Paracoccidioides brasiliensis Induces α3 Integrin Lysosomal Degradation in Lung Epithelial Cells
Abstract
:1. Introduction
2. Materials and Methods
2.1. Epithelial Cells Culture
2.2. Culture and Preparation of P. brasiliensis Yeasts for Interaction Assays with Epithelial Cells
2.3. Interaction of Epithelial Cells with P. brasiliensis Yeasts
2.4. Small Interfering RNA (siRNA)
2.5. Obtaining Endosome-Enriched Fractions
2.6. Co-Immunoprecipitation
2.7. Western Blot
2.8. Reverse Transcription-Quantitative Polymerase Chain Reaction (RT-qPCR)
2.9. Immunofluorescence
2.10. Cell Viability
3. Results
3.1. Analysis of α3 Integrin Levels in A549 Cells Infected with P. brasiliensis Yeasts
3.2. Subcellular Localization of α3 Integrin in A549 Epithelial Cells during Infection with P. brasiliensis
3.3. Presence of α3 Integrin in Late Endosome-Enriched Fractions of Epithelial Cells during P. brasiliensis Infection
3.4. α3 Integrin Levels in CHMP3-Silenced A549 Epithelial Cells Infected with P. brasiliensis
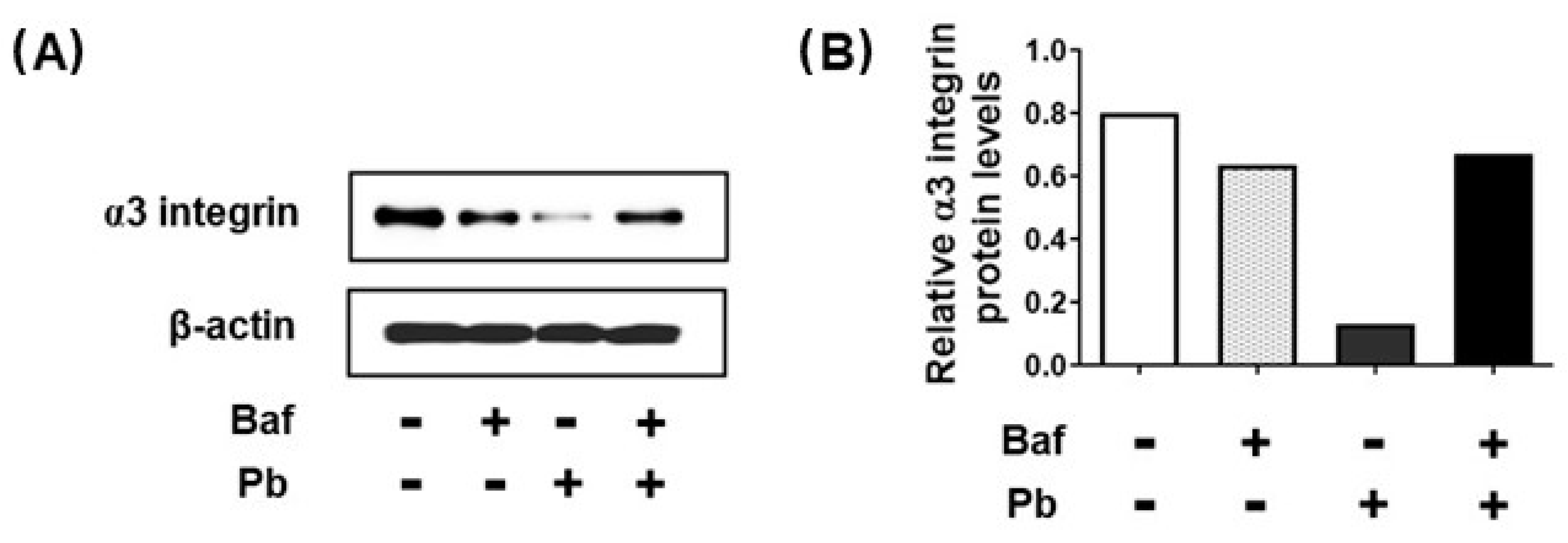
3.5. Analysis of α3 Integrin Levels in A549 Epithelial Cells during Infection with P. brasiliensis in the Presence of Bafilomycin A1
4. Discussion
Supplementary Materials
Author Contributions
Funding
Institutional Review Board Statement
Informed Consent Statement
Data Availability Statement
Conflicts of Interest
References
- Hahn, R.C.; Hagen, F.; Mendes, R.P.; Burger, E.; Nery, A.F.; Siqueira, N.P.; Guevara, A.; Rodrigues, A.M.; de Camargo, Z.P. Paracoccidioidomycosis: Current Status and Future Trends. Clin. Microbiol. Rev. 2022, 35, e0023321. [Google Scholar] [CrossRef] [PubMed]
- Shikanai-Yasuda, M.A.; Mendes, R.P.; Colombo, A.L.; de Queiroz Telles, F.; Kono, A.; Paniago, A.M.M.; Nathan, A.; do Valle, A.C.F.; Bagagli, E.; Benard, G.; et al. Brazilian guidelines for the clinical management of paracoccidioidomycosis. Epidemiol. Serv. Saude 2018, 27, e0500001. [Google Scholar] [CrossRef]
- do Valle, A.C.F.; De Macedo, P.M.; Almeida-Paes, R.; Romão, A.R.; Lazéra, M.D.S.; Wanke, B. Paracoccidioidomycosis after Highway Construction, Rio de Janeiro, Brazil. Emerg. Infect. Dis. 2017, 23, 1917–1919. [Google Scholar] [CrossRef] [PubMed]
- Barros, B.C.S.C.; Almeida, B.R.; Barros, D.T.L.; Toledo, M.S.; Suzuki, E. Respiratory Epithelial Cells: More Than Just a Physical Barrier to Fungal Infections. J. Fungi 2022, 8, 548. [Google Scholar] [CrossRef] [PubMed]
- Branchett, W.J.; Lloyd, C.M. Regulatory cytokine function in the respiratory tract. Mucosal Immunol. 2019, 12, 589–600. [Google Scholar] [CrossRef]
- Saglani, S.; Lloyd, C.M. Novel concepts in airway inflammation and remodelling in asthma. Eur. Respir. J. 2015, 46, 1796–1804. [Google Scholar] [CrossRef]
- Ikeshima-Kataoka, H.; Sugimoto, C.; Tsubokawa, T. Integrin Signaling in the Central Nervous System in Animals and Human Brain Diseases. Int. J. Mol. Sci. 2022, 23, 1435. [Google Scholar] [CrossRef]
- Campbell, I.D.; Humphries, M.J. Integrin Structure, Activation, and Interactions. Cold Spring Harb. Perspect. Biol. 2011, 3, a004994. [Google Scholar] [CrossRef]
- Yao, Y.; Liu, H.; Yuan, L.; Du, X.; Yang, Y.; Zhou, K.; Wu, X.; Qin, L.; Yang, M.; Xiang, Y.; et al. Integrins are double-edged swords in pulmonary infectious diseases. BioMedicine 2022, 153, 113300. [Google Scholar] [CrossRef]
- Seetharaman, S.; Etienne-Manneville, S. Integrin diversity brings specificity in mechanotransduction. Biol. Cell 2018, 110, 19483. [Google Scholar] [CrossRef]
- Karimi, F.; O’Connor, A.J.; Qiao, G.G.; Heath, D.E. Integrin Clustering Matters: A Review of Biomaterials Functionalized with Multivalent Integrin-Binding Ligands to Improve Cell Adhesion, Migration, Differentiation, Angiogenesis, and Biomedical Device Integration. Adv. Healthc. Mater. 2018, 7, e1701324. [Google Scholar] [CrossRef]
- Shiota, T.; Li, T.-C.; Nishimura, Y.; Yoshizaki, S.; Sugiyama, R.; Shimojima, M.; Saijo, M.; Shimizu, H.; Suzuki, R.; Wakita, T.; et al. Integrin α3 is involved in non-enveloped hepatitis E virus infection. Virology 2019, 536, 119–124. [Google Scholar] [CrossRef]
- Simons, P.; Rinaldi, D.A.; Bondu, V.; Kell, A.M.; Bradfute, S.; Lidke, D.S.; Buranda, T. Integrin activation is an essential component of SARS-CoV-2 infection. Sci. Rep. 2021, 11, 20398. [Google Scholar] [CrossRef]
- Brilha, S.; Chong, D.L.W.; Khawaja, A.A.; Ong, C.W.M.; Guppy, N.J.; Porter, J.C.; Friedland, J.S. Integrin α2β1 Expression Regulates Matrix Metalloproteinase-1-Dependent Bronchial Epithelial Repair in Pulmonary Tuberculosis. Front. Immunol. 2018, 9, 1348. [Google Scholar] [CrossRef] [PubMed]
- Barros, B.C.S.C.; Maza, P.K.; Alcantara, C.; Suzuki, E. Paracoccidioides brasiliensis induces recruitment of α3 and α5 integrins into epithelial cell membrane rafts, leading to cytokine secretion. Microbes Infect. 2016, 18, 68–77. [Google Scholar] [CrossRef] [PubMed]
- Almeida, B.R.; Barros, B.C.S.C.; Araújo, A.C.L.; Alcantara, C.; Suzuki, E. Paracoccidioides species present distinct fungal adherence to epithelial lung cells and promote different IL-8 secretion levels. Med Microbiol. Immunol. 2019, 209, 59–67. [Google Scholar] [CrossRef]
- Moreno-Layseca, P.; Icha, J.; Hamidi, H.; Ivaska, J. Integrin trafficking in cells and tissues. Nature 2019, 21, 122–132. [Google Scholar] [CrossRef] [PubMed]
- Paul, N.R.; Jacquemet, G.; Caswell, P.T. Endocytic trafficking of integrins in cell migration. Curr. Biol. 2015, 25, R1092–R1105. [Google Scholar] [CrossRef] [PubMed]
- Turegano-Lopez, M.; Santuy, A.; DeFelipe, J.; Merchan-Perez, A. Size, Shape, and Distribution of Multivesicular Bodies in the Juvenile Rat Somatosensory Cortex: A 3D Electron Microscopy Study. Cereb. Cortex 2019, 30, 1887–1901. [Google Scholar] [CrossRef]
- Villaseñor, R.; Kalaidzidis, Y.; Zerial, M. Signal processing by the endosomal system. Curr. Opin. Cell Biol. 2016, 39, 53–60. [Google Scholar] [CrossRef]
- Guichard, A.; Nizet, V.; Bier, E. RAB11-mediated trafficking in host–pathogen interactions. Nat. Rev. Genet. 2014, 12, 624–634. [Google Scholar] [CrossRef] [PubMed]
- Wu, F.; Zhao, S.; Yu, B.; Chen, Y.-M.; Wang, W.; Song, Z.-G.; Hu, Y.; Tao, Z.W.; Tian, J.H.; Pei, Y.Y.; et al. A new coronavirus associated with human respiratory disease in China. Nature 2020, 579, 265–269. [Google Scholar] [CrossRef] [PubMed]
- de Barros, B.C.S.C.; Almeida, B.R.; Suzuki, E. Paracoccidioides brasiliensis downmodulates α3 integrin levels in human lung epithelial cells in a TLR2-dependent manner. Sci. Rep. 2020, 10, 1–9. [Google Scholar] [CrossRef] [PubMed]
- Maza, P.K.; Straus, A.H.; Toledo, M.S.; Takahashi, H.K.; Suzuki, E. Interaction of epithelial cell membrane rafts with Paracoccidioides brasiliensis leads to fungal adhesion and Src-family kinase activation. Microbes Infect. 2008, 10, 540–547. [Google Scholar] [CrossRef]
- de Araújo, M.E.; Lamberti, G.; Huber, L.A. Isolation of Early and Late Endosomes by Density Gradient Centrifugation. Cold Spring Harb. Protoc. 2015, 2015, 1013–1016. [Google Scholar] [CrossRef]
- Maza, P.K.; Suzuki, E. Histoplasma capsulatum-Induced Cytokine Secretion in Lung Epithelial Cells Is Dependent on Host Integrins, Src-Family Kinase Activation, and Membrane Raft Recruitment. Front. Microbiol. 2016, 7, 580. [Google Scholar] [CrossRef]
- Gruenberg, J. Author Response for “Life in the Lumen: The Multivesicular Endosome”. Traffic 2019, 21, 76–93. [Google Scholar] [CrossRef]
- Hu, Y.-B.; Dammer, E.B.; Ren, R.-J.; Wang, G. The endosomal-lysosomal system: From acidification and cargo sorting to neurodegeneration. Transl. Neurodegener. 2015, 4, 18. [Google Scholar] [CrossRef]
- Huber, S.T.; Mostafavi, S.; Mortensen, S.A.; Sachse, C. Structure and assembly of ESCRT-III helical Vps24 filaments. Sci. Adv. 2020, 6, eaba4897. [Google Scholar] [CrossRef]
- Mauvezin, C.; Neufeld, T.P. Bafilomycin A1 disrupts autophagic flux by inhibiting both V-ATPase-dependent acidification and Ca-P60A/SERCA-dependent autophagosome-lysosome fusion. Autophagy 2015, 11, 1437–1438. [Google Scholar] [CrossRef]
- Pang, X.; He, X.; Qiu, Z.; Zhang, H.; Xie, R.; Liu, Z.; Gu, Y.; Zhao, N.; Xiang, Q.; Cui, Y. Targeting integrin pathways: Mechanisms and advances in therapy. Signal Transduct. Target. Ther. 2023, 8, 1. [Google Scholar] [CrossRef]
- Schmidt, K.; Keller, M.; Bader, B.L.; Korytář, T.; Finke, S.; Ziegler, U.; Groschup, M.H. Integrins modulate the infection efficiency of West Nile virus into cells. J. Gen. Virol. 2013, 94 Pt 8, 1723–1733. [Google Scholar] [CrossRef]
- Nascimento, D.d.O.; Vieira-De-Abreu, A.; Arcanjo, A.F.; Bozza, P.T.; Zimmerman, G.A.; Castro-Faria-Neto, H.C. Integrin αDβ2 (CD11d/CD18) Modulates Leukocyte Accumulation, Pathogen Clearance, and Pyroptosis in Experimental Salmonella Typhimurium Infection. Front. Immunol. 2018, 9, 1128. [Google Scholar] [CrossRef]
- Ulanova, M.; Gravelle, S.; Barnes, R. The Role of Epithelial Integrin Receptors in Recognition of Pulmonary Pathogens. J. Innate Immun. 2008, 1, 4–17. [Google Scholar] [CrossRef]
- Liu, J.; Lu, F.; Chen, Y.; Plow, E.; Qin, J. Integrin mediates cell entry of the SARS-CoV-2 virus independent of cellular receptor ACE2. J. Biol. Chem. 2022, 298, 101710. [Google Scholar] [CrossRef]
- Maza, P.K.; Oliveira, P.; Toledo, M.S.; Paula, D.M.; Takahashi, H.K.; Straus, A.H.; Suzuki, E. Paracoccidioides brasiliensis induces secretion of IL-6 and IL-8 by lung epithelial cells. Modulation of host cytokine levels by fungal proteases. Microbes Infect. 2012, 14, 1077–1085. [Google Scholar] [CrossRef]
- Alcantara, C.; Almeida, B.R.; Barros, B.C.S.C.; Orikaza, C.M.; Toledo, M.S.; Suzuki, E. Histoplasma capsulatum chemotypes I and II induce IL-8 secretion in lung epithelial cells in distinct manners. Med. Mycol. 2020, 58, 1169–1177. [Google Scholar] [CrossRef]
- Alcantara, C.; Maza, P.K.; Barros, B.C.S.C.; Suzuki, E. Role of protein kinase C in cytokine secretion by lung epithelial cells during infection with Paracoccidioides brasiliensis. Pathog. Dis. 2015, 73, ftv045. [Google Scholar] [CrossRef] [PubMed]
- de Oliveira, P.; Juliano, M.A.; Tanaka, A.S.; Carmona, A.K.; dos Santos, S.M.B.; de Barros, B.C.S.C.; Maza, P.K.; Puccia, R.; Suzuki, E. Paracoccidioides brasiliensis induces cytokine secretion in epithelial cells in a protease-activated receptor-dependent (PAR) manner. Med. Microbiol. Immunol. 2016, 206, 149–156. [Google Scholar] [CrossRef] [PubMed]
- De Franceschi, N.; Hamidi, H.; Alanko, J.; Sahgal, P.; Ivaska, J. Integrin traffic—The update. J. Cell Sci. 2015, 128, 839–852. [Google Scholar] [CrossRef] [PubMed]
- Zheng, J.; He, W.; Li, J.; Feng, X.; Li, Y.; Cheng, B.; Zhou, Y.; Li, M.; Liu, K.; Shao, X.; et al. Bifunctional Compounds as Molecular Degraders for Integrin-Facilitated Targeted Protein Degradation. J. Am. Chem. Soc. 2022, 144, 21831–21836. [Google Scholar] [CrossRef] [PubMed]
- Molnár, M.; Sőth, Á.; Simon-Vecsei, Z. Pathways of integrins in the endo-lysosomal system. Biol. Futur. 2022, 73, 171–185. [Google Scholar] [CrossRef] [PubMed]
- Kornilova, E.S. Receptor-mediated endocytosis and cytoskeleton. Biochemistry 2014, 79, 865–878. [Google Scholar] [CrossRef] [PubMed]
- Olmos, Y. The ESCRT Machinery: Remodeling, Repairing, and Sealing Membranes. Membranes 2022, 12, 633. [Google Scholar] [CrossRef] [PubMed]
- Parkinson, M.D.; Piper, S.C.; Bright, N.A.; Evans, J.L.; Boname, J.M.; Bowers, K.; Lehner, P.J.; Luzio, J.P. A non-canonical ESCRT pathway, including histidine domain phosphotyrosine phosphatase (HD-PTP), is used for down-regulation of virally ubiquitinated MHC class I. Biochem. J. 2015, 471, 79–88. [Google Scholar] [CrossRef]
- Bache, K.G.; Stuffers, S.; Malerød, L.; Slagsvold, T.; Raiborg, C.; Lechardeur, D.; Wälchli, S.; Lukacs, G.L.; Brech, A.; Stenmark, H.; et al. The ESCRT-III Subunit hVps24 Is Required for Degradation but Not Silencing of the Epidermal Growth Factor Receptor. Mol. Biol. Cell 2006, 17, 2513–2523. [Google Scholar] [CrossRef]
- Clague, M.J.; Urbé, S. Ubiquitin: Same Molecule, Different Degradation Pathways. Cell 2010, 143, 682–685. [Google Scholar] [CrossRef]
- Dósa, A.; Csizmadia, T. The role of K63-linked polyubiquitin in several types of autophagy. Biol. Futur. 2022, 73, 137–148. [Google Scholar] [CrossRef]
- Varghese, B.; Barriere, H.; Carbone, C.J.; Banerjee, A.; Swaminathan, G.; Plotnikov, A.; Xu, P.; Peng, J.; Goffin, V.; Lukacs, G.L.; et al. Polyubiquitination of Prolactin Receptor Stimulates Its Internalization, Postinternalization Sorting, and Degradation via the Lysosomal Pathway. Mol. Cell. Biol. 2008, 28, 5275–5287. [Google Scholar] [CrossRef]
- Li, W.; Liu, C.; Zhao, C.; Zhai, L.; Lv, S. Downregulation of β3 integrin by miR-30a-5p modulates cell adhesion and invasion by interrupting Erk/Ets-1 network in triple-negative breast cancer. Int. J. Oncol. 2016, 48, 1155–1164. [Google Scholar] [CrossRef]
- Liu, S.; Dong, Y.; Wang, Y.; Hu, P.; Wang, J.; Wang, R.Y. Pristimerin exerts antitumor activity against MDA-MB-231 triple-negative breast cancer cells by reversing of epithelial-mesenchymal transition via downregulation of integrin β3. Biomed. J. 2021, 44, S84–S92. [Google Scholar] [CrossRef]
- Krishn, S.R.; Garcia, V.; Naranjo, N.M.; Quaglia, F.; Shields, C.D.; Harris, M.A.; Kossenkov, A.V.; Liu, Q.; Corey, E.; Altieri, D.C.; et al. Small extracellular vesicle-mediated ITGB6 siRNA delivery downregulates the αVβ6 integrin and inhibits adhesion and migration of recipient prostate cancer cells. Cancer Biol. Ther. 2022, 23, 173–185. [Google Scholar] [CrossRef]
- He, P.; Liu, D.; Zhang, B.; Zhou, G.; Su, X.; Wang, Y.; Li, D.; Yang, X. Hepatitis B Virus X Protein Reduces Podocyte Adhesion via Downregulation of α3β1 Integrin. Cell. Physiol. Biochem. 2017, 41, 689–700. [Google Scholar] [CrossRef] [PubMed]
- Thuenauer, R.; Landi, A.; Trefzer, A.; Altmann, S.; Wehrum, S.; Eierhoff, T.; Diedrich, B.; Dengjel, J.; Nyström, A.; Imberty, A.; et al. The Pseudomonas aeruginosa Lectin LecB Causes Integrin Internalization and Inhibits Epithelial Wound Healing. mBio 2020, 11, 10–1128. [Google Scholar] [CrossRef] [PubMed]
- Tsuji, T. Physiological and pathological roles of alpha3beta1 integrin. J. Membr. Biol. 2004, 200, 115–132. [Google Scholar] [CrossRef] [PubMed]
- Wen, T.; Zhang, Z.; Yu, Y.; Qu, H.; Koch, M.; Aumailley, M. Integrin alpha3 subunit regulates events linked to epithelial repair, including keratinocyte migration and protein expression. Wound. Repair Regen. 2010, 18, 325–334. [Google Scholar] [CrossRef]
- Yalcin, E.G.; He, Y.; Orhan, D.; Pazzagli, C.; Emiralioglu, N.; Has, C. Crucial role of posttranslational modifications of integrin α3 in interstitial lung disease and nephrotic syndrome. Hum. Mol. Genet. 2015, 24, 3679–3688. [Google Scholar] [PubMed]
- Lee, S.G.; Kim, S.E.; Kim, S.-C.; Lee, S.E. Biallelic Missense Mutations in the Integrin Alpha 3 Gene Causes Skin Fragility Without Structural Defects in Lungs and Kidneys. Acta Derm. Venereol. 2022, 102, adv00642. [Google Scholar] [CrossRef]
- Kim, K.K.; Wei, Y.; Szekeres, C.; Kugler, M.C.; Wolters, P.J.; Hill, M.L.; Frank, J.A.; Brumwell, A.N.; Wheeler, S.E.; Kreidberg, J.A.; et al. Epithelial cell alpha3beta1 integrin links beta-catenin and Smad signaling to promote myofibroblast formation and pulmonary fibrosis. J. Clin. Investig. 2009, 119, 213–224. [Google Scholar]
- González, Á. The Therapy of Pulmonary Fibrosis in Paracoccidioidomycosis: What Are the New Experimental Approaches? J. Fungi 2020, 6, 217. [Google Scholar] [CrossRef]






Disclaimer/Publisher’s Note: The statements, opinions and data contained in all publications are solely those of the individual author(s) and contributor(s) and not of MDPI and/or the editor(s). MDPI and/or the editor(s) disclaim responsibility for any injury to people or property resulting from any ideas, methods, instructions or products referred to in the content. |
© 2023 by the authors. Licensee MDPI, Basel, Switzerland. This article is an open access article distributed under the terms and conditions of the Creative Commons Attribution (CC BY) license (https://creativecommons.org/licenses/by/4.0/).
Share and Cite
Almeida, B.R.; Barros, B.C.S.C.; Barros, D.T.L.; Orikaza, C.M.; Suzuki, E. Paracoccidioides brasiliensis Induces α3 Integrin Lysosomal Degradation in Lung Epithelial Cells. J. Fungi 2023, 9, 912. https://doi.org/10.3390/jof9090912
Almeida BR, Barros BCSC, Barros DTL, Orikaza CM, Suzuki E. Paracoccidioides brasiliensis Induces α3 Integrin Lysosomal Degradation in Lung Epithelial Cells. Journal of Fungi. 2023; 9(9):912. https://doi.org/10.3390/jof9090912
Chicago/Turabian StyleAlmeida, Bruna Rocha, Bianca Carla Silva Campitelli Barros, Debora Tereza Lucas Barros, Cristina Mary Orikaza, and Erika Suzuki. 2023. "Paracoccidioides brasiliensis Induces α3 Integrin Lysosomal Degradation in Lung Epithelial Cells" Journal of Fungi 9, no. 9: 912. https://doi.org/10.3390/jof9090912
APA StyleAlmeida, B. R., Barros, B. C. S. C., Barros, D. T. L., Orikaza, C. M., & Suzuki, E. (2023). Paracoccidioides brasiliensis Induces α3 Integrin Lysosomal Degradation in Lung Epithelial Cells. Journal of Fungi, 9(9), 912. https://doi.org/10.3390/jof9090912

