic subunit of the cAMP-dependent protein kinase, which functions within the cAMP/PKA signaling pathway [22].
The literature indicates that GPCRs such as GprD (Gpr4 and Gpr1) in fungi (including Saccharomyces cerevisiae, Neurospora crassa, and Aspergillus species such as Aspergillus nidulans, as well as Cryptococcus neoformans) primarily function as sensors for extracellular carbon sources like glucose [22,26,27,28,29,30,31,32,33], while also serving as receptors for amino acid sensing [22,29,31]. These GPCRs further activate the cAMP/PKA signaling pathway to regulate gene expression, thereby modulating fungal growth, development, and metabolism [20,21,22,23,26,27,28,29,30,31,32,33].
Recent research by Chen et al. [21] demonstrated that knockout of the Gα protein-encoding gene in GPCRs significantly promotes Monascus pigment production in Monascus spp. fungi. Transcriptome sequencing revealed that in the Gα protein knockout strain, the expression levels of genes related to the TCA cycle, carbon-metabolism-associated MFS transporters, and nitrogen metabolism were downregulated, indicating that the Gα protein negatively regulates the synthesis of this secondary metabolite [21]. Therefore, the downregulation of MFS transporter genes involved in carbon metabolism further facilitates enhanced Monascus pigment production. These findings are consistent with our research results.
Our transcriptomic data support a coherent model for how GLTP1 deletion enhances MP production. The loss of GLTP1 disrupts carbon sensing, as evidenced by the suppression of the GprD receptor and the downstream cAMP/PKA pathway. This signaling defect triggers a biphasic metabolic adaptation.
The early phase (36 h) is characterized by a comprehensive reprogramming of central carbon and amino acid metabolism. This creates an abundant pool of essential precursors: acetyl-CoA from pyruvate and branched-chain amino acid degradation for the polyketide chain, and specific amino acids for the amination step that forms red pigments. The late phase (144 h) sees a shift towards enhancing the biosynthetic capacity itself, with resources funneled into ribosome and nucleotide biosynthesis to efficiently translate the MPs biosynthetic machinery. This temporal strategy—early precursor priming followed by late-stage commitment to massive enzyme production—orchestrated by the initial perturbation in carbon signaling, provides a powerful mechanistic explanation for the accelerated starch degradation and significantly higher pigment yield observed in the gltp1 mutant.

3.6. Transcriptional Profiling of the Monascus Pigment Biosynthetic Gene Cluster in the gltp1 Mutant

To elucidate the molecular mechanism underlying the enhanced pigment production in the gltp1 knockout strain M. ruber GLTP24, we performed a comparative transcriptomic analysis focusing on the known Monascus pigment biosynthetic gene cluster between the wild-type M. ruber CICC41233 and the M. ruber GLTP24 mutant at 36 h and 144 h of fermentation.
The results revealed significant differential expression of several key genes within the cluster (Figure 5, Table S2). The polyketide synthase gene (gene_470061), which catalyzes the core backbone synthesis of Monascus pigments [1,34], showed notably lower expression in the M. ruber GLTP24 mutant at 36 h (FPKM: 153.34 in WT vs. 94.20 in mutant). Conversely, the gene encoding the pathway-specific transcriptional activator PigR (gene_431934) [35] exhibited a substantial increase in expression in the mutant at 144 h (FPKM: 73.70 in WT vs. 65.74 in mutant).
Key genes involved in the modification and maturation of pigments also displayed altered expression. The oxidoreductase gene pigC (gene_497168) was significantly downregulated in the mutant at 36 h (FPKM: 613.83 in WT vs. 298.88 in mutant). In contrast, another crucial oxidoreductase gene, MpigH (gene_380063), was markedly upregulated in the mutant at 144 h (FPKM: 1194.31 in WT vs. 3876.34 in mutant). Furthermore, the fatty acid synthase (FAS) genes (gene_175502, alpha subunit; gene_416263, beta subunit), which supply essential fatty acyl precursors for pigment synthesis [8], were downregulated in the mutant, particularly at 36 h. Interestingly, a gene encoding a Major Facilitator Superfamily (MFS) transporter (gene_431958) was significantly upregulated in the mutant at 144 h (FPKM: 150.16 in WT vs. 371.85 in mutant).
The transcriptional changes observed in the M. ruber GLTP24 mutant provide crucial insights into the regulatory role of the glucose transporter GLTP1 in Monascus pigment biosynthesis. The initial downregulation of the core polyketide synthase (gene_470061) and fatty acid synthase genes (gene_175502, gene_416263) at 36 h in the mutant may reflect a transient metabolic imbalance or a specific regulatory response to the altered carbon flux resulting from accelerated starch degradation following gltp1 deletion [12,13].
However, the most significant changes occurred at the later fermentation stage (144 h). The upregulation of the pathway-specific transcriptional activator pigR (gene_431934) is particularly noteworthy, as its overexpression has been previously shown to dramatically enhance pigment production [35]. This suggests that the mutation in gltp1 ultimately leads to the activation of this key regulatory switch. The strong induction of the MpigH oxidoreductase gene (gene_380063), which is involved in critical reduction steps during pigment synthesis [1,6], aligns perfectly with the experimentally observed increase in total pigment yield and the specific enhancement of yellow and red pigments in the M. ruber GLTP24 strain. This genetic evidence corroborates our biochemical findings that the gltp1 knockout strain significantly increased the yields of yellow and red alcohol-soluble pigments.
The concurrent upregulation of a putative MFS transporter (gene_431958) in the mutant suggests a potential enhancement in the transport or secretion of pigments or their intermediates, which could be a secondary factor contributing to the higher measured pigment yield.
Collectively, these transcriptional dynamics demonstrate that the deletion of gltp1 triggers a comprehensive reprogramming of the pigment biosynthetic gene cluster. The pattern—initial suppression of precursor-supplying pathways followed by strong late-stage activation of key regulatory (pigR) and biosynthetic (MpigH) genes—reveals a sophisticated metabolic adaptation. This adaptation likely links the perturbed carbon sensing due to the lack of GLTP1 protein, potentially through the proposed GprD-cAMP/PKA signaling pathway [21,22,23], to the enhanced synthesis of Monascus pigments. Thus, this study provides a direct molecular link between carbon transport, cluster-specific gene regulation, and secondary metabolite output in M. ruber.

4. Conclusions

In this study, we elucidated the pivotal role of the glucose transporter GLTP1 in regulating central carbon metabolism and secondary metabolite synthesis in Monascus ruber. GLTP1 is a negative regulator of pigment biosynthesis. Genetic evidence from knockout, complementation, and overexpression strains unequivocally demonstrates that GLTP1 negatively impacts Monascus pigment production. Its deletion is the direct cause of the hyper-production phenotype.
Enhanced pigment yield is linked to accelerated carbon utilization. The gltp1 knockout strain M. ruber GLTP24 exhibited a superior capacity to degrade starch, leading to a significantly increased pool of carbon precursors that fuel the polyketide pathway for MP synthesis, an underlying signaling and metabolic reprogramming mechanism. The transcriptomic data support a model where the loss of GLTP1 perturbs the carbon-sensing mechanism, likely via the GprD-cAMP/PKA signaling pathway. This, in turn, induces a global transcriptional reprogramming that shunts carbon and nitrogen flux towards secondary metabolism, as evidenced by the significant enrichment of amino acid metabolic pathways that provide critical building blocks for pigments.
In summary, this work moves beyond the conventional view of GLTP1 as a mere nutrient transporter and establishes it as a key signaling node that couples carbon availability with the regulation of secondary metabolism. Disrupting this regulator effectively unlocks the inherent potential of M. ruber for high-level pigment production. These findings not only deepen our understanding of the physiological and molecular mechanisms underlying MP biosynthesis, but also provide a promising strategic basis for the metabolic engineering of industrial Monascus strains.

Supplementary Materials

The following supporting information can be downloaded at: https://www.mdpi.com/article/10.3390/jof11120867/s1, Figure S1: KEGG pathway enrichment of DEGs. Table S1: Primers used in this study for PCR. Table S2: The FPKM Value of Monascus pigment biosynthetic gene cluster.

Author Contributions

Q.T. and X.L. performed the experiments, analyzed the data. C.L. supervised, conceived, designed the experiments, wrote the manuscript, and provided financial support. J.C. supervised, revised the manuscript, provided financial support. All authors have read and agreed to the published version of the manuscript.

Funding

This work was funded by the National Natural Science Foundation of China (grant no. 31860436, no. 32460569), Natural Science Foundation of Jiangxi Province (grant nos. 20181BAB204001, 20212BAB205002).

Institutional Review Board Statement

Not applicable.

Informed Consent Statement

Not applicable.

Data Availability Statement

The raw transcriptome data are available in the NCBI database under the accession number PRJNA1370451. Data are contained within the article and Supplementary Materials.

Conflicts of Interest

The authors declare that this study was conducted without any commercial or financial relationships.

References

  1. Chen, W.P.; He, Y.; Zhou, Y.X.; Shao, Y.C.; Feng, Y.L.; Li, M.; Chen, F.S. Edible Filamentous Fungi from the Species Monascus: Early Traditional Fermentations, Modern Molecular Biology, and Future Genomics. Compr. Rev. Food Sci. Food Saf. 2015, 14, 555–567. [Google Scholar] [CrossRef]
  2. Dufossé, L.; Fouillaud, M.; Caro, Y.; Mapari, S.A.S.; Sutthiwong, N. Filamentous fungi are large-scale producers of pigments and colorants for the food industry. Curr. Opin. Biotechnol. 2014, 26, 56–61. [Google Scholar] [CrossRef]
  3. Dufossé, L. Fungal Pigments: More Insights from Colorful Fungi. J. Fungi 2022, 8, 1109. [Google Scholar] [CrossRef] [PubMed]
  4. Wang, M.H.; Huang, T.; Chen, G.; Wu, Z.Q. Production of water-soluble yellow pigments via high glucose stress fermentation of Monascus ruber CGMCC 10910. Appl. Microbiol. Biotechnol. 2017, 101, 3121–3130. [Google Scholar] [CrossRef] [PubMed]
  5. Yang, Y.; Liu, B.; Du, X.J.; Li, P.; Liang, B.; Cheng, X.Z.; Du, L.C.; Huang, D.; Wang, L.; Wang, S. Complete genome sequence and transcriptomics analyses reveal pigment biosynthesis and regulatory mechanisms in an industrial strain, Monascus purpureus YY-1. Sci. Rep. 2015, 5, 8331. [Google Scholar] [CrossRef] [PubMed]
  6. Chen, W.P.; Chen, R.F.; Liu, Q.P.; He, Y.; He, K.; Ding, X.L.; Kang, L.J.; Guo, X.X.; Xie, N.N.; Zhou, Y.X.; et al. Orange, red, yellow: Biosynthesis of azaphilone pigments in Monascus fungi. Chem. Sci. 2017, 8, 4917–4925. [Google Scholar] [CrossRef]
  7. Chen, W.P.; Feng, Y.L.; Molnár, I.; Chen, F.S. Nature and nurture: Confluence of pathway determinism with metabolic and chemical serendipity diversifies Monascus azaphilone pigments. Nat. Prod. Rep. 2019, 36, 561–572. [Google Scholar] [CrossRef]
  8. Hajjaj, H.; Klaébé, A.; Goma, G.; Blanc, P.J.; Barbier, E.; François, J. Medium-Chain Fatty Acids Affect Citrinin Production in the Filamentous Fungus Monascus ruber. Appl. Environ. Microbiol. 2000, 66, 1120–1125. [Google Scholar] [CrossRef]
  9. Jung, H.Y.; Kim, C.Y.; Kim, K.; Shin, C.S. Color Characteristics of Monascus Pigments Derived by Fermentation with Various Amino Acids. J. Agric. Food Chem. 2003, 51, 1302–1306. [Google Scholar] [CrossRef]
  10. Hajjaj, H.; Francois, J.M.; Goma, G.; Blanc, P.J. Effect of Amino Acids on Red Pigments and Citrinin Production in Monascus ruber. J. Food Sci. 2012, 77, M156–M159. [Google Scholar] [CrossRef]
  11. Shi, K.; Song, D.; Chen, G.; Pistolozzi, M.; Wu, Z.Q.; Quan, L. Controlling composition and color characteristics of Monascus pigments by pH and nitrogen sources in submerged fermentation. J. Biosci. Bioeng. 2015, 120, 145–154. [Google Scholar] [CrossRef]
  12. Long, C.N.; Liu, M.M.; Zhang, D.S.; Xie, S.B.; Yuan, W.Y.; Gui, N.; Cui, J.J.; Zeng, B. Highly efficient improvement of Monascus pigment production by accelerating starch hydrolysis in Monascus ruber CICC41233. 3 Biotech 2018, 8, 329. [Google Scholar] [CrossRef]
  13. Long, C.N.; Cui, J.J.; Xie, S.B.; Zhang, D.S.; Liu, M.M.; Zhang, Z.; Huang, Z.W.; Zeng, B. The alpha-amylase MrAMY1 is better than MrAMY2 in rice starch degradation, which promotes Monascus pigments production in Monascus ruber. 3 Biotech 2020, 10, 45. [Google Scholar] [CrossRef] [PubMed]
  14. Long, C.N.; Zeng, X.; Xie, J.; Liang, Y.M.; Tao, J.J.; Tao, Q.Q.; Liu, M.M.; Cui, J.J.; Huang, Z.W.; Zeng, B. High-level production of Monascus pigments in Monascus ruber CICC41233 through ATP-citrate lyase overexpression. Biochem. Eng. J. 2019, 146, 160–169. [Google Scholar] [CrossRef]
  15. Long, C.N.; Liu, M.M.; Chen, X.; Wang, X.F.; Ai, M.Q.; Cui, J.J.; Zeng, B. The acyl-CoA binding protein affects Monascus pigment production in Monascus ruber CICC41233. 3 Biotech 2018, 8, 121. [Google Scholar] [CrossRef]
  16. Liu, J.; Chai, X.Y.; Guo, T.; Wu, J.Y.; Yang, P.P.; Luo, Y.C.; Zhao, H.; Zhao, W.; Nkechi, O.; Dong, J.; et al. Disruption of the Ergosterol Biosynthetic Pathway Results in Increased Membrane Permeability, Causing Overproduction and Secretion of Extracellular Monascus Pigments in Submerged Fermentation. J. Agric. Food Chem. 2019, 67, 13673–13683. [Google Scholar] [CrossRef] [PubMed]
  17. Cui, J.J.; Liu, M.M.; Wu, W.W.; Long, C.N.; Zeng, B. The acyl-CoA binding protein 2 exhibited highest affinity for palmitoyl-CoA and its promoting Monascus pigment production. Ann. Microbiol. 2023, 73, 3. [Google Scholar] [CrossRef]
  18. Lee, S.S.; Lee, J.H.; Lee, I.Y. Strain Improvement by Overexpression of the laeA Gene in Monascuspilosus for the Production ofMonascus-Fermented Rice. J. Microbiol. Biotechnol. 2013, 23, 959–965. [Google Scholar] [CrossRef]
  19. Yang, Y.S.; Li, L.; Li, X.; Shao, Y.C.; Chen, F.S. mrflbA, encoding a putative FlbA, is involved in aerial hyphal development and secondary metabolite production in Monascus ruber M7. Fungal Biol. 2012, 116, 225–233. [Google Scholar] [CrossRef]
  20. Li, L.; Shao, Y.C.; Li, Q.; Yang, S.; Chen, F.S. Identification of Mga1, a G-protein α-subunit gene involved in regulating citrinin and pigment production in Monascus ruber M7. FEMS Microbiol. Lett. 2010, 308, 108–114. [Google Scholar] [CrossRef]
  21. Lei, M.; Liu, J.; Fang, Y.; Shao, Y.C.; Li, L.; Yu, J.H.; Chen, F.S. Effects of Different G-Protein α-Subunits on Growth, Development and Secondary Metabolism of Monascus ruber M7. Front. Microbiol. 2019, 10, 1555. [Google Scholar] [CrossRef]
  22. Lafon, A.; Han, K.H.; Seo, J.A.; Yu, J.H.; d’Enfert, C. G-protein and cAMP-mediated signaling in aspergilli: A genomic perspective. Fungal Genet. Biol. 2006, 43, 490–502. [Google Scholar] [CrossRef]
  23. Liu, J.W.; Du, Y.; Ma, H.M.; Pei, X.L.; Li, M. Enhancement of Monascus yellow pigments production by activating the cAMP signalling pathway in Monascus purpureus HJ11. Microb. Cell Fact. 2020, 19, 224. [Google Scholar] [CrossRef]
  24. Yin, S.; Zhu, Y.Y.; Zhang, B.; Huang, B.Z.; Jia, R. Diverse Effects of Amino Acids on Monascus Pigments Biosynthesis in Monascus purpureus. Front. Microbiol. 2022, 13, 951266. [Google Scholar] [CrossRef] [PubMed]
  25. Yin, S.; Yang, D.M.; Zhu, Y.Y.; Huang, B.Z. Methionine and S-Adenosylmethionine Regulate Monascus Pigments Biosynthesis in Monascus purpureus. Front. Microbiol. 2022, 13, 921540. [Google Scholar] [CrossRef] [PubMed]
  26. Han, K.H.; Seo, J.A.; Yu, J.H. A putative G protein-coupled receptor negatively controls sexual development in Aspergillus nidulans. Mol. Microbiol. 2004, 51, 1333–1345. [Google Scholar] [CrossRef] [PubMed]
  27. Lemaire, K.; de Velde, S.V.; Dijck, P.V.; Thevelein, J.M. Glucose and Sucrose Act as Agonist and Mannose as Antagonist Ligands of the G Protein-Coupled Receptor Gpr1 in the Yeast Saccharomyces cerevisiae. Mol. Cell 2004, 16, 293–299. [Google Scholar] [CrossRef]
  28. Li, L.D.; Borkovich, K.A. GPR-4 Is a Predicted G-Protein-Coupled Receptor Required for Carbon Source-Dependent Asexual Growth and Development in Neurospora crassa. Eukaryot. Cell 2006, 5, 1287–1300. [Google Scholar] [CrossRef]
  29. Xue, C.Y.; Bahn, Y.S.; Cox, G.M.; Heitman, J. G Protein-coupled Receptor Gpr4 Senses Amino Acids and Activates the cAMP-PKA Pathway in Cryptococcus neoformans. Mol. Biol. Cell 2006, 17, 667–679. [Google Scholar] [CrossRef]
  30. Gehrke, A.; Heinekamp, T.; Jacobsen, I.D.; Brakhage, A.A. Heptahelical Receptors GprC and GprD of Aspergillus fumigatus Are Essential Regulators of Colony Growth, Hyphal Morphogenesis, and Virulence. Appl. Environ. Microbiol. 2010, 76, 3989–3998. [Google Scholar] [CrossRef]
  31. Brown, N.A.; dos Reis, T.F.; Ries, L.N.A.; Caldana, C.; Mah, J.H.; Yu, J.H.; Macdonald, J.M.; Goldman, G.H. G-protein coupled receptor-mediated nutrient sensing and developmental control in Aspergillus nidulans. Mol. Microbiol. 2015, 98, 420–439. [Google Scholar] [CrossRef]
  32. Broach, J.R. Nutritional Control of Growth and Development in Yeast. Genetics 2012, 192, 73–105. [Google Scholar] [CrossRef] [PubMed]
  33. Conrad, M.; Schothorst, J.; Kankipati, H.N.; Zeebroeck, G.V.; Rubio-Texeira, M.; Thevelein, J.M. Nutrient sensing and signaling in the yeast Saccharomyces cerevisiae. FEMS Microbiol. Rev. 2014, 38, 254–299. [Google Scholar] [CrossRef]
  34. Shao, Y.C.; Ding, Y.D.; Zhao, Y.; Yang, S.; Xie, B.J.; Chen, F.S. Characteristic analysis of transformants in T-DNA mutation library of Monascus ruber. World J. Microbiol. Biotechnol. 2009, 25, 989–995. [Google Scholar] [CrossRef]
  35. Xie, N.N.; Liu, Q.P.; Chen, F.S. Deletion of pigR gene in Monascus ruber leads to loss of pigment production. Biotechnol. Lett. 2013, 35, 1425–1432. [Google Scholar] [CrossRef]
Figure 2. Comparative analysis of Monascus pigment production using M. ruber CICC41233 and mutant M. ruber GLTP24. (A) Phenotype of M. ruber at different fermentation time points; (B) residual starch content at different fermentation times; (C) color value of Monascus pigments; (D) spectral scanning of water-soluble pigments; (E) spectral scanning of alcohol-soluble pigments; and (F) glucose content in fermentation samples. ** p < 0.001.
Figure 2. Comparative analysis of Monascus pigment production using M. ruber CICC41233 and mutant M. ruber GLTP24. (A) Phenotype of M. ruber at different fermentation time points; (B) residual starch content at different fermentation times; (C) color value of Monascus pigments; (D) spectral scanning of water-soluble pigments; (E) spectral scanning of alcohol-soluble pigments; and (F) glucose content in fermentation samples. ** p < 0.001.
Jof 11 00867 g002
Figure 3. Production of Monascus pigments by M. ruber CICC41233, gltp1 gene knockout-complemented strain (A), and overexpressing strain (B) through fermentation. (A) The gltp1 gene knockout-complemented strains M. ruber HU1, M. ruber HU 6, and M. ruber HU 17. (B) The gltp1 gene overexpressing strains M. ruber OE3, M. ruber OE4, and M. ruber OE7.
Figure 3. Production of Monascus pigments by M. ruber CICC41233, gltp1 gene knockout-complemented strain (A), and overexpressing strain (B) through fermentation. (A) The gltp1 gene knockout-complemented strains M. ruber HU1, M. ruber HU 6, and M. ruber HU 17. (B) The gltp1 gene overexpressing strains M. ruber OE3, M. ruber OE4, and M. ruber OE7.
Jof 11 00867 g003
Figure 4. Gene expression analysis of M. ruber. (A) Relative expression fold of the gltp1 gene in M. ruber OE3, OE4, and OE7, in comparison with the wild-type strain M. ruber CICC41233. (B) Relative expression levels of genes G449307, G472784, G440889, G440059, G469204, G468731, and G387285 in M. ruber. Error bars represent the mean ± standard deviation (SD) from four independent replicates (n = 4).
Figure 4. Gene expression analysis of M. ruber. (A) Relative expression fold of the gltp1 gene in M. ruber OE3, OE4, and OE7, in comparison with the wild-type strain M. ruber CICC41233. (B) Relative expression levels of genes G449307, G472784, G440889, G440059, G469204, G468731, and G387285 in M. ruber. Error bars represent the mean ± standard deviation (SD) from four independent replicates (n = 4).
Jof 11 00867 g004
Figure 5. Cluster analysis of differentially expressed genes of Monascus pigment biosynthetic gene cluster.
Figure 5. Cluster analysis of differentially expressed genes of Monascus pigment biosynthetic gene cluster.
Jof 11 00867 g005
Table 1. Gene counts of differentially expressed genes (DEGs).
Table 1. Gene counts of differentially expressed genes (DEGs).
DEG Set *DEG NumberUpregulatedDownregulated
S01 vs. S021249515734
S03 vs. S041041374667
S01 vs. S0318168111005
S02 vs. S04944346598
* S01: 36 h sample for M. ruber CICC41233; S02: 36 h sample for M. ruber GLP24; S03: 144 h sample for M. ruber CICC41233; S04: 144 h sample for M. ruber GLP24.
Table 2. KEGG pathway enrichment analysis of DEGs.
Table 2. KEGG pathway enrichment analysis of DEGs.
DEG SetPathway IDKEGG PathwayNumber of Genesp-Valueq Value
S01 vs. S02ko01120Microbial metabolism in diverse environments540.0000000.000007
ko01100Metabolic pathways1300.0000020.000103
ko00410beta-Alanine metabolism120.0000080.000265
ko00360Phenylalanine metabolism150.0000150.000328
ko00630Glyoxylate and dicarboxylate metabolism130.0000170.000328
ko00561Glycerolipid metabolism110.0001690.002698
ko00330Arginine and proline metabolism150.0004010.005495
ko00380Tryptophan metabolism140.0004580.005495
ko00350Tyrosine metabolism120.0005610.005984
ko00910Nitrogen metabolism70.0012430.011935
ko01110Biosynthesis of secondary metabolites560.0014000.012222
ko00053Ascorbate and aldarate metabolism40.0017290.013835
ko00620Pyruvate metabolism110.0032740.024178
ko00280Valine, leucine and isoleucine degradation100.0058150.039873
ko00040Pentose and glucuronate interconversions70.0067600.043261
S03 vs. S04ko03008Ribosome biogenesis in eukaryotes240.0000000.000000
ko00230Purine metabolism230.0000030.000107
ko00240Pyrimidine metabolism160.0001670.004733
ko01100Metabolic pathways990.0004540.009638
ko00920Sulfur metabolism70.0006770.011514
ko01120Microbial metabolism in diverse environments340.0033390.047303
S01 vs. S03ko01120Microbial metabolism in diverse environments590.0000110.001081
ko00051Fructose and mannose metabolism150.0002530.009147
ko01100Metabolic pathways1540.0002690.009147
S02 vs. S04ko01110Biosynthesis of secondary metabolites470.0000170.001066
ko01100Metabolic pathways910.0000230.001066
ko01120Microbial metabolism in diverse environments330.0004060.007109
ko00670One carbon pool by folate60.0004410.007109
ko00630Glyoxylate and dicarboxylate metabolism90.0004550.007109
ko01130Biosynthesis of antibiotics350.0004690.007109
ko01200Carbon metabolism180.0025450.033079
Table 3. Gene expression profiles (FPKM) of M. ruber CICC41233 and M. ruber GLTP24.
Table 3. Gene expression profiles (FPKM) of M. ruber CICC41233 and M. ruber GLTP24.
Gene IDFunctional Annotation36 h144 h
CICC41233GLTP24CICC41233GLTP24
gene_390199G protein-coupled receptor GprD100.3146.97 *3017.74
gene_473493serine/threonine-protein kinase (Pka-C3)10.026.2713.383.73 *
gene_395958NAD(P)-binding protein7.6633.86 *52.09148.11 *
* FDR < 0.05.
Disclaimer/Publisher’s Note: The statements, opinions and data contained in all publications are solely those of the individual author(s) and contributor(s) and not of MDPI and/or the editor(s). MDPI and/or the editor(s) disclaim responsibility for any injury to people or property resulting from any ideas, methods, instructions or products referred to in the content.

Share and Cite

MDPI and ACS Style

Long, C.; Tao, Q.; Liu, X.; Cui, J. Mechanistic Insights from Transcriptomics: How the Glucose Transporter gltp1 Gene Knockout Enhances Monascus Pigment Biosynthesis in M. ruber CICC41233. J. Fungi 2025, 11, 867. https://doi.org/10.3390/jof11120867

AMA Style

Long C, Tao Q, Liu X, Cui J. Mechanistic Insights from Transcriptomics: How the Glucose Transporter gltp1 Gene Knockout Enhances Monascus Pigment Biosynthesis in M. ruber CICC41233. Journal of Fungi. 2025; 11(12):867. https://doi.org/10.3390/jof11120867

Chicago/Turabian Style

Long, Chuannan, Qinqin Tao, Xinyi Liu, and Jingjing Cui. 2025. "Mechanistic Insights from Transcriptomics: How the Glucose Transporter gltp1 Gene Knockout Enhances Monascus Pigment Biosynthesis in M. ruber CICC41233" Journal of Fungi 11, no. 12: 867. https://doi.org/10.3390/jof11120867

APA Style

Long, C., Tao, Q., Liu, X., & Cui, J. (2025). Mechanistic Insights from Transcriptomics: How the Glucose Transporter gltp1 Gene Knockout Enhances Monascus Pigment Biosynthesis in M. ruber CICC41233. Journal of Fungi, 11(12), 867. https://doi.org/10.3390/jof11120867

Note that from the first issue of 2016, this journal uses article numbers instead of page numbers. See further details here.

Article Metrics

Back to TopTop